Unintentional subarachnoid administration of tranexamic acid during spinal anesthesia
- Authors: Koriachkin V.A.1, Beleshnikov I.L.2, Litus S.N.3, Safray A.E.4, Zabolotskiy D.V.1, Evgrafov V.A.1
-
Affiliations:
- Saint-Petersburg State Pediatric Medical University
- I.P. Pavlov First St. Petersburg State Medical University
- Bureau of Forensic Medical Expertise
- Bureau of Forensic Medical Expertise of St. Petersburg Region
- Issue: Vol 16, No 2 (2022)
- Pages: 115-127
- Section: Reviews
- Submitted: 24.06.2022
- Accepted: 22.07.2022
- Published: 19.10.2022
- URL: https://rjraap.com/1993-6508/article/view/108990
- DOI: https://doi.org/10.17816/RA108990
- ID: 108990
Cite item
Abstract
An accidental intrathecal tranexamic acid injection is a rare but extremely unpleasant case, which can lead to severe complications, including death. This review aimed to describe the clinical, pathophysiological changes and outcomes occurring in patients with unintentional tranexamic acid subarachnoid injection during spinal anesthesia. The review includes studies published in PubMed, The Cochrane Library, Google Scholar, and the Russian Science Citation Index databases. There were 31 reports (27 literature reports and 4 own observations) of unintended tranexamic acid administration during spinal anesthesia, including 12 cases in traumatology and orthopedics, 11 cases in cesarean section, and 8 cases in urology and general surgery. Typical signs and symptoms reported by the authors include severe pain in the lower back, buttocks, and lower extremities, seizure syndrome, marked tachycardia and arterial hypertension, and ventricular arrhythmias. Ten (32.1%) patients recovered without any consequences and six (19.4%) patients required long-term rehabilitation after hospital discharge due to severe neurological deficits or cognitive impairment. Of 11 females, 9 died during cesarean section and 4 of 12 patients died in traumatology and orthopedics. Overall, 15 (48.4%) patients had a fatal outcome. An unintentional subarachnoid tranexamic acid injection is a catastrophic event with extremely high patient risk and is accompanied by high mortality, especially in obstetric practice. Intensive care should include intravenous propofol or sevoflurane inhalation in the case of unintentional intrathecal tranexamic acid injection, and cerebrospinal fluid lavage is promising. Developing a formalized protocol for intrathecal administration of local anesthetic solutions is advisable to avoid errors associated with accidental drug administration not intended for spinal anesthesia.
Full Text
Спинальная анестезия (СА) является методом выбора при многих хирургических вмешательствах в связи с технической простотой, эффективностью, надёжным предотвращением нейроэндокринных реакций в ответ на интраоперационный стресс [1, 2]. Наиболее частыми осложнениями СА являются артериальная гипотония, постпункционный синдром, синдром преходящих неврологических расстройств. Другим редким, но серьёзным осложнением СА является внезапная остановка сердца, которая развивается с частотой 5,6 на 10 000 пациентов и ассоциирована с летальностью 58,4% [3–5].
Случайная интратекальная инъекция транексамовой кислоты, представляющей собой антифибринолитическое средство, используемое для профилактики и лечения кровотечений в хирургии, акушерстве и гинекологии, ортопедии и других оперативных вмешательствах [6–8], является редким, но крайне неприятным случаем, который может привести к тяжёлым осложнениям, в том числе и летальному исходу [9–11].
Ошибки при применении лекарств в анестезиологической практике встречаются примерно с частотой одна на 133 анестезии [12]. Редкие осложнения, связанные с непреднамеренным субарахноидальным введением транексамовой кислоты, представляют собой особую проблему для изучения, поскольку сопровождаются высокой частотой осложнений и летальности [13, 14].
Целью обзора явилось описание клиники, патофизиологических изменений и исходов, возникающих у пациента при непреднамеренном интратекальном введении в субарахноидальное пространство транексамовой кислоты во время спинальной анестезии.
МАТЕРИАЛ И МЕТОДЫ
Поиск публикаций, описывающих непреднамеренное субарахноидальное введение транексамовой кислоты, производился двумя независимыми исследователями с помощью баз данных PubMed, The Cochrane Library, Google Scholar, РИНЦ. Поисковые запросы включали следующие слова: осложнения спинальной анестезии, непреднамеренное субарахноидальное введение лекарственных средств, непреднамеренное интратекальное введение лекарственных средств, транексамовая кислота, ошибки при спинальной анестезии. Для анализа были включены статьи, сообщающие об ошибках, связанных с транексамовой кислотой во время спинальной анестезии. С целью выявления ранее не обнаруженных работ во всех публикациях была изучена библиография. Дата последнего поискового запроса – 17 июня 2022 г. В процессе поиска было обнаружено 376 публикаций, из которых 349 были исключены, так как описывали ситуации, не связанные с непреднамеренным субарахноидальным введением транексамовой кислоты, а также ошибки, связанные с введением других препаратов. Оставшиеся 27 публикаций составили основу данного обзора.
РЕЗУЛЬТАТЫ И ОБСУЖДЕНИЕ
Было выявлено 31 сообщение (27 литературных и 4 собственных наблюдения) о непреднамеренном введении транексамовой кислоты во время спинальной анестезии (см. табл.): 12 случаев в травматологии и ортопедии, 11 – при кесаревом сечении, 8 – в урологии и общей хирургии. Приведённый список инцидентов не является исчерпывающим, т.к. некоторые коллеги в личной беседе рассказывали нам о других неопубликованных случаях непреднамеренного субарахноидального введения транексамовой кислоты.
Таблица. Клинические проявления непреднамеренной субарахноидальной инъекции транексамовой кислоты
Table. Clinical manifestations of unintentional subarachnoidal tranexamic acid injection
№ п/п | Год | Автор | Пол, возраст | Операция | Симптомы | Исход |
1 | 1988 | Wong J. et al. [15] | М., 18 лет | Аппендэктомия | Генерализованные тонико-клонические судороги, гипертермия до 40,5°С, недержание мочи, стойкая моторная и сенсорная блокада обеих нижних конечностей | Выздоровление |
2 | 1999 | De Leede-van der Maari MG et al. [16] | М., 68 лет | Простатэктомия | Тонико-клонические судороги, парезы всех конечностей | Двусторонний паралич малоберцового нерва, когнитивные нарушения |
3 | 2003 | Yeh H.M. et al. [17] | Ж., 49 лет | Лечение хронической онкологической боли | Сильная боль в пояснице и ягодичной области, высокая артериальная гипертензия, генерализованные судороги, ФЖ | Смерть |
4 | 2007 | Garcha P.S. et al. [18] | Ж., 55 лет | Репозиция перелома большеберцовой кости | Сильная жгучая боль в нижних конечностях, миоклонические сокращения лица, артериальная гипотония, кома, ФЖ | Смерть |
5 | 2009 | Kim M. et al. [19] | Ж., 15 лет | Перелом лодыжки | Боль в ягодичной области, генерализованные судороги, кома и остановка сердца | Смерть |
6 | 2009 | Mohseni К. et al. [20] | М., 57 лет | Перелом надколенника | Перианальное жжение, артериальная гипертензия до 165/95 мм рт.ст., миоклонические судороги в конечностях и лице, артериальная гипотензия | Смерть |
7 | 2009 | Sabzi F. et al. [21] | Ж., 30 лет | Кесарево сечение | Сильная боль в пояснице, генерализованные судороги, тахикардия, артериальная гипотензия, рефрактерная ФЖ | Смерть |
8 | 2010 | Veisi F. et al. [22] | Ж., 21 год | Кесарево сечение | Сильная резкая боль от поясницы до нижних конечностей, дисфория, головокружение, сильные подергивания, приводящие к судорогам, ЖТ с частотой до 280 в мин, ФЖ, асистолия | Смерть |
9 | 2011 | Kaabachi O. et al. [23] | М., 30 лет | Артроскопия | Сильные боли в пояснице и ягодичной области, миоклонические движения в нижних конечностях, артериальная гипертензия до 160/100 мм рт.ст., ЧСС – до 120 уд/мин, рецидивирующая ЖТ | Выздоровление |
10 | 2012 | Butala B.P. et al. [24] | Ж., 37 лет | Цистолитотрипсия | Сильная жгучая боль в нижних конечностях, пояснице и ягодичной области, миоклонические судороги в нижних конечностях, выраженная гипертензия, выраженная тахикардия с желудочковой экстрасистолией (пульс 140–160 уд. в мин) | Выздоровление |
11 | 2012 | Mahmood K. et al. [25] | М., 54 года | Пересадка кожи на нижней конечности | Сильные боли в пояснице и ягодичной области, артериальная гипертензия, тахикардия, миоклонические судороги, лихорадка | Выздоровление |
12 | 2012 | Srivastata U. et al. [26] | Ж., 33 года | Холецистэктомия | Сильная боль в спине и нижних конечностях, генерализованные миоклонические судороги, множественная желудочковая экстрасистолия, остановка сердца | Смерть |
13 | 2013 | Raghu K. et al. [27] | Ж., 23 года | Кесарево сечение | Сильная боль в пояснице, выраженная тахикардия и артериальная гипотензия, стойкие миоклонические подергивания, рецидивирующая ЖТ, остановка сердца | Смерть |
14 | 2013 | Antwi-Kusi A. et al. [28] | Ж., 27 лет | Кесарево сечение | Артериальная гипертензия и миоклонические судороги, рефрактерные тонико-клонические судороги, ЖТ, ФЖ | Смерть |
15 | 2014 | Goyal G. et al. [29] | М., 36 лет | Устранение паховой грыжи | Боль в пояснице и нижних конечностях, непроизвольные сокращения мышц во всех конечностях, артериальная гипертензия, тахикардия, тонико-клонические судороги, эпилептический статус | Выздоровление |
16 | 2015 | Narra G.R. et al. [30] | М., 62 года | Простатэктомия | Сильная боль в пояснице и ягодичной области, жжение в промежности, выраженная тахикардия и артериальная гипертензия, миоклонические судороги, возбуждение, гипертермия | Выздоровление |
17 | 2015 | Roy A. et al. [31] | Ж., 26 лет | Кесарево сечение | Беспокойство, тяжёлая тахикардия и артериальная гипертензия, миоклонические судороги в нижних конечностях, эпилептический статус, ЖТ без пульса | Выздоровление |
18 | 2016 | Hatch D.M. et al. [32] | Ж., 31 год | Кесарево сечение | Сильная жгучая боль в пояснице, спазмы мышц нижних конечностей и тетания, выраженные тахикардия и артериальная гипертензия, множественные эпизоды ЖТ | Смерть |
19 | 2017 | ElKhateeb et al. [33] | Ж., 21 год | Кесарево сечение | Сильная боль в ягодицах и нижних конечностях, миоклонус нижних конечностей и генерализованные судороги, выраженная тахикардия и артериальная гипертензия. Рецидивирующие судороги после прекращения общей анестезии, ФЖ и остановка сердца | Смерть |
20 | 2017 | Anonimus [34] | Ж., 59 лет | ЭПТБС | Сильная боль в пояснице, судороги в нижних конечностях, артериальная гипертензия, отсутствие сознания и невозможность отключения от аппарата ИВЛ, судороги в послеоперационном периоде | Остаточный неврологический дефицит, необходимость в пожизненной реабилитации |
21 | 2018 | Grissinger M. et al. [35] | Ж., 68 лет | ЭПКС | Миоклонус нижних конечностей, генерализованные судороги и рецидивирующая ЖТ | Переведена в реабилитационное отделение |
22 | 2019 | Prior D. et al. [36] | Ж., 78 лет | ЭПТБС | Генерализованные миоклонические судороги. Судорожная активность продолжалась после интубации трахеи | Выписка на 11-е сут с лёгкими когнитивными нарушениями |
23 | 2020 | Наблюдение 1 | Ж., 27 лет | Кесарево сечение | Генерализованные тонико-клонические судороги, выраженная тахикардия и артериальная гипертензия, ФЖ и остановка сердца | Смерть |
24 | 2021 | Marzouk M. et al. [9] | Ж., 31 год | Кесарево сечение | Рефрактерный эпилептический статус | Выздоровление |
25 | 2021 | Al-Taei M.H. et al. [37] | М., 76 лет | ЭПКС | Миоклонические судороги, АД 216/113 см рт.ст.; ЧСС 89 в мин; ЧД 36 в мин | Смерть |
26 | 2021 | Shah P.J. et al. [38] | М., 21 год | Артроскопия | Генерализованные тонико-клонические судороги. АД 170/100 мм рт.ст., ЧСС 120 в мин | Выздоровление |
27 | 2021 | Shah P.J. et al. [38] | Ж., 23 года | Кесарево сечение | Генерализованные тонико-клонические судороги, рефрактерная ЖТ | Смерть |
28 | 2021 | Наблюдение 2 | Ж., 37 лет | Артроскопия | Генерализованные тонико-клонические судороги | Неврологический дефицит |
29 | 2021 | Наблюдение 3 | М., 39 лет | Артроскопия | Генерализованные тонико-клонические судороги | Выздоровление |
30 | 2021 | Наблюдение 4 | Ж., 34 года | Кесарево сечение | Жжение в области крестца, судороги в нижних конечностях, высокая артериальная гипертензия и тахикардия, гипертермия, генерализованные тонико-клонические судороги | Смерть |
31 | 2022 | Godec S. et al. [39] | М., 60 лет | ЭПТБС | Сегментарный миоклонус прогрессировал до генерализованных судорог и злокачественных аритмий | Стойкий неврологический дефицит |
Примечание: М – мужчина; Ж – женщина; ФЖ – фибрилляция желудочков; ЖТ – желудочковая тахикардия; ЭПТБС – эндопротезирование тазобедренного сустава; ЭПКС – эндопротезирование коленного сустава.
Note: M – male; Ж – woman; ФЖ – ventricular fibrillation; ЖТ – ventricular tachycardia; ЭПТБС – hip arthroplasty; ЭПКС – knee arthroplasty.
Анализ литературных данных и собственных наблюдений показал, что нейротоксическое действие транексамовой кислоты начиналось через 1–5 мин после субарахноидального введения. Дозировка транексамовой кислоты составляла от 50 до 400 мг (2–4 мл).
Типичными признаками и симптомами, о которых сообщали авторы, являлись сильные боли в пояснице, ягодицах и нижних конечностях, судорожный синдром, выраженные тахикардия и артериальная гипертензия, желудочковые аритмии.
У пациента возникала сильная жгучая боль в пояснице [17, 21, 23–27, 29, 30, 32, 34], в ягодичной области [17, 19, 24, 25, 30, 33], в нижних конечностях [18, 24, 26, 29, 33]. Некоторые пациенты жаловались на жжение в области промежности [20, 30].
Отмечались миоклонические судороги в нижних и верхних конечностях, на лице [8, 20, 22–25, 28–35, 37, 38], переходящие в генерализованные тонико-клонические судороги [15, 17–19, 21, 26, 29, 33, 35, 36, 38, 39], напоминающие эпилептический статус [9, 29, 31]. В ряде наблюдений отмечено повышение температуры тела до 40 °С [15, 25, 30]. Артериальное давление чаще резко повышалось [17, 20, 23–25, 28, 29–34, 37, 38], но иногда развивалась артериальная гипотензия [18, 20, 21, 27].
Отмечались выраженная тахикардия [21–25, 27–33, 35, 38, 39], переходящая в фибрилляцию желудочков [17–19, 21, 22, 26–28, 33], и остановка сердца [22, 26, 27, 22, 33].
Всем пациентам проводились седативная (диазепам, мидазолам, пропофол), противосудорожная (фенитоин, вальпроат натрия, клоназепам, инфузии тиопентала натрия и сульфата магния) и противоотёчная (дексаметазон, маннитол) терапия, интубация трахеи и ИВЛ, общая анестезия с миорелаксантами. Для борьбы с желудочковой тахикардией преимущественно использовали амиодарон. Двум пациентам – лаваж ЦСЖ. В случае остановки кровообращения проводилась сердечно-легочная реанимация.
Десять (32,1%) пациентов выздоровели без каких-либо последствий, 6 (19,4%) пациентам после выписки из стационара потребовалась длительная реабилитация в связи с тяжёлым неврологическим дефицитом или когнитивными нарушениями. При кесаревом сечении из 11 женщин умерло 9, в травматологии и ортопедии из 12 пациентов скончались 4. В целом летальный исход был зарегистрирован у 15 (48,4%) пациентов.
В качестве иллюстрации непреднамеренного субарахноидального введения транексамовой кислоты приводим клиническое наблюдение.
Пациентка М., беременность 39 нед. Рубец на матке. Поступила для планового кесарева сечения. Осмотрена анестезиологом-реаниматологом, выбран метод анестезиологического обеспечения – спинальная анестезия. 08.07.2021 в 8:50 в положении сидя на уровне L2–L3 серединным доступом иглой 27G выполнена пункция субарахноидального пространства, интратекально введено 2,8 мл 0,5% гипербарического раствора бупивакаина (торговое наименование – Бупивакаина Спинал Хэви).
Через 5 мин после введения местного анестетика пациентка пожаловалась на усиливающееся жжение в области крестца, появились гипертонус и судорожные подергивания в нижних конечностях. Принято решение о проведении общей анестезии. В течение всей операции тахикардия до 125 уд/мин, артериальная гипертензия до 145/90–160/110 мм рт.ст. После операции при попытке выведения из наркоза гипертонус нижних конечностей, генерализованные тонико-клонические судороги.
Принято решение о проведении продлённой ИВЛ с седацией. С момента поступления (10 ч 10 мин) в отделение реанимации состояние пациентки с отрицательной динамикой. Сохранялись тахикардия, артериальная гипертензия, гипертермия до 39,4 °С. Проводилась инфузионная терапия кристаллоидными растворами, седативная и противосудорожная терапия, включающая тиопентал натрия 50 мг/ч, сибазон 10 мг внутримышечно, финлепсин по 200 мг каждые 8 ч в зонд, магнезиальная терапия. Вводились дексаметазон каждые 8 ч, маннит 15% раствор 200 мл, антигистаминные препараты. Анальгезия НПВС и наркотическими анальгетиками.
С 16:00 развилась артериальная гипотензия, потребовавшая инфузии норадреналина. В 19:30 08.07.2021 больная транспортирована в областную больницу, где на КТ диагностирован отёк головного мозга. Проведён консилиум. Состояние крайней степени тяжести, нестабильное. Уровень сознания – кома 3 ст. Зрачки d=s широкие, фотореакция очень вялая, корнеальные рефлексы не вызываются. Гипергидроз головы. Гипертермия до 39,7ºС. Ригидности затылочных мышц нет. Глубокие рефлексы с ног не вызываются. Патологических стопных знаков нет. Мышечный тонус в конечностях резко снижен. Симптом Кернига положительный с обеих сторон. Кожные покровы бледно-розовые, кожа туловища и головы горячие на ощупь, конечности холодные. Акроцианоз. Проводилась ИВЛ в режиме SIMV PS, РЕЕР +5 см вод.ст., Fi02=0,35, Vt=500 мл, VE=8,0 л/мин. Аускультативно: дыхание жёсткое, ослаблено в нижнебоковых отделах, Sp02=89%. Тоны сердца ясные, ритмичные. Гемодинамика не стабильная, проводится вазопрессорная поддержка норадреналином (1,83 мкг/кг*мин) и адреналином (0,04 мкг/кг*мин). АД 80/50 мм рт.ст., ЧСС – 160 мин. ЦВД = -3 см вод.ст. Живот не вздут, мягкий, безболезненный. Перистальтика не выслушивается. Оценка по шкале АРАСНЕ 11–26 баллов. Оценка по шкале S0FА 11 баллов, риск летального исхода – 56,9%.
Заключение: тяжесть состояния пациентки обусловлена тяжёлым неврологическим дефицитом, вызванным выраженным отёком головного мозга, из-за развития системного токсического действия местного анестетика. Прогноз для жизни сомнительный.
Назначены инфузионная, противоотёчная терапия (дексаметазон, магнезия, маннитол, лазикс), вазопрессоры (адреналин и норадреналин), респираторная терапия. Выставлен диагноз – основной: «Системная токсическая реакция на введение бупивакаина тяжёлой степени с повреждением ЦНС. Осложнения: Отёк головного мозга тяжёлой степени, острая сердечно-сосудистая недостаточность».
В 01:40 09.07.2021, несмотря на проводимую терапию, у пациентки по ЭКГ-монитору – асистолия, констатирована клиническая смерть, незамедлительно начаты реанимационные мероприятия, которые продолжались в течение 60 мин. В 02:40 констатирована смерть пациентки.
На аутопсии выявлены сглаженность и уплощение извилин коры головного мозга. Желудочки мозга щелевидные, содержат повышенное количество розового ликвора. На задней поверхности миндалин мозжечка глубокий след от вдавления большого затылочного отверстия. При гистологическом исследовании головного мозга обнаружено периваскулярное, перицеллюлярное просветление, поля выпадения нервных клеток серого вещества, потеря чёткости строения отдельных нервных клеток, неравномерное полнокровие, стаз в сосудах, отёк стромы и полнокровие сосудов мягкой мозговой оболочки.
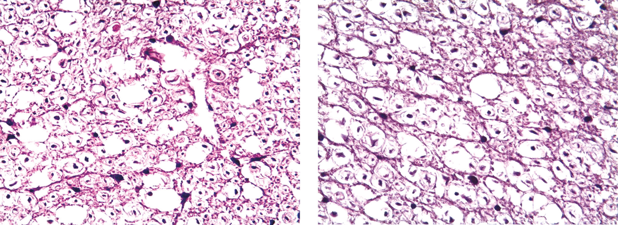
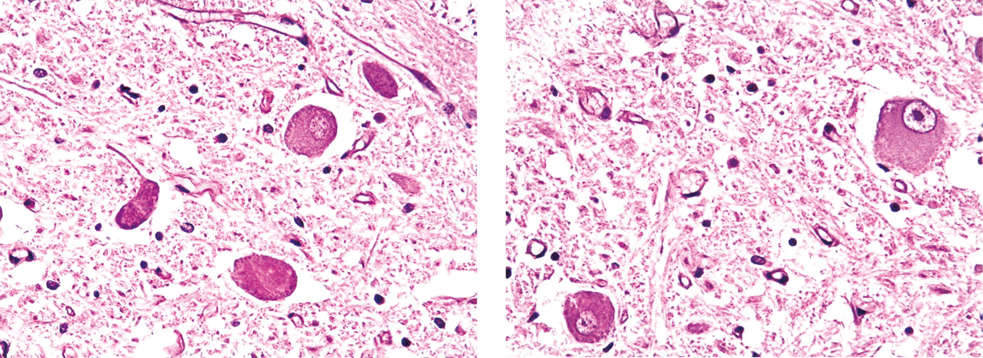
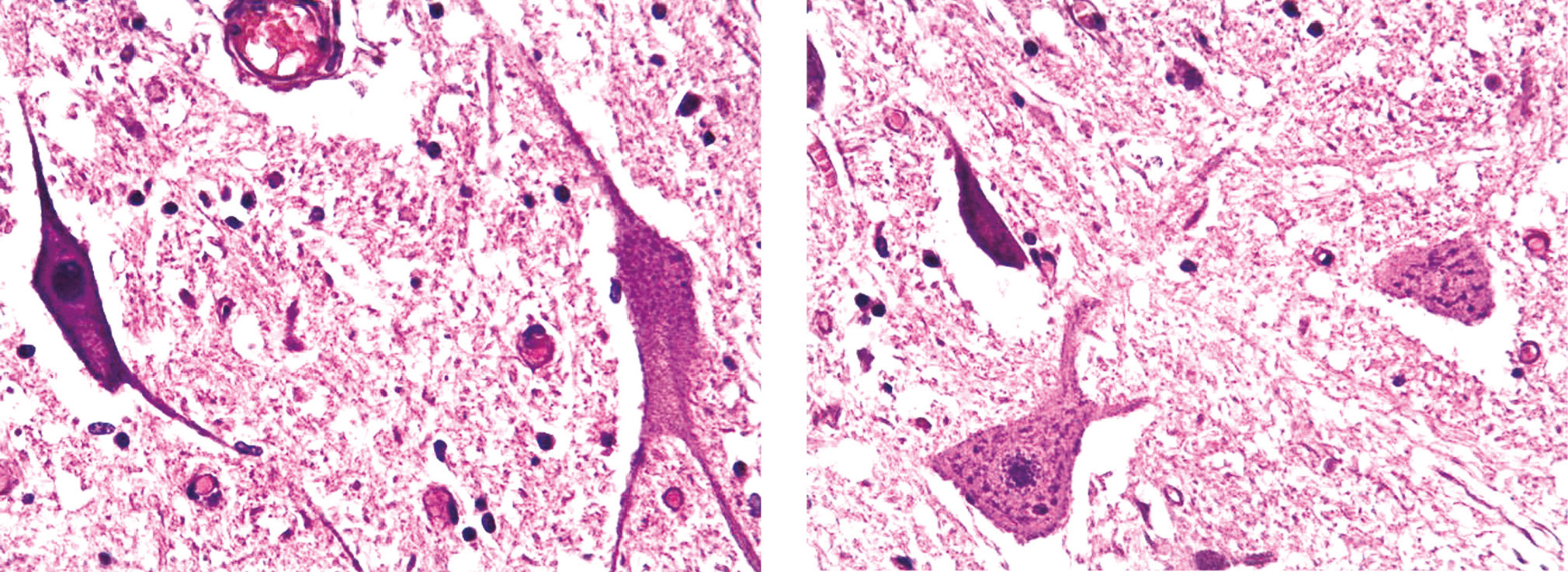
В шейном, грудном и поясничном отделах спинного мозга периваскулярное, перицеллюлярное просветление, полнокровие, стаз в сосудах; поля выпадения и нечёткость строения клеток серого вещества; в мягкой мозговой оболочке – отёк, умеренная лимфоцитарная с единичными лейкоцитами инфильтрация; полнокровие сосудов; в прилегающих нервных волокнах нечёткость структуры строения в виде пустот в нервных волокнах; в нервных волокнах на продольном срезе – фрагментация структур. Поясничный отдел спинного мозга. В твёрдой мозговой оболочке поясничной области и прилегающей жировой ткани – тромбоз сосудов, кровоизлияния с умеренным числом лимфоцитов и единичными лейкоцитами. В белом веществе в вентральных канатиках отмечаются отёк и набухание миелиновой оболочки аксонов, более выраженные в поверхностных отделах и около передней срединной вырезки. Мотонейроны передних рогов частью с гомогенной бледной цитоплазмой и плохо различимыми ядрами. В некоторых ядрах имеются нечёткие контуры или не прослеживаются, а отростки набухшие. Некоторые нейроны округлены или, наоборот, частично сморщены. В задних рогах спинного мозга часть нейронов округлены, их ядра различимы плохо, местами не прослеживаются совсем, цитоплазма окрашена интенсивно, местами с мелкими вакуолями. Резко выражено полнокровие венул и капилляров со стазами эритроцитов в последних местами по типу «монетных столбиков». Выявлены дистрофические изменения мотонейронов передних (рис. 1) и задних (рис. 2) рогов спинного мозга, а также отёк и набухание волокон вентрального канатика (рис. 3).
Рис. 1. Дистрофические изменения мотонейронов передних рогов спинного мозга. Полнокровие капилляров (окраска гематоксилин-эозин, ув. ×400).
Рис. 2. Дистрофические изменения нейронов задних рогов спинного мозга (окраска гематоксилин-эозин, ув. ×400).
Рис. 3. Отёк и набухание волокон вентрального канатика в поясничном отделе спинного мозга. Окраска гематоксилином и эозином (окраска гематоксилин-эозин, ув. ×200 и ×400).
Гистологическое исследование показало наличие набухания миелиновых волокон нервных стволов, находящихся в пространстве между твёрдой и мягкими мозговыми оболочками, отёк и набухание миелиновых оболочек аксонов, наиболее выраженный в поверхностных слоях белого вещества в вентральных канатиках и около передней срединной вырезки, тяжёлые неспецифические дистрофические изменения мотонейронов передних и задних рогов спинного мозга с очагами вакуолизации цитоплазмы, резкое полнокровие сосудов микроциркуляторного русла.
Ретроспективно клинико-фармакологический анализ показал, что с большой долей вероятности имеются все основания предположить факт непреднамеренного субарахноидального введения транексамовой кислоты, которая и вызвала нейротоксические эффекты.
Считается, что возникновение болевого синдрома обусловлено тормозными нейротрансмиттерами ЦНС – гамма-аминомасляной кислотой и глицином [40]. Болевой синдром, вызванный субарахноидальным введением транексамовой кислоты, обусловлен ингибированием спинальных рецепторов гамма-аминомасляной кислоты и глицина, находящихся преимущественно на постсинаптических нейронах в задних рогах спинного мозга [41]. В эксперименте показано, что интратекальная инъекция транексамовой кислоты у животных вызывает поведение, указывающее на спонтанную боль, кроме того, при исследовании влияния транексамовой кислоты на экспрессию pERK (phosphoactivation of extracellular signal-regulated kinase) в нейронах задних рогов спинного мозга было показано значительное увеличение количество pERK-позитивных нейронов, что свидетельствовало о боли [42].
Выраженный первоначальный гипертензивный ответ после интратекального введения транексамовой кислоты обусловлен мощной активацией симпатической нервной системы с последующим развитием желудочковых аритмий [21].
Механизм развития судорог при интратекальном введении транексамовой кислоты окончательно неизвестен. Существует мнение, что субарахноидальное введение транексамовой кислоты ингибирует эффекты гамма-аминомасляной кислоты и глицина, за счёт чего и развивается судорожный синдром [43]. Эта точка зрения была подтверждена в эксперименте, результаты которого продемонстрировали, что аппликация транексамовой кислоты на кору головного мозга животного вызывает судороги [44].
Считается, что существуют два клинических типа миоклонуса, исходящего из спинного мозга: спинальный сегментарный миоклонус, проявляющийся в мышцах нескольких смежных сегментов спинного мозга (судороги в нижних конечностях) и проприоспинальный миоклонус, когда активируются мышцы грудного отдела спинного мозга с распространением вверх и вниз, что приводит к генерализованному миоклонусу [45].
Беременность уменьшает объём цереброспинальной жидкости (ЦСЖ), что способствует большему распространению местного анестетика [46]. Эта особенность может способствовать более высоким концентрациям транексамовой кислоты в ЦСЖ у беременных женщин, вызывая более выраженные нейротоксические эффекты. Данный факт подтверждается тем, что большинство материнских смертей произошло в течение нескольких часов после субарахноидального введения транексамовой кислоты.
Возникновение судорог вероятно связано с подавлением тормозных рецепторов гамма-аминомасляной кислоты или прямой ишемией на сегментарном уровне. Активация рецепторов гамма-аминомасляной кислоты приводит к открытию хлоридных каналов нейронов с последующей гиперполяризацией и подавлением возбудимости нейронов. Блокада рецепторов гамма-аминомасляной кислоты транексамовой кислотой приводит к снижению порога деполяризации нейронов и усилению нейротоксичности [47].
В настоящее время не существует общепринятых рекомендаций по лечению состояний, связанных с непреднамеренным субарахноидальным введением транексамовой кислоты. Мы полагаем, что всякий раз, когда после СА наблюдаются сильная боль в спине и ягодицах, миоклонус, генерализованные судороги, выраженная тахикардия и артериальная гипертензия, и желудочковая аритмия, следует заподозрить случайное введение транексамовой кислоты и немедленно начать интенсивную терапию.
К препаратам первой линии относятся пропофол или севофлуран, лекарственные средства, действующие как положительные аллостерические модуляторы глициновых рецепторов [48]. Терапия препаратами второй линии включает введение бензодиазепинов, которые не изменяют глициновые рецепторы, но усиливают чувствительность ГАМКергических рецепторов [49]. В одном случае описан положительный эффект сульфата магния в купировании судорожного синдрома [32].
Несмотря на активное лечение, у некоторых пациентов судороги и аритмии сохраняются или повторяются в течение нескольких дней, что указывает на медленное снижение уровня транексамовой кислоты в ЦСЖ после спинального введения [32]. У пациента, умершего после субарахноидальной инъекции 200 мг транексамовой кислоты, концентрация препарата в ЦСЖ составляла 432 мкг/мл [19], тогда как концентрация транексамовой кислоты при внутривенном введении составляет около 8–10 мкг/мл.
Токсические эффекты субарахноидально введённой транексамовой кислоты могут быть уменьшены за счёт снижения её концентрации в ЦСЖ в случае одновременного или последующего введения местного анестетика [15]. Весьма перспективным представляется лаваж ЦСЖ, который необходимо осуществить как можно скорее через спинальную иглу путём медленной аспирации 10–20 мл ЦСЖ и замены равным объёмом изотонического раствора хлорида натрия. Процедуру можно выполнить повторно. Имеются сообщения о том, что объём замещающего ЦСЖ раствора составлял до 40 мл [11]. Возможно проведение вентрикуло-люмбальной перфузии изотоническим раствором хлорида натрия со скоростью 50 мл/ч [39].
Анализ литературы показывает, что непреднамеренное субарахноидальное введение транексамовой кислоты представляет собой чрезвычайно высокий риск, поскольку, насколько нам известно, ни один другой препарат не вызывал при регионарной анестезии таких тяжёлых повреждений. В марте 2022 г. ВОЗ выпустила предупреждение о серьёзном риске случайного субарахноидального введения транексамовой кислоты во время СА: в период с 2009 по 2018 г. был зарегистрирован 21 случай с 50% летальностью [50].
Основной причиной ошибок в анестезиологической практике является человеческий фактор [51]. Были определены обстоятельства, способствующие ошибкам: усталость анестезиолога, поспешность, различные отвлекающие факторы, нарушение внимания, языковые проблемы, невнимательность, схожий внешний вид, одинаковый размер ампул и шприцев [52]. Транексамовую кислоту часто хранят в непосредственной близости с другими лекарственными средствами, включая растворы местных анестетиков, используемые для спинальной анестезии. Прозрачная ампула с прозрачным раствором транексамовой кислоты может ошибочно использоваться вместо предполагаемого местного анестетика, что может привести к трагическим последствиям. Чтобы снизить этот риск, необходимо пересмотреть существующую практику обращения с лекарственными препаратами в операционной, в частности, хранить транексамовую кислоту за пределами операционной, а не в столике анестезиста вместе с местными анестетиками.
Случайные интратекальные инъекции транексамовой кислоты (и не только) являются предотвратимой ошибкой. Соблюдение простых правил сводит к минимуму вероятность ошибочного субарахноидального введения. К этим правилам относятся нахождение на столике анестезиста только препаратов для интратекального введения и никаких других, произнесение анестезистом вслух названия препарата, который передается анестезиологу, чтение вслух врачом надписей на ампуле перед набором препарата в шприц и после его набора, обращение внимания на цвет, прозрачность и т.п. препарата, который планируется ввести субарахноидально, повторное чтение надписей на ампуле после интратекального введения.
ЗАКЛЮЧЕНИЕ
Таким образом, непреднамеренное субарахноидальное введение транексамовой кислоты представляет собой катастрофическое событие с чрезвычайно высоким риском для пациента и сопровождается высокой летальностью, особенно в акушерской практике. В случае непреднамеренного интратекального введения транексамовой кислоты интенсивная терапия должна включать в качестве препаратов первой линии внутривенное введение пропофола или ингаляцию севофлурана, второй линии – введение бензодиазепинов (диазепам, мидозалам). Весьма перспективным представляется проведение лаважа ЦСЖ. Во избежание ошибок, связанных со случайным введением препаратов, не предназначенных для спинальной анестезии, целесообразна разработка формализованного протокола интратекального введения растворов местного анестетика.
ДОПОЛНИТЕЛЬНАЯ ИНФОРМАЦИЯ / ADDITIONAL INFO
Источник финансирования. Авторы заявляют об отсутствии внешнего финансирования при проведении исследования.
Конфликт интересов. Авторы декларируют отсутствие явных и потенциальных конфликтов интересов, связанных с публикацией настоящей статьи.
Вклад авторов. Все авторы подтверждают соответствие своего авторства международным критерием ICMJE (все авторы внесли существенный вклад в разработку концепции, проведение исследования и подготовку статьи, прочли и одобрили финальную версию перед публикацией).
Funding source. This study was not supported by any external sources of funding.
Competing interests. The authors declare that they have no competing interests.
Author contribution. All authors confirm the compliance of their authorship, according to international ICMJE criteria (all authors made a substantial contribution to the conception of the work, acquisition, analysis, interpretation of data for the work, drafting and revising the work, final approval of the version to be published.
About the authors
Viktor A. Koriachkin
Saint-Petersburg State Pediatric Medical University
Author for correspondence.
Email: vakoryachkin@mail.ru
ORCID iD: 0000-0002-3400-8989
SPIN-code: 6101-0578
MD, Dr. Sci. (Med.), Professor
Russian Federation, St. PetersburgIgor L. Beleshnikov
I.P. Pavlov First St. Petersburg State Medical University
Email: ibeleshnikov@yandex.ru
ORCID iD: 0000-0003-3855-2938
MD, Cand. Sci. (Med.)
Russian Federation, St. PetersburgSergey N. Litus
Bureau of Forensic Medical Expertise
Email: snlitus@yandex.ru
ORCID iD: 0000-0002-9157-8793
MD, Cand. Sci. (Med.)
Russian Federation, PskovAlexander E. Safray
Bureau of Forensic Medical Expertise of St. Petersburg Region
Email: safray@mail.ru
ORCID iD: 0000-0002-2213-9375
MD, Cand. Sci. (Med.)
Russian Federation, St. PetersburgDmitriy V. Zabolotskiy
Saint-Petersburg State Pediatric Medical University
Email: zdv4330303@gmail.com
ORCID iD: 0000-0002-6127-0798
MD, Dr. Sci. (Med.), Professor
Russian Federation, St. PetersburgVladimir A. Evgrafov
Saint-Petersburg State Pediatric Medical University
Email: evgrafov-spb@mail.ru
ORCID iD: 0000-0001-6545-2065
MD, Cand. Sci. (Med.), Associate Professor
Russian Federation, St. PetersburgReferences
- Askerov EM, Pichugova AN, Chaikin NP. Predstavlenie o spinal’noi anestezii v sovremennoi meditsine (obzor literatury). In: Molodezh’ i meditsinskaya nauka. materialy VIII Vserossiiskoi mezhvuzovskoi nauchno-prakticheskoi konferentsii molodykh uchenykh s mezhdunarodnym uchastiem. Tver’; 2021;16–10. (In Russ).
- Strashnov VI, Zabrodin ON, Mamedov AD, et al. Preduprezhdenie intraoperatsionnogo stressa i ego posledstvii. Saint Petersburg: ELBI-Spb; 2015. 160 p. (In Russ).
- Kan H, Ding Y, Wu S, Zhang Z. Retrospective study of perioperative cardiac arrest from a Chinese tertiary hospital. Medicine (Baltimore). 2021;100(32):e26890. doi: 10.1097/MD.0000000000026890
- Kim BJ, Kim BI, Byun SH, et al. Cardiac arrest in a patient with anterior fascicular block after administration of dexmedetomidine with spinal anesthesia: A case report. Medicine (Baltimore). 2016;95(43):e5278. doi: 10.1097/MD.0000000000005278
- Nunnally ME, O’Connor MF, Kordylewski H, et al. The incidence and risk factors for perioperative cardiac arrest observed in the national anesthesia clinical outcomes registry. Anesth Analg. 2015;120(2):364–370. doi: 10.1213/ANE.0000000000000527
- Relke N, Chornenki NLJ, Sholzberg M. Tranexamic acid evidence and controversies: An illustrated review. Res Pract Thromb Haemost. 2021;5(5):e12546. doi: 10.1002/rth2.12546
- Vyshinskaya MB. Aspects of tranexamic acid use in patients with polytrauma. Emergency Medicine. 2020;16(6):85–88. (In Russ).
- Koriachkin VA, Zabolotski DV, Kuzmin VV, et al. Anaesthesia for Hip Fracture Surgery in Geriatric Patients (Clinical Guidelines). Regional Anesthesia and Acute Pain Management. 2017;11(2):133–142. (In Russ). doi: 10.18821/1993-6508-2017-11-2-133-142
- Marzouk M, Thamlaoui S, Baffoun N, et al. Drug administration error leading to refractory status epilepticus after intrathecal injection of tranexamic acid: A case report. Perioperative Care and Operating Room Management. 2021;25:100223. doi: 10.1016/j.pcorm.2021.100223
- Palanisamy A, Kinsella SM. Spinal tranexamic acid - a new killer in town. Anaesthesia. 2019;74(7):831–833. doi: 10.1111/anae.14632
- Liu H, Tariq R, Liu GL, et al. Inadvertent intrathecal injections and best practice management. Acta Anaesthesiol Scand. 2017;61(1):11–22. doi: 10.1111/aas.12821
- Patel S, Loveridge R. Obstetric Neuraxial Drug Administration Errors: A Quantitative and Qualitative Analytical Review. Anesth Analg. 2015;121(6):1570–1577. doi: 10.1213/ANE.0000000000000938
- Huang H, Yao D, Saba R, et al. A contemporary medicolegal claims analysis of injuries related to neuraxial anesthesia between 2007 and 2016. J Clin Anesth. 2019;57:66–71. doi: 10.1016/j.jclinane.2019.03.013
- Al-Kadhimi S, Patel AD, Plaat F. Intrathecal tranexamic acid - an accident waiting to happen? Int J Obstet Anesth. 2018;34:116–117. doi: 10.1016/j.ijoa.2017.12.007
- Wong JO, Yang SF, Tsai MH. [Accidental injection of tranexamic acid (Transamin) during spinal anesthesia]. Ma Zui Xue Za Zhi. 1988;26(2):249–252.
- de Leede-van der Maarl MG, Hilkens P, Bosch F. The epileptogenic effect of tranexamic acid. J Neurol. 1999;246(9):843. doi: 10.1007/s004150050466
- Yeh HM, Lau HP, Lin PL, et al. Convulsions and refractory ventricular fibrillation after intrathecal injection of a massive dose of tranexamic acid. Anesthesiology. 2003;98(1):270–272. doi: 10.1097/00000542-200301000-00042
- Garcha PS, Mohan CV, Sharma RM. Death after an inadvertent intrathecal injection of tranexamic acid. Anesth Analg. 2007;104(1):241–242. doi: 10.1213/01.ane.0000250436.17786.72
- Kim M, Jeong S, Choi E, et al. Death After Accidental Injection of Tranexamic Acid During Spinal Anesthesia. Korean J Leg Med. 2009;33(2):139–142.
- Mohseni K, Jafari A, Nobahar MR, Arami A. Polymyoclonus seizure resulting from accidental injection of tranexamic acid in spinal anesthesia. Anesth Analg. 2009;108(6):1984–1986. doi: 10.1213/ane.0b013e3181a04d69
- Sabzi F, Teimouri H, Zokai A. Myoclonus, seizure, and ventricular fibrillation after intrathecal injection of tranexamic acid. J Tehran Heart Cent. 2009;(4):253–255.
- Veisi F, Salimi B, Mohseni G, et al. Accidental Intrathecal Injection of Tranexamic Acid in Cesarean Section: A Fatal Medication Error. News letter. 2010;25(1):9–10.
- Kaabachi O, Eddhif M, Rais K, Zaabar MA. Inadvertent intrathecal injection of tranexamic acid. Saudi J Anaesth. 2011;5(1):90–92. doi: 10.4103/1658-354X.76504
- Butala BP, Shah VR, Bhosale GP, Shah RB. Medication error: Subarachnoid injection of tranexamic acid. Indian J Anaesth. 2012;56(2):168–170. doi: 10.4103/0019-5049.96335
- Mahmoud K, Ammar A. Accidental intrathecal injection of tranexamic Acid. Case Rep Anesthesiol. 2012;2012:646028. doi: 10.1155/2012/646028
- Srivastata U, Joshi K, Gupta V, et al. Accidental injection of tranexamic acid into subarachnoid space leading to fatal outcome: case report and review. Internet Journal of Anesthesiology. 2012;30:1–4.
- Raghu K, Shrevanni P, Haneef M, et al. Accidental intrathecal injection of tranexamic acid in a term gestation. Int J NeuSpi Sci. 2013;1:1–3.
- Antwi-Kusi A, Awortwi WS, Hemeng AS. Unusual Complication Following Spinal Anesthesia for Caesarean Section. Open Journal of Anesthesiology. 2013;03(05):275–277. doi: 10.4236/ojanes.2013.35060
- Goyal G, Vajpayee A, Kant R, Singh R. Refractory status epilepticus after accidental intrathecal injection of tranexamic acid. Journal of Acute Medicine. 2014;4(2):92–94. doi: 10.1016/j.jacme.2014.02.004
- Narra GR. Accidental injection of tranexamic acid into intrathecal space. J Res Anaesthesiol Pain Med. 2015;1:12–14.
- Roy A, Sarkar S, BasuThakur S, Kr JP. Inadvertent intrathecal administration of tranexamic acid in a case of caesarean section: a report of medication error. Southeast Asian Journal of Case Report and Review. 2015;4:1910–1916.
- Hatch DM, Atito-Narh E, Herschmiller EJ, et al. Refractory status epilepticus after inadvertent intrathecal injection of tranexamic acid treated by magnesium sulfate. Int J Obstet Anesth. 2016;26:71–75. doi: 10.1016/j.ijoa.2015.11.006
- Elkhateeb R, Kamel HH. Intrathecal Injection of Tranexamic Acid during Caesarean Section: Accidental Fatal Mistake. J Clin Obstet Gynecol Infertil. 2017;1(3):1014.
- Medication errors: spinal injection of tranexamic acid and other mix-ups. Anesthesia and the Law. 2017;(44).
- Grissinger M. Key Vulnerabilities in the Surgical Environment: Container Mix-Ups And Syringe Swaps. P T. 2018;43(3):129–167. PMC5821235
- Prior D, Chysna K, Renga V. Cessation of Intrathecal Tranexamic Acid Induced Status Epilepticus with Pentobarbital. Neurology. 2019;92(S15):25–26.
- Al-Taei MH, AlAzzawi M, Albustani S, et al. Incorrect Route for Injection: Inadvertent Tranexamic Acid Intrathecal Injection. Cureus. 2021;13(2):e13055. doi: 10.7759/cureus.13055
- Shah PJ, Agrawal P, Nagaria A, Habeeba KU. Fortuitous intrathecal injection of tranexamic acid. Indian J Anaesth. 2021;65(Suppl 2):S93–S95. doi: 10.4103/ija.IJA_1586_20
- Godec S, Gradisek MJ, Mirkovic T, Gradisek P. Ventriculolumbar perfusion and inhalational anesthesia with sevoflurane in an accidental intrathecal injection of tranexamic acid: unreported treatment options. Reg Anesth Pain Med. 2022;47(1):65–68. doi: 10.1136/rapm-2021-102498
- Chunovalova VI. Tormoznye neiromediatory. Mezhdunarodnyi studencheskii nauchnyi vestnik. 2020;(3). (In Russ).
- Todd AJ, Watt C, Spike RC, Sieghart W. Colocalization of GABA, glycine, and their receptors at synapses in the rat spinal cord. J Neurosci. 1996;16(3):974–982. doi: 10.1523/J Neurosci.16-03-00974.1996
- Ohashi N, Sasaki M, Ohashi M, et al. Tranexamic acid evokes pain by modulating neuronal excitability in the spinal dorsal horn. Sci Rep. 2015;5:13458. doi: 10.1038/srep13458
- Kratzer S, Irl H, Mattusch C, et al. Tranexamic acid impairs gamma-aminobutyric acid receptor type A-mediated synaptic transmission in the murine amygdala: a potential mechanism for drug-induced seizures? Anesthesiology. 2014;120(3):639–649. doi: 10.1097/ALN.0000000000000103
- Schlag MG, Hopf R, Redl H. Convulsive seizures following subdural application of fibrin sealant containing tranexamic acid in a rat model. Neurosurgery. 2000;47(6):1463–1467.
- Eberhardt O, Topka H. Myoclonic Disorders. Brain Sci. 2017;7(8). doi: 10.3390/brainsci7080103
- Shurygin IA. Spinal’naya anesteziya pri kesarevom sechenii. Sankt-Peterburg: Dialekt; 2004. (In Russ).
- Lecker I, Wang DS, Romaschin AD, et al. Tranexamic acid concentrations associated with human seizures inhibit glycine receptors. J Clin Invest. 2012;122(12):4654–4666. doi: 10.1172/JCI63375
- Downie DL, Hall AC, Lieb WR, Franks NP. Effects of inhalational general anaesthetics on native glycine receptors in rat medullary neurones and recombinant glycine receptors in Xenopus oocytes. Br J Pharmacol. 1996;118(3):493–502. doi: 10.1111/j.1476-5381.1996.tb15430.x
- Matukhno AE, Sukhov AG, Kiroi VN. GABAergic receptor system and its role in system activity of the brain. Usp Fiziol Nauk. 2014;45(3):79–96. (In Russ).
- who.int [Internet]. Risk of medication errors with tranexamic acid injection resulting in inadvertent intrathecal injection [cited 31 August 2022]. Available from: https://www.who.int/news/item/16-03-2022-risk-of-medication-errors-with-tranexamic-acid-injection-resulting-in-inadvertent-intrathecal-injection
- Schaffartzik W, Hachenberg T, Rust J, Neu J. [Anaesthics incidents – Injuries caused by regional anaesthesia – closed claims of the North German Arbitration Board]. Anasthesiol Intensivmed Notfallmed Schmerzther. 2011;46(1):40–45; quiz 46. doi: 10.1055/s-0030-1270558
- Nanji KC, Merry AF, Shaikh SD, et al. Global PRoMiSe (Perioperative Recommendations for Medication Safety): protocol for a mixed-methods study. BMJ Open. 2020;10(6):e038313. doi: 10.1136/bmjopen-2020-038313
Supplementary files






