Бактериальные язвы роговицы у детей. Клиническая и лабораторная диагностика. Часть I
- Авторы: Ковалева Л.А.1
-
Учреждения:
- ФГБУ "НМИЦ глазных болезней им. Гельмгольца"
- Выпуск: Том 16, № 2 (2021)
- Страницы: 23-30
- Раздел: Клинические рекомендации
- Статья опубликована: 17.11.2021
- URL: https://ruspoj.com/1993-1859/article/view/70301
- DOI: https://doi.org/10.17816/rpoj70301
- ID: 70301
Цитировать
Полный текст
Аннотация
Бактериальная язва роговицы занимает второе место по распространённости после герпетической, но лидирует по тяжести и темпам прогрессирования воспалительного процесса. Основными возбудителями бактериальной язвы роговицы являются: Staphylococcus aureus, Streptococcus pneumoniae, Pseudomonas aeruginosa, Neisseria gonorrhoeae. В течение последних лет отмечается рост частоты выявления язвы роговицы, вызываемой грамотрицательной бактерией Pseudomonas aeruginosa, которая отличается молниеносным течением, высокой частотой осложнений и неблагоприятных исходов. Гонококковая язва роговицы, вызываемая Neisseria gonorrhoeae, у детей встречается реже, чем у взрослых, но имеет самый агрессивный характер течения заболевания, который не меняется в зависимости от возраста пациента.
Бактериальные язвы роговицы являются одной из основных причин роговичной слепоты, могут за короткий срок приводить к эндофтальмиту, перфорации роговицы и потере глаза. Существуют клинические дифференциально-диагностические признаки, позволяющие с большой долей вероятности предположить этиологию заболевания при первой биомикроскопии и незамедлительно начать этиотропную терапию, имеющую решающее значение для исходов бактериальной язвы роговицы.
Стандартное лабораторное обследование больных с бактериальной язвой роговицы включает проведение бактериоскопического и культурального исследования содержимого конъюнктивального мешка.
В статье представлен актуальный обзор публикаций, клинические особенности, критерии дифференциальной диагностики, методы лабораторной диагностики бактериальных язв у детей на современном этапе
Полный текст
По данным информационного бюллетеня ВОЗ «Нарушения зрения и слепота» от 26 февраля 2021 года, роговичная слепота занимает шестое место в перечне основных причин нарушения зрения после нескорректированной аномалии рефракции, катаракты, возрастной макулодистрофии, глаукомы и диабетической ретинопатии [1].
Инфекционная язва роговицы — тяжёлое заболевание, характеризующееся нарушением целостности роговицы, распространяющееся глубже боуменовой мембраны. Заболевание отличается наличием инфильтрата роговицы, являющегося результатом воздействия экзогенных или эндогенных факторов, способствующих созданию условий для активации возбудителей различных инфекций, среди которых преобладают вирусы герпеса и бактерии [2, 3]. В отличие от аутоиммунной краевой язвы, инфекционная язва роговицы в 70% случаев располагается в центральной зоне [4], а рубцевание в этой области является причиной значительного снижения зрительных функций, в первую очередь, роговичной слепоты [5].
Бактериальная язва роговицы занимает второе место по распространённости после герпетической, но лидирует по тяжести и темпам прогрессирования воспалительного процесса, за короткий срок может приводить к эндофтальмиту, перфорации роговицы и потере глаза [6, 7]. Лидирующие позиции возбудителей бактериальной язвы роговицы могут изменяться в зависимости от экономического и социального развития страны, от климата, температуры и влажности воздуха, от степени развития медицинской и офтальмологической помощи, от нерационального и бесконтрольного использования глазных капель антибактериальных и глюкокортикостероидных лекарственных средств. С этим связано постепенное замещение кокковой микрофлоры грамотрицательными микроорганизмами, в первую очередь, Pseudomonas aeruginosa [8, 9].
По данным ряда авторов, в экономически развитых странах, например, в США, среди возбудителей бактериальной язвы роговицы ведущая роль принадлежит грамположительным бактериям рода Staphylococcus (83,8%), абсолютное большинство из которых составляет Staphylococcus aureus (73,6%), а на долю грамотрицательных бактерий приходится только 16,2% (Pseudomonas aeruginosa) [10, 11].
В течение последних лет отмечается рост частоты выявления язвы роговицы, вызываемой грамотрицательной бактерией (Pseudomonas aeruginosa), от 37,1% до 51,5%. Частота выявления язвы роговицы, вызываемой грамположительной флорой (Staphylococcus, Streptococcus и др.), выросла с 28,6% до 33,3% [12]. Гонококковая язва роговицы, вызываемая Neisseria gonorrhoeae, у детей встречается реже, чем у взрослых, но имеет самый агрессивный характер течения заболевания, который не меняется в зависимости от возраста пациента [13].
Известны экзогенные и эндогенные факторы риска, способствующие возникновению бактериальной язвы роговицы [14, 15]. По данным отдела инфекционных и аллергических заболеваний глаз ФГБУ «НМИЦ глазных болезней им. Гельмгольца», из экзогенных факторов у детей лидируют: травматические повреждения роговицы инородными телами, ожоги, контактные и ортокерателогические линзы, офтальмохирургические операции. Кроме того, экзогенными факторами риска бактериальной язвы роговицы у детей являются такие болезни глаза и его придаточного аппарата, как энтропион, лагофтальм, герпетический кератит и язва роговицы, сухой кератоконъюнктивит, длительное нерациональное применение кортикостероидов [14]. При гонококковой офтальмоинфекции инфицирование новорождённых происходит перинатальным путём, при прохождения через родовые пути матери, болеющей гонореей, а у подростков — при половом контакте. В исключительных случаях встречается контактно–бытовой способ заражения, при котором патогенез передачи инфекции происходит по цепочке гениталии–руки–глаза [13, 16].
Из эндогенных факторов в детском возрасте чаще встречаются следующие: очаги хронической инфекции (синуситы, отиты, воспалительные заболевания полости рта), иммунодефицит, а также болезни, требующие проведения постоянной системной терапии глюкокортикостероидами или иммуносупрессивными лекарственными средствами (бронхиальная астма, ревматоидные артриты, дерматит и экзема, атопический дерматит); сахарный диабет и другие [14].
Клиническая картина бактериальной язвы роговицы отличается широким разнообразием объективных симптомов, но существуют клинические дифференциально–диагностические признаки, позволяющие с большой долей вероятности предположить этиологию заболевания при первой биомикроскопии и незамедлительно начать этиотропную терапию, имеющую решающее значение для исходов бактериальной язвы роговицы. Ожидание результатов бактериоскопического и культурального методов исследования продолжительностью в 3–7 дней при отсутствии этиотропной терапии способствует стремительному прогрессированию заболевания, развитию эндофтальмита и перфорации роговицы, последующего хирургического вмешательства, вплоть до удаления глаза [17].
В 82,5–95,9% случаев бактериальная язва сопровождается иридоциклитом с наличием преципитатов на эндотелии, фибрином и гипопионом в передней камере, с образованием задних синехий, вторичной глаукомой [6, 14, 18, 19].
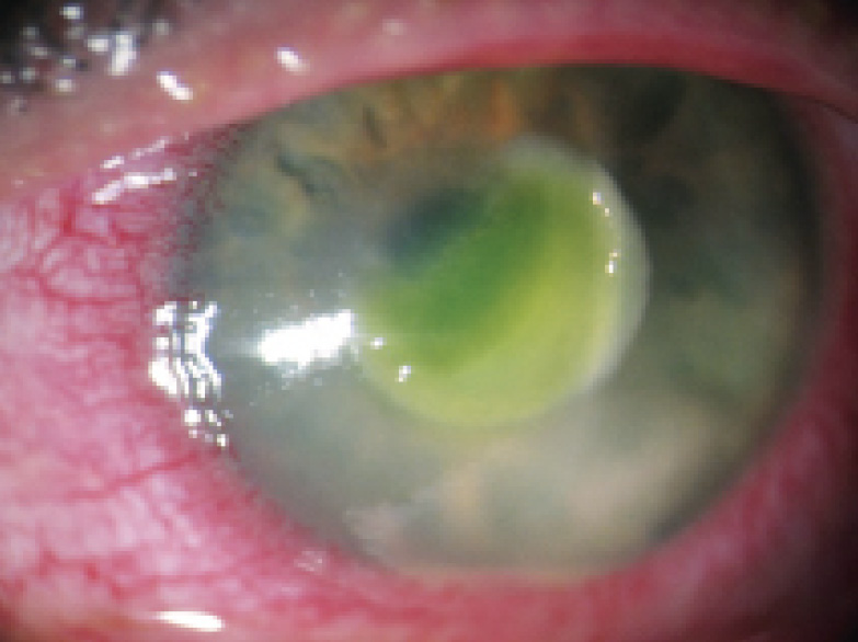
Для язвы роговицы, вызванной стафилококком или стрептококком, характерно постепенное, в течение нескольких дней, развитие гиперемии конъюнктивы глазного яблока и инфильтрата роговицы, представляющего ограниченный очаг желтоватого цвета. На поверхности инфильтрата появляется язва роговицы с плоским дном и скудным гнойно–некротическим отделяемым. Сопутствующий иридоциклит развивается постепенно, соизмеримо возрастанию инфильтрации роговицы. При этом на эндотелии появляются преципитаты, может появиться гипопион, уровень которого увеличивается постепенно (рис. 1) [6, 14, 18].
Рис. 1. Язва роговицы, вызванная Streptococcus pneumonia, с окрашиванием флуоресцеином.
Язва роговицы, вызванная синегнойной палочкой, отличается агрессивным характером течения. В этом случае гнойно–некротический процесс в роговице развивается бурно, в течение нескольких часов, сопровождаясь выраженной гиперемией бульбарной конъюнктивы. К кратерообразному дну язвы одним концом фиксируется слизисто-гнойное отделяемое белого цвета, свободный конец которого с каждым часом увеличивается в объёме и перемещается по поверхности роговицы при мигательных движениях. Гипопион — один из симптомов сопутствующего увеита, появляется в первые 2–3 часа заболевания, и уровень его увеличивается с каждым часом. Молниеносное развитие язвы роговицы синегнойной этиологии при отсутствии незамедлительной этиотропной терапии через 2–3 дня может привести к развитию гнойного эндофтальмита и перфорации роговицы (рис. 2) [6, 14, 18].
Рис. 2. Язва роговицы, вызванная Pseudomonas aeruginosa.
Гонорея — одна из наиболее распространённых инфекций, передаваемых половым путем [13, 14, 16]. Острый гнойный гиперактивный конъюнктивит, вызванный гонококком (гонобленнорея), характеризуется яркой, бурно развивающейся клинической картиной, склонностью к быстрому развитию язвы роговицы и вероятной гибели глаза [13]. Гонобленнорея у детей протекает легче, чем у взрослых, но тяжелее, чем у новорождённых [14].
Среди детей к группе риска по возникновению гонобленнореи относятся новорождённые, для которых источником инфекции являются родовые пути роженицы при наличии у неё активной гонококковой инфекции мочеполовых путей [20]. В цивилизованных странах гонобленнорея новорождённых встречается редко благодаря активной неспецифической профилактике, проводимой в роддоме сразу после рождения ребёнка. В России для профилактики инфекционных заболеваний глаз во время первичного туалета новорождённого рекомендуется использовать 1% мазь тетрациклина гидрохлорида (однократное закладывание за нижнее веко) или мазь эритромицина фосфата 10 000 ЕД в 1 г (однократное закладывание за нижнее веко) [21, 22].
Кроме того, снижению частоты заболеваемости гонобленнореей способствует дородовая профилактика, заключающаяся в тщательном обследовании женщин в период беременности, своевременной диагностике и лечении у них инфекций урогенитального тракта. В слаборазвитых странах Neisseria gonorrhoeae является причиной развития 15% всех конъюнктивитов новорождённых, а гонобленнорея занимает одно из первых мест среди причин слепоты у детей [20, 23].
Вероятность развития конъюнктивита у ребёнка после естественных родов при отсутствии профилактического лечения составляет 30–47%. Передача гонококковой инфекции возрастает до 68%, если у матери имеется также хламидиоз [24–26].
Клинические признаки гонобленнореи проявляются в первые часы жизни новорождённого, поражение двустороннее. При этом кожа век приобретает синюшно-багровый оттенок, отёк и уплотнение век, резкая гиперемия, отёк и кровоточивость конъюнктивы век и переходных складок. Отделяемое вначале серозно-кровянистое, через 2–3 дня становится обильным, гнойным (имеет вид «мясных помоев»). При попытке разомкнуть веки гной выделяется в большом количестве. При несвоевременной диагностике или отсутствии этиотропной терапии в течение первых двух суток от начала заболевания происходит стремительное инфицирование и распространение инфильтрации в толщу стромы и по всей площади роговицы. При этом происходит бурное прогрессирование гонококковой язвы роговицы, сопровождающееся быстрым гнойно-некротическим разрушением стромы, развитием эндофтальмита и перфорации роговицы через 1–2 дня. В настоящее время подобные осложнения у новорождённых встречаются достаточно редко [13, 20, 27–29].
У взрослых и подростков гонобленнорея может начинаться односторонне, при отсутствии лечения возникает поражение и второго глаза, развивается через 2–4 дня после контакта с сексуальным партнером. Гиперактивный гнойный конъюнктивит характеризуется быстрым прогрессированием с поражением роговицы уже через 1–3 дня со склонностью к перфорации роговицы (рис. 3, а; рис. 3, b). Сначала вблизи лимба, обычно сверху, происходит формирование язвы роговицы, быстро прогрессирующей к центру [24, 25].
Рис. 3, а. Гонобленнорея у пациентки 16 лет.
Рис. 3, b. Острый конъюнктивит, вызванный Neisseria gonorrhoeae у пациентки 16 лет.
Стандартное лабораторное обследование больных с бактериальной язвой роговицы включает проведение бактериоскопического и культурального исследования содержимого конъюнктивального мешка, забор которого проводится до начала консервативной терапии. Бактериоскопическое исследование заключается в анализе мазков с целью определения возбудителя. При культуральном исследовании проводится посев биоматериала на универсальные питательные среды с последующей биохимической идентификацией на тест–системах и постановкой антибиотикограммы диско–диффузионным методом [14].
По данным отдела инфекционных и аллергических заболеваний глаз ФГБУ «НМИЦ глазных болезней им. Гельмгольца» Минздрава России, при поступлении пациента в стационар в первые часы или дни от начала заболевания совпадение клинического и микробиологического диагнозов отмечено у 86,2% обследованных с бактериальной язвой роговицы. У 13,8% пациентов с бактериальной язвой результаты исследования мазков и посевов были ложноотрицательными, поскольку рост микрофлоры отсутствовал. В этих случаях бактериальная этиология язвы роговицы устанавливалась на основании данных анамнеза заболевания и характерных клинико–этиологических особенностей, выявленных при биомикроскопии. Отсутствие роста микрофлоры в остром периоде бактериальной язвы роговицы, по нашему мнению, может быть вызвано предшествующим местным антибактериальным лечением, проводимым пациентам в первые часы или дни заболевания до поступления в стационар.
Роль лабораторных методов исследования в выявлении этиологии язвы роговицы велика и неоспорима, но до получения результатов исследования необходимо незамедлительно начинать этиотропную терапию с учётом предполагаемого возбудителя инфекционной язвы роговицы. В дальнейшем, спустя 3–7 дней, результаты лабораторного исследования позволяют подтвердить этиологию бактериальной язвы роговицы, выявить возбудителя и его чувствительность к антибиотикам, откорректировать выбор этиотропной специфической терапии.
Диагноз гонококковой офтальмоинфекции устанавливается только на основании бактериоскопического исследования препарата, окрашенного 1% раствором метиленового синего и по методу Грама, лабораторно подтверждающего наличие Neisseria gonorrhoeae (характерные внутриклеточные грамотрицательные диплококки) в клинических образцах отделяемого, полученного из конъюнктивального мешка [16, 30]. При лабораторном подтверждении диагноза у детей рекомендуется консультации врачей–специалистов (офтальмолога, неонатолога, педиатра, гинеколога) для выявления изменений в других органах и системах и определения необходимого объёма диагностических и лечебных мероприятий в зависимости от выявленной патологии [31, 32].
Об авторах
Людмила Анатольевна Ковалева
ФГБУ "НМИЦ глазных болезней им. Гельмгольца"
Автор, ответственный за переписку.
Email: ulcer.64@mail.ru
ORCID iD: 0000-0001-6239-9553
Кандидат медицинских наук
Россия, МоскваСписок литературы
- WHO.int [интернет]. Нарушение зрения и слепота. Информационный бюллетень, 26 февраля 2021 г. [дата обращения 06.05.2021]. Доступ по ссылке: https://www.who.int/ru/news-room/fact-sheets/detail/blindness-and-visual-impairment .
- Austin A., Lietman T., Rose-Nussbaumer J. Update on the Management of Infectious Keratitis // Ophthalmology. 2017. Vol. 124, N 11. P. 1678-1689. doi: 10.1016/j.ophtha.2017.05.012
- Sakiyalak D., Chattagoon Y. Incidence of and risk factors for secondary ocular hypertension in moderate to severe infectious ulcerative keratitis // Clin Ophthalmol. 2018. Vol. 12, N. P. 2121-2128. doi: 10.2147/OPTH.S169280
- Ковалева Л.А., Слепова О.С., Куликова И.Г., Миронкова Е.А. Роль аутоиммунного компонента при центральных язвах роговицы // Российский офтальмологический журнал. 2013. Т. 6, № 2. С. 29-31.
- Майчук Ю.Ф., Кононенко Л.А. Антибиотики фторхинолоны в лечении язвы роговицы, вызванной синегнойной палочкой при ношении контактных линз // Рефракционная хирургия и офтальмология. 2003. Т. 3, № 1. С. 55-60.
- Каспарова Е.А. Гнойные язвы роговицы: этиология, патогенез, классификация // Вестник офтальмологии. 2015. Т. 131, № 5. С. 87-97. doi.org/10.17116/oftalma2015131587-97
- Al-Ghafri A., Al-Raisi A. The epidemiology of nonviral microbial keratitis in a tertiary care center in Muscat, Oman // Oman J Ophthalmol. 2018. Vol. 11, N 3. P. 213-219. doi: 10.4103/ojo.OJO_4_2018
- Jain R., Murthy S.I., Motukupally S.R., Jain M. Use of topical colistin in multiple drug-resistant Pseudomonas aeruginosa bacterial keratitis // Cornea. 2014. Vol. 33, N 9. Р. 923-927. doi: 10.1097/ICO.0000000000000184
- Ray M., Nigel L.C., Tan A.M. Triple infection keratitis // Eye Contact Lens. 2014. Vol. 40, N 3. P. 123-126. doi: 10.1097/ICL.0000000000000022
- Ситник Г.В. Современные подходы к лечению язв роговицы // Медицинский журнал. 2007. Т. 22, № 4. С. 100-104.
- Krachmer J.H., Mannis M.J., Holland E.J. Fundamentals, diagnosis and management // Cornea. Elsevier Mosby. 2005. N 2. Р. 1005-1033.
- Benhmidoune L., Bensemlali A., Bouazza M., et al. [Contact lens related corneal ulcers: clinical, microbiological and therapeutic features] // J Fr Ophtalmol. 2013. Vol. 36, N 7. P. 594-599. doi: 10.1016/j.jfo.2012.06.026
- Арестова Н.Н., Бржеский В.В., Вахова Е.С., и др. Конъюнктивит. Федеральные клинические рекомендации Министерства Здравоохранения Российской Федерации от 2020. Доступ по ссылке: http://avo-portal.ru/doc/fkr/approved/item/351-kon’yunktivit. Дата обращения 06.05.2021.
- Нероев В.В., Катаргина Л.А., Яни Е.В., и др. Бактериальные язвы роговицы. Федеральные клинические рекомендации Министерства Здравоохранения Российской Федерации от 2017 года. Доступ по ссылке: http://avo-portal.ru/doc/fkr/item/249-bakterialnye-yazvy-rogovitsy Дата обращения 06.05.2021.
- Обрубов А.С., Слонимский А.Ю. Кератиты и гнойные язвы роговицы при контактной коррекции // Вестник офтальмологии. 2018. Т. 134, № 4. С. 17-24. doi.org/10.17116/oftalma201813404117.
- Medi.ru [интернет]. Гонококковая инфекция. Клинические рекомендации [дата обращения 06.05.2021]. Доступ по ссылке: https://medi.ru/klinicheskie-rekomendatsii/gonokokkovaya-infektsiya_13986/
- Ковалева Л.А., Вахова Е.С. Алгоритмы фармакотерапии бактериальных язв роговицы // Эффективная фармакотерапия. 2013. № 23. C. 46-48.
- Каспарова Е.А. Гнойные язвы роговицы: клиника, диагностика, консервативное лечение // Вестник офтальмологии. 2015. Т. 131, № 6. С. 106-119. doi.org/10.17116/oftalma20151316106-119.
- Zapp D., Loos D., Feucht N., et al. Microbial keratitis-induced endophthalmitis: incidence, symptoms, therapy, visual prognosis and outcomes // BMC Ophthalmol. 2018. Vol. 18, N 1. P. 112. doi: 10.1186/s12886-018-0777-3
- Астахов Ю.С., Ангелопуло Г.В., Джалиашвили О.А. Глазные болезни: для врачей общей практики: Справочное пособие. СПб.: СпецЛит, 2001.
- Адамян Л.В. Филиппов О.С., Иванов Д.О., и др. Оказание медицинской помощи при одноплодных родах в затылочном предлежании (без осложнений) и в послеродовом периоде. Клинические рекомендации // Проблемы репродукции. 2017. Т. 23, №. S3. С. 7-26.
- Брусина Е.Б., Зеленина Е.М., Сутулина И.М., и др. Обеспечение эпидемиологической безопасности в родовом зале. Федеральные клинические рекомендации. Москва, НП “НАСКИ”, 2013.
- Неонатология: национальное руководство / под ред. Н.Н. Володина. М.: Гэотар-Медиа, 2013.
- LeHoang P. Blepharitis and conjunctivitis: Guidelines for diagnosis and treatment. SL: Editorial Glosa, 2006.
- Нероев В.В. Заболевания конъюнктивы. В кн.: Офтальмология. Национальное руководство/ Под редакцией Аветисова С.Э., Егорова Е.А., Мошетовой Л.К., и др. М.: ГЭОТАР-Медиа, 2018. С. 418.
- Хойт К.С., Тейлор Д. Детская офтальмология: в 2 томах / Пер. с англ. под общ. ред. Е.И. Сидоренко. М.: Изд. Панфилова, 2015. Т. 1. Раздел 3. Глава 12. Неонатальный конъюнктивит: С. 104-108.
- Никульшина Л.Л. Бактериальные инфекции глаз новорождённых, передающиеся через родовые пути матери // Вестник совета молодых учёных и специалистов Челябинской области. 2017. Т. 3, № 4. С. 86 - 89.
- Арестова Н.Н., Катаргина Л.А., Яни Е.В. Конъюнктивиты и дакриоциститы у детей: клиническая характеристика, современные возможности лечения // Российская педиатрическая офтальмология. 2016. Т. 11, № 4. С. 200-206. doi.org/10.18821/1993-1859-2016-11-4-200-206.
- Катаргина Л.А., Арестова Н.Н. Конъюнктивиты и дакриоциститы. В кн.: Неонатология. Национальное руководство / Под ред. акад. РАМН Н.Н. Володина, М.: ГЭОТАР-Медиа, 2013. С. 750-761.
- Kellogg N.D., Baillargeon J., Lukefahr J.L., et al. Comparison of nucleic acid amplification tests and culture techniques in the detection of Neisseria gonorrhoeae and Chlamydia trachomatis in victims of suspected child sexual abuse // J Pediatric & Adolescent Gynecology. 2004. N 17. P. 331-339. doi: 10.1016/j.jpag.2004.07.006
- CDC.gov [internet]. Sexually Transmitted Diseases Surveillance 2012 Atlanta: US Department of Health and Human Services [дата обращения: 06.05.2021]. Доступ по ссылке http://www.cdc.gov/std/tg2015/gonorrhea.htm.
- Iusti.Org [internet]. European Guideline on the Diagnosis and Treatment of Gonorrhoea in Adults 2012 [дата обращения: 06.05.2021]. Доступ по ссылке: http://www.iusti.org/regions/Europe/pdf/2012/Gonorrhoea_2012.pdf
Дополнительные файлы






