Рак вульвы: метастазы в головной мозг. Клиническое наблюдение
- Авторы: Огнерубов Н.А.1,2, Антипова Т.С.3, Камнева Н.А.2
-
Учреждения:
- ФГБОУ ВО «Тамбовский государственный университет им. Г.Р. Державина»
- ГБУЗ «Тамбовский областной онкологический клинический диспансер»
- ООО «ПЭТ-Технолоджи»
- Выпуск: Том 22, № 4 (2020)
- Страницы: 130-133
- Раздел: КЛИНИЧЕСКАЯ ОНКОЛОГИЯ
- Статья получена: 17.02.2021
- Статья одобрена: 17.02.2021
- Статья опубликована: 17.02.2021
- URL: https://modernonco.orscience.ru/1815-1434/article/view/61193
- DOI: https://doi.org/10.26442/18151434.2020.4.200299
- ID: 61193
Цитировать
Полный текст
Аннотация
Введение. Метастатическое поражение головного мозга (ГМ) наблюдается практически при всех гинекологических злокачественных опухолях и, несмотря на современные лечебные опции, имеет плохой прогноз. При раке вульвы метастазы в ГМ являются крайне редким событием. В литературе сообщения по этому поводу носят единичный характер.
Цель. Представить клиническое наблюдение пациентки с раком вульвы с метастазом в ГМ.
Результаты. Пациентке С., 60 лет, по поводу рака вульвы стадии I р T1N0M0 в январе 2018 г. была выполнена вульвэктомия. При гистологическом исследовании – в подэпителиальных слоях участки крауроза с ростом плоскоклеточного ороговевающего рака. Учитывая распространенность опухолевого процесса, адъювантное лечение не проводилось. Через 2 года, в январе 2020 г., появились очаговая симптоматика в виде слабости в верхней и нижней конечностях слева, шаткая походка, общая слабость. При магнитно-резонансной томографии (МРТ) ГМ в затылочной доле паравентрикулярно с выраженным перифокальным отеком справа определяется кистозно-солидное образование с неровным контуром размером 29×33×65 мм без клинически значимого «масс-эффекта». Срединные структуры не смещены. Для уточнения степени распространенности опухолевого процесса выполнена позитронно-эмиссионная/компьютерная томография (ПЭТ/КТ). Данных о наличии активного специфического процесса на момент исследования не получено. Учитывая отсутствие других признаков проявления генерализации процесса, проведено тотальное облучение ГМ (разовая очаговая доза 3 Гр, суммарная очаговая доза 30 Гр) с последующим назначением Темодала. Осмотрена через 6 мес. Признаков прогрессирования нет.
Заключение. Метастазы в ГМ при раке вульвы встречаются крайне редко. Приведенный клинический случай интересен тем, что метастазы в ГМ были единственным проявлением прогрессирования опухолевого процесса при отсутствии поражения регионарных лимфатических узлов. Основным методом диагностики является МРТ ГМ. Применение ПЭТ/КТ позволяет уточнить распространенность опухолевого процесса. У больной метастазы появились спустя 36 мес от даты постановки диагноза. Лучевая терапия является методом выбора лечения метастазов в ГМ.
Ключевые слова
Полный текст
Рак вульвы является редким заболеванием, в основном у постменопаузальных женщин в седьмом десятилетии. В структуре заболеваемости рак вульвы составляет 3–5% среди злокачественных опухолей женских половых путей. За последние 15 лет заболеваемость увеличилась почти вдвое, а средний возраст больных уменьшился [1]. При этом на долю плоскоклеточного рака приходится около 90% [2]. Рак вульвы распространяется главным образом путем перехода на соседние анатомические образования лимфогенно и гематогенно. При этом метастазы в лимфатические узлы (л/у) являются основным путем. Гематогенное метастазирование происходит на поздних стадиях и встречается редко, у 8–12% пациенток, при отсутствии метастазов в регионарных л/у. Чаще всего отдаленные метастазы наблюдаются в легких, печени, костях и л/у [3, 4]. Поражение головного мозга (ГМ) при раке вульвы является крайне редким явлением. В литературе опубликовано лишь несколько сообщений [2, 3, 5–10].
Мы наблюдали случай метастазирования в ГМ при раке вульвы I стадии через 36 мес после хирургического лечения.
Клиническое наблюдение
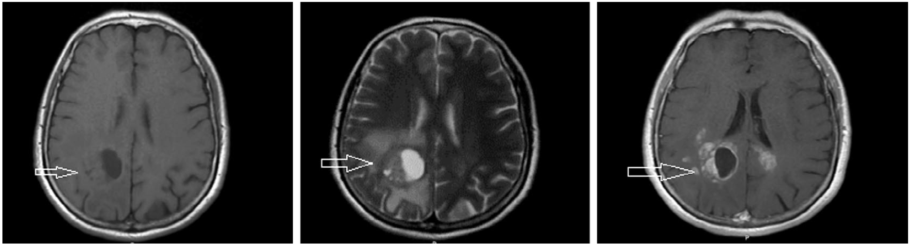
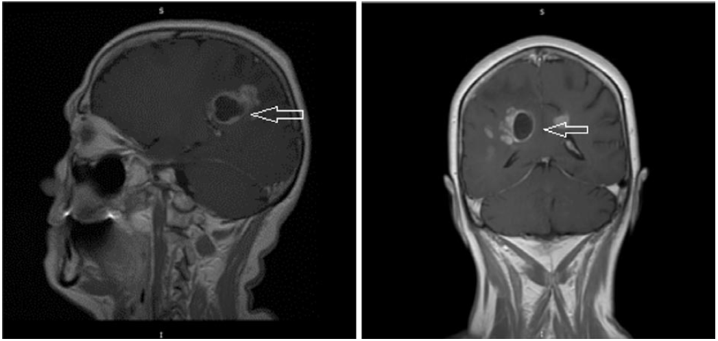
Больная С., 60 лет, считает себя больной на протяжении 3 мес, когда заметила опухолевидное образование в области малой половой губы с изъязвлением. В менопаузе 16 лет. Обратилась за медицинской помощью в онкодиспансер. При цитологическом исследовании отпечатка с опухоли – плоскоклеточный ороговевающий рак. По данным спиральной компьютерной томографии (КТ) органов грудной полости и магнитно-резонансной томографии (МРТ) брюшной полости и малого таза признаков очаговой патологии не выявлено. В январе 2018 г. выполнено оперативное вмешательство в объеме вульвэктомии. При гистологическом исследовании – в подэпителиальных слоях участки крауроза с ростом плоскоклеточного ороговевающего рака. В январе 2020 г. появились слабость в левой верхней и нижней конечности, шаткость при ходьбе, общая слабость. По поводу этого она обратилась к неврологу по месту жительства. При МРТ ГМ с контрастным усилением от 04.02.2020 – в затылочной доле справа, паравентрикулярно, с выраженным перифокальным отеком, определяется кистозно-солидное образование с неровным контуром размером 29×33×65 мм без клинически значимого «масс-эффекта». Срединные структуры не смещены (рис. 1, 2).
Рис. 1. Больная С., 60 лет. На серии аксиальных T1, T2-взвешенных и постконтрастных томограмм ГМ в затылочной доле паравентрикулярно, с выраженным перифокальным отеком, справа определяется кистозно-солидное образование с неровным контуром размером 29×33×65 мм, без клинически значимого «масс-эффекта».
Fig. 1. Patient S., 60 years old. On the series of axial T1 images, T2-weighted postcontrast tomograms images of the brain in the occipital lobe paraventricular, with intensive perifocal edema, to the right is defined cystic-solid formation with rough edges which size is 29×33×65 mm, without clinically significant mass-effect.
Рис. 2. Больная С., 60 лет. На сагиттальной и корональной постконтрастных магнитно-резонансных томограммах ГМ в затылочной доле паравентрикулярно справа определяется кистозно-солидное образование размером 29×33×65 мм с неровным контуром и выраженным перифокальным отеком, без клинически значимого «масс-эффекта».
Fig. 2. Patient S., 60 years old. On sagittal and coronal postcontrast magnetic resonance imaging of the brain in the occipital lobe, paraventricular, to the right is determined cystic-solid formation size 29×33×65 mm with rough edges and with intensive perifocal edema, without clinically significant mass-effect.
По данным позитронно-эмиссионной томографии (ПЭТ)/КТ в послеоперационной области – без очаговой фиксации радиофармпрепарата. Дополнительные образования в области таза не визуализируются. Паховые и тазовые л/у не увеличены. Очагов патологического метаболизма фтордезоксиглюкозы не выявлено.
Диагностировано солитарное поражение ГМ при отсутствии других проявлений болезни. От предложенного оперативного вмешательства пациентка отказалась.
Проведено тотальное облучение ГМ, разовая очаговая доза 3 Гр, суммарная очаговая доза (СОД) 30 Гр с последующим назначением Темодала.
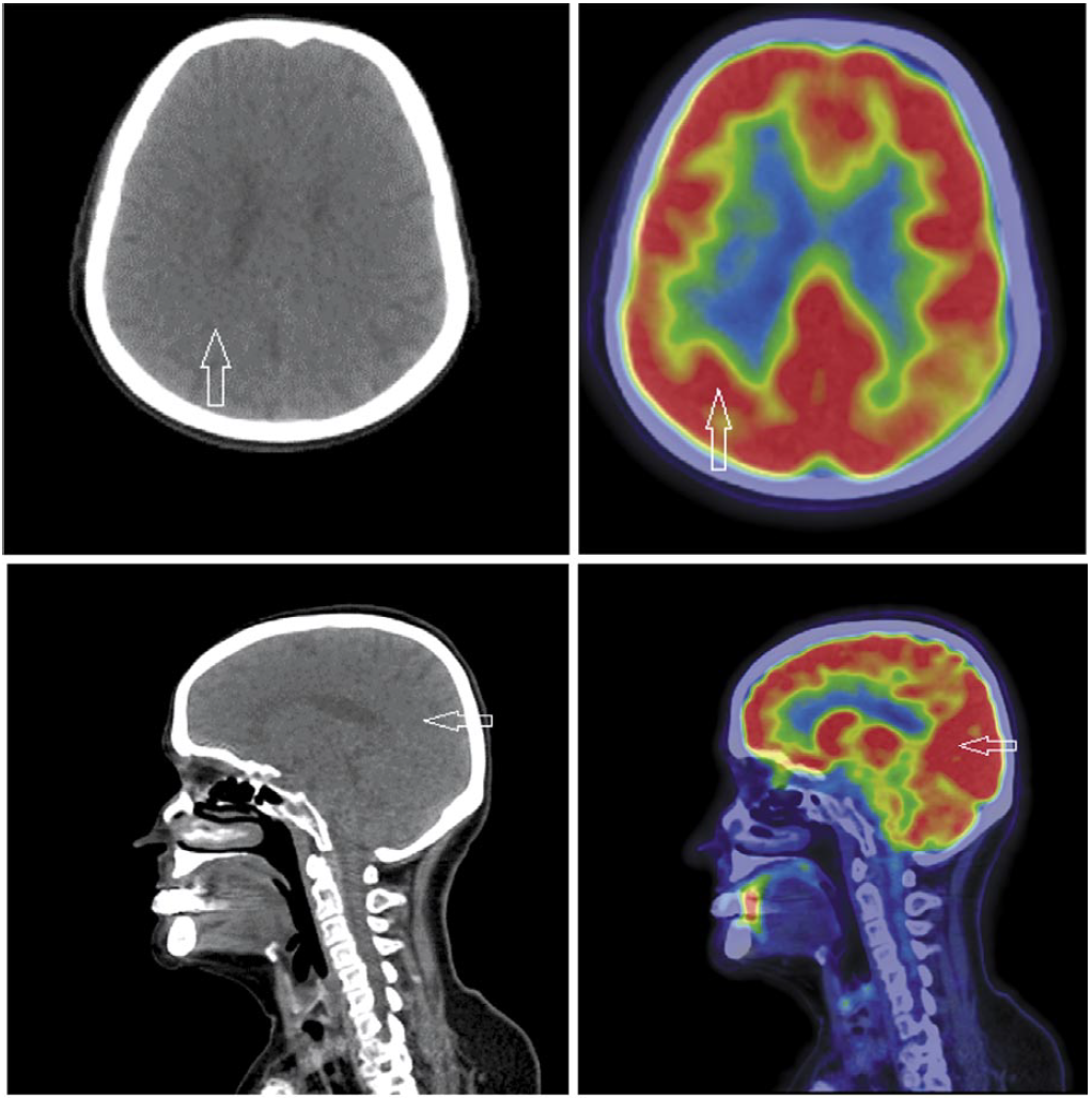
Через 5 мес выполнена ПЭТ/КТ с использованием 18-фтордезоксиглюкозы. Достоверных данных о наличии активного специфического процесса не выявлено (рис. 3).
Рис. 3. Больная С., 62 года. На аксиальных и сагиттальных ПЭТ/КТ проекциях очагов патологической фиксации радиофармпрепарата на фоне физиологического метаболизма не выявлено.
Fig. 3. Patient S., 62 years old. On axial and sagittal PET/CT projections, the parts of pathological fixation of radiopharmaceuticals against the background of physiological metabolism have not been revealed.
Приведенный случай свидетельствует о редком метастазировании рака вульвы в ГМ при отсутствии других признаков прогрессирования заболевания. Проведенная лучевая терапия (ЛТ) в режиме тотального облучения ГМ СОД 30 Гр позволила достичь полной регрессии опухоли. При проведении дифференциальной диагностики солитарного поражения ГМ необходимо помнить о возможности метастазирования рака вульвы.
Обсуждение
Отдаленные метастазы при раке вульвы являются редким событием. В связи с этим данные литературы об особенностях метастазирования рака вульвы, способах лечения и прогнозе в доступной литературе весьма скудные.
Наиболее полные сведения по эпидемиологии, особенностям диагностики, лечению и прогнозе представлены в работе K. Prieske и соавт. (2016 г.) по результатам лечения 391 пациентки в Гинекологическом онкологическом центре Гамбурга за 1996–2013 гг. По их данным, у 5,1% больных с первичным плоскоклеточным раком вульвы были выявлены различные отдаленные метастазы. Чаще всего наблюдались метастазы в легкие, печень, кости, кожу и л/у [4].
В других исследованиях частота отдаленного метастазирования колебалась в пределах 2–12% [2–4, 11–13]. Прогноз у таких больных может быть весьма печальным, 2-летняя общая выживаемость составила 11,3%, с медианой 5,6 мес. У большинства пациентов отдаленные метастазы наблюдаются довольно рано – от 9 до 18 мес после первичной диагностики.
Авторы считают, что из-за небольшой частоты отдаленного метастазирования дать рекомендации по ранней диагностике, равно как и по диспансерному наблюдению, весьма затруднительно. Как правило, у больных развивается местный рецидив. В связи с этим авторы считают, что в таких случаях необходим тщательный интенсивный мониторинг с использованием современных методов медицинской визуализации.
Важно, что 30,8% больных с отдаленными метастазами при наличии 2 и более метастазов в л/у изначально не получали адъювантную терапию – химиотерапию (ХТ) и/или лучевое лечение [4].
С целью оценки роли адъювантной ХТ и ЛТ при позитивных л/у при эпителиальном раке вульвы было проведено ретроспективное многоцентровое когортное исследование AGO-CaRE-1 у 1618 пациенток, получавших лечение с 1998 по 2013 г. в 29 гинекологических онкологических центров Германии. В работе было показано, что при позитивных л/у проведение адъювантной ЛТ значительно улучшает отдаленные результаты, 3-летняя безрецидивная и общая выживаемость при этом составила 40 и 58% по сравнению с 26 и 51% при ее отсутствии [14].
Метастазы в ГМ могут возникать при всех гинекологических опухолях и имеют плохой прогноз. При раке вульвы они носят единичный характер.
Так, J. Puente Vazguez и соавт. (2007 г.) наблюдали 74-летнюю пациентку с местно-распространенным раком вульвы. Проводились многокомпонентная полихимиотерапия (ПХТ) и лучевое лечение опухоли вульвы, а также паховых и тазовых л/у. Впоследствии у нее появились множественные метастазы в ГМ и его оболочки. Авторы считают, что их публикация является первой, связанной с этой локализацией. Они предположили, что поражение центральной нервной системы при гинекологических злокачественных опухолях за последние десятилетия обусловлено успехами в лечении этих опухолей, сопровождающихся увеличением продолжительности жизни [7].
G. Huang и соавт. (2002 г.) сообщили о больной с распространенной аденокарциномой вульвы с метастазами в паховые л/у, ГМ, легкие, печень, кости и подкожно-жировую клетчатку. Пациентка получала ХТ Доксилом с полной регрессией опухолевых проявлений. Жива на протяжении 5 лет [9].
Polat Dursun и соавт. (2009 г.) описывают случай местно-распространенного рака вульвы. Вначале пациентка получала ХТ и ЛТ на опухоль вульвы, паховые и л/у таза. В последующем ей было выполнено хирургическое вмешательство в объеме вульвэктомии и пахово-бедренной лимфаденэктомии. Через 25 дней появилась мозговая очаговая симптоматика. При МРТ ГМ выявлены множественные метастазы в мозжечок. Больная погибла [2].
A. Jaeger и соавт. (2019 г.) описывают метастазы в печень у 51-летней пациентки при плоскоклеточном раке вульвы. Изначально лечение включало широкое иссечение первичной опухоли и пахово-бедренную лимфаденэтомию с последующим стереотаксическим облучением метастазов в печени. Через 3 года у нее развились метастазы в легкие и ГМ [13].
В доступной литературе мы обнаружили 7 сообщений о метастатическом поражении головного мозга (см. таблицу).
Литературные данные по метастатическому поражению ГМ при раке вульвы Literary data concerning brain metastases in patients with vulvar cancer | |||
Авторы | Возраст, лет | Локализация метастазов | Лечение |
A. Jaeger и соавт., 2019 [13] | 51 | ГМ, легкие, печень | Оперативное лечение, ЛТ, ХТ |
Esra Çabuk Cömert и соавт., 2012 [3] | – | ГМ | Оперативное лечение, ЛТ, ПХТ |
J. Puente Vázquez и соавт., 2007 [7] | 74 | ГМ, оболочки ГМ | ПХТ, ЛТ |
M. Hatiboglu и соавт., 2005 [8] | 59 | ГМ | ЛТ, оперативное лечение |
G. Huang и соавт., 2002 [9] | 65 | ГМ, легкие, печень, подкожно-жировая клетчатка | ХТ, ЛТ, оперативное лечение |
R. Ramanah и соавт., 2013 [10] | 48 | ГМ | ЛТ |
Polat Dursun и соавт., 2008 [2] | 56 | ГМ | ПХТ, ЛТ, оперативное лечение |
Отдаленные метастазы при раке вульвы наблюдаются довольно рано – через 9–18 мес после первичной диагностики [4]. У представленной пациентки метастазы в ГМ были диагностированы через 36 мес.
У большинства пациентов метастатическое поражение ГМ осуществляется с помощью магнитно-резонансной терапии [3, 9, 10].
На сегодняшний день для лечения метастатического рака вульвы не существует единых стандартов. Целью лечения при этом являются контроль неврологических симптомов и улучшение качества жизни. Для достижения этой цели применяется, как правило, мультидисциплинарный подход к лечению.
Одиночные метастазы в ГМ подлежат хирургическому удалению, что улучшает общую выживаемость. Однако показания к нему ограничены из-за распространенности опухолевого процесса [3]. В случае множественных или неоперабельных метастазов в ГМ рекомендуется ЛТ всего мозга [10].
ЛТ является методом выбора при метастазах рака вульвы в ГМ. Основным методом лечения метастатического поражения ГМ является ЛТ. Существуют различные протоколы ЛТ – стереотаксическая радиохирургия, кибер-нож и дистанционная ЛТ. Клинический эффект, включая полную регрессию, можно получить при тотальном облучении ГМ в СОД 30 Гр [8]. Выбор метода лечения носит персонализированный характер и зависит от возраста, статуса ECOG и наличия других экстракраниальных метастазов [15].
У нашей пациентки получена полная регрессия опухоли после тотального облучения ГМ СОД 30 Гр. Признаков возврата заболевания через 6 мес не выявлено.
Определенный эффект достигается при применении ПХТ с включением в схему доксорубицина, препаратов платины и таксанов [9].
Заключение
Метастазы в ГМ при раке вульвы встречаются крайне редко. Приведенный клинический случай интересен тем, что метастазы в ГМ были единственным проявлением прогрессирования опухолевого процесса при отсутствии поражения регионарных л/у. Основным методом диагностики является МРТ ГМ. Применение ПЭТ/КТ позволяет уточнить распространенность опухолевого процесса. У больной метастазы появились спустя 36 мес после хирургического лечения. ЛТ является методом выбора при лечении метастазов рака вульвы в ГМ.
Н.А. Огнерубов – дизайн, написание, научное редактирование статьи; Т.С. Антипова – проведение ПЭТ/КТ-исследования, иллюстрации; Н.А. Камнева – проведение ЛТ.
Конфликт интересов. Авторы заявляют об отсутствии конфликта интересов.
Conflict of interests. The authors declare no conflict of interests.
Об авторах
Николай Алексеевич Огнерубов
ФГБОУ ВО «Тамбовский государственный университет им. Г.Р. Державина»; ГБУЗ «Тамбовский областной онкологический клинический диспансер»
Автор, ответственный за переписку.
Email: ognerubov_n.a@mail.ru
ORCID iD: 0000-0003-4045-1247
SPIN-код: 3576-3592
д-р мед. наук, канд. юр. наук, проф., зав. каф. онкологии
Россия, ТамбовТатьяна Сергеевна Антипова
ООО «ПЭТ-Технолоджи»
Email: antipovats@gmail.com
ORCID iD: 0000-0003-4165-8397
врач Центра ядерной медицины
Россия, ТамбовНаталья Анатольевна Камнева
ГБУЗ «Тамбовский областной онкологический клинический диспансер»
Email: antipovats@gmail.com
ORCID iD: 0000-0003-3251-0315
зав. радиотерапевтическим отд-нием
Россия, ТамбовСписок литературы
- Schuurman MS et al. Trends in incidence and survival of Dutch women with vulvar squamous cell carcinoma. Eur J Cancer 2013; 49 (18): 3872–80. doi: 10.1016/j.ejca.2013.08.003
- Polat Dursun, Ali Ayhan N, Cagla Tarhan et al. Cerebellar metastasis in squamous cell vulvar carcinoma. Gynecol Obstet 2009; 279: 69–71. doi: 10.1007/s00404-008-0635-2
- Esra Çabuk Cömert, Nefise Çagla Tarhan, Polat Dursun. Outcomes in 12 gynecologic cancer patients with brain metastasis: A single center’s experience. Turkish J Med Sci 2012. https://www.researchgate.net/publication/265185652
- Prieske K, Haeringer N, Grimma D et al. Patterns of distant metastases in vulvar cancer. Gyn Oncol 2016; 142: 427–34. http://dx.doi.org/10.1016/j.ygyno.2016.07.009
- Novak’s textbook of gynecology. 13th edn. Lippincott, Williams & Wilkins, Pennsylvania, 2002; pp. 1321–52.
- Coulter J, Gleeson N. Local and regional recurrence of vulval cancer: management dilemmas. Best Pract Res Clin Obstet Gynaecol 2003; 17 (4): 663–81. doi: 10.1016/s1521-6934(03)00050-6
- Vázquez JP, Cobo SL, Antón FM et al. Brain metastasis and carcinomatous meningitis from vulvar squamous cell carcinoma: case report. Eur J Gynaecol Oncol 2007; 28 (2): 152–4. PMID: 17479684
- Hatiboglu MA, Cosar M, Iplikcioglu AC, Ozcan D. Brain metastasis from an adenoid cystic carcinoma of the Bartholin gland. Case Rep J Neurosurg 2005; 102 (3): 543–6.
- Huang GS, Juretzka M, Ciaravino G et al. Liposomal doxorubicin for treatment of metastatic chemorefractory vulvar adenocarcinoma. Gynecol Oncol 2002; 87 (3): 313–8. doi: 10.1006/gyno.2002.6830
- Ramanah R, Allam-Ndoul E, Baeza C, Riethmuller D. Brain and lung metastasis of Bartholin’s gland adenoid cystic carcinoma: a case report. J Med Case Rep 2013; 7: 208. doi: 10.1186/1752-1947-7-208
- Witteveen PO, van der Velden J, Vergote I et al. Phase II study on paclitaxel in patients with recurrent,metastatic or locally advanced vulvar cancer not amenable to surgery or radiotherapy: a study of the EORTC-GCG (European Organisation for Research and Treatment of Cancer – Gynaecological cancer group). Ann Oncol 2009; 20: 1511–6. DOI: https://doi.org/10.1093/annonc/mdp043
- Maggino T, Landoni F, Sartori E et al. Patterns of recurrence in patientswith squamous cell carcinoma of the vulva. Amulticenter CTF study. Cancer 2000; 89: 116–22. doi: 10.1002/1097-0142(20000701)89:1<116::aid-cncr16>3.0.co;2-4
- Jaeger A, Biermann M, Prieske K et al. Cerebral metastasis in recurrent squamous cell carcinoma of the vulva: case report and review of the literature. Arch Gyn Obstet. https://doi.org/10.1007/s00404-019-05403-6
- Mahner S, Jueckstock J, Hilpert F et al., investigators AG-C, Adjuvant therapy in lymph node-positive vulvar cancer: the AGO-CaRE-1 study. J Natl Cancer Inst 2015; 107.
- Tangjitgamol S, Levenback CF, Beller U, Kavanagh JJ. Role of surgical resection for lung, liver, and central nervous system metastases in patients with gynecological cancer: a literature review. Int J Gynecol Cancer 2004; 14: 399–422. doi: 10.1111/j.1048-891x.2004.14326.x
Дополнительные файлы






