Синхронные метастазы в щитовидную железу при раке молочной железы. Клинические наблюдения
- Авторы: Огнерубов Н.А.1,2, Антипова Т.С.3,4, Палкина Е.Е.2
-
Учреждения:
- ФГБОУ ВО «Тамбовский государственный университет им. Г.Р. Державина»
- ГБУЗ «Тамбовский областной онкологический клинический диспансер»
- ООО «ПЭТ-Технолоджи»
- Центр ядерной медицины
- Выпуск: Том 23, № 2 (2021)
- Страницы: 280-286
- Раздел: КЛИНИЧЕСКАЯ ОНКОЛОГИЯ
- Статья получена: 15.06.2021
- Статья опубликована: 16.08.2021
- URL: https://modernonco.orscience.ru/1815-1434/article/view/71597
- DOI: https://doi.org/10.26442/18151434.2021.2.200934
- ID: 71597
Цитировать
Полный текст
Аннотация
Обоснование. Рак молочной железы является основной причиной смерти у женщин. Отдаленные метастазы в различные органы, включая щитовидную железу, по-прежнему остаются актуальной проблемой. В клинической практике они встречаются весьма редко. Тем не менее накопленный клинический и хирургический опыт лечения показал, что рак молочной железы является 2-й по частоте первичной опухолью, приводящей к метастазам в щитовидную железу, после рака почки.
Цель. Представить клинические наблюдения синхронных метастазов в щитовидную железу при раке молочной железы.
Материалы и методы. Мы наблюдали двух пациенток, 55 и 72 лет, с метастатическим раком молочной железы с одновременным поражением щитовидной железы, шейных и медиастинальных лимфатических узлов, легких, яичников и костей.
Результаты. У пациентки 55 лет с жалобами на наличие опухоли шеи слева и осиплость голоса выявлен метастатический рак молочной железы с одновременным поражением щитовидной железы, шейных лимфатических узлов, легких, яичников и костей. Выполнена сore-биопсия первичной опухоли. При гистологическом и иммуногистохимическом исследовании опухоль имеет строение инвазивной протоковой карциномы, G2, люминальный подтип А, Her-2 отрицательный. Степень распространенности опухолевого процесса уточнена с помощью позитронно-эмиссионной томографии/компьютерной томографии (ПЭТ/КТ). При тонкоигольной биопсии щитовидной железы цитологически выявлен метастаз рака молочной железы. У пациентки 72 лет с жалобами на наличие опухоли в области щитовидной железы выявлен рак молочной железы с метастазами в щитовидную железу, медиастинальные и шейные лимфоузлы, кости, для чего применялись ПЭТ/КТ, аспирационная биопсия щитовидной железы и core-биопсия первичной опухоли. Гистологический вариант представлен инвазивным протоковым раком, G2, люминальный подтип А, Her-2 отрицательный. С учетом распространенности процесса больным проводились полихимиотерапия, таргетная терапия и гормонотерапия. На протяжении 6 мес прогрессии заболевания нет.
Заключение. Синхронные метастазы в щитовидной железе при первичной опухоли молочной железы встречаются редко. В таких случаях ПЭТ/КТ является важным диагностическим методом. Основной лечебной опцией при этом является системная терапия, включая химиотерапию, таргетную и гормонотерапию, характер которой зависит от биологического варианта опухоли.
Полный текст
Введение
Метастазы в щитовидную железу при различных первичных опухолях – редкое явление, которое, по различным оценкам, встречается в 1–3% случаев среди всех злокачественных опухолей [1–3]. Среди первичных опухолей это прежде всего рак почки (48,1%), колоректальный рак (10,4%), рак легких (8,3%) и рак молочной железы (7,8%) [1]. Хотя рак молочной железы и занимает 4-е место среди выявленных метастазов, исследования при аутопсии показывают большую частоту распространенности [1, 4]. Средний возраст пациентов с метастазами составляет 51–55,4 года [4, 5].
Время между диагностикой рака молочной железы и метастазами в щитовидную железу колеблется от 2 мес до 22 лет [6–8].
Клиническая картина метастазов в щитовидную железу очень скудная, практически бессимптомная. Это обусловлено тем, что они обычно развиваются на фоне распространенного метастатического процесса, и изменения в щитовидной железе при этом клинически незначимые. В случаях, когда метастазы являются изолированными как проявление рецидива заболевания, они проявляются наличием опухоли в области щитовидной железы или шеи, иногда дисфагией или дисфонией [9].
С целью морфологического подтверждения поражения щитовидной железы необходимо выполнять тонкоигольную аспирационную биопсию с последующим цитологическим и иммуногистохимическим исследованием [10].
Как правило, при раке молочной железы поражение щитовидной железы носит метахронный характер. Синхронное метастазирование наблюдается редко [5].
Мы наблюдали 2 пациенток с одновременным поражением щитовидной железы при наличии первичной опухоли молочной железы.
Клиническое наблюдение
Больная Б., 72 года, обратилась с жалобами на наличие опухолевидного образования в области щитовидной железы, боли в костях летучего характера. При объективном обследовании в верхне-наружном квадранте левой молочной железы пальпируется опухоль размером 1,3×2 см без четких границ, подвижная. Сосково-ареолярный комплекс без особенностей. Очаговой патологии в правой молочной железе не выявлено. В подмышечной впадине слева определяются лимфатические узлы размером до 2×1 см, плотные, подвижные, не спаянные друг с другом. Справа подмышечные лимфоузлы размером 0,6×0,9 см, эластические. Надключичные и шейные лимфатические узлы не пальпируются. По данным маммографии – образование в левой молочной железе специфического характера. По данным ультразвукового исследования (УЗИ) – заболевание левой молочной железы с метастазами в подмышечные лимфатические узлы. При УЗИ щитовидной железы размеры ее увеличены: правая доля – 12×22 мм, левая доля – 14×24 мм, эхоструктура однородная, гипоэхогенная. Очаговых образований не выявлено. С двух сторон определяются шейные лимфоузлы пониженной эхогенности размером до 10 мм. С целью уточнения распространенности опухолевого процесса больной выполнена позитронно-эмиссионная томография/компьютерная томография (ПЭТ/КТ) с 18-фтордезоксиглюкозой (18-ФДГ).
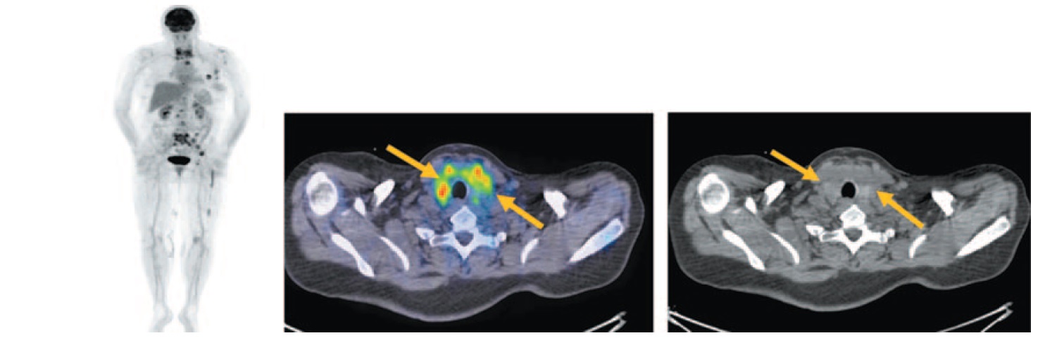
На MIP ПЭТ/КТ и аксиальных проекциях отмечается диффузное умеренное увеличение размеров щитовидной железы с повышенной фиксацией 18-ФДГ, коэффициент стандартизированного максимального накопления 18-ФДГ SUVmax составил 10,90. Структура ее однородная. С двух сторон отмечаются шейные лимфоузлы размером 8–13 мм с повышенной фиксацией радиофармпрепарата (РФП); рис. 1.
Рис. 1. Больная Б., 72 года, до лечения. На MIP и аксиальных ПЭТ/КТ проекциях отмечается диффузное умеренное увеличение размеров щитовидной железы: правой доли до 10×21 мм, левой доли до 13×22 мм с повышенной фиксацией РФП, SUVmax 10,90. Структура ее в условиях нативного сканирования однородная. Определяются лимфатические узлы с двух сторон размером до 8 мм SUVmax 5,48; IIa, IIb группы справа и III, IV групп с двух сторон размером до 13 мм с повышенной фиксацией РФП, SUVmax 12,93. / Fig. 1. A 72-year-old woman before the treatment. MIP and axial positron emission tomography/computed tomography (PET/CT) images show moderate diffuse enlargement of the thyroid gland: the right lobe of the thyroid gland is 10×21 mm, the left lobe of the thyroid gland is 13´22 mm with increased uptake of radiopharmaceutical, SUVmax 10.90. The structure of the thyroid gland during native computed tomography images was homogeneous. The images showed lymph nodes on both sides measuring 8 mm SUVmax 5.48; IIa, IIb groups on the right side and III, IV groups on both sides measuring 13 mm with increased uptake of radiopharmaceutical (RFP), SUVmax 12.93.
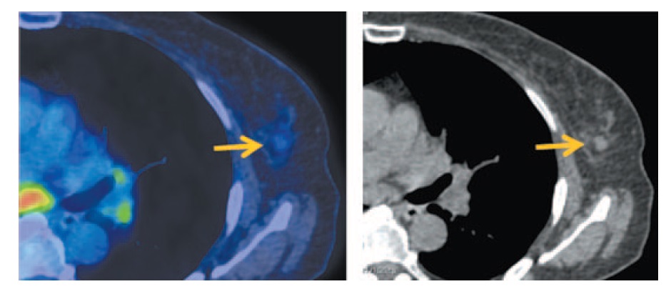
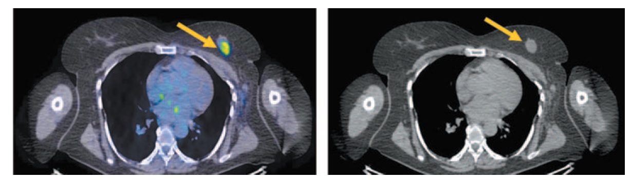
В левой молочной железе в верхне-наружном квадранте на фоне неоднородно уплотненной железистой ткани определяется узловое образование диаметром до 11 мм с повышенной фиксацией 18-ФДГ с SUVmax 1,33 (рис. 2).
Рис. 2. Больная Б., 72 года, до лечения. На аксиальных ПЭТ/КТ проекциях в левой молочной железе в верхне-наружном квадранте на фоне неоднородно уплотненной железистой ткани определяется узловое образование диаметром до 11 мм с повышенной очаговой фиксацией ФДГ с SUVmax 1,33. Регионарные аксиллярные лимфоузлы слева единичные, с утолщенным кортикальным слоем размером до 17×8 мм, SUVmax 1,45. / Fig. 2. A 72-year-old woman before the treatment. Axial PET/CT images show the lump measuring <11 mm in diameter with the focal increased fludeoxyglucose (FDG) uptake SUVmax 1.33 in the upper outer quadrant of left breast against the background of heterogeneously scirrhous glandular tissue. Regional axillary lymph nodes on the left hand side are single, with cortical thickening measuring 17×8 mm, SUVmax 1.45.
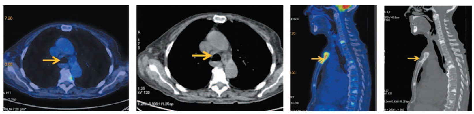
Кроме того, по данным ПЭТ/КТ выявлены множественные медиастинальные лимфатические узлы размером до 15 мм с повышенной фиксацией 18-ФДГ, SUVmax 5,0. Во всех костных структурах отмечается картина смешанной, преимущественно бластической, перестройки, SUVmax 7,65 (рис. 3).
Рис. 3. Больная Б., 72 года, до лечения. На аксиальных и сагиттальных ПЭТ/КТ проекциях определяются множественные медиастинальные лимфоузлы (паратрахеальные верхней и нижней группы, бронхопульмональные с двух сторон, бифуркационные), размером до 15 мм с повышенной фиксацией ФДГ с SUVmax 5,0. Во всех костных структурах зоны сканирования на фоне смешанной перестройки костной ткани (преимущественно бластической, в грудине – литический характер) отмечается очаговый гиперметаболизм ФДГ SUVmax 7,65. / Fig. 3. A 72-year-old woman before the treatment. Axial and sagittal PET/CT images show multiple mediastinal lymph nodes (upper and lower paratracheal, bronchopulmonary on both sides, bifurcation groups of lymph nodes) measuring 15 mm with increased uptake of FDG SUVmax 5.0. In all bone structures of the scanning zone against the background of mixed bone remodeling (mostly blastic lesion, in the sternum – lytic metastatic lesion) with focal increased RFP uptake SUVmax 7.65.
Выполнена core-биопсия опухоли левой молочной железы. При гистологическом и иммуногистохимическом исследовании – инвазивная протоковая карцинома, G2, РЭ+, РП+, Her-2 neu – 0, Ki-67 менее 20% люминальный тип А, Her-2 - отрицательный. Произведена тонкоигольная аспирационная биопсия щитовидной железы – при цитологическом исследовании определяются железистоподобные и сосочкоподобные структуры из полиморфных клеток рака, соответствующих по клеточным и структурным признакам протоковому раку молочной железы. Заключение: метастаз рака молочной железы. Установлен окончательный диагноз: рак левой молочной железы стадии IV с T1N1M1. Метастазы в щитовидную железу, медиастинальные и шейные лимфоузлы, кости.
С учетом распространенности опухолевого процесса, синхронного характера метастатического поражения, биологического варианта опухоли больной назначена таргетная терапия ингибиторами CDK 4/6 – палбоциклиб, гормонотерапия – Аромазин и бисфосфонаты.
После 6 циклов указанного лечения с целью оценки эффекта проводимой терапии выполнена ПЭТ/КТ с 18-ФДГ. При этом отмечаются незначительное уменьшение размеров щитовидной железы и снижение ее метаболической активности в 1,9 раза (рис. 4).
Рис. 4. Больная Б., 72 года. Состояние после 6 циклов таргетной и гормонотерапии. На MIP и аксиальных ПЭТ/КТ проекциях сохраняется диффузное умеренное увеличение размеров щитовидной железы до 6×20 мм правой доли и 11×22 мм левой доли. Фиксация РФП снизилась до SUVmax 5,74, ранее 10,90. / Fig. 4. A 72-year-old woman. The condition of the patient after 6 cycles of targeted and hormone therapy. Axial MIP and PET/CT images show the persisted moderate diffuse enlargement of right and left lobes of the thyroid gland measuring 6×20 mm and 11×22, respectively. RFP uptake is decreased to SUVmax 5.74, previously 10.90.
Опухоль в левой молочной железе не определяется, т.е. получена полная регрессия (рис. 5).
Рис. 5. Больная Б., 72 года. Состояние после 6 циклов таргетной и гормонотерапии. На аксиальных ПЭТ/КТ проекциях в верхне-наружном квадранте левой молочной железы узловое образование не дифференцируется, очагов фиксации РФП не выявлено. / Fig. 5. A 72-year-old woman. The condition of the patient after 6 cycles of targeted and hormone therapy. Axial MIP and PET/CT images show that lump in the upper outer quadrant of left breast is not differentiated and without focal increased RFP uptake.
Ранее увеличенные медиастинальные лимфатические узлы всех групп уменьшились в размерах в 1,9 раза, равно как и фиксация 18-ФДГ снизилась до фоновой. Кроме того, в костях скелета отмечается нарастание остесклеротической плотности на фоне вторичных очагов (рис. 6).
Рис. 6. Больная Б., 72 лет. Состояние после 6 циклов таргетной и гормонотерапии. На аксиальных и сагиттальных ПЭТ/КТ проекциях медиастинальные лимфоузлы (паратрахеальные верхней и нижней группы, бронхопульмональные с двух сторон, бифуркационные) сократились до 8 мм, ранее 15 мм. Фиксация РФП снизилась до фоновой, SUVmax 3,64, ранее 5,07. В костях скелета отмечается нарастание остеосклеротической плотности на фоне вторичных очагов. Сохраняется очаговый гиперметаболизм в единичных очагах ФДГ SUVmax 7,77. / Fig. 6. A 72-year-old woman. The condition of the patient after 6 cycles of targeted and hormone therapy. Axial and sagittal PET/CT images show that mediastinal lymph nodes (upper and lower paratracheal, bronchopulmonary on both sides, bifurcation groups of lymph nodes) have become 8 mm, previously 15 mm. The RFP uptake is decreased to baseline, SUVmax 3.64, previously 5.07. In the bones of the skeleton there is an increase in osteosclerotic density against the background of secondary transformation (metastases). The focal hypermetabolism is still detected in the single focal areas of FDG uptake SUVmax 7.77.
Больная К., 55 лет, обратилась с жалобами на наличие опухоли в области щитовидной железы, осиплость голоса, увеличение лимфоузлов в подмышечной впадине слева. При объективном обследовании щитовидная железа увеличена, размером до 8,5×7,5 см, плотная, безболезненная. На границе верхних квадрантов в левой молочной железе определяется опухоль размером 2×3 см, плотная, кожные симптомы отрицательные. В левой подмышечной впадине пальпируются увеличенные лимфатические узлы в виде конгломерата, размером 3,5×4,5 см, плотные, метастатического характера. В правой подмышечной впадине лимфатические узлы размером 0,8×1,1 см эластической консистенции. Надключичные лимфатические узлы не пальпируются. При УЗИ щитовидной железы – левая доля ее четко не дифференцируется, правая – размером 15×36 мм, пониженной эхогенности, очаговых образований не выявлено. Кпереди от щитовидной железы, распространяясь на гортань, визуализируется объемное солидное образование в виде инфильтрата пониженной эхогенности, неоднородное, с гиперэхогенными участками, общим размером 70×30 мм. При видеоларингоскопии выявлен парез левой голосовой связки. Заподозрен рак молочной железы с метастазами в щитовидную железу. Произведена тонкоигольная аспирационная биопсия молочной и щитовидной желез.
При цитологическом исследовании пунктата опухоли молочной железы определяются железистоподобные и сосочкопобные комплексы из полиморфных клеток умеренно дифференцированного протокового рака (рис. 7).
Рис. 7. Больная К., 55 лет. Пунктат опухоли молочной железы. Клеточный состав обильный, представлен многочисленными папиллярными, железистоподобными структурами опухолевых клеток протокового рака. В ядрах просматриваются увеличенные ядрышки. Окрашивание по Романовскому. Ув. 1000. / Fig. 7. A 55-year-old woman. The aspiration of breast tumor. The cell elements are abundant and represented by numerous papillae-like, gland-like structures of tumor cells of ductal carcinoma. The nuclei have enlarged nucleoli. Romanowsky stain, ×1000.
При цитологическом исследовании пунктата щитовидной железы опухолевые клетки располагаются как в плотных сосочковых структурах, так и разрозненно. Определяются железистоподобные и сосочкоподобные структуры из полиморфных и гиперхромных клеток рака, аналогичные протоковому раку молочной железы (рис. 8).
Рис. 8. Больная К., 55 лет. Пунктат опухоли щитовидной железы. Определяются железистоподобные и сосочкоподобные структуры из полиморфных и гиперхромных клеток рака, соответствующих протоковому раку молочной железы. Окрашивание по Романовскому. Ув. 1000. / Fig. 8. A 55-year-old woman. The aspiration of thyroid tumor. Gland-like and papillae-like structures from polymorphic and hyperchromic cell cancers corresponding to ductal carcinoma are detected Romanowsky stain, ×1000.
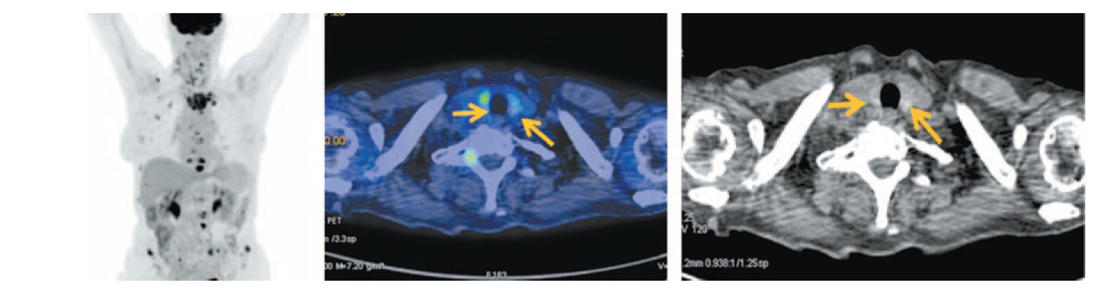
Для установления распространенности опухолевого процесса выполнена ПЭТ/КТ с 18-ФДГ. Определяется увеличение объема щитовидной железы с повышенной фиксацией РФП, стандартизированный коэффициент максимального накопления, SUVmax составил 6,3. Плотность ткани железы снижена. Определяются множественные мелкие, до 6 мм, яремные лимфатические узлы слева II–V групп с диффузной фиксацией РФП, SUVmax 2,35 (рис. 9).
Рис. 9. Больная К., 55 лет. На MIP и аксиальных ПЭТ/КТ проекциях в щитовидной железе с двух сторон определяется увеличение объема ткани с повышенной фиксацией РФП, SUVmax 6,30, плотность ткани снижена, справа метаболическим размером до 29×39×52 мм, слева до 38×48×43 мм, контуры нечеткие. / Fig. 9. A 55-year-old woman. MIP and axial PET/CT images show the enlargement of the thyroid gland tissue on both sides with increased RFP uptake, SUVmax 6.30, the density of tissue is decreased on the right measuring 29×39×52 mm and on the left measuring 38×48×43 mm, the margins are fuzzy.
В левой молочной железе на границе верхних квадрантов определяется узловое образование размером 20×23 мм с повышенной фиксацией РФП. Полисегментарно в легких с двух сторон определяются очаговые образования размером до 6 мм. На фоне инфильтрированной клетчатки слева определяются аксиллярные лимфатические узлы размером до 26×12 мм с повышенной фиксацией 18-ФДГ, SUVmax 3,52 (рис. 10).
Рис. 10. Больная К., 55 лет. На аксиальных ПЭТ/КТ проекциях на границе верхних квадрантов левой молочной железы определяется узловое образование размером до 20×23 мм с повышенной фиксацией ФДГ с SUVmax 6,19 с четким неровным контуром, однородной плотности. / Fig. 10. A 55-year-old woman. Axial PET/CT images show a lump measuring 20×23 mm in the border in the upper quadrants of left breast with increased FDG uptake SUVmax 6.19 with clear rough margins and homogeneous density.
Яичники кистозно измененные с двух сторон, больше справа, размером до 86×134 мм, с перегородками, с диффузной фиксацией 18-ФДГ, SUVmax 5,86.
В костях скелета определяются множественные очаги остеобластической перестройки, с повышенной фиксацией РФП (рис. 11).
Рис. 11. Больная К., 55 лет. На сагиттальных ПЭТ/КТ проекциях в костях скелета определяются множественные очаги повышенной фиксации РФП на фоне остеобластической перестройки костной ткани, SUVmax 4,86.
Fig. 11. A 55-year-old woman. Sagittal PET/CT images show that in the bones of the skeleton are defined multiple focal increased RFP uptake against the background of osteoblastic bone remodeling, SUVmax 4.86.
Заключение: ПЭТ/КТ данные образования левой молочной железы с повышенной метаболической активностью специфического характера. Вторичное поражение щитовидной железы, шейных и аксиллярных лимфоузлов слева, яичников, костей скелета и легких.
Выполнена core-биопсия опухоли левой молочной железы. При гистологическом и иммуногистохимическом исследовании – инвазивная протоковая карцинома, G2, РЭ+, РП+, Her-2 neu – 0, Ki-67 менее 20% – люминальный тип А, Her-2 отрицательный.
Установлен окончательный диагноз: рак левой молочной железы стадии IV с T2N1M1, метастазы в щитовидную железу, лимфоузлы шеи, легкие, яичники и кости.
С учетом распространенности опухолевого процесса назначена полихимиотерапия (ПХТ) по схеме таксаны + цисплатин, гормонотерапия ингибиторами ароматазы и бисфосфонаты. Проведено 2 цикла.
В представленных нами случаях синхронного метастазирования в щитовидную железу рака молочной железы, по данным ПЭТ/КТ, наблюдалось диффузное поражение щитовидных желез. Стандартизированный коэффициент максимального накопления, SUVmax при этом составил 10,9 и 6,3. Метастазы в кости сопровождались остеобластической перестройкой их структуры. Подобные сообщения в литературе отсутствуют. В обоих случаях заболевание дебютировало с появления опухолевидного образования в области щитовидной железы. У пациентки 55 лет наблюдалась осиплость голоса за счет пареза левой голосовой связки. В связи с распространенностью опухолевого процесса больным проводились ПХТ, таргетная и гормонотерапия, которая позволила получить полную регрессию опухоли молочной железы, а также частичную регрессию проявлений метастазов, включая снижение их метаболической активности.
Обсуждение
Щитовидная железа имеет обильное артериальное кровоснабжение, однако метастатическое поражение ее встречается редко. Объясняется это большой скоростью артериального кровотока, высоким насыщением кислородом и содержанием йода [1, 4, 11, 12].
Чаще всего в щитовидную железу метастазируют почечно-клеточный рак, опухоли желудочно-кишечного тракта, рак легких и молочной железы [1, 9, 13]. На долю метастатического поражения щитовидной железы при раке молочной железы приходится от 3 до 34%. В обзоре литературы A. Plonczak и соавт. (2017 г.) приводят сводные данные о метастатическом поражении щитовидной железы при раке молочной железы начиная с 1941 по 2013 г. [11]. Количество наблюдений за этот период составило 72 случая, а частота – от 3 до 34% [9, 14].
Y. Zhang и соавт. (2020 г.) провели поиск в PubMed по декабрь 2019 г. и обнаружили 15 сообщений о метастазировании в щитовидную железу из опухоли молочной железы. Согласно полученным данным, самым распространенным вариантом гистологического строения являлась инвазивная протоковая карцинома. Клиническая картина, по их данным, как правило, не имеет симптомов. Диагностика осуществляется в основном по данным УЗИ и аспирационной биопсии с цитологическим и иммуногистохимическим исследованием [15].
М. Pensabene и соавт. (2018 г.) выполнили поиск в PubMed по метастатическому поражению щитовидной железы при различных солидных опухолях, включая рак молочной железы. Всего они обнаружили 18 статей за период с 1962 по 2012 г., в которых сообщалось о 42 случаях метастазов рака молочной железы в щитовидную. Авторы отмечают различную длительность интервала от первичной опухоли до поражения щитовидной железы, которая максимально составила 22 года. Клинически метастазы обнаружили случайно, в процессе динамического наблюдения. Кроме того, они описывают собственный случай изолированного метахронного поражения щитовидной железы при раке молочной железы у пациентки 64 лет после адъювантной терапии по поводу рака. При динамическом наблюдении обнаружен узел в левой доле щитовидной железы, цитологически диагностирован метастаз рака молочной железы. Выполнена гемитиреоидэктомия. При гистологическом исследовании выявлен метастаз долькового рака молочной железы. После операции пациентка жива на протяжении 32 мес без признаков возврата заболевания [5].
L. Zhou и соавт. в 2017 г. опубликовали ретроспективный анализ клинических данных 8 больных раком молочной железы с метастазами в щитовидную железу за период с 2005 по 2015 г. Диагноз подтвержден цитологически после тонкоигольной биопсии. Наблюдалось как одностороннее, так и двустороннее поражение щитовидной железы. Клиническая картина при этом отсутствовала, а процесс носил метахронный характер с интервалом развития от 6 до 121 мес, составляя в среднем 76,5 мес.
У 2 больных при изолированных метастазах и успешном контроле первичного очага авторы выполнили хирургическое вмешательство в объеме гемитиреоидэктомии и тиреоидэктомии. Выживаемость без прогрессирования при этом составила 45 и 38 мес соответственно. В таких случаях авторы считают обоснованным выполнение хирургического вмешательства, а метод лечения – эффективным [4].
Метастазы в щитовидную железу делятся на синхронные и метахронные. Последние определяются как метастазы через 6 мес и более после постановки первичного диагноза. До 80% метастазов в щитовидную железу являются метахронными. Средний интервал возникновения при этом составляет 2,3 года, например, при раке головы и шеи [13], до 121 мес при раке молочной железы [1]. Указания на синхронный характер метастазов в щитовидную железу одновременно с раком молочной железы в литературе носят единичный характер [15, 16]. Причем более длительный интервал возникновения свидетельствует о благоприятном прогнозе заболевания. Наоборот, синхронные метастазы отражают агрессивное течение болезни, так, 5-летняя продолжительность жизни при этом в среднем составила 7,9% [17].
L. Hegerova и соавт. (2015 г.) сообщили, что 79% из всех пациентов наряду с поражением щитовидной железы одновременно имели метастазы в другие органы [13].
В представленных нами наблюдениях метастазы в щитовидную железу одновременно с раком молочной железы носили синхронный характер. В обоих случаях отмечались множественные остеобластические метастазы в кости, легкие, яичники, лимфоузлы средостения и шеи.
У больных метастатический рак щитовидной железы часто сопровождается отдаленными метастазами в другие органы, поэтому тактика лечения определяется биологическим вариантом опухоли и локализацией поражений [15].
Единых подходов к хирургическому лечению при вторичных опухолях щитовидной железы не существует из-за отсутствия проспективных исследований. В некоторых исследованиях показано, что пациенты, которым выполнено хирургическое вмешательство в объеме гемитериоидэктомии и тиреоидэктомии, достигают лучших результатов по сравнению с наблюдением [13]. Другие считают, что оперативное лечение не влияет на общую выживаемость, которая при этом остается низкой [3, 6]. Тем не менее ряд авторов констатируют, что тиреоидэктомия возможна только при метастатических, как правило, изолированных, вторичных опухолях щитовидной железы в случае излечения первичной опухоли [4, 5].
Так, A. Plonczak и соавт. (2017 г.) описали случай тиреоид-эктомии по поводу метахронного изолированного поражения щитовидной железы у 62-летней пациентки через 12 лет лечения двухстороннего синхронного инвазивного протокового рака молочной железы [11].
Распространенные опухолевые процессы могут вызвать ряд грозных осложнений, включая дисфонию, дисфагию, нарушение проходимости дыхательных путей, для устранения потенциальных осложнений требуются хирургические вмешательства [11, 12].
Химиотерапия и эндокринная терапия могут быть эффективными у больных с распространенными системными метастазами, такими как кости, печень, легкие [4, 18].
У представленных больных в связи с метастатическим раком молочной железы с синхронными опухолевыми поражениями, люминальном подтипе А лечение начато с ПХТ (таксаны, цисплатин), таргетной терапии – ингибиторы CDK 4/6 и гормонотерапии ингибиторами ароматазы.
Сведения по лучевой терапии при метастатических поражениях щитовидной железы весьма ограничены. Она облегчает симптомы болезни, особенно у пациентов при наличии противопоказаний к хирургическому лечению [15].
Основными методами в рутинной диагностике поражений щитовидной железы, по данным различных авторов, являются УЗИ и тонкоигольная аспирационная биопсия [4, 5, 11, 16]. При УЗИ визуализируется гетерогенная паренхима с диффузными кальцинатами, редко – гипоэхогенная или узловое образование с неровными краями с аналогичной характеристикой [4]. Однако ультразвуковые признаки при наличии узлов в щитовидной железе не позволяют различать первичные и вторичные опухоли. Цитологический метод и иммуногистохимическое исследование являются основными в установлении диагноза при вторичном поражении щитовидной железы [19–22]. При этом иммуногистохимическое исследование позволяет дифференцировать метастатический рак молочной железы от первичной опухоли щитовидной железы. Точность биопсии под контролем УЗИ составляет 90,8–91,2% [4].
В последние годы количество сообщений о вторичном поражении щитовидной железы увеличилось благодаря внедрению новых диагностических опций, таких как ПЭТ, совмещенная с рентгеновской КТ [1, 16, 23].
О диагностических возможностях метастатического поражения щитовидной железы при раке молочной железы с помощью ПЭТ/КТ в литературе имеются единичные сообщения. Так, М. Pensabene и соавт. (2018 г.) при ПЭТ/КТ у больной раком молочной железы выявили увеличение левой доли щитовидной железы с неоднородной ее структурой. Это позволило заподозрить вторичное поражение. В дальнейшем диагноз подтвержден при гистологическом исследовании операционного препарата [5].
R. Durmo и соавт. (2019 г.) выявил опухоль в щитовидной железе у пациентки 72 лет, ранее лечившейся по поводу рака молочной железы с помощью ПЭТ/КТ, стандартизированный коэффициент максимального накопления, SUVmax равен 3,5. В последующем диагноз метастатического поражения установлен цитологически. Авторы подчеркивают необходимость исследования изменений в щитовидной железе у пациентов со злокачественными опухолями в анамнезе с помощью ПЭТ/КТ. Это имеет важное значение для рациональной диспансеризации.
В представленных наблюдениях диагноз метастатического поражения щитовидной железы при раке молочной железы установлен с помощью ПЭТ/КТ с 18-ФДГ, SUVmax при этом составил 10,9 и 6,3 [23].
Заключение
Синхронные метастазы в щитовидную железу при раке молочной железы встречаются редко. Основным методом диагностики является аспирационная тонкоигольная биопсия с цитологическим и иммуногистохимическим исследованием. Методом выбора медицинской визуализации при постановке диагноза вторичного поражения щитовидной железы при раке молочной железы является ПЭТ/КТ. Любые изменения в щитовидной железе у пациентов со злокачественными новообразованиями в анамнезе, включая рак молочной железы, должны быть исследованы с целью исключения вторичного поражения. Системная терапия, включая химиотерапию, таргетную терапию и гормональную терапию, является методом выбора лечения метастатического рака молочной железы с поражением щитовидной железы с учетом биологического варианта опухоли.
Конфликт интересов. Авторы заявляют об отсутствии конфликта интересов.
Conflict of interests. The authors declare no conflict of interest.
Об авторах
Николай Алексеевич Огнерубов
ФГБОУ ВО «Тамбовский государственный университет им. Г.Р. Державина»; ГБУЗ «Тамбовский областной онкологический клинический диспансер»
Автор, ответственный за переписку.
Email: ognerubov_n.a@mail.ru
ORCID iD: 0000-0003-4045-1247
SPIN-код: 3576-3592
д-р мед. наук, канд. юрид. наук, проф., зав. каф. онкологии Медицинского института ФГБОУ ВО «ТГУ им. Г.Р. Державина», зам. глав. врача по КЭР ГБУЗ ТООКД, засл. работник высшей школы РФ, засл. врач РФ
Россия, Тамбов; ТамбовТатьяна Сергеевна Антипова
ООО «ПЭТ-Технолоджи»; Центр ядерной медицины
Email: antipovats@gmail.com
ORCID iD: 0000-0003-4165-8397
врач
Россия, Тамбов; ТамбовЕлена Евгеньевна Палкина
ГБУЗ «Тамбовский областной онкологический клинический диспансер»
Email: palkina68@mail.ru
врач-цитолог
Россия, ТамбовСписок литературы
- Chung AY, Tran TB, Brumund KT, et al. Metastases to the thyroid: a review of the literature from the last decade. Thyroid. 2012;22(3):258-68. doi: 10.1089/thy.2010.0154
- Calzolari F, Sartori PV, Talarico C, et al. Surgical treatment of intrathyroid metastases: preliminary results of a multicentric study. Anticancer Res. 2008;28(5B):2885-8.
- Papi G, Fadda G, Corsello SM. Metastases to the thyroid gland: Prevalence, clinicopathological aspects and prognosis: a 10-year experience. Clin Endocrinol. 2007;66(4):565-71. doi: 10.1111/j.1365-2265.2007.02773.x
- Zhou L, Chen L, Xu D, et al. Breast cancer metastasis to thyroid: A retrospective analysis. Afr Health Sci. 2017;17(4):1035-43. doi: 10.4314/ahs.v17i4.11
- Pensabene M, Stanzione B, Cerillo I, et al. It is no longer the time to disregard thyroid metastases from breast cancer: a case report and review of the literature. BMC Cancer. 2018;18:146. doi: 10.1186/s12885-018-4054-x
- Wood K, Vini L, Harmer C. Metastases to the thyroid gland: the Royal Marsden experience. Eur J SurgOncol. 2004;30(6):583-8. doi: 10.1016/j.ejso.2004.03.012
- Nakhjavani M, Gharib H, Coellner JR, van Heerden J. Metastases to the thyroid gland, a report of 43 cases. Cancer. 1997;79:574-8. doi: 10.1002/(sici)1097-0142(19970201)79:3<574::aid-cncr21>3.0.co;2-#
- De Ridder M, Sermeus AB, Urbain D, Storme GA. Metastases to the thyroid gland-a report of six cases. Eur J Intern Med. 2003;14(6):377-9. doi: 10.1016/s0953-6205(03)90005-7
- Surov A, Machens A, Holzhausen HJ, et al. Radiological features of metastases to the thyroid. Acta Radiol. 2016;57(4):444-50. doi: 10.1177/0284185115581636
- Ménégaux F, Chigot JP. Les metastases thyroïdiennes. Ann Chir. 2001;126:981-4. doi: 10.1016/s0003-3944(01)00649-6
- Plonczak AM, DiMarco AN, Dina R, et al. Breast cancer metastases to the thyroid gland – an uncommon sentinel for diffuse metastatic disease: a case report and review of the literature. J Med Case Rep. 2017;11:269. doi: 10.1186/s13256-017-1441-x
- Cichon S, Anielski R, Konturek A, et al. Metastases to the thyroid gland: seventeen cases operated on in a single clinical center. Langenbecks Arch Surg. 2006;391:581-7. doi: 10.1007/s00423-006-0081-1
- Hegerova L, Griebeler ML, Reynolds JP, et al. Metastasis to the thyroid gland: report of a large series from the Mayo Clinic. Am J Clin Oncol. 2015;38:338-42. doi: 10.1097/COC.0b013e31829d1d09
- Saito Y, Sugitani I, Toda K, et al. Metastatic thyroid tumors: ultrasonographic features, prognostic factors and outcomes in 29 cases. Surg Today. 2014;44:55-61. doi: 10.1007/s00595-013-0492-x
- Zhang YY, Xue S, Wang ZM, et al. Thyroid metastasis from breast cancer presenting with enlarged lateral cervical lymph nodes: A case report. World J Clin Cases. 2020; 8(4):838-47. doi: 10.12998/wjcc.v8.i4.838
- Kim TY, Kim WB, Gong G, et al. Metastasis to the thyroid diagnosed by fine-needle aspiration biopsy. Clin Endocrinol. 2005;62(2):236-41. doi: 10.1111/j.1365-2265.2005.02206.x
- Chen JY, Chen IW, Hsueh C, et al. Synchronous diagnosis of metastatic cancer to the thyroid is associated with poor prognosis. Endocr Pathol. 2015;26:80-6. doi: 10.1007/s12022-015-9357-8
- National Comprehensive Cancer Network. Available at: https://www.nccn.org/professionals/physician_gls/pdf/breast.pdf. Accessed: 31.01.2017.
- Lacka K, Breborowicz D, Uliasz A, Teresiak M. Thyroid metastases from a breast cancer diagnosed by fine-needle aspiration biopsy. Case report and overview of the literature. Exp Oncol. 2012;34:129-33.
- Magers MJ, Dueber JC, Lew M, et al. Metastatic ductal carcinoma of the breast to the thyroid gland diagnosed with fine needle aspiration: A case report with emphasis on morphologic and immunophenotypic features. Diagn Cytopathol. 2016;44:530-4. doi: 10.1002/dc.23462
- Gong Y, Jalali M, Staerkel G. Fine needle aspiration cytology of a thyroid metastasis of metaplastic breast carcinoma: a case report. Acta Cytol. 2005;49:327-30. doi: 10.1159/000326158
- Owens CL, Basaria S, Nicol TL. Metastatic breast carcinoma involving the thyroid gland diagnosed by fine-needle aspiration: a case report. Diagn Cytopathol. 2005;33:110-5. doi: 10.1002/dc.20311
- Durmo R, Albano D, Giubbini R. Thyroid metastasis from breast cancer detected by 18F-FDG PET/CT. Endocrine. 2019;64:424-5. doi: 10.1007/s12020-019-01916-x
Дополнительные файлы














