Двойное слепое рандомизированное исследование миотоксичности лидокаина, бупивакаина, левобупивакаина и ропивакаина у крыс
- Авторы: Лахин Р.Е.1, Гемуа И.А.1, Аверьянов Д.А.1
-
Учреждения:
- ФГБВОУ ВО «Военно-медицинская академия им. С.М. Кирова» Министерства образования Российской Федерации
- Выпуск: Том 14, № 2 (2020)
- Страницы: 93-108
- Раздел: Оригинальные исследования
- Статья получена: 22.12.2020
- Статья одобрена: 22.12.2020
- Статья опубликована: 22.12.2020
- URL: https://rjraap.com/1993-6508/article/view/56574
- DOI: https://doi.org/10.17816/RA56574
- ID: 56574
Цитировать
Полный текст
Аннотация
Актуальность. Миотоксичность местных анестетиков (МА) в клинической практике была выявлена при различных видах регионарной анестезии. Степень функционального восстановления повреждëнных мышц и продолжительность времени до восстановления в разных исследованиях существенно различаются. Несмотря на общепринятое мнение о противовоспалительном действии МА, ряд экспериментальных исследований показал, что в месте их инъекции в мышечную ткань развивалась воспалительная реакция.
Материал и методы. Двойное слепое рандомизированное исследование на 800 крысах, где в контрольной группе вводился 0,9% хлорид натрия. Исследуемые концентрации лидокаина 0,5, 1,0, 1,5, 2%; бупивакаина, ропивакаина — 0,25, 0,5, 0,75, 1,0%; ропивакаина – 0,25, 0,5, 0,75%. Под ультразвуковым контролем вводили 0,2 мл препарата внутрь двуглавой мышцы. Забор препаратов: 1-й этап через час после введения, 2-й этап через 2 сут., 3-й – через 7 сут., 4-й – через 14 сут., 5-й – через 21 сут. Исследовали признаки воспаления и повреждения мышечной ткани.
Результаты. Инъекция физиологического раствора лабораторным животным контрольной группы вызывала расширение межклеточных пространств и соединительнотканных перегородок. Признаков некроза клеток или апоптоза обнаружено не было. Введение МА уже через час вызывало воспалительную инфильтрацию и повреждение мышечной ткани. Полученные данные попарных сравнений показали, что на этапах час и 2 сут. во всех исследуемых группах выраженность повреждения и воспаления была больше, чем в группе с введением 0,9% раствора хлорида натрия. Затем происходило снижение признаков повреждения и воспаления. На этапе 21 сут. статистических различий при сравнении с 1-й группой уже не было ни в одной исследуемой группе. Зависимость проявлений повреждения или воспалительных изменений в мышечной ткани от концентрации МА была определена с помощью построения порядковой регрессионной модели. Показатели регрессионной модели были значимы. Они позволяли описать 87% для повреждения и 95% для воспалительных изменений.
Заключение. Миотоксичность МА проявлялась в виде повреждающего действия и в виде развития воспалительной инфильтрации. Миотоксичностью обладали все концентрации всех исследуемых МА. Чем выше была концентрация анестетика, тем более выраженно было повреждающее действие и развитие признаков воспаления. Максимальное развитие повреждающего действия было на этапах 1 ч и 2-х сут. исследования, в дальнейшем происходило уменьшение признаков миотоксичности и к 21-м сут. признаки повреждения и воспаления практически полностью исчезали. Сравнительный анализ не выявил статистических различий, позволяющих однозначно сформировать рейтинг от наиболее к наименее миотоксичному препарату.
Ключевые слова
Полный текст
Появившиеся клинические наблюдения развития миотоксичности после регионарной анестезии заставляют обратить внимание на это направление. Миотоксичность МА в клинической практике была выявлена при различных видах регионарной анестезии: блокаде приводящего канала, межлестничной блокаде, блоке Бира, офтальмологических блоках при субакромиальной инъекции, введении в триггерные точки при лечении хронической боли [1–6]. В обзорном исследовании Hussain N. et al. (2018) при анализе более 50000 регионарных анестезий было показано, что частота миотоксических повреждений в среднем составляет 0,77% (0,69%; 0,85%) [6]. При блокадах конечностей наиболее частыми симптомами были мышечная слабость, снижение силы оперированной конечности, нарушение опорной функции [6–9]. Степень функционального восстановления повреждëнных мышц и продолжительность времени до восстановления в разных исследованиях существенно различались. По данным того же обзорного исследования Hussain N. et al. (2018) степень восстановления была определена в 62% (55,4%; 68,6%), длительность до полного выздоровления варьировала от 4 дней до 1 года [6].
Несмотря на общепринятое мнение о противовоспалительном действии МА, ряд экспериментальных исследований показал, что в месте их инъекции в мышечную ткань развивалась воспалительная реакция [6, 9]. В различных исследованиях было отмечено накопление нейтрофилов, лимфоцитов и макрофагов [8, 10–12]. Воспалительная реакция сопровождалась мионекрозом и мышечной дегенерацией, которая наблюдалась при всех типах и концентрациях МА [1, 6, 10, 13, 14]. Эти данные побудили нас к проведению экспериментальной оценки миотоксичности различных концентраций МА, которые анестезиологи-реаниматологи используют в повседневной практике.
Материал и методы
Исследование проводилось в ФГБВОУ ВО «Военно-медицинская академия им. С.М. Кирова» Министерства образования РФ, было одобрено независимым Этическим комитетом (протокол № 203 от 20.03. 2018 г.). Экспериментальная работа выполнена с соблюдением правил использования и содержания лабораторных животных согласно приказу № 755 М3 СССР от 12.07.1977 г. и рекомендаций Хельсинкской декларации.
Проведена серия экспериментов на 800 беспородных половозрелых альбиносах крысах-самках массой 160–200 г.
Простая табличная рандомизация лабораторных животных на 16 групп выполнена генерацией случайных чисел с помощью ресурса Research Randomizer (https://www.randomizer.org) (табл. 1).
Таблица 1. Распределение экспериментальных животных по группам (n)
Table 1. Distribution of experimental animals by groups (n)
№ группы | Концентрация, % | Наименование препарата | Количество животных, n |
1 контрольная | 0,9 | Натрия хлорид | 50 |
2 | 0,5 | Лидокаин | 50 |
3 | 1 | Лидокаин | 50 |
4 | 1,5 | Лидокаин | 50 |
5 | 2 | Лидокаин | 50 |
6 | 0,2 | Бупивакаин | 50 |
7 | 0,5 | Бупивакаин | 50 |
8 | 0,75 | Бупивакаин | 50 |
9 | 1 | Бупивакаин | 50 |
10 | 0,25 | Левобупивакаин | 50 |
11 | 0,5 | Левобупивакаин | 50 |
12 | 0,75 | Левобупивакаин | 50 |
13 | 0,25 | Ропивакаин | 50 |
14 | 0,5 | Ропивакаин | 50 |
15 | 0,75 | Ропивакаин | 50 |
16 | 1 | Ропивакаин | 50 |
Ослепление исследования достигали привлечением внешнего специалиста, который с соблюдением правил асептики и антисептики согласно таблице случайных чисел готовил и кодировал шприцы с анестетиками для введения лабораторным животным. После приготовления препаратов таблица распределения была запечатана в конверт. Исследователь вводил не известный для него кодированный препарат, осуществлял выведение животных из эксперимента и проводил забор материала (первое ослепление). Кодированный материал передавали в лабораторию, где врач-патоморфолог выполнял гистологическое и гистохимическое исследование. Врач-патоморфолог не имел информации о препаратах, вводимых лабораторным животным (двойное ослепление). После получения всех результатов конверт с таблицей распределения лабораторных животных на группы был вскрыт и проведено раскрытие полученной информации.
Перед введением животных в эксперимент производили выдерживание в карантине в течение 2 нед. Точность подведения МА к целевым структурам контролировали с помощью ультразвуковой навигации аппаратом Sono Site Edge линейным датчиком L25X с частотностью 13–6 MH. Для исследования миотоксичности 0,2 мл препарата вводили в двухглавую мышцу бедра.
Для оценки воздействия исследуемых препаратов на скелетную мускулатуру по 10 животных каждой группы выводили из эксперимента на этапах 1 ч после введения препарата (I этап) и на 2-е (II этап), 7-е (III этап), 14-е (IV этап) и 21-е (V этап) сут. после введения препарата. Необходимо отметить, что 29 экспериментальных животных погибло на различных этапах эксперимента. Основная масса животных погибла в течение первых 3 сут. после введения препаратов. Их гибель, вероятно, была связана с проведением седации при выполнении блокады. Схема введения в эксперимент и выведения животных из эксперимента на этапах исследования представлена на рисунке 1. Для выведения использовали передозировку тиопенталом натрия. После выведения производили забор участка седалищного нерва и двуглавой мышцы бедра, который фиксировали в забуференном 10% растворе формалина в течение 48 ч. Фиксированные в забуференном растворе формалина участки нерва и мышцы обезвоживали и заливали в парафиновые блоки. На ротационном микротоме НМ 3600 («MICROM Laborgerдte GmbH» – Германия) изготавливали серийные срезы толщиной 5–6 мкм, которые помещали на предметные стекла. Гистологические срезы окрашивали гематоксилином и эозином, а затем исследовали в светлом поле с использованием микроскопа Olympus BX46.
Рис. 1. Схема введения в эксперимент и выведения животных из эксперимента на этапах исследования
Оценка повреждения мышечной ткани была проведена в соответствии с модифицированными критериями Benoit Р. et al. (1980) от 0 до 3 баллов [15] врачом-патоморфологом, не имеющим информации о препаратах и группе исследования. Воспалительные изменения ранжировали следующим образом:
– 0 баллов – признаков воспаления нет,
– 1 балл – единичные воспалительные клетки,
– 2 балла – воспалительные клетки немногочисленны, расположены преимущественно вокруг сосудов,
– 3 балла – воспалительные клетки заполняют всë интерстициальное пространство, пропитывают мышечную ткань, окружают сосуды и нервы.
Повреждение клеток ранжировали следующим образом:
– 0 баллов – отсутствие повреждения,
– 1 балл – единичные клетки или волокна с признаками некроза или апоптоза,
– 2 балла – множественные клетки с признаками клеточного повреждения по типу некроза или апоптоза,
– 3 балла – препарат демонстрирует разрушение больших объëмов волокон с вовлечением оболочек, фасций и других структур.
Эквивалентными концентрациями мы считали:
– лидокаин 0,5%, бупивакаин 0,25%, левобупивакаин 0,25%, ропивакаин, 0,25%;
– лидокаин 1%, бупивакаин 0,5%, левобупивакаин 0,5%, ропивакаин 0,5%;
– лидокаин 1,5%, бупивакаин 0,75%, левобупивакаин 0,75%, ропивакаин 0,75%;
– лидокаин 2%, бупивакаин 1%, ропивакаин 1%.
Статистическую обработку полученных результатов осуществляли с помощью программы IBM SPSS Statistics 25.0. Статистический анализ данных включал проверку рядов числовых и количественных показателей на значимость различий с нормальным законом распределения с помощью теста Колмогорова-Смирнова, а также методы описательной статистики. С учëтом присвоения баллов при оценке степени повреждения для представления данных использовались медианы и интерквартильные размахи в виде 25-го и 75-го перцентилей – Ме (Q1; Q3). Для сравнения групп формулировались статистические гипотезы о различии выборок в целом, которые тестировались с помощью непараметрического U-критерия Mann-Whitney. За уровень статистической значимости принято значение р < 0,05. Развитие максимальных изменений и регрессию изучаемых показателей для каждого вида и концентрации МА проводили последовательно. Сначала определяли наличие или отсутствие групповых различий на этапах исследования, проводя статистический анализ множественных сравнений с помощью непараметрического критерия Kruskal-Wallis. Затем для подробного последовательного анализа различий между группами после выявления групповых различий выполнены апостериорные попарные сравнения данных с помощью непараметрических методов для несвязанных выборок (критерий Mann-Whitney). Статистическая значимость апостериорных сравнений была определена с учëтом скорректированного уровня статистической значимости, который рассчитывается по формуле р = 1 – 0,951/n, где n – количество производимых сравнений (поправка Бонферрони). В нашем исследовании для пяти этапов исследования для каждой исследуемой концентрации производили десять сравнений, поэтому новый критический уровень значимости различий принят как р = 0,005.
Зависимость проявлений повреждения или воспалительных изменений от концентрации МА исследована с помощью построения порядковой регрессионной модели. В работе представлены статистические данные порядковой регрессионной модели теста Хи-квадрат удвоенного значения логарифма функции правдоподобия, который свидетельствует о наличии связи между увеличением концентрации МА и нарастанием исследуемых признаков воспаления. Степень приближения модели оценена с помощью критерия согласия Пирсона, а доля дисперсии, объяснимой при помощи построенной порядковой регрессии, представлена с помощью псевдо-R-квадрат меры определённости (согласия) Нэйджелкерке.
Результаты
Инъекция физиологического раствора лабораторным животным контрольной группы вызывала расширение межклеточных пространств и соединительнотканных перегородок. Признаков некроза клеток или апоптоза обнаружено не было. Введение МА уже через 1 ч вызывало воспалительную инфильтрацию и повреждение мышечной ткани.
Признаки повреждения миоцитов после окраски гематоксилином и эозином определяли по появлению некроза, апоптоза клеток и связанной с этими явлениями полихромазии, снижению и исчезновению поперечной исчерченности мышечных клеток (рис. 2). Оценка признаков повреждения мышечной ткани в исследуемых группах представлена в таблице 2. Основным признаком повреждения стал апоптоз клеток.
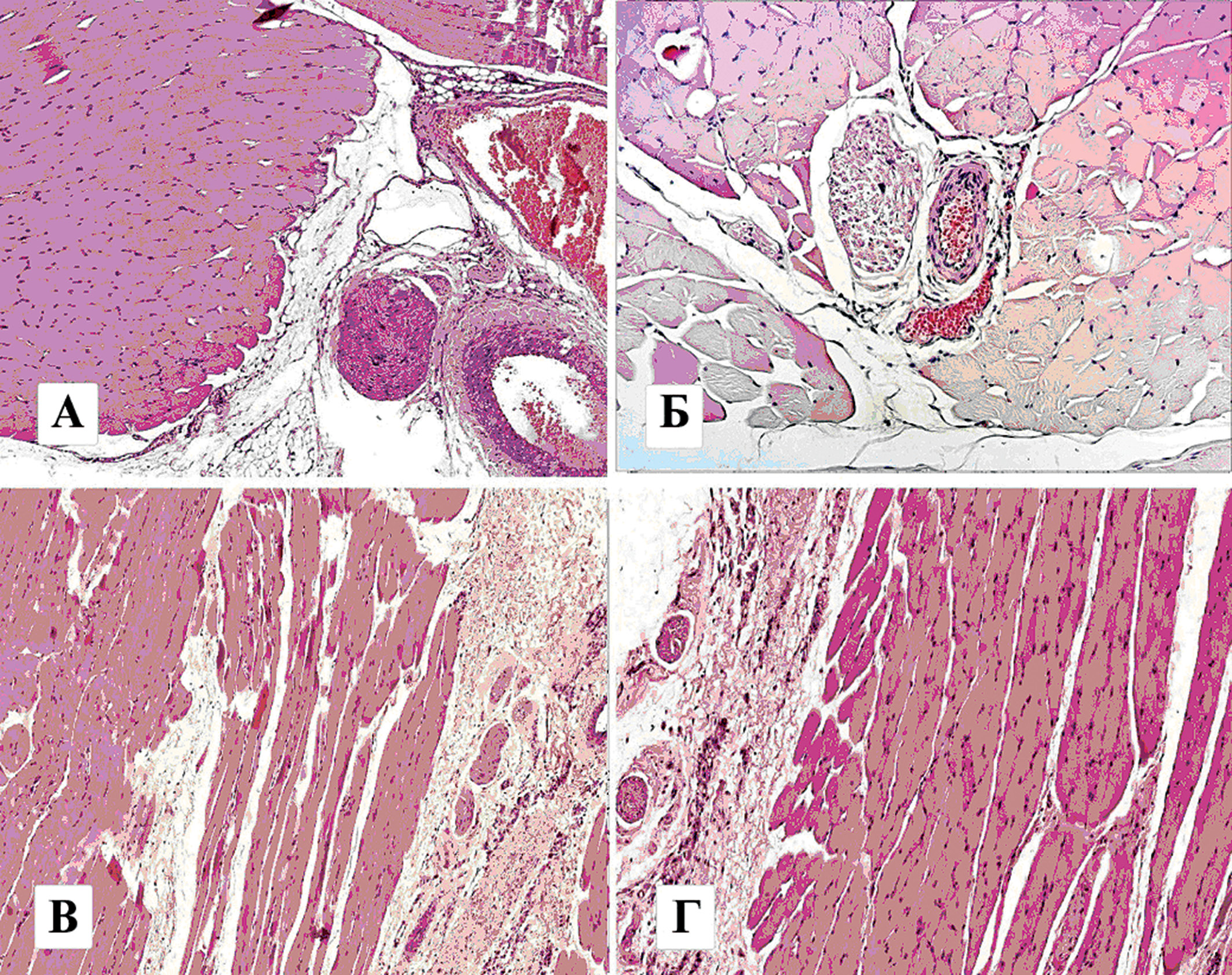
Рис. 2. Признаки повреждения мышечных волокон после введения бупивакаина (окраска гематоксилином и эозином, увеличение × 400): А – перимускулярный отëк, группы мышечных волокон с дистрофическими изменениями, явлениями полихромазии и апоптозом клеток; В – перимускулярный отëк, мышечные волокна с формированием сократительных контрактур, с явлениями полихромазии, снижением поперечной исчерченности
Таблица 2. Оценка признаков повреждения в двухглавой мышце (окраска гематоксилин-эозин) Me [Q1;Q3]
Table 2. Assessment of signs of damage in the biceps muscle (hematoxylin-eosin staining) Me [Q1;Q3]
Группа | Препарат, концентрация | Этап исследования | ||||
I | II | III | IV | V | ||
1 | Хлорид натрия, 0,9% | |||||
2 | Лидокаин, 0,5% | |||||
3 | Лидокаин, 1% | |||||
4 | Лидокаин, 1,5% | |||||
5 | Лидокаин, 2% | |||||
6 | Бупивакаин, 0,25% | |||||
7 | Бупивакаин, 0,5% | |||||
8 | Бупивакаин, 0,75% | |||||
9 | Бупивакаин, 1% | |||||
10 | Левобупивакаин, 0,25% | |||||
11 | Левобупивакаин, 0,5% | |||||
12 | Левобупивакаин, 0,75% | |||||
13 | Ропивакаин, 0,25% | |||||
14 | Ропивакаин, 0,5% | |||||
15 | Ропивакаин, 0,75% | |||||
16 | Ропивакаин, 1% | |||||
Для оценки миотоксичности выполнено попарное сравнение повреждающего действия МА в мышечной ткани между исследуемыми группами и контрольной группой (табл. 3).
Таблица 3. Статистические показатели сравнения повреждающего действия в двухглавой мышце между исследуемыми группами и группой плацебо (Mann-Whitney, U, Z, р)
Table 3. Statistical indicators of comparison of the damaging effect in the biceps muscle between the study groups and the placebo group (Mann-Whitney, U, Z, р)
Группы сравнения | Этап исследования | ||||
I | II | III | IV | V | |
1 и 2 | U = 4,50; Z = -3,88; p = 0,00 | U = 4,50; Z = -3,88; p = 0,00 | U = 40,00; Z = -1,09; p = 0,28 | U = 33,00; Z = -2,18; p = 0,06 | U = 40,00; Z = -1,45; p = 0,15 |
1 и 3 | U = 3,00; Z = -3,83; p = 0,00 | U = 2,50; Z = -3,85; p = 0,00 | U = 30,00; Z = -1,90; p = 0,06 | U = 35,00; Z = -1,83; p = 0,07 | U = 40,00; Z = -1,45; p = 0,15 |
1 и 4 | U = 3,00; Z = -3,83; p = 0,00 | U = 2,50; Z = -3,85; p = 0,00 | U = 25,00; Z = -2,28; p = 0,02 | U = 25,00; Z = -2,52; p = 0,01 | U = 35,00; Z = -1,83; p = 0,07 |
1 и 5 | U = 1,00; Z = -4,03; p = 0,00 | U = 1,00; Z = -3,93; p = 0,00 | U = 9,50; Z = -3,45; p = 0,00 | U = 25,00; Z = -2,52; p = 0,01 | U = 30,00; Z = -2,18; p = 0,06 |
1 и 6 | U = 9,00; Z = -3,44; p = 0,00 | U = 3,00; Z = -3,83; p = 0,00 | U = 24,50; Z = -2,30; p = 0,02 | U = 25,00; Z = -2,52; p = 0,01 | U = 30,00; Z = -2,18; p = 0,06 |
1 и 7 | U = 3,50; Z = -3,83; p = 0,00 | U = 3,00; Z = -3,83; p = 0,00 | U = 25,00; Z = -2,28; p = 0,02 | U = 25,00; Z = -2,52; p = 0,01 | U = 35,00; Z = -1,83; p = 0,07 |
1 и 8 | U = 1,00; Z = -4,03; p = 0,00 | U = 0,50; Z = -4,07; p = 0,00 | U = 14,00; Z = -3,06; p = 0,00 | U = 20,00; Z = -2,83; p = 0,00 | U = 35,00; Z = -1,83; p = 0,07 |
1 и 9 | U = 1,00; Z = -3,95; p = 0,00 | U = 0,50; Z = -4,02; p = 0,00 | U = 3,00; Z = -3,83; p = 0,00 | U = 1,00; Z = -4,19; p = 0,00 | U = 40,00; Z = -1,45; p = 0,15 |
1 и 10 | U = 9,50; Z = -3,45; p = 0,00 | U = 4,50; Z = -3,88; p = 0,00 | U = 35,00; Z = -1,51; p = 0,13 | U = 30,00; Z = -2,18; p = 0,09 | U = 45,00; Z = -1,00; p = 0,32 |
1 и 11 | U = 3,00; Z = -3,83; p = 0,00 | U = 2,50; Z = -3,85; p = 0,00 | U = 30,00; Z = -1,90; p = 0,06 | U = 30,00; Z = -2,18; p = 0,06 | U = 45,00; Z = -1,00; p = 0,32 |
1 и 12 | U = 1,50; Z = -3,95; p = 0,00 | U = 1,00; Z = -4,03; p = 0,00 | U = 14,50; Z = -3,06; p = 0,00 | U = 30,00; Z = -2,18; p = 0,03 | U = 40,00; Z = -1,45; p = 0,15 |
1 и 13 | U = 4,00; Z = -3,84; p = 0,00 | U = 3,50; Z = -3,83; p = 0,00 | U = 40,00; Z = -1,09; p = 0,28 | U = 35,00; Z = -1,83; p = 0,17 | U = 45,00; Z = -1,00; p = 0,32 |
1 и 14 | U = 3,00; Z = -3,83; p = 0,00 | U = 3,50; Z = -3,83; p = 0,00 | U = 20,00; Z = -2,67; p = 0,01 | U = 25,00; Z = -2,52; p = 0,01 | U = 40,00; Z = -1,45; p = 0,15 |
1 и 15 | U = 2,00; Z = -3,89; p = 0,00 | U = 2,00; Z = -3,87; p = 0,00 | U = 14,00; Z = -3,06; p = 0,00 | U = 35,00; Z = -1,83; p = 0,07 | U = 45,00; Z = -1,00; p = 0,32 |
1 и 16 | U = 1,00; Z = -4,03; p = 0,00 | U = 2,00; Z = -3,98; p = 0,00 | U = 9,50; Z = -3,45; p = 0,00 | U = 25,00; Z = -2,50; p = 0,01 | U = 40,00; Z = -1,45; p = 0,15 |
Полученные данные попарных сравнений показали, что на этапах I и II (1 ч и 2 сут.) во всех исследуемых группах выраженность повреждения была больше, чем в группе с введением 0,9% рас- твора хлорида натрия. Это свидетельствует о наличии токсического действия исследуемых МА, повреждающего мышечную ткань. На 7-е сут. (III этап) в группах с использованием 0,5% и 1% лидокаина, 0,25% и 0,5% левобупивакаина, 0,25% ропивакаина статистические различия стали исчезать. На 14-е сут. статистические различия по сравнению с плацебо оставались только в группах, где вводили 1,5% и 2% лидокаин, а также при всех используемых в исследовании концентрациях бупивакаина, 0,75% левобупивакаин, 0,5% и 1% ропивакаина. На 21-е сут. статистические различия повреждения клеток по сравнению с 0,9% раствором хлорида натрия остались только у 2% раствора лидокаина. Таким образом, к V этапу признаки повреждения практически полностью регрессировали, что свидетельствовало о репарации мышечной ткани.
Оценка дисперсии показателя повреждения мышечной ткани в каждой группе на этапах исследования была проведена с помощью статистического анализа множественных сравнений по критерию Краскела-Уоллиса. Было определено наличие статистических различий на этапах исследования в изменении значений повреждения мышечной ткани каждой исследуемой концентрации МА (табл. 4).
Таблица 4. Статистические показатели анализа множественных сравнений повреждающего действия в двухглавой мышце внутри исследуемой группы на этапах исследования (Kruskal-Wallis, Н, р)
Table 4. Statistical indicators of the analysis of multiple comparisons of the damaging effect in the biceps muscle within the study group at the stages of the study (Kruskal-Wallis, Н, р)
Группа | H критерий Краскела-Уоллиса | р |
Лидокаин, 0,5% | 25,173 | 0,000 |
Лидокаин, 1% | 28,625 | 0,000 |
Лидокаин, 1,5% | 24,491 | 0,000 |
Лидокаин, 2% | 31,965 | 0,000 |
Бупивакаин, 0,25% | 16,095 | 0,003 |
Бупивакаин, 0,5% | 22,559 | 0,000 |
Бупивакаин, 0,75% | 30,197 | 0,000 |
Бупивакаин, 1% | 31,348 | 0,000 |
Левобупивакаин, 0,25% | 23,348 | 0,000 |
Левобупивакаин, 0,5% | 29,549 | 0,000 |
Левобупивакаин, 0,75% | 32,769 | 0,000 |
Ропивакаин, 0,25% | 30,240 | 0,000 |
Ропивакаин, 0,5% | 24,715 | 0,000 |
Ропивакаин, 0,75% | 31,106 | 0,000 |
Ропивакаин, 1% | 31,688 | 0,000 |
Для подробного изучения наличия статистических различий показателя повреждения мышечной ткани последовательно проведëн попарный анализ с помощью непараметрического критерия Mann-Whitney, скорректированного для апостериорных сравнений. Статистическая значимость апостериорных сравнений с учëтом количества групп сравнений принята р < 0,005. Отсутствие статистических различий между этапами 1 ч и 2 сут. свидетельствует о том, что выраженность повреждения мышечной ткани в течение этого периода времени сохранялась максимальной. Начиная с этапа 7-е сут. до конца исследования между первыми двумя этапами и последующими выявлены статистические различия. Если между этапами через 1 ч или 2 дня и этапом через 7 дней и даже 14 дней в некоторых группах различия были ещë статистически не значимы, то по сравнению с этапом 21-е сут. различия были значимы во всех группах. А поскольку на последнем этапе различий в группах с введением МА и с контрольной группой не было, то это свидетельствовало о восстановлении мышечной ткани (табл. 5).
Таблица 5. Статистические показатели апостериорных сравнений повреждающего действия в двухглавой мышце внутри исследуемой группы на этапах исследования (Mann-Whitney, U, Z, р)
Table 5. Statistical indicators of a posteriori comparisons of the damaging effect in the biceps muscle within the study group at the study stages (Mann-Whitney, U, Z, р)
| Сравниваемые этапы исследования (U, Z, p) | |||||||||
I и II | I и III | I и IV | I и V | II и III | II и IV | II и V | III и IV | III и V | IV и V | |
Лидокаин, 0,5% | 41,0; -0,97; 0,330 | 18,0; -2,89; 0,004 | 18,0; -2,89; 0,004 | 9,0; -3,53; 0,000 | 28,0; -1,89; 0,058 | 28,0; -1,89; 0,058 | 9,5; 5,64; 0,001 | 50,0; 0,00; 1,000 | 40,0; -0,95; 0,342 | 40,0; -0,95; 0,342 |
Лидокаин, 1% | 50,00; 0,00; 1,000 | 15,00; -2,82; 0,005 | 8,00; -3,38; 0,001 | 8,00; -3,38; 0,001 | 15,00; -2,82; 0,005 | 8,00; -3,38; 0,001 | 8,00; -3,38; 0,001 | 43,00; -0,60; 0,547 | 43,00; -0,60; 0,547 | 50,00; 0,00; 1,000 |
Лидокаин, 1,5% | 37,00; -1,17; 0,240 | 16,00; -2,95; 0,003 | 10,00; -3,24; 0,001 | 4,00; -3,70; 0,000 | 8,00; -3,48; 0,001 | 5,00; -3,58; 0,000 | 2,00; -3,85; 0,000 | 35,00; -1,37; 0,170 | 20,00; -2,62; 0,009 | 35,00; -1,37; 0,170 |
Лидокаин, 2% | 40,00; -1,09; 0,276 | 4,50; -3,77; 0,000 | 0,00; -4,03; 0,000 | 0,00; -4,04; 0,000 | 3,50; -3,72; 0,000 | 0,00; -3,93; 0,000 | 0,00; -3,94; 0,000 | 32,50; -1,53; 0,125 | 28,00; -1,89; 0,058 | 45,00; -0,44; 0,661 |
Бупивакаин, 0,25% | 50,00; 0,00; 1,000 | 29,00; -1,88; 0,061 | 20,00; -2,69; 0,007 | 8,00; -3,52; 0,000 | 29,00; -1,88; 0,061 | 20,00; -2,69; 0,007 | 8,00; -3,52; 0,000 | 42,50; -0,64; 0,522 | 29,00; -1,84; 0,066 | 35,00; -1,37; 0,170 |
Бупивакаин, 0,5% | 40,00; -0,89; 0,374 | 22,50; -2,32; 0,021 | 10,00; -3,24; 0,001 | 7,50; -3,43; 0,001 | 15,50; -2,84; 0,005 | 6,00; -3,53; 0,000 | 4,50; -3,65; 0,000 | 33,00; -1,45; 0,147 | 28,50; -1,83; 0,067 | 45,00; -0,46; 0,648 |
Бупивакаин, 0,75% | 37,00; -1,17; 0,240 | 15,00; -2,82; 0,007 | 17,00; -2,69; 0,007 | 6,00; -3,53; 0,000 | 9,50; -3,24; 0,001 | 10,50; -3,17; 0,001 | 3,00; -3,74; 0,000 | 45,50; -0,38; 0,707 | 38,50; -1,01; 0,313 | 33,50; -1,42; 0,156 |
Бупивакаин, 1% | 33,00; -1,59; 0,111 | 17,00; -2,77; 0,006 | 12,50; -3,02; 0,003 | 6,00; -3,53; 0,000 | 8,00; -3,40; 0,001 | 6,50; -3,45; 0,001 | 2,00; -3,79; 0,000 | 36,50; -1,15; 0,251 | 28,00; -1,89; 0,058 | 43,00; -0,60; 0,547 |
Левобупива-каин, 0,25% | 36,00; -1,70; 0,088 | 15,00; -3,07; 0,002 | 0,00; -3,49; 0,000 | 5,00; -3,94; 0,000 | 8,00; -3,52; 0,000 | 4,00; -3,84; 0,000 | 0,00; -4,19; 0,000 | 45,00; -0,61; 0,542 | 40,00; -1,45; 0,146 | 45,00; -1,00; 0,317 |
Левобупива-каин, 0,5% | 45,00; -0,44; 0,661 | 12,00; -3,13; 0,002 | 6,00; -3,57; 0,000 | 3,00; -3,83; 0,000 | 10,00; -3,24; 0,001 | 5,00; -3,63; 0,000 | 2,50; -3,85; 0,000 | 40,00; -0,95; 0,342 | 35,00; -1,51; 0,131 | 45,00; -0,61; 0,542 |
Левобупива-каин, 0,75% | 42,00; -0,70; 0,483 | 15,00; -2,82; 0,005 | 6,00; -3,53; 0,000 | 2,00; -3,89; 0,000 | 12,00; -3,03; 0,002 | 4,50; -3,61; 0,000 | 1,50; -3,92; 0,000 | 38,50; -1,01; 0,313 | 29,50; -1,93; 0,053 | 40,00; -1,09; 0,276 |
Ропивакаин, 0,25% | 50,00; 0,00; 1,000 | 8,00; -3,52; 0,000 | 12,00; -3,23; 0,001 | 4,00; -3,84; 0,000 | 8,00; -3,52; 0,000 | 12,00; -3,23; 0,001 | 4,00; -3,84; 0,000 | 45,00; -0,50; 0,615 | 45,00; -0,61; 0,542 | 40,00; -1,09; 0,276 |
Ропивакаин, 0,5% | 45,00; -0,44; 0,661 | 9,00; -3,34; 0,001 | 6,00; -3,57; 0,000 | 3,00; -3,83; 0,000 | 7,50; -3,43; 0,001 | 5,00; -3,63; 0,000 | 2,50; -3,85; 0,000 | 45,00; -0,50; 0,615 | 40,00; -1,09; 0,276 | 45,00; -0,61; 0,542 |
Ропивакаин, 0,75% | 42,00; -0,70; 0,483 | 13,00; -2,97; 0,003 | 6,00; -3,53; 0,000 | 2,00; -3,89; 0,000 | 10,50; -3,14; 0,002 | 4,50; -3,61; 0,000 | 1,50; -3,92; 0,000 | 43,50; -0,59; 0,557 | 34,50; -1,55; 0,121 | 40,00; -1,09; 0,276 |
Ропивакаин, 1% | 42,00; -0,75; 0,453 | 15,00; -2,88; 0,004 | 3,00; -3,79; 0,000 | 1,00; -4,03; 0,000 | 13,00; -2,94; 0,003 | 3,00; -3,71; 0,000 | 1,00; -3,95; 0,000 | 37,00; -1,13; 0,259 | 29,00; -1,97; 0,049 | 40,00; -1,09; 0,276 |
Повреждение мышечной ткани при введении МА носило дозозависимый характер, чем больше была концентрация МА, тем были более выражены признаки повреждения. Оценку дозозависимости проводили с помощью построения порядковой регрессионной модели (табл. 6).
Таблица 6. Показатели порядковой регрессионной модели зависимости повреждения мышечной ткани от концентрации МА
Table 6. Indicators of the regression model of the dependence of muscle tissue damage on the concentration of local anesthetic
Показатели модели | Критерий согласия Пирсона | Псевдо-R-квадрат (Нэйджелкерке) | |||
Удвоенное значение логарифма функции правдоподобия | Хи-квадрат | Значимость | Хи-квадрат | Значимость | |
61,76 | 61,76 | 0,00 | 18,22 | 0,99 | 0,87 |
Статистическая значимость (р < 0,001) теста Хи-квадрат удвоенного значения логарифма функции правдоподобия свидетельствует о наличии связи между увеличением концентрации МА и нарастанием признаков повреждения в мышечной ткани. Отсутствие статистической разности наблюдаемых и ожидаемых частот значений критерия согласия (р = 0,99) говорит о достижении высокой степени приближения модели. Мера определённости (согласия) Нэйджелкерке демонстрирует долю дисперсии в 87%, объяснимой при помощи построенной порядковой регрессии.
Для определения препарата, обладающего меньшей степенью миотоксичности, выполнено попарное сравнение показателей повреждающего действия одинаковых концентраций для бупивакаина, левобупивакаина, ропивакаина и эквивалентной концентрации лидокаина. Эквивалентной концентрацией для 0,25% растворов бупивакаина, левобупивакаина, ропивакаина принят 0,5% раствор лидокаина, для 0,5% – 1%, для 0,75% – 1,5%, для 1% – 2% концентрации соответственно. Поскольку при использовании некоторых концентраций лидокаина, левобупивакаина максимальное развитие повреждающего действия было определено на I и II этапах (1 ч и 2-е сут.), то попарное сравнение было проведено на обоих этапах. Полученные результаты попарного сравнения демонстрируют, что статистически значимое различие в выраженности повреждающего действия на мышечную ткань было выявлено только при сравнении пары, в которой использовали введение 1,5% раствора лидокаина и 0,75% раствора бупивакаина (табл. 7).
Таблица 7. Показатель значимости при межгрупповых сравнениях повреждения в мышечной ткани на I и II этапах (Mann-Whitney, р)
Table 7. Indicator of significance in cross-group comparisons of damage in muscle tissue at stages 1 hour and 2 days (Mann-Whitney, р)
Сравниваемые группы | Этапы исследования | |
I | II | |
Лидокаин, 0,5% – бупивакаин, 0,25% | р = 0,957 | р = 0,131 |
Лидокаин, 0,5% – левобупивакаин, 0,25% | р = 0,584 | р = 0,542 |
Лидокаин, 0,5% – ропивакаин, 0,25% | р = 0,542 | р = 0,276 |
Бупивакаин, 0,25% – левобупивакаин, 0,25% | р = 0,654 | р = 0,131 |
Бупивакаин, 0,25% – ропивакаин, 0,25% | р = 0,689 | р = 0,648 |
Левобупивакаин, 0,25% – ропивакаин, 0,25% | р = 0,329 | р = 0,276 |
Лидокаин, 1% – бупивакаин, 0,5% | р = 0,648 | р = 0,661 |
Лидокаин, 1% – левобупивакаин, 0,5% | р = 1,000 | р = 1,000 |
Лидокаин, 1% – ропивакаин, 0,5% | р = 0,661 | р = 0,374 |
Бупивакаин, 0,5% – левобупивакаин, 0,5% | р = 0,648 | р = 0,661 |
Левобупивакаин, 0,5% – ропивакаин, 0,5% | р = 1,000 | р = 0,374 |
Лидокаин, 1,5% – бупивакаин, 0,75% | р = 0,050 | р = 0,042 |
Лидокаин, 1,5% – левобупивакаин, 0,75% | р = 0,189 | р = 0,170 |
Лидокаин, 1,5% – ропивакаин, 0,75% | р = 0,383 | р = 0,522 |
Бупивакаин, 0,75% – левобупивакаин, 0,75% | р = 0,615 | р = 0,329 |
Бупивакаин, 0,75% – ропивакаин, 0,75% | р = 0,342 | р = 0,226 |
Левобупивакаин, 0,75% – ропивакаин, 0,75% | р = 0,648 | р = 0,588 |
Лидокаин, 2% – бупивакаин, 1% | р = 0,453 | р = 0,966 |
В группе с введением 0,75% бупивакаина повреждающее действие было выше, чем в группе с введением 1,5% раствора лидокаина. Полученный результат свидетельствует о более миотоксичном действии бупивакаина, но не позволяет однозначно определить наименее миотоксичный препарат. В остальных попарных сравнениях статистических различий между повреждающим действием МА выявлено не было.
Кроме признаков повреждения была выявлена инфильтрация ткани воспалительными клетками (рис. 3). Степень инфильтрации, типы воспалительных клеток при введении различных концентраций МА различались.
Рис. 3. Инфильтрация ткани воспалительными клетками (окраска гематоксилином и эозином, увеличение × 400): А – ткани без признаков воспалительной инфильтрации; Б – единичные клетки в пределах интерстиции вокруг сосудов, отдельные вокруг нерва, в мышцах; преобладают нейтрофилы, присутствуют макрофаги, единичные лимфоциты; В – воспалительные клетки в умеренном количестве в интерстиции вокруг сосудов, в мышцах, в нервах; в основном клетки макрофагального типа, имеется небольшое количество нейтрофилов и лимфоцитов; Г – воспалительные клетки заполняют все интерстициальное пространство, пропитывают мышечную ткань, окружают сосуды и нервы; преобладающий тип клеток: нейтрофилы, макрофаги, встречаются единичные лимфоциты
Инъекция физиологического раствора лабораторным животным контрольной группы вызывала расширение межклеточных пространств, у двух лабораторных животных в этой группе в зоне введения 0,9% раствора хлорида натрия были обнаружены единичные клетки макрофагального типа и нейтрофилы. Если инфильтрация была слабой (1 балл), то единичные воспалительные клетки находились в пределах интерстиции вокруг сосудов, отдельные клетки встречались вокруг нервов и в мышечной ткани. Среди воспалительных клеток преобладали нейтрофилы, макрофаги и лимфоциты были единичны. При умеренной воспалительной инфильтрации (2 балла) скопления клеток были расположены в основном в интерстиции вокруг сосудов, отдельные клетки выявляли вокруг нервов и в мышечной ткани. Среди воспалительных клеток преобладали нейтрофилы и макрофаги, небольшое количество лимфоцитов. При выраженной инфильтрации (3 балла) воспалительные клетки заполняли всë интерстициальное пространство, пропитывали мышечную ткань, окружали сосуды и нервы, выявлялись внутри стенок сосудов, нервов. Среди воспалительных клеток преобладали нейтрофилы и макрофаги, имелось умеренное количество лимфоцитов.
Оценка признаков воспалительных изменений в мышечной ткани в группах на этапах исследования представлена в таблице 8.
Таблица 8. Оценка признаков воспаления в двухглавой мышце (окраска гематоксилин-эозин) Me [Q1;Q3]
Table 8. Assessment of signs of inflammation in the biceps muscle (hematoxylin-eosin stain) Me [Q1;Q3]
Группа | Препарат, концентрация | Этап исследования | ||||
I | II | III | IV | V | ||
1 | Хлорид натрия, 0,9% | |||||
2 | Лидокаин, 0,5% | |||||
3 | Лидокаин, 1% | |||||
4 | Лидокаин, 1,5% | |||||
5 | Лидокаин, 2% | |||||
6 | Бупивакаин, 0,25% | |||||
7 | Бупивакаин, 0,5% | |||||
8 | Бупивакаин, 0,75% | |||||
9 | Бупивакаин, 1% | |||||
10 | Левобупивакаин, 0,25% | |||||
11 | Левобупивакаин, 0,5% | |||||
12 | Левобупивакаин, 0,75% | |||||
13 | Ропивакаин, 0,25% | |||||
14 | Ропивакаин, 0,5% | |||||
15 | Ропивакаин, 0,75% | |||||
16 | Ропивакаин, 1% | |||||
Полученные результаты свидетельствовали, что через 1 ч после введения МА в тканях при гистологическом исследовании обнаруживали увеличение «воспалительных» клеток. В подавляющем количестве случаев на первом этапе исследования было уже максимальное развитие признаков воспаления. При введении 2% раствора лидокаина и 0,5% раствора левобупивакаина максимальное значение выраженности воспалительных изменений было на 2-е сут. Если признаки воспаления были максимальны на I этапе, то и на II этапе выраженность воспалительных изменений не снижалась, за исключением группы с использованием 0,75% раствора левобупивакаина, когда воспалительные признаки были максимальны на I этапе, а на II этапе происходило их уменьшение.
Для исследования различий в выраженности проявлений воспалительной реакции в мышечной ткани на основании результатов, полученных при анализе препаратов, окрашенных гематоксилином и эозином, выполнено попарное сравнение между исследуемыми группами с введением МА и контрольной группой (табл. 9).
Таблица 9. Статистические показатели сравнения воспалительных изменений между исследуемыми группами и группой плацебо (Mann-Whitney, U, Z, р)
Table 9. Statistical indicators for comparing inflammatory changes between the study groups and the placebo group (Mann-Whitney, U, Z, р)
Группы сравнения | Этап исследования | ||||
I | II | III | IV | V | |
1 и 2 | U = 9,00; Z = -3,34; p = 0,00 | U = 8,00; Z = -3,52; p = 0,00 | U = 15,00; Z = -3,07; p = 0,00 | U = 30,00; Z = -2,18; p = 0,03 | U = 40,00; Z = -1,45; p = 0,15 |
1 и 3 | U = 6,00; Z = -3,53; p = 0,00 | U = 4,00; Z = -3,70; p = 0,00 | U = 14,50; Z = -3,06; p = 0,00 | U = 30,00; Z = -2,18; p = 0,03 | U = 40,00; Z = -1,45; p = 0,15 |
1 и 4 | U = 3,00; Z = -3,79; p = 0,00 | U = 3,00; Z = -3,79; p = 0,00 | U = 13,50; Z = -3,07; p = 0,00 | U = 35,00; Z = -1,83; p = 0,07 | U = 40,00; Z = -1,45; p = 0,15 |
1 и 5 | U = 0,00; Z = -3,94; p = 0,00 | U = 0,00; Z = -3,97; p = 0,00 | U = 2,00; Z = -3,89; p = 0,00 | U = 25,00; Z = -2,50; p = 0,01 | U = 40,00; Z = -1,45; p = 0,15 |
1 и 6 | U = 10,50; Z = -3,28; p = 0,00 | U = 6,00; Z = -3,57; p = 0,00 | U = 29,00; Z = -1,97; p = 0,05 | U = 30,00; Z = -2,17; p = 0,03 | U = 40,00; Z = -1,45; p = 0,15 |
1 и 7 | U = 9,00; Z = -3,34; p = 0,00 | U = 6,00; Z = -3,57; p = 0,00 | U = 14,00; Z = -3,06; p = 0,00 | U = 25,00; Z = -2,50; p = 0,01 | U = 45,00; Z = -1,00; p = 0,32 |
1 и 8 | U = 4,50; Z = -3,61; p = 0,00 | U = 3,00; Z = -3,75; p = 0,00 | U = 8,00; Z = -3,45; p = 0,00 | U = 15,00; Z = -3,14; p = 0,00 | U = 40,00; Z = -1,45; p = 0,15 |
1 и 9 | U = 4,50; Z = -3,59; p = 0,00 | U = 2,00; Z = -3,82; p = 0,00 | U = 2,50; Z = -3,85; p = 0,00 | U = 15,00; Z = -3,16; p = 0,00 | U = 40,00; Z = -1,45; p = 0,15 |
1 и 10 | U = 25,00; Z = -2,19; p = 0,03 | U = 10,00; Z = -3,56; p = 0,00 | U = 24,50; Z = -2,30; p = 0,02 | U = 35,00; Z = -1,83; p = 0,07 | U = 45,00; Z = -1,00; p = 0,32 |
1 и 11 | U = 9,00; Z = -3,34; p = 0,00 | U = 5,00; Z = -3,63; p = 0,00 | U = 9,00; Z = -3,44; p = 0,00 | U = 35,00; Z = -1,83; p = 0,07 | U = 40,00; Z = -1,45; p = 0,15 |
1 и 12 | U = 6,00; Z = -3,53; p = 0,00 | U = 5,00; Z = -3,63; p = 0,00 | U = 13,50; Z = -3,07; p = 0,00 | U = 30,00; Z = -2,18; p = 0,03 | U = 40,00; Z = -1,45; p = 0,15 |
1 и 13 | U = 10,50; Z = -3,28; p = 0,00 | U = 7,00; Z = -3,54; p = 0,00 | U = 24,00; Z = -2,33; p = 0,02 | U = 25,00; Z = -2,50; p = 0,01 | U = 45,00; Z = -1,00; p = 0,32 |
1 и 14 | U = 6,00; Z = -3,53; p = 0,00 | U = 3,00; Z = -3,79; p = 0,00 | U = 9,00; Z = -3,44; p = 0,00 | U = 30,00; Z = -2,18; p = 0,03 | U = 40,00; Z = -1,45; p = 0,15 |
1 и 15 | U = 3,00; Z = -3,74; p = 0,00 | U = 2,00; Z = -3,90; p = 0,00 | U = 9,00; Z = -3,44; p = 0,00 | U = 25,00; Z = -2,50; p = 0,01 | U = 40,00; Z = -1,45; p = 0,15 |
1 и 16 | U = 0,00; Z = -4,06; p = 0,00 | U = 0,00; Z = -4,05; p = 0,00 | U = 8,50; Z = -3,44; p = 0,00 | U = 20,00; Z = -2,83; p = 0,00 | U = 40,00; Z = -1,45; p = 0,15 |
Полученные данные попарных сравнений показали, что на I и II этапах во всех исследуемых группах выраженность воспаления в мышечной ткани была больше, чем в группе с введением 0,9% раствора хлорида натрия. Это подтверждает развитие воспалительной реакции в местах введения МА по сравнению с контрольной группой. На IV этапе (14-е сут.) воспалительные изменения регрессировали и статистических различий по сравнению с плацебо не было только в группах, где вводили 1,5% лидокаин, 0,25% и 0,5% левобупивакаин. На V этапе (21-е сут.) статистических различий при сравнении с 1-й группой уже не было ни в одной исследуемой группе.
Таким образом, результаты оценки показали развитие воспалительных изменений в местах введения всех исследуемых концентраций МА. Эти изменения по сравнению с введением 0,9% раствора хлорида натрия частично регрессировали к 14-м, а различия с контрольной группой полностью исчезали к 21-м сут.
Оценка дисперсии показателя воспалительных изменений мышечной ткани в каждой группе на этапах исследования была проведена с помощью статистического анализа множественных сравнений по критерию Краскела-Уоллиса. Было определено наличие статистических различий на этапах исследования в изменении значений воспаления мышечной ткани каждой исследуемой концентрации МА (табл. 10).
Таблица 10. Статистические показатели анализа множественных сравнений воспалительных изменений в двухглавой мышце внутри исследуемой группы на этапах исследования (Kruskal-Wallis, Н, р)
Table 10. Statistical indicators of the analysis of multiple comparisons of inflammatory changes in the biceps muscle within the study group at the study stages (Kruskal-Wallis, Н, р)
Группа | H критерий Краскела-Уоллиса | р |
Лидокаин, 0,5% | 25,975 | 0,000 |
Лидокаин, 1% | 29,177 | 0,000 |
Лидокаин, 1,5% | 31,751 | 0,000 |
Лидокаин, 2% | 37,555 | 0,000 |
Бупивакаин, 0,25% | 20,255 | 0,000 |
Бупивакаин, 0,5% | 23,775 | 0,000 |
Бупивакаин, 0,75% | 23,958 | 0,000 |
Бупивакаин, 1% | 29,073 | 0,000 |
Левобупивакаин, 0,25% | 20,102 | 0,000 |
Левобупивакаин, 0,5% | 28,414 | 0,000 |
Левобупивакаин, 0,75% | 26,557 | 0,000 |
Ропивакаин, 0,25% | 21,305 | 0,000 |
Ропивакаин, 0,5% | 30,380 | 0,000 |
Ропивакаин, 0,75% | 30,680 | 0,000 |
Ропивакаин, 1% | 36,510 | 0,000 |
Для подробного изучения наличия статистических различий показателя воспалительных изменений мышечной ткани последовательно проведëн попарный анализ с помощью непараметрического критерия Mann-Whitney, скорректированного для апостериорных сравнений. Статистическая значимость апостериорных сравнений с учëтом количества групп сравнений принята р < 0,005 (табл.11).
Таблица 11. Статистические показатели апостериорных сравнений оценки воспалительных изменений в двухглавой мышце внутри исследуемой группы на этапах исследования (Mann-Whitney, U, Z, р)
Table 11. Statistical indicators of a posteriori comparisons assessment of inflammatory changes in the biceps muscle within the study group at the study stages (Mann-Whitney, U, Z, р)
| Сравниваемые этапы исследования (U, Z, p) | |||||||||
I и II | I и III | I и IV | I и V | II и III | II и IV | II и V | III и IV | III и V | IV и V | |
Лидокаин, 0,5% | 40,00; -0,95; 0,342 | 24,00; -2,44; 0,015 | 12,00; -3,13; 0,001 | 6,00;-3,57; 0,000 | 32,00; -1,95; 0,051 | 16,00; -2,95; 0,003 | 8,00; -3,52; 0,000 | 30,00; -1,78; 0,075 | 20,00; -2,62; 0,009 | 40,00; -0,95; 0,342 |
Лидокаин, 1% | 50,00; 0,00; 1,000 | 21,00; -2,46; 0,014 | 8,00; -3,38; 0,001 | 4,00; -3,70; 0,000 | 21,00; -2,46; 0,014 | 8,00; -3,38; 0,001 | 4,00; -3,70; 0,000 | 28,00; -1,89; 0,058 | 19,00; -2,64; 0,008 | 40,00; -0,95; 0,342 |
Лидокаин, 1,5% | 45,00; -0,50; 0,615 | 23,00; -2,29; 0,022 | 3,00; -3,79; 0,000 | 2,00; -3,90; 0,000 | 27,00; -1,93; 0,054 | 4,50; -3,65; 0,000 | 3,00; -3,79; 0,000 | 20,50; -2,43; 0,015 | 17,00; -2,74; 0,006 | 45,00; -0,50; 0,615 |
Лидокаин, 2% | 45,00; -0,44; 0,661 | 18,00; -2,76; 0,006 | 3,00; -3,69; 0,000 | 0,00; -3,98; 0,000 | 15,00; -2,94; 0,003 | 2,50; -3,71; 0,000 | 0,00; -3,97; 0,000 | 15,00; -2,82; 0,005 | 4,00; -3,70; 0,002 | 34,00; -1,45; 0,148 |
Бупивакаин, 0,25% | 45,00; -0,46; 0,648 | 27,50; -1,85; 0,064 | 19,00; -2,55; 0,011 | 7,00; -3,54; 0,000 | 25,00; -2,03; 0,043 | 17,00; -2,68; 0,007 | 6,00; -3,57; 0,000 | 43,50; -0,55; 0,584 | 33,00; -1,52; 0,127 | 39,00; -1,04; 0,300 |
Бупивакаин, 0,5% | 50,00; 0,00; 1,000 | 34,00; -1,39; 0,165 | 20,00; -2,47; 0,014 | 3,00; -3,83; 0,000 | 34,00; -1,39; 0,165 | 20,00; -2,47; 0,014 | 3,00; -3,83; 0,000 | 34,00; -1,33; 0,185 | 14,00; -3,06; 0,002 | 29,50; -1,93; 0,053 |
Бупивакаин, 0,75% | 50,00; 0,00; 1,000 | 35,00; -1,23; 0,218 | 19,50; -2,47; 0,013 | 3,00; -3,75; 0,000 | 35,00; -1,23; 0,218 | 19,50; -2,47; 0,013 | 3,00; -3,75; 0,000 | 34,00; -1,31; 0,190 | 11,00; -3,17; 0,002 | 23,00; -2,29; 0,022 |
Бупивакаин, 1% | 46,00; -0,34; 0,737 | 35,00; -1,26; 0,208 | 14,50; -2,86; 0,004 | 3,00; -3,73; 0,000 | 30,00; -1,70; 0,089 | 11,00; -3,12; 0,002 | 2,00; -3,82; 0,000 | 22,50; -2,32; 0,021 | 12,00; -3,63; 0,002 | 24,00; -2,24; 0,025 |
Левобупивакаин, 0,25% | 40,00; -1,45; 0,146 | 44,00; -0,54; 0,588 | 25,00; -2,19; 0,028 | 15,0; -3,07; 0,001 | 35,00; -1,50; 0,134 | 15,00; -3,20; 0,001 | 5,00; -3,94; 0,000 | 33,50; -1,42; 0,156 | 24,50; -2,30; 0,021 | 40,00; -1,09; 0,276 |
Левобупивакаин, 0,5% | 45,00; -0,44; 0,661 | 37,00; -1,17; 0,240 | 9,00; -3,34; 0,001 | 6,00; -3,57; 0,000 | 32,50; -1,53; 0,125 | 7,50; -3,43; 0,001 | 5,00; -3,63; 0,000 | 17,00; -2,77; 0,006 | 13,00; -3,09; 0,002 | 45,00; -0,50; 0,615 |
Левобупивакаин, 0,75% | 45,00; -0,44; 0,661 | 31,00; -1,59; 0,112 | 8,00; -3,38; 0,001 | 4,00; -3,70; 0,000 | 35,00; -1,26; 0,208 | 10,00; -3,24; 0,001 | 5,00; -3,63; 0,000 | 24,00; -2,14; 0,032 | 17,00; -2,74; 0,006 | 40,00; -0,95; 0,342 |
Ропивакаин, 0,25% | 50,00; 0,00; 1,000 | 31,00; -1,59; 0,111 | 22,50; -2,31; 0,021 | 3,50; -3,83; 0,000 | 31,00; -1,59; 0,111 | 22,50; -2,31; 0,021 | 3,50; -3,83; 0,000 | 43,00; -0,58; 0,565 | 24,00; -2,33; 0,020 | 29,50; -1,93; 0,053 |
Ропивакаин, 0,5% | 45,00; -0,46; 0,648 | 28,00; -1,89; 0,058 | 8,00; -3,38; 0,001 | 4,00; -3,70; 0,000 | 23,50; -2,26; 0,024 | 6,00 -3,53; 0,000 | 3,00; -3,79; 0,000 | 21,00; -2,46; 0,014 | 13,00; -3,09; 0,002 | 40,00; -0,95; 0,342 |
Ропивакаин, 0,75% | 46,00; -0,40; 0,689 | 18,00; -2,67; 0,008 | 9,50; -3,24; 0,001 | 2,00; -3,85; 0,000 | 19,00; -2,64; 0,008 | 10,00; -3,24; 0,001 | 2,00; -3,90; 0,000 | 29,50; -1,73; 0,084 | 13,00; -3,09; 0,002 | 34,00; -1,45; 0,148 |
Ропивакаин, 1% | 45,00; -0,61; 0,542 | 13,50; -3,17; 0,002 | 4,50; -3,72; 0,000 | 0,00; -4,11; 0,000 | 12,00; -3,20; 0,001 | 4,00; -3,69; 0,000 | 0,00; -4,05; 0,000 | 30,50; -1,64; 0,102 | 12,00; -3,13; 0,002 | 29,00; -1,84; 0,066 |
Отсутствие статистических различий между I и II этапами свидетельствует о том, что выраженность воспалительных изменений мышечной ткани в течение этого периода времени сохранялась максимальной. Начиная с III этапа до конца исследования между первыми двумя этапами и последующими выявлены статистические различия. Если между этапами I или II и этапом III и даже IV в некоторых группах различия были ещë статистически не значимы, то по сравнению с V этапом различия были значимы во всех группах. А поскольку на последнем этапе различий в группах с введением МА и с контрольной группой не было, то это свидетельствовало о снижении воспаления и восстановлении мышечной ткани.
Выраженность воспалительных изменений носила зависимость от концентрации МА. Низкие концентрации анестетика, воздействуя на мышечную ткань, вызывали небольшую воспалительную инфильтрацию в двуглавой мышце, высокие концентрации – более выраженные признаки воспаления. Зависимость проявлений воспалительных изменений от концентрации МА исследована с помощью построения порядковой регрессионной модели (табл. 12).
Таблица 12. Показатели порядковой регрессионной модели зависимости воспалительных изменений мышечной ткани от концентрации МА
Table 12. Indicators of the ordinal regression model of the dependence of inflammatory changes in muscle tissue on the concentration of local anesthetic
Показатели модели | Критерий согласия Пирсона | Псевдо-R-квадрат (Нэйджелкерке) | |||
Удвоенное значение логарифма функции правдоподобия | Хи-квадрат | Значимость | Хи-квадрат | Значимость | |
55,74 | 55,74 | 0,00 | 33,55 | 0,21 | 0,95 |
Статистическая значимость (р < 0,001) теста Хи-квадрат удвоенного значения логарифма функции правдоподобия свидетельствует о наличии связи между увеличением концентрации МА и нарастанием признаков воспаления в мышечной ткани. Отсутствие статистической разности наблюдаемых и ожидаемых частот значений критерия согласия (р = 0,21) говорит о достижении высокой степени приближения модели. Мера определённости (согласия) Нэйджелкерке демонстрирует долю дисперсии в 95%, объяснимой при помощи построенной порядковой регрессии.
Обсуждение
В последние годы опасения миотоксичности при проведении регионарной анестезии усилились после сообщения о миопатиях на нижней конечности после блокады приводящего канала [3, 6, 7]. Хотя в клинической практике при возникновении миотоксичности биопсийных исследований повреждения мышечной ткани не проводили, однако клинические, электрофизиологические данные согласовались с экспериментальными данными на животных. Именно экспериментальные данные позволили более глубоко изучить механизмы повреждения и восстановления мышечных клеток [11, 14–17].
В нашем исследовании было выявлено наличие миотоксичного эффекта всех концентраций исследуемых МА по сравнению с результатом введения 0,9% раствора хлорида натрия. Сходные данные о миотоксичности бупивакаина получали Yildiz et al. (2011) [17], Oz Gergin et al. (2019) [11], Zink W. et al. (2003) [18], исследуя действие его 0,5% раствора. Komorowski T. et al. (1990), изучая миотоксичность бупивакаина, лидокаина и мепивакаина в эксперименте на приматах, показали, что все анестетики обладали повреждающим действием на m. аbductor pollicis brevis, при этом исследователи выявили, что дегенерация мышечных клеток была и при низких и при высоких концентрациях МА [14].
В проведëнном нами исследовании в сравнительном аспекте с 0,9% раствором хлорида натрия выявлено повреждающее действие на мышечную ткань 4 концентраций бупивакаина, лидокаина, ропивакаина и 3 концентраций левобупивакаина. Такой объëм сравнений в рамках одного исследования в литературе мы не встретили. Наиболее приближëнная по объëму и сравнению препаратов работа была выполнена в 2011 г. исследователями Yildiz K. et al. Они изучали миотоксичность 0,5% раствора бупивакаина, 0,5% раствора левобупивакаина и 0,5% раствора левобупивакаина в сравнении с 0,9% раствором хлорида натрия [17]. Так же как и в нашей работе исследователи выявили наличие миотоксичности у всех препаратов. Преимуществом нашего диссертационного исследования стало подтверждение развития апоптоза и разрушения клеток с помощью иммуногистохимического анализа. В срезах мышечной ткани, взятых на 2-е сут. после введения анестетика, максимальное повреждение мышечных клеток было выявлено в группе с применением бупивакаина, менее выраженное было в группе с использованием ропивакаина и наиболее низкая выраженность повреждения была в группе левобупивакаина. Мы не смогли выявить статистической разницы в миотоксичности бупивакаина, ропивакаина, левобупивакаина, лидокаина при анализе срезов в окраске гематоксилин-эозином. Различия были выявлены только при сравнении пары, в которой использовали введение 1,5% раствора лидокаина и 0,75% раствора бупивакаина (см. табл. 5). Так же как и в нашей работе Yildiz K. et al. (2011) исследовали репарацию мышечной ткани. Наши данные практически совпали с результатами группы Yildiz K. et al.: на этапах 7-е и 14-е сут. в нашем исследовании, на этапе 10-х сут. в работе Yildiz K. et al. признаки повреждения мышечной ткани уменьшились, а к 20-м сут. (в нашем исследовании к 21-м сут.) полностью исчезли. В нашем исследовании остаточные признаки повреждения клеток сохранялись в группе с применением 2% раствора лидокаина, препарата, который в работе Yildiz K. et al. не исследовался [17].
В обзоре Hussain N. (2018) было предположено, что миотоксичность, по-видимому, включает в себя 3 стадии: раннюю воспалительную фазу, за которой следует дегенеративная фаза, а затем регенеративная фаза [6]. Все виды изменений связаны со значительным ухудшением функции мышцы. В большинстве исследований воспалительные клетки или маркеры определяют вместе с признаками некроза и апоптоза, объединяя их единым понятием повреждения [11, 12, 17–19]. В нашем исследовании признаки воспалительной реакции в местах введения анестетика оценивали отдельно от признаков повреждения. Все МА приводили к развитию воспалительной инфильтрации. Такие же данные о лимфоцитарной, макрофагальной инфильтрации получили McAlvin J. ч et al. (2013). Они показали, что признаки воспаления были максимальны на этапе 4 сут. после введения анестетика (хотя нужно отметить, что более раннего этапа изучено не было), а к 14-м сут. существенно уменьшились, но не исчезли полностью. Ещë одним выводом работы McAlvin J. et al. (2013) было отсутствие статистических различий в выраженности воспалительной инфильтрации между группами бупивакаина и лидокаина [10]. Мы в диссертационном исследовании при попарном сравнении сопоставимых концентраций в исследуемых группах существенных различий не увидели и выявили разницу только при сравнении 0,75% раствора бупивакаина и 1,5% раствора лидокаина. В исследовании Oz Gergin et al. (2019) признак воспаления при внутримышечном введении левобупивакаина, ропивакаина и бупивакаина оценивали прицельно. Авторы выявили наличие воспалительных изменений после введения всех 3 анестетиков, используя гистохимические методы анализа с экспрессией на интерлейкин-1, интерлейкин-6 и фактор некроза опухоли-альфа, так же как и в нашем исследовании они не смогли выявить статистически значимые различия в выраженности воспалительных изменений в мышечной ткани [11].
Заключение
Миотоксичность МА проявлялась в виде повреждающего действия и в виде развития воспалительной инфильтрации. Основным признаком повреждающего действия был апоптоз мышечных клеток. Воспалительные изменения характеризовались накоплением клеток макрофагального типа, нейтрофилов и лимфоцитов. Миотоксичностью обладали все концентрации всех исследуемых МА. Повреждающее действие, воспалительные изменения зависели от концентрации МА: чем выше была концентрация анестетика, тем более выраженны были повреждающее действие и развитие признаков воспаления. Максимальное развитие повреждающего действия было на этапах 1-й ч и 2-е сут. исследования, в дальнейшем происходило уменьшение признаков повреждения и к 21-м сут. признаки повреждения и воспаления практически полностью исчезали. Сравнительный анализ не выявил статистических различий, позволяющих однозначно сформировать рейтинг от наиболее к наименее миотоксичному препарату. При сравнительном анализе повреждающего действия статистические различия были выявлены между эквивалентными концентрациями 0,75% раствора бупивакаина и 1,5% раствора лидокаина.
Благодарности. Авторы выражают благодарность Корсаковой В.Б. за помощь в оформлении данной статьи.
Вклад авторов статьи: Концепция и дизайн исследования – Лахин Р.Е. Сбор и обработка материала – Гемуа И.А., Лахин Р.Е. Статистическая обработка – Аверьянов Д.А., Лахин Р.Е. Написание текста – Гемуа И.А., Лахин Р.Е. Редактирование – Аверьянов Д.А., Лахин Р.Е.
Об авторах
Роман Евгеньевич Лахин
ФГБВОУ ВО «Военно-медицинская академия им. С.М. Кирова» Министерства образования Российской Федерации
Автор, ответственный за переписку.
Email: doctor-lahin@yandex.ru
ORCID iD: 0000-0001-6431-439X
д. мед. н., профессор кафедры военной анестезиологии и реаниматологии
Россия, 194044, Санкт-ПетербургИ. А. Гемуа
ФГБВОУ ВО «Военно-медицинская академия им. С.М. Кирова» Министерства образования Российской Федерации
Email: doctor-lahin@yandex.ru
ORCID iD: 0000-0002-8643-252X
Россия, 194044, Санкт-Петербург
Д. А. Аверьянов
ФГБВОУ ВО «Военно-медицинская академия им. С.М. Кирова» Министерства образования Российской Федерации
Email: doctor-lahin@yandex.ru
ORCID iD: 0000-0003-4353-4953
Россия, 194044, Санкт-Петербург
Список литературы
- Kim C.H., Kim U.S. Response to: Bilateral lateral rectus myotoxicity after retrobulbar anesthesia. Indian J. Ophthalmol. 2016;64(6):473-4. doi: 10.4103/0301-4738.187685.
- Kalantzis G., Papaconstantinou D., Karagiannis D., Koutsandrea C., Stavropoulou D., Georgalas I. Post-cataract surgery diplopia: aetiology, management and prevention. Clin. Exp. Optom. 2014;97(5):407-10. doi: 10.1111/cxo.12197
- Neal J.M., Salinas F.V., Choi D.S. Local Anesthetic-Induced Myotoxicity After Continuous Adductor Canal Block. Reg. Anesth. Pain. Med. 2016;41(6):723-7. doi: 10.1097/AAP.0000000000000466.
- Rhee S.M., Chung N.Y., Jeong H.J., Oh J.H. Subacromial Local Anesthetics Do Not Interfere With Rotator Cuff Healing After Arthroscopic Repair. Am. J. Sports Med. 2018;46(5):1097-105. doi: 10.1177/0363546517753827.
- Scott N.A., Guo B., Barton P.M., Gerwin R.D. Trigger point injections for chronic non-malignant musculoskeletal pain: a systematic review. Pain Med. 2009;10(1):54-69. doi: 10.1111/j.1526-4637.2008.00526.x.
- Hussain N., McCartney C.J.L., Neal J.M., Chippor J., Banfield L., Abdallah F.W.. Local anaesthetic-induced myotoxicity in regional anaesthesia: a systematic review and empirical analysis. Br. J. Anaesth. 2018;121(4):822-841. doi: 10.1016/j.bja.2018.05.076.
- Neal J.M., Barrington M.J., Brull R. et al. The Second ASRA Practice Advisory on Neurologic Complications Associated With Regional Anesthesia and Pain Medicine: Executive Summary 2015. Reg. Anesth. Pain Med. 2015;40(5):401-30. doi: 10.1097/AAP.0000000000000286.
- Zink W., Sinner B., Zausig Y., Graf B.M. Myotoxicity of local anaesthetics: experimental myth or clinical truth? Anaesthesist. 2007; 56(2):118-127. doi: 10.1007/s00101-006-1121-5.
- Zink W., Graf B.M. Local anesthetic myotoxicity. Reg. Anesth. Pain. Med. 2004;29(4):333-40. doi: 10.1016/j.rapm.2004.02.008.
- McAlvin J.B., Reznor G., Shankarappa S.A., Stefanescu C.F., Kohane D.S. Local toxicity from local anesthetic polymeric microparticles. Anesth. Analg. 2013;116(4):794-803. doi: 10.1213/ANE.0b013e31828174a7.
- Oz Gergin O., Bayram A., Gergin I.S. et al. Comparison of myotoxic effects of levobupivacaine, bupivacaine and ropivacaine: apoptotic activity and acute effect on pro-inflammatory cytokines. Biotech. Histochem. 2019;94(4):252-260. doi: 10.1080/10520295.2018.1548711.
- Zhang C., Phamonvaechavan P., Rajan A., Poon D.Y., Topcu-Yilmaz P., Guyton D.L. Concentration-dependent bupivacaine myotoxicity in rabbit extraocular muscle. J. AAPOS. 2010;14(4):323-327. doi: 10.1016/j.jaapos.2010.05.009.
- Fayed N.A., el-Zoghby S.A. Myotoxic effects of different doses of lidocaine with or without epinephrine in rats. Egypt Dent. J. 1987;33(3):297-307.
- Komorowski T.E., Shepard B., Okland S., Carlson B.M. An electron microscopic study of local anesthetic-induced skeletal muscle fiber degeneration and regeneration in the monkey. J. Orthop. Res. 1990;8(4):495-503. doi: 10.1002/jor.1100080405.
- Benoit P.W., Yagiela A., Fort N.F. Pharmacologic correlation between local anesthetic-induced myotoxicity and disturbances of intracellular calcium distribution. Toxicol. Appl. Pharmacol. 1980;52(2):187-98. doi: 10.1016/0041-008x(80) 90105-2.
- Kapoukranidou D., Amaniti E., Kalpidis J. et al. Effect of ropivacaine infiltration on muscle regeneration: a morphometric analysis. Hippokratia. 2013;17(4):351-4.
- Yildiz K., Efesoy S.N., Ozdamar S. et al. Myotoxic effects of levobupivacaine, bupivacaine and ropivacaine in a rat model. Clin. Invest. Med. 2011;34(5):E273. Published 2011 Oct 1. doi: 10.25011/cim.v34i5.15670.
- Zink W., Seif C., Bohl J.R. et al. The acute myotoxic effects of bupivacaine and ropivacaine after continuous peripheral nerve blockades. Anesth. Analg. 2003;97(4):1173-9. doi: 10.1213/01.ane.0000080610.14265.c8.
- Park C.Y., Park S.E., Oh S.Y. Acute effect of bupivacaine and ricin mAb 35 on extraocular muscle in the rabbit. Curr .Eye Res. 2004;29(4-5):293-301. doi: 10.1080/027136804905161.
Дополнительные файлы








