Клинический случай длительного лечения как хориоретинита атипичной ямки диска зрительного нерва, осложнённой отслойкой сетчатки в макулярной зоне
- Авторы: Катаргина Л.А.1, Денисова Е.В.1, Осипова Н.А.1
-
Учреждения:
- НМИЦ глазных болезней им. Гельмгольца
- Выпуск: Том 17, № 2 (2022)
- Страницы: 45-52
- Раздел: Клинические случаи
- Статья опубликована: 04.08.2022
- URL: https://ruspoj.com/1993-1859/article/view/105649
- DOI: https://doi.org/10.17816/rpoj105649
- ID: 105649
Цитировать
Полный текст
Аннотация
Изменения макулярной зоны сетчатки, имеющие различный этиопатогенез, могут протекать со схожей офтальмоскопической картиной.
Цель. Описание клинического случая ребёнка с врождённой ямкой диска зрительного нерва, осложнённой отслойкой сетчатки в макулярной зоне, который в течение нескольких лет безрезультатно получал лечение по поводу хориоретинита.
Результаты. Представлен клинический случай 13-летнего ребёнка, который был направлен в НМИЦ глазных болезней им. Гельмгольца с диагнозом «хориоретинальное воспаление неясной этиологии справа». По месту жительства в течение двух лет ребёнку проводились курсы стационарного лечения, включающие противовоспалительную, десенсибилизирующую и антибактериальную терапию, без динамики остроты зрения, данных офтальмоскопии и оптической когерентной томографии (ОКТ). На основании комплексной оценки результатов ОКТ макулярной зоны и диска зрительного нерва (ДЗН) (расширение и деформация экскавации ДЗН обоих глаз, справа — перипапиллярная щелевидная отслойки нейроэпителия в верхне-височном и нижне-височном квадрантах, отслойка нейроэпителия в макуле), анамнеза заболевания (отсутствие «ответа» на проводимую противовоспалительную терапию), данных биомикроскопии и офтальмоскопии (справа ДЗН овальной формы, вытянут по горизонтали, деколорирован, по горизонтальному меридиану выполнен глиальной тканью, в зоне папилло-макулярного пучка и в макуле грубое перераспределение пигмента, слева ДЗН овальной формы, вытянут по горизонтали, деколорирован, центральная экскавация, макула и периферия без патологии), был поставлен диагноз: «врождённая аномалия развития ДЗН (ямка ДЗН) обоих глаз, осложнённая отслойкой сетчатки в макуле справа. Ребёнку была проведена транспупиллярная лазеркоагуляция сетчатки справа парапапиллярно в верхне- и нижне-височных квадрантах. При дальнейшем наблюдении через 1 и 2 месяца по данным ОКТ была выявлена положительная динамика резорбции субретинальной жидкости в макулярной зоне, отмечено повышение зрительных функций.
Заключение. Грамотная интерпретация и интеграция результатов клинического и инструментального обследования, а также тщательный анализ анамнестических данных позволяют выявить патологию, лежащую в основе структурных нарушений макулярной зоны, что имеет ключевое значение в выборе правильной тактики лечения и сохранения зрительных функций.
Полный текст
ВВЕДЕНИЕ
Анатомо-функциональные изменения макулярной зоны сетчатки, имеющие различный этиопатогенез, могут протекать со схожей офтальмоскопической картиной. Так, интра- и субретинальный макулярный отёк и перераспределение пигмента в макулярной зоне могут быть проявлением увеита, целого ряда ретинальных и витреоретинальных дегенераций, врождённых аномалий развития сетчатки и диска зрительного нерва (ДЗН). Правильная диагностика патологии, лежащей в основе структурных нарушений макулы, является ключевым фактором для выбора адекватной тактики лечения и сохранения зрительных функций.
Цель. Описание клинического случая ребёнка с врождённой ямкой диска зрительного нерва, осложнённой отслойкой сетчатки в макулярной зоне, который в течение нескольких лет безрезультатно получал лечение по поводу хориоретинита.
РЕЗУЛЬТАТЫ
Клинический случай. В офтальмологическое отделение детской хирургии НМИЦ глазных болезней им. Гельмгольца поступил ребёнок 13 лет с направляющим диагнозом «хориоретинальное воспаление неясной этиологии справа». Из анамнеза известно, что ребёнок доношенный, рост и развитие по возрасту. Наблюдается педиатром с диагнозом бронхиальная астма. На момент госпитализации отмечалась ремиссия в течение двух лет. Другой общесоматической патологии не выявлено.
Впервые острота зрения в правом глазу снизилась четыре года назад. При обследовании офтальмологом диагностирована миопия слабой степени, миопический астигматизм обоих глаз, выписана очковая коррекция (ОД sph-0,75Дcyl-0,75Дах0/ОС сyl-0,75Дах40). Острота зрения правого глаза без коррекции составляла 0,1, с коррекцией — 0,9, левого глаза без коррекции — 0,6, с коррекцией — 0,9. В офтальмологическом статусе правого глаза на глазном дне между макулярной зоной и ДЗН описано «перераспределение пигмента с вкраплениями». Два года назад ребёнок пожаловался на появление пятна перед правым глазом. При обследовании выявлены изменения в макулярной зоне (описание отсутствует) и поставлен диагноз «хориоретинальное воспаление неясной этиологии справа». Острота зрения правого глаза с коррекцией составила 0,4. В течение первого года наблюдения по месту жительства ребёнку проведено два курса стационарного лечения, включающие трофическую, противовоспалительную, десенсибилизирующую и антибактериальную терапию. Однако эффекта от проводимого лечения не было. Регулярно проводилась оптическая когерентная томография (ОКТ) макулярной зоны сетчатки, где справа определялась плоская элевация сетчатки и отслойка нейроэпителия в зоне фовеа, неоднородность слоя пигментного эпителия, слева патология не выявлялась. Согласно протоколам исследований за 2 года динамики высоты и площади отслойки нейроэпителия не отмечалось.
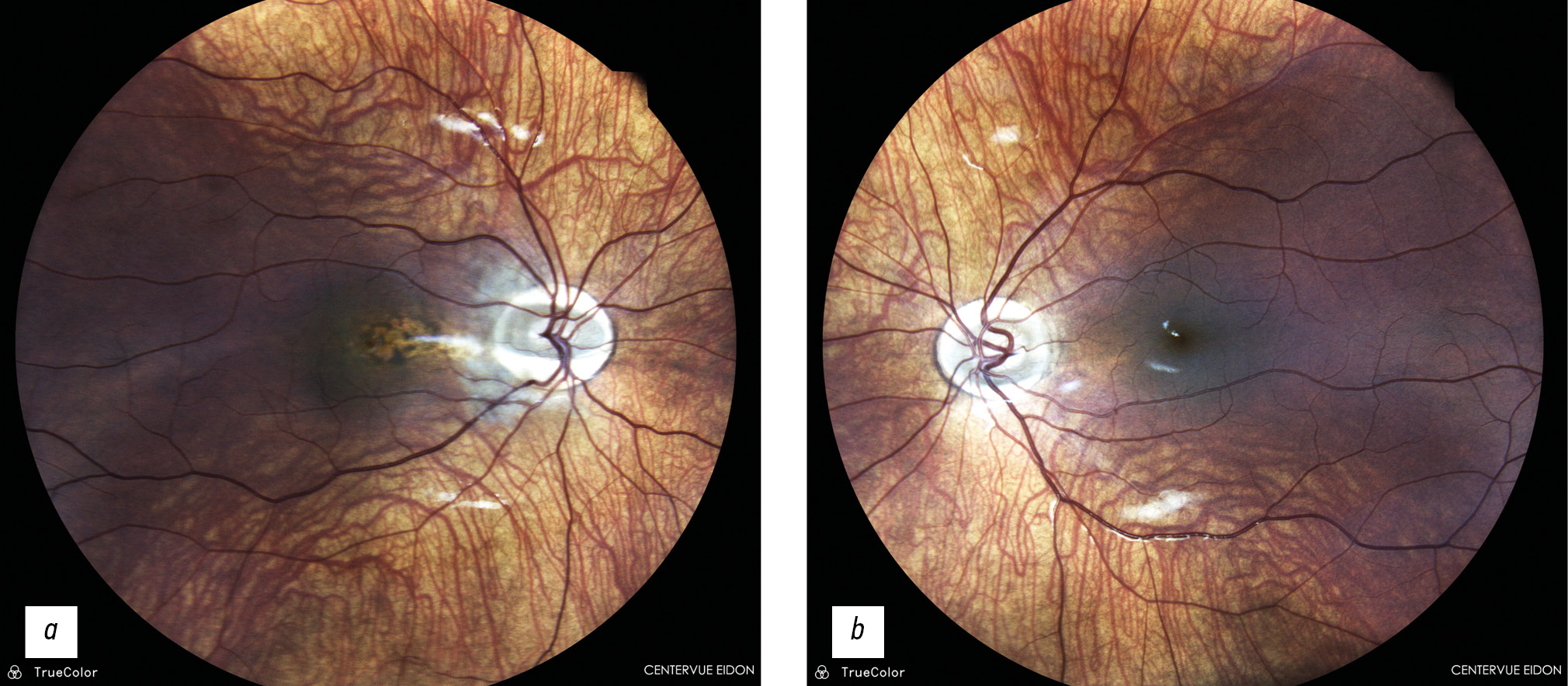
На момент поступления в офтальмологическое отделение детской хирургии НМИЦ глазных болезней им. Гельмгольца острота зрения правого глаза ребёнка составила 0,04 с sph-2,0Д cyl-2,0Дах175=0,4, левого глаза — 0,5 с sph-1,0Д=1,0. Внутриглазное давление обоих глаз было в норме. Оба глаза спокойны, передний отрезок не изменён, оптические среды прозрачны. На глазном дне справа ДЗН овальной формы, вытянут по горизонтали, деколорирован, границы чёткие, по горизонтальному меридиану выполнен глиальной тканью. Ход и калибр сосудов в пределах нормы, в зоне папилло-макулярного пучка и в макуле грубое перераспределение пигмента, макулярные рефлексы не определяются, периферия без патологии.
Слева ДЗН овальной формы, вытянут по горизонтали, деколорирован, границы чёткие, ход и калибр сосудов в пределах нормы, макулярные рефлексы чёткие, периферия без патологии (рис. 1).
Рис. 1. Глазное дно правого (а) и левого (b) глаз ребёнка на момент поступления в стационар.
Данные ОКТ макулярной зоны сетчатки правого и левого глаз ребёнка представлены на рисунке 2. Данные ОКТ диска зрительного нерва (ДЗН) правого и левого глаз ребёнка представлены на рисунке 3.
Рис. 2, а. ОКТ сетчатки правого глаза ребёнка на момент поступления в стационар: контур фовеолярной депрессии сглажен, отслойка нейроэпителия в макулярной зоне, деструкция и дезорганизация нейроэпителия и слоя пигментного эпителия, центральная толщина сетчатки 321 мкм.
Рис. 2, b. ОКТ сетчатки левого глаза ребёнка на момент поступления в стационар: фовеолярная депрессия выражена, структура сетчатки сохранена, центральная толщина сетчатки 276 мкм.
Рис. 3, а, b. ОКТ диска зрительного нерва (ДЗН) правого глаза ребёнка на момент поступления в стационар: экскавация деформирована, расширена, заполнена субстратом однородной рефлективности средней степени, выявляется перипапиллярная щелевидная отслойка нейроэпителия в верхне-височном (а) и нижне-височном (b) квадрантах.
Рис. 3, с. ОКТ диска зрительного нерва (ДЗН) левого глаза ребёнка: экскавация деформирована, расширена.
Справа — контур фовеолярной депрессии сглажен, отслойка нейроэпителия в макулярной зоне, деструкция и дезорганизация нейроэпителия и пигментного эпителия, центральная толщина сетчатки (ЦТС) 321 мкм, Слева — структура сетчатки в макуле не изменена, ЦТС 276 мкм. Справа экскавация ДЗН деформирована, расширена, заполнена субстратом однородной рефлективности средней степени, перипапиллярная щелевидная отслойка нейроэпителия в верхне-височном (рис. 3а) и нижне-височном (рис. 3б) квадрантах. Слева — экскавация ДЗН деформирована, расширена.
На основании комплексной оценки результатов ОКТ, анамнеза, данных биомикроскопии и офтальмоскопии ребёнку был поставлен диагноз: врождённая аномалия развития ДЗН (ямка ДЗН) обоих глаз, осложнённая отслойкой сетчатки в макулярной зоне справа, миопия слабой степени обоих глаз, сложный миопический астигматизм справа.
Ребёнку проведена трансупиллярная лазеркоагуляция сетчатки справа парапапиллярно в верхне- и нижне- височных квадрантах, т.е. в зонах предполагаемой фильтрации.
Через месяц после лазеркоагуляции, была выявлена положительная динамика по данным ОКТ. Наблюдалось уменьшение элевации сетчатки в макулярной зоне на 78 мкм вследствие резорбции субретинальной жидкости с сохранением щелевидной отслойки нейроэпителия. Отсутствовала перипапиллярная отслойка нейроэпителия, свидетельствующая о формировании хориоретинального рубца. Отмечено повышение остроты зрения справа до 0,8 с/к. Через 2 месяца существенной динамики по данным ОКТ не выявлялось (уменьшение толщины сетчатки составило 6 мкм), однако, отмечалось восстановление остроты зрения справа до 1,0 с/к. Наблюдение продолжено.
ОБСУЖДЕНИЕ
Ямка ДЗН — редкая врождённая аномалия развития ДЗН. Частота её выявления составляет 1 на 10 000 населения [1]. В 85% случаев патология носит односторонний характер. Клинически типичная ямка ДЗН представляет собой небольшую, овальную, гипопигментированную выемку ДЗН серо-белой окраски, чаще всего расположенную в височном или нижне-височном сегменте диска, реже может быть обнаружена в центре или вдоль носовой границы [1, 2]. В представленном клиническом случае дефект ДЗН имел двусторонний характер и был монолатерально (справа) прикрыт глиальной тканью, что затрудняет офтальмоскопическую диагностику и требует применения дополнительных инструментальных методов обследования.
Неосложнённая ямка ДЗН обычно протекает бессимптомно и часто является случайной находкой при рутинном офтальмологическом обследовании. Развитие серозной отслойки сетчатки в макулярной зоне сопровождается снижением остроты зрения [3]. Частота данного осложнения, по данным разных исследователей, составляет от 25 до 75%. Персистенция отслойки приводит к развитию кистозных изменений, ламеллярных или сквозных макулярных разрывов, грубому перераспределению пигмента и атрофии пигментного эпителия, что лежит в основе значимого необратимого нарушения зрительных функций [4, 5].
Другими аномалиями ДЗН, которые могут приводить к отслойке нейроэпителия в макуле, являются колобома ДЗН и синдром «вьюнка». Существует мнение, что все эти состояния представляют собой различные фенотипические проявления так называемых «колобоматозных» (т.е. относящихся к эмбриональной щели) дефектов. Однако ряд авторов полагает, что в основе развития данных аномалий лежат разные патогенетические механизмы и нарушения на разных этапах онтогенеза глазного яблока. Клиническая диагностика синдрома «вьюнка», как правило, не вызывает трудностей, в то время как дифференциальный диагноз ямки и изолированной колобомы ДЗН может представлять непростую задачу. В рассматриваемом клиническом случае аргументом в пользу постановки диагноза ямки ДЗН стал небольшой и стабильный характер субретинальной фильтрации.
Точный механизм формирования макулярной отслойки при ямке ДЗН до сих пор является предметом дискуссий [3, 6–10]. Есть мнение, что источником жидкости является стекловидное тело. Согласно данной гипотезе тракция стекловидного тела на макулу и ДЗН может привести к развитию отрицательного давления с последующим поступлением жидкости через ямку ДЗН в субмакулярное пространство. Другие учёные полагают, что причиной развития отслойки является существование коммуникации между субарахноидальным и субретинальным пространством через ямку, что приводит к проникновению спинномозговой жидкости под сетчатку макулярной зоны. Жидкость может распространяться под внутреннюю пограничную мембрану (ВПМ), в слой ганглиозных клеток, внутренний и наружный ядерные слои сетчатки и в субретинальное пространство. Взаимосвязь между полостью стекловидного тела, субарахноидальным и субретинальным пространством была подтверждена фактом миграции газа и силиконового масла под сетчатку и в полость черепа после витрэктомии pars plana у пациентов с ямкой ДЗН [11, 12].
Из-за отсутствия единых представлений о патогенезе отслойки сетчатки вследствие ямки ДЗН отсутствует единый подход к её лечению. Проводится консервативное лечение, лазеркоагуляция сетчатки, витрэктомия с пилингом ВПМ или без него, с тампонадой ямки различными биологическими субстратами (ВПМ, аутологичным фибрином, амнионом, склерой и др.), изолированная газовая тампонада витреальной полости, а также различные комбинации представленных методов. Альтернативными методами являются эписклеральное пломбирование макулярной зоны, внутренняя фенестрация сетчатки с помощью ИАГ-лазера [2]. Описаны редкие случаи самопроизвольной резорбции субретинальной жидкости у пациентов с ямкой ДЗН [13–15].
Лазеркоагуляция сетчатки является одним из первых предложенных методов лечения осложнённой ямки ДЗН. Лазеркоагуляты наносят парапапиллярно в зоне предполагаемой фильтрации, как правило, с височной стороны. Формирующиеся в результате хориоретинальные рубцы служат барьером между ямкой ДЗН и субретинальным пространством [4]. Анатомо-функциональные результаты лазеркоагуляции варьируют от полной абсорбции субретинальной жидкости и прилегании сетчатки до низкой эффективности данного вида лечения с персистенцией интра- и субретинальной жидкости, отсутствием повышения остроты зрения и значительными дефектами поля зрения [4, 16, 17]. Успех лазерного лечения во многом зависит от длительности существования отслойки сетчатки и выраженности изменений макулярной зоны. В случае успешной лазеркоагуляции и формирования хориоретинального рубца отмечается резорбция интра- и субретинальной жидкости, сроки которой зависят от её объёма и выраженности интраретинальных изменений и могут составлять от нескольких месяцев до полутора лет [18].
В представленном клиническом случае длительность наблюдения после проведённой барьерной лазеркоагуляции сетчатки составила 2 месяца. За данный период была выявлена положительная динамика резорбции субретинальной жидкости и полное восстановление остроты зрения ребёнка. Поскольку офтальмоскопически и по данным ОКТ выявлялся состоятельный хориоретинальный рубец, была выбрана тактика наблюдения с расчётом на дальнейшую положительную динамику состояния вит-реоретинального интерфейса. Однако в нашем клиническом случае фактором, отягощающим прогноз и потенциально снижающим эффективность лечения, является длительность существующих изменений макулярной зоны вследствие диагностической ошибки, связанной во многом с тем, что анализ данных ОКТ макулы проводился изолированно от состояния парапапиллярной зоны и ДЗН.
ЗАКЛЮЧЕНИЕ
Грамотная интерпретация и интеграция результатов клинического и инструментального обследования, а также тщательный анализ анамнестических данных позволяют правильно установить этиологию структурных нарушений макулярной зоны, что имеет ключевое значение в выборе правильной тактики лечения и сохранения зрительных функций.
ДОПОЛНИТЕЛЬНАЯ ИНФОРМАЦИЯ
Источник финансирования. Авторы заявляют об отсутствии внешнего финансирования при проведении исследования.
Конфликт интересов. Авторы декларируют отсутствие явных и потенциальных конфликтов интересов, связанных с публикацией настоящей статьи.
ADDITIONAL INFO
Funding source. This study was not supported by any external sources of funding.
Competing interests. The authors declare that they have no competing interests.
Об авторах
Людмила Анатольевна Катаргина
НМИЦ глазных болезней им. Гельмгольца
Email: katargina@igb.ru
ORCID iD: 0000-0002-4857-0374
доктор медицинских наук, профессор
Россия, МоскваЕкатерина Валерьевна Денисова
НМИЦ глазных болезней им. Гельмгольца
Email: deale_2006@inbox.ru
ORCID iD: 0000-0003-3735-6249
SPIN-код: 4111-4330
кандидат медицинских наук
Россия, МоскваНаталья Анатольевна Осипова
НМИЦ глазных болезней им. Гельмгольца
Автор, ответственный за переписку.
Email: natashamma@mail.ru
ORCID iD: 0000-0002-3151-6910
SPIN-код: 5872-6819
кандидат медицинских наук
Россия, МоскваСписок литературы
- Georgalas I., Ladas I., Georgopoulos G., Petrou P. Optic disc pit: a review // Graefes Arch Clin Exp Ophthalmol. 2011. Vol. 249, N 8. P. 1113–1122. doi: 10.1007/s00417-011-1698-5
- Chatziralli I., Theodossiadis P., Theodossiadis G.P. Optic disk pit maculopathy: current management strategies // Clin Ophthalmol. 2018. Vol. 12, N. P. 1417–1422. doi: 10.2147/OPTH.S153711
- Gass JDM. Serous detachment of the macula secondary to optic disc pits // Am J Ophthalmol. 1969. Vol. 67, N 6. P. 821–841.
- Theodossiadis G. Evolution of congenital pit of the optic disk with macular detachment in photocoagulated and nonphotocoagulated eyes // Am J Ophthalmol. 1977. Vol. 84, N 5. P. 620–631. doi: 10.1016/0002-9394(77)90375-0
- Theodossiadis G.P., Theodossiadis P.G., Ladas I.D., et al. Cyst formation in optic disc pit maculopathy // Doc Ophthalmol. 1999. Vol. 97, N 3–4. P. 329–335. doi: 10.1023/a:1002194324791
- Sugar H.S. An Explanation for the Acquired Macular Pathology Associated with Congenital Pits of the Optic Disc // Am J Ophthalmol. 1964. Vol. 57, N. P. 833–835.
- Irvine A.R., Crawford J.B., Sullivan J.H. The pathogenesis of retinal detachment with morning glory disc and optic pit // Retina. 1986. Vol. 6, N 3. P. 146–150. doi: 10.1097/00006982-198600630-00002
- Jain N., Johnson M.W. Pathogenesis and treatment of maculopathy associated with cavitary optic disc anomalies // Am J Ophthalmol. 2014. Vol. 158, N 3. P. 423–435. doi: 10.1016/j.ajo.2014.06.001
- Gowdar J.P., Rajesh B., Giridhar A., et al. An insight into the pathogenesis of optic disc pit-associated maculopathy with enhanced depth imaging // JAMA Ophthalmol. 2015. Vol. 133, N 4. P. 466–469.
- Turkcuoglu P., Taskapan C. The Origin of Subretinal Fluid in Optic Disc Pit Maculopathy // Ophthalmic Surg Lasers Imaging Retina. 2016. Vol. 47, N 3. P. 294–298. doi: 10.3928/23258160-20160229-15
- Dithmar S., Schuett F., Voelcker H.E., Holz F.G. Delayed sequential occurrence of perfluorodecalin and silicone oil in the subretinal space following retinal detachment surgery in the presence of an optic disc pit // Arch Ophthalmol. 2004. Vol. 122, N 3. P. 409–411. doi: 10.1001/archopht.122.3.409
- Kuhn F., Kover F., Szabo I., Mester V. Intracranial migration of silicone oil from an eye with optic pit // Graefes Arch Clin Exp Ophthalmol. 2006. Vol. 244, N 10. P. 1360–1362. doi: 10.1007/s00417-006-0267-9
- Yuen C.H., Kaye S.B. Spontaneous resolution of serous maculopathy associated with optic disc pit in a child: a case report // J AAPOS. 2002. Vol. 6, N 5. P. 330–331. doi: 10.1067/mpa.2002.127921
- Parikakis E.A., Chatziralli I.P., Peponis V.G., et al. Spontaneous Resolution of Long-Standing Macular Detachment due to Optic Disc Pit with Significant Visual Improvement // Case Rep Ophthalmol. 2014. Vol. 5, N 1. P. 104–110. doi: 10.1159/000362263
- Akca Bayar S., Sarigul Sezenoz A., Yaman Pinarci E., Yilmaz G. Spontaneous Regression of Optic Disc Pit Maculopathy in a Six-Year-Old Child // Turk J Ophthalmol. 2017. Vol. 47, N 1. P. 56–58. doi: 10.4274/tjo.57614
- Abouammoh M.A., Alsulaiman S.M., Gupta V.S., et al. Pars plana vitrectomy with juxtapapillary laser photocoagulation versus vitrectomy without juxtapapillary laser photocoagulation for the treatment of optic disc pit maculopathy: the results of the KKESH International Collaborative Retina Study Group // Br J Ophthalmol. 2016. Vol. 100, N 4. P. 478–483. doi: 10.1136/bjophthalmol-2015-307128
- Teke M.Y., Citirik M. 23 Gauge Vitrectomy, Endolaser, and Gas Tamponade Versus Vitrectomy Alone for Serous Macular Detachment Associated With Optic Disc Pit // Am J Ophthalmol. 2015. Vol. 160, N 4. P. 779–785 e772. doi: 10.1016/j.ajo.2015.07.019
- Lei L., Li T., Ding X., et al. Surgical. Options for Optic Disc Pit Maculopathy: Perspectives and Controversies // Eye (Lond). 2015. Vol. 29, N 1. P. 106–114.
Дополнительные файлы








