Squamous cell breast cancer: description of a rare clinical case
- Authors: Zikiryakhodjaev A.D.1, Khakimova S.G.1,2, Rasskazova E.A.1, Saribekian E.K.1, Omarova D.F.3, Surkova V.S.1, Khakimova G.G.2,4
 - 
							Affiliations: 
							
- Herzen Moscow Oncology Research Institute – branch of the National Medical Research Radiological Center
 - Tashkent Pediatric Medical Institute
 - Sechenov First Moscow State Medical University (Sechenov University)
 - Tashkent City branch of the Republican Specialized Scientific and Practical Medical Center of Oncology and Radiology
 
 - Issue: Vol 22, No 4 (2020)
 - Pages: 134-138
 - Section: CLINICAL ONCOLOGY
 - Submitted: 17.02.2021
 - Accepted: 17.02.2021
 - Published: 17.02.2021
 - URL: https://modernonco.orscience.ru/1815-1434/article/view/61198
 - DOI: https://doi.org/10.26442/18151434.2020.4.200496
 - ID: 61198
 
Cite item
Full Text
Abstract
Squamous cell carcinoma of the breast is a rare, aggressive tumor with a poor prognosis. To date, due to the low incidence of morbidity, there is no single concept in the complex treatment of this pathology. The article describes the case of a 49-year-old patient after surgical treatment of squamous cell carcinoma of the left breast from 2019 on the anamnesis. A year later after the progression of the disease the patient underwent removal of a chest wall tumor with resection of III–V ribs, allo- and autoplasty, axillary lymphadenectomy on the left. In most cases, the treatment of squamous cell carcinoma of the breast is surgery, but the role of adjuvant chemotherapy, radiation therapy and endocrinotherapy are still unambiguous.
Full Text
Плоскоклеточный рак кожи молочной железы (МЖ) является редким злокачественным новообразованием, на которое приходится менее 0,1% инвазивного рака МЖ (РМЖ) [1]. Этот тип опухоли теоретически развивается из плоскоклеточной метаплазии в клетках протоковой карциномы [2, 3]. Диагноз устанавливается, когда 90% злокачественных клеток имеют плоскоклеточный тип [4]. Такие опухоли характеризуются агрессивным течением, гормон-негативным иммуногистохимическим типом, рефрактерностью к химио- и лучевой терапии и неблагоприятным прогнозом. После первого описательного случая плоскоклеточного рака кожи МЖ, опубликованного в 1908 г., на сегодняшний день ряд клинических наблюдений подтверждает, что лечение данной патологии не стандартизировано.
Клинический случай
Пациентка М., 49 лет, поступила в МНИОИ им. П.А. Герцена – филиал ФГБУ «НМИЦ радиологии» с диагнозом: рак кожи передней грудной стенки слева III стадии pT3N0M0. Состояние после хирургического лечения от 26.11.2019. Рецидив опухоли rT3N1M0.
Из анамнеза: в 2000 г. пациентке выполнена аугментационная маммопластика обеих МЖ с использованием силиконовых эндопротезов с текстурированным покрытием V=300 ml, расположенных субмускулярно. В июле 2017 г. по поводу разрыва капсулы имплантата справа и наличия свободной жидкости в области капсулы левого имплантата выполнено реэндопротезирование МЖ. При осмотре в марте 2019 г. по латеральному контуру левой МЖ обнаружено плотное ограниченно подвижное относительно подлежащей мышцы образование диаметром до 40 мм. Пациентке выполнена магнитно-резонансная томография МЖ: слева по наружному контуру образование с множественными перегородками, не накапливающее контрастный препарат, размерами 4,0×2,5 см. BI-RADS V, признаки повреждения эндопротеза. 27.09.2019 в частной клинике выполнено хирургическое лечение в объеме секторальной резекции левой МЖ. При морфологическом исследовании диагностирован высокодифференцированный плоскоклеточный рак с инфильтрацией всей толщи дермы, врастанием в скелетные мышцы. Пациентка самостоятельно обратилась в МНИОИ им. П.А. Герцена, где 26.11.2019 выполнены широкое иссечение послеоперационного рубца передней грудной стенки слева, удаление имплантатов обеих МЖ, биопсия сторожевого лимфатического узла левой подмышечной области. При морфологическом исследовании (№61743-55): в капсуле эндопротеза рост высокодифференцированного плоскоклеточного рака с выходом в клетчатку с инвазией мышц. По линии резекции без опухолевого роста. Реактивные изменения лимфатического узла (рис. 1).
Рис. 1. Макроскопический вид капсулы эндопротеза с разрастанием по внутренней поверхности опухолевой ткани.
Fig. 1. Macroscopic view of endoprosthesis capsule with the growth of the tumor on the inner surface.
Микроскопическое исследование капсулы эндопротеза показало наличие инвазивного роста высокодифференцированного плоскоклеточного рака. В фиброзной капсуле также отмечалась выраженная лимфоидная инфильтрация с примесью сегментоядерных лейкоцитов.
Решением консилиума пациентке рекомендовано проведение лучевой терапии на область передней грудной стенки слева. Однако в послеоперационном периоде у больной отмечена длительная лимфорея, в связи с чем лучевая терапия не проведена. В январе 2020 г. на фоне неоднократных пункций лимфоцеле в мягких тканях грудной стенки слева сформировалось плотное образование, трактуемое по данным ультразвукового исследования (УЗИ) как фиброз.
По данным комбинированной позитронно-эмиссионной и рентгеновской компьютерной томографии (ПЭТ-КТ) от 14.02.2020 слева под МЖ и грудной мышцей определяется структура жидкостной плотности с плотной капсулой с SUV 4.19 и в левой аксиллярной области – лимфатический узел до 20 мм с гиперфиксацией радиофармпрепарата. По капсуле вышеописанной структуры картина патологической активности от передних отрезков IV–V ребер слева (рис. 2).
Рис. 2. ПЭТ/КТ-проекции: а – аксиальная; б – сагиттальная. Определяется повышенная метаболическая активность F18-ФДГ в мягких тканях грудной стенки слева и в передних отрезках IV–V ребер слева.
Fig. 2. PET/CT projection: a – axial; b – sagittal. The increased metabolic activity with 18F-FDG is showed in the soft tissues of the left chest wall and in the anterior segments of IV–V ribs on the left.
При УЗИ мягких тканей грудной стенки слева в марте 2020 г. выявлен солидный компонент в ранее не определяемой кистозной полости размером 70×70×20 мм. Выполнена пункция данного образования: цитологическая картина плоскоклеточного рака.
Тактика лечения больной обсуждена на консилиуме с участием торакальных хирургов. Принимая во внимание локализацию и распространенность опухолевого процесса, решено выполнить циторедуктивное хирургическое лечение в объеме резекции передней грудной стенки слева с боковыми отрезками III–V ребер с поликомпозитной пластикой дефекта, подмышечной лимфаденэктомией (ЛАЭ) слева.
08.04.2020 выполнена резекция передней грудной стенки слева с алло- и аутопластикой, подмышечная ЛАЭ слева.
Ход операции
В положении больной на спине согласно предварительной разметке (рис. 3) дугообразным разрезом по субмаммарной складке с продолжением в подмышечную область рассечена кожа, подкожная жировая клетчатка передней грудной стенки слева (рис. 4, а). МЖ отсепарована от подлежащих тканей (рис. 4, б), составляющих плотный конгломерат без четких контуров. Выделены край большой грудной мышцы, подмышечная вена, прослежен ход подлопаточных, торакодорзальных сосудов (рис. 5, а). Выполнена подмышечная ЛАЭ с сохранением сосудистой ножки широчайшей мышцы спины (ШМС). В положении больной на правом боку в проекции ШМС слева от задней подмышечной до паравертебральной линии двумя полуовальными разрезами длиной ~10 см рассечены кожа, подкожная клетчатка. Выделен кожно-подкожно-жировой лоскут на ШМС, лоскут мобилизирован для укрытия дефекта передней грудной стенки слева (рис. 5, б). Следующим этапом выполнена блоковая резекция грудной стенки с фрагментами III–V ребер. Учитывая распространенность процесса (интимное прилегание опухолевого конгломерата к участку IV сегмента левого легкого), выполнили атипичную резекцию верхней доли левого легкого (рис. 6). Удаленный препарат представлен на рис. 7. В последующем выполнена многокомпонентная пластика дефекта передней грудной стенки: с целью восстановления герметичности плевральной полости произведено укрытие двумя биоимплантатами Permacol размерами 10×15 см с подшиванием к краям дефекта; реберный каркас восстановлен путем имплантации протезов Codubix Ribs (рис. 8, а). Торакодорзальный лоскут деэпидермизирован и перемещен через подкожный тоннель в область дефекта передней грудной стенки, фиксирован к подлежащим тканям узловыми швами (рис. 8, б). МЖ фиксирована поверх лоскута в исходном положении. Рана послойно ушита. Вид пациентки на операционном столе представлен на рис. 8, в.
Рис. 3. Предоперационная разметка больной.
Fig. 3. Preoperative marking of the patient.
Рис. 4: а – разрез; б – отсепарована и приподнята кверху МЖ.
Fig. 4: a – incision; b – the skin of the breast is undermined and elevated.
Рис. 5: а – выделены торакодорзальные сосуды; б – лоскут ШМС с кожной площадкой.
Fig. 5: a – the thoracodorsal vessels are showed; b – the latissimus muscle flap with cutaneous fat pad.
Рис. 6: а – удаляемый препарат интимно прилежит к верхней доле легкого; б, в – вид после блоковой резекции ребер и атипичной резекции легкого.
Fig. 6: a – the removed mass intimately rests on the upper lobe of the lung; b, c – the view after en bloc resection of the ribs and atypical resection of the lung.
Рис. 7: а – фрагмент передней грудной стенки слева с участками III–V ребер; б – разрастание опухолевой ткани в мягких тканях передней грудной стенки.
Fig. 7: a – the part of the left anterior chest wall with the sections of III–V ribs; b – the growth of tumor in the soft tissues of the anterior chest wall.
Рис. 8: а – имплантированы искусственные ребра Codubix Ribs; б – рана укрыта торакодорзальным лоскутом; в – вид больной на операционном столе.
Fig. 8: a – The Codubix Ribs are implanted; b – the wound is covered with a thoracodorsal flap; c – the view of the patient on the operating table.
При макроскопическом исследовании препарата на разрезе в толще подкожно-жировой клетчатки и скелетных мышц определяется полость, заполненная крошащимися опухолевидными желто-серыми массами и мутной гноевидной жидкостью, опухоль врастает во фрагменты ребер с их разрушением и крайне близко подрастает к листку париетальной плевры. Отдельно удален фрагмент легкого, макроскопически без патологических изменений (см. рис. 7).
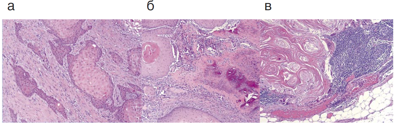
При микроскопическом исследовании описанная полость представлена разрастанием высокодифференцированного плоскоклеточного рака с очагами некроза (рис. 9, а), инвазией межреберных мышц, инфильтрацией компактного и губчатого вещества костной и хрящевой частей ребер (рис. 9, б), канцеризацией париетальной плевры. В 1-м из 14 исследованных лимфатических узлов – метастаз плоскоклеточного рака, с субтотальным замещением лимфоидной ткани опухолевой, инвазией капсулы лимфоузла, без экстракапсулярного распространения (рис. 9, в).
Рис. 9: а – высокодифференцированный плоскоклеточный рак; б – высокодифференцированный плоскоклеточный рак с врастанием и разрушением костной ткани; в – метастаз высокодифференцированного плоскоклеточного рака в лимфатический узел.
Fig. 9: a – well differentiated squamous cell carcinoma; b – well differentiated squamous cell carcinoma with ingrowth and destruction of bone tissue; c – lymph node metastasis of well differentiated squamous cell carcinoma.
Послеоперационный период протекал без особенностей. Пациентка активизирована на 4-е сутки после операции. На 9-е сутки выписана под наблюдение онколога и хирурга по месту жительства. По данным планового морфологического исследования удаленного препарата в ткани МЖ, крае резекции скелетных мышц, жировой клетчатке опухолевого роста нет. В 1-м из 14 исследованных лимфатических узлов – метастаз плоскоклеточного рака. Опухоль стадирована как pT3N1M0. Данных за рецидив и наличие метастазов не выявлено (период наблюдения – 9 мес). Пациентка находится под динамическим наблюдением.
Обсуждение
Плоскоклеточный рак кожи МЖ является редким и агрессивным злокачественным новообразованием. Существуют данные, что он происходит из плоскоклеточной метаплазии клеток долькового рака или эпителия протоков МЖ [2, 3, 5]. По сравнению с плоскоклеточным раком кожи МЖ чаще всего плоскоклеточный рак легких, желудка, кожи метастазирует в МЖ [2, 6]. В зависимости от менструальной функции плоскоклеточный рак кожи МЖ обычно встречается у женщин в постменопаузе [7, 8], в то же время сообщают о случаях и у молодых женщин [7, 9]. Размер опухоли плоскоклеточного рака кожи МЖ достигает 8 см, что, соответственно, больше диаметра аденокарциномы МЖ [7, 9, 10]. Известно, что для диагностики плоскоклеточного рака кожи МЖ не существует специфических характеристик УЗИ и маммографии, и диагноз подтверждают исключительно морфологически. Образцы ткани показали рост высокодифференцированного плоскоклеточного рака. Опухоль отрицательна по отношению к рецептору эстрогена и прогестерона, без экспрессии HER2/neu. Иммуногистохимическим маркером в дифференциальной диагностике плоскоклеточного рака является маркер CK5/6.
У 70% пациентов с данным диагнозом поражение подмышечных лимфатических узлов отсутствует [3]. Клинические проявления данной формы неспецифичны и сходны с признаками протокового рака. Макроскопически плоскоклеточный рак представлен опухолевым узлом диаметром 1–10 см, часто содержащим кистозные полости, обусловливающие размеры опухоли. В этом случае при пункции получают жидкость бурого или желтоватого цвета. Он редко метастазирует в лимфатические узлы даже при крупных размерах первичного узла. Под микроскопом, как правило, это ороговевающий плоскоклеточный рак различной степени дифференцировки, иногда с очагами анапластического веретеноклеточного компонента.
Кроме того, для подтверждения диагноза плоскоклеточного рака кожи МЖ опухоль должна соответствовать следующим критериям:
- отсутствие других новообразований, кроме плоскоклеточного рака;
 - исключение другого первичного очага плоскоклеточного рака;
 - отсутствие вовлечения кожи или соска [2, 10].
 
В нашем клиническом случае пациентке выполнены операция по удалению рецидива плоскосклеточного РМЖ в области передней грудной стенки, циторедуктивное хирургическое лечение в объеме резекции передней грудной стенки слева с боковыми отрезками III–V ребер с поликомпозитной пластикой дефекта, подмышечной ЛАЭ слева, но МЖ пациентке удалось сохранить. Выбор операции оптимальный для пациентки, так как по данным планового морфологического исследования удаленного препарата в ткани МЖ, крае резекции скелетных мышц, жировой клетчатке опухолевого роста нет. В 1-м из 14 исследованных лимфатических узлов – метастаз плоскоклеточного рака. Таким образом, удалось сохранить МЖ, хотя по данным литературы выполняют радикальные мастэктомии или мастэктомию с биопсией сторожевого лимфатического узла.
Так, в одном из наблюдений в США A. Nirupama и соавт. [11] описали клинический случай 68-летней пациентки с плоскоклеточным раком кожи МЖ (pT2N0M0G1). По данным комплексного обследования (маммография + УЗИ МЖ и регионарных зон): образование правой МЖ, BIRADS 5. Выполнена биопсия образования МЖ, гистологически: низко- дифференцированный плоскоклеточный рак кожи. Цитологически пунктат лимфатического узла справа – реактивные изменения. По данным ПЭТ-КТ выявлено накопление радиофармпрепарата в правой МЖ. В связи с отсутствием стандартов в лечении для определения гистологического типа и дальнейшей тактики лечения гистологический материал направлен в Memorial Sloan Kettering. Пациентке выполнено хирургическое вмешательство в объеме мастэктомии справа с биопсией сторожевого лимфатического узла. Плановое гистологическое заключение: плоскоклеточная карцинома МЖ с участками некроза. Скелетные мышцы, кожа, сосок интактны. Иммуногистохимическое заключение: ER-0б, PR-0б, HER2/neu – отрицательно, Ki67 – 40–50%. В сторожевом лимфатическом узле – гиперплазия. После операции пациентка отказалась от дальнейшей химио- и лучевой терапии. Данных за рецидивирование и метастатическое поражение за 36 мес наблюдения не получено (сведения от 19.05.2019). В последнее время отмечают интерес к роли неоадъювантной химиотерапии, адъювантной химио-, лучевой и гормонотерапии. Так, по данным ретроспективного исследования с 1990 по 2010 г. [12] с включением 17 случаев плоскоклеточного рака кожи МЖ из них преобладали гормон-негативные опухоли (88,2%). Медиана безрецидивной выживаемости (БРВ) составила 24 мес (отношение рисков 8,92, 95% доверительный интервал 6,52–41,48), а медиана общей выживаемости (ОВ) – 40 мес (отношение рисков 9,97, 95% доверительный интервал 20,45–59,55). Выявлено, что пациенты, получавшие адъювантную химиотерапию (12/17 – 70,6%), имели статистически значимую лучшую БРВ (р=0,014) и ОВ (р=0,019) в сравнении с пациентами, не получавшими лекарственное лечение. Проведение лучевой терапии (у 8 больных) не оказало достоверного влияния на БРВ (р=0,466) и ОВ (р=0,926). В то же время в исследовании O. Allan и соавт. [13] отмечают полный патоморфологический ответ (CR) после неоадъювантной химиотерапии (паклитаксел + эпирубицин) у пациентки с плоскоклеточным раком кожи МЖ (pT0N0M0; ER-2, PR-0, HER2/neu – отрицательно). На протяжении 12 мес – без признаков прогрессирования, в процессе гормонотерапии тамоксифеном. Однако результаты анализа M.D. Anderson Cancer Center [14] противоречат вышеупомянутым. Так, при анализе 33 больных плоскоклеточным раком кожи МЖ (с 1985 по 2001 г.) различий в БРВ и ОВ у пациентов, получавших нео- и адъювантную терапию, с нелечеными больными нет (р=0,615, р=0,503 соответственно). При этом, несмотря на отсутствие эффекта от неоадъювантной химиотерапии (5/33) [14], роль адъювантной терапии требует дальнейших исследований на большей группе больных. Так, при анализе 2 пациентов, получавших адъювантную полихимиотерапию, и 1 больного (M1), получавшего производные платины с последующей резекцией метастатического проявления болезни, установлено, что платиносодержащие препараты имеют ограниченную активность у пациентов с метастазами. Также несмотря на показатели пятилетней ОВ и пятилетней ВБП у больных с лучевой терапией в адъювантном режиме и без нее (44,62% против 33,45%), различия достоверно не значимы (р=0,840, р=0,210). Интересно, что у 4 из 19 ранее облученных больных (T1-2N0-2) отмечен локорегиональный рецидив, что указывает на вероятность радиорезистентности данного типа опухолей. Ответа опухоли на лечение тамоксифеном у 4/33 больных не выявлено. Соответственно, поскольку выборка больных небольшая, а лечение пациентов различное, сделать окончательные выводы относительно лучшей опции системной терапии не представляется возможным.
Таким образом, обзор литературы показывает, что прогноз данного типа РМЖ все еще считают спорным, хотя многие исследования предполагают, что это агрессивное заболевание, клинически протекающее как слабо дифференцированная аденокарцинома МЖ [15–26].
Так как доказательств применения гормонотерапии при плоскоклеточном раке кожи МЖ нет, разумно использовать эндокринную терапию для пациентов с ER- и/или PR-положительным типом РМЖ [11].
Хотя плоскоклеточный рак кожи МЖ диагностируют при явном преобладании плоскоклеточного компонента, заболевание, вероятно, представляет собой совокупность плоскоклеточной метаплазии с аденокарциномой, а не единицу, полностью отличающуюся от инвазивной протоковой карциномы [20]. Это подтверждают результатами J. Stevenson и соавт. [27], которые обнаружили, что при световой микроскопии в опухолях, идентифицированных как плоскоклеточный рак, подвергнувшихся ультраструктурному анализу, присутствовали либо отдельные плоскоклеточные и железистые клетки, либо обе гистоструктуры.
Поэтому вероятно, что различия в характеристиках пациентов, наблюдаемые в разных исследованиях, частично связаны с различиями в диагностических критериях для плоскоклеточного рака [27].
Заключение
Плоскоклеточный РМЖ является агрессивным заболеванием с частыми локорегиональными и отдаленными рецидивами. Поэтому для определения причин резистентности к химио-, гормоно- и лучевой терапии нужно найти новые точки приложения, а также необходимо проведение крупных и многоцентровых биологических исследований этой редкой морфологической формы МЖ.
Конфликт интересов. Авторы заявляют об отсутствии конфликта интересов.
Conflict of interests. The authors declare no conflict of interest.
About the authors
Azizzhon D. Zikiryakhodjaev
Herzen Moscow Oncology Research Institute – branch of the National Medical Research Radiological Center
							Author for correspondence.
							Email: hgg_doc@mail.ru
				                	ORCID iD: 0000-0001-7141-2502
				                																			                								
D. Sci (Med.)
Russian Federation, MoscowShakhnoz G. Khakimova
Herzen Moscow Oncology Research Institute – branch of the National Medical Research Radiological Center; Tashkent Pediatric Medical Institute
														Email: hgg_doc@mail.ru
				                	ORCID iD: 0000-0002-9491-0413
				                																			                								
Cand. Sci. (Med.)
Russian Federation, Moscow; Tashkent, UzbekistanElena A. Rasskazova
Herzen Moscow Oncology Research Institute – branch of the National Medical Research Radiological Center
														Email: hgg_doc@mail.ru
				                	ORCID iD: 0000-0003-0307-8252
				                																			                								
Cand. Sci. (Med.)
Russian Federation, MoscowErik K. Saribekian
Herzen Moscow Oncology Research Institute – branch of the National Medical Research Radiological Center
														Email: hgg_doc@mail.ru
				                	ORCID iD: 0000-0003-0827-7998
				                																			                								
D. Sci (Med.)
Russian Federation, MoscowDzhanet F. Omarova
Sechenov First Moscow State Medical University (Sechenov University)
														Email: hgg_doc@mail.ru
				                	ORCID iD: 0000-0003-1824-6888
				                																			                								
Graduate Student
Russian Federation, MoscowViktoriia S. Surkova
Herzen Moscow Oncology Research Institute – branch of the National Medical Research Radiological Center
														Email: hgg_doc@mail.ru
				                	ORCID iD: 0000-0002-2674-0416
				                																			                								
pathomorphologist
Russian Federation, MoscowGulnoz G. Khakimova
Tashkent Pediatric Medical Institute; Tashkent City branch of the Republican Specialized Scientific and Practical Medical Center of Oncology and Radiology
														Email: hgg_doc@mail.ru
				                	ORCID iD: 0000-0002-4970-5429
				                																			                								
Cand. Sci. (Med.)
Uzbekistan, TashkentReferences
- Gupta G, Malani AK, Weigand RT, Rangenini G. Pure primary squamous cell carcinoma of the breast: a rare presentation and clinicopathologic comparison with usual ductal carcinoma of the breast. Pathol Res Pract 2006; 6: 465–9.
 - Weigel RJ, Ikeda DM, Nowels KW. Primary squamous cell carcinoma of the breast. South Med J 1996; 89: 511–5.
 - Stevenson JT, Graham DJ, Khiyami A, Mansour EG. Squamous cell carcinoma of the breast: a clinical approach. Ann Surg Oncol 1996; 3: 367–74.
 - Hennessy BT, Krishnamurthy S, Giordano S et al. Squamous cell carcinoma of the breast. J Clin Oncol 2005; 23: 7827–35.
 - Carbone S, Alvarez RL, Lamacchia A et al. Primary squamous cell carcinoma of the breast: a rare case report. Rep Pract Oncol Radiother 2012; 17: 363–6.
 - Gürsel B, Bayrak IK, Gokce SC et al. Primary squamous cell carcinoma of the breast: A case report and review of the literature. Turk J Cancer 2007; 37: 114–6.
 - Vidyasagar MS, Fernandes DJ, Ramanujam AS et al. Primary squamous cell carcinoma of the breast in a young woman–a case report and review of literature. Indian J Pathol Microbiol 1998; 41: 485–8.
 - Badge SA, Gangane NM, Shivkumar VB, Sharma SM. Primary squamous cell carcinoma of the breast. Int J Appl Basic Med Res 2014; 4: 53–5.
 - Shigekawa T, Tsuda H, Sato K. Squamous cell carcinoma of the breast in the form of an intracystic tumor. Breast Cancer 2007; 14: 109–12.
 - Aparicio I, Martinez A, Hernandez G et al. Squamous cell carcinoma of the breast. Eur J Obstet Gynecol 2008; 137: 222.
 - Anne N, Sulger E, Pallapothu R. Primary squamous cell carcinoma of the breast: a case report and review of the literature. J Surg Case Rep 2019; 6: 182. doi: 10.1093/jscr/rjz182
 - Soliman M. Squamous cell carcinoma of the breast. A retrospective study. J Can Res Ther 2019; 15: 1057–61.
 - Allan O, Telli TA, Ercelep O et al. A case of primary squamous cell carcinoma of the breast with pathologic complete response after neoadjuvant chemotherapy. Curr Probl Cancer 2019; 43 (4): 308–11.
 - Bryan T, Savitri K, Sharon G et al. Squamous Cell Carcinoma of the Breast. J Clin Onc 2015; 23 (31).
 - Rosen PR. Rosen’s Breast Pathology. Philadelphia, PA, Lippincott Williams & Wilkins, 2001; 19: 455, 1997–461.
 - Behranwala KA, Nasiri N, Abdullah N et al. Squamous cell carcinoma of the breast: Clinico-pathologic implications and outcome. Eur J Surg Oncol 2003; 29: 386–9.
 - Tayeb K, Saadi I, Kharmash M et al. Primary squamous cell carcinoma of the breast: Report of three cases [French]. Cancer Radiother 2002; 6: 366–8.
 - Moisidis E, Ahmed S, Carmalt H et al. Primary squamous cell carcinoma of the breast. ANZ J Surg 2002; 72: 65–7.
 - Cardoso F, Leal C, Meira A et al. Squamous cell carcinoma of the breast. Breast 2000; 9: 315–9.
 - Lafreniere R, Moskowitz LB, Ketcham AS. Pure squamous cell carcinoma of the breast. J Surg Oncol 1986; 31: 113–9.
 - Cornog JL, Mobini J, Steiger E et al. Squamous carcinoma of the breast. Am J Clin Pathol 1971; 55: 410–7.
 - Husband JE, Schwartz LH, Spencer J et al. Evaluation of the response to treatment of solid tumours: A consensus statement of the International Cancer Imaging Society. Br J Cancer 2004; 90: 2256–60.
 - Jin Y, Campana F, Vilcoq JR et al. Primary epidermoid carcinoma of the breast. Clinical, histopathologic and prognostic study of 14 patients. [French]. Bull Cancer 1992; 79: 675–9.
 - Wargotz ES, Norris HJ. Metaplastic carcinomas and sarcomas of the breast. Am J Clin Pathol 1991; 96: 781.
 - Rostock RA, Bauer TW, Eggleston JC. Primary squamous carcinoma of the breast: A review. Breast 1984; 10: 27–31.
 - Dejager D, Redlich PN, Dayer AM et al. Primary squamous cell carcinoma of the breast: Sensitivity to cisplatinum-based chemotherapy. J Surg Oncol 1995; 59: 199–203.
 - Stevenson JT, Graham DJ, Khiyami A et al. Squamous cell carcinoma of the breast: A clinical approach. Ann Surg Oncol 1996; 3: 367–74.
 
Supplementary files
				
			
					
						
						
				











