Структура новообразований радужки у детей и подростков
- Авторы: Саакян С.В.1,2, Свирина И.В.1, Цыганков А.Ю.1,2, Мякошина Е.Б.1,2, Киселева Т.Н.1, Луговкина К.В.1
-
Учреждения:
- НМИЦ глазных болезней им. Гельмгольца
- Московский государственный медико-стоматологический университет имени А.И. Евдокимова
- Выпуск: Том 17, № 2 (2022)
- Страницы: 21-30
- Раздел: Клинические рекомендации
- Статья опубликована: 04.08.2022
- URL: https://ruspoj.com/1993-1859/article/view/106631
- DOI: https://doi.org/10.17816/rpoj106631
- ID: 106631
Цитировать
Полный текст
Аннотация
Цель. Описание клинических случаев новообразований радужки у детей и подростков.
Материал и методы. Работа основана на ретроспективном и проспективном анализе пациентов с новообразованием радужки у детей и подростков за период с января 2018 по апрель 2022 г. За данный период времени в поликлинический отдел обратилось 44 ребёнка с подозрением на новообразование радужки, в том числе 20 мальчиков и 24 девочки. Возраст детей составил от 6 месяцев до 17 лет (9,1±5 лет). Диагноз устанавливали с учётом клинических и инструментальных методов исследования: биомикроскопия, ультразвуковое исследование, включая ультразвуковую биомикроскопию, по необходимости выполняли оптическую когерентную томографию переднего отдела глаза. При невозможности постановки диагноза в связи с возрастом ребёнка обследование проводили под общим наркозом в отделе офтальмоонкологии и радиологии НМИЦ глазных болезней им. Гельмгольца.
Результаты. Стационарный невус радужки определён у 32 (72,7%) пациентов, меланоз радужки — у 3 (6,8%) детей, выявлено 5 (11,3%) кист, одна (2,3%) гетерохромия, одна (2,3%) флоккула, одна (2,3%) гамартома, одна (2,3%) меланоцитома. Большая часть пациентов с данными образованиями наблюдается в поликлиническом отделе. С января 2018 по апрель 2022 года в отделе офтальмоонкологии и радиологии осмотрено 6 детей под общим наркозом с образованиями радужки, в результате обследования двое детей оставлены на динамическое наблюдение, двоим — выполнена иридэктомия, двоим оставшимся — ИАГ-лазерная цистотомия и цистодеструкция.
Среди подростков так же выявлены две иридэктомии. У чнтырёх больных после иридэктомии гистологический диагноз верифицирован. Так, выявлены стромальная киста радужки, киста пигментного эпителия радужки, меланоцитома и веретеноклеточный невус радужки.
Заключение. По данным собственных наблюдений чаще всего встречаются стационарные невусы радужки (72,7%), значительно реже кисты (11,3%) и меланоз (6,8%) радужки, с одинаковой частотой отмечена частота встречаемости гетерохромии (2,3%), флоккул (2,3%), гамартом (2,3%) и меланоцитомы (2,3%) радужки.
Ключевые слова
Полный текст
ВВЕДЕНИЕ
Новообразования радужки у детей являются редким случаем. Преимущественно преобладают стационарные невусы радужки [1, 2]. Однако в клинической практике и в литературе встречаются описания других новообразований радужки [3–6], в том числе злокачественных, например, частота возникновения увеальной меланомы (УМ) у детей и подростков составляет от 0,5 до 1,5% от всех случаев УМ [3, 4, 7].
Сложность диагностики новообразований радужки состоит в необходимости её дифференцирования с такими заболеваниями, как первичная киста радужки (38%), невус радужки (31%), эссенциальная атрофия радужки (5,7%), инородное тело радужки (4,5%), периферические передние синехии (2,5%) и метастазы в радужку (2,5%) [6, 8, 9]. Эти заболевнаия могут проявляться сходными клиническими признаками, в том числе с меланомой радужки.
Кисты радужки делятся на первичные и вторичные, первичные в свою очередь — на пигментные эпителиальные и стромальные [5, 10, 11]. Часто пигментные эпителиальные кисты имитируют меланому, из-за этого необходимо проводить углублённую диагностику и динамическое наблюдение за данной категорией больных [12].
Отдельный интерес представляют пациенты с синдромом семейного атипичного родимого пятна и меланомы (FAMM — famial atypical mole and melanoma syndrome), который наследуется по аутосомно-доминантному типу. Отмечен случай FAMM-синдрома у десятилетнего мальчика с амеланотичной опухолью радужной оболочки и вторичной глаукомой, помимо этого, у пациента выявили множественные невусы на коже, волосистой части головы, ягодицах. После биопсии кожи подтверждён диагноз FAMM-синдрома, а после эксцизионной биопсии радужки поставлен диагноз меланомы радужки, что, по мнению авторов, свидетельствует о возможной ассоциации увеальной меланомы с FAMM-синдромом [13].
В связи с вышесказанным дети с множественными, атипичными кожными невусами, подозрительными на FAMM-синдром, должны периодически проходить офтальмологическое обследование.
Несмотря на относительную редкость новообразований радужки в детской популяции, нами предпринята попытка систематизировать имеющиеся клинические наблюдения.
Цель. Описание клинических случаев новообразований радужки у детей и подростков.
МАТЕРИАЛ И МЕТОДЫ
Проведён ретроспективный и проспективный анализ новообразований радужки у пациентов молодого возраста по данным детского поликлинического отдела и отдела офтальмоонкологии и радиологии НМИЦ глазных болезней им. Гельмгольца с января 2018 по апрель 2022 г. За данный период времени в поликлинический отдел обратилось 44 ребёнка с подозрением на новообразование радужки (20 мальчиков и 24 девочки) в возрасте от 6 месяцев до 17 лет (9,1±5 лет). Из 44 образований радужки стационарный невус встречался у 32 (72,7%) пациентов, меланоз радужки отмечен у 3 (6,8%) детей, выявлено также 5 (11,3%) кист, одна (2,3%) гетерохромия, одна (2,3%) флоккула, одна (2,3%) гамартома, одна (2,3%) меланоцитома (рис. 1).
Рис. 1. Частота выявлений образований радужки у детей и подростков.
Диагноз образования радужки устанавливали с учётом данных комплексного клинического и инструментального обследования, которое включало не только стандартное обследование, но и ультразвуковое сканирование (ультразвуковое исследование и ультразвуковую биомикроскопию) и оптическую когерентную томографию переднего отдела глаза.
Пациентам, которым невозможно было поставить точный диагноз на основании клинических данных и инструментального обследования с учётом возраста ребёнка (до 5 лет), проводили обследование под общим наркозом в отделе офтальмоонкологии и радиологии НМИЦ глазных болезней им. Гельмгольца с последующим решением вопроса о необходимости хирургического вмешательства или динамического наблюдения.
РЕЗУЛЬТАТЫ
За период с января 2018 по апрель 2022 года в поликлиническом отделе НМИЦ глазных болезней им. Гельмгольца выявлено 44 ребёнка с новообразованием радужки. У 38 детей диагноз установлен в амбулаторных условиях, однако, в связи с отрицательной динамикой и невозможностью комплексного осмотра в поликлинике шести детям понадобилась госпитализация с осмотром под общим наркозом.
Для уточнения диагноза и более углублённого осмотра ребёнка, которое невозможно провести в амбулаторных условиях в связи с возрастом больного, в отделе офтальмоонкологии и радиологии НМИЦ глазных болезней им. Гельмгольца было осмотрено под общим наркозом 6 детей с новообразованием радужки. После осмотра двое детей оставлены для динамического наблюдения, двоим детям выполнена иридэктомия, двоим — ИАГ-лазерная цистотомия и цистодеструкция.
Двум подросткам в связи с прогрессией заболевания так же была выполнена иридэктомия. У всех 4 детей после иридэктомии гистологический диагноз был верифицирован.
Клинические случаи
Пациент Г., 3 года. В марте 2020 года на плановом осмотре по месту жительства выявлено пигментное новообразование радужки левого глаза. Больной направлен в НМИЦ глазных болезней им. Гельмгольца (далее — Центр). На левом глазу определено предметное зрение. При осмотре у пациента на левом глазу выявлено пигментированное новообразование зрачкового края радужки (рис. 2). Учитывая размеры новообразования и распространение на оптическую зону было рекомендовано проведение иридэктомии, которая была выполнена в ноябре 2020 г.
Рис. 2. Киста пигментного эпителия зрачкового края радужки.
По данным оптической когерентной томографии у пациента имеется овальное кистовидное образование, исходящее из тканей радужки с гиперрефлективной капсулой и гипорефлективным содержимым (рис. 3).
Рис. 3. Оптическая когерентная томография радужки OS. Кистовидное образование с гиперрефлективной капсулой и гипорефлективным содержимым.
Гистологическая картина соответствовала диагнозу «киста пигментного эпителия радужки». На контрольном осмотре в июне 2021 г. отмечен благоприятный анатомический и функциональный результат.
Пациентка В., 6 лет. Родители с рождения отмечали помутнение роговицы. При обследовании в отделе офтальмоонкологии и радиологии Центра установлен следующий диагноз: врождённый порок развития с вовлечением склеры, конъюнктивы, роговицы, передней камеры, радужки, хрусталика правого глаза в сочетании с амблиопией слабой степени и сложным гиперметропическим астигматизмом; гиперметропия слабой степени левого глаза. Острота зрения на OD до операции составила 0,2sph+1,0cyl+3,5ax350=1,0, на OS 0,6sph+1,0=1,0.
При биомикроскопии на бульбарной конъюнктиве по меридианам с 6 до 9 часов определён беспигментный, слегка проминирующий очаг белого цвета, распространяющийся на роговицу, с неровными нечёткими границами, гладкой поверхностью (рис. 4). На остальном протяжении роговица гладкая, блестящая. В передней камере на 6 часах за помутнением роговицы выявлено кистовидное образование радужки, распространяющееся в нижний отдел угла передней камеры (УПК). В других отделах радужка структурна.
Рис. 4. Беспигментное образование бульбарной конъюнктивы с переходом на роговицу.
По данным оптической когерентной томографии правого глаза по меридианам с 6 до 9 часов в строме роговицы определяли гиперрефлективную ткань. В центре этой ткани на 7 часах в строме и эндотелии роговицы выявили кистовидное образование овальной формы, задняя поверхность которого в виде плотного гиперрефлективного тяжа связана с кистой радужки (рис. 5). Киста радужки локализована в нижнем отделе угла передней камеры (УПК). На 8 часах определяли переднюю синехию.
Рис. 5. Оптическая когерентная томография радужки OD. Гиперрефлективный фокус роговицы, гиперрефлективная передняя синехия между эндотелием роговицы и гиперрефлективной поверхностью кисты.
На основании клинической картины и инструментальных методов исследования установлен следующий диагноз: врождённый порок развития в виде кисты радужки и роговицы, вторичные изменения эндотелия роговицы, передняя синехия, начальные помутнения в нижне- наружном квадранте хрусталика правого глаза. Острота зрения OS после операции составила 0,6. Учитывая отсутствие признаков воспаления, возраст, высокий риск послеоперационных осложнений после иридэктомии со сквозной кератопластикой и иссечении трети радужки, рекомендовано динамическое наблюдение.
Пациент С., 2 года. У ребёнка в возрасте 6 месяцев родители заметили новообразование на радужке левого глаза, которое постепенно увеличивалось в размерах. При биомикроскопии отмечено пигментированное кистовидное образование с сосудами на поверхности на радужке с 12 до 2 часов, смещающее радужку кзади и контактирующее с роговицей, УПК в этом отделе не визуализируется. В августе 2021 г. ребёнок осмотрен под общим наркозом с максимальным мидриазом в отделе офтальмоонкологии и радиологии Центра. На основании клинической картины, данным ультразвукового исследования и ультразвуковой биомикроскопии сделано заключение, что у ребёнка имеется иридоцилиарная киста, закрывающая УПК с 12 до 2 часов без признаков гипертензии и воспаления. Было рекомендовано динамическое наблюдение.
При повторном осмотре в январе 2022 г. у ребёнка 2 лет отмечен прогрессирующий рост врождённой кисты радужки (за 5 месяцев). Киста занимала весь верхне-наружный отдел радужки с 12 до 4 часов, увеличилась в объёме, заполнила всю переднюю камеру в верхне-наружном секторе с плоскостным сращением передней стенки кисты с роговицей в этом секторе, деформировала зрачок, не доходя до зрачкового края 1 мм (рис. 6).
Рис. 6. Врождённая киста радужки.
Пациенту проведена ИАГ-лазерная цистотомия и цис-тодеструкция врождённой кисты радужки, передней камеры, рассечение сращений кисты с роговицей, диод-лазерная коагуляция центрального края кисты. Далее больному рекомендовано динамическое наблюдение.
Пациентка Х., 4 года. Впервые заметили пигментное новообразование на радужке в 1 год на плановом осмотре по месту жительства. За последние 7 месяцев мама отметила рост новообразования, поэтому обратилась в Центр. Острота зрения составила 1,0. По результатам ультразвуковой биомикроскопии правого глаза отмечено в наружном отделе образование радужки размером 2,4×2,8×3,2 мм. Обследовано было затруднено в связи с маленьким возрастом ребёнка. Ребёнок был госпитализирован и обследован под общим наркозом. В результате комплексного обследования (ультразвукового исследования и Ret Cam) с учётом клинической картины было диагностировано пигментное новообразование радужки в области зрачкового края с выраженными приводящими сосудами. Отмечалось распыление пигмента по всей радужке и УПК в наружных и нижних отделах (рис. 7).
Рис. 7. Меланоцитома радужки.
По данным оптической когерентной томографии правого глаза отмечена гиперрефлективная поверхность образования с эффектом «тени» подлежащих структур (рис. 8).
Рис. 8. Оптическая когерентная томография радужки OD. Гиперрефлективная поверхность образования.
Проведена операция иридэктомия с иридопластикой правого глаза. Гистологическая картина соответствовала диагнозу меланоцитомы радужки. Пациентке рекомендовано динамическое наблюдение.
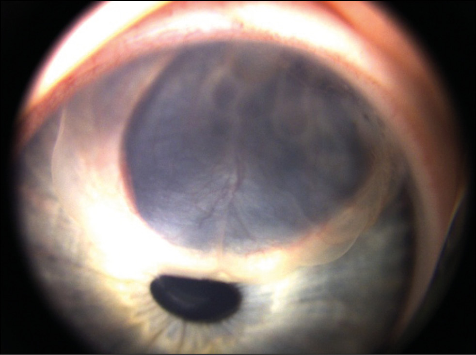
Пациент А., 16 лет. Впервые заметили новообразование радужки у ребёнка в 13 лет, в течение последнего времени отмечают рост. При обращении в Центр острота зрения OU составила 1,0. Проведено обследование, включая ультразвуковую биомикроскопию, при которой выявлены акустические признаки стромальной кисты радужки размером 6,41×2,45×6,62 мм с неоднородным содержимым. УПК в зоне кисты закрыт. При биомикроскопии на радужке в верхневнутреннем квадранте с 12.30 до 15.30 часов, распространяясь от зрачкового края и до цилиарного пояса, определено проминирующее кистозное образование шаровидной формы, с довольно чёткими контурами и гладкой поверхностью, контактирующее с эндотелием роговицы (рис. 9). В полости кисты наблюдали уровень белёсого содержимого, зрачок был немного деформирован и уплощён (рис. 10).
Рис. 9. Стромальная киста радужки.
Рис. 10. Стромальная киста радужки. Ультразвуковая биомикроскопия радужки OD.
По данным оптической когерентной томографии определяется гиперрефлективная поверхность капсулы кисты радужки и гипорефлективный промежуток между эндотелием роговицы и поверхностью капсулы (рис. 11).
Рис. 11. Оптическая когерентная томография радужки OD. Гиперрефлективная поверхность капсулы кисты радужки.
Проведена операция иридэктомия с биопсией правого глаза. Гистологическая картина соответствовала диагнозу стромальной кисты радужки. После операции острота зрения OU составила 1,0. Пациенту рекомендовано динамическое наблюдение.
Пациентка А., 13 лет. При диспансерном осмотре по месту жительства в апреле 2021 г. впервые заметили пигментное новообразование радужки левого глаза, обратились в НМИЦ глазных болезней им. Гельмгольца (Центр). Обследована в поликлиническом отделе, острота зрения OS с диафрагмой составила 0,4–0,5. Выполнена ультразвуковая биомикроскопия левого глаза: в нижне-внутреннем квадранте отмечено локальное утолщение зоны с проминенцией 0,9 мм и диаметром основания 2,06×2,02 мм с повышенной акустической плотностью. Профиль задней поверхности радужки неровный. Установлен диагноз пигментное новообразование радужки левого глаза без признаков активности, рекомендовано динамическое наблюдение с контрольным осмотром в Центре через 6 месяцев (рис. 12).
Рис. 12. Пигментное новообразование радужки.
При контрольном осмотре в декабре 2021 г. выполнена повторная ультразвуковая биомикроскопия левого глаза, в результате чего было выявлено увеличение диаметра основания 2,5×2,11 мм образования по сравнению с первым осмотром 2,06×2,02 мм (рис. 13).
Рис. 13. Ультразвуковая биомикроскопия радужки OS.
Клинически определена отрицательная динамика в связи с наличием признаков роста и распыления пигмента вокруг образования.
С помощью оптической когерентной томографии определяется гиперрефлективная поверхность образования с эффектом «тени» подлежащих структур (рис. 14).
Рис. 14. Оптическая когерентная томография радужки OS. Гиперрефлективная поверхность образования.
Пациентке проведена иридэктомия с иридопластикой. После операции острота зрения OS с диафрагмой составила 0,4–0,5. Гистологическая картина соответствовала веретеноклеточному невусу. Пациентке рекомендовано динамическое наблюдение.
ОБСУЖДЕНИЕ
Пигментные новообразования радужки, несмотря на относительную редкость в детском возрасте, представляют интерес в связи с вероятностью выявления увеальной меланомы, что несёт угрозу не только для зрительных функций, но и для жизни больного. По данным литературы, частота встречаемости увеальной меланомы среди детей и подростков составляет от 0,5 до 1,5% от всех случаев заболевания [3, 4, 7]. За период с 2005 по 2012 год выявлен 21 случай увеальной меланомы у детей и подростков, что составило 1,36% от общего числа пролеченных больных за этот период [4].
По нашим данным, за период с января 2018 по апрель 2022 г. наиболее часто определяли стационарные невусы радужки, которые составляли 72,7% от всех образований радужки, значительно реже выявлялись кисты (11,3%), меланоз радужки (6,8%), гетерохромия (2,3%), флоккула (2,3%), гамартома (2,3%) и меланоцитома (2,3%). За этот период в связи с прогрессированием заболевания четырём детям была выполнена иридэктомия. В результате гистологического заключения у одного ребёнка была диагностирована киста пигментного эпителия радужки, у другого — стромальная киста радужки, у третьего ребёнка — веретеноклеточный невус, а у последнего — меланоцитома радужки. По нашим данным, меланома радужки за данный период среди детей и подростков не выявлена, однако, другие авторы описывают случаи меланомы радужки у детей и подростков [3, 4, 14, 15].
В работе Al-Kharashi и соавт. [16] представлено наблюдение меланоцитомы радужки у ребёнка 3 лет. При осмотре было обнаружено большое однородное образование в нижних квадрантах радужки со вторичным локализованным отёком роговицы. Поражение не распространялось на цилиарное тело, а обследование глазного дна не выявило поражений в заднем сегменте, включая диск зрительного нерва. Пациенту проведена секторальная иридоциклэктомия и эксцизионная биопсия поражения радужки. Морфологическое исследование подтвердило диагноз меланоцитомы радужки [16]. В нашей работе у одного ребёнка 4 лет подтверждена меланоцитома радужки, которая клинически выглядела как пигментное новообразование радужки в области зрачкового края с выраженными приводящими сосудами, отмечено распыление пигмента по всей поверхности радужки и УПК. Ребёнку проведена иридэктомия и верифицирован гистологический диагноз.
В статье McLaughlin J.P. и соавт. [14] описан случай невуса радужки у 15-летнего подростка, при этом через 2 года наблюдений новообразование увеличилось в размерах. Пациенту проведена секторальная иридэктомия, при этом в результате морфологического исследования выявлена веретеноклеточная меланома радужки. Еще через 2 года у пациента определён рецидив с вовлечением УПК и со вторичной глаукомой, пациенту выполнена брахитерапия. Представленный авторами случай [14] диктует необходимость регулярного наблюдения за данной категорией больных. В нашей работе случаев меланомы радужки не выявлено.
Zargar S. и соавт. описали случай кисты пигментного эпителия радужки у новорождённого ребёнка [17]. Отмечено увеличение зрачков с круговыми расширениями пигментного эпителия радужки. При этом на поражённом глазу отсутствовал красный рефлекс с глазного дна. В радужной оболочке OD определено тёмно-коричневое образование размером 2–3 мм, а в радужной оболочке OS — тёмно-коричневое образование размером 3–5 мм, что соответствует пигментной эпителиальной кисте радужной оболочки зрачка. Авторы подчёркивают значимость выявления образований радужки у детей для профилактики развития амблиопии, при этом пациент был оставлен для динамического наблюдения на 3 месяца. В нашей работе описан один случай кисты пигментного эпителия радужки у ребёнка 3 лет, проведена иридэктомия.
Арестова Н.Н. и Егиян Н.С. представили клинический случай посттравматической гигантской кисты радужки и передней камеры у ребёнка 3 лет. Авторы описывают успешное лечение кисты ИАГ-лазером (иттрий-алюминиевый гранат лазером) и лазером с диодной накачкой и удвоением частоты. Достигнуто рубцевание кисты с сохранением остроты зрения 1,0. Срок наблюдения за пациентом составил 10 лет. По мнению авторов, описанный случай подтверждает целесообразность попытки неинвазивного лазерного лечения даже при гигантском размере кисты [18].
В работе Tran T.A. и соавт. представлен случай меланомы радужки у мальчика 12 лет после тупой травмы глаза. При осмотре выявлен большой атипичный коричневый сосудистый очаг во внутренней половине радужки, распространяющийся до зрачкового края. В радужке и передней камере определяли более мелкие узелки. Ультразвуковая биомикроскопия не выявила опухолевой ткани за радужкой. После секторальной иридэктомии по результатам морфологического исследования определили смешанноклеточную меланому. Глаз был удалён. Патогистологическое исследование подтвердило наличие злокачественной меланомы, локализованной в иридокорнеальном углу, радужке, цилиарном теле и внутреннем слое передней склеры [15]. В нашей работе меланомы радужки не выявляли.
ЗАКЛЮЧЕНИЕ
Таким образом, среди детей и подростков наиболее часто выявляются стационарные невусы радужки (72,7%), значительно реже кисты (11,3%) и меланоз (6,8%) радужки, с одинаковой частотой отмечена частота встречаемости гетерохромии (2,3%), флоккул (2,3%), гамартом (2,3%) и меланоцитомы (2,3%) радужки.
Несмотря на доброкачественный характер процесса, существует вероятность их малигнизации, поэтому важно наблюдать за такими больными и в случае появлении признаков прогрессии решать вопрос о хирургическом решении. Детских офтальмологов должны насторожить нечёткость границ и распыление пигмента вокруг образования, наличие сосудов, рост образования в динамике. Таких пациентов необходимо наблюдать минимум два раза в год, при необходимости выполнять ультразвуковую биомикроскопию и оптическую коерентную томографию переднего отдела. Помимо этого, при выявлении образований радужки у детей младшего возраста существует риск перекрытия оптической зоны, что может привести к развитию обскурационной амблиопии.
ДОПОЛНИТЕЛЬНАЯ ИНФОРМАЦИЯ
Источник финансирования. Авторы заявляют об отсутствии внешнего финансирования при проведении исследования.
Конфликт интересов. Авторы декларируют отсутствие явных и потенциальных конфликтов интересов, связанных с публикацией настоящей статьи.
ADDITIONAL INFO
Funding source. This study was not supported by any external sources of funding.
Competing interests. The authors declare that they have no competing interests.
Об авторах
Светлана Ваговна Саакян
НМИЦ глазных болезней им. Гельмгольца; Московский государственный медико-стоматологический университет имени А.И. Евдокимова
Email: svsaakyan@yandex.ru
ORCID iD: 0000-0001-8591-428X
SPIN-код: 4783-9193
член корр. РАН, доктор медицинских наук, профессор
Россия, Москва; МоскваИрина Витальевна Свирина
НМИЦ глазных болезней им. Гельмгольца
Автор, ответственный за переписку.
Email: dr.svirinairina@yandex.ru
ORCID iD: 0000-0001-7830-1880
аспирант
Россия, МоскваАлександр Юрьевич Цыганков
НМИЦ глазных болезней им. Гельмгольца; Московский государственный медико-стоматологический университет имени А.И. Евдокимова
Email: alextsygankov1986@yandex.ru
ORCID iD: 0000-0001-9475-3545
SPIN-код: 6476-4740
кандидат медицинских наук
Россия, Москва; МоскваЕлена Борисовна Мякошина
НМИЦ глазных болезней им. Гельмгольца; Московский государственный медико-стоматологический университет имени А.И. Евдокимова
Email: Myakoshina@mail.ru
ORCID iD: 0000-0002-2087-7155
кандидат медицинских наук
Россия, Москва; МоскваТатьяна Николаевна Киселева
НМИЦ глазных болезней им. Гельмгольца
Email: dr.svirinairina@yandex.ru
ORCID iD: 0000-0002-9185-6407
доктор медицинских наук, профессор
Россия, МоскваКсения Вадимовна Луговкина
НМИЦ глазных болезней им. Гельмгольца
Email: ksushalyg@mail.ru
ORCID iD: 0000-0002-3531-3846
кандидат медицинских наук
Россия, МоскваСписок литературы
- Shields C.L., Kaliki S., Hutchinson A., et al. Iris nevus growth into melanoma: analysis of 1611 consecutive eyes: the ABCDEF guide // Ophthalmology. 2013. Vol. 120, N 4. P. 766–772. doi: 10.1016/j.ophtha.2012.09.042
- Demirci H., Mashayekhi A., Shields C.L., et al. Iris melanocytoma: clinical features and natural course in 47 cases // Am J Ophthalmol. 2005. Vol. 139, N 3. P. 468–475. doi: 10.1016/j.ajo.2004.10.008
- Pogrzebielski A., Orlowska-Heitzman J., Romanowska-Dixon B. Uveal melanoma in young patients // Graefes Arch Clin Exp Ophthalmol. 2006. Vol. 244, N 12. P. 1646–1649. doi: 10.1007/s00417-006-0347-x
- Саакян С.В., Амирян А.Г., Цыганков А.Ю. Увеальная меланома у детей и подростков: анализ собственных наблюдений у 21 больного // Российская педиатрическая офтальмология. 2015. Т. 10, № 3. С. 33-36. doi: 10.17816/rpoj37679.
- Lois N., Shields C.L., Shields J.A., Mercado G. Primary cysts of the iris pigment epithelium. Clinical features and natural course in 234 patients // Ophthalmology. 1998. Vol. 105, N 10. P. 1879–1885. doi: 10.1016/S0161-6420(98)91034-X
- Shields C.L., Kaliki S., Shah S.U., et al. Iris melanoma: features and prognosis in 317 children and adults // J AAPOS. 2012. Vol. 16, N 1. P. 10–16. doi: 10.1016/j.jaapos.2011.10.012
- Barr C.C., McLean I.W., Zimmerman L.E. Uveal melanoma in children and adolescents // Arch Ophthalmol. 1981. Vol. 99, N 12. P. 2133–2136. doi: 10.1001/archopht.1981.03930021009003
- Krantz B.A., Dave N., Komatsubara K.M., et al. Uveal melanoma: epidemiology, etiology, and treatment of primary disease // Clin Ophthalmol. 2017. Vol. 11, N. P. 279–289. doi: 10.2147/OPTH.S89591
- Shields J.A., Sanborn G.E., Augsburger J.J. The differential diagnosis of malignant melanoma of the iris. A clinical study of 200 patients // Ophthalmology. 1983. Vol. 90, N 6. P. 716–720. doi: 10.1016/s0161-6420(83)34500-0
- Shields J.A. Primary cysts of the iris // Trans Am Ophthalmol Soc. 1981. Vol. 79, N. P. 771–809. PMC1312203
- Арестова Н.Н., Катаргина Л.А. Лазерная хирургия кист переднего отдела глаза у детей // Российский офтальмологический журнал. 2011. Т. 4, № 3. С. 25–30.
- Shields J.A., Shields C.L., Melanocytic tumors of the iris. In: Shields J.A., Shields C.L. Intraocular tumors. A text and atlas. Philadelphia: WB Saunders, 1993. P. 65.
- Singh A.D., Shields J.A., Eagle R.C., et al. Iris melanoma in a ten-year-old boy with familial atypical mole-melanoma (FAM-M) syndrome // Ophthalmic Genet. 1994. Vol. 15, N 3–4. P. 145–149. doi: 10.3109/13816819409057842
- McLaughlin J.P., Fung A.T., Shields J.A., Shields C.L. Iris melanoma in children: Current approach to management // Oman J Ophthalmol. 2013. Vol. 6, N 1. P. 53–55. doi: 10.4103/0974-620X.111920
- Tran T.A., Hirst L.W., Axelsen R.A., Welch R. Iris melanoma in 12-year-old boy // Clin Exp Ophthalmol. 2006. Vol. 34, N 5. P. 489–490. doi: 10.1111/j.1442-9071.2006.01252.x
- Al-Kharashi A., Alsakran W.A., Alshamrani A.A., et al. Iris Melanocytoma in a Child: Clinical and Histopathological Findings // Am J Case Rep. 2021. Vol. 22, N. P. e931385. doi: 10.12659/AJCR.931385
- Zargar S., Prendiville K.J., Martinez E. Iris pigment epithelial cysts in a newborn // GMS Ophthalmol Cases. 2016. Vol. 6, N.P. Doc 07. doi: 10.3205/oc000044
- Арестова Н.Н., Егиян Н.С. Лазерное лечение гигантской кисты радужки и передней камеры у ребенка (клиническое наблюдение) // Вестник офтальмологии. 2018. Т. 134, № 5. С. 86–91. doi: 10.17116/oftalma201813405186
Дополнительные файлы
















