The phenomenon of pseudoprogression in cancer immunotherapy: is everything so unambiguous?
- Authors: Sarzhevskiy V.O.1, Melnichenko V.I.1, Panshina I.V.1, Mochkin N.E.1, Bogatyrov V.S.1, Borshevetskaya M.M.1, Smirnova E.G.1, Bannikova A.E.1, Samoylova A.A.1, Mamedova A.A.1, Rukavitsin A.A.1, Vasilev S.S.1, Bronov O.I.1
-
Affiliations:
- Pirogov National Medical and Surgical Center
- Issue: Vol 23, No 3 (2021)
- Pages: 496-500
- Section: CLINICAL ONCOLOGY
- Submitted: 17.11.2021
- Accepted: 17.11.2021
- Published: 19.11.2021
- URL: https://modernonco.orscience.ru/1815-1434/article/view/88627
- DOI: https://doi.org/10.26442/18151434.2021.3.200952
- ID: 88627
Cite item
Full Text
Abstract
When evaluating the effect of therapy for malignant neoplasms with inhibitors of CTLA-4, PD-1 and PD-L1, the phenomenon of pseudoprogression may occur. Pseudoprogression is an increase in the volume of tumor tissue due to immunocompetent cells (lymphocytes, macrophages) mobilized into the tumor focus under the action of immunotherapy. As the antitumor effect of lymphocytes and macrophages is realized, the tumor decreases or disappears over time. Pseudoprogression occurs with varying frequency in various types of cancer. It may also matter which immune checkpoint inhibitors is used to treat a solid tumor or lymphoproliferative disease. Currently, several immune-related response-evaluation criteria have been developed, which can help diagnose the phenomenon of pseudoprogression. But, unfortunately, none of these criteria clearly distinguish pseudoprogression from true tumor progression. In the case of an erroneous judgment about the effect of treatment, immunotherapy ends, and the patient may not get a chance for long-term remission. Using two clinical examples (immunotherapy for metastatic kidney cancer and recurrent Hodgkin lymphoma), the authors discuss the pitfalls of evaluating the effectiveness of treatment with checkpoint inhibitors.
Keywords
Full Text
Широкое использование иммунотерапии для лечения злокачественных новообразований значимо расширило терапевтические возможности современной онкологии. Но наряду с революционными успехами в достижении противоопухолевого эффекта появился ряд новых вопросов, связанных с особым спектром токсических эффектов иммунотерапии, оптимальной продолжительностью лечения и оценкой его эффективности. Особенности оценки эффективности иммунотерапии, значимо отличающейся от оценки эффективности «стандартных» противоопухолевых цитостатиков, привели к появлению в клинической медицине термина «псевдопрогрессирование». Под псевдопрогрессированием понимают транзиторное увеличение объема опухоли за счет ее инфильтрации активированными иммунокомпетентными клетками (лимфоцитами, макрофагами), мобилизованными в очаг опухоли действием иммунотерапии. Псевдопрогрессирование проявляется увеличением размеров и/или метаболической активности ранее определяемых очагов, а также в ряде случаев появлением новых очагов. Псевдопрогрессирование оценивается как визуально, так и с помощью инструментальных методов исследования. «Псевдо» в данном случае означает кажущееся прогрессирование опухоли. С течением времени по мере реализации противоопухолевого эффекта иммунотерапии объем опухолевой ткани уменьшается, а в некоторых случаях исчезает.
Впервые феномен псевдопрогрессирования описан при лечении метастатической меланомы ингибитором CTLA-4 – ипилимумабом [1]. В последующем псевдопрогрессирование отмечено и при использовании ингибиторов PD-1 и PD-L1 для лечения различных солидных злокачественных новообразований [2]. Псевдопрогрессирование на фоне иммунотерапии может наблюдаться также и у пациентов с лимфоидными опухолями, в частности с лимфомой Ходжкина [3].
В настоящее время отсутствует единое мнение о том, как часто встречается псевдопрогрессирование на фоне иммунотерапии ингибиторами контрольных точек. Это связано с широким разнообразием типов злокачественных опухолей, при которых используется данный класс препаратов, с различной эффективностью иммунотерапии при различных опухолях, а также с различиями в подходах оценки феномена псевдопрогрессирования. Ситуация осложняется еще и тем, что говорить о псевдопрогрессировании можно только в прошедшем времени. Только ретроспективная оценка сначала увеличивающейся, а затем уменьшающейся опухоли позволяет сделать вывод о том, имелось ли истинное прогрессирование или псевдопрогрессирование в период увеличения ткани опухоли. В ряде случаев псевдопрогрессирование ошибочно расценивается как истинное прогрессирование, иммунотерапия прекращается, пациент получает другой вид лечения, и оценить эффект непосредственно иммунотерапии уже не представляется возможным. В различных ретроспективных анализах оценки эффективности иммунотерапии приводятся разные данные о частоте встречаемости псевдопрогрессирования. Доля пациентов с псевдопрогрессированием, получавших ингибитор CTLA-4 (ипилимумаб) по поводу метастатической меланомы, составляла 9,7% [4]. При терапии ингибитором PD-1 (пембролизумаб) этой же категории пациентов (метастатическая меланома) псевдопрогрессирование определяли у 7% больных [5]. При ретроспективном анализе 2400 пациентов с метастатической меланомой, раком легкого, раком почки и другими солидными злокачественными новообразованиями атипичный ответ опухоли на терапию ингибиторами PD-1 определялся у 151 больного – 6% [6]. При оценке эффекта терапии ингибиторами PD-1 лимфомы Ходжкина доля пациентов с псевдопрогрессированием также колеблется: от 0 [7] до 14% [8].
Для объективизации оценки эффекта на иммунотерапию международными исследовательскими группами разработано несколько шкал и критериев, используемых как при солидных злокачественных новообразованиях, так и при лимфомах. При солидных новообразованиях таковыми критериями являются irRC [4], irRECIST [9] и iRECIST [10]. При лимфоидных опухолях используются критерии RECIL [11] и критерии LYRIC [12]. Указанные критерии призваны помочь клиницисту на основании прежде всего данных компьютерной томографии (КТ) и позитронно-эмиссионной томографии, совмещенной с КТ (ПЭТ/КТ), правильно оценить эффективность иммунотерапии и принять важное решение о возможности продолжения лечения. При подозрении на псевдопрогрессирование и принятом решении продолжить лечение эффект иммунотерапии оценивается как «неподтвержденное прогрессирование» [10] или «неопределенный ответ» [12]. В отличие от «традиционных» критериев, используемых для оценки эффективности химиотерапии, в критериях, оценивающих эффект иммунотерапии, появился раздел, включающий информацию о клиническом статусе пациента. Только стабильное (или улучшающееся) состояние пациента на фоне иммунотерапии при увеличивающемся объеме опухоли дает основание подозревать псевдопрогрессирование и оценивать эффект лечения как «неподтвержденное прогрессирование» или «неопределенный ответ». Но всегда ли ухудшающееся состояние больного или появление новых жалоб, связанных с опухолью, свидетельствует об истинном прогрессировании заболевания на фоне иммунотерапии? Нет, не всегда. И два клинических примера, приведенных ниже, красноречиво опровергают тезис о том, что при подозрении на псевдопрогрессирование клиническое состояние больного должно обязательно либо улучшаться, либо оставаться стабильным.
Клинический пример 1
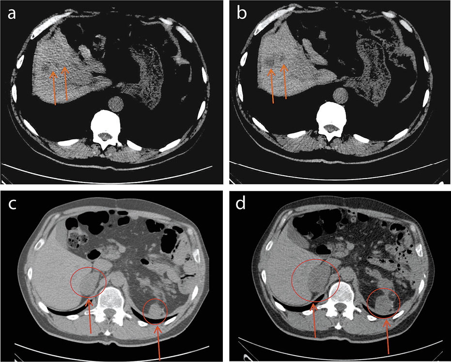
Пациент К., 71 год. В 2011 г. диагностирован светлоклеточный рак единственной левой почки. Проведено хирургическое лечение – резекция левой почки. В 2012 г. – местный рецидив опухоли, метастатическое поражение нисходящей ободочной кишки. Проведены ререзекция левой почки, а также удаление имплантационного метастаза нисходящей ободочной кишки. Прогрессирование онкопроцесса отмечено в марте 2014 г.: выявлены метастазы в забрюшинную клетчатку, имплантационные метастазы по брюшине. С июня 2014 г. – таргетная терапия сунитинибом с полным ответом после 2 курсов. Терапия сунитинибом продолжена, эффект сохранялся до марта 2016 г. В марте 2016 г. отмечено прогрессирование заболевания (метастазы в легких, в проекции резецированной почки, подкожной клетчатке). С марта 2016 по ноябрь 2016 г. – таргетная терапия эверолимусом. Эффект лечения – стабилизация, сохранявшаяся до ноября 2016 г. Ноябрь 2016 г. – прогрессирование заболевания (дальнейшее увеличение размеров узловых образований в подкожной клетчатке, в проекции резецированной почки, метастатические очаги в легких). С января 2017 по июнь 2017 г. – терапия бевацизумабом с временной стабилизацией. В июне 2017 г. отмечено дальнейшее прогрессирование опухолевого процесса (метастазы в печени, правом надпочечнике, легких). В июле 2017 г. начата терапия ниволумабом. При оценке эффекта через 2 мес иммунотерапии отмечено увеличение таргетных очагов в печени, проекции зоны резекции, в проекции правого надпочечника (рис. 1).
Рис. 1: а, b – увеличение таргетных очагов в печени (a – до начала иммунотерапии; b – через 2 мес иммунотерапии); c, d – увеличение таргетных очагов в проекции правого надпочечника и проекции зоны резекции (c – до начала иммунотерапии; d – через 2 мес иммунотерапии).
Но состояние пациента оставалось стабильным, дополнительных жалоб не предъявлял. Эффект лечения трактован как «неподтвержденное прогрессирование», лечение ниволумабом продолжено. На 4-м месяце иммунотерапии состояние пациента незначительно ухудшилось. Ухудшение состояния выражалось в появлении болей в подглазничной области слева, заложенности носа. При обследовании выявлено объемное образование в проекции левой верхнечелюстной пазухи. Выполнены биопсия образования, ангиография артерий головного мозга, эмболизация левой верхнечелюстной артерии. По данным гистологического и иммуногистохимического исследования операционного материала – метастаз почечно-клеточной карциномы в пазуху носа. В этот же период времени проведен контроль уже оцениваемых таргетных очагов, выявивший дальнейшее увеличение размеров очаговых образований в печени, проекции правого надпочечника, в проекции зоны резекции (рис. 2).
Рис. 2: а, b – увеличение таргетных очагов в печени (а – до начала иммунотерапии; b – через 4 мес иммунотерапии); c, d – увеличение таргетных очагов в проекции правого надпочечника и проекции зоны резекции (c – до начала иммунотерапии; d – через 4 мес иммунотерапии).
Несмотря на продолжающееся увеличение опухолевых очагов, единственными клиническими проявлениями заболевания являлись появившееся жалобы, связанные с болью в подглазничной области слева и заложенностью носа. С учетом того что исследование околоносовых пазух пациенту выполнялось впервые и ухудшение состояния связано только с этой локализацией опухоли, принято решение о продолжении иммунотерапии.
По данным контрольного обследования через 6 мес иммунотерапии отмечен регресс опухоли в рамках частичного ответа (рис. 3), болевой синдром в подглазничной области слева исчез без использования анальгетиков.
Рис. 3: а, b – значимое уменьшение таргетного очага в проекции правого надпочечника и исчезновение опухоли в проекции зоны резекции (а – через 4 мес иммунотерапии; b – через 6 мес иммунотерапии); c, d – уменьшение объема опухоли в левой верхнечелюстной пазухе (c – через 4 мес иммунотерапии; d – через 6 мес иммунотерапии).
Полный ответ опухоли на терапию ниволумабом отмечен через 12 мес после начала лечения. Общая продолжительность иммунотерапии составила 2 года.
Клинический пример 2
Пациент Б., 51 год. В 2006 г. диагностирована лимфома Ходжкина, нодулярный склероз I типа, IIВ стадия. В качестве терапии 1-й линии проведено 6 циклов по схеме ABVD и дистанционная лучевая терапия на область лимфоузлов средостения, шеи, подмышечных лимфоузлов справа. В 2012 г. – поздний рецидив заболевания. Проведена полихимиотерапия 2-й линии (схема IGEV) с последующей высокодозной химиотерапией и трансплантацией периферических стволовых кроветворных клеток (2013 г.). Второй рецидив – в 2016 г. Проводилась терапия бендамустином, схемами ChVPP (хлорамбуцил, винбластин, преднизолон, прокарбазин) и PEPC (прокарбазин, этопозид, преднизолон, циклофосфамид) без стойкого противоопухолевого эффекта. Ввиду прогрессирования заболевания в октябре 2018 г. начата иммунотерапия ниволумабом. После первого введения ниволумаба отмечено купирование В-симптомов. Самочувствие пациента оставалось стабильным на протяжении последующих 7 циклов иммунотерапии. После 8-го цикла у пациента появилась неврологическая симптоматика в виде слабости, уменьшения объема движений правой ноги, тяжести в правой половине живота, нарушения пассажа стула. По данным магнитно-резонансной томографии грудного отдела позвоночника в передней и паравертебральной области справа определяется массивный мягкотканый компонент протяженностью c ThIV до ThVI позвонков (6,5 cм), тотально заполняющий межпозвоночные отверстия справа, с компримированием дурального мешка на уровне ThIV–ThV–ThVI, спинной мозг неструктурен на уровне ТhV–ТhVI (рис. 4).
Рис. 4. Массивный мягкотканый компонент опухоли протяженностью c ThIV до ThVI позвонков: а – сагиттальная проекция; b – фронтальная проекция.
С учетом предшествующей положительной динамики после начала иммунотерапии (улучшение самочувствия, исчезновение В-симптомов) ситуация трактована как псевдопрогрессирование. Ухудшение после 8-го цикла ниволумаба объяснено сдавлением спинного мозга, увеличившимся на фоне псевдопрогрессирования мягкотканым компонентом. Гипотеза об имевшем месте псевдопрогрессировании оказалась верной. На фоне продолжения иммунотерапии пациент отметил регресс неврологической симптоматики, увеличение объема движений и силы правой ноги, восстановление пассажа стула. Феномен псевдопрогрессирования у пациента подтвердил и ретроспективный анализ исследований ПЭТ/КТ (рис. 5).
Рис. 5. Динамика изменений ткани опухоли по данным ПЭТ/КТ: а – до начала иммунотерапии; b – в период псевдопрогрессирования и ухудшения состояния (появление неврологической симптоматики); c – после регресса неврологической симптоматики.
В дальнейшем на фоне продолжения иммунотерапии у пациента – полный ответ опухоли на лечение. Общее число циклов иммунотерапии ниволумабом составило 23 (закончены в декабре 2019 г.).
Обсуждение
Два приведенных клинических примера демонстрируют особенности оценки эффекта иммунотерапии как при солидных, так и при лимфоидных злокачественных ново- образованиях. Цена правильности этой оценки очень высока. Если онколог или гематолог, назначивший иммунотерапию, ошибочно сделал вывод о неэффективности этого метода лечения, пациент может лишиться шанса получить длительную ремиссию заболевания. Как не ошибиться в таких непростых ситуациях?
Во-первых, необходимо помнить о вероятности феномена псевдопрогрессирования у пациентов, получающих ингибиторы CTLA-4, PD-1 и PD-L1. Как уже отмечено, эта вероятность относительно невысока (от 0 до 14%) [7, 8], но проблема в том, что провести дифференциальный диагноз между истинным прогрессированием и псевдопрогрессированием можно только ретроспективно. В большинстве случаев клиницисты, подозревая псевдопрогрессирование и принимая решение о продолжении иммунотерапии, ориентируются на общее состояние пациента. Если состояние пациента улучшается или остается стабильным, а визуальные (например, при оценке видимого очага меланомы кожи) или инструментальные (КТ, ультразвуковое исследование, магнитно-резонансная томография, ПЭТ/КТ) данные свидетельствуют об увеличении опухолевого очага, то феномен псевдопрогрессирования высоковероятен и следует продолжать лечение. В последующем необходимо выполнять регулярный контроль для оценки динамики размеров опухоли.
Во-вторых, важно знать, что псевдопрогрессирование может быть растянуто во времени, и это наглядно демонстрирует 1-й клинический пример. У нашего пациента с метастатическим раком почки псевдопрогрессирование отмечалось в течение первых 6 мес иммунотерапии, после которых отмечен значимый регресс опухоли, а через год опухоль перестала определяться доступными методами исследования. Следует также отметить, что для оценки эффекта иммунотерапии у этого пациента мы использовали критерии irRC [4], согласно которым через 4 мес после начала иммунотерапии мы должны были расценить эффект лечения как истинное прогрессирование, отметив увеличение опухоли дважды (через 2 и 4 мес терапии). Таким образом, существующие критерии оценки эффекта иммунотерапии не всегда позволяют четко оценить ее эффективность или неэффективность.
И в-третьих, в редких случаях, таких, как приведенные выше, ухудшение состояния пациента на фоне иммунотерапии не является признаком истинного прогрессирования заболевания. В случаях, когда опухоль или метастазы опухоли расположены в ограниченных костной тканью анатомических пространствах (мозговой череп, околоносовые пазухи, канал спинного мозга) или рядом с крупными нервными стволами, увеличивающийся на фоне псевдопрогрессирования мягкотканый компонент может временно ухудшать состояние больного.
В ряде случаев для правильной трактовки клинической ситуации кроме оценки общего состояния пациента и данных инструментальных исследований может рассматриваться вопрос о выполнении биопсии опухоли [13]. Но не всегда опухолевый очаг доступен для биопсии или проведение биопсии сопряжено с высоким риском. Кроме того, обнаружение в биопсированном очаге клеток опухоли вместо большого числа иммунокомпетентных клеток не может на 100% означать истинное прогрессирование опухоли. И этот тезис подтверждает первый клинический пример: биопсия ткани левой верхнечелюстной пазухи обнаружила клетки рака, но это не означало, что число этих клеток значимо увеличится в будущем. Соответственно, вопрос о выполнении биопсии нужно решать индивидуально в каждом конкретном случае, а при получении результатов биопсии – оценивать их с учетом всех остальных данных о пациенте.
Еще один подход, который может помочь в проведении дифференциального диагноза между псевдопрогрессированием и истинным прогрессированием, – это оценка биомаркеров крови. Так при псевдопрогрессировании может быть отмечено значимое снижение уровня внеклеточной опухолевой ДНК в крови у пациентов с KRAS-мутированной аденокарциномой [14] или BRAF-мутированной меланомой [15]. В качестве биомаркера оценки псевдопрогрессирования может также рассматриваться интерлейкин-8. Уровень интерлейкина-8 в крови как маркера активности злокачественной опухоли снижается при псевдопрогрессировании и повышается при истинном прогрессировании [16].
Заключение
Оценка эффективности иммунотерапии злокачественных новообразований в ряде случаев является непростой задачей. Проводя лечение ингибиторами CTLA-4, PD-1 и PD-L1, необходимо помнить о вероятности феномена псевдопрогрессирования. Продемонстрированные клинические примеры показывают неоднозначность трактовки этого феномена и необходимость учета всех факторов, связанных с течением заболевания, у каждого конкретного больного.
Конфликт интересов. Авторы заявляют об отсутствии конфликта интересов.
Conflict of interests. The authors declare no conflict of interest.
About the authors
Vladislav O. Sarzhevskiy
Pirogov National Medical and Surgical Center
Author for correspondence.
Email: vladsar100@gmail.com
ORCID iD: 0000-0001-7164-6595
D. Sci. (Med.), Prof.
Russian Federation, MoscowVladimir Ia. Melnichenko
Pirogov National Medical and Surgical Center
Email: vladsar100@gmail.com
ORCID iD: 0000-0002-6728-6264
D. Sci. (Med.), Prof.
Russian Federation, MoscowIrina V. Panshina
Pirogov National Medical and Surgical Center
Email: vladsar100@gmail.com
ORCID iD: 0000-0001-7529-0047
Department Head
Russian Federation, MoscowNikita E. Mochkin
Pirogov National Medical and Surgical Center
Email: vladsar100@gmail.com
ORCID iD: 0000-0001-5622-0828
Cand. Sci. (Med.)
Russian Federation, MoscowVladimir S. Bogatyrov
Pirogov National Medical and Surgical Center
Email: vladsar100@gmail.com
ORCID iD: 0000-0001-6061-9428
hematologist
Russian Federation, MoscowMaria M. Borshevetskaya
Pirogov National Medical and Surgical Center
Email: vladsar100@gmail.com
ORCID iD: 0000-0001-5376-6497
oncologist
Russian Federation, MoscowElena G. Smirnova
Pirogov National Medical and Surgical Center
Email: vladsar100@gmail.com
ORCID iD: 0000-0003-1114-2592
hematologist
Russian Federation, MoscowAnna E. Bannikova
Pirogov National Medical and Surgical Center
Email: vladsar100@gmail.com
ORCID iD: 0000-0003-3697-6876
hematologist
Russian Federation, MoscowAnastasia A. Samoylova
Pirogov National Medical and Surgical Center
Email: vladsar100@gmail.com
ORCID iD: 0000-0002-3876-3869
hematologist
Russian Federation, MoscowAysel A. Mamedova
Pirogov National Medical and Surgical Center
Email: vladsar100@gmail.com
ORCID iD: 0000-0002-7296-9190
hematologist
Russian Federation, MoscowAnatolij A. Rukavitsin
Pirogov National Medical and Surgical Center
Email: vladsar100@gmail.com
ORCID iD: 0000-0002-5027-6932
Cand. Sci. (Med.)
Russian Federation, MoscowSergei S. Vasilev
Pirogov National Medical and Surgical Center
Email: vladsar100@gmail.com
ORCID iD: 0000-0003-0118-7383
oncologist
Russian Federation, MoscowOleg Iu. Bronov
Pirogov National Medical and Surgical Center
Email: vladsar100@gmail.com
ORCID iD: 0000-0002-2784-302X
Cand. Sci. (Med.)
Russian Federation, MoscowReferences
- Di Giacomo AM, Danielli R, Guidoboni M, et al. Therapeutic efficacy of ipilimumab, an anti-CTLA-4 monoclonal antibody, in patients with metastatic melanoma unresponsive to prior systemic treatments: clinical and immunological evidence from three patient cases. Cancer Immunol Immunother. 2009;58(8):1297-306.
- Chiou VL, Burotto M. Pseudoprogression and immune-related response in solid tumors. J Clin Oncol Off J Am Soc Clin Oncol. 2015;33(31):3541-3.
- Dercle L, Seban RD, Lazarovici J, et al. 18F-FDG PET and CT scans detect new imaging patterns of response and progression in patients with hodgkin lymphoma treated by anti-programmed death 1 immune checkpoint inhibitor. J Nucl Med Off Publ Soc Nucl Med. 2018;59(1):15-24.
- Wolchok JD, Hoos A, O’Day S, et al. Guidelines for the evaluation of immune therapy activity in solid tumors: immune-related response criteria. Clin Cancer Res. 2009;15(23):7412-20.
- Hodi FS, Hwu WJ, Kefford R, et al. Evaluation of immune-related response criteria and RECIST v1.1 in patients with advanced melanoma treated with pembrolizumab. J Clin Oncol. 2016;34(13):1510-7.
- Queirolo P, Spagnolo F. Atypical responses in patients with advanced melanoma, lung cancer, renal-cell carcinoma and other solid tumors treated with anti-PD-1 drugs: A systematic review. Cancer Treat Rev. 2017;59):71-8.
- Mokrane FZ, Chen A, Schwartz LH, et al. Performance of CT Compared with 18F-FDG PET in Predicting the Efficacy of Nivolumab in Relapsed or Refractory Hodgkin Lymphoma. Radiology. 2020;295(3):651-61.
- Sarzhevskii VO, Demina EA, Mochkin NE, et al. Checkpoint inhibitors and classical Hodgkin’s lymphoma: efficacy and safety of pembrolizumab in relapsed/refractory tumor (experience at the NI Pirogov Russian National Medical Center of Surgery). Clin Oncohematology. 2021;14(1):53-62.
- Pignon JC, Jegede O, Shukla SA, et al. irRECIST for the evaluation of candidate biomarkers of response to nivolumab in metastatic clear cell renal cell carcinoma: analysis of a phase II prospective clinical trial. Clin Cancer Res. 2019;25(7):2174-84.
- Seymour L, Bogaerts J, Perrone A, et al. iRECIST: guidelines for response criteria for use in trials testing immunotherapeutics. Lancet Oncol. 2017;18(3):e143-52.
- Younes A, Hilden P, Coiffier B, et al. International Working Group consensus response evaluation criteria in lymphoma (RECIL 2017). Ann Oncol. 2017;28(7):1436-47.
- Cheson BD, Byrd JC, Rai KR, et al. Refinement of the Lugano Classification lymphoma response criteria in the era of immunomodulatory therapy. Blood. 2016;128(21):2489-96.
- Ma Y, Wang Q, Dong Q, et al. How to differentiate pseudoprogression from true progression in cancer patients treated with immunotherapy. Am J Cancer Res. 2019;9(8):1546-53.
- Guibert N, Mazieres J, Delaunay M, et al. Monitoring of KRAS-mutated ctDNA to discriminate pseudo-progression from true progression during anti-PD-1 treatment of lung adenocarcinoma. Oncotarget. 2017;8(23):38056-60.
- Lee JH, Long GV, Menzies AM, et al. Association between circulating tumor DNA and pseudoprogression in patients with metastatic melanoma treated with anti-programmed cell death 1 antibodies. JAMA Oncol. 2018;4(5):717-21.
- Sanmamed MF, Perez-Gracia JL, Schalper KA, et al. Changes in serum interleukin-8 (IL-8) levels reflect and predict response to anti-PD-1 treatment in melanoma and non-small-cell lung cancer patients. Ann Oncol. 2017;28(8):1988-95.
Supplementary files







