Ultrasound-guided continuous serratus anterior plane block for combined trauma: case series
- Authors: Ibragimov A.T.1, Antipin E.E.2, Svirsky D.A.2, Shah B.N.3, Kovalev S.V.3, Volchkov V.A.3
- 
							Affiliations: 
							- Toksovskaya interdistrict hospital
- Northern State Medical University
- St. Petersburg State University
 
- Issue: Vol 13, No 1-4 (2019)
- Pages: 22-26
- Section: Case reports
- Submitted: 09.09.2020
- Accepted: 09.09.2020
- Published: 31.12.2019
- URL: https://rjraap.com/1993-6508/article/view/43861
- DOI: https://doi.org/10.17816/RA43861
- ID: 43861
Cite item
Full Text
Abstract
Clinical cases of the use of continuous ultrasound-guided Serratus anterior plane block in patients with severe combined trauma, dominant chest trauma and multiple rib fractures. The method allows for excellent long-term analgesia without the need for additional administration of the drug, there are no side effects.
Full Text
У значительной части пострадавших, поступающих в отделения реанимации и интенсивной терапии с диагнозом «тяжёлая сочетанная травма», имеется травма груди, сопровождающаяся переломом рёбер и контузионным пульмонитом, что приводит к тяжёлым респираторным нарушениям из-за изменения механики дыхания. Смертность от переломов рёбер в гериатрической популяции может достигать 24–68% [1]. Важным условием успешного лечения и ранней реабилитации пострадавшего с тяжёлой сочетанной травмой является адекватный уровень обезболивания на всех этапах оказания помощи. Применение регионарных методик − альтернатива традиционному использованию наркотических анальгетиков и нестероидных противовоспалительных препаратов.
Блокада нервов нейрофасциального пространства передней зубчатой мышцы (Serratus anterior plane block, далее SAPB) − относительно новый метод, при котором блокируются боковые кожные ветви межрёберных нервов и длинный грудной нерв. Интересно, что всё больше внимания уделяется данной новой методике, которая была впервые описана в оригинальной статье R. Blanco et al. Авторы утверждают, что при использовании у добровольцев в результате получен превосходный блок от Th2 до Th9 продолжительностью 750– 840 мин [2]. В рандомизированном исследовании 2018 г. было показано, что блок SAPB уменьшает потребление опиоидов по сравнению с фиктивной процедурой после торакоскопической операции на лёгких [3]. В настоящее время отсутствует единое мнение об объёме и концентрации местного анестетика для выполнения данной блокады.
Kunigo et al. использовали SAPB при операциях на молочной железе у онкологических пациенток, результаты показали, что 40 мл 0,375% ропивакаина имели более широкое распространение, чем 20 мл [4]. Согласно данным литературных источников, информация о плазменной концентрации местного анестетика при выполнении SAPB имеет слабую доказательную базу. В нашей работе был использован 1% раствор лидокаина в ограниченном объёме – 10 мл.
Блокада нейрофасциального пространства передней зубчатой мышцы выполняется под ультразвуковым контролем, по передней подмышечной линии между m. Serratus ant. и m. Latissimus dorsi, где располагаются межкостобрахиальный нерв, латеральные кожные ветви межрёберных нервов (Th3-Th9), длинный грудной нерв и торакодорсальный нерв (рис. 1).
Рис. 1. Анатомия иннервации грудной стенки
Fig. 1. Anatomy of the innervation of the chest wall
Примечание: малая грудная мышца − 1, V ребро − 2, наружная косая мышца живота − 3, передние ветки боковой кожной ветви межрёберного нерва − 4, широчайшая мышца спины − 5, передняя зубчатая мышца − 6, торакодорсальный нерв − 7, длинный грудной нерв − 8, межкостобрахиальный нерв − 9, межрёберный нерв − 10, глубокая межрёберная мышца − 11. Белым контуром обозначено место положения датчика ультразвукового аппарата. Рисунок авторов.
Note: pectoralis minor muscle − 1, V rib − 2, external oblique muscle − 3, anterior branches of the lateral cutaneous branch of the intercostal nerve − 4, latissimus dorsi muscle − 5, serratus anterior muscle − 6, thoracodorsal nerve − 7, long thoracic nerve − 8, intercostobrachial nerve − 9, intercostal nerve − 10, innermost intercostal muscle − 11. The white outline indicates the position of the probe of the ultrasound. Authors’ drawing.
Во время процедуры пациент лежит на спине с отведённой рукой. Датчик помещается поперёк подмышечной впадины, где широчайшая мышца спины более заметна (рис. 2).
Рис. 2. Анатомические ориентиры для выполнения блокады нейрофасциального пространства передней зубчатой мышцы
Fig. 2. Anatomical landmarks for performing serratus anterior plane block. Authours’ drawing
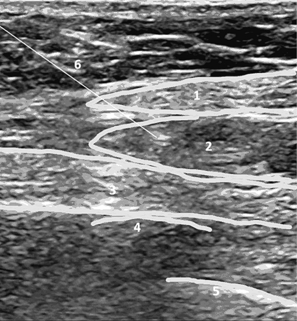
Рис. 3. Сонографические ориентиры выполнения блокады нервов нейрофасциального пространства передней зубчатой мышцы
Fig. 3. Sonographic guidelines for the implementation of the SAPB
Примечание: во время процедуры визуализируются широчайшая мышца спины − 1, передняя зубчатая мышца − 3, V ребро − 4 и плевра − 5. После определения сонографических ориентиров через иглу 22G – 6 вводится раствор местного анестетика – 2. Рисунок авторов.
During the procedure, the latissimus dorsi muscle is visualized – 1, serratus anterior muscle – 3, V rib – 4 and pleura – 5. After determining sonographic landmarks, a local anesthetic solution – 2 is injected through a 22G – 6 needle. Authors’ drawing.
Цель данной работы – продемонстрировать необходимость и преимущества применения современных регионарных методик анальгезии у пациентов с тяжёлой сочетанной травмой с множественным повреждением рёбер.
Материал и методы
Пострадавший С. 42 лет. Обстоятельства травмы: производственная травма, при выполнении ремонтных работ упал в шахту лифта с высоты 12-го этажа. Доставлен бригадой скорой медицинской помощи. На догоспитальном этапе внутривенно введено 10 мг морфина, 300 мл 0,9% натрия хлорида, проводилась инсуфляция кислорода с потоком 8 л/мин. При поступлении: сознание ясное, продуктивному контакту доступен, ориентирован во времени и пространстве. Предъявляет жалобы на выраженную боль в груди без чёткой локализации, преимущественно слева, сильную головную боль, а также на боль в области правого предплечья. По ВАШ болевой синдром оценен 9−10 баллов. Уровень ажитации по RASS +3 балла. Отмечались признаки нарушения микроциркуляции, тахикардия до 120 в мин, АД = 140/100 мм рт. ст. Дыхание самостоятельное, прерывистое, поверхностное, Sat = 89%. Аускультативно − дыхание ослаблено, рассеянные сухие хрипы. Газовый состав и КОС артериальной крови: pH = 7,31; pCO2 = 56 мм рт.ст.; pO2 = 52 мм рт.ст. (RI = 266); HCO3 = 28,2 ммоль/л; BE = 1,9 ммоль/л.
Учитывая тяжесть состояния, характер полученных травм – пациент в экстренном порядке поступил в шоковую операционную. Проводилось: индукция в анестезию, интубация, анальгоседация 10 мг морфина, 20 мг сибазона. Начата респираторная поддержка аппаратом Engstroem с FiО2 = 0,5. С целью управляемой продлённой седации принято решение о постоянной внутривенной инфузии шприцевым дозатором раствора дексмедетомидина cо скоростью 0,5 мкг/кг в ч. С целью продлённой анальгезии внутривенно назначен раствор фентанила cо скоростью 0,1 мг в ч.
В результате проведённого обследования сформулирован диагноз «производственная травма. Кататравма. Сочетанная травма головы, груди, позвоночно-спинномозговая травма. Закрытая черепно-мозговая травма, паренхиматозно-субарахноидальное кровоизлияние; закрытая травма груди, закрытый перелом правой ключицы, множественный оскольчатый перелом 3-8 рёбер слева по заднеподмышечной линии со смещением отломков, контузионный пульмонит, левосторонний пневмоторакс. Эмфизема мягких тканей груди и живота. Линейный перелом остистых отростков L 3-5».
Проводилась терапия тяжёлой сочетанной травмы. На протяжении последующих 3 сут ежедневно четырехкратно выполнялась оценка выраженности болевого синдрома по шкале СРОТ (Critical-Care Pain Observation Tool) и поведенчеcкой шкале боли у неконтактных пациентов (BPS – Behavioral Pain Scale) и в зависимости от количества полученных баллов скорость внутривенной инфузии Sol. Phentanyli 0,005% изменялась в диапазоне 0,15− 0,3 мг в ч до достижения 0–1 балла по шкале СРОТ. Скорость инфузии дексмедетомидина составляла 0,4−0,6 мкг/кг в ч. В течение всего этого периода уровень седации по шкале RASS составлял от -1 до +1 балла.
В конце 3-сут периода наблюдения индекс оксигенации (РаО2/FiО2) увеличился от 180 до 330, было принято решение о прекращении анальгоседации пострадавшего и возможной экстубации. Через 4 ч после её прекращения состояние стабильно тяжёлое. Кожный покров тёплый, физиологической окраски. Гемодинамика устойчивая (ЧСС = 76 в мин, АД = 115/80 mm hg). Газовый состав артериальной крови: pH 7,45; pCO2 = 39 mm hg; pO2 = 141 mm hg; HCO3 = 27,1 mmol/l; BE = 3,1 mmol/l. RI = 560, RSBI = 46. Выполнена экстубация трахеи.
Пациент в ясном сознании, продуктивному контакту доступен, ориентирован во времени и пространстве. Не может глубоко вдохнуть из-за боли в груди слева, достигающей 8−9 баллов см по ВАШ. Принято решение о выполнении продлённой блокады нейрофасциального пространства передней зубчатой мышцы слева под ультразвуковым контролем.
Эпидуральный катетер установлен в нейрофасциальное пространство над m. Serratus anterior, введено 10 мл 1% раствора лидокаина. В течение 1-го ч болевой синдром снизился до 2 см по ВАШ, а в течение суток – до 0 баллов. Назначена непрерывная инфузия 1% раствора лидокаина со скоростью 4 мл (40 мг) в ч шприцевым дозатором. В дальнейшем пациент пожаловался на чувство распирания в области катетера, скорость введения местного анестетика была уменьшена до 2 мл/ч, а через сут до 1 мл в ч. Гемодинамические показатели были стабильны. Пострадавший отмечал значительное улучшение состояния, отсутствие боли в груди при дыхании. Впоследствии особенностей течения травматической болезни не отмечено. Блокада прекращена через 4 сут. Катетер удалён. Больной переведён в профильное отделение через 8 сут от момента поступления и через 5 сут от момента начала регионарного обезболивания.
Пациент К. 57 лет доставлен бригадой скорой медицинской помощи. Обстоятельства травмы: бытовая травма, в состоянии алкогольного опьянения при выходе из дома поскользнулся и упал на лестничном пролёте. На догоспитальном этапе обез-боливание не осуществлялось. При поступлении: сознание ясное, продуктивному контакту доступен, ориентирован во времени и пространстве. В области грудной клетки слева боль при дыхании до 7−8 см по ВАШ. Уровень ажитации по RASS – 0 баллов. Пульс ритмичный с тахикардией до 100 в мин, АД = 130/90 мм рт.ст. Дыхание самостоятельное, поверхностное, Sp O2 = 90%. Аускультативно − дыхание умеренно ослаблено в нижних отделах с двух сторон, хрипов нет. В ходе обследования установлен диагноз «закрытая черепно-мозговая травма; закрытая травма груди, множественный оскольчатый перелом 5–8 рёбер слева по заднеподмышечной линии без смещения отломков».
Пациенту был установлен эпидуральный катетер в нейрофасциальное пространство m. Serratus ant, введено 10 мл 1% раствора лидокаина, в течение последующих 10 мин пациент отметил постепенное уменьшение болевого синдрома (по ВАШ до 3 см). Проводилась непрерывная инфузия 1% раствора лидокаина cо скоростью 2 мл (20 мг) в ч шприцевым дозатором. В течение 1-го ч болевой синдром снизился до 2 см по ВАШ, а в течение сут − до 0 баллов, дополнительного введения анальгетиков не потребовалось. Катетер удалён на 4-е сут.
Пациент И. 32 лет доставлен бригадой скорой медицинской помощи. Обстоятельства травмы: бытовая травма, в состоянии алкогольного опьянения – упал с высоты 2 м. На догоспитальном этапе обез-боливание не осуществлялось.
При поступлении: сознание ясное, продуктивному контакту доступен, ориентирован во времени и пространстве. Предъявляет жалобы на выраженную боль в области грудной клетки, преимущественно справа, боль в области голени, а также поясницы преимущественно справа. По ВАШ болевой синдром оценен на 8–9 см. Уровень ажитации по RASS +2 балла. Пульс ритмичный, тахикардия до 120 в мин, АД = 135/90 мм рт.ст. Дыхание самостоятельное, ритмичное, Sp O2 = 97%. В ходе обследования выставлен диагноз «закрытая черепно-мозговая травма; закрытая травма груди, множественный перелом 4–7 рёбер справа по заднеподмышечной линии без смещения отломков. Перелом малоберцовой кости».
Пациенту был установлен эпидуральный катетер в нейрофасциальное пространство m. Serratus ant, введено 10 мл 1% раствора лидокаина, в течение последующих 10 мин пациент отметил постепенное уменьшение болевого синдрома (по ВАШ до 2 см). Проводилась непрерывная инфузия 1% раствора лидокаина cо скоростью 2–1 мл (20–10 мг) в ч шприцевым дозатором. В течение сут − боль до 0 баллов по ВАШ, дополнительного введения анальгетиков не потребовалось. Катетер удалён на 4-е сут. Осложнений не было.
Обсуждение
Рекомендации авторов методики и немногочисленных исследований предполагают использование достаточно больших объёмов местного анестетика продлённого действия – до 25−30 мл 0,5% раствора бупивакаина. В нашем исследовании применение 10 мл низкоконцентрированного раствора лидокаина показало достаточный анальгетический эффект. В последние годы, согласно данным литературных источников, лидокаин нередко используется в качестве компонента общей анестезии и в лечении боли [4−6]. Вероятно, хороший обезболивающий эффект в нашем случае обусловлен резорбцией местного анестетика и его системным действием. По данным литературы, сенсорная иннервация надкостницы рёбер, межрёберных мышц и париетальной плевры осуществляется добавочной коллатеральной ветвью межрёберного нерва [7]. При данной методике блокируются лишь боковые кожные ветви межрёберных нервов, а также длинный грудной нерв, осуществляющие иннервацию передних зубчатых мышц, торакодорсальный, иннервирующий широчайшую мышцу спины и межкостобрахиальный нерв, дающий ветви к коже подмышечной впадины. Вероятно, мышечный компонент боли играет значительную роль в развитии болевого синдрома во время акта дыхания при переломе рёбер. Данные факты подлежат дальнейшему исследованию. Тем не менее при использовании данной блокады мы получили выраженный анальгетический эффект даже при множественном переломе рёбер со смещением отломков.
Заключение
Продлённая ультразвук-ассистированная блокада нервов нейрофасциального пространства передней зубчатой мышцы может быть хорошей альтернативой эпидуральной и паравертебральной блокаде, т. к. сонографические ориентиры позволяют избежать контакта с плеврой и сосудами. Кроме того, нейроаксиальные методики сопряжены с возможной нежелательной артериальной гипотонией, особенно у пациентов с нестабильной гемодинамикой. Требуются дальнейшие исследования эффективности и безопасности данной методики.
Финансирование. Исследование не имело спонсорской поддержки.
Конфликт интересов. Авторы заявляют об отсутствии конфликта интересов.
Вклад авторов. Статья подготовлена с равным участием авторов. Работа выполнена в ГБУЗ ЛО «Токсовская межрайонная больница», Ленинградская область. Все пациенты подписали добровольное информированное согласие на использование методики.
About the authors
A. T. Ibragimov
Toksovskaya interdistrict hospital
							Author for correspondence.
							Email: dr.ibragimov.artur@gmail.com
				                	ORCID iD: 0000-0003-2505-6150
				                																			                								
anesthesiologist of the department of anesthesiology-resuscitation with intensive care units
Russian Federation, 188664, St. PetersburgE. E. Antipin
Northern State Medical University
														Email: dr.ibragimov.artur@gmail.com
				                	ORCID iD: 0000-0002-2386-9281
				                																			                												                	Russian Federation, 							163000, Archangelsk						
D. A. Svirsky
Northern State Medical University
														Email: dr.ibragimov.artur@gmail.com
				                	ORCID iD: 0000-0001-5798-9209
				                																			                												                	Russian Federation, 							163000, Archangelsk						
B. N. Shah
St. Petersburg State University
														Email: dr.ibragimov.artur@gmail.com
				                	ORCID iD: 0000-0002-8389-7516
				                																			                												                	Russian Federation, 							199034, St. Petersburg						
S. V. Kovalev
St. Petersburg State University
														Email: dr.ibragimov.artur@gmail.com
				                	ORCID iD: 0000-0002-3665-5645
				                																			                												                	Russian Federation, 							199034, St. Petersburg						
V. A. Volchkov
St. Petersburg State University
														Email: dr.ibragimov.artur@gmail.com
				                					                																			                												                	Russian Federation, 							199034, St. Petersburg						
References
- Swart E., Laratta J., Slobogean G., Mehta S. Operative treatment of ribfractures in flail chest injuries: a metaanalysis and cost-effectiveness analysis. J. Orthop. Trauma. 2017; 31 (2): 64−70.
- Blanco R., Parras T., McDonnell J.G., Prats-Galino A. Serratus plane block: a novel ultrasound-guided thoracic wall nerve block. Anaesthesia. 2013; 68 (11): 1107–13. doi: 10.1111/anae.2013.68.issue-11.
- Park M.H., Kim J.A., Ahn H.J., Yang M.K., Son H.J., Seong B.G. A randomised trial of serratus anterior plane block for analgesia after thoracoscopic surgery. Anaesthesia. 2018; 73 (10): 1260–4. doi: 10.1111/anae.2018.73.issue-10.
- Kunigo T., Murouchi T., Yamamoto S., Yamakage M. Injection volume and anesthetic effect in serratus plane block. Region Anesth. Pain M. 2017; 42 (6): 737–40. doi: 10.1097/AAP.0000000000000649.
- Brown E.N., Pavone K.J., Naranjo M. Multimodal General Anesthesia: Theory and Practice. Anesthesia & Analgesia. 2018; 127 (5): 1246−58. doi: 10.1213/ANE.0000000000003668.
- Khan Z.H., Samadi S., Ameli S., Emir Alavi C. Lidocaine as an Induction Agent for Intracranial Aneurysm Surgery: A Case Series. Anesth. Pain Med. 2016; 6(1): e33250. doi: 10.5812/aapm.33250.
- Kandil E., Melikman E., Adinoff B. Lidocaine Infusion: A Promising Therapeutic Approach for Chronic Pain. J. Anesth. Clin. Res. 2017; 8 (1): 697. doi: 10.4172/2155-6148.1000697.
- Glenesk N.L., Lopez P.P. Anatomy, Thorax, Intercostal Nerves. [Updated 2020 Mar 13]. In: StatPearls [Internet]. Treasure Island (FL): StatPearls Publishing. 2020. Available at: https://www.ncbi.nlm.nih.gov/books/NBK538238
Supplementary files
 
				
			 
					 
						 
						 
									
 
  
  
  Email this article
			Email this article 




