Дифференциальный диагноз и лечение редких форм первичных новообразований брюшины – солитарной фиброзной и десмопластической мелкокруглоклеточной опухолей
- Авторы: Абдуллаев А.Г.1, Козлов Н.А.1, Шахпазян Н.К.1, Цыганкова А.В.1
-
Учреждения:
- ФГБУ «Национальный медицинский исследовательский центр онкологии им. Н.Н. Блохина» Минздрава России
- Выпуск: Том 23, № 1 (2021)
- Страницы: 128-132
- Раздел: КЛИНИЧЕСКАЯ ОНКОЛОГИЯ
- Статья получена: 03.11.2020
- Статья опубликована: 19.05.2021
- URL: https://modernonco.orscience.ru/1815-1434/article/view/48927
- DOI: https://doi.org/10.26442/18151434.2021.1.200263
- ID: 48927
Цитировать
Полный текст
Аннотация
Солитарная фиброзная опухоль (СФО) и десмопластическая мелкокруглоклеточная опухоль (ДМКО) являются первичными злокачественными новообразованиями брюшины. Эти патологии, несмотря на их морфологические различия, объединяют низкая заболеваемость, отсутствие патогномоничных симптомов, схожесть радиологических признаков и недостаточная изученность прогностических факторов. Учитывая низкую заболеваемость, в настоящее время не установлены надежные дифференциально-диагностические признаки, что в значительной степени затрудняет своевременную формулировку диагноза. Напротив, все чаще выявляются случаи выбора неправильной тактики лечения и отсутствие унифицированного алгоритма ведения. Лучевые и инструментальные методы диагностики, такие как компьютерная томография, магнитно-резонансная томография, лапароскопия, имеют решающее значение в определении степени распространенности опухоли, при этом необходимо учитывать биологические особенности опухоли (морфологический тип), которые влияют на характер ее роста. При СФО и ДМКО картина компьютерной томографии характеризуется наличием изолированных узловых образований в любом отделе брюшной полости, которые также могут сопровождаться поражением большого сальника, наличием асцита, увеличением забрюшинных лимфоузлов, возможно отдаленное метастазирование в легкие и кости. В целом основной задачей диагностики первичного новообразования брюшины является взятие качественного биологического материала в достаточном количестве, при этом ведущая роль в постановке диагноза отводится гистологическому и иммуногистохимическому исследованиям. С другой стороны, самостоятельный опыт многих клиник не превышает единичных наблюдений. Эти сведения не позволяют врачам уверенно ориентироваться в проблеме, соответственно, назрела необходимость проведения многоцентровых и, возможно, проспективных рандомизированных научных исследований с целью выработки единого алгоритма ведения больных с первичными новообразованиями брюшины. Подходы к лечению рассматриваемых опухолей в настоящее время не стандартизованы и недостаточно хорошо изучены в силу редкости патологии. Исходя из располагаемых сведений, лечение ДМКО основано на мультимодальной терапии, включающей системную химиотерапию, операцию и, возможно, лучевую терапию. Традиционные алгоритмы лечения этой патологии включают хирургический этап и системную или внутриполостную химиотерапию, при этом последовательность лечения может быть разной и зависит, в первую очередь, от распространенности заболевания. При СФО хирургическое лечение, напротив, является методом выбора. Таким образом, при выборе тактики лечения первичного новообразования брюшины прежде всего необходимо учитывать морфологический тип опухоли и опираться на известные данные о пользе того или иного способа. В статье мы постарались представить современные данные о диагностике и лечении редких форм первичных опухолей брюшины.
Полный текст
Введение
Первичные злокачественные новообразования брюшины являются редкой патологией в структуре онкологических заболеваний, к ним относят: первичный рак брюшины, мезотелиому брюшины, солитарную фиброзную опухоль (СФО) и десмопластическую мелкокруглоклеточную опухоль (ДМКО) [1]. СФО брюшины и ДМКО встречаются казуистически редко и в литературе, как правило, описаны в виде единичных наблюдений [2].
Несмотря на различия в морфологическом строении указанных редких форм первичных новообразований брюшины, их объединяет несколько характеристик: стертая клиническая картина, длительное бессимптомное течение, преимущественное поражение брюшины в виде опухолевых конгломератов, редкая частота лимфо-гематогенного метастазирования, отсутствие надежных инструментальных методов дифференциальной диагностики ввиду неспецифических радиологических признаков, а также сложность выбора оптимального плана лечения. Отсутствие специфических клинико-инструментальных признаков, а также редкость этой патологии являются частой причиной диагностических ошибок, в результате чего необходима точная интерпретация гистологической картины [2, 3].
В статье проведен анализ современной литературы, посвященной эпидемиологии, подходам к диагностике, разным аспектам генеза опухолей, выбора оптимального лечения.
Эпидемиология
СФО – редко встречающиеся и нечасто метастазирующие мягкотканые опухоли мезенхимального происхождения. Впервые о СФО упоминается в 1870 г. в работе E. Wagner, однако более подробно этот тип опухолей описан лишь в 1931 г. P. Klemperer и соавт. [4]. Средний возраст заболевших составляет около 50 лет, различий в заболеваемости среди мужчин и женщин не получено [5]. Учитывая, что исследований, посвященных этой нозологической группе, мало, в статьях описаны единичные случаи, точных цифр заболеваемости нет.
ДМКО – высокоагрессивные новообразования мезенхимальной природы, которые встречаются крайне редко. Со времени первого описания в 1989 г. (W. Gerald и соавт.) в мире зарегистрировано всего несколько сотен случаев заболевания [6]. Обычно болезнь проявляется у мужчин в подростковом и юношеском возрасте с соотношением мужчин и женщин 4:1.
Клинические проявления редких форм первичных новообразований брюшины
Клиническая картина редких форм первичных новообразований брюшины, как правило, не имеет специфических характеристик, и часто на ранних стадиях у пациентов отсутствуют симптомы заболевания. Однако, когда опухоль достигает ощутимо больших размеров, могут возникать боли в зависимости от локализации опухолевого конгломерата, который может стать причиной развития синдрома компрессии полого органа, механического блока желчных протоков или мочеточников, кишечной непроходимости. Кроме того, возможны и другие неспецифические симптомы: разлитые боли и дискомфорт в животе, увеличение живота в объеме, потеря массы тела, общая слабость, рвота [2, 7, 8]. Для СФО также характерен опухолевый асцит, этиология которого может быть не распознана в течение длительного времени [9].
С учетом указанных данных клиническая картина разнообразна и не имеет специфических признаков.
Обследование
Установка диагноза первичного новообразования брюшины представляет собой сложную задачу в связи с редкостью патологии и отсутствием у многих врачей знаний в этой области, поэтому нередки случаи длительного времени до подтверждения заболевания, часто вначале устанавливается неправильный диагноз, и пациент получает неверное лечение. В целом основной задачей диагностики первичного новообразования брюшины является взятие качественного биологического материала в достаточном количестве, при этом ведущая роль в постановке диагноза отводится гистологическому и иммуногистохимическому исследованию.
Иммуногистохимически клетки СФО демонстрируют экспрессию виментина, CD34, CD99, Bcl-2 и не дают реакцию с антителами к цитокератину, S-100, актину, десмину и кальретинину [2, 3]. Маркер CD34 обладает высокой специфичностью к СФО [2], однако следует помнить, что при высокой степени дифференцировки опухоли его экспрессия может не определяться, кроме того, сверхэкспрессия р53 и Ki-67 свидетельствует о возможности злокачественной трансформации из низкодифференцированной опухоли или развития злокачественного новообразования de novo [10]. Кроме того, в рамках ИГХ-исследования клетки СФО дают реакцию с антителами STAT6, сигнальными преобразователями и активаторами транионина 6, где STAT6 не только участвует в активации сигнального пути IL-4 и регуляции иммунной системы, но также связан с пролиферацией клеток и апоптозом. Для СФО реакция с антителом STAT6 является идеальным диагностическим индикатором с чувствительностью и специфичностью 98–100% [6].
По данным ИГХ-исследования клетки ДМКО экспрессируют одновременно маркеры эпителиальной (кератин, эпителиальный мембранный антиген – EMA), мезенхимальной (виментин), миогенной (десмин) и нервной (нейроспецифичная енолаза – NSE, CD56) ткани. Антиген CD99, который очень чувствителен к саркоме Юинга/примитивной нейроэктодермальной опухоли, может быть также положительным и при ДМКО, но с окрашиванием цитоплазмы клеток [11]. Проведя генетическое исследование, выявили, что рецепторная транслокация t11,22 (p13, q12), приводящая к слиянию генов EWS-WT1, специфична для ДМКО [12].
Таким образом, диагноз первичных новообразований брюшины требует тщательной морфологической оценки.
С другой стороны, необходимо решать ряд задач по определению распространенности опухоли.
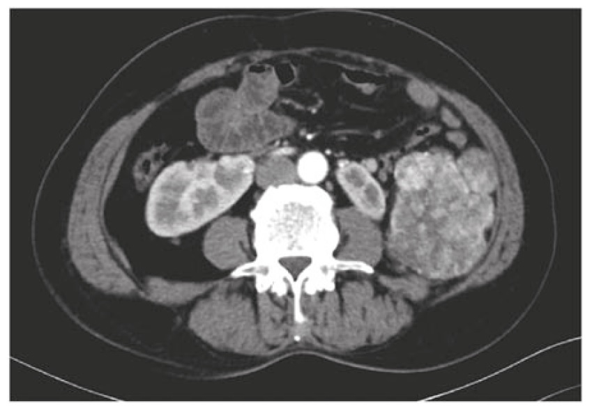
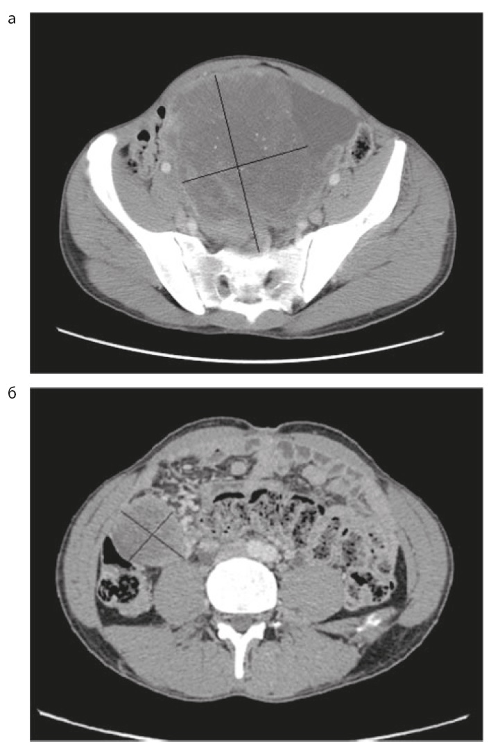
Лучевые и инструментальные методы диагностики, такие как компьютерная томография (КТ), магнитно-резонансная томография, лапароскопия, имеют решающее значение в определении степени распространенности опухоли, при этом необходимо учитывать биологические особенности опухоли (морфологический тип), которые влияют на характер ее роста. При СФО и ДМКО картина КТ характеризуется наличием изолированных узловых образований в любом отделе брюшной полости, которые также могут сопровождаться поражением большого сальника, наличием асцита, увеличением забрюшинных лимфоузлов, возможно отдаленное метастазирование в легкие и кости (рис. 1, 2) [13].
Рис. 1. Десмопластическая мелкокруглоклеточная опухоль [2].
Fig. 1. Desmoplastic small round cell tumor [2].
Рис. 2. Солитарная фиброзная опухоль [8].
Fig. 2. Desmoplastic small round cell tumor [8].
В целом находки при КТ неспецифичны, однако имеют важное значение при выборе тактики лечения и определения возможного объема операции.
Дифференциальная диагностика первичных новообразований брюшины проводится при комплексном анализе данных обследования, конечно, наибольшую роль играет морфологическое исследование.
Лечение
Десмопластическая мелкокруглоклеточная опухоль
Подходы к лечению ДМКО в настоящее время не стандартизованы и недостаточно хорошо изучены в силу редкости патологии. Лечение основано на мультимодальной терапии, включающей системную химиотерапию (ХТ), операцию и, возможно, лучевую терапию (ЛТ) [14]. Имелись сообщения о преимуществе трехкомпонентной схемы лечения, в результате которой частота объективных ответов составила 39%, а 3-летняя общая выживаемость достигла 50% [1, 14]. Однако остается до конца неясной роль циторедуктивных операций в прогнозе. Некоторые авторы отметили, что после оптимальной циторедуктивной операции медиана выживаемости составила 34 мес в сравнении с 14 мес при неоперабельных случаях [1]. Точно так же в другом исследовании сообщается о значительном влиянии хирургического вмешательства на общую выживаемость с 3-летней выживаемостью 58% по сравнению с 0% при невозможности операции [7]. Напротив, другие авторы пришли к выводу, что операция не оказывает существенного влияния на общую выживаемость [9, 15].
В настоящее время существует лишь несколько исследований, оценивающих роль ХТ в лечении ДМКО. Частота объективного ответа при использовании системной полихимиотерапии составляет примерно 40% [1, 14]. Свою эффективность продемонстрировали: циклофосфамид, ифосфамид, адриамицин, винкристин, этопозид и топотекан [14]. Kushner и соавт. сообщили о возможности достижения полной ремиссии в протоколе P6, который включает 7 курсов ХТ (курсы 1, 2, 3 и 6 состояли из HD-CAV, высокой дозы циклофосфамида 2100 мг/м2 в день в 1 и 2-й дни, доксорубицин 75 мг/м2 в день и винкристин 2,0 мг/м2 в день в 1, 2 и 3-й дни; курсы 4, 5 и 7 включали ифосфамид 1,8 г/м2 в день и этопозид 100 мг/м2 в день в течение 5 дней) [16]. Другие авторы подчеркивают эффективность ХТ на основе антрациклинов при диссеминированном процессе [17] или при использовании таргетной терапии ингибиторами тирозинкиназы при экспрессии антигена c-kit. В целом системная ХТ является стандартным компонентом лечения у таких пациентов, тем не менее рецидив заболевания, как правило, развивается в течение 6 мес [18].
В литературе имеется немного сведений о пользе ЛТ при ДМКО, в основном ее применение ограничено симптоматическими целями. Основными ограничивающими факторами использования этого метода являются сложность достижения эффективной дозы облучения в брюшной полости и относительная радиорезистентность опухоли [14, 19]. Сравнительно недавно появились сведения о комбинированном лечении ДМКО с использованием методики HIPEC. Несмотря на исследования, не подтвердившие эффективность такого подхода [15], H. Jordan в ретроспективном обзоре обнаружил: у пациентов в группе с HIPEC безрецидивная выживаемость выше в 2 раза (8,85 мес против 5,46 мес), но различие не было статистически значимым из-за небольшого числа пациентов [20], исследования продолжаются.
Солитарная фиброзная опухоль брюшины
Выбор тактики лечения СФО опирается на немногочисленные сведения из литературы, в основном посвященные описанию отдельных клинических наблюдений в силу редкости патологии.
Хирургическое лечение является методом выбора. По данным литературы, 10-летняя общая выживаемость при выполнении R0-резекций при СФО составляет от 54 до 89%, а медиана времени до прогрессирования – 117 мес (интервал 33–169 мес) [11]. Хотя вероятность рецидива и метастазирования для пациентов с СФО после радикальной операции мала, все равно необходимо тщательное долгосрочное динамическое наблюдение. В исследовании A. O’Neill проведен анализ результатов лечения 139 пациентов с морфологически подтвержденным диагнозом СФО, из них у 82 пациентов опухоль локализовалась экстраторакально. Отмечено, что после лечения у 35% пациентов (n=49) в последующем развились метастазы в среднем через 124 мес (интервал 66–195 мес), наряду с такими факторами прогноза, как митотический индекс и размер опухоли, чаще всего метастазирование происходило при экстраторакальной локализации (p=0,003).
Остается спорным вопрос о необходимости применения ЛТ в лечении СФО [11]. В ряде работ показано, что проведение послеоперационной ЛТ не способствовало достоверному увеличению общей выживаемости больных с СФО в сравнении с пациентами, получавшими только хирургическое лечение [12]. Однако для пациентов, которым невозможно выполнить радикальную операцию, ЛТ может быть эффективной. В работе S. Kawamura и соавт. сообщается об успешном использовании ЛТ в дозе 50 г у пациента с гигантской опухолью в малом тазу и метастазами в легкие, ранее получившего ХТ без значимого эффекта: через 12 мес после проведения ЛТ отмечено значительное уменьшение размеров первичной опухоли [13]. При этом в литературе встречаются описания случаев, где на фоне ЛТ при СФО наблюдалась опухолевая прогрессия [21]. Из-за незначительного числа крупных исследований ввиду редкой встречаемости опухоли в литературе нет убедительных данных о влиянии ЛТ на опухоль такого типа, однако ЛТ может быть применена у пациентов, которым изначально невозможно провести хирургическое лечение. Остается дискутабельным и вопрос применения лекарственной терапии в лечении этих пациентов. В настоящее время в литературе описаны случаи эффективности комбинаций темозоламида и бевацизумаба, сорафениба, сунитиниба и пазопаниба [13], а также ингибиторов рецепторов инсулиноподобного фактора роста IGF1R [22].
Заключение
Первичные опухоли брюшины представляют собой редкую группу новообразований, клиническая картина, диагностика и лечение которых недостаточно изучены. Как и для других опухолей, вопросы дифференциальной диагностики являются самими сложными [23–27]. Только современный и качественный морфологический диагноз позволяет своевременно выявить первичную опухоль брюшины и определить рациональную лечебную стратегию. Однако необходима аккумуляция клинического материала путем проведения многоцентровых исследований, что в последующем позволит выделить возможные факторы прогноза.
Конфликт интересов. Авторы заявляют об отсутствии конфликта интересов.
Conflict of interests. The authors declare that there is not conflict of interests.
Об авторах
Амир Гусейнович Абдуллаев
ФГБУ «Национальный медицинский исследовательский центр онкологии им. Н.Н. Блохина» Минздрава России
Автор, ответственный за переписку.
Email: amirdo@mail.ru
ORCID iD: 0000-0003-0104-9087
д-р мед. наук, вед. науч. сотр.
Россия, МоскваНиколай Александрович Козлов
ФГБУ «Национальный медицинский исследовательский центр онкологии им. Н.Н. Блохина» Минздрава России
Email: newbox13@mail.ru
ORCID iD: 0000-0003-3852-3969
канд. мед. наук
Россия, МоскваНиколай Константинович Шахпазян
ФГБУ «Национальный медицинский исследовательский центр онкологии им. Н.Н. Блохина» Минздрава России
Email: shahpazyan@mail.ru
канд. мед. наук, зав. биобанком
Россия, МоскваАнна Владимировна Цыганкова
ФГБУ «Национальный медицинский исследовательский центр онкологии им. Н.Н. Блохина» Минздрава России
Email: khalanskaya.anna@gmail.com
аспирант торакального отд-ния
Россия, МоскваСписок литературы
- WHO Classification of Tumors of female reproductive organs, 2014.
- Benhammane H, Chbani L, Ousadden A, et al. Desmoplastic small round cell tumor of the abdomen: A case report and literature review of therapeutic options. Health 2012; 4 (4): 207–11.
- Park MS, Araujo DM. New insights into the hemangiopericytoma/solitary fibrous tumor spectrum of tumors. Cur Opin Oncol 2009; 21 (4): 327–31. doi: 10.1097/CCO.0b013e32832c9532
- Kanthan R, Torkian B. Recurrent solitary fibrous tumor of the pleura with malignant transformation. Arch Pathol Lab Med 2004; 128 (4): 460–2. doi: 10.1043/1543-2165(2004)1282.0.CO;2
- De Panther Manzini V. Malignant peritoneal mesothelioma. Tumori 2005; 91: 1–5.
- Gerald WL, Rosai J. Case 2 desmoplastic small round cell with divergent differentiation. Ped Pathol 1989; 9: 177–83.
- Torres-Olivera FJ, Vargas MT, Torres Gomez FJ, et al. Cytogenetic, fluorescence in situ hybridization, and immunohistochemistry studies in a malignant pleural solitary fibrous tumor. Cancer Genet Cytogenet 2009; 189 (2): 122–6. doi: 10.1016/j.cancergencyto.2008.11.004
- Shujie Cheng A, Dong Li A, Yu Zhang A, et al. A rare case of retroperitoneal solitary fibrous tumors and literature review. Urol Case Rep 2020; 28.
- Hanau CA, Miettinen M. Solitary fibrous tumor: histological and immunohistochemical spectrum of benign and malignant variants presenting at different sites. Hum Pathol 1995; 26 (4): 440–9. PMID: 7705824.
- Benhammane H, Chbani L, Ousadden A, et al. Desmoplastic small round cell tumor of the abdomen: A case report and literature review of therapeutic options. Health 2012; 4 (4): 207–11.
- Ordonez NG. Desmoplastic small round cell tumor: A histopathologic study of 39 cases with emphasis on unusual histological patterns. Am J Surg Pathol 1998; 22: 1303–13.
- Stuart-Buttlea CE, Smarta CJ, Pritchardb S, et al. Desmoplastic small round cell tumour: A review of literature and treatment options. Surg Oncol 2008; 17: 107–12.
- Biswas G, Laskar S, Banavali SD, et al. Desmoplastic small round cell tumor: Extra abdominal and abdominal presentations and the results of treatment. Ind J Cancer 2005; 42: 78–84.
- Le DT, Deavers M, Hunt K, et al. Cisplatin and irinotecan (CPT-11) for peritoneal mesothelioma. Cancer Invest 2003; 21: 682–9.
- Yokoi T, Tsuzuki T, Yatabe Y, et al. Solitary fibrous tumor: significance of p53 and CD34 immunoreactivity in its malignant transformation. Histopathology 1998; 32 (5): 423–32. PMID: 9639117.
- Sugarbaker PH. Cytoreduction including total gastrectomy for pseudomyxoma peritonei. Brit J Surg 2002; 89: 208–12.
- DeVito N, Henderson E, Han G, et al. Clinical characteristics and outcomes for solitary fibrous tumor (SFT): a single center experience. PLoS One 2015; 10 (10): e0140362. doi: 10.1371/journal.pone.0140362
- Japanese Classification of Gastric Carcinoma. 2nd English Edition Gastric Cancer. Gastric Cancer 1998; 1: 10–24.
- Klemperer P, Rabin C. Primary neoplasms of the pleura. A report of five cases. Am J Ind Med 1992; 22 (1): 1–31. PMID: 1415270.
- Ballo MT, Zagars GK, Cormier JN, et al. Interval between surgery and radiotherapy: effect on local control of soft tissue sarcoma. Int J Radiat Oncol Biol Phys 2004; 58 (5): 1461–7. doi: 10.1016/j.ijrobp.2003.09.079
- Madhuvrata P, Jayachandran MC, Edmonds DK. Retroperitoneal solitary fibrous tumour arising from the pelvis in women – a case report and review of literature. J Obstet Gynaecol: J Institute of Obstetrics and Gynaecology 2005; 25 (2): 189–92.
- Pickhardt PJ, Fisher AJ, Balfe DM, et al. Desmoplastic small round cell tumor of the abdomen: Radiologichistopathologic correlation. Radiology 210: 633–8.
- Колядина И.В., Комов Д.В., Рощин Е.М., и др. Метастатическое поражение мягких тканей передней брюшной стенки (описание клинического случая). Современная онкология. 2009; 11 (1): 54–7 [Kolyadina IV, Komov DV, Roshchin EM, et al. Metastaticheskoe porazhenie miagkikh tkanei perednei briushnoi stenki (opisanie klinicheskogo sluchaia). Journal of Modern Oncology. 2009; 11 (1): 54–7 (in Russian)].
- Гордеева О.О., Жукова Л.Г., Колядина И.В., Ганьшина И.П. Оценка рецепторного статуса первичной опухоли молочной железы синхронных регионарных метастазов: их клиническая и прогностическая роль? Сиб. онкологический журн. 2019; 18 (2): 78–82 [Gordeeva OO, Zhukova LG, Kolyadina IV, Gan’shina IP. Otsenka retseptornogo statusa pervichnoi opukholi molochnoi zhelezy sinkhronnykh regionarnykh metastazov: ikh klinicheskaia i prognosticheskaia rol’? Sib. onkologicheskii zhurn. 2019; 18 (2): 78–82 (in Russian)].
- Колядина И.В., Абдуллаев А.Г., Танишина Н.Б., и др. Мультимодальный подход к дифференциальной диагностике метастатического поражения при раке молочной железы: описание клинического случая. Злокачественные опухоли. 2017; 7 (3): 31–6 [Kolyadina IV, Abdullaev AG, Tanishina NB, et al. Mul’timodal’nyi podkhod k differentsial’noi diagnostike metastaticheskogo porazheniia pri rake molochnoi zhelezy: opisanie klinicheskogo sluchaia. Zlokachestvennye opukholi. 2017; 7 (3): 31–6 (in Russian)].
- Комов Д.В., Колядина И.В., Поликарпова С.Б., и др. Сложности диагностики рака червеобразного отростка: клиническое наблюдение. Рос. онкологический журн. 2013; 2: 40–2 [Komov DV, Kolyadina IV, Polikarpova SB, et al. Slozhnosti diagnostiki raka cherveobraznogo otrostka: klinicheskoe nabliudenie. Rossiiskii onkologicheskii zhurnal. 2013; 2: 40–2 (in Russian)].
- Колядина И.В., Ганьшина И.П., Жукова Л.Г., и др. Метастатическое поражение мягких тканей ягодичной области при HER2+ раке молочной железы: описание клинического случая. Современная онкология. 2017; 19 (4): 36–8 [Kolyadina IV, Gan’shina IP, Zhukova LG, et al. Metastaticheskoe porazhenie miagkikh tkanei iagodichnoi oblasti pri HER2 rake molochnoi zhelezy: opisanie klinicheskogo sluchaia. Journal of Modern Oncology. 2017; 19 (4): 36–8 (in Russian)].





