A clinical case of choroidal detachment as choroidal effusion in a child with Sturge-Weber-Crabbe syndrome
- 作者: Shilov A.I.1, Pravosudova M.M.1, Shefer K.K.1
-
隶属关系:
- S. Fedorov Eye Microsurgery, Saint Petersburg branch
- 期: 卷 17, 编号 3 (2022)
- 页面: 31-37
- 栏目: Case reports
- ##submission.datePublished##: 28.10.2022
- URL: https://ruspoj.com/1993-1859/article/view/108984
- DOI: https://doi.org/10.17816/rpoj108984
- ID: 108984
如何引用文章
详细
Choroidal effusion syndrome is a rare idiopathic condition that occurs predominantly in middle-aged man with hyperopia and is characterized by ciliochoroidal detachment (CD), followed by exudative retinal detachment. To present a clinical case of postoperative choroidal detachment in a child with Sturge–Weber–Crabbe syndrome after microinvasive non-penetrating glaucoma surgery.
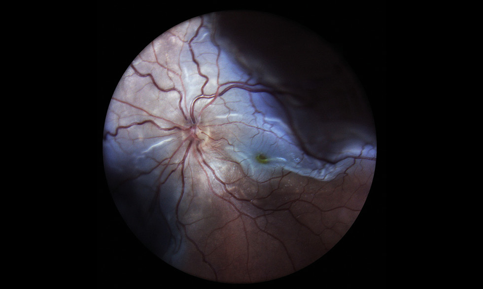
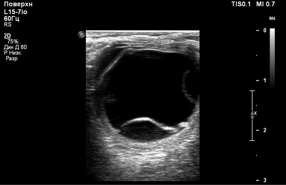
RESULTS: This article presents the clinical case of postoperative choroidal detachment in a child with Sturge–Weber–Crabbe syndrome after microinvasive non-penetrating glaucoma surgery. Against the background of the existing anomalies in the development of an optic disc after antiglaucomatous intervention for decompensated glaucoma, after the normalization of IOP, the patient developed choroid detachment with exudative retinal detachment the next day of operation. After conservative therapy involving bed rest and double instillation of mydriatics for 1 month, the situation was completely resolved and his vision was restored to 1.0.
DISCUSSION: The atypicality of our clinical case of CD lies in the overly pronounced exudative component. In addition to the classic CD vesicles, we observed high exudative retinal detachment as well as high retinoschisis, which is extremely atypical for classical CD. Considering the characteristics of congenital syndrome, it is necessary to accurately differentiate atypical CCA from the rare choroidal effusion syndrome, which also includes CCA with retinal detachment, but does not present with retinoschisis. Against the background of conservative therapy with bed rest and two instillations of mydriatics for 1 month, the situation was completely resolved, and the patient’s vision was restored to 1.0. In the treatment of such patients, it is always necessary to consider their individual anatomical features as well as to understand the detailed pathogenesis of the complications that arise before rushing to repeat surgery.
全文:

作者简介
Alexander Shilov
S. Fedorov Eye Microsurgery, Saint Petersburg branch
编辑信件的主要联系方式.
Email: alshilov1995@mail.ru
ORCID iD: 0000-0003-3315-3057
MD, Ophthalmologist
俄罗斯联邦, Saint-PetersburgMarina Pravosudova
S. Fedorov Eye Microsurgery, Saint Petersburg branch
Email: marprav@front.ru
MD, Cand. Sci. (Med.)
俄罗斯联邦, Saint-PetersburgKristina Shefer
S. Fedorov Eye Microsurgery, Saint Petersburg branch
Email: kristinashefer@yahoo.com
ORCID iD: 0000-0003-0568-6593
SPIN 代码: 2260-1969
MD, Cand. Sci. (Med.)
俄罗斯联邦, Saint-Petersburg参考
- Bobrova NF, Trofimova NB. Sturge-Weber-Crabbe syndrome and congenital glaucoma (features of the pediatric clinic and treatment results). Russian ophthalmology of children. 2013;(3):38–43. (In Russ).
- Belyy YA, Tereshhenko AV, Plahotnij MA. Uveal effusion syndrome (clinical case). Ophthalmology in Russia. 2015;12(3):93–98. (In Russ). doi: 10.18008/1816-5095-2015-3-93-98
- Comi AM, Weisz CJ, Highet BH, et al. Sturge-Weber syndrome: altered blood vessel fibronectin expression and morphology. J Child Neurol. 2005;20(7):572–577. doi: 10.1177/08830738050200070601
- Kanski D. Clinical ophthalmology: a systematic approach, 2nd ed. Erichev VP, editor. Wroclaw: Elsiver Urban and Partner; 2009. (In Russ).
补充文件
