Изолированные метастазы в селезенку при раке ободочной кишки: клинические наблюдения
- Авторы: Огнерубов Н.А.1,2, Антипова Т.С.3, Огнерубова М.А.2
-
Учреждения:
- ФГБОУ ВО «Тамбовский государственный университет им. Г.Р. Державина»
- ГБУЗ «Тамбовский областной онкологический клинический диспансер»
- ООО «ПЭТ-Технолоджи», Центр ядерной медицины
- Выпуск: Том 23, № 1 (2021)
- Страницы: 162-166
- Раздел: КЛИНИЧЕСКАЯ ОНКОЛОГИЯ
- Статья получена: 11.05.2021
- Статья одобрена: 11.05.2021
- Статья опубликована: 19.05.2021
- URL: https://modernonco.orscience.ru/1815-1434/article/view/70482
- DOI: https://doi.org/10.26442/18151434.2021.1.200750
- ID: 70482
Цитировать
Полный текст
Аннотация
Изолированные метастазы в селезенку при колоректальном раке после радикального хирургического лечения встречаются довольно редко. Такая частота метастазирования объясняется анатомическими, функциональными и иммунологическими особенностями селезенки. В литературе описывают, как правило, одиночные случаи с последующим их систематическим анализом и обсуждением. Большинство случаев протекает бессимптомно и диагностируется случайно, при проведении различных методов визуализации, включая повышенный уровень опухолевых маркеров. Большинство пациентов имеют безрецидивную выживаемость в течение 3–144 мес после хирургического лечения первичной опухоли. По характеру поражения метастазы могут быть синхронными и метахронными, а также одиночными и множественными.
Цель. Обсудить 2 клинических наблюдения изолированного метастатического поражения селезенки у больных после хирургического лечения рака селезеночного угла ободочной кишки.
Материалы и методы. Мы наблюдали 2 пациентов женского пола, 68 и 70 лет, с изолированным метастатическим поражением селезенки после радикального хирургического лечения по поводу рака селезеночного угла ободочной кишки.
Результаты. Оба случая расценены как метахронные с интервалом отсутствия проявлений болезни 21 и 10 мес соответственно. По поводу рака селезеночного угла IIb и IIc стадии больным выполнена левосторонняя гемиколэктомия с последующей адъювантной полихимиотерапией по схеме FOLFOX, 6 циклов. При гистологическом исследовании выявлена умеренно дифференцированная аденокарцинома с прорастанием всех слоев стенки и врастанием в окружающую клетчатку. Метастазы в лимфатических узлах отсутствовали. В процессе динамического наблюдения при очередном осмотре с помощью ультразвукового исследования выявлено метастатическое поражение селезенки с последующим подтверждением позитронно-эмиссионной томографией/компьютерной томографией. Клиническая картина отсутствовала. Временной интервал после операции до постановки диагноза составил 21 и 10 мес. Произведено оперативное вмешательство в объеме спленэктомии. Интраоперационно установлено изолированное поражение селезенки при отсутствии других проявлений болезни. При гистологическом исследовании в селезенке – метастаз, имеющий строение аналогично первичной опухоли. В послеоперационном периоде проводилась полихимиотерапия по схеме XELOX – 6 циклов. На протяжении 5 и 26 мес больные живут без признаков возврата заболевания.
Заключение. Изолированное поражение селезенки встречается крайне редко, чаще при локализации первичной опухоли в левой половине ободочной кишки. Приведенные случаи иллюстрируют необходимость и важность наблюдения больных после хирургического лечения при раке толстой кишки. Применение позитронно-эмиссионной томографии/компьютерной томографии позволяет уточнить истинную распространенность опухолевого процесса, исключая инвазивные методы. Хирургическое лечение в объеме спленэктомии с последующей химиотерапией является основной лечебной опцией. В одном случае метастазы носили множественный характер, в другом – солитарный. Больные живы без признаков возврата заболевания 26 и 5 мес.
Ключевые слова
Полный текст
Введение
Первичные или вторичные опухоли селезенки встречаются в 7–34% случаев у больных раком, а частота микрометастазов в селезенку, обусловленных колоректальной карциномой, составляет 2% [1].
Причиной их развития чаще всего являются опухоли, обладающие высоким метастатическим потенциалом, – рак молочной железы, легких, яичников и толстой кишки [2–6].
Выделяют 3 пути метастазирования колоректального рака в селезенку посредством селезеночной артерии, селезеночной вены и лимфатических сосудов. Большинство авторов отдают предпочтение гематогенному пути [7].
В 1969 г. W. Dunbar и соавт. опубликовали первое сообщение об изолированном метастазе в селезенку при колоректальном раке [8]. С тех пор палитра публикаций представлена описанием отдельных случаев и систематических обзоров уже имеющихся сообщений [9–15].
По своему характеру метастазы могут быть синхронными, когда диагноз ставится одновременно с первичной опухолью, и метахронными – развиваются через различное время по окончании лечения.
- Pisanu и соавт. (2007 г.) описали только 3 случая синхронных изолированных метастазов и 41 наблюдение метахронного характера при колоректальном раке [13].
- Rosa и соавт. (2010 г.) описали случай синхронного метастазирования в селезенку у пациентки 74 лет с опухолью селезеночного угла ободочной кишки [9].
В 2011 г. G. Abi Saad и соавт. в литературном обзоре ссылаются на описание 4 наблюдений синхронного метастазирования [10].
Чаще всего метастазы наблюдаются при гистологическом варианте первичной опухоли, имеющей строение аденокарциномы [2].
В 2011 г. G. Abi Saad и соавт. опубликовали результаты поиска статей по изолированному поражению селезенки при колоректальном раке по базе данных PubMed и Medline за период с 1966 по 2010 г. Всего в англоязычной литературе за этот период описаны 26 пациентов. Причем у 15 идентифицированы метастазы в регионарные лимфатические узлы. Первичная опухоль при этом чаще (18 наблюдений) располагалась в левой половине и прямой кишке. Что касается уровня раково-эмбрионального антигена, то он повышен в 73% случаев. Всем пациентам после установления диагноза выполнена спленэктомия. Общая выживаемость при этом составила 19,5 мес [10].
В 2020 г. L. Hu и соавт. опубликовали случай множественного метастазирования рака сигмовидной кишки в селезенку у 48-летней пациентки через 21 мес после лапароскопической радикальной резекции сигмовидной кишки. Диагноз изолированных метахронных множественных метастазов установлен с помощью позитронно-эмиссионной томографии/компьютерной томографии (ПЭТ/КТ). По этому поводу выполнена лапароскопическая спленэктомия с последующей полихимиотерапией (ПХТ). Наряду с этим авторы приводят результаты сравнительного анализа 34 случаев, посвященных данной проблеме. За период с 1969 по 2017 г. по базе данных PubMed авторы выявили 34 статьи по изолированному поражению селезенки, из них 28 – это метахронные метастазы, и только 6 – синхронные. Возраст больных колебался от 33 до 81 года. При этом до 60 лет – 37,9% пациентов, а старше – 62,1%, медиана возраста – 63,5 года. Из них мужчин – 15, а женщин – 14, т.е. встречаются практически с одинаковой частотой. Авторы показали, что по мере роста стадии наблюдается увеличение вероятности метастатического поражения селезенки. Так, на долю II стадии пациентов с установленным диагнозом метастатического поражения приходилось 26,9%, а III стадии – 69,2%. Практически у всех больных наблюдались единичные метастазы и только лишь в одном случае – множественные [15].
Длительность безрецидивного периода с момента лечения первичной опухоли до обнаружения метастатического поражения селезенки составила от 3 до 144 мес, в среднем 40 мес [10].
Результаты
Мы наблюдали 2 пациенток с изолированными метахронными метастазами в селезенку после левосторонней гемиколэктомии по поводу рака селезеночного угла ободочной кишки.
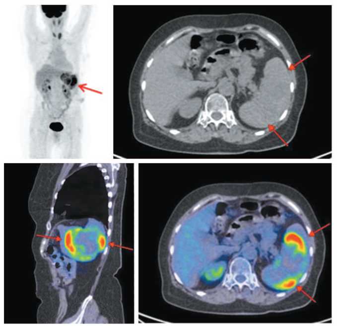
Больная К., 68 лет. Ранее, в ноябре 2016 г., ей выполнено экстренное оперативное вмешательство по поводу опухоли селезеночного угла, осложненной острой толстокишечной обтурационной непроходимостью. При интраоперационной ревизии выявлена стенозирующая опухоль селезеночного угла без признаков прогрессирования. Выполнена левосторонняя гемиколэктомия. При гистологическом исследовании обнаружена изъязвленная умеренно дифференцированная аденокарцинома с прорастанием всей стенки и врастанием в окружающую клетчатку. Метастазов в лимфоузлах и большом сальнике нет. Установлена IIb pT4bN0M0 стадия. В послеоперационом периоде проводилась адъювантная ПХТ по схеме FOLFOX – 6 циклов. В процессе динамического наблюдения в соответствии с рекомендациями пациентке регулярно выполнялись ультразвуковое исследование (УЗИ) и КТ органов брюшной полости. В октябре 2018 г. выполнена рентгеновская КТ (РКТ) органов брюшной полости и забрюшинного пространства. Селезенка увеличена: 130×60 мм, в венозной фазе в среднем и нижнем сегментах визуализируется зона пониженной плотности неоднородной структуры, с четкими, бугристыми полициклическими контурами – конгломерат из множественных округлых очагов размером 60×45 мм. Заключение: множественные метастазы в селезенку. С целью подтверждения диагноза и установления распространенности опухолевого процесса выполнена ПЭТ/КТ с 18-фтордезоксиглюкозой. На MIP ПЭТ и совмещенных ПЭТ/КТ в саггитальной и аксиальной проекциях определяется умеренное увеличение селезенки в краниокаудальном размере до 124×50 мм с четкими ровными контурами, неоднородной плотности за счет наличия сливных гиподенсных образований размером до 25×15 мм, общим размером 55×45 мм, с повышенной фиксацией радиофармпрепарата (РФП), SUVmax 6.52. Каких-либо отдаленных проявлений болезни не выявлено. Установлен диагноз: множественные изолированные метастазы в селезенку (рис. 1).
Рис. 1. Больная К., 68 лет. На MIP ПЭТ и совмещенных ПЭТ/КТ в саггитальной и аксиальной проекциях определяется умеренное увеличение селезенки неоднородной плотности за счет сливных гиподенсных образований размером до 25×15 мм с повышенной фиксацией РФП, SUVmax 6.52.
Fig. 1. Patient K., 68 years old. Sagittal and axial MIP positron emission tomography and combined positron emission tomography/computed tomography images showed an enlarged spleen of heterogeneous density due to the numerous hypodense lesions with the increased uptake of radiopharmaceutical, the size was 25×15 mm, SUVmax of 6.52.
По поводу этого в декабре 2018 г. выполнена лапаротомия. При ревизии выявлены множественные метастазы в селезенку. Метастазы в забрюшинные и парааортальные лимфоузлы и другие органы не обнаружены. Произведена спленэктомия. Макроскопически: селезенка размером 13×6 см, на разрезе состоит из отдельных узлов размером 2,5×3 см, сливающихся между собой, белесоватого цвета. При гистологическом исследовании в селезенке метастаз изъязвленной умеренно дифференцированной аденокарциномы, аналогичной первичной опухоли. В послеоперационном периоде проведено 6 циклов ПХТ по схеме XELOX. В январе 2021 г. выполнена ПЭТ/КТ. Признаков метаболической активности не выявлено. Пациентка осмотрена в феврале 2021 г. – возврата заболевания нет.
В представленном наблюдении у больной клинические проявления заболевания отсутствовали. Метастатическое поражение селезенки реализовалось по прошествии 21 мес с момента выполнения радикального хирургического вмешательства по поводу осложненного варианта рака селезеночного угла ободочной кишки. По данным ПЭТ/КТ выявлены множественные изолированные метастазы в селезенку. Проведено лечение в объеме спленэктомии с последующей химиотерапией (ХТ). Больная жива без возврата заболевания в течение 26 мес.
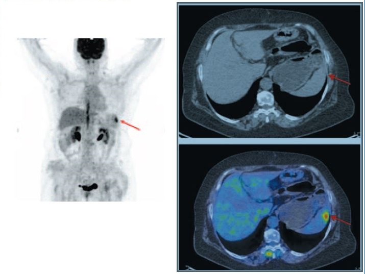
Больная М., 70 лет. В октябре 2019 г. по поводу рака селезеночного угла ободочной кишки стадии IIc pT4bN0M0, осложненного частичной толстокишечной непроходимостью, выполнена левосторонняя гемиколэктомия. При гистологическом исследовании опухоль имела строение изъязвленной умеренно дифференцированной аденокарциномы с прорастанием всех слоев стенки кишки и врастанием в окружающую клетчатку. Лимфоузлы без признаков опухолевого роста. С адъювантной целью проведено 6 циклов ПХТ по схеме FOLFOX. Находилась на диспансерном наблюдении. Клинические признаки болезни отсутствовали. При очередном УЗИ органов брюшной полости в августе 2020 г. в верхнем полюсе селезенки выявлено образование размером 20×13 мм повышенной эхогенности с неровными контурами. Для уточнения диагноза и распространенности опухолевого процесса выполнена ПЭТ/КТ с 18-фтордезокси-глюкозой. По данным ПЭТ/КТ в верхнелатеральном секторе селезенки определяется очаг размером 20×15 мм с повышенной метаболической активностью, SUVmax 5.6. Других очагов накопления РФП не обнаружено. Заключение: солитарный изолированный метастаз в селезенку (рис. 2).
Fig. 2. Patient M., 70 years old. Axial MIP PET and combined PET/CT images showed a focus of increased uptake of radiopharmaceutical in the upper-lateral sector of the spleen, the size was 18×14 mm, SUVmax of 5.6.
В сентябре 2020 г. выполнена лапаротомия. Интраоперационно отдаленных метастазов в печень, забрюшинные и парааортальные лимфоузлы и другие органы не выявлено. Произведена спленэктомия. Макроскопически: селезенка размером 10×5 см. В верхнем полюсе имеется плотный, белесоватого цвета узел диаметром 2,5 см (рис. 3).
Рис. 3. Больная М., 70 лет. Селезенка. Макропрепарат. В верхнем полюсе имеется метастатический солитарный опухолевый узел диаметром 2,5 см.
Fig. 3. Patient M., 70 years old. Gross specimen of spleen. The upper pole has a metastatic solitary tumor node 2.5 cm in diameter.
При гистологическом исследовании в селезенке метастаз темноклеточной умеренно дифференцированной аденокарциномы. В послеоперационном периоде проведено 4 цикла ПХТ по схеме XELOX.
В описанном сообщении пациентке по поводу первичной опухоли селезеночного угла ободочной кишки выполнена левосторонняя гемиколэктомия. Спустя 10 мес с помощью ПЭТ/КТ при отсутствии клинической картины установлен диагноз изолированного метастаза в селезенку. При спленэктомии выявлен солитарный метастаз. Осмотрена в феврале 2021 г. – жива без признаков возврата заболевания 5 мес.
Обсуждение
Изолированный метастаз в селезенку при колоректальном раке – редкое клиническое заболевание. T. Berge (1974 г.) на 1 119 трупах изучал частоту метастазов в селезенку. По его данным, она составила 2%, однако изолированного поражения автор не наблюдал [1].
В доступной литературе публикации, посвященные этому вопросу, носят характер сообщений либо системного клинико-патогенетического анализа имеющихся данных [10, 13, 15–17].
Так, T. Okuyama и соавт. (2001 г.) опубликовали случай изолированного поражения селезенки при локализации первичной опухоли в сигмовидной кишке у 62-летнего мужчины через 19 мес после левосторонней гемиколэктомии [12].
В 2016 г. J. Abdou и соавт. опубликовали случай успешного лечения изолированных метастазов в селезенку у 64-летней больной через 16 мес после правосторонней гемиколэктомии при I стадии опухолевого процесса. При этом спленэктомия выполнялась с помощью лапароскопии [14].
Большинство опубликованных наблюдений представляют метастазы как синхронные и метахронные. Чаще всего изолированное поражение носит метахронный характер и очень редко – синхронный [11, 16]. В обзоре G. Abi Saad и соавт. (2011 г.) содержатся указания о преобладании метахронного опухолевого процесса – 22 из 26 наблюдений, и только 4 случая носили синхронный характер [10].
J. Abdou и соавт. (2016 г.) сообщили о 32 случаях изолированного поражения селезенки при колоректальном раке, из них 5 наблюдений – синхронные, а 27 – метахронные [14].
A. Pisanu и соавт. в 2007 г. описали собственный случай изолированного синхронного метастаза рака селезеночного угла в селезенку у 54-летней женщины. Интересно отметить, что клинический дебют заболевания состоялся как абсцесс селезенки. Авторы представили опубликованные ранее в литературе случаи в виде сводной таблицы, содержащей информацию о 41 больном. При этом синхронное поражение селезенки наблюдалось у 3 больных, а в 41 случае носило метахронный характер. На сегодняшний день данный обзор содержит максимальное число пациентов с изолированными метастазами в селезенку при колоректальном раке [13].
У наших больных метастазы в селезенку расцениваются как метахронные. У одной пациентки они носили множественный характер, а у другой – солитарный.
Гендерных различий в публикациях по частоте изолированного поражения селезенки практически нет [15]. Имеются лишь некие указания на преобладание лиц мужского пола.
Так, в 2016 г. J. Abdou и соавт. приводят результаты анализа 31 наблюдения по изолированным метастазам в селезенку при раке толстой кишки, опубликованных в англоязычной литературе по данным PubMed. Поиск проводился с 1969 по 2015 г. Авторы отметили некоторое преобладание мужчин – 18 и 13 женщин соответственно, в возрасте от 33 до 84 лет. Синхронный характер метастазирования отмечался в 5 случаях, а метахронный – в 26 наблюдениях. Интервал до клинического дебюта колебался от 3 до 44 мес. Метастазы в селезенку обнаружены только с помощью УЗИ, РКТ и ПЭТ/КТ. Наиболее частое (61%) место локализации первичной опухоли – левая половина ободочной кишки. Интересно отметить, что в 17 наблюдениях отмечалось поражение лимфатических узлов, а в 9 – они отсутствовали [14].
Проведенный нами анализ англоязычной литературы по доступной базе поисковых систем и изложенный частично свидетельствует о весьма противоречивых данных, касающихся частоты наблюдений изолированного поражения селезенки при колоректальном раке. Это касается прежде всего хронологии количества наблюдений. Так, в 2007 г. сообщается о 44 больных, в 2011 – 26, в 2016 – 31 пациенте, а в 2020 – о 34 наблюдениях [10, 13–15]. В связи с этим мы провели сравнительный анализ и пришли к выводу, что общее количество случаев, включая наши сообщения, по изолированному метастатическому поражению селезенки при колоректальном раке составляет 59 наблюдений.
Заболевание протекает обычно бессимптомно. Диагноз ставится случайно при применении различных методов медицинской визуализации в процессе динамического наблюдения [16, 18]. Чаще всего это УЗИ, РКТ и магнитно-резонансная томография (МРТ) [9].
T. Okuyama и соавт. (2001 г.) описали наличие клинических проявлений в виде боли в эпигастрии, общей слабости, потери в массе тела и крови в кале только у 6 больных из 28 зарегистрированных [12].
В литературе описано 3 случая клинического дебюта метастатического поражения селезенки с клиникой ее абсцесса в связи с формированием свища с первичной опухолью [13, 19, 20].
В большинстве случаев основным методом диагностики являются УЗИ, РКТ, МРТ и сцинтиграфия. Весьма редко для этих целей используется ПЭТ, совмещенная с КТ. По данным L. Hu и соавт. (2020 г.), гибридные технологии ПЭТ/КТ и ПЭТ/МРТ применялись только в 5 наблюдениях [15].
R. Gencosmanoglu и соавт. (2006 г.) описали случай диагностики изолированного поражения селезенки при колоректальном раке с помощью ПЭТ/КТ. Авторы считают, что этот метод имеет преимущество при небольших по размеру опухолях [16]. Аналогичной точки зрения придерживаются и другие [14, 15].
У представленных больных на догоспитальном этапе диагноз изолированного метастаза в селезенку поставлен при помощи ПЭТ/КТ с 18-фтордезоксиглюкозой. Наряду с этим данный метод позволяет установить истинную картину распространенности опухолевого процесса без применения инвазивных способов.
Бессимптомное повышение уровня раково-эмбрионального антигена в процессе динамического наблюдения после хирургического лечения побуждает врача к проведению методов медицинской визуализации, прежде всего УЗИ, а в последующем – КТ и МРТ [15, 16].
В опубликованных работах первичная опухоль толстой кишки, как правило, имела характер высоко- или умеренно дифференцированной аденокарциномы [10, 13, 15]. Регионарные лимфатические узлы поражены метастазами в 1/2 случаев [10].
В обсуждаемых случаях опухоль имела строение умеренно дифференцированной аденокарциномы с прорастанием стенки кишки и врастанием в окружающую клетчатку. Это, по нашему мнению, с учетом локализации первичной опухоли является фактором риска метастатического поражения селезенки.
По литературным сведениям, первичная опухоль локализуется в различных отделах толстой кишки. Тем не менее отмечается преобладание опухолей в левой половине ободочной кишки. Так, по данным анализа G. Abi Saad и соавт. (2010 г.), опухоль в левой половине ободочной кишки локализовалась чаще, у 22 больных, составляя 70% [10]. У наших пациенток в обоих случаях первичная опухоль находилась в селезеночном углу ободочной кишки.
Основным методом лечения изолированного поражения селезенки является спленэктомия с последующей ПХТ. Спленэктомия выполняется либо открытым доступом, либо лапароскопически. Некоторые авторы отдают предпочтение без ущерба выживаемости последнему доступу [10, 11, 14–16]. Считают, что долгосрочная продолжительность жизни обусловлена спленэктомией.
Выживаемость после спленэктомии колеблется от 1 до 84 мес, составляя в среднем 19,5 мес [10, 21]. По данным L. Hu и соавт. (2020 г.), время до прогрессирования после спленэктомии колебалось от 3 до 84 мес, а медиана составила 18 мес [15].
Расчетная годовая и средняя выживаемость пациентов после спленэктомии с последующей ХТ составила 86,6% и 66 мес соответственно [12].
Приведенные наблюдения свидетельствуют о том, что основным методом лечения изолированных метахронных метастазов в селезенку является спленэктомия с последующей ПХТ. Он позволяет получить длительную безрецидивную выживаемость, которая составила 26 мес.
Заключение
Изолированные метастазы в селезенку при колоректальном раке встречаются редко. Мы наблюдали 2 пациенток с бессимптомными метахронными изолированными метастазами у больных раком селезеночного угла через 10 и 21 мес после левосторонней гемиколэктомии. ПЭТ/КТ с 18-фтордезоксиглюкозой является основным методом диагностики на догоспитальном этапе, позволяющим оценить истинную распространенность опухолевого процесса. Спленэктомия с последующей ХТ является основной опцией в лечебном процессе. Длительность безрецидивной выживаемости при этом составила 26 мес.
Практическим врачам следует помнить о возможном поражении селезенки при динамическом наблюдении после хирургического лечения колоректального рака.
Конфликт интересов. Авторы заявляют об отсутствии конфликта интересов.
Conflict of interests. The authors declare no conflict of interest.
Вклад авторов
Н.А. Огнерубов: сбор материала, написание и дизайн рукописи, научное редактирование статьи; Т.С. Антипова: проведение ПЭТ/КТ-исследования, иллюстрации; М.А. Огнерубова: сбор материала, обобщение, подготовка рукописи.
Об авторах
Николай Алексеевич Огнерубов
ФГБОУ ВО «Тамбовский государственный университет им. Г.Р. Державина»; ГБУЗ «Тамбовский областной онкологический клинический диспансер»
Автор, ответственный за переписку.
Email: ognerubov_n.a@mail.ru
ORCID iD: 0000-0003-4045-1247
SPIN-код: 3576-3592
Scopus Author ID: 632250
Доктор мед. наук, канд. юрид. наук, проф., зав. каф. онкологии ФГБОУ ВО, зам. глав. врача по КЭР ГБУЗ ТООКД, засл. работник высшей школы РФ
Россия, Тамбов; ТамбовТатьяна Сергеевна Антипова
ООО «ПЭТ-Технолоджи», Центр ядерной медицины
Email: antipovats@gmail.com
ORCID iD: 0000-0003-4165-8397
врач
Россия, ТамбовМарина Александровна Огнерубова
ГБУЗ «Тамбовский областной онкологический клинический диспансер»
Email: gostyaeva.m.a@mail.ru
ORCID iD: 0000-0003-0576-5451
врач-онколог
Россия, ТамбовСписок литературы
- Berge T. Splenic metastases. Frequencies and patterns. Acta Pathol Microbiol Scand A 1974; 82: 499–506.
- Hashemzadeh SH, Safari M. Solitary splenic metastasis of colon cancer: a case report. Acta Medica Iranica 2004; 42 (6): 467–70.
- Pizzirusso F, Gillet JP, Fobe D. Isolated spleen metastatic involvement from a colorectal adenocarcinoma complicated with a gastrosplenic fistula: a case report and literature review. Acta Chir Belg 2004; 104: 214–6.
- Marymont JH Jr, Gross S. Patterns of metastatic cancer in the spleen. Am J Clin Pathol 1963; 40: 58–66.
- Sauer J, Sobolewski K, Dommisch K. Splenic metastases – not a frequent problem, but an underestimate location of metastases: epidemiology and course. J Cancer Res Clin Oncol 2009; 135: 667–71.
- Comperat E, Bardier-Dupas A, Camparo P, et al. Splenic metastases: clinicopathologic presentation, differential diagnosis, and pathogenesis. Arch Pathol Lab Med 2007; 131: 965–9.
- Lee SS, Morgenstern L, Phillips EH, et al. Splenectomy for splenic metastases: a changing clinical spectrum. Am Surg 2000; 66: 837–40.
- Dunbar WH, Beahrs OH, Morlock CG. Solitary splenic metastasis incidental to rectal carcinoma: report of a case. Mayo Clin Proc 1969; 44: 40–5.
- Rosa N, Martins S, Lamelas J. Isolated splenic metastasis of colon cancer: a case report and literature review. J Coloproctol 2012; 32 (1): 88–93.
- Abi Saad GS, Hussein M, El-Saghir NS, et al. Isolated splenic metastasis from colorectal cancer. Int J Clin Oncol 2011. doi: 10.1007/s10147-010-0182-2
- Zhao H, Zhong W, Chen D, Cheng X. Synchronous isolated splenic metastasis from cancer of hepatic flexure of colon: A case report. Medicine (Baltimore) 2019; 98 (14): e15016. doi: 10.1097/MD.0000000000015016
- Okuyama T, Oya M, Ishikawa H. Isolated Splenic Metastasis of Sigmoid Colon Cancer: a Case Report. Jpn J Clin Oncol 2001; 31 (7): 341–5. doi: 10.1093/jjco/hye065
- Pisanu A, Ravarino A, Nieddu R, Uccheddu A. Synchronous isolated splenic metastasis from colon carcinoma and concomitant splenic abscess: A case report and review of the literature. World J Gastroenterol 2007; 13 (41): 5516–20.
- Abdou J, Omor Y, Boutayeb S, et al. Isolated splenic metastasis from colon cancer: Case report. World J Gastroenterol 2016; 22 (18): 4610–4. doi: 10.3748/wjg.v22.i18.4610
- Hu L, Zhu J-Y, Fang L, et al. Isolated metachronous splenic multiple metastases after colon cancer surgery: A case report and literature review. World J Clin Cases 2020; 8 (15): 3320–8. doi: 10.12998/wjcc.v8.i15.3320
- Gencosmanoglu R, Aker F, Kir G, Tozun N. Isolated metachronous splenic metastasis from synchronous colon cancer. World J Surg Oncol 2006; 4: 42.
- Jain S, Munjal S, Yantiss RK, et al. Isolated Splenic Metastasis from Rectal Carcinoma: A Rare Occurrence. Case Rep Oncol 2011; 4: 499–504. doi: 10.1159/000333446
- Bigot P, Goodman C, Hamy A, et al. Isolated splenic metastasis from colorectal cancer: report of a case. J Gastrointest Surg 2008; 12 (5): 981–2.
- Pedersen IK, Burcharth F, Roikjaer O, Baden H. Resection of liver metastases from colorectal cancer. Indications and results. Dis Colon Rectum 1994; 37: 1078–82.
- Kawamoto K, Teramoto T, Watanabe M, et al. Splenic abscess associated with colon cancer: a case report. Jpn J Clin Oncol 1993; 23: 384–8.
- Avesani EC, Cioffi U, De Simone M, et al. Synchronous isolated splenic metastasis from colon carcinoma. Am J Clin Oncol 2001; 24: 311–2.
Дополнительные файлы






