Особенности клинико-рентгенологических проявлений и диагностики коинфекции COVID-19, туберкулеза органов дыхания и оппортунистических инфекций легких у больных на поздних стадиях ВИЧ-инфекции с иммунодефицитом: дизайн проспективного исследования
- Авторы: Мишин В.Ю.1,2, Мишина А.В.1,2, Лежнев Д.А.1, Собкин А.Л.2, Сергеева Н.В.2, Кононец А.С.1, Бабаева И.Ю.3
- 
							Учреждения: 
							- ФГБОУ ВО «Московский государственный медико-стоматологический университет им. А.И. Евдокимова» Минздрава России
- ГБУЗ «Туберкулезная клиническая больница №3 им. проф. Г.А. Захарьина» Департамента здравоохранения г. Москвы
- ФГБОУ ВО «Кубанский государственный медицинский университет» Минздрава России
 
- Выпуск: Том 24, № 3 (2022)
- Страницы: 150-156
- Раздел: Статьи
- Статья опубликована: 19.03.2022
- URL: https://consilium.orscience.ru/2075-1753/article/view/108057
- DOI: https://doi.org/10.26442/20751753.2022.3.201505
- ID: 108057
Цитировать
Полный текст
Аннотация
Цель. Изучить особенности клинико-рентгенологических проявлений и диагностики коинфекции COVID-19, туберкулеза органов дыхания и оппортунистических инфекций легких у больных на поздних стадиях ВИЧ-инфекции с иммунодефицитом.
Материалы и методы. В проспективное исследование включены 29 больных с коинфекцией COVID-19, туберкулезом органов дыхания и оппортунистическими инфекциями легких на поздних стадиях ВИЧ-инфекции с иммунодефицитом (1-я группа) и 29 пациентов, аналогичных по всем параметрам, но без COVID-19 (2-я группа). Всем больным проводилось клинико-лабораторное, лучевое и бронхологическое исследование, а для выявления возбудителей коинфекции – микробиологическое, иммунологическое, молекулярно-генетическое, цитологическое и гистологическое исследования диагностического материала респираторного тракта, спинномозговой и плевральной жидкости, крови, мочи и кала. Статистическую обработку данных осуществляли с помощью программы Microsoft Office Excel 2010 с вычислением среднего показателя в группе и стандартной ошибки среднего, доверительного интервала.
Результаты. Установлено, что коинфекция COVID-19, туберкулеза органов дыхания и оппортунистических инфекций легких у больных на поздних стадиях ВИЧ-инфекции с иммунодефицитом характеризуется выраженным синдромом интоксикации, бронхолегочными проявлениями и симптомами поражения других органов и систем, что обусловлено генерализацией туберкулеза с внелегочными поражениями и развитием оппортунистических инфекций легких, равно как и у пациентов без COVID-19. На компьютерной томограмме органов грудной клетки при данной коинфекции визуализируются синдромы диссеминации, аденопатии и патологии легочного рисунка (представлен уплотнением интерстициальной ткани по типу «матового стекла»), что связано с одновременным наслоением различных патологий и затрудняет их дифференциальную диагностику. Это определяет сходство клинико-рентгенологических проявлений у пациентов обеих групп и требует комплексных микробиологических и молекулярно-генетических методов исследования для выявления конкретных возбудителей с целью назначения своевременного лечения.
Заключение. Больные с коинфекцией COVID-19, туберкулеза органов дыхания и оппортунистических инфекций легких на поздних стадиях ВИЧ-инфекции с иммунодефицитом представляют собой группу высокого риска заражения здорового населения с учетом их социальной дезадаптации и неприверженности к обследованию и лечению. Это требует активной диагностики COVID-19 у всех больных туберкулезом органов дыхания и ВИЧ-инфекцией, состоящих на учете в кабинете противотуберкулезной помощи ВИЧ-инфицированным в противотуберкулезном диспансере, с целью их экстренной изоляции и лечения.
Полный текст
Обоснование
Коинфекция туберкулеза и ВИЧ-инфекции является классической моделью одновременного развития сочетанной патологии, когда по мере прогрессирования иммунодефицита присоединяются оппортунистические заболевания, вирусные гепатиты и сопутствующие заболевания, соматические и психоневрологические болезни, что сопровождается высокой летальностью, несмотря на применение антиретровирусной терапии (АРВТ) [1]. Это было подтверждено нашими приоритетными клинико-рентгенологическими исследованиями у больных при коинфекции туберкулеза органов дыхания (ТОД) и оппортунистических инфекций легких (ОИЛ), таких как бактериальная, грибковая, пневмоцистная и вирусная пневмония и микобактериоз легких у больных на поздних стадиях ВИЧ- инфекции с иммунодефицитом [2]. При этом не установлено существенных различий клинико-рентгенологических проявлений данной коинфекции по отдельным ОИЛ, и диагностика возможна только на основе разработанного алгоритма микробиологических и молекулярно-генетических методов исследования, что необходимо для своевременного назначения комплексного индивидуализированного лечения с целью снижения летальности данной категории пациентов [3].
В настоящее время в иностранных и отечественных публикациях имеются весьма противоречивые сведения об отдельных клинических наблюдениях сочетания COVID-19 и ВИЧ-инфекции [4–13] или туберкулеза [14–16], в них представлены данные об особенностях клинико-рентгенологических проявлений сочетанной патологии как в отсутствие, так и при влиянии COVID-19 на клинические проявления и течение ВИЧ-инфекции или туберкулеза.
COVID-19 создал определенные проблемы у больных с коинфекцией ТОД, ОИЛ и ВИЧ-инфекцией на поздних стадиях с иммунодефицитом в плане диагностики, оценки клинико-рентгенологических признаков, своевременного адекватного этиологического лечения и противоэпидемических мероприятий. Ведение данной категории пациентов требует новых знаний об особенностях клинико-рентгенологических проявлений и диагностики, а также мер индивидуальной и коллективной защиты, при этом подобные публикации в зарубежной и отечественной литературе отсутствуют.
Цель исследования – изучить особенности клинико- рентгенологических проявлений и диагностики коинфекции COVID-19, ТОД и ОИЛ у больных на поздних стадиях ВИЧ-инфекции с иммунодефицитом.
Материалы и методы
Проведено проспективное исследование 58 больных, поступивших в Туберкулезную клиническую больницу №3 им. проф. Г.А. Захарьина, которые были разделены на 1-ю (основную) и 2-ю группу (сравнения).
В 1-ю группу вошли 29 пациентов с коинфекцией COVID-19, лабораторно подтвержденного ТОД (микобактерии туберкулеза – МБТ+) и ОИЛ, 4В-стадией ВИЧ- инфекции в фазе прогрессирования при отсутствии АРВТ в возрасте 26–56 лет. Из них мужчин было 19 (65,5±8,8%), женщин – 10 (34,5±8,8%).
Во 2-ю группу вошли 29 аналогичных больных, отобранных по принципу «копия–пара» и полностью идентичных больным 1-й группы с практически сходными возрастными, половыми, социальными и клинико-лабораторными параметрами, но без COVID-19.
Материал из респираторного тракта (мазки из носо- и ротоглотки, мокрота и эндотрахеальный аспират) брали для этиологической диагностики COVID-19, выполняли амплификацию РНК SARS-CoV-2 с обратной транскрипцией и флуоресцентной детекцией методом полимеразной цепной реакции (ПЦР) в режиме реального времени [17].
Культура МБТ у больных была получена из диагностического материала респираторного тракта (мокрота, бронхоальвеолярный лаваж, биопсийный материал, полученный при бронхоскопии и пункциях внутригрудных лимфатических узлов) и других органов (кровь, моча, кал и пункции периферических лимфатических узлов) при посеве на плотную среду Левенштейна–Йенсена и в автоматизированной системе BACTEC MGIT 960, с определением лекарственной устойчивости полученной культуры к противотуберкулезным препаратам (ПТП) методом абсолютных концентраций [18].
Для этиологической диагностики ОИЛ, развивающихся на поздних стадиях ВИЧ-инфекции с иммунодефицитом и вызываемых Streptococcus pneumoniae, Haemophilus influenzae, Staphylococcus aureus, Candida albicans, Mycobacterium avium complex, Pneumocystis jirovecii, Herpes simplex virus 1 и Cytomegalovirus hominis, применяли бактериологические, вирусологические, иммунологические методы и ПЦР диагностического материала из респираторного тракта, полученного при бронхоальвеолярном лаваже и бронхоскопии. Полученные культуры Str. pneumoniae, H. influenzae и S. aureus исследовали на лекарственную устойчивость к антибиотикам широкого спектра действия – АШСД (диско-диффузионным методом или методом серийных разведений) [19].
Всем пациентам проводилось комплексное клиническое, лабораторное, иммунологическое (определение количества CD4+-лимфоцитов методом проточной цитофлуориметрии и вирусной нагрузки по числу копий РНК ВИЧ в периферической крови) и лучевое исследование, включавшее компьютерную томографию (КТ), магнитно-резонансную томографию и ультразвуковое исследование внутренних органов.
Статистическую обработку данных осуществляли при помощи программы Microsoft Office Excel 2019 (США) с вычислением среднего показателя в группе и стандартной ошибки среднего, доверительного интервала (ДИ). Критерий значимости p определяли по таблице Стьюдента. Различия между средними арифметическими показателями считали статистически значимыми при p<0,05.
Соответствие принципам этики. Протокол исследования был одобрен локальным этическим комитетом ФГБОУ ВО «Московский государственный медико-стоматологический университет им. А.И. Евдокимова», протокол №61 от 16.09.2021 г. Одобрение и процедуру проведения протокола получали по принципам Хельсинкской конвенции.
Результаты
У всех 58 больных 1-й и 2-й групп ВИЧ-инфекция была первым заболеванием, на момент диагностики у 42 (72,4±5,9%) пациентов установлен парентеральный путь заражения, у 16 (27,6±5,9%) – половой. Все они состояли на учете в СПИД-центре, который практически не посещали ввиду социальной дезадаптации и отсутствия приверженности к обследованию и лечению, АРВТ практически не получали, не работали и не имели семьи. Все пациенты страдали наркозависимостью, употребляли алкогольные напитки и курили табачные изделия. У всех больных диагностированы сопутствующие заболевания: вирусный гепатит В или С и у 19 (32,8±6,2%) – хроническая обструктивная болезнь легких (ХОБЛ).
ТОД у 58 больных был выявлен через 6–9 лет от момента диагностики ВИЧ-инфекции при обращении с симптомами острого воспалительного респираторного заболевания в лечебные учреждения первичной медико-санитарной помощи и подтвержден при комплексном обследовании в противотуберкулезном диспансере, где в диагностическом материале респираторного тракта были обнаружены МБТ. При этом социальный статус пациентов практически не изменился, они продолжали оставаться наркозависимыми, болели вирусным гепатитом В или С, но число больных ХОБЛ возросло до 70,7±6,0% случаев (n=41).
Больные были госпитализированы в туберкулезную больницу в специализированное отделение для больных туберкулезом и ВИЧ-инфекцией, где в приемном отделении у 29 пациентов 1-й группы был диагностирован COVID-19, и они были изолированы в специализированное обсервационное отделение – «красную зону». Во 2-й группе 29 больных, у которых не был верифицирован COVID-19, госпитализированы в отделение больных туберкулезом и ВИЧ-инфекцией.
Количество CD4+-лимфоцитов в 1 мкл крови у больных в наблюдаемых группах представлено в табл. 1.
| Таблица 1. Число CD4+-лимфоцитов в 1 мкл крови у больных в наблюдаемых группах (M±m) | |||
| Число CD4+-лимфоцитов в 1 мкл крови | 1-я группа (n=29), абс. (%) | 2-я группа (n=29), абс. (%) | p | 
| 50–30 | 3 (10,3±5,6) | 4 (13,8±6,4) | >0,05 | 
| 29–20 | 9 (31,0±8,5) | 10 (34,5±8,8) | >0,05 | 
| 19–10 | 10 (34,5±8,8) | 9 (31,0±8,5) | >0,05 | 
| <9 | 7 (24,1±7,9) | 6 (20,7±7,5) | >0,05 | 
Как следует из табл. 1, в наблюдаемых группах число CD4+-лимфоцитов в 1 мкл крови практически не различалось. В 1-й группе в диапазоне 50–30 клеток в 1 мкл оно находилось у 10,3% больных, 29–20 – у 31,0%, 19–10 – у 34,5% и менее 9 – у 25,9%; во 2-й группе: у 13,8, 34,5, 31,0 и 20,7% пациентов соответственно (р>0,05). Среднее число CD4+-лимфоцитов в 1 мкл крови также было одинаковым и составляло у больных 1-й группы 24,1±0,64, 2-й – 29,7±0,54 клеток в 1 мкл (р>0,05). При этом вирусная нагрузка у пациентов в обеих наблюдаемых группах была более 500 000 РНК ВИЧ-копий на 1 мл крови. Полученные результаты у пациентов обеих групп определяют у них выраженный иммунодефицит и соответствуют 4B-стадии ВИЧ-инфекции в фазе прогрессирования и при отсутствии АРВТ.
Таким образом, коинфекция COVID-19 и ТОД у больных на поздних стадиях ВИЧ-инфекции по числу CD4+-лимфоцитов в 1 мкл и вирусной нагрузки в крови не отличается от пациентов без COVID-19, что говорит об однотипности низкого иммунного ответа, сходстве клинико-рентгенологических проявлений и высокой частоте риска развития ОИЛ.
У больных 1 и 2-й группы ТОД сочетался с генерализацией туберкулеза с множественными внелегочными специфическими поражениями, подтвержденными выделением МБТ в диагностическом материале из различных органов. При этом в 1-й группе 2 органа были поражены у 14 пациентов, 3 – у 7, 4 – у 2, 5 – у 2; во 2-й группе число поражений составило 12, 8, 1 и 2 соответственно (р>0,05). Наиболее частыми внелегочными локализациями туберкулеза в наблюдаемых группах были поражение внутригрудных лимфатических узлов и плевры (у всех больных), кишечника и брыжеечных лимфатических узлов (у 16 человек 1-й группы и у 17 – 2-й) и периферических лимфатических узлов (у 18 человек 1-й группы и у 18 – 2-й). Довольно часто встречался туберкулез центральной нервной (6 и 5 больных соответственно) и мочеполовой систем (7 и 8 больных соответственно). Несколько реже обнаруживали туберкулез селезенки (4 и 3 больных соответственно) и костей и суставов (4 и 5 больных соответственно). Поражения щитовидной железы, надпочечников, перикарда, внутреннего уха зарегистрированы у единичных пациентов.
Следовательно, при коинфекции COVID-19 и ТОД у больных 4B-стадии ВИЧ-инфекции с иммунодефицитом в фазе прогрессирования и при отсутствии АРВТ ТОД сочетается с генерализацией туберкулеза и множественными внелегочными поражениями, что практически не отличается от пациентов без COVID-19 и что в значительной степени определяет тяжелое течение сочетанной патологии со сходными клинико-рентгенологическими проявлениями коинфекционной болезни.
При микробиологическом и ПЦР-исследовании диагностического материала из респираторного тракта были также идентифицированы возбудители ОИЛ. ОИЛ и частота встречаемости их возбудителей у больных в наблюдаемых группах представлены в табл. 2.
| Таблица 2. ОИЛ и частота встречаемости их возбудителей у больных в наблюдаемых группах (M±m) | ||||
| Диагноз ОИЛ | Возбудитель ОИЛ | 1-я группа (n=29), абс (%) | 2-я группа (n=29), абс (%) | p | 
| Бактериальная пневмония | Str. pneumoniae | 10 (34,5±8,8) | 8 (27,6±8,2) | >0,05 | 
| H. influenzae | 7 (24,1±7,9) | 6 (20,6±7,5) | >0,05 | |
| S. aureus | 4 (13,8±6,4) | 5 (17,2±8,5) | >0,05 | |
| Кандидоз легких | C. albicans | 9 (31,0±8,5) | 11 (34,5±9,0) | >0,05 | 
| Микобактериоз легких | M. avium complex | 9 (31,0±8,5) | 8 (27,6±8,2) | >0,05 | 
| Пневмоцистная пневмония | P. jiroveci | 7 (24,1±7,9) | 6 (20,6±7,5) | >0,05 | 
| Вирусная пневмония | Herpes simplex virus 1 | 8 (27,6±8,3) | 7 (24,1±7,9) | >0,05 | 
| Cytomegalovirus hominis | 6 (20,6±7,5) | 5 (17,2±8,5) | >0,05 | |
Как видно из табл. 2, разные ОИЛ и частота их возбудителей у больных в наблюдаемых группах существенно не различались.
Бактериальная пневмония, вызванная Str. pneumoniae, была диагностирована в 1-й группе у 34,5%, во 2-й – у 27,6% пациентов; пневмония, обусловленная H. influenzae, – у 24,1 и 20,6% больных соответственно; пневмония, вызванная S. aureus, – у 13,8 и 17,2% пациентов соответственно (р>0,05). Кандидоз легких, обусловленный C. albicans, диагностирован в 1-й группе в 31,0, во 2-й – в 34,5% случаев; микобактериоз легких вследствие инфекции M. avium complex – в 31,0 и 27,6 случаев соответственно; пневмоцистная пневмония, вызванная P. jiroveci – в 24,1 и 20,6% случаев соответственно (р>0,05). Вирусная пневмония, вызванная Herpes simplex virus, установлена в 1-й группе в 27,6, во 2-й – в 24,1% случаев, а обусловленная Cytomegalovirus hominis – в 20,6 и в 17,2% случаев соответственно (р>0,05). При этом сочетание двух ОИЛ было зарегистрировано у 12 больных 1-й группы и у 11 – 2-й, а сочетание трех –у 3 и 4 соответственно.
Данные ОИЛ вносят определенные клинические особенности в течение болезни и осложняют течение коинфекционной болезни, проявляющейся не только в поражении органов дыхания, но и в других органах и системах. В частности, сюда можно отнести поражение слизистых оболочек и кожного покрова, вызванное S. aureus, C. albicans, Herpes simplex virus и Cytomegalovirus hominis; поражение органов брюшной полости, обусловленное M. avium complex; развитие менингита и менингоэнцефалита, вызванных C. albicans (у 6 пациентов 1-й группы и у 4 – 2-й) и Cytomegalovirus hominis (у 8 – 1-й и 5 – 2-й; р>0,05).
Таким образом, при коинфекции COVID-19 и ТОД у больных 4В-стадией ВИЧ-инфекции с иммунодефицитом в фазе прогрессирования и при отсутствии АРВТ встречались и другие ОИЛ с той же частотой, что и у пациентов без COVID-19, что определяет сходство клинико-рентгенологических проявлений и затрудняет их различие ввиду одновременного наслоения сразу нескольких патологий с различными клиническими проявлениями, требующее комплексной этиологической диагностики конкретных болезней.
Клиническая картина болезни у больных 1 и 2-й групп практически не различалась и характеризовалась выраженным синдромом интоксикации и общими воспалительными изменениями с потерей массы тела, адинамией, головной болью, миалгией, невропатией, энцефалопатией, сердцебиением, бледностью кожного покрова, лихорадкой, ознобом и показателями воспаления в лабораторных анализах, характерными для септического состояния. Все это сочеталось также с симптомами поражения других органов и систем.
Клиническая картина воспалительных изменений респираторной системы у больных 1 и 2-й групп также существенно не различалась и характеризовалась одышкой, кашлем, выделением слизисто-гнойной мокроты и наличием разнокалиберных хрипов в легких. Следует отметить, что у пациентов 1-й группы кашель был более выражен, мокрота имела слизисто-гнойный характер, с кровохарканьем, присутствовали бронхоспазм и нарастающая легочно-сердечная недостаточность, в ряде случаев отмечались кожные высыпания, аносмия, дисгевзия и нейросенсорная потеря слуха, гипоксемия, диссеминированное внутрисосудистое свертывание, тромбозы и тромбоэмболии, а также синдром Гийена– Барре. Однако подобные клинические признаки с различной частотой встречались и у пациентов без COVID-19, что в значительной степени обусловлено ОИЛ.
Таким образом, при коинфекции COVID-19, ТОД и ОИЛ у больных 4В-стадией ВИЧ-инфекции с иммунодефицитом в фазе прогрессирования и при отсутствии АРВТ клиническая картина, характеризующаяся синдромом интоксикации, общими воспалительными и респираторными проявлениями, практически одинакова и неспецифична при сравнении с таковой у пациентов без COVID-19.
На КТ органов грудной клетки у больных 1 и 2-й групп визуализируется комплекс одновременного сочетания трех патологических синдромов: диссеминации, усиления легочного рисунка и аденопатии.
Синдром диссеминации, представленный очагами различных размеров (от мелких до крупных) и интенсивности (от низкой до высокой) с тенденцией к слиянию и образованию инфильтратов, на фоне которых выявляются просветы бронхов, преимущественно обнаружен в нижних долях легких с образованием деструкции легочной ткани, бронхогенным обсеменением, а у более чем половины больных – с развитием экссудативного плеврита или эмпиемы плевры. Синдром усиления легочного рисунка имел «сетчатый» характер вследствие развития интерстициальной пневмонии при лимфогематогенной диссеминации с участками уплотнения по типу «матового стекла» с диффузным понижением прозрачности легочной ткани и развитием кистозно-дистрофических изменений, на фоне чего выявлялось уплотнение междолевой и висцеральной плевры. Синдром аденопатии представлен двусторонним увеличением внутригрудных лимфатических узлов с инфильтративными изменениями по периферии. В этих случаях не последнюю роль играло одновременное наслоение нескольких патологий и изменений, развивающихся на поздних стадиях ВИЧ-инфекции с иммунодефицитом, в том числе связанных непосредственно с самой ВИЧ-инфекцией, в виде лимфоидной интерстициальной пневмонии, неспецифической интерстициальной пневмонии, первичной легочной гипертонии и высокой частой ХОБЛ, ведущей к развитию эмфиземы и кистозно-дистрофических изменений. При этом не исключается развитие подобных изменений, связанных с проявлениями отдельных ОИЛ [20, 21].
Площадь поражения легких у больных обеих групп составляла 80–100% и была практически сопоставимой. Дифференцировать данные изменения на КТ органов грудной клетки по конкретным патологиям не представлялось возможным ввиду сходства КТ-признаков, при этом диагностика возможна только при микробиологическом и молекулярно-генетическом установлении этиологии возбудителей COVID-19, ТОД и ОИЛ.
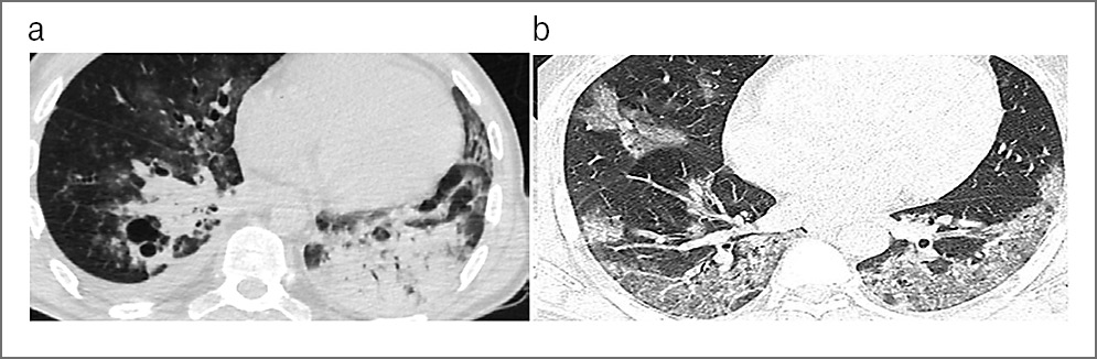
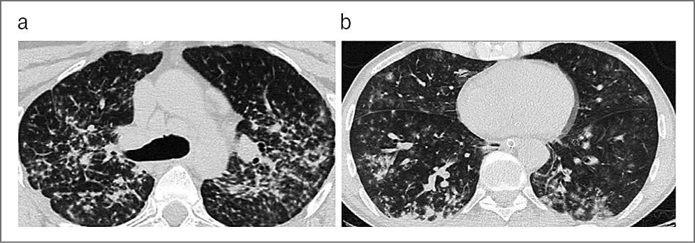
В качестве примеров приводим КТ органов грудной клетки, иллюстрирующую сходство КТ-признаков у больных 1 и 2-й групп, с этиологической верификацией бактериальной пневмонии (вызванной S. aureus) с COVID-19 (рис. 1, а) и без COVID-19 (рис. 1, b); микобактериозом легких (обусловленным M. avium complex) с COVID-19 (рис. 2, а) и без COVID-19 (рис. 2, b); пневмоцистной пневмонией (вызванной P. jiroveci) с COVID-19, ТОД (рис. 3, а) и без COVID-19 (рис. 3, b) и вирусной пневмонией (вследствие инфекции Cytomegalovirus hominis) с COVID-19, ТОД (рис. 4, а) и без COVID-19 (рис. 4, b).
Рис. 1. КТ органов грудной клетки. Аксиальная проекция, режим легочного окна: а – пациент, 36 лет, с 4B-стадией ВИЧ- инфекции в фазе прогрессирования, без АРВТ и верифицированной коинфекции COVID-19, ТОД и бактериальной пневмонией (вызванной S. aureus); b – пациент, 38 лет, с 4B-стадией ВИЧ- инфекции в фазе прогрессирования, без АРВТ и верифицированной коинфекции ТОД и бактериальной пневмонией (вызванной S. aureus).
Рис. 2. КТ органов грудной клетки. Аксиальная проекция, режим легочного окна: а – пациент, 28 лет, с 4B-стадией ВИЧ- инфекции в фазе прогрессирования, без АРВТ и верифицированной коинфекции COVID-19, ТОД и микобактериозом легких (вызванным M. avium complex); b – пациент, 32 года, с 4B-стадией ВИЧ-инфекции в фазе прогрессирования, без АРВТ и верифицированной коинфекции ТОД и микобактериозом легких (вызванным M. avium complex).
Рис. 3. КТ органов грудной клетки. Аксиальная проекция, режим легочного окна: а – пациент, 29 лет, с 4B-стадией ВИЧ- инфекции в фазе прогрессирования, без АРВТ и верифицированной коинфекции COVID-19, ТОД и пневмоцистной пневмонией (вызванной P. jiroveci); b – пациент, 30 лет, с 4B-стадией ВИЧ- инфекции в фазе прогрессирования, без АРВТ и верифицированной коинфекции ТОД и пневмоцистной пневмонией (вызванной P. jiroveci).
Рис. 4. КТ органов грудной клетки. Аксиальная проекция, режим легочного окна: а – пациент, 26 лет, с 4B-стадией ВИЧ- инфекции в фазе прогрессирования, без АРВТ и верифицированной коинфекции COVID-19, ТОД и вирусной пневмонией (вызванной Cytomegalovirus hominis); b – пациент, 29 лет, с 4B-стадией ВИЧ-инфекции в фазе прогрессирования, без АРВТ и верифицированной коинфекции ТОД и вирусной пневмонией (вызванной Cytomegalovirus hominis).
Таким образом, на КТ органов грудной клетки у больных 4В-стадией ВИЧ-инфекции в фазе прогрессирования и при отсутствии АРВТ с коинфекцией COVID-19, ТОД и ОИЛ визуализируются однотипные синдромы наслоения нескольких болезней, такие же, как и у пациентов без COVID-19. Дифференцировать их не представляется возможным, это требует разработки новых критериев алгоритма лучевой диагностики в сопоставлении с данными этиологической верификации возбудителей настоящих инфекций.
Частота и характер лекарственной чувствительности МБТ к ПТП у больных в наблюдаемых группах представлены в табл. 3.
| Таблица 3. Частота и характер лекарственной чувствительности МБТ к ПТП у больных в наблюдаемых группах (M±m) | |||
| Лекарственная чувствительность МБТ к ПТП | 1-я группа (n=29), абс (%) | 2-я группа (n=29), абс (%) | p | 
| Чувствительность ко всем ПТП | - (-) | - (-) | - | 
| Монорезистентность | - (-) | - (-) | - | 
| Полирезистентность | 8 (27,6±8,3) | 6 (20,7±7,5) | >0,05 | 
| Множественная лекарственная устойчивость | 13 (44,8±9,2) | 15 (51,7±9,3) | >0,05 | 
| Широкая лекарственная устойчивость | 8 (27,6±8,3) | 8 (27,6±8,3) | >0,05 | 
| Примечание. - (-) – отсутствие больных с моно- и полирезистентностью. | |||
Как следует из табл. 3, в наблюдаемых группах МБТ, чувствительные ко всем ПТП, и монорезистентные МБТ у больных не выявлялись, а полирезистентные МБТ в 1-й группе были обнаружены у 27,6%, а во 2-й – у 20,7% пациентов (р>0,05).
У наибольшего числа больных в наблюдаемых группах МБТ имели множественную лекарственную устойчивость (МЛУ) к сочетанию изониазида и рифампицина с другими ПТП и широкую лекарственную устойчивость (ШЛУ) – к сочетанию изониазида, рифампицина, фторхинолонов (левофлоксацин и моксифлоксацин) и инъекционным ПТП (канамицин, амикацин и капреомицин). МЛУ в 1-й группе была выявлена в 44,8%, во 2-й – в 51,7% случаев, ШЛУ – в 27,6 и 27,6% случаев соответственно (р>0,05).
Следовательно, при коинфекции COVID-19, ТОД и ОИЛ у больных 4В-стадией ВИЧ-инфекции с иммунодефицитом в фазе прогрессирования и при отсутствии АРВТ в 85–90% случаев выявляется МЛУ и ШЛУ МБТ к ПТП, что аналогично результатам, полученным у пациентов без COVID-19.
При исследовании резистентности Str. pneumoniae, H. influenzae и S. aureus – возбудителей бактериальной пневмонии – было установлено, что у 18 больных 1-й группы и у 13 – 2-й с бактериальной пневмонией Str. pneumoniae и H. influenzae оказались множественно резистентными к β-лактамным антибиотикам, тетрациклину, эритромицину, левомицетину и другим АШСД, а также к препаратам, применяемым для лечения туберкулеза и микобактериоза: рифампицину, левофлоксацину, моксифлоксацину, амоксициллину/клавуланату, кларитромицину и меропенему. В то же время у 4 пациентов 1-й группы и у 5 – 2-й S. aureus были метициллин-резистентны и устойчивы к тем же препаратам.
Таким образом, у больных с коинфекцией COVID-19, ТОД и ОБЛ у больных 4В-стадией ВИЧ-инфекции с иммунодефицитом в фазе прогрессирования и при отсутствии АРВТ перед назначением лечения ТОД, бактериальной пневмонии и микобактериоза легких необходимо обязательное определение конкретной лекарственной устойчивости ко всем ПТП и АШСД для выбора строго индивидуализированного подхода к терапии.
Обсуждение
Коинфекция COVID-19, ТОД и ОИЛ у больных 4В-стадией ВИЧ-инфекции с иммунодефицитом в фазе прогрессирования и при отсутствии АРВТ диагностировалась через 6–9 лет после обнаружения ВИЧ-инфекции и на момент выявления ТОД с выделением МБТ, в репродуктивном и продуктивном возрасте, у неработающих, не имеющих семьи, страдающих наркозависимостью, употребляющих алкогольные напитки и куривших табачные изделия, имевших сопутствующий вирусный гепатит В или С и ХОБЛ. У этих пациентов заболевание характеризуется выраженным иммунодефицитом (количество CD4+-лимфоцитов меньше 50 в 1 мкл крови, со средним показателем, не превышающим 30 клеток в 1 мкл крови), генерализацией туберкулеза с внелегочными поражениями и с различной частотой ОИЛ, вызванных Str. pneumoniae, H. influenzae, S. aureus, C. albicans, M. avium complex, P. jiroveci, Herpes simplex virus 1 и Cytomegalovirus hominis. Это определяет сходство клинических признаков и затрудняет их различие ввиду одновременного наслоения сразу нескольких патологий с различными клиническими проявлениями, что требует комплексной этиологической диагностики конкретных болезней, как и у пациентов без COVID-19.
Заключение
Дифференцировать заболевания респираторной системы по данным клинических и лучевых методов исследования у этих пациентов не представляется возможным, и такие больные долго не будут обнаружены, что делает их особенно опасной категорией для заражения здорового населения с учетом их социальной дезадаптации, некритического отношения к состоянию своего здоровья и неприверженности к обследованию и лечению. Необходимо в обязательном порядке организовать активное регулярное обследование всех больных с коинфекцией ТОД и ВИЧ- инфекцией, в особенности на поздних стадиях, на COVID-19 в кабинете противотуберкулезной помощи ВИЧ-инфицированным в противотуберкулезном диспансере, а при выявлении COVID-19 произвести строгую изоляцию и назначить комбинированное лечение.
Раскрытие интересов. Авторы декларируют отсутствие явных и потенциальных конфликтов интересов, связанных с публикацией настоящей статьи.
Disclosure of Interest. The authors declare that they have no competing interests.
Вклад авторов. Авторы декларируют соответствие своего авторства международным критериям ICMJE. Все авторы в равной степени участвовали в подготовке публикации: разработка концепции статьи, получение и анализ фактических данных, написание и редактирование текста статьи, проверка и утверждение текста статьи.
Authors’ contribution. The authors declare the compliance of their authorship according to the international ICMJE criteria. All authors made a substantial contribution to the conception of the work, acquisition, analysis, interpretation of data for the work, drafting and revising the work, final approval of the version to be published and agree to be accountable for all aspects of the work.
Источник финансирования. Авторы декларируют отсутствие внешнего финансирования для проведения исследования и публикации статьи.
Funding source. The authors declare that there is no external funding for the exploration and analysis work.
Соответствие принципам этики. Протокол исследования был одобрен локальным этическим комитетом ФГБОУ ВО «Московский государственный медико-стоматологический университет им. А.И. Евдокимова» (протокол №61 от 16.09.2021). Одобрение и процедуру проведения протокола получали по принципам Хельсинкской конвенции.
Ethics approval. The study was approved by the local ethics committee of Yevdokimov Moscow State University of Medicine and Dentistry (protocol №61, 16.09.2021). The approval and procedure for the protocol were obtained in accordance with the principles of the Helsinki Convention.
Об авторах
Владимир Юрьевич Мишин
ФГБОУ ВО «Московский государственный медико-стоматологический университет им. А.И. Евдокимова» Минздрава России; ГБУЗ «Туберкулезная клиническая больница №3 им. проф. Г.А. Захарьина» Департамента здравоохранения г. Москвы
														Email: mishin.vy@mail.ru
				                	ORCID iD: 0000-0002-4134-530X
				                																			                								
д-р мед. наук, проф., зав. каф. фтизиатрии и пульмонологии, проф.-консультант, засл. врач РФ, акад. Академии электротехнических наук РФ
Россия, Москва; МоскваАнастасия Владимировна Мишина
ФГБОУ ВО «Московский государственный медико-стоматологический университет им. А.И. Евдокимова» Минздрава России; ГБУЗ «Туберкулезная клиническая больница №3 им. проф. Г.А. Захарьина» Департамента здравоохранения г. Москвы
														Email: mishin.vy@mail.ru
				                	ORCID iD: 0000-0002-3340-5843
				                																			                								
канд. мед. наук, доц. каф. фтизиатрии и пульмонологии, врач 5 отд-ния для больных туберкулезом и ВИЧ-инфекцией
Россия, Москва; МоскваДмитрий Анатольевич Лежнев
ФГБОУ ВО «Московский государственный медико-стоматологический университет им. А.И. Евдокимова» Минздрава России
														Email: mishin.vy@mail.ru
				                	ORCID iD: 0000-0002-7163-2553
				                																			                								
д-р мед. наук, проф., зав. каф. лучевой диагностики
Россия, МоскваАлександр Лазаревич Собкин
ГБУЗ «Туберкулезная клиническая больница №3 им. проф. Г.А. Захарьина» Департамента здравоохранения г. Москвы
														Email: mishin.vy@mail.ru
				                					                																			                								
канд. мед. наук, глав. врач
Россия, МоскваНаталья Васильевна Сергеева
ГБУЗ «Туберкулезная клиническая больница №3 им. проф. Г.А. Захарьина» Департамента здравоохранения г. Москвы
							Автор, ответственный за переписку.
							Email: mishin.vy@mail.ru
				                					                																			                								
зав. 5 отд-нием для больных туберкулезом и ВИЧ-инфекцией
Россия, МоскваАлександр Семенович Кононец
ФГБОУ ВО «Московский государственный медико-стоматологический университет им. А.И. Евдокимова» Минздрава России
														Email: mishin.vy@mail.ru
				                					                																			                								
д-р мед. наук, проф., зав. каф. пенитенциарной медицины
Россия, МоскваИрина Юрьевна Бабаева
ФГБОУ ВО «Кубанский государственный медицинский университет» Минздрава России
														Email: mishin.vy@mail.ru
				                	ORCID iD: 0000-0002-0369-0321
				                																			                								
д-р мед. наук, проф. каф. инфекционных болезней и фтизиопульмонологии
Россия, КраснодарСписок литературы
- Беляков Н.А., Рассохин В.В., Трофимова Т.Н., и др. Коморбидные и тяжелые формы ВИЧ-инфекции в России. ВИЧ-инфекция и иммуносупрессии. 2016;8(3):9-25 [Belyakov NA, Rassokhin VV, Trofimova TN, et al. Comorbid and severe forms of HIV infection in Russia. HIV Infection and Immunosuppressive Disorders. 2016;8(3):9-25 (in Russian)]. doi: 10.22328/2077-9828-2016-8-3-9-25
- Мишина А.В., Мишин В.Ю., Собкин А.Л., Осадчая О.А. Диссеминированный и генерализованный туберкулез легких и оппортунистические заболевания у больных на поздних стадиях ВИЧ-инфекции с иммуносупрессией. Туберкулез и болезни легких. 2018;96(12):68-70 [Mishina AV, Mishin VYu, Sobkin AL, Osadchaya OA. Disseminated and generalized pulmonary TB and opportunistic diseases in patients with late-stage HIV infection and immunosuppression. Tuberculosis and Lung Diseases. 2018;96(12):68-70 (in Russian)]. doi: 10.21292/2075-1230-2018-96-12-68-70
- Мишина А.В., Мишин В.Ю., Эргешов А.Э., и др. Особенности клинических проявлений и диагностики сочетания туберкулеза органов дыхания с оппортунистическими инфекциями легких у взрослых больных на поздних стадиях ВИЧ-инфекции с иммунодефицитом. Consilium Medicum. 2020;22(11):78-86 [Mishina AV, Mishin VYu, Ergeshov AE, et al. Features of clinical manifestations and diagnostics of a combination of respiratory tuberculosis with opportunistic lung infections in adult patients with late stages of HIV infection with immunodeficiency. Consilium Medicum. 2020;22(11):78-86 (in Russian)]. doi: 10.26442/20751753.2020.11.200184
- Gervasoni C, Meraviglia P, Riva A, et al. Clinical features and outcomes of HIV patients with coronavirus disease 2019. Clin Infect Dis. 2020;71(16):2276-8. doi: 10.1093/cid/ciaa579
- Guo W, Ming F, Dong Yu, et al. A Survey for COVID-19 among HIV/AIDS Patients in Two Districts of Wuhan, China (3/4/2020). Preprint. 2020. doi: 10.2139/ssrn.3550029
- Härter G, Spinner CD, Roider J, et al. COVID-19 in people living with human immunodeficiency virus: a case series of 33 patients. Infection. 2020;48:681-6. doi: 10.1007/s15010-020-01438-z
- Jiang H, Zhou Y, Tang W. Maintaining HIV care during the COVID-19 pandemic. Lancet HIV. 2020;7(5);e308-9. doi: 10.1016/S2352-3018(20)30105-3
- Shiau S, Krause DK, Valera P, et al. The Burden of COVID-19 in People Living with HIV: A Syndemic Perspective. AIDS Behav. 2020;24(8):2244-9. doi: 10.1007/s10461-020-02871-9
- Cabello A, Zamarro B, Nistal S, et al. COVID-19 in people living with HIV: A multicenter case-series study. Int J Infect Dis. 2021;102:310-5. doi: 10.1016/j.ijid.2020.10.060
- Hoffmann C, Casado JL, Harter G, et al. Immune deficiency is a risk factor for severe COVID-19 in people living with HIV. HIV Med. 2021;22(5);372-8. doi: 10.1111/hiv.13037
- Гаус А.А., Климова Н.В. Рентгеноморфологические особенности течения COVID-19 и ВИЧ-инфекции. ВИЧ-инфекция и иммуносупрессии. 2021;13(2):77-84 [Gauss AA, Klimova NV. X-RAY-morphological features of the current COVID-19 and HIV infection. HIV Infection and Immunosuppressive Disorders. 2021;13(2):77-84 (in Russian)]. doi: 10.22328/2077-9828-2021-13-2-77-84
- Кравченко А.В., Куимова У.А., Канестри В.Г., и др. Клиническое течение и подходы к терапии больных сочетанной инфекцией (ВИЧ-инфекция и COVID-19). Эпидемиология и инфекционные болезни. 2021;4;20-4 [Kravchenko AV, Kuimova UA, Kanestri VG, et al. Clinical course and approaches to therapy of patients with combined infection (HIV-infection and COVID-19). Epidemiology and Infectious Diseases. 2021;4;20-4 (in Russian)]. doi: 10.18565/epidem.2021.11.4.20-4
- Мазус А.И., Нагибина М.В., Бессараб Т.П., и др. COVID-19/ВИЧ коинфекция: характеристика пациентов Московского мегаполиса. Терапия. 2021;7(4):18-24 [Mazus AI, Nagibina MV, Bessarab TP, et al. COVID-19/HIV coinfection: characteristics of patients of the Moscow metropolis. Therapy. 2021;7(4):18-24 (in Russian)]. doi: 10.18565/therapy.2021.4.18-24
- Faqihi F, Alharthy A, Noor A, et al. COVID-19 in a patient with active tuberculosis: A rare case-report RSS. Respir Med Case Rep. 2020;31:101146. doi: 10.1016/j.rmcr.2020.101146
- Stochino C, Villa S, Zucchi P, et al. Clinical characteristics of COVID-19 and active tuberculosis co-infection in an Italian reference hospital. Eur Respir J. 2020;56(1):2001708. doi: 10.1183/13993003.01708-2020
- Старшинова А.А., Довгалюк И.Ф. Туберкулез в структуре коморбидной патологии у больных COVID-19. Тихоокеанский медицинский журнал. 2021;1(83):10-4 [Starshinova AA, Dovgalyuk IF. Tuberculosis in the structure of COVID-19 patients comorbidities. Pacific Medical Journal. 2021;1(83):10-4 (in Russian)]. doi: 10.34215/1609-1175-2021-1-10-14
- Временные методические рекомендации. Профилактика диагностика и лечение новой коронавирусной инфекции (COVID-19). Версия 13-1 (17.11.2021). Министерство здравоохранения Российской Федерации Режим доступа: https://static-0.minzdrav.gov.ru/system/attachments/attaches/000/058/392/original/%D0%92%D0%9C%D0%A0-13.1-from-17-11-2021.pdf. Ссылка активна на 04.04.2022 [Vremennye metodicheskie rekomendatsii. Profilaktika diagnostika i lechenie novoi koronavirusnoi infektsii (COVID-19). V. 13-1 (17.11.2021). Ministerstvo zdravookhraneniia Rossiiskoi Federatsii. Available at: https://static-0.minzdrav.gov.ru/system/attachments/attaches/000/058/392/original/%D0%92%D0%9C%D0%A0-13.1-from-17-11-2021.pdf. Accessed: 04.04.2022 (in Russian)].
- Федеральные клинические рекомендации по диагностике и лечению туберкулеза у больных ВИЧ-инфекцией. М.-Тверь: Издательство «Триада», 2014. Режим доступа: https://aidsomsk.ru/sites/default/uploads/_-.pdf. Ссылка активна на 04.04.2022 [Federal'nye klinicheskie rekomendatsii po diagnostike i lecheniiu tuberkuleza u bol'nykh VICh-infektsiei. Moscow-Tver': Triada, 2014. Available at: https://aidsomsk.ru/sites/default/uploads/_-.pdf. Accessed: 04.04.2022 (in Russian)].
- Клинические рекомендации. ВИЧ-инфекция у взрослых. 2020. Режим доступа: http://rushiv.ru/klinicheskie-rekomendatsii-vich-infektsiya-u-vzroslyh-2020/ Ссылка активна на 04.04.2022 [Klinicheskie rekomendatsii. VICh-infektsiia u vzroslykh. 2020. Available at: http://rushiv.ru/klinicheskie-rekomendatsii-vich-infektsiya-u-vzroslyh-2020/ Accessed: 04.04.2022 (in Russian)].
- Бартлетт Дж, Галланта Д, Фам П. Клинические аспекты ВИЧ-инфекции (пер. с англ.). М.: Р. Валента, 2012 [Bartlett J, Gallanta D, Fam P. Klinicheskie aspekty VICh-infektsii (translated from English). Moscow: R. Valenta, 2012: 528 (in Russian)].
- Мишин В.Ю., Протасов А.Д., Жестков А.В. Заболевание легких у пациентов с ВИЧ-инфекцией. Респираторная медицина. Руководство. Под ред. А.Г. Чучалина. 2-е изд., перераб. и доп. В 3 т. М.: Литерра, 2017 [Mishin VYu, Protasov AD, Zhestkov AV. Zabolevanie legkikh u patsientov s VICh-infektsiei. Respiratornaia meditsina. Rukovodstvo. Pod red. AG Chuchalina. 2-e izd., pererab. i dop. V 3 t. Moscow: Literra, 2017 (in Russian)].
Дополнительные файлы
 
				
			 
						 
					 
									







