Атопические поражения кожи беременных: как помочь пациенткам
- Авторы: Невозинская З.А.1, Дворянкова Е.В.2, Ткаченко О.Ю.3, Корсунская И.М.2
- 
							Учреждения: 
							- ГБУЗ «Московский научно-практический центр дерматовенерологии и косметологии» Департамента здравоохранения г. Москвы
- ФГБУН «Центр теоретических проблем физико-химической фармакологии» РАН
- ГБУЗ «Городская клиническая больница им. Ф.И. Иноземцева»
 
- Выпуск: Том 23, № 12 (2021)
- Страницы: 961-964
- Раздел: Статьи
- Статья опубликована: 15.12.2021
- URL: https://consilium.orscience.ru/2075-1753/article/view/100032
- DOI: https://doi.org/10.26442/20751753.2021.12.201257
- ID: 100032
Цитировать
Полный текст
Аннотация
Многие женщины во время беременности испытывают те или иные кожные симптомы, вызванные иммунологическими, метаболическими и другими изменениями, происходящими в организме в этот период. Одна из частых жалоб беременных – кожный зуд. Примерно в 20% случаев причиной зуда являются атопические поражения кожи беременных, гистологически неотличимые от атопического дерматита, который также склонен обостряться в период беременности. Принято считать, что эти поражения обусловлены повышенной выработкой цитокинов Th2 (интерлейкина-4, 10) в организме беременной женщины. В терапии атопических поражений кожи беременных и обострения атопического дерматита на первое место выходят топические глюкокортикостероиды и средства ухода. В случаях ограниченных высыпаний или легкой степени дерматита могут применяться только средства ухода с выраженным увлажняющим эффектом. Использование увлажняющих средств позволяет минимизировать зуд и неприятные ощущения на коже. Одним из таких средств, применяемых нами в практике, является липидовосстанавливающий крем XeraCalm A.D, чья уникальная формула не только оказывает восстанавливающий и противозудный эффекты, но и повышает естественный иммунитет кожи.
Ключевые слова
Полный текст
Беременность сопровождается глубокими иммунологическими, метаболическими, эндокринными и сосудистыми изменениями, которые делают беременных женщин восприимчивыми к изменениям кожи и придатков, как физиологическим, так и патологическим. Эти изменения являются позитивной адаптацией матери к приспособлению и поддержке плода по мере его роста и развития на протяжении всей беременности [1]. Многие исследования сосредоточены на конкретном дерматозе или других заболеваниях и состояниях, связанных с беременностью [2–6]. Однако подробные отчеты о физиологических изменениях и конкретных дерматозах беременных, а также о влиянии различных дерматозов на этих женщин в литературе немногочисленны. Существующие исследования показывают широкий диапазон вариаций частоты различных дерматозов, специфических для беременности.
Так, например, в исследование V. Panicker и соавт. включены 600 пациенток. Возраст исследуемой популяции варьировал от 18 до 38 лет, при этом большинство беременных были в возрастной группе 20–25 лет. Для большинства –370 (61,67%) – пациенток роды были первыми; 230 (38,33%) пациенток были мультигравидными. Большинство (400, 66,67%) случаев кожных изменений представлено во II триместре. Наиболее частой жалобой был кожный зуд (113, 18,83%), за которым следовали поражения кожи (48, 8%) [7].
В своей практике мы чаще всего наблюдаем обострение атопического дерматита (АтД) или атопические поражения кожи у беременных (АПКБ).
АПКБ – это доброкачественное зудящее состояние, которое характеризуется экзематозными или папулезными поражениями у пациентов с АтД в анамнезе или предрасположенностью к нему или с новым началом АтД во время беременности. Термин АПКБ охватывает гетерогенную группу зудящих состояний во время беременности, также известных как почесуха во время беременности, зудящий фолликулит во время беременности и экзема во время беременности. AПКБ – самая частая причина зуда во время беременности [8, 9] с распространенностью 5–20%. АПКБ страдают 2 группы пациенток: одна, у которых во время беременности либо впервые возникают атопические изменения кожи, либо после длительной ремиссии, и вторая – больные, страдающие обострением ранее существовавшего АтД. АПКБ – дерматит, который клинически и гистологически неотличим от АтД, но считается, что он является уникальным для беременности, поскольку 80% пациенток ранее не имели в анамнезе кожных заболеваний [8, 10].
Во время беременности иммунная система смещена в сторону иммунного ответа, в котором доминирует Т-хелпер 2 (Th2), чтобы вызвать толерантность у плода [11]. Считается, что патогенез АПКБ и позднее появление симптомов вызваны специфическими для беременности иммунологическими изменениями. Во время беременности у женщин наблюдается изменение структуры Th-клеток со сниженной выработкой цитокинов Th1 [интерлейкина (ИЛ)-2, 12, интерферона γ] и повышенным содержанием цитокинов Th2 (ИЛ-4, 10) [11]. Считается, что реакция Th2 отвечает за изменения кожи, наблюдаемые у беременных женщин.
Сам по себе АтД также является заболеванием, вызываемым Th2, и, таким образом, женщины с АтД имеют повышенный риск возникновения кожных заболеваний во время беременности. АтД обычно обостряется во II или III триместре [12].
Симптомы АПКБ обычно проявляются в начале I или II триместра и, как правило, повторяются при последующих беременностях из-за атопического фона. Многие женщины с АПКБ имеют повышенный уровень иммуноглобулина Е в сыворотке, положительный тест на аллергены, передающиеся по воздуху, и семейный анамнез атопических заболеваний.
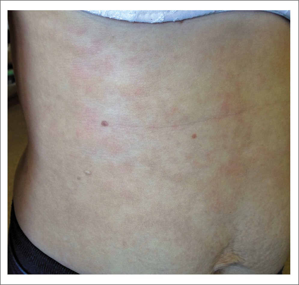
Основными клиническими признаками АПКБ являются кожный зуд, экскориации и экзематозные поражения кожи. У 2/3 наблюдаются широко распространенные экзематозные изменения, поражающие типичные атопические участки, такие как лицо, шея и сгибательные поверхности конечностей, а у 1/3 – небольшие зудящие эритематозные папулы на туловище (рис. 1) и конечностях (рис. 2). Расчесывание вызывает ссадины и может привести к вторичным кожным инфекциям. Высыпания обычно проходят после родов.
Рис. 1. АПКБ на туловище.
Рис. 2. АПКБ на конечностях.
Диагноз в основном основывается на клинических характеристиках. Патогномоничных данных, специфичных для АПКБ, нет, но лабораторные тесты могут выявить повышенный уровень иммуноглобулина E в сыворотке на 20–70% [8].
АПКБ не связано с риском для плода, за исключением неопределенного риска развития АтД у ребенка.
Для лечения АПКБ так же, как и при терапии АтД, предпочтение отдается топической терапии. Вопреки тому факту, что АтД имеет тенденцию к ухудшению во время беременности, исследование реестра, в котором участвовала 10 441 беременная, выявило картину повышенного использования топических глюкокортикостероидов и лечения ультрафиолетовым светом при одновременном снижении использования топических ингибиторов кальциневрина и системных методов лечения по сравнению с использованием до беременности. Это наблюдение может отражать тенденцию женщин переносить больше обострений АтД во время беременности в сочетании с более осторожным и ограниченным подходом к лечению [10].
При наличии ограниченных высыпаний или легкой степени выраженности симптомов АПКБ можно остановиться на использовании только средств ухода с выраженным противозудным действием. В нашей практике мы рекомендуем всем нашим пациенткам уделить большее внимание средствам ухода с выраженным увлажняющим эффектом. Как показывает собственный опыт, у беременных часто наблюдается физиологический ксероз, не обязательно сопровождающийся кожными высыпаниями. При специфических дерматозах беременных увлажненность кожных покровов снижается примерно в 3 раза [13].
На наш взгляд, наиболее оптимальным средством ухода для этой группы пациентов является липидовосстанавливающий крем XeraCalm A.D, который восстанавливает защитный барьер кожи и уменьшает интенсивность зуда, гиперемию, а также активирует естественный иммунитет кожи.
Эффективность средства обеспечивается его уникальным составом. Комплекс I-modulia®, первый биотехнологический активный ингредиент, полученный из микроорганизма Aquaphilus dolomiae – уникального эндемика термальной воды Avène, имеет выраженную регуляторную активность в отношении воспаленных кератиноцитов, особенно при PAR-2-зависимом воспалении, связанном с зудом, нарушением кожного барьера, врожденным и адаптивным иммунным ответом. Наличие метаболитов A. dolomiae в составе крема стимулирует защитные механизмы кожи, способствует снижению интенсивности зуда. Также экстракт активен в отношении Staphylococcus aureus: ограничивает распространение микроорганизмов на коже [14]. Все это может предупредить присоединение вторичной инфекции. Входящие в состав крема липиды Cer-omega, похожие на естественные липиды кожи, питают и восстанавливают гидролипидный барьер, нормализуя увлажненность кожных покровов. Термальная вода Avène в составе средства отвечает за снятие раздражения и смягчение кожи.
Во время беременности организм женщины претерпевает множество изменений, среди них и изменения кожи. Нередко возникают проблемы, требующие участия дерматолога. К одной из таких проблем относятся атопические поражения кожи и ксероз. Задача специалиста – подобрать рациональную терапию и средства ухода, способные облегчить состояние матери и не оказать негативного влияния на плод.
Раскрытие информации. Авторы декларируют отсутствие явных и потенциальных конфликтов интересов, связанных с публикацией настоящей статьи.
Disclosure. The authors declare that they have no competing interests.
Вклад авторов. Авторы декларируют соответствие своего авторства международным критериям ICMJE. Все авторы в равной степени участвовали в подготовке публикации: разработка концепции статьи, получение и анализ фактических данных, написание и редактирование текста статьи, проверка и утверждение текста статьи.
Authors’ contribution. The authors declare the compliance of their authorship according to the international ICMJE criteria. All authors made a substantial contribution to the conception of the work, acquisition, analysis, interpretation of data for the work, drafting and revising the work, final approval of the version to be published and agree to be accountable for all aspects of the work.
Об авторах
Зофия Анатольевна Невозинская
ГБУЗ «Московский научно-практический центр дерматовенерологии и косметологии» Департамента здравоохранения г. Москвы
							Автор, ответственный за переписку.
							Email: nezosia@mail.ru
				                	ORCID iD: 0000-0002-5913-9635
				                																			                								
канд. мед. наук, врач-дерматовенеролог
Румыния, МоскваЕвгения Викторовна Дворянкова
ФГБУН «Центр теоретических проблем физико-химической фармакологии» РАН
														Email: nezosia@mail.ru
				                	ORCID iD: 0000-0002-2458-419X
				                																			                								
д-р мед. наук, вед. науч. сотр.
Россия, МоскваОльга Юрьевна Ткаченко
ГБУЗ «Городская клиническая больница им. Ф.И. Иноземцева»
														Email: nezosia@mail.ru
				                	ORCID iD: 0000-0001-8037-9898
				                																			                								
канд. мед. наук, зав. женской консультацией №2
Россия, МоскваИрина Марковна Корсунская
ФГБУН «Центр теоретических проблем физико-химической фармакологии» РАН
														Email: nezosia@mail.ru
				                	ORCID iD: 0000-0002-6583-0318
				                																			                								
д-р мед. наук, проф., зав. лаб.
Россия, МоскваСписок литературы
- Kroumpouzos G, Cohen LM. Dermatoses of pregnancy. J Am Acad Dermatol. 2001;45:1-19.
- Pennoyer JW, Grin CM, Driscoll MS. Changes in size of melanocytic nevi during pregnancy. J Am Acad Dermatol. 1997;36:378-82.
- Cohen LM, Capeless EL, Krusinki PA. Pruritc urticarial papules and plaques of pregnancy and its relationship to maternal fetal weight gain and twin pregnancy. Arch Dermatol. 1989;125:1534-6. doi: 10.1001/archderm.1989.01670230076012
- Shornick JK, Bangert JL, Freeman RG. Herpes gestationis: clinical and histological features of 28 cases. J Am Acad Dermatol. 1983;8:214-24.
- Esteve E, Saudeau L, Pierre F, et al. Physiological cutaneous signs in normal pregnancy, a study of 60 pregnant women. Ann Dermatol Venereol. 1994;121:227-31.
- Kroumpouzos G, Cohen LM. Pruritic folliculitis of pregnancy. J Am Acad Dermatol. 2000;43:131-4.
- Panicker VV, Riyaz N, Balachandran PK. A clinical study of cutaneous changes in pregnancy. J Epidemiol Glob Health. 2017;7(1):63-70. doi: 10.1016/j.jegh.2016.10.002
- Ambros-Rudolph CM, Müllegger RR, Vaughan-Jones SA, et al. The specific dermatoses of pregnancy revisited and reclassified: results of a retrospective two-center study on 505 pregnant patients. J Am Acad Dermatol. 2006;54(3):395-404. doi: 10.1016/j.jaad.2005.12.012
- Ambros-Rudolph CM. Dermatoses of pregnancy – clues to diagnosis, fetal risk and therapy. Ann Dermatol. 2011;23(3):265-75. doi: 10.5021/ad.2011.23.3.265
- Hamann CR, Egeberg A, Wollenberg A, et al. Pregnancy complications, treatment characteristics and birth outcomes in women with atopic dermatitis in Denmark. J Eur Acad Dermatol Venereol. 2019;33(3):577-87.
- Wilder RL. Hormones, pregnancy, and autoimmune diseases. Ann N Y Acad Sci. 1998;840:45-50.
- Koutroulis I, Papoutsis J, Kroumpouzos G. Atopic dermatitis in pregnancy: current status and challenges. Obstet Gynecol Surv. 2011;66(10):654-63.
- Корсунская И.М., Дворянкова Е.В., Невозинская З.А. Специфика ухода за кожей при дерматозах во время беременности. Аллергология и иммунология в педиатрии. 2017;2(49):42-4 [Korsunskaia IM, Dvoriankova EV, Nevozinskaia ZA. Spetsifika ukhoda za kozhei pri dermatozakh vo vremia beremennosti. Allergologiia i immunologiia v pediatrii. 2017;2(49):42-4 (in Russian)].
- Aries MF, Hernandez-Pigeon H, Vaissière C, et al. Anti-inflammatory and immunomodulatory effects of Aquaphilus dolomiae extract on in vitro models. Clin Cosmet Investig Dermatol. 2016;9:421-34. doi: 10.2147/CCID.S113180
 
				
			 
						 
					 
									





