Can any breast skin thickening be staged as T4?
- 作者: Amosova V.A.1, Petrovskii A.V.1,2, Karpova M.S.1, Ponedel’nikova N.V.1, Frolova M.A.1
 - 
							隶属关系: 
							
- Blokhin National Medical Research Center of Oncology
 - Sechenov First Moscow State Medical University (Sechenov University)
 
 - 期: 卷 23, 编号 3 (2021)
 - 页面: 466-469
 - 栏目: CLINICAL ONCOLOGY
 - ##submission.dateSubmitted##: 08.04.2021
 - ##submission.datePublished##: 19.11.2021
 - URL: https://modernonco.orscience.ru/1815-1434/article/view/64964
 - DOI: https://doi.org/10.26442/18151434.2021.3.200907
 - ID: 64964
 
如何引用文章
全文:
详细
Data analysis showed that many diagnostic issues in breast cancer patients with skin involvement are not systematized. In some cases when the tumor is small and skin involvement symptoms are minimal ("local" skin edema), should this category of patients be considered as patients with non-inflammatory skin involvement breast cancer? Current research confirms the presence of skin involvement has much less prognostic value than, for example, tumor size or lymph node metastases, and the surgical term "unresectable" may not always be adequate. In addition, clinical data often do not correspond to pathological data, which also complicates the staging and leads to "overtreatment" of such patients. Thus, further research is needed to identify categories of breast cancer (patients with skin involvement similar in prognosis, as well as to individualize approaches to local and systemic treatment.
全文:
Классическое понимание вовлечения кожи при раке молочной железы (РМЖ), как правило, подразумевает наличие у пациентов отечно-инфильтративной формы (ОИФ). В клинических классификациях первичная ОИФ рассматривается в категории T4d (опухолевый узел отсутствует); вторичная (узловая форма с вовлечением кожи) – T4b либо T4с. Первый вариант является одной из наиболее агрессивных опухолей, выделяется как отдельная форма и требует соответствующих подходов к лечению.
В статье мы сфокусируемся на втором варианте, поскольку до настоящего времени спорным остается вопрос стадирования данной категории больных. Анализ научной литературы показывает, что подходы к диагностике не систематизированы. В свою очередь, это приводит к разногласию в подходах к лечению. Согласно классификации NCCN, по формальным признакам к T4b относятся пациенты с изъязвлением на коже и/или наличием ипсилатеральных сателлитных кожных узелков и/или отека (включая положительный симптом «лимонной корки») [1]. Предполагается, что отек кожи молочной железы при ОИФ возникает за счет активного лимфангиогенеза, инфильтрации лимфатических сосудов и их закупоривания опухолевыми эмболами. В одном из исследований I. Van der Auwera и соавт. оценивали пролиферацию лимфатических эндотелиальных клеток и пришли к выводу, что при истинной (первичной) ОИФ пролиферация данных клеток значительно повышена, что говорит об активном лимфангиогенезе. При вторичной форме лимфатические маркеры, наоборот, были снижены [2].
При более детальном анализе возникает ряд вопросов: обязательно ли патоморфологические данные соответствуют клиническим? Должны ли пациенты с локальным утолщением кожи или с отграниченным характером над опухолевым узлом стадироваться как Т4 и в соответствии с этим получать лечение как при III стадии заболевания? Как правильно определить критерии операбельности и выделить такую категорию больных, которым возможно выполнить органосохранную операцию, а в некоторых случаях даже избежать лекарственного лечения на предоперационном этапе, улучшив качество жизни? Что делать в том случае, если отек имел локальный (отграниченный) характер?
Можно предположить, что примерно в ряде случаев, классифицируемых как Т4, размер опухоли соответствует Т1–3, а отек при этом имеет локальный характер (за счет локальной инфильтрации внутридермальных лимфатических сосудов, прилежащих к первичной опухоли с поражением кожи при прямом распространении опухоли в дерму; опухолевой инвазии подкожной клетчатки, включая кожу соска и ареолы и т.д.) [3].
Важно отметить роль методов лучевой диагностики – маммографии, ультразвукового исследования и магнитно-резонансной томографии молочных желез в оценке вовлечения кожи при РМЖ. В целом отек кожи c точки зрения лучевых методов диагностики – анатомическое симметричное или асимметричное утолщение кожного покрова более чем на 0,2–0,25 см. Утолщение может быть локальным или диффузным. Вне зависимости от причин (злокачественный процесс, воспалительный процесс, постлучевые изменения и т.д.) основной причиной утолщения кожи является усиленный выход жидкости из сосудистого микроциркуляторного русла в интерстициальное пространство. Проведение дифференциальной диагностики природы отека кожи по данным лучевых методов исследования бывает достаточно затруднительно, поскольку у каждого метода имеются свои особенности и ограничения визуализации.
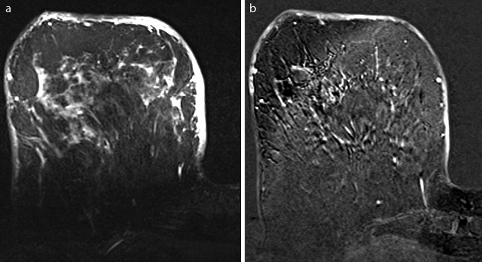
Среди всех методов визуализации в диагностике локального и диффузного отека кожи маммография характеризуется наиболее высокой эффективностью за счет возможности анализа симметричных зон «суммационного» изображения органа. При этом основным признаком отека кожи является ее утолщение (рис. 1). С помощью ультразвукового исследования молочных желез также возможно визуализировать отек кожи за счет утолщения и активного кровоснабжения кожного покрова (рис. 2). Но данный метод субъективен и обладает низкой результативностью в выявлении локального отека кожи. Роль магнитно-резонансной томографии молочных желез в решении этого вопроса незначительна (рис. 3), и поэтому этот вид визуализации не может использоваться для дифференциальной диагностики злокачественной и доброкачественной природы отека (уровень доказательности 1b, уровень рекомендаций A) [4].
Рис. 1. Маммограммы в прямой и косой проекциях. ОИФ РМЖ. Определяются утолщение кожи на всем протяжении, диффузная инфильтрация ткани молочной железы (а), метастатическое поражение аксиллярных лимфоузлов (b).
Рис. 2. Сонограмма. Визуализируются утолщение кожи и активный кровоток в толще кожи.
Рис. 3. Магнитно-резонансная томограмма в режиме Т2 (a) и Т1-постконтрастном (b). Определяются утолщение кожи и высокий сигнал на Т2-взвешенном изображении и на постконтрастной томограмме.
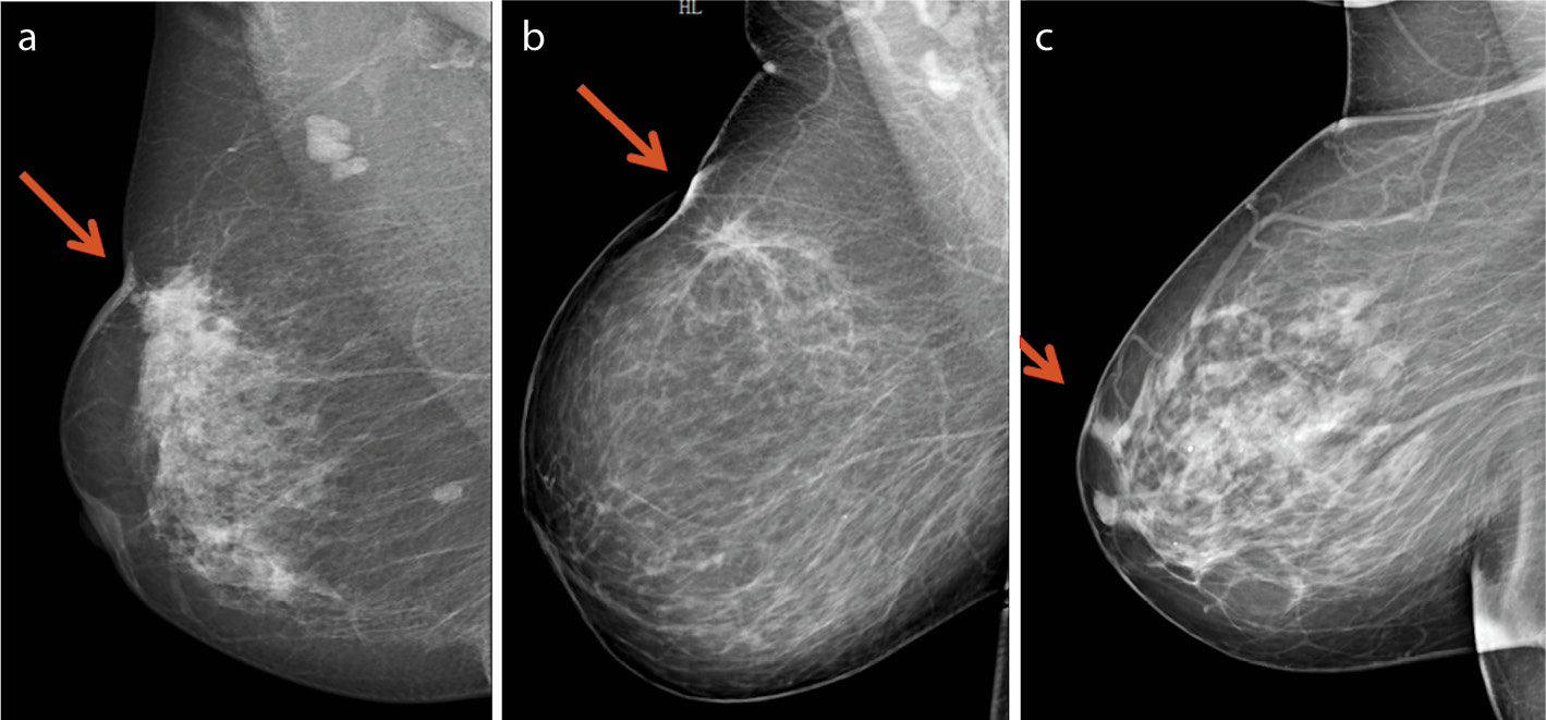
Но несмотря на возможности комплексного применения разных методов диагностики, существует ряд сложностей в визуализации отека кожи, особенно локального (рис. 4, a). Во-первых, при выраженном втяжении кожи над опухолью создается эффект утолщения кожи, но не за счет истинного отека, а за счет складки – «двойного» контура кожи (рис. 4, b). Во-вторых, после проведения биопсии на маммограммах часто определяется утолщение кожи, что затрудняет проведение дифференциальной диагностики последствий инвазивного вмешательства и опухолевого процесса (рис. 4, c). В-третьих, важными факторами диагностики, которые зачастую играют решающую роль в визуализации изменений кожи, являются высокое качество маммограмм, высокое разрешение маммографических станций, правильный алгоритм анализа полученного изображения специалистом (см. рис. 4, c).
Рис. 4: а – вторичная ОИФ, локальное – «истинное» утолщение кожи над опухолью; b – выраженное втяжение кожи над опухолью без отека; c – состояние после core-биопсии.
Из сказанного следует, что однозначно судить о злокачественной природе утолщения кожи с помощью методов лучевой диагностики не всегда представляется возможным. Однако несмотря на это, согласно общепринятой классификации TNM, классический неметастический невоспалительный РМЖ с утолщением кожи (Sl+) без учета природы и степени распространения отека, независимо от размеров опухоли и поражения регионарных лимфатических узлов считается местно-распространенным процессом и классифицируется как Т4 и IIIb/с стадия [5].
Следующим этапом диагностики вовлечения кожи в опухолевый процесс может быть биопсия кожи с морфологической верификацией наличия раковых клеток. Необходимо учитывать тот факт, что наличие опухолевых клеток в биопсийных препаратах может объясняться особенностью строения кожи, реализующихся при инвазивном росте опухоли, – богатое снабжение лимфатическими сосудами, особая архитектоника, проявляющаяся множеством сплетений [2]. К сожалению, данные по эффективности данного метода противоречивы. В 2012 г. было опубликовано исследование, проведенное на 26 образцах пациентов, клинически имеющих «апельсиновую корку». В результате опухолевые клетки были обнаружены в лимфатических сосудах кожи всего в 38% (10) исследованных образцов. С другой стороны, гистологически подтвержденное поражение кожи, но без проявления «классических» клинических признаков поражения кожи не является достаточным для отнесения опухоли к категории T4b, поскольку такие пациенты имеют лучшую выживаемость и прогноз [6].
Одними из первых данный факт подтвердили в 2005 г. U. Güth и соавт. В исследовании сравнивалось клиническое течение заболевания у пациентов с гистологически подтвержденным поражением кожи (Sl+). Из них 119 (65,4%) больных имели клинически очевидные «классические» изменения кожи (группа A), а у 63 (34,6%) изменения отсутствовали или были клинически невыраженными (группа Б). В результате пациенты из группы Б показали значительную лучшую выживаемость: 5-летняя общая выживаемость составила 46,1% в группе A и 77,1% – в группе Б; 10-летняя – 38,4 и 61,7% соответственно (p=0,0002) [7].
Вторая часть данного исследования позволила выявить значительное расхождение в интерпретации вовлечения кожи среди клиницистов. Клиницистам 24 стран была разослана анкета, содержащая вопросы, касающиеся клинической и гистологической оценки поражения кожи для объективности стадирования. Восемьдесят шесть респондентов (70,5%) ответили, что классифицировали опухоли как T4b/стадия IIIB только с гистологически подтвержденным поражением кожи. Обратной – «клинической» точки зрения придерживался 31 респондент, согласно которой РМЖ T4b является именно клиническим диагнозом, в связи с чем наличие «классических» кожных признаков обязательно [7].
Таким образом, фундаментальным недостатком большинства исследований, посвященных изучению результатов лечения невоспалительного РМЖ Т4, является отсутствие четко определенных критериев включения касательно «поражения кожи». В протоколах часто не указывается, проводилась ли гистологическая оценка верификации кожи, а также степень выраженности клинической картины кожных симптомов.
В исследовании, опубликованном в 2014 г. D. Silverman и соавт., выдвинута гипотеза о влиянии размера опухолевого узла на выживаемость больных, формально отнесенных к Т4 (в частности болезнь-специфическую выживаемость – disease-specific survival). Были проанализированы данные базы SEER и отобраны 924 пациента c T4 (стадии IIIb–IIIc), получавших лечение в период с 1992 по 2005 г. Больные были рестадированы в зависимости от размеров опухолевого узла на 3 группы: 0,1–2,0, 2,1–5,0 и >5,0 см, что составило 11,6, 51,1 и 37,3% случаев соответственно. Кроме того, рестадирование проводилось в зависимости от степени выраженности поражения кожи (инвазия подкожно-жировой клетчатки, локальная инфильтрация кожных лимфатических сосудов, прилегающих к первичной опухоли, инфильтрация кожи сосково-ареолярного комплекса и пр.). В результате только 57,0% пациентов остались на прежней III стадии, тогда как 4,5% были рестадированы до I стадии, а 38,4% – до II. При этом наибольшую болезнь-специфическую выживаемость продемонстрировали пациенты с I стадией – 95,8% (95% доверительный интервал 95,6–96,0), тогда как пациенты с IIIC стадией – только 36,4% (95% доверительный интервал 33,8–39,2), что соответствует общемировым данным выживаемости в зависимости от стадии заболевания [8].
Другими авторами проведен ряд небольших ретроспективных исследований, подтверждающих, что отек кожи имеет гораздо меньшее прогностическое значение, чем, например, размер опухолевого узла. В 1981 г. R. Zucali и соавт. продемонстрировали, что 66 пациентов с T4 и опухолями <3 см имели лучшую общую выживаемость через 5 лет, чем пациенты с опухолями 3–5 см (71,3% против 34,7%) [9]. Кроме того, в представленном выше исследовании в 2005 г. U. Güth и соавт. отметили, что у 119 пациентов с опухолями ≤5,0 см наличие отека кожи не влияло на результаты болезнь-специфической выживаемости по сравнению с контрольной группой пациентов, имеющих опухоли аналогичных размеров, но без отека кожи. В своих выводах авторы рекомендовали полностью отказаться от использования критерия отека для определения стадии (исключение – первичная ОИФ) [7].
Год спустя U. Güth и соавт. опубликовали вторую часть исследования, но результаты остались аналогичными. У отобранного 81 пациента с Т4b проводилось рестадирование (с учетом размера опухоли). В дальнейшем сравнивалось клиническое течение трех исследуемых групп (A – стадия II, 36,2% случаев; B – стадия IIIA, 33,7%; C – стадия IIIC, 27,7%) с контрольной группой из 372 пациентов без поражения (отека) кожи. В результате не было получено статистически значимых различий в показателях болезнь-специ- фической выживаемости в исследуемых подгруппах по сравнению с контрольными (соответствующих стадий). В многофакторном анализе было также доказано, что отек кожи не является значимым предиктором выживаемости. На основании этих данных был сделан вывод о том, что имеющаяся классификация не является подходящей для группы пациентов с Т4 [10].
В 2019 г. была опубликована работа, целью которой являлась оценка эффективности лекарственного и лучевого методов лечения у пациентов с отеком кожи – Т4 (включая пациентов с локальным отеком) в зависимости от размера опухолевого узла (в особенности <2 см), и у пациентов с Т1–3. Были проанализированы данные больных National Cancer Data Base с I–III стадией в период с 2004 по 2011 г. с изучением схем лечения и оценкой общей выживаемости. Химиотерапия применялась у 68,5% пациентов с отеком и у 45,9% пациентов с Т1–3, в том числе имеющих размер опухолевого узла <2 см в 77,2 и 33% случаях соответственно (p<0,001). Оказалось, что при одних и тех же прочих характеристиках больные с отеком получали химиотерапию в среднем на 19% чаще, чем остальные. Лучевая терапия проводилась в 61,1% случаев с отеком и 64,3% случаев с Т1–3, в том числе имеющих размер опухолевого узла <2 см в 65,5 и 66,5% случаях соответственно (p=0,711). Было продемонстрировано, что при одних и тех же характеристиках частота проведения лучевой терапии у больных с отеком оказалась в среднем на 16% выше, чем у больных с Т1–3. Авторы данного исследования подчеркивают, что пациенты с размером опухолевых узлов менее 2 см, но имеющих локальный отек (классифицируемые как Т4), также получают химиотерапевтический и лучевой виды лечения, что, например, не происходит при опухолях большего размера, но без поражения кожи – т.е. не всегда обоснованно (с возможным «перелечиванием» больных). В связи с этим необходимо выработать дальнейшие рекомендации по стадированию и лечению данной категории больных и стандартизировать критерии отбора пациентов [11].
Таким образом, можно сделать вывод о том, что наличие или отсутствие отека при умеренно или относительно невыраженных визуальных, пальпаторных и диагностических изменениях кожи при РМЖ является предметом многочисленных споров, различных подходов к стадированию, а как следствие – и лечению. В результате это ведет к формированию неоднородных групп в клинических исследованиях. Полученные данные свидетельствуют о том, что наличие отека кожи имеет гораздо меньшее прогностическое значение, чем, например, размер опухоли или уровень поражения регионарных лимфоузлов, а использование хирургического термина «неоперабельный процесс» далеко не всегда является адекватным. При этом прогноз у категории больных с локальным отеком гораздо лучше, чем у пациентов с III стадией в целом. Требуются дальнейшие исследования по выработке критериев «локальности», что сделает возможным грамотное стадирование по системе TNM (с возможным добавлением каких-либо характеристик, касающихся степени поражения кожи) и позволит определять категории пациентов сходных по прог- нозу, а также индивидуализировать подходы локального и системного лечения, что будет способствовать улучшению их качества жизни.
Конфликт интересов. Авторы заявляют об отсутствии конфликта интересов.
Conflict of interests. The authors declare no conflict of interests.
作者简介
Viktoriia Amosova
Blokhin National Medical Research Center of Oncology
							编辑信件的主要联系方式.
							Email: amosova_va@mail.ru
				                	ORCID iD: 0000-0001-7207-631X
				                	SPIN 代码: 4726-5951
																		                								
oncologist
俄罗斯联邦, MoscowAleksandr Petrovskii
Blokhin National Medical Research Center of Oncology; Sechenov First Moscow State Medical University (Sechenov University)
														Email: amosova_va@mail.ru
				                	ORCID iD: 0000-0002-7514-280X
				                	SPIN 代码: 5441-2747
							Scopus 作者 ID: 36949543000
											                								
Cand. Sci. (Med.)
俄罗斯联邦, MoscowMarina Karpova
Blokhin National Medical Research Center of Oncology
														Email: amosova_va@mail.ru
				                	ORCID iD: 0000-0002-4945-982X
				                																			                								
Graduate Student
俄罗斯联邦, MoscowNataliia Ponedel’nikova
Blokhin National Medical Research Center of Oncology
														Email: amosova_va@mail.ru
				                	ORCID iD: 0000-0002-8047-3523
				                																			                								
Cand. Sci. (Med.)
俄罗斯联邦, MoscowMona Frolova
Blokhin National Medical Research Center of Oncology
														Email: amosova_va@mail.ru
				                	ORCID iD: 0000-0002-8149-0085
				                	SPIN 代码: 2809-7737
																		                								
Cand. Sci. (Med.)
俄罗斯联邦, Moscow参考
- NCCN Guidelines Version 2.2021 Breast Cancer.
 - Van der Auwera I, Van den Eynden GG, Colpaert CG, et al. Tumor lymphangiogenesis in inflammatory breast carcinoma: a histomorphometric study. Clin Cancer Res. 2005;11:7637-42.
 - Edge SB, American Joint Committee on Cancer, American Cancer Society. AJCC cancer staging handbook: from the AJCC cancer staging manual. 7th ed. New York: Springer, 2010.
 - Sardanelli F, Boetes C, Borisch B, et al. Magnetic resonance imaging of the breast: recommendations from the EUSOMA working group. Eur J Cancer. 2010;46(8):1296-316.
 - Harms K, Wittekind C. Prognosis of women with pT4b breast cancer: the significance of this category in the TNM system. Eur J Surg Oncol. 2009;35(1):38-42.
 - Wiggett WS, Louw M, Karusseit VO. The histology of peau d’orange in breast cancer – what are the implications for surgery? S Afr J Surg. 2012;50(3):75-8.
 - Güth U, Singer G, Schötzau A, et al. Scope and significance of non-uniform classification practices in breast cancer with non-inflammatory skin involvement: a clinicopathologic study and an international survey. Ann Oncol. 2005;16(10):1618-23.
 - Silverman D, Ruth K, Sigurdson ER, et al. Skin involvement and breast cancer: are T4b lesions of all sizes created equal? J Am Coll Surg. 2014;219(3):534-44.
 - Zucali R, Kenda R. Small Size-T4 Breast-Cancer. Natural History and Prognosis. Tumori. 1981;67(3):225-30.
 - Güth U, Wight E, Schötzau A, et al. A new approach in breast cancer with non-inflammatory skin involvement. Acta Oncol. 2006;45(5):576-83.
 - Mateo AM, Mazor AM, DeMora L, et al. Patterns of Care and Efficacy of Chemotherapy and Radiotherapy in Skin-Involved Breast Cancers of All Sizes. Clin Breast Cancer. 2019;19(4):292-303.
 
补充文件
				
			
						
						
					






