Toxic retinopathy and optic neuropathy in long-term tacrolimus intake
- Authors: Denisova E.V.1, Myshko I.V.1, Ivanova M.S.1
-
Affiliations:
- Helmholtz National Medical Research Center of Eye Diseases
- Issue: Vol 16, No 4 (2021)
- Pages: 27-36
- Section: Case reports
- Published: 25.12.2021
- URL: https://ruspoj.com/1993-1859/article/view/89586
- DOI: https://doi.org/10.17816/rpoj89586
- ID: 89586
Cite item
Full Text
Abstract
Tacrolimus is an effective immunosuppressive agent that is widely used in transplant surgery. Rare complications of its usage include optic neuropathy or maculopathy development.
AIM: To present a clinical case of tacrolimus-induced optic neuropathy and retinopathy
CLINICAL CASE. A family with a 17-year-old boy was referred to Helmoltz National Medical Research Center of Eye Diseases with complaints of sudden painless decreased vision in his right eye. The best-corrected visual acuity was the right eye of 0.3 and the left eye of 1.0. Ophthalmoscopy of his right eye revealed pigment mottling in the macula and paramacular region, mid-peripheral patchy pigment deposition in 2, 4, and 8 clock meridians. No pathological findings were revealed in his fellow eye. From the anamnesis, 15 years ago, the patient underwent liver transplantation (Alagille syndrome). From the moment of surgery to the date he received tacrolimus. Optical coherence tomography highlighted foveal smoothing, ellipsoid zone and retinal pigment epithelium disruption, macular and paramacular choroid thinning, and neuroretinal rim thickening. Computed microperimetry revealed a significantly decreased sensitivity in the central retinal zone of the right eye. Autofluorescence examination showed multiple punctate hypoautofluorescent spots in the macula and paramacula in the right eye, as well as hyperautofluorescent zones in the posterior pole in both eyes. Electric activity analysis has revealed decreased full-field electroretinogram parameters and P100 amplitude in visually-evoked potentials in the right eye and a decreased a-wave full-field electroretinogram of the left eye. The data provided by the parents suggest that the target tacrolimus concentration in plasma was exceeded 2 times just before the patient noticed vision impairment. Differential diagnoses included infectious and non-infectious posterior uveitis.
CONCLUSION: The first case of combined retinopathy and optic neuropathy in adolescents induced by long-term tacrolimus treatment was described.
Full Text
Особый интерес в офтальмологической практике представляет изучение негативных эффектов системной терапии основного заболевания в отношении органа зрения. Прямое или опосредованное токсическое воздействие на структуры глаза может оказывать широкий круг препаратов, в частности, иммунодепрессанты [1–3].
В настоящее время в трансплантологии успешно применяется такролимус-иммунодепрессант из группы ингибиторов кальценеврина, подавляющий активацию Т-клеток и образование цитокинов [4, 5]. Кроме того, препарат используется off label при лечении ряда аутоиммунных заболеваний (миастения, воспалительная миопатия, язвенный колит, волчаночный нефрит, нефротический синдром, оптический нейромиелит и др.), а в офтальмологии для терапии тяжёлых рефрактерных увеитов [6–12].
Однако при лечении такролимусом могут наблюдаться побочные эффекты, в том числе со стороны органа зрения. К ним относятся синдром сухого глаза, конъюнктивальная интраэпителиальная неоплазия, трихомегалия. Редкими, но серьёзными осложнениями являются цитомегаловирусный ретинит, токсическая макулопатия, оптическая нейропатия (ОН), корковая слепота [13].
Описанные случаи такролимус-индуцированной оптической нейропатии или макулопатии немногочисленны [14–26]. Данных о сочетании этих симптомов и их возникновении в детском возрасте нами в доступной литературе не найдено.
Цель. Описание клинического случая токсической ретинопатии и оптической нейропатии, возникших у ребенка на фоне длительной системной терапии такролимусом.
КЛИНИЧЕСКИЙ СЛУЧАЙ
В ФГБУ «НМИЦ глазных болезней им. Гельмгольца» Минздрава России обратилась семья с ребёнком 17 лет с жалобами на внезапное безболезненное снижение остроты зрения и серое пятно перед правым глазом, возникшие около двух недель назад. Из анамнеза известно, что ребёнок от второй беременности и вторых срочных родов, протекавших без осложнений. В двухлетнем возрасте пациенту выполнена аллотрансплантация печени по поводу синдрома Алажиля-Ватсона (артериопеченочная дисплазия), являющегося генетически обусловленным заболеванием с аутосомно-доминантным типом наследования. Наследственность отягощена по материнской линии. В ранний послеоперационный период наблюдалась реакция отторжения трансплантата, по поводу чего проводилась системная терапия глюкокортикоидами и иммунодепрессантами, а именно, такролимусом. В дальнейшем терапия такролимусом была продолжена. На момент обращения в Центр доза составила 2,5 мг/сутки. Со слов родителей, концентрация препарата в плазме определялась регулярно, и лишь единственный раз (незадолго до появления жалоб на снижение зрения) превысила индивидуальную пороговую (до 5 нг/мл), составив 11,6 нг/мл. Показатели биохимического анализа крови, общего анализа крови и мочи всегда были в пределах нормы.
У офтальмолога ребёнок ранее не наблюдался, поэтому оценка состояния органа зрения в динамике затруднительна. За 5 дней до обращения в Центр пациент был обследован в другой офтальмологической клинике, где показатели максимально корригированной остроты зрения были следующими: OD=0,4, OS=1,0. Передний отрезок обоих глаз не изменён, внутриглазное давление (ВГД) в норме. На глазном дне OD наблюдались невысокая проминенция диска зрительного нерва (ДЗН), умеренное сужение артерий, полнокровие и извитость вен, перипапиллярный отёк, стушеванность фовеолярного рефлекса, крапчатость сетчатки в макуле. Слева (OS) артерии ДЗН умеренно сужены, вены полнокровны; макула и периферия без патологии.
По данным оптической когерентной томографии (ОКТ), OD фовеолярная депрессия сглажена за счёт диффузного отека, субфовеолярная толщина сетчатки 305 мкм, в комплексе пигментный эпителий сетчатки/нейроэпителий (ПЭС/НЭ) очаговая деструкция НЭ с гиперрефлективными включениями в ПЭС, отёк слоя нервных волокон сетчатки парапапиллярно. OS патологических изменений не выявлено. Был поставлен диагноз «OU ретинопатия неясного генеза».
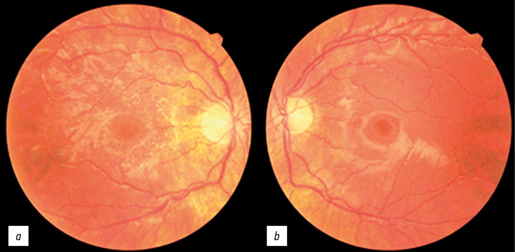
При обращении в НМИЦ глазных болезней им. Гельм-гольца максимально корригированная острота зрения составила: OD=0,06 sph –1,0 cyl -0,75 ax 155=0,3-0,4; OS=0,8 cyl -1,0 ax 15=1,0. Передний отрезок обоих глаз не изменён, ВГД в норме. При офтальмоскопии OD в макулярной области и по ходу сосудистых аркад выявлено перераспределение пигмента, фовеолярный рефлекс стушёван, ДЗН визуально не изменён, на средней периферии глазного дна соответственно двум, четырём и восьми часам, обнаружено очаговое отложение пигмента. OS без патологии (рис. 1).
Рис. 1. Фотографии глазного дна правого (a) и левого (b) глаза пациента. Справа отмечается перераспределение пигмента в макуле и парамакулярно. / Fig. 1. Fundus photos of the right (a) and left (b) eye of the patient. Pigment mottling in macula and paramacula is seen in the right eye.
По данным ОКТ, толщина сетчатки в макуле в правом и левом глазу была в пределах нормы (рис. 2) [27]. По данным 9-секторной карты ETDRS c концентрическими кольцами диаметром 1, 3 и 6 мм изменений толщины сетчатки не выявлено.
Рис. 2. ОКТ. Толщина сетчатки в макуле правого (a) и левого (b) глаза. / Fig. 2. OCT. Macular thickness map of the right (a) and left (b) eye.
Однако в правом глазу пациента были выявлены структурные изменения сетчатки (рис. 3А). Пунктирная линия синего цвета указывает на сглаженность фовеальной депрессии, синие стрелки — на относительную сохранность комплекса НЭ/ПЭС парацентрально снаружи; фигуры зелёного цвета — на гиперрефлективные включения на уровне ганглиозных клеток сетчатки и наружного ядерного слоя, красные стрелки — на диффузную дезорганизацию эллипсоидной зоны и очаговую деструкцию ПЭС, жёлтая стрелка — на истончение хориоидеи в проекции макулы (субфовеальная толщина хориоидеи OD=110 мкм, OS=213 мкм) и в области папиломакулярного пучка. В OD, кроме того, обнаружено увеличение толщины нейроретинального пояска (НРП) (рис. 4). Средняя толщина OD=143 мкм, OS=108 мкм. Слева все слои сетчатки в центре структурны, изменения ДЗН отсутствуют (рис. 3Б, рис. 4).
Рис. 3. ОКТ сетчатки. a — правый глаз. b — левый глаз без патологии. / Fig. 3. OCT of the retina. a — right eye. b — left eye is normal.
Рис. 4. ОКТ. Сравнительная карта толщины нейроретинального пояска правого (a) и левого (b) глаза. Справа наблюдается увеличение толщины нейроретинального пояска, значительное истончение хориоидеи (белые стрелки) в сравнении с левым глазом (жёлтые стрелки). / Fig. 4. OCT. Comparative map of the neuroretinal rim thickness profile of the right (a) and left (b) eye. Neuroretinal rim thickening in the right eye is seen. White arrows represent significant thinning of the choroid comparing to left eye (yellow arrows).
По данным ОКТ-ангиографии, справа наблюдались изменения фовеальной аваскулярной зоны (ФАЗ): на уровне поверхностного капиллярного сплетения ФАЗ не определяется, на уровне глубокого сплетения она уменьшена и имеет неправильную форму. Хориокапилляры в области наружной сетчатки без патологии. На уровне слоев Саттлера и Галлера отмечаются «пустоты» тока (рис. 5). В левом глазу изменений не выявлено.
Рис. 5. ОКТ-ангиограмма правого глаза (a), левого глаза (b): красная линия — ФАЗ в правом глазу, стрелки белого цвета — «пустоты» тока на уровне хориоидеи. / Fig. 5. OCT-angiography of the right (a) and left eye (b), respectively. red line — foveal avascular zone In the right eye; white arrows indicate flow voids.
Компьютерная микропериметрия показала стабильную центральную фиксацию и выраженное снижение чувствительности сетчатки в области макулы и парамакулярно справа с минимальным значением 3 дБ (рис. 6).
Рис. 6. Компьютерная микропериметрия правого (a) и левого (b) глаза. Стандартный паттерн. / Fig. 6. Computed microperimetry of the right (a) and left (b) eye of the patient. Standard screening pattern.
В левом глазу показатели световой чувствительности сетчатки в пределах нормы.
Исследование аутофлюоресценции глазного дна выявило справа множественные точечные участки гипоаутофлюоресценции в макуле и парамакулярно, в обоих глазах обнаружены зоны гипераутофлюоресценции на средней периферии (рис. 7), что свидетельствует о нарушениях ПЭС.
Рис. 7. Аутофлюоресценция глазного дна правого (a) и левого (b) глаза. / Fig. 7. Fundus autofluorescence of the right (a) and left (b) eye.
Электрофизиологическое исследование показало снижение показателей общей электроретинограммы (ЭРГ) справа. В левом глазу выявлено снижение амплитуды а-волны общей ЭРГ. Амплитуда высокочастотной ритмической ЭРГ на 30 Гц обоих глаз на нижней границе нормы. При исследовании зрительных вызванных потенциалов коры головного мозга (ЗВП) на вспышку света обнаружено снижение амплитуды пика Р100 справа, что свидетельствовало о снижении проведения сигнала по зрительным путям.
По техническим причинам флюоресцентную ангиографии выполнить не представлялось возможным.
Пациенту были назначены парабульбарные инъекции глюкокортикоидов справа с целью уменьшения отёка НРП и консультация гепатолога для коррекции дозы или замены препарата, динамическое наблюдение в НМИЦ глазных болезней им. Гельмгольца, однако, пациент на повторный приём не явился.
ОБСУЖДЕНИЕ
В литературе имеются сведения о возможном токсическом действии на сетчатку и зрительный нерв препаратов разных групп [1–3], в частности, такролимуса-высокоэффективного иммуносупрессивного препарата, широко используемого в трансплантологии и других областях медицины [5–12].
Такролимус-индуцированные поражения сетчатки и зрительного нерва наблюдаются очень редко. В доступной литературе обнаружены описания лишь двух случаев изолированной макулопатии [20, 21] и менее 20 случаев оптической нейропатии [14–19, 22–26], возникших у взрослых пациентов и, как правило, характеризовавшихся билатеральной симптоматикой.
У наблюдавшегося ребёнка отмечено сочетание симптомов преимущественно правосторонней ретинопатии с изменениями в области заднего полюса глаза, таких как перераспределение пигмента в макуле и парамакулярно, диффузная дезорганизация эллипсоидной зоны и очаговая ПЭС, истончение хориоидеи, снижение чувствительности сетчатки в области заднего полюса глаза, показателей общей ЭРГ.
Отмечена также ОН (увеличение толщины нейроретинального пояска) с преобладанием симптомов макулопатии и, очевидно, её ведущей ролью в снижении остроты зрения.
Макулопатия характеризовалась поражением наружной сетчатки (слой контакта), ПЭС и сосудистой оболочки. В левом, клинически здоровом глазу, выявлено снижение «а» волны общей ЭРГ и зоны гипераутофлюоресценции глазного дна, что свидетельствует о наличии субклинической ретинопатии и риске манифестации клинических проявлений.
Токсическая ОН обычно проявляется отёком диска зрительного нерва различной интенсивности с последующей его атрофией, внезапным или постепенным снижением остроты зрения варьирующим от небольшого до полной слепоты, дисхроматопсией и наличием цеко-центральной скотомы при исследовании поля зрения. Согласно опубликованным данным, такролимус-индуцированная ОН развивалась в сроки от двух месяцев до 5 лет после начала лечения препаратом, в большинстве случаев у пациентов, которым проводилась трансплантация органов. Описан лишь один случай её возникновения у пациента с нефротическим синдромом [18].
Точный механизм такролимус-индуцированного поражения зрительного нерва и сетчатки остается неясным. Данные об отсутствии или замедлении кровотока по ДЗН у пациентов с такролимус-индуцированной ОН подтверждают ишемическую теорию её возникновения [18, 24, 26]. Предполагается, что кальциневриновые ингибиторы нарушают взаимодействие между простациклином и тромбоксаном, что приводит к повышению уровня тромбоксана А2, вазоконстрикции и ишемии тканей [15, 23]. В пользу хронической ишемии свидетельствует наблюдаемое у нашего пациента истончение сосудистой оболочки и наличие зон гипоперфузии в слое средних и крупных сосудов хориоидеи. Другим возможным механизмом является нейротоксичность ингибиторов кальциневрина, обусловленная липофильностью препаратов, что приводит к повреждению миелиновых оболочек и отёку нервов [18] и было подтверждено при биопсии зрительного нерва у пациента с такролимус- индуцированной ОН [25]. Имеются данные также о генетической предрасположенности к нейротоксическому действию такролимуса [28, 29].
Одним из факторов риска развития ОН считается превышение допустимой концентрации препарата в сыворотке крови, что устанавливается индивидуально и не превышает 15–20 нг/мл [13], однако, описаны случаи её возникновения на фоне терапевтических и субтерапевтических (менее 5 нг/мл) концентраций такролимуса [14, 19]. Очевидно, имеет место влияние комплекса факторов. В частности, другими значимыми факторами нейротоксичности такролимуса являются нарушение функции печени, почек, болезнь трансплантата [23, 28].
Кроме того, установлено, что продукты метаболизма такролимуса (дидеметил и гидроксид дидеметила такролимуса) обладают биологической активностью [30], поэтому считают, что концентрация препарата в крови не является предиктором развития осложнений [13].
Наш пациент принимал такролимус на протяжении 15 лет, однако, оценить кумулятивный эффект препарата и его метаболитов не представляется возможным. С увеличением продолжительности терапии риск развития нежелательных явлений, несомненно, возрастает. В нашем случае изменения хориоидеи справа, очевидно, имеют хронический характер. Следует отметить, что незадолго до появления жалоб на снижение зрения концентрация такролимуса в плазме была превышена в два раза по сравнению с целевым значением, что, возможно, послужило «толчком» к развитию клинических проявлений.
Можно предположить, что в результате декомпенсации длительно персистирующей гипоперфузии развился отёк аксонов ганглиозных клеток справа, проявившийся увеличением толщины НРП. При этом офтальмоскопические признаки отёка ДЗН не определялись, что следует расценивать как субклиническую ОН. Возможно, деструктивные изменения наружных сегментов фоторецепторов и ПЭС также являются следствием циркуляторных нарушений в хориоидее. Следует отметить, что наличие асимметричных симптомов не исключает диагноз такролимус — индуцированного поражения: описаны случаи асимметирчной [25] и односторонней ОН у пациентов, получающих такролимус [14, 18].
Стандартными методами инструментальной диагностики при поражении сетчатки и зрительного нерва являются ОКТ, компьютерная периметрия, исследование аутофлюоресценции, флюоресцентная ангиография и электрофизиологические исследования. Однако изменения, выявляемые при такролимус-индуцированной ОН и макулопатии, неспецифичны, а диагноз ставится на основании соответствующего анамнеза и исключения других причин поражения сетчатки и зрительного нерва, включая инфекционные, аутоиммунные, метаболические, ишемические, опухолевые процессы, дефицит витаминов и микроэлементов, наследственные заболевания.
Дифференциальный диагноз у нашего пациента включал неинфекционные и инфекционные задние увеиты. Однако нами не наблюдалось витреита и очагов ретинита, характерных для воспалительного процесса. Клиническая картина также была не типична для острого пигментного эпителиита сетчатки, синдрома множественных быстро исчезающих белых пятен, острой зональной скрытой наружной ретинопатии [31] в виду наличия диффузных изменений эллипсоидной зоны и ПЭС, а также истончения сосудистой оболочки в период манифестации заболевания.
В настоящее время эффективные методы лечения такролимус-индуцированных ОН и ретинопатии не разработаны. Рекомендуется ранняя диагностика до развития необратимых изменений зрительного нерва и сетчатки и отмена препарата.
M. Gupta и соавт. отметили купирование отёка ДЗН при назначении преднизолона пациентке с такролимус-индуцированной ОН [18]. В другом случае эффект глюкокортикостероидов отсутствовал, однако, лечение было начато при атрофии ДЗН и отсутствии светоощущения [14].
K.K. Gokoffski и V.R. Patel сообщили о повышении остроты зрения у пациента с такролимус-индуцированных ОН на фоне лечения ибеденоном [17]. Однако на основании единичного наблюдения невозможно судить, обусловлено ли улучшение зрительных функций отменой такролимуса или назначением дополнительной терапии. Следует отметить, что после отмены такролимуса у 1/3 пациентов наблюдается различная степень повышения остроты зрения, но может продолжаться и её снижение [15].
Учитывая риск необратимой потери зрения, пациенты, принимающие такролимус, должны осматриваться офтальмологом. Оптимальная частота наблюдения у специалиста в настоящее время не определена.
ЗАКЛЮЧЕНИЕ
Впервые представлен случай сочетания асимметричной ретинопатии и субклинической ОН индуцированных длительным лечением такролимусом у подростка 17 лет, перенёсшего трансплантацию печени. Специалисты, проводящие терапию такролимусом, должны быть насторожены, а пациенты осведомлены о риске и симптомах поражения сетчатки и зрительного нерва и необходимости срочного обращения к офтальмологу при их появлении. Актуальными являются дальнейшие исследования патогенеза, факторов риска и разработка мер профилактики такролимус-индуцированного поражения сетчатки и зрительного нерва.
ДОПОЛНИТЕЛЬНАЯ ИНФОРМАЦИЯ
Источник финансирования. Авторы заявляют об отсутствии внешнего финансирования при проведении исследования.
Конфликт интересов. Авторы декларируют отсутствие явных и потенциальных конфликтов интересов, связанных с публикацией настоящей статьи.
ADDITIONAL INFO
Funding source. This study was not supported by any external sources of funding.
Competing interests. The authors declare that they have no competing interests.
About the authors
Ekaterina V. Denisova
Helmholtz National Medical Research Center of Eye Diseases
Author for correspondence.
Email: deale_2006@inbox.ru
ORCID iD: 0000-0003-3735-6249
MD, PhD Researcher, Department of children’s eye pathology
Russian Federation, 14/19, Sadovaya-Chernogriazskaya street, Moscow, 105062Ilya V. Myshko
Helmholtz National Medical Research Center of Eye Diseases
Email: mowlysh@yahoo.com
ORCID iD: 0000-0002-1354-6390
resident doctor
Russian Federation, 14/19, Sadovaya-Chernogriazskaya street, Moscow, 105062Margarita S. Ivanova
Helmholtz National Medical Research Center of Eye Diseases
Email: hibarak2012@gmail.com
ORCID iD: 0000-0001-6567-0708
ophthalmologist
Russian Federation, 14/19, Sadovaya-Chernogriazskaya street, Moscow, 105062References
- Lloyd MJ, Fraunfelder FW. Drug-induced optic neuropathies. Drugs Today (Barc). 2007;43(11):827–836. doi: 10.1358/dot.2007.43.11.1157621
- Moorthy RS, London NJ, Garg SJ, Cunningham ET, Jr. Drug-induced uveitis. Curr Opin Ophthalmol. 2013;24(6):589–597. doi: 10.1097/01.icu.0000434534.32063.5c
- eyewiki.aao.org [Internet]. Shah V, Tripathy K, Zhu I, et al. Drug induced maculopathy [cited 02 January 2022]. Available from: https://eyewiki.aao.org/w/index.php?title=Drug_induced_maculopathy&oldid=64708
- Clipstone NA, Crabtree GR. Calcineurin is a key signaling enzyme in T lymphocyte activation and the target of the immunosuppressive drugs cyclosporin A and FK506. Ann N Y Acad Sci. 1993;696:20–30. doi: 10.1111/j.1749-6632.1993.tb17138.x
- Hooks MA. Tacrolimus, a new immunosuppressant--a review of the literature. Ann Pharmacother. 1994;28(4):501–511. doi: 10.1177/106002809402800414
- Chen B, Wu Q, Ke G, Bu B. Efficacy and safety of tacrolimus treatment for neuromyelitis optica spectrum disorder. Sci Rep. 2017;7(1):831. doi: 10.1038/s41598-017-00860-y
- Gulati A, Sinha A, Gupta A, et al. Treatment with tacrolimus and prednisolone is preferable to intravenous cyclophosphamide as the initial therapy for children with steroid-resistant nephrotic syndrome. Kidney Int. 2012;82(10):1130–1135. doi: 10.1038/ki.2012.238
- Hogan AC, McAvoy CE, Dick AD, Lee RW. Long-term efficacy and tolerance of tacrolimus for the treatment of uveitis. Ophthalmology. 2007;114(5):1000–1006. doi: 10.1016/j.ophtha.2007.01.026
- Ishioka M, Ohno S, Nakamura S, et al. FK506 treatment of noninfectious uveitis. Am J Ophthalmol. 1994;118(6):723–729. doi: 10.1016/s0002-9394(14)72551-6
- Islam F, Westcott M, Rees A, et al. Safety profile and efficacy of tacrolimus in the treatment of birdshot retinochoroiditis: a retrospective case series review. Br J Ophthalmol. 2018;102(7):983–990. doi: 10.1136/bjophthalmol-2017-310436
- Kilmartin DJ, Forrester JV, Dick AD. Tacrolimus (FK506) in failed cyclosporin A therapy in endogenous posterior uveitis. Ocul Immunol Inflamm. 1998;6(2):101–109. doi: 10.1076/ocii.6.2.101.4051
- Murphy CC, Greiner K, Plskova J, et al. Cyclosporine vs tacrolimus therapy for posterior and intermediate uveitis. Arch Ophthalmol. 2005;123(5):634–641. doi: 10.1001/archopht.123.5.634
- eyewiki.aao.org [Internet]. Kini A, Lee A, Othman B. Tacrolimus optic neuropathy [cited 02 January 2022]. Available from: https://eyewiki.aao.org/Tacrolimus_Optic_Neuropathy
- Ascaso FJ, Mateo J, Huerva V, Cristobal JA. Unilateral tacrolimus-associated optic neuropathy after liver transplantation. Cutan Ocul Toxicol. 2012;31(2):167–170. doi: 10.3109/15569527.2011.629325
- Brazis PW, Spivey JR, Bolling JP, Steers JL. A case of bilateral optic neuropathy in a patient on tacrolimus (FK506) therapy after liver transplantation. Am J Ophthalmol. 2000;129(4):536–538. doi: 10.1016/s0002-9394(99)00443-2
- Devine SM, Newman NJ, Siegel JL, et al. Tacrolimus (FK506)-induced cerebral blindness following bone marrow transplantation. Bone Marrow Transplant. 1996;18(3):569–572.
- Gokoffski KK, Patel VR. A case of reversible toxic optic neuropathy from tacrolimus (FK506). Am J Ophthalmol Case Rep. 2020;20:100932. doi: 10.1016/j.ajoc.2020.100932
- Gupta M, Bansal R, Beke N, Gupta A. Tacrolimus-induced unilateral ischaemic optic neuropathy in a non-transplant patient. BMJ Case Rep. 2012;2012. doi: 10.1136/bcr-2012-006718
- Kessler L, Lucescu C, Pinget M, et al. Tacrolimus-associated optic neuropathy after pancreatic islet transplantation using a sirolimus/tacrolimus immunosuppressive regimen. Transplantation. 2006;81(4):636–637. doi: 10.1097/01.tp.0000188946.82239.68
- Koh T, Baek SH, Han JI, Kim US. Maculopathy associated with tacrolimus (FK 506). Korean J Ophthalmol. 2011;25(1):69–71. doi: 10.3341/kjo.2011.25.1.69
- Markan A, Ayyadurai N, Singh R. Tacrolimus Induced Thrombotic Microangiopathy (TMA) Presenting as Acute Macular Neuroretinopathy. Ocul Immunol Inflamm. 2021:1–2. doi: 10.1080/09273948.2021.1998549
- Nanda T, Rasool N, Bearelly S. Tacrolimus induced optic neuropathy in post-lung transplant patients: A series of 3 patients. Am J Ophthalmol Case Rep. 2021;22:101056. doi: 10.1016/j.ajoc.2021.101056
- Rasool N, Boudreault K, Lessell S, et al. Tacrolimus Optic Neuropathy. J Neuroophthalmol. 2018;38(2):160–166. doi: 10.1097/WNO.0000000000000635
- Shao X, He Z, Tang L, Gao L. Tacrolimus-associated ischemic optic neuropathy and posterior reversible encephalopathy syndrome after small bowel transplantation. Transplantation. 2012;94(9):e58–60. doi: 10.1097/TP.0b013e31826dde21
- Venneti S, Moss HE, Levin MH, et al. Asymmetric bilateral demyelinating optic neuropathy from tacrolimus toxicity. J Neurol Sci. 2011;301(1–2):112–115. doi: 10.1016/j.jns.2010.10.014
- Yun J, Park KA, Oh SY. Bilateral ischemic optic neuropathy in a patient using tacrolimus (FK506) after liver transplantation. Transplantation. 2010;89(12):1541–1542. doi: 10.1097/TP.0b013e3181d2fe83
- Al-Haddad C, Barikian A, Jaroudi M, et al. Spectral domain optical coherence tomography in children: normative data and biometric correlations. BMC Ophthalmol. 2014;14:53. doi: 10.1186/1471-2415-14-53
- Yamauchi A, Ieiri I, Kataoka Y, et al. Neurotoxicity induced by tacrolimus after liver transplantation: relation to genetic polymorphisms of the ABCB1 (MDR1) gene. Transplantation. 2002;74(4):571–572. doi: 10.1097/00007890-200208270-00024
- Sy SK, Heuberger J, Shilbayeh S, et al. A Markov chain model to evaluate the effect of CYP3A5 and ABCB1 polymorphisms on adverse events associated with tacrolimus in pediatric renal transplantation. AAPS J. 2013;15(4):1189–1199. doi: 10.1208/s12248-013-9528-9
- Gonschior AK, Christians U, Winkler M, et al. Tacrolimus (FK506) metabolite patterns in blood from liver and kidney transplant patients. Clin Chem. 1996;42(9):1426–1432.
- Crawford CM, Igboeli O. A review of the inflammatory chorioretinopathies: the white dot syndromes. ISRN Inflamm. 2013;2013:783190. doi: 10.1155/2013/783190
Supplementary files









