The use of atezolizumab in combination with chemotherapy in first-line of metastatic small cell lung cancer. Case report
- 作者: Ognerubov N.A.1,2, Antipova T.S.3,4
-
隶属关系:
- Derzhavin Tambov State University
- Tambov Regional Oncological Clinical Dispensary
- “PET-Technoligy” Ltd
- Nuclear Medicine Center
- 期: 卷 23, 编号 2 (2021)
- 页面: 292-298
- 栏目: CLINICAL ONCOLOGY
- ##submission.dateSubmitted##: 29.06.2021
- ##submission.datePublished##: 16.08.2021
- URL: https://modernonco.orscience.ru/1815-1434/article/view/72330
- DOI: https://doi.org/10.26442/18151434.2021.2.200965
- ID: 72330
如何引用文章
全文:
详细
Background. Lung cancer (LC) occupies a leading position among malignant tumors in the world, it accounts for 11.4% of the total malignant neoplasms. In 2020, there were 2 206 771 new cases of LC and 1 796 144 deaths worldwide. Among the histological variants, small cell LC (SCLC) has the most unfavorable outcomes. This variant is considered highly sensitive to chemotherapy. Despite some successes in the treatment of this disease, the results of treatment remain problematical. In recent years, the use of immune checkpoint inhibitors has provided significant control of the course of the disease.
Aim. To show the efficacy of atezolizumab in combination with chemotherapy in patients with metastatic SCLC.
Materials and methods. A 76-year-old patient with left lung cancer, IVA T4N3M1b, the right supraclavicular lymph node metastases, exudative pleuritis of the left lung was under observation. The histological investigation showed SCLC. Brain metastases were not detected. ECOG 0.
Results. The patient was treated using atezolizumab 1200 mg in combination with carboplatin 5 AUC and etoposide 100 mg/m2 on days 1, 2, 3 for four cycles, followed by a maintenance therapy regimen with atezolizumab 1200 mg every 21 days. The patient received 21 injections during 14 months. The assessment of treatment effect was evaluated using combined 18F-fluorodeoxyglucose positron emission and X-ray computed tomography. As a result of the treatment, after 7 months, a complete clinical and morpho-metabolic regression of the tumor was reached, which persisted throughout the period of the treatment. Among the adverse events were detected grade 2 anemia and first-stage sensory neuropathy. No immune-related adverse events were observed.
Conclusion. The addition of atezolizumab to etoposide + carboplatin as the first-line therapy for extensive-stage SCLC provides the long-term overall and disease-free survival with achieving the satisfactory quality of life in patients and acceptable drug tolerance.
全文:
Введение
Рак легкого (РЛ) по распространенности занимает лидирующее положение среди всех злокачественных новообразований (ЗНО) в мире. По данным GLOBOCАN, в 2020 г. в мире выявлен 2 206 771 новый случай рака (11,4% всех ЗНО) и 1 796 144 случая смерти – 18% [1].
В России в 2019 г. РЛ занимал 3-е место в структуре заболеваемости злокачественными опухолями – 60 113 новых случаев [2]. При этом он является основной причиной смерти – 50 046 случаев. Гендерные различия выражены: у мужчин он занимает 1-е место (25%), а у женщин – 10-е место (4,3%).
РЛ по морфологической структуре является гетерогенным заболеванием. На долю аденокарциномы приходится 40%, а мелкоклеточный РЛ (МКРЛ) составляет 15% [3]. Почти 2/3 пациентов с МКРЛ имеют распространенную стадию опухолевого процесса, что связано с плохим прогнозом. При этом 5-летняя выживаемость составляет 2,9–7,5% [4].
МКРЛ является высокочувствительным к химиотерапии. Начиная с 1985 г. основной опцией его лечения была схема, содержащая цисплатин и этопозид, а с 1995 г. – карбоплатин и этопозид [5–8], применение которой первоначально обеспечивало высокую частоту объективного ответа (ЧОО). Однако, несмотря на это, медиана выживаемости пациентов составляла около 10 мес [9].
Последние годы ознаменовались появлением прорывной технологии – иммуноонкологии в лечении ЗНО, включая и РЛ. Применение ингибиторов контрольных точек (ИКТ) иммунного ответа СTLA4, PD-1/PD-L1 при МКРЛ позволило получить увеличение как общей (ОВ), так и безрецидивной выживаемости при обширных стадиях опухолевого процесса [10–14].
Ниже мы приводим собственный опыт длительного применения ИКТ иммунного ответа PD-1/PD-L1 атезолизумаба в комбинации с этопозидом и платиной у больного с метастатическим МКРЛ.
Клиническое наблюдение
Больной П., 76 лет. Обратился в феврале 2020 г. с жалобами на повышение температуры тела до 37,2–37,6ºС, слабость, похудение на 5 кг, сухой кашель. Указанные симптомы появились за 1 мес до обращения. Объективно: ECOG 0. Пациент работает (главный специалист предприятия). Питание понижено. Кожные покровы обычной окраски, на ощупь сухие. Пульс 71 уд/мин, ритмичный. Артериальное давление 140/80 мм рт. ст. В надключичной области справа пальпируется лимфатический узел размером 1,8×1,2 см, плотный, метастатического характера, подвижность ограничена. Подмышечные лимфоузлы с обеих сторон размером до 0,9×0,5 см, эластической консистенции, подвижные, безболезненные. При перкуссии в легких – легочный звук, слева, начиная с VII ребра, отмечается его укорочение. При аускультации – везикулярное дыхание, ослабленное слева в нижних отделах, начиная с VII ребра. Физиологические отправления не нарушены. Курит с 16 лет по 1 пачке сигарет в сутки.
Проведено обследование. Эхокардиография: фракция выброса – 55%. Сочетанный аортальный порок сердца, значительный стеноз, незначительная недостаточность аортального клапана.
Спиральная компьютерная томография (КТ) грудной клетки: КТ-картина центрального рака в корне левого легкого, опухолевый конгломерат 68×45×96 мм, с ателектазом S10 нижней доли левого легкого, метастазы в бронхопульмональные слева и медиастинальные лимфоузлы, с левосторонним плевритом. Заключение: картина центрального рака левого легкого. Бронхоскопия – перибронхиальный рак левого легкого, произведена биопсия. При гистологическом исследовании выявлена мелкоклеточная карцинома.
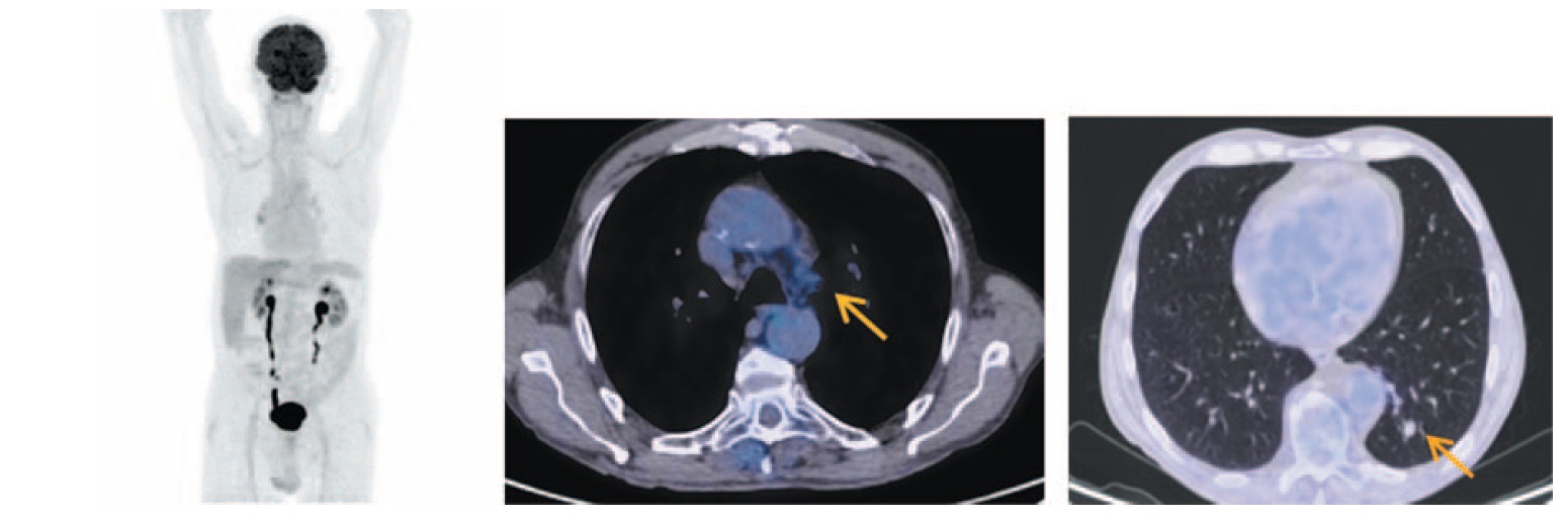
Комбинированная позитронно-эмиссионная и рентгеновская КТ (ПЭТ/КТ) с 18F-фтордезоксиглюкозой (ФДГ): патологическое образование в нижней доле левого легкого S10 размером 41×57×81 мм, SUVmax 10,75. В надключичной области справа определяется увеличенный метаболически активный лимфоузел размером до 14×9 мм, SUVmax 7,82. Увеличены паратрахеальные, бифуркационные, бронхопульмональные лимфоузлы (SUVmax 11,20), лимфоузлы аортопульмонального окна размером до 21×45 мм, SUVmax 10,53. В головном мозге в режиме рентгеновской КТ очаговых образований не выявлено. Экссудативный плеврит слева (рис. 1).
Рис. 1. Больной П., 76 лет, до лечения. На МIP- и аксиальных ПЭТ/КТ-проекциях определяется увеличенный метаболически активный надключичный лимфоузел справа размером до 14×9 мм, SUVmax 7,82. На фоне ателектаза нижней доли левого легкого в S10 визуализируется объемное образование (желтая стрелка), распространяющееся к корню, общим размером до 41×57×81 мм, прилегающее к задней костальной и паравертебральной плевре, с повышенной метаболической активностью ФДГ (SUVmax 10,75). Увеличены паратрахеальные, бифуркационные, бронхопульмональные лимфоузлы (SUVmax 11,20), лимфоузлы аортопульмонального окна размером до 21×45 мм, SUVmax 10,53 (красная стрелка). / Fig. 1. A 76-year-old patient P. before the treatment. MIP and axial PET/CT images show an enlarged metabolically active right supraclavicular lymph node measuring 14×9 mm, SUVmax 7.82. Against the background of atelectasis of the left lower lobe, a tumor mass formation (yellow arrow) is visualized in S10, extending to the root of the lung, with a total size measuring 41×57×81 mm, adjacent to the posterior costal and paraspinal pleura, with increased FDG metabolic activity (SUVmax 10.75). Enlarged paratracheal, bifurcation, bronchopulmonary lymph nodes (SUVmax 11.20) and aortopulmonary window lymph nodes measuring 21×45 mm, SUVmax 10.53 (red arrow) is detected.
Установлен окончательный диагноз: рак левого легкого, стадия IVА T4N3M1b, метастазы в надключичный лимфоузел справа, экссудативный плеврит слева.
Учитывая распространенность опухолевого процесса, а также вариант гистологического строения, больному назначена иммунотерапия атезолизумабом 1200 мг в комбинации с карбоплатином AUC 5 и этопозидом 100 мг/м2 1–3-й день.
Выполнена магнитно-резонансная томография головного мозга – данных по поводу метастатического поражения головного мозга не выявлено.
После 3-го цикла произведена мультиспиральная КТ грудной клетки. Отмечено уменьшение опухоли левого корня и S10: очаговые образования 16 мм, 17×13 мм с тяжами к левому корню, разрешение плеврита слева, уменьшение лимфоузлов средостения. По критериям RЕCIST v.1.1 получена частичная регрессия. Такая комбинация атезолизумаба с химиотерапией проведена на протяжении 4 циклов. В последующем вводился атезолизумаб в дозе 1200 мг каждый 21-й день.
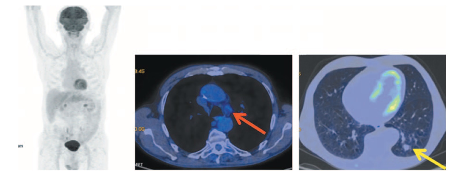
После 6-го введения атезолизумаба выполнена ПЭТ/КТ с 18F-ФДГ. Выраженная положительная динамика за счет сокращения размеров опухоли в нижней доле левого легкого до 15×16×15 мм (ранее 41×57×81 мм) без метаболической активности 18F-ФДГ. Восстановление объема легочной ткани левого легкого. В S10 на месте ателектаза сформировался пневмофиброз в виде узлового образования размером до 15×16 мм, без метаболической активности 18F-ФДГ. Отмечается уменьшение размеров паратрахеальных, бифуркационных лимфоузлов, включая аортопульмональное окно без фиксации радиофармпрепарата (РФП). В головном мозге в режиме рентгеновской КТ очаговых образований не выявлено (рис. 2).
Рис. 2. Больной П., 76 лет, после 6 введений атезолизумаба (через 3 мес от начала лечения). На МIP- и аксиальных ПЭТ/КТ-проекциях отмечается регрессия надключичного лимфоузла справа. Вентиляция легочной ткани левого легкого восстановлена. В S10 на месте ателектаза сформировался пневмофиброз с включением узлового образования в структуру размером до 15×16×15 мм (ранее размером до 41×57×81 мм) с четким контуром без метаболической активности ФДГ (желтая стрелка). В плевральных полостях и полости перикарда экссудата нет. Размеры паратрахеальных, бифуркационных узлов и аортопульмонального окна уменьшились без фиксации РФП (красная стрелка). / Fig. 2. A 76-year-old patient P. after 6 injections of atezolizumab (3 months after the start of treatment). MIP and axial PET/CT images show the regression of the right supraclavicular lymph node. Right lung ventilation is restored. In S10 the pneumofibrosis at the site of atelectasis with a nodular formation in a structure measuring 15×16×15 mm (previously measuring 41×57×81 mm) with the clear margins without FDG metabolic activity (yellow arrow) is detected. There is no exudate in the pleural and pericardial cavities. The size of paratracheal, bifurcation and aortopulmonary window lymph nodes decreased and without uptake of the RFP (red arrow).
По окончании 7-го введения атезолизумаба по данным магнитно-резонансной томографии головного мозга очаговой патологии не выявлено.
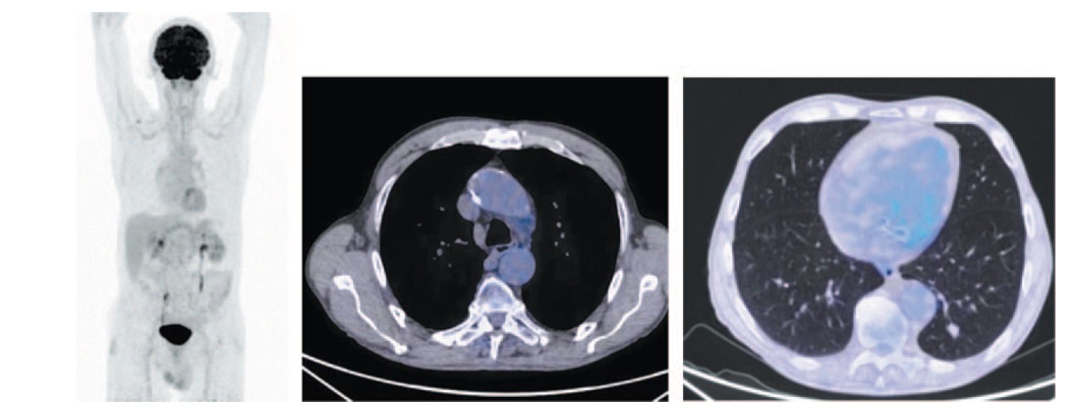
После 10-го введения атезолизумаба (через 7 мес от начала лечения) произведено ПЭТ/КТ-исследование. Объем нижней доли левого легкого восстановлен. На месте патологического образования отмечается фиброзный тяж без метаболической активности ФДГ. Надключичный лимфатический узел справа не определяется. В плевральных полостях и полости перикарда экссудата нет. Лимфоузлы средостения не выявлены (рис. 3). Отмечается полная регрессия опухоли по критериям RECIST v.1.1. и полный морфо-метаболический ответ по результатам ПЭТ/КТ.
Рис. 3. Больной П., 76 лет, после 10 введений атезолизумаба (через 6 мес от начала лечения). На МIP- и аксиальных ПЭТ/КТ-проекциях надключичный лимфоузел справа не визуализируется. В нижней доле левого легкого на месте патологического образования определяется тяж фиброза с узловым образованием (желтая стрелка) в структуре размером до 13×14 мм (ранее 15×16 мм) без метаболической активности ФДГ. Отмечается регресс цепочки паратрахеальных лимфоузлов с верхнего уровня до бифуркации. Лимфоузлы аортопульмонального окна размером до 10×12 мм (красная стрелка). / Fig. 3. A 76-year-old patient P. after 10 injections of atezolizumab (6 months after the start of treatment). MIP and axial PET/CT images did not show the right supraclavicular lymph. In the lower lobe of the left lung at the site of the pathological lesion, a band of fibrous tissue with a nodular formation (yellow arrow) is determined in a structure measuring 13×14 mm (previously 15×16 mm) without FDG metabolic activity. There is a regression of the paratracheal lymph nodes from the upper level to the bifurcation. Aortopulmonary window lymph nodes are measuring 10×12 mm (red arrow).
Продолжалась поддерживающая терапия атезолизумабом в дозе 1200 мг каждый 21-й день. Клинически признаков прогрессирования не отмечалось. После 16-го введения атезолизумаба выполнена очередная ПЭТ/КТ. В нижней доле левого легкого сохраняется тяж фиброза с узловым образованием в структуре размером до 12×10 мм без метаболической активности ФДГ. Сохраняются лимфоузлы аортопульмонального окна размером до 10 мм с фоновой фиксацией РФП (рис. 4). В соответствии с критериями RECIST v.1.1 у больного сохраняется полная регрессия опухолевого процесса, а по данным ПЭТ/КТ – полный морфо-метаболический ответ.
Рис. 4. Больной П., 76 лет, после 16 введений атезолизумаба (через 10 мес от начала лечения). На МIP- и аксиальных ПЭТ/КТ-проекциях в нижней доле левого легкого сохраняется тяж фиброза с узловым образованием в структуре размером до 12×10 мм без метаболической активности ФДГ. Сохраняются лимфоузлы аортопульмонального окна размером до 10 мм с фоновой фиксацией РФП. / Fig. 4. A 76-year-old patient P. after 16 injections of atezolizumab (10 months after the beginning of treatment). A band of fibrous tissue with a nodular formation in a structure measuring 12×10 mm without FDG metabolic activity in the lower lobe of the left lung is still detected on MIP- and axial PET/CT images. Aortopulmonary window lymph nodes measuring 10 mm with focal RFP uptake are still detected.
После 20-го введения атезолизумаба в дозе 1200 мг выполнена ПЭТ/КТ с 18F-ФДГ. В нижней доле левого легкого сохраняется тяж фиброза с узловым образованием в структуре прежней конфигурации и размером до 12×10 мм без метаболической активности ФДГ, равно как и лимфоузлы аортопульмонального окна с фоновой фиксацией РФП. По критериям RECIST v.1.1 у пациента сохраняется полная регрессия и полный морфо-метаболический ответ (рис. 5).
Рис. 5. Больной П., 76 лет, после 20 введений атезолизумаба (через 13 мес от начала лечения). На МIP- и аксиальных ПЭТ/КТ-проекциях в нижней доле левого легкого сохраняется тяж фиброза с узловым образованием в структуре прежней конфигурации размером до 12×10 мм без метаболической активности ФДГ и лимфоузлы аортопульмонального окна с фоновой фиксацией РФП. / Fig. 5. A 76-year-old patient P. after 20 injections of atezolizumab (after 13 months from the beginning of treatment). A band of fibrous tissue with a nodular formation in a structure of the same configuration measuring 12×10 mm without FDG metabolic activity and aortopulmonary window lymph nodes with focal RFP uptake in the lower lobe of the left lung are still detected on MIP- and axial PET/CT images.
В приведенном случае пациенту вводили атезолизумаб в дозе 1200 мг внутривенно каждые 3 нед вначале совместно с карбоплатином и этопозидом на протяжении 4 циклов, а затем в качестве поддерживающей терапии в дозе 1200 мг каждые 3 нед, которая продолжается и в настоящее время. Больной получил 21 введение атезолизумаба в течение 14 мес.
Из нежелательных явлений (НЯ) следует отметить анемию 2-й степени после 2-го цикла лечения и сенсорную нейропатию 1-й степени по окончании 3-го цикла. Применение указанной терапевтической опции позволило достичь полной регрессии опухоли, включая морфо-метаболический ответ, оцениваемый с помощью ПЭТ/КТ с 18F-ФДГ. Иммуноопосредованных НЯ не зафиксировано.
Качество жизни у пациента сохранено, он ведет активную физическую деятельность, сохраняет прежний социальный статус.
Обсуждение
МКРЛ является самым неблагоприятным, высокоагрессивным вариантом, склонным к раннему метастазированию.
Высокий пролиферативный индекс МКРЛ определяет его высокую химио- и радиочувствительность, применение которых обеспечивает быстрый эффект. При распространенном опухолевом процессе прогрессирование заболевания неизбежно. Медиана выживаемости составляет менее 6 мес [8].
В течение длительного времени химиотерапия МКРЛ препаратами платины с ингибиторами топомеразы II, а впоследствии этопозидом составляла основу лечения. Частота ответа при этом составила 60–70%, однако у большинства пациентов развивается резистентность к лекарственной терапии, что делает прогноз пессимистичным [8, 15].
A. Schmittel и соавт. в 2011 г. опубликовали результаты немецкого многоцентрового рандомизированного исследования III фазы по лечению распространенного МКРЛ (РМКРЛ) с применением 2 схем: иринотекан + карбоплатин и этопозид + карбоплатин. Они показали, что режим этопозид + карбоплатин является стандартным, при котором медиана ОВ составила 10 мес против 9 мес при применении схемы карбоплатин + иринотекан [16].
A. Rossi и соавт. в 2012 г. провели систематический обзор и метаанализ рандомизированных исследований по оценке эффективности химиотерапии на основе цисплатина и карбоплатина в качестве терапии 1-й линии при РМКРЛ. Первичной конечной точкой стала ОВ, а вторичными конечными точками – выживаемость без прогрессирования (ВБП), ЧОО и токсичность. В анализ включено 4 исследования с 660 пациентами, медиана ОВ для цисплатина составила 9,6 мес, для карбоплатина – 9,4 мес (отношение рисков – ОР 0,108; 95% доверительный интервал – ДИ 0,92–1,27; р=0,37). Медиана ВБП составила 5,5 и 5,3 мес для цисплатина и карбоплатина соответственно (ОР 1,10; 95% ДИ 0,94–1,29; р=0,25). ЧОО равнялась 67,1 и 66% соответственно (ОР 0,98; 95% ДИ 0,84–1,16; р=0,83). Профиль токсичности значительно отличался для каждого из препаратов. Карбоплатин имеет более низкую почечную, неврологическую и желудочно-кишечную токсичность по сравнению с цисплатином, но более высокую гематологическую. Авторы считают, что различий в эффективности цисплатина или карбоплатина при лечении в 1-й линии РМКРЛ нет, за исключением токсичности [8].
А. Lopez-Chavez и соавт. (2012 г.) также показали, что цисплатин и карбоплатин продемонстрировали сопоставимую эффективность в 1-й линии терапии РМКРЛ. При этом ЧОО составила 67 и 66% у пациентов, получающих цисплатин + этопозид и карбоплатин + этопозид соответственно [5].
H. Chen и соавт. (2020 г.) провели сетевой метаанализ применения химиотерапии 1-й линии при РМКРЛ за 20-летний период, начиная с 2000 г. Всего в анализ включено 46 исследований, в которых участвовали 11 987 пациентов. В 13 исследованиях для этой цели применяли режим этопозид + карбоплатин, который, по мнению авторов, является предпочтительным [18].
Иммуногенность МКРЛ обусловлена экспрессией рецепторов программируемой клеточной смерти PD-1/PD-L1 на опухолевых клетках и иммунных клетках стромы [19]. Кроме того, установлена корреляция с воздействием курения, вызывающего соматические мутации, что сопровождается высокой мутационной нагрузкой [20]. Аутоиммунные паранеопластические синдромы при этом морфологическом варианте наблюдаются в 5% случаев [21]. В последние годы иммуноонкология совершила переворот в лечении ЗНО, включая РЛ. Первые публикации по применению ИКТ иммунного ответа CTLA4 и PD-1 ниволумаба и ипилимумаба при рецидивирующем МКРЛ появились в 2016 г. [22, 23].
За последние 20 лет и более проведено первое рандомизированное многоцентровое двойное слепое плацебо-контролируемое исследование III фазы IMpower133, показавшее увеличение ОВ у больных РМКРЛ. В исследовании принимали участие 403 пациента с РМКРЛ, ранее не получавших химиотерапию по этому поводу. Статус ECOG оценивался как 0–1. В исследование включались пациенты с лечеными бессимптомными метастазами в головной мозг. Стратификация исследования осуществлялась по полу, статусу ECOG и наличию метастазов в головной мозг.
Рандомизация осуществлялась на 2 группы лечения. Первая (исследовательская) – 201 пациент. Они получали атезолизумаб 1200 мг в комбинации с карбоплатином AUС 5 мг/мл/мин в 1-й день и этопозидом 100 мг/м2 1–3-й дни каждого 21-дневного цикла на протяжении 4 циклов с последующим назначением атезолизумаба 1 раз в 3 нед. Больные 2-й группы (202 человека) получали плацебо + карбоплатин AUС 5 мг/мл/мин в 1-й день и этопозид 100 мг/м2 1–3-й день каждого 21-дневного цикла в течение 4 циклов с последующим введением плацебо 1 раз в 3 нед.
Лечение проводилось до прогрессирования заболевания, утраты клинической пользы или неприемлемой токсичности [24].
Первичные конечные точки – ОВ и ВБП. Вторичные конечные точки – ЧОО, длительность ответа и безопасность.
Оценка эффекта проводилась каждые 6 нед в соответствии с критериями RECIST 1.1. Медиана возраста составила 64 года.
При промежуточной медиане наблюдения 13,9 мес ОВ составила 12,3 мес (95% ДИ 10,8–15,9) у лиц, получающих атезолизумаб, и 10,3 мес в контрольной группе (95% ДИ 9,3–11,3), различия между ними достоверны (р=0,0069). Одногодичная выживаемость составила 51,9% у пациентов, получающих атезолизумаб, и 39% в контрольной группе [6].
Медиана ВБП составила 5,2 мес (95% ДИ 4,4–5,6) у лиц, получающих атезолизумаб в комбинации с химиотерапией, и 4,3 мес (95% ДИ 4,2–4,5; р=0,0170) в группе плацебо в комбинации с химиотерапией.
ЧОО при использовании атезолизумаба + этопозида и карбоплатина составила 60% (95% ДИ 53–67), из них полная регрессия констатирована в 2% случаев, а частичная – в 58%. У больных, получающих плацебо и карбоплатин + этопозид, объективный ответ диагностирован в 64% случаев (95% ДИ 57–71), полная регрессия отмечена в 1% наблюдений, а частичная – 63%. Важным критерием, характеризующим объективный ответ, является его длительность. При этом доля продолжающихся ответов была значительно выше в группе с атезолизумабом (14,9%) по сравнению с плацебо (5,4%).
У пациентов в группе атезолизумаба одногодичная ВБП составила 12,6%, а при применении только химиотерапии она была практически в 2 раза меньше – 5,4%. Подгрупповой анализ ОВ подтверждает клиническое преимущество добавления атезолизумаба к химиотерапии [25].
Токсичность проводимой комбинации соответствовала известным рискам, характерным для препаратов. Наиболее частыми НЯ 3–4-й степени стали нейтропения – 23%, анемия – 14%, тромбоцитопения – 10%. Иммуноопосредованные НЯ зарегистрированы у 41,4% больных в группе атезолизумаба, среди них наблюдались чаще всего сыпь – 22%, гипотирео-идизм – 12,6%, а также гепатит – 7,6%. В группе плацебо + химиотерапия их частота составила 24,5% [10, 25].
В исследовании показано, что уровень PD-L1 не влияет на преимущество ОВ, в связи с чем нет необходимости определять его уровень при назначении атезолизумаба в комбинации с химиотерапией [25].
Добавление атезолизумаба к этопозиду + карбоплатину в 1-й линии терапии РМКРЛ сопровождается значительным увеличением как ОВ, так и ВБП. При этом более 50% пациентов прожили 1 год. Полученные данные позволили рассматривать комбинацию атезолизумаба с карбоплатином и этопозидом в качестве нового стандарта терапии 1-й линии при РМКРЛ [25].
S. Liu и соавт. в 2021 г. опубликовали обновленный анализ ОВ с дополнительным 9-месячным наблюдением клинического исследования IMpower133. При этом медиана наблюдения составила 22,9 мес. Авторы сообщили о результатах ОВ в зависимости от мутационной нагрузки опухоли в крови (вТМВ), экспрессии PD-L1 и локализации метастазов, а также о безопасности [24].
ОВ через 12 мес увеличилась на 12,9% в группе атезолизумаб + химиотерапия относительно пациентов, получающих плацебо + химиотерапию, составляя при этом 51,9 и 39,0% соответственно. Медиана ОВ также составила 12,3 и 10,3 мес при применении атезолизумаба в комбинации с карбоплатином и этопозидом и плацебо и химиотерапии соответственно (ОР 0,76; 95% ДИ 0,60–0,95). Аналогичная ситуация наблюдалась и через 18 мес: 34 и 21% больных были живы в группах атезолизумаба в комбинации с карбоплатином и этопозидом и плацебо и химиотерапии.
Медиана ВБП при обновленном анализе равна 5,2 мес в группе атезолизумаб + этопозид с платиной и 4,3 мес в группе плацебо + химиотерапия (ОР 0,77; 95% ДИ 0,63–0,95); табл. 1.
Таблица 1. Обновленные результаты эффективности клинического исследования IMpower133 [24] Table 1. Updated results of the efficacy of the IMpower133 trial [24] | ||
Показатели | Атезолизумаб + карбоплатин + этопозид | Плацебо + карбоплатин + этопозид |
Медиана ОВ, мес | 12,3 | 10,3 |
95% ДИ | 10,8–15,8 | 9,3–11,3 |
ОР | 0,76 (0,60–0,95) | |
Медиана ВБП, мес | 5,2 | 4,3 |
95% ДИ | 4,4–5,6 | 4,2–4,5 |
ОР | 0,77 (0,63–0,95) | |
ЧОО, % | 60,2 | 64,4 |
95% ДИ | 53,1–67 | 57,3–71 |
Медиана продолжительности ответа, мес | 4,2 | 3,9 |
95% ДИ | 4,1–4,5 | 3,1– 4,2 |
ОР | 0,67 (0,51– 0,88) | |
При анализе прогрессирования этот процесс констатирован в существующих очагах в 57,7 и в 64,9% случаев в группе атезолизумаба в комбинации с химиотерапией и группе плацебо с химиотерапией соответственно. У 42,8 и 49% пациентов указанных групп соответственно появились новые очаги поражения. Наиболее частыми локализациями новых метастазов являлись центральная нервная система, легкие, лимфатические узлы и печень. Комбинация указанных поражений наблюдалась у 20,9 и 28,2% пациентов исследовательской и контрольной групп соответственно.
НЯ, обусловленные лечением, были сопоставимы с безопасностью, представленной при первичном анализе [10]. Иммуноопосредованные НЯ наблюдались у 20,2% пациентов 1-й группы с атезолизумабом и у 5,6% у больных 2-й группы с плацебо. Наиболее частыми иммунными побочными эффектами стали сыпь – 20,2% против 10,7%, гипотиреоз – 12,6% против 0,5%, гепатит – 70,6% против 4,6%.
Авторы приходят к мнению о том, что обновленные результаты ОВ после дополнительных 9 мес наблюдения демонстрируют клиническое преимущество атезолизумаба в комбинации с этопозидом и карбоплатином относительно плацебо + карбоплатин и этопозид при применении в 1-й линии терапии РМКРЛ. Добавление атезолизумаба к химиотерапии не увеличивает токсичность и не ухудшает качество жизни пациента. Клиническая польза атезолизумаба совместно с этопозидом и карбоплатином не зависит от статуса биомаркеров опухоли в крови вТМВ и PD-L1 [24].
K. Higgins и соавт. (2020 г.) показали, что добавление атезолизумаба к схеме химиотерапии этопозид + карбоплатин увеличивает на 9,7 мес медиану времени до прогрессирования в центральную нервную систему. В группе с атезолизумабом медиана составила 20,2 мес, в то время как с плацебо она равна 10,5 мес (ОР 0,66; 95% ДИ 0,44–1,0; р<0,046) [17].
Применение ИКТ иммунного ответа PD-1 ниволумаба или пембролизумаба при рецидивирующем и метастатическом РЛ в 3-й или более поздней линии терапии позволило получить клинический ответ у 12–20% пациентов, при этом медиана его продолжительности составила 17,2 мес [23, 26]. Эти данные позволили получить ускоренное одобрение Управления по контролю пищевых продуктов и лекарств в США для лечения МКРЛ в качестве терапии 3-й линии.
F. Facchinetti и соавт. (2020 г.) представили систематический обзор и метаанализ рандомизированных клинических исследований по оценки эффективности добавления ИКТ к стандартной схеме химиотерапии при РМКРЛ [27]. Авторы выявили 4 клинических исследования, дизайн результатов которых представлен в табл. 2.
Таблица 2. Характеристика клинических исследований, включенных в метаанализ ([27] с изм.) Table 2. Characteristics of clinical trials included in the meta-analysis ([27] with edition) | ||||
Исследование | IMpower133 | CASPIAN | KEYNOTE-604 | ECOG-ACRIN EA5161 |
Авторы | [17] | |||
Фаза исследования | I–III | III | III | II |
Вид исследования | Двойное слепое | Открытое | Двойное слепое | Открытое |
Препараты платины | Карбоплатин AUC 5 | Карбоплатин AUC 5–6, цисплатин 75–80 мг/м2 | Карбоплатин AUC 5–6, цисплатин 75 мг/м2 | Карбоплатин AUC 5–6, цисплатин 75 мг/м2 |
Этопозид, мг/м2 | 100 | 80–100 | 100 | 100 |
Исследовательский препарат, мг | Атезолизумаб, 1200 | Дурвалумаб, 1500 | Пембролизумаб, 200 | Ниволумаб, 360 |
Контрольная группа | Плацебо | – | Плацебо | – |
Продолжительность лечения | 4 цикла ПХТ с поддерживающей терапией атезолизумабом/плацебо | 6 циклов ПХТ, 4 цикла комбинированной терапии с поддерживающей терапией дурвалумабом каждые 4 нед | 4 цикла ПХТ, поддерживающая терапия пембролизумабом/ плацебо до 35 циклов | 4 цикла ПХТ, 4 цикла комбинированной терапии с поддерживающей терапией ниволумабом 240 мг каждые 2 нед |
Первичные конечные точки | ОВ, ВБП | ОВ | ОВ, ВБП | ВБП |
Число больных | 403 | 537 | 453 | 160 |
Продолжительность исследования | Июнь 2016 – июль 2017 г. | Март 2017 – май 2018 г. | Май 2017 – июнь 2018 г. | Май 2018 – декабрь 2018 г. |
Медиана наблюдения, мес | 22,9 | 25,1 | 21,6 | Нет данных |
Медиана ВБП исследовательской группы, мес | 5,2 (4,4–5,6) | 5,1 (4,7–6,2) | 4,8 (4,3–5,4) | 5,5 |
Медиана ВБП стандартной группы, мес | 4,3 (4,2–4,5) | 5,4 (4,8–6,2) | 4,3 (4,2–4,5) | 4,6 |
Медиана ОВ исследовательской группы, мес. | 12,3 (10,8–15,8) | 12,9 (11,3–14,7) | 10,8 (9,2–12,9) | 11,3 |
Медиана ОВ стандартной группы, мес. | 10,3 (9,3–11,3) | 10,5 (9,3–11,2) | 9,7 (8,6–10,7) | 8,5 |
Примечание. ПХТ – полихимиотерапия. | ||||
В эти исследования включены 1553 пациента в период с июня 2016 по декабрь 2018 г. Средний возраст составил 62–65 лет, статус ECOG 0 – у 31,7%, ECOG 1 – 68,3% пациентов. Среди них мужчин – 64,4%. Карбоплатин получали 80,5%, а цисплатин – 19,5% больных. На момент включения метастазы в головной мозг наблюдались у 10,4% пациентов, а метастазы в печень – у 39,3%. Характеристики больных экспериментальных и контрольных групп во всех исследованиях были хорошо сбалансированы.
Добавление ИКТ PD-1/PD-L1 к химиотерапии, состоящей из платины и этопозида в терапии 1-й линии при РМКРЛ, во всех исследованиях обеспечивало статистически значимые преимущества по ОВ (ОР 0,76; 95% ДИ 0,068–0,85; р<0,00001). Медиана ОВ варьировала от 8,5 до 10,5 мес в контрольной группе и от 10,8 до 12,9 мес в экспериментальной (см. табл. 2).
Анализ ВБП во всех 4 исследованиях показал, что добавление ИКТ PD-1/PD-L1 к химиотерапии обеспечивает статистически значимые преимущества (ОР 0,75; 95% ДИ 0,68–0,84; р<0,00001), причем в контрольных и экспериментальных группах медиана ВБП колебалась от 4,8 до 5,5 мес соответственно (см. табл. 2). Во всей популяции исследования добавление ИКТ PD-1/PD-L1 к стандартному режиму химиотерапии при РМКРЛ позволило получить статистически значимое увеличение шансов ответа (ОР 1,28; 95% ДИ 1,04–1,57; р=0,02), а достоверное увеличение ответов получено при добавлении иммунопрепаратов к химиотерапии этопозид + платина. В целом ЧОО составила 59% у лиц контрольной и 64,7% – исследовательской групп, за исключением исследования IMpower133. При этом полные ответы констатированы чаще у пациентов экспериментальных групп, составляя 2,4%, а при стандартном лечении они наблюдались у 0,9% больных.
Оценка безопасности проводимой терапии с добавлением ИКТ PD-1/PD-L1 установила количественное увеличение побочных эффектов. Среди НЯ токсичность всех степеней чаще встречалась в экспериментальной группе (ОР 2,89; 95% ДИ 1,13–7,38; р=0,03). При этом значимых различий 3 и 4-й степени токсичности не наблюдалось. Среди иммунных токсических явлений наиболее часто встречались дерматит/сыпь – 10,8% и дисфункция щитовидной железы – 16,3%.
Авторы приходят к выводу, что добавление ИКТ PD-1/ PD-L1 к основной схеме химиотерапии при проведении 1-й линии терапии РМКРЛ является эффективной и безопасной опцией. ОВ через 12, 18 и 24 мес составила 50,2, 32 и 22,3% соответственно. Полученные результаты являются основанием для включения ИКТ PD-1/PD-L1 в стандарт лечения пациентов с РМКРЛ [27].
Заключение
Добавление атезолизумаба к химиотерапии по схеме карбоплатин + этопозид показывает высокую эффективность у пациентов с РМКРЛ. Получена полная клиническая и морфо-метаболическая регрессия опухоли. ОВ и ВБП у больного из приведенного примера составили 14 мес. Применение ПЭТ/КТ с 18F-ФДГ является методом выбора для оценки эффективности иммунотерапии. Качество жизни пациента при этом остается удовлетворительным. Переносимость терапии приемлемая.
Конфликт интересов. Авторы заявляют об отсутствии конфликта интересов.
Conflict of interests. The authors declare no conflict of interest.
作者简介
Nikolai Ognerubov
Derzhavin Tambov State University; Tambov Regional Oncological Clinical Dispensary
编辑信件的主要联系方式.
Email: ognerubov_n.a@mail.ru
ORCID iD: 0000-0003-4045-1247
SPIN 代码: 3576-3592
D. Sci. (Med.), Cand. Sci. (Law), Prof.
俄罗斯联邦, Tambov; TambovTatyana Antipova
“PET-Technoligy” Ltd; Nuclear Medicine Center
Email: antipovats@gmail.com
ORCID iD: 0000-0003-4165-8397
doctor
Tambov; Tambov参考
- Globacan 2018. Available at: https://gco.iarc.fr// Accessed: 15.03.2021.
- Злокачественные новообразования в России в 2019 году (заболеваемость и смертность). Под ред. А.Д. Каприна, В.В. Старинского, А.О. Шахзадовой. М.: МНИОИ им. П.А. Герцена − филиал ФГБУ «НМИЦ радиологии» Минздрава России, 2020 [Ed. AD Kaprin, VV Starinskii, AO Shakhzadova. Malignant neoplasms in Russia in 2019 (morbidity and mortality). Moscow: P. Hertsen Moscow Oncology Research Institute – the branch of National Medical Research Radiological Centre, 2020 (in Russian)].
- Van Meerbeeck JP, Fennell DA, De Ruysscher DK. Small-cell lung cancer. Lancet. 2011;378:1741-55. doi: 10.1016/S0140-6736(11)60165-7
- Bernhardt EB, Jalal SI. Small cell lung cancer. Cancer Treat Res. 2016;170:301-22. doi: 10.1007/978-3-319-40389-2_14
- Lopez-Chavez A, Sandler A. Systemic issues in small cell lung cancer. Curr Probl Cancer. 2012;36(3):131-55. doi: 10.1016/j.currproblcancer.2012.03.004
- National Comprehensive Cancer Network. NCCN Clinical Practice Guidelines in Oncology: Small Cell Lung Cancer (Version 1.2019), 2019. Available at: https://tomocenter.com.ua/wp-content/uploads/small-cell-lung-cancer.pdf. Accessed: 20.03.2021.
- Armstrong SA, Liu SV. Dashing decades of defeat: Long anticipated advances in the first-line treatment of extensive-stage small cell lung cancer. Curr Oncol Reports. 2020;22:20. doi: 10.1007/s11912-020-0887-y
- Rossi A, Di Maio M, Chiodini P, et al. Carboplatin- or cisplatin-based chemotherapy in first-line treatment of small-cell lung cancer: The COCIS meta-analysis of individual patient data. J Clin Oncol. 2012;30:1692-8. doi: 10.1200/JCO.2011.40.4905
- Foster NR, Renfro LA, Schild SE, et al. Multitrial evaluation of progression-free survival as a surrogate end point for overall survival in first-line extensive-stage small-cell lung cancer. J Thorac Oncol. 2015;10:1099-106. doi: 10.1097/JTO.0000000000000548
- Horn L, Mansfield AS, Szczęsna A, et al. First-line atezolizumab plus chemotherapy in extensive-stage small-cell lung cancer. N Engl J Med. 2018;379:2220-9. doi: 10.1056/NEJMoa1809064
- Antonia SJ, Lopez-Martin JA, Bendell J, et al. Nivolumab alone and nivolumab plus ipilimumab in recurrent small-cell lung cancer (CheckMate 032): A multicentre, open-label, phase 1/2 trial. Lancet Oncol. 2016;17:883-95. doi: 10.1016/S1470-2045(16)30098-5
- Paz-Ares L, Dvorkin M, Chen Y, et al. Durvalumab plus platinum–etoposide versus platinum – etoposide in first-line treatment of extensive-stage small-cell lung cancer (CASPIAN): A randomised, controlled, open-label, phase 3 trial. Lancet. 2019;394:P1929-39. doi: 10.1016/S0140-6736(19)32222-6
- TECENTRIQ (Atezolizumab) [Summary of Product Characteristics]. Grenzach-Wyhlen, Germany, Roche Registration GmbH, 2019.
- Ott PA, Elez E, Hiret S, et al. Pembrolizumab in patients with extensive-stage small-cell lung cancer: Results from the phase Ib KEYNOTE-028 study. J Clin Oncol. 2017;35:3823-9. doi: 10.1200/JCO.2017.72.5069
- Eckardt JR, Von Pawel J, Pujol JL, et al. Phase III study of oral compared with intravenous topotecan as second-line therapy in small-cell lung cancer. J Clin Oncol. 2007;25:2086-92. doi: 10.1200/JCO.2006.08.3998
- Schmittel A, Sebastian M, Fischer von Weikersthal L, et al. A German multicenter, randomized phase III trial comparing irinotecan-carboplatin with etoposide-carboplatin as first-line therapy for extensive-disease small-cell lung cancer. Ann Oncol. 2011;22:1798-804. doi: 10.1093/annonc/mdq652
- Higgins KA, Curran WJ Jr., Liu SV, et al. Patterns of Disease Progression after Carboplatin/Etoposide + Atezolizumab in Extensive-Stage Small-Cell Lung Cancer (ES-SCLC). Int J Radiat Oncol Biol Phys. 2020;108(5):1398. doi: 10.1016/j.ijrobp.2020.09.020
- Chen H, Horita N, Ito K, et al. Affiliations expand Systematic review of first-line chemotherapy for chemo-naive extensive-stage small-cell lung cancer: network meta-analysis. Ther Adv Med Oncol. 2020;12:1758835920965841. doi: 10.1177/1758835920965841
- Schultheis AM, Scheel AH, Ozretić L, et al. PD-L1 expression in small cell neuroendocrine carcinomas. Eur J Cancer. 2015;51:421-6. doi: 10.1016/j.ejca.2014.12.006
- Alexandrov LB, Nik-Zainal S, Wedge DC, et al. Signatures of mutational processes in human cancer. Nature. 2013;500:415-21. doi: 10.1038/nature12477
- Pelosof LC, Gerber DE. Paraneoplastic syndromes: An approach to diagnosis and treatment. Mayo Clin Proc. 2010;85:838-54. doi: 10.4065/mcp.2010.0099
- Pujol JL, Greillier L, Audigier-Valette C, et al. A randomized non-comparative phase II study of anti-programmed cell death-ligand 1 atezolizumab or chemotherapy as second-line therapy in patients with small cell lung cancer: Results from the IFCT-1603 trial. J Thorac Oncol. 2019;14:903-13. doi: 10.1016/j.jtho.2019.01.008
- Ready N, Farago AF, de Braud F, et al. Third-Line Nivolumab Monotherapy in Recurrent SCLC: CheckMate 032. J Thorac Oncol. 2019;14:237-44. doi: 10.1016/j.jtho.2018.10.003
- Liu SV, Reck M, Mansfield AS, et al. Updated Overall Survival and PD-L1 Subgroup Analysis of Patients With Extensive-Stage Small-Cell Lung Cancer Treated With Atezolizumab, Carboplatin, and Etoposide (IMpower133). J Clin Oncol. 2021;39(6):619-30. doi: 10.1200/JCO.20.01055
- Reck M, Liu SV, Mansfield AS, et al. IMpower133: Updated overall survival (OS) analysis of first-line (1L) atezolizumab (atezo) + carboplatin + etoposide in extensive-stage SCLC (ES-SCLC). Ann Oncol. 2019;30(Suppl. 5):V710-1. doi: 10.1093/annonc/mdz264
- Chung HC, Piha-Paul SA, Lopez-Martin J, et al. Pembrolizumab After Two or More Lines of Previous Therapy in Patients With Recurrent or Metastatic SCLC: Results From the KEYNOTE-028 and KEYNOTE-158 Studies. J Thorac Oncol. 2020;15:618-27. doi: 10.1016/j.jtho.2019.12.109
- Facchinetti F, Di Maio M, Tiseo M. Adding PD-1/PD-L1 Inhibitors to Chemotherapy for the First-Line Treatment of Extensive Stage Small Cell Lung Cancer (SCLC): A Meta-Analysis of Randomized Trials. Cancers (Basel). 2020;12(9):2645. doi: 10.3390/cancers12092645
- Paz-Ares L, Dvorkin M, Chen Y, et al. Durvalumab +/− tremelimumab + platinum-etoposide in first-line extensive-stage SCLC (ES-SCLC): Updated results from the phase III CASPIAN study. J Clin Oncol. 2020;38:9002. doi: 10.1200/JCO.2020.38.15_suppl.9002
- Rudin CM, Awad MM, Navarro A, et al. Pembrolizumab or placebo plus etoposide and platinum as first-line therapy for extensive-stage small-cell lung cancer. J Clin Oncol. 2020;38:2369-79. doi: 10.1200/JCO.20.00793
- Rudin CM, Awad MM, Navarro A, et al. KEYNOTE-604: Pembrolizumab (pembro) or placebo plus etoposide and platinum (EP) as first-line therapy for extensive-stage (ES) small-cell lung cancer (SCLC) J Clin Oncol. 2020;38:9001. doi: 10.1200/JCO.2020.38.15_suppl.9001
补充文件








