SDH-deficient gastrointestinal stromal tumors: paradoxical effect of imatinib
- Authors: Filonenko D.A.1, Meshcheryakov A.A.1, Arkhiri P.P.1, Nikulin M.P.1, Kolobanova E.S.1
-
Affiliations:
- Blokhin National Medical Research Center of Oncology
- Issue: Vol 22, No 2 (2020)
- Pages: 133-136
- Section: Best Practice
- Submitted: 15.07.2020
- Accepted: 15.07.2020
- Published: 15.07.2020
- URL: https://modernonco.orscience.ru/1815-1434/article/view/35196
- DOI: https://doi.org/10.26442/18151434.2020.2.200053
- ID: 35196
Cite item
Full Text
Abstract
Succinate dehydrogenase deficient gastrointestinal stromal tumors (dSDH GIST) is a unique group of GISTs with an energy metabolism defect as the key oncogenic mechanism without mutations in the proto-oncogene receptor tyrosine kinase (KIT) and platelet-derived growth factor receptor a (PDGFRA). SDH-deficiency is a result of mutations in SDHA, SDHB, SDHC, SDHD. There are three variants of dSDH GIST: sporadic dSDH GIST, Carney triad or Carney-Stratakis syndrome. dSDH GISTs are characterized by young age, female prevalence, gastric location, multiple tumors, lymph node metastases, indolent behavior and poorly response to imatinib. Despite the literature data, we report the response to imatinib in patient with dSDH GIST. 21 year old female patient presented with incomplete Carney triad (multiply gastric GIST with liver and peritoneal metastases, left lung chondroma). The patient received imatinib with clinical response in a month and radiological response in three months-cystic transformation of primary gastric tumor and liver metastases. The duration of response was 8 months.
Full Text
Гастроинтестинальные стромальные опухоли (ГИСО) в 85% случаев возникают вследствие мутации генов C-KIT и PDGFRA [1–3]. Остальные 15% – так называемый дикий тип ГИСО (wild type gastrointestinal stromal tumors – WT GIST), при которых отсутствуют мутации генов C-KIT и PDGFRA. В 80% случаев WT GIST основным драйверным механизмом является дефицит сукцинатдегидрогеназы (SDH-deficient – dSDH); рис. 1 [4, 5]. dSDH приводит к нарушению цикла Кребса, вследствие чего накапливается избыточное количество сукцината – окнометаболита, который активирует канцерогенез. ГИСО с dSDH (dSDH GIST) – уникальные опухоли с особым клиническим течением, прогнозом и чувствительностью к таргетной терапии.
Рис. 1. Молекулярно-генетические нарушения при ГИСО.
Fig. 1. Molecular genetic abnormalities in GIST.
Примечание. NF1 – ген нейрофиброматоза 1-го типа.
Note. NF1 is a gene of neurofibromatosis type 1.
SDH, dSDH и канцерогенез
SDH – фермент, который состоит из 4 субъединиц – SDHA, SDHB, SDHC, SDHD – и расположен на внутренней мембране митохондрий. Причиной dSDH при ГИСО могут быть как мутации, так и эпигеномные нарушения, возникающие примерно одинаково часто. Среди мутаций генов 60% составляют мутации SDHA и 40% – мутации других субъединиц. Эпигеномные нарушения наиболее часто затрагивают SDHC. Сегодня «золотым стандартом» диагностики dSDH является потеря экспрессии субъединицы В (SDHB) в опухоли, которая диагностируется при иммуногистохимическом исследовании. И мутации генов, и эпигеномные нарушения любой из субъединиц SDH всегда проявляются потерей экспрессии именно субъединицы B [6].
В настоящее время считается, что dSDH – основной механизм канцерогенеза при WT GIST, параганглиомах, раке почки, аденомах гипофиза и других опухолях. Еще в 1924 г. профессор Warburg одним из первых предложил рассматривать рак как болезнь митохондрий. Он выдвинул биохимическую теорию рака, за которую был удостоен Нобелевской премии. Warburg показал, что в клетке нарушаются окислительные процессы в митохондриях и клетка переходит на анаэробные пути окисления [7]. Связь между dSDH и канцерогенезом была описана M. Selak и соавт. в 2005 г. [8]. В канцерогенезе при dSDH можно выделить два основных механизма, один из которых запускает бесконтрольную пролиферацию клетки, другой – неоангиогенез, который также способствует канцерогенезу.
Первый механизм – бесконтрольная пролиферация клетки: повышение концентрации сукцината приводит к его попаданию из митохондрий в цитоплазму и в ядро клетки. Сукцинат блокирует диоксигеназы в ядре клетки, что опосредованно приводит к метилированию промоторов некоторых генов, в том числе генов-супрессоров опухолевого роста, и как следствие этого возникает бесконтрольная пролиферация клетки (формируется так называемый гиперметилированный фенотип).
Второй механизм – неоангиогенез: в цитоплазме клетки сукцинат ингибирует фермент – пропилгидроксилазу, который разрушает фактор, индуцируемый гипоксией (hypoxia induced factor a). В результате в клетке накапливается фактор, индуцируемый гипоксией, вследствие чего повышается синтез VEGF, VEGFR1, VEGFR2 и индуцируется нео-ангиогенез [9, 10].
dSDH GIST
В настоящее время выделяют три варианта dSDH GIST: спорадические ГИСО, триада Карнея и диада Карнея (синдром Карнея–Стратакиса).
Спорадические dSDH GIST клинически проявляются наличием множественных ГИСО в желудке. Причиной возникновения дефицита фермента могут быть как соматические мутации, так и эпигеномные нарушения в генах различных субъединиц SDH.
Триада Карнея – синдром, который характеризуется возникновением множественных синхронных или метахронных опухолей: ГИСО желудка, параганглиома и хондрома в легких. Причиной возникновения синдрома является метилирование промотора гена SDHC.
Триада Карнея – спорадическое заболевание и не наследуется. Как правило, болеют молодые женщины, у которых выявляются множественные ГИСО желудка с метастазами в лимфатических узлах, параганглиомы и хондромы в легких [11, 12]. Полная триада Карнея встречается редко. Чаще встречается неполная триада Карнея, которая, как правило, проявляется множественными ГИСО желудка и хондромами в легких. К 1999 г. Carney собрал материал по 79 случаям триады, названной в честь его имени: у 17 (22%) пациентов триада была полной, а у 62 (78%) были только 2 опухоли из 3. На 2011 г. в мировой медицинской литературе описаны 104 случая триады Карнея, из которых 22 являются полными [13].
dSDH GIST имеют клинические отличия от ГИСО с мутациями KIT/PDGFRA. Для этих опухолей характерны ранний возраст, синхронные множественные ГИСО желудка, метастазирование в лимфатические узлы и индолентное течение (см. таблицу).
Сравнительная характеристика KIT/PDGFRA ГИСО и dSDH GIST Comparison characteristic of KIT/PDGFRA gastrointestinal stromal tumors (GISTs) and dSDH GIST | ||
ГИСО без dSDH | dSDH GIST | |
Возраст | Взрослые | Дети, молодые взрослые |
Пол | Одинаково часто у женщин и мужчин | Чаще у женщин |
Локализация | Любой отдел желудочно-кишечного тракта | Желудок |
Мультифокальность | Редко | Часто |
Гистологический тип | Чаще веретеноклеточный (могут встречаться эпителиоидный, смешанный) | Эпителиоидный/смешанный |
Метастазы в лимфоузлах | Редко | Часто |
Клиническое течение | Агрессивное | Индолентное |
Чувствительность к иматинибу | Да | Нет |
Терапия dSDH ГИСО. Иматиниб, сунитиниб, регорафениб
Для терапии диссеминированных ГИСО c мутациями KIT, PDGFRA применяются иматиниб, сунитиниб и регорафениб. Иматиниб является стандартом 1-й линии лечения. Однако для dSDH GIST применение иматиниба не рекомендуется в связи с отсутствием эффекта, что объясняется интактностью тирозинкиназ KIT и PDGFRA.
S. Boikos и соавт. опубликовали результаты лечения иматинибом 49 больных dSDH GIST, и только у 1 пациента был отмечен ответ на терапию [5].
Сунитиниб и регорафениб в отличие от иматиниба обладают антиангиогенной активностью: сунитиниб блокирует VEGRF1, VEGRF2 и VEGRF3, регорафениб – VEGRF1, VEGRF2 и VEGRF3 и TIE2, чем объясняется их противоопухолевый эффект при dSDH ГИСО. S. Boikos и соавт. описали объективный ответ у 7 из 38 пациентов dSDH GIST, получивших сунитиниб.
Опубликованы результаты лечения регорафенибом больных dSDH GIST: у 6 из 6 больных был отмечен объективный ответ [14].
Клиническое наблюдение
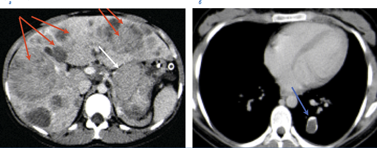
У пациентки К. 21 года при обследовании по поводу болей в правом подреберье в январе 2019 г. выявлены опухоль желудка с метастазами в печени и по брюшине, хондрома в левом легком (рис. 2). Выполнена биопсия метастаза в печени, при гистологическом исследовании – ГИСО эпителиоидноклеточного строения с положительной экспрессией CD-117. При молекулярно-генетическом исследовании мутаций генов C-KIT, PDGFRA не выявлено. При иммуногистохимическом (ИГХ) исследовании выявлен дефицит SDHB. Таким образом, у пациентки установлен диагноз неполной триады Карнея.
Рис. 2. Данные КТ до начала лечения: а – опухоль желудка (белая стрелка), а – метастазы в печени (красные стрелки); б – хондрома в левом легком (синяя стрелка).
Fig. 2. Computed tomography (CT) data before the treatment: a – the tumor of the stomach (white arrow), a – liver metastases (red arrows); b – chondroma of the left lung (blue arrow).
С января 2019 г. пациентка принимала иматиниб в дозе 400 мг/сут, который был назначен до получения результатов молекулярно-генетического и ИГХ-исследований. При повторном визите через 4 нед пациентка отметила улучшение общего состояния, в связи с чем, несмотря на полученные результаты молекулярно-генетического и ИГХ-исследований, было принято решение о продолжении терапии иматинибом. Через 2 мес терапии, в апреле 2019 г., по данным компьютерной томографии (КТ), отмечена положительная динамика – уменьшение размеров и плотности метастазов в печени и опухоли желудка (рис. 3).
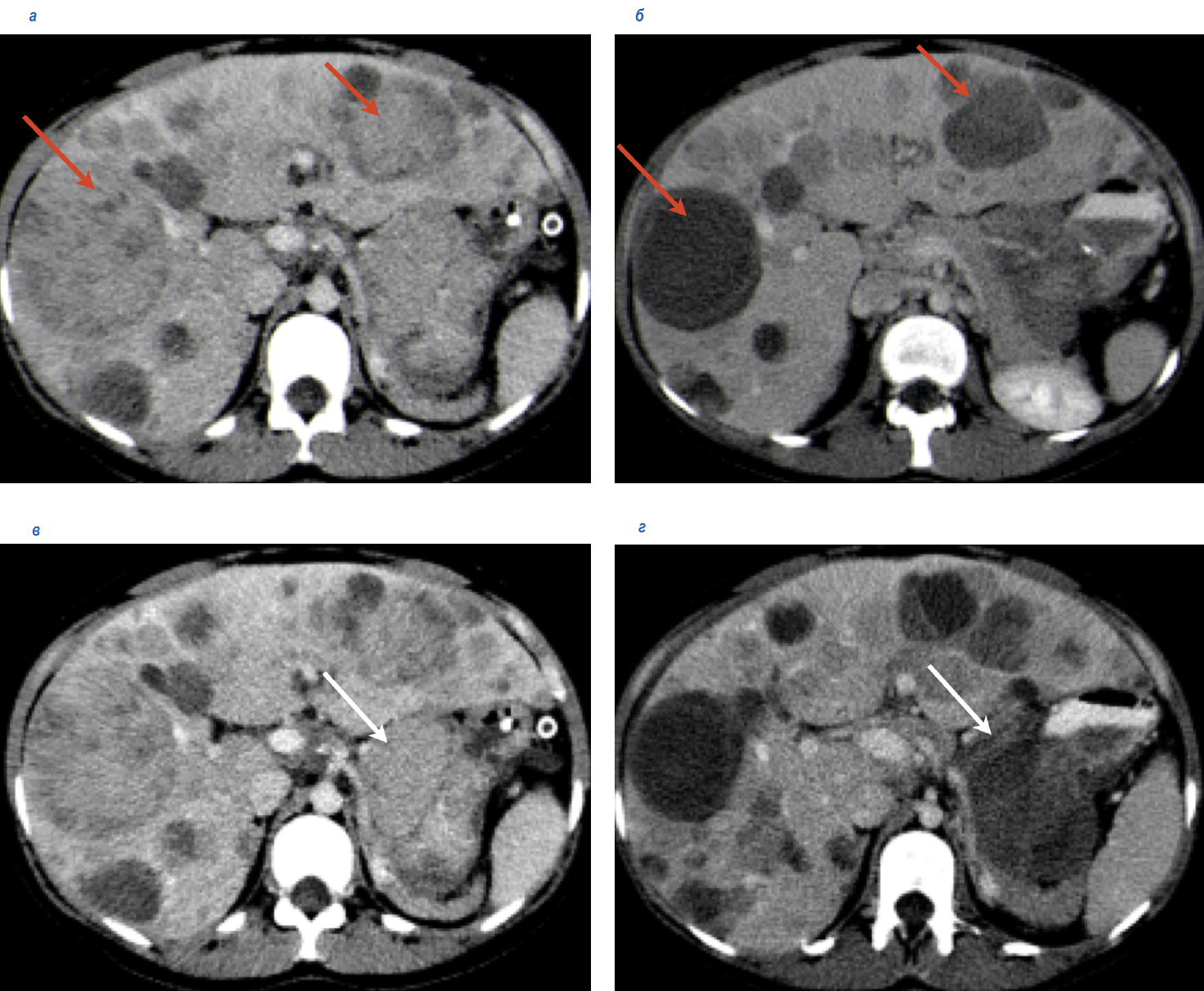
Рис. 3. КТ в динамике на фоне приема иматиниба: а, в – до начала лечения, а – метастазы в печени, в – опухоль в желудке (февраль 2019 г.), б – через 2 мес терапии (апрель 2019 г.) – кистозная трансформация метастазов в печени, г – через 2 мес терапии, кистозная трансформация опухоли в желудке.
Fig. 3. Dynamic CT scanning against the background of applying imatinib: a, c – before the treatment, a – liver metastases, c – the tumor of the stomach (February 2019), b – after 2 months of therapy (April 2019) – cystic transformation of the liver metastases, d – after 2 months of therapy, cystic transformation of the tumor of the stomach.
Эффект длился с февраля по сентябрь 2019 г. При контрольном обследовании в сентябре 2019 г. выявлено прогрессирование заболевания, проявившееся ростом метастазов по брюшине в парагастральной области, при дальнейшем уменьшении метастазов в печени, уменьшении опухоли в желудке.
Таким образом, пациентка принимала иматиниб в течение 8 мес с эффектом, несмотря на отсутствие мутаций KIT и PDGFRA и dSDH.
Выводы
Наше редкое наблюдение демонстрирует эффективное применение иматиниба при неполной триаде Карнея. Тем не менее мы считаем, что эффекта на терапию иматинибом удается достичь редко, и не рекомендуем применение иматиниба при dSDH GIST.
Конфликт интересов. Авторы заявляют об отсутствии конфликта интересов.
Conflict of interests. The authors declare that there is not conflict of interests.
About the authors
Daria A. Filonenko
Blokhin National Medical Research Center of Oncology
Author for correspondence.
Email: shubina_d@mail.ru
ORCID iD: 0000-0002-7224-3111
Cand. Sci. (Med.)
Russian Federation, MoscowAndrey A. Meshcheryakov
Blokhin National Medical Research Center of Oncology
Email: a_meshcheryakov@mail.ru
ORCID iD: 0000-0002-6009-653X
D. Sci. (Med.)
Russian Federation, MoscowPetr P. Arkhiri
Blokhin National Medical Research Center of Oncology
Email: arhiri@mail.ru
Cand. Sci. (Med.)
Russian Federation, MoscowMaxim P. Nikulin
Blokhin National Medical Research Center of Oncology
Email: maximpetrovich@mail.ru
ORCID iD: 0000-0002-9608-4696
Cand. Sci. (Med.)
Russian Federation, MoscowEvgeniia S. Kolobanova
Blokhin National Medical Research Center of Oncology
Email: maximpetrovich@mail.ru
radiologist
Russian Federation, MoscowReferences
- Hirota S, Isozaki K, Moriyama Y, et al. Gain-of-function mutations of c-kit in human gastrointestinal stromal tumors. Science 1998; 279 (5350): 577–80.
- Miettinen M, Lasota J. Gastrointestinal stromal tumors-definition, clinical, histological, immunohistochemical, and molecular genetic features and differential diagnosis. Virchows Arch 2001; 438 (1): 1.
- Corless CL, Schroeder A, Griffith D et al. PDGFRA mutations in gastrointestinal stromal tumors: frequency, spectrum and in vitro sensitivity to imatinib. J Clin Oncol 2005; 23 (23): 5357.
- Gill AJ, Chou A, Vilain R et al. Immunohistochemistry for SDHB Divides Gastrointestinal Stromal Tumors (GISTs) into 2 Distinct Types. Am J Surg Pathol 2010; 34 (34): 636–44.
- Boikos SA, Pappo AS, Killian JK et al. Molecular subtypes of KIT/PDGFRA wild-type gastrointestinal stromal tumors: a report from the National Institutes of Health Gastrointestinal Stromal Tumor Clinic. JAMA Oncol 2016; 2 (7): 922–8.
- Miettinen M, Lasota J. Succinate dehydrogenase deficient gastrointestinal stromal tumors (GISTs) – a review. Int J Biochem Cell Biology 2014; 53: 514–9.
- The Nobile Prize in Phisiology or Medicine 1931. www.nobelprize.org/prizes/medicine/1931
- Selak MA, Armour SM et al. Succinate links TCA cycle dysfunction to oncogenesis by inhibiting HIF-prolyl hydroxylase. Cancer Сell 2005; 7: 77–85.
- Pozza ED, Dando I, Pacchiana R et al. Regulation of succinate dehydrogenase and role of succinate in cancer. Semin Cell Dev Biol 2019: S1084-9521(19)30056-4.
- Eijkelenkamp K, Osinga T, Links T. Clinical implications of the oncometabolite succinate in SDHx-mutation carriers. Clin Genetics 2020; 97: 39–53.
- Stratakis CA, Carney JA. The triad of paragangliomas, gastric stromal tumours and pulmonary chondromas (Carney triad), and the dyad of paragangliomas and gastric stromal sarcomas (Carney-Stratakis syndrome): molecular genetics and clinical implications. J Intern Med 2009; 266 (1): 43–52.
- Haller F, Moskalev EA, Faucz FR. Aberrant DNA hypermethylation of SDHC: a novel mechanism of tumor development in Carney triad. Endocr Relat Cancer 2014; 21 (4): 567–77. doi: 10.1530/ERC-14-0254
- Zhang L, Thomas C et al. Gastric Stromal Tumors in Carney Triad Are Different Clinically, Pathologically, and Behaviorally From Sporadic Gastric Gastrointestinal Stromal Tumors: Findings in 104 Cases. Am J Surg Pathol 2010; 34 (1): 53–64.
- Ben-Ami E, Barysauskas CM, von Mehren M et al. Long-term follow-up results of the multicenter phase II trial of regorafenib in patients with metastatic and/or unresectable GI stromal tumor after failure of standard tyrosine kinase inhibitor therapy. Ann Oncol 2016; 27 (9): 1794–9
Supplementary files






