Роль высокоразрешающей компьютерной томографии в диагностике фиброзного варианта гиперчувствительного пневмонита
- Авторы: Кулешов Д.А.1, Тюрин И.Е.1
- 
							Учреждения: 
							- ФГБОУ ДПО «Российская медицинская академия непрерывного профессионального образования» Минздрава России
 
- Выпуск: Том 24, № 3 (2022)
- Страницы: 160-165
- Раздел: Статьи
- Статья опубликована: 19.03.2022
- URL: https://consilium.orscience.ru/2075-1753/article/view/108059
- DOI: https://doi.org/10.26442/20751753.2022.3.201522
- ID: 108059
Цитировать
Полный текст
Аннотация
Цель. Оценить значимость отдельных компьютерно-томографических признаков и их сочетаний для своевременного выявления фиброзной формы гиперчувствительного пневмонита (ГП).
Материалы и методы. Проведен ретроспективный анализ данных высокоразрешающей компьютерной томографии (ВРКТ) легких, выполненной 52 пациентам с фиброзным вариантом ГП (фГП), у которых клинический диагноз подтвержден при морфологическом исследовании биоптата легкого. Анализ выявленных изменений осуществлялся качественными и количественными методами. В исследование включены признаки, общие для нефиброзного и фиброзного вариантов ГП, в том числе симптом «матового стекла», «мозаичная плотность», центрилобулярные очаги, эмфизема. Отдельно анализировались признаки, относящиеся к легочному фиброзу при фГП, такие как ретикулярные изменения, тракционные бронхоэктазы и симптом «сотового легкого». Также определены параметры распределения указанных признаков отдельно в кранио-каудальном направлении и в аксиальной плоскости. Для поиска значимых в диагностике сочетаний томографических признаков проведен корреляционный анализ выявленных изменений.
Результаты. Выявленные ВРКТ-признаки фГП в большинстве случаев соответствуют клиническим рекомендациям по диагностике ГП. Однако при фГП с высокой частотой выявлены признаки, не соответствующие типичной картине ГП, в частности симптом «матового стекла». Напротив, относительно низкий процент встречаемости наблюдался в отношении центрилобулярных очагов и «мозаичной плотности», которые также являлись важной составной частью типичной картины ГП. Эмфизема, не входящая ни в один из паттернов ГП, отмечена с относительно высокой частотой, и в ряде случаев сочеталась с симптомом «сотового легкого». Наибольшая сила корреляционной связи выявлена у таких сочетаний признаков, как «матовое стекло» + ретикулярные изменения; «матовое стекло» + «мозаичная плотность»; ретикулярные изменения + «мозаичная плотность»; эмфизема + центрилобулярные очаги, а также ретикулярные изменения + бронхоэктазы. Эти сочетания встречались с относительно высокой частотой среди обследованных пациентов.
Заключение. Большая часть выявленных изменений соответствует текущим рекомендациям по диагностике ГП. Слабая корреляционная связь между признаками не позволяет с достаточной достоверностью выделить сочетания признаков, способных помочь в ранней диагностике ГП.
Полный текст
Введение
Гиперчувствительный пневмонит (ГП) определяется как иммуноопосредованное заболевание, которое проявляется в виде интерстициального заболевания легких у восприимчивых лиц после воздействия на них известного или неизвестного антигена [1]. Список антигенов, способных вызывать ГП, весьма обширен, вследствие чего можно говорить о широкой географической распространенности заболевания. Среди интерстициальных заболеваний легких ГП занимает 3-е место по частоте встречаемости [2]. В настоящее время установлено, что при затяжном течении заболевания ГП способен инициировать процесс фиброзирования легочной ткани, приводящий к выраженной дыхательной недостаточности пациента.
Диагностика ГП часто представляет собой достаточно длительный и сложный процесс. Среди задач диагностики ГП наиболее важной является как можно более раннее выявление изменений, характерных для фиброзной формы ГП (фГП). Для оценки изменений, выявляемых при интерстициальных заболеваниях легких, используется преимущественно высокоразрешающая компьютерная томография (ВРКТ), которая имеет существенные преимущества в сравнении с рентгенографией как при выявлении патологических изменений в легких, так и при дифференциальной диагностике этого заболевания с другими интерстициальными заболеваниями легких. Применение ВРКТ также позволяет выявить признаки, имеющее большое значение в определении рентгенологических признаков фиброза. Вместе с тем рентгенологическая картина ГП не является строго специфичной для данного заболевания, что не позволяет ограничиться только этой технологией для точной диагностики. Клинические рекомендации по диагностике и лечению ГП 2020 и 2021 г. позволили систематизировать рентгенологические признаки ГП при ВРКТ и определить место технологии в диагностическом процессе [1]. Вместе с тем до настоящего времени остаются противоречия в понимании морфологической сущности многих ВРКТ-признаков ГП, а также в значении этих признаков в диагностике заболевания, особенно когда речь идет о фиброзирующем процессе.
Цель исследования – изучение характера и выраженности ВРКТ-проявлений ГП у пациентов с интерстициальными заболеваниями легких, имеющих морфологически верифицированный диагноз ГП.
Материалы и методы
Проведен анализ данных ВРКТ-исследований грудной клетки 52 пациентов – 28 мужчин и 24 женщин – с морфологически верифицированным диагнозом фГП, прошедших обследование в ФМБА России на базе ГБУЗ «ГКБ №57 им. Д.Д. Плетнева». Средний возраст пациентов составляет 50,7±13,6 года. Всем пациентам проведена биопсия легкого. Морфологическая картина фГП у всех пациентов установлена на основании критериев клинических рекомендаций по диагностике и лечению ГП двумя экспертами-морфологами (А.Л. Черняев, М.В. Самсонова) [1, 3].
Рентгенологические исследования проведены на различных компьютерно-томографических установках по стандартным программам исследования легких: напряжение генерирования рентгеновского излучения 120 кВ, автоматическая экспозиция с помощью программ Care Dose, толщина томографического слоя менее 1,5 мм, наличие хотя бы одной серии томограмм в условиях ВРКТ. Все исследования проведены при глубоком задержанном вдохе. Данные экспираторной компьютерной томографии, даже в случае их наличия, в этом исследовании не учитывались, поскольку у большинства пациентов они отсутствовали.
С учетом положений клинических рекомендаций [1, 3] для анализа и рентгеноморфологических сопоставлений выбраны следующие ВРКТ-симптомы: «матовое стекло», «мозаичная плотность», центрилобулярные очаги, эмфизема, ретикулярные изменения, тракционные бронхоэктазы и «сотовое легкое».
Терминология и анализ ВРКТ-картины проводились согласно критериям глоссария Флейшнеровского общества [4]. Симптом «матового стекла» характеризовался как умеренное повышение плотности легочной ткани, внутри которого сохранялись видимость сосудов и стенок бронхов. Центрилобулярные очаги определялись как небольшие (до 10 мм) участки уплотнения легочной ткани вокруг артерий в центральной части вторичной легочной дольки. Отличительным признаком таких очагов является отсутствие изменений на поверхности висцеральной плевры. «Мозаичная плотность» легочной ткани представляла собой сочетание участков различной плотности в легочной паренхиме, в том числе повышенной воздушности, нормальной плотности и повышенной плотности («матового стекла») [5]. Такую картину «мозаичной плотности» обозначают в настоящее время как симптом трех плотностей. Ретикулярные изменения проявлялись наличием множественных кольцевидных структур, формирующих сеть на определенном участке легочной ткани, отображающих утолщение как междольковых (более 10 мм в диаметре), так и внутридольковых (менее 10 мм в диаметре) перегородок. Тракционные бронхоэктазы представляют собой необратимые расширения бронхов вследствие процессов легочного фиброза. Они отображались в продольном сечении как не суживающиеся к периферии легочного просветы бронхов обычно цилиндрической формы. В поперечном сечении тракционные бронхоэктазы изображались как кольцевидные структуры с толстыми стенками, которые трудно отличить от «сотового легкого». Во всех случаях тракционные бронхоэктазы располагались в зонах измененной легочной ткани. Эмфиземой обозначаются воздушные полости (локальные и/или диффузные), не имеющие видимых стенок или имеющие тонкие стенки. Симптом «сотового легкого» определяется как множественные, субплеврально расположенные воздушные полости с толстыми и хорошо различимыми стенками, часто объединенные в кластеры, размер полостей примерно одинаков и составляет 3–10 мм. При больших размерах таких полостей в ряде случаев возникали непреодолимые сложности с разграничением «сотового легкого» и парасептальной эмфиземы.
С целью полуколичественной оценки ряд признаков, таких как центрилобулярные очаги, эмфизема, «мозаичная плотность» и бронхоэктазы, определялись как имеющийся (1) или отсутствующий (0) признак. Другие признаки, в частности симптом «матового стекла», консолидации, ретикулярные изменения и симптом «сотового легкого», изучены с помощью полуавтоматической системы подсчета объема патологических изменений относительно всего объема легочной ткани. Полученные значения разделялись на несколько групп в зависимости от степени выраженности патологических изменений в паренхиме обоих легких в процентах: 0 (0%), 1 (0,1–10%), 2 (10,1–25%), 3 (25,1–50%), 4 (более 50%).
Выраженность симптома «мозаичной плотности» оценивалась по наличию данного признака в каждой из долей легкого соответственно, показатель выраженности признака варьировал от 0 до 5.
При наличии у пациента признака эмфиземы также собран анамнез курения.
Помимо качественного и количественного определения признаков рассмотрены параметры пространственного распределения патологических изменений в паренхиме легких в кранио-каудальном направлении и в аксиальной плоскости. Кранио-каудальное распределение изменений оценивалось как преимущественно верхнее в верхних и средних долях (1), преимущественно нижнее в нижних долях (2) или диффузное относительно равномерно во всех долях (3). Распределение в аксиальной плоскости охарактеризовано как преимущественно центральное или перибронховаскулярное (1), преимущественно кортикальное или субплевральное (2) или диффузное (3).
Демонстрация выраженности выявленных ВРКТ-признаков осуществлялась методами описательной статистики при помощи программного обеспечения IBM SPSS v26.
Для поиска сочетаний рентгенологических признаков проведен корреляционный анализ каждого описанного рентгенологического признака, относящегося к группе фГП с остальными выбранными признаками, проведен анализ по коэффициенту корреляции Спирмена при помощи программного обеспечения MS Excel и IBM SPSS v26.
Результаты
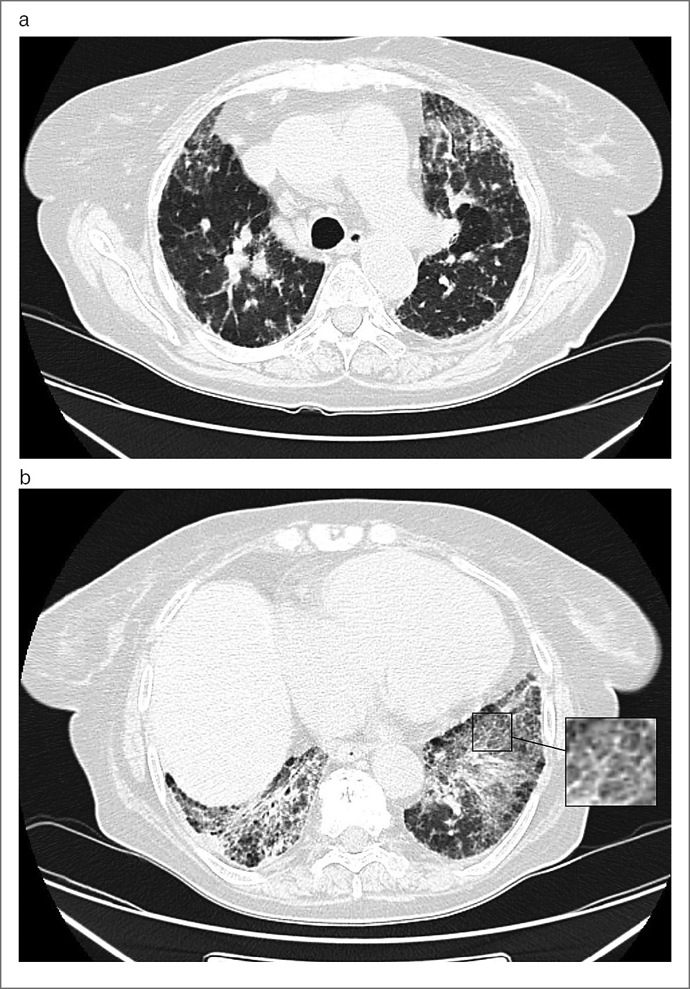
Анализ группы пациентов с фГП показал, что симптом «матового стекла» выявлен у 46 (88,5%) пациентов. Распределение этого признака в зависимости от степени выраженности показало, что обычно «матовое стекло» не являлось преобладающим симптомом и занимало относительно небольшой объем легочной паренхимы. Так, 1-я степень выявлена у 32 (61,5%) пациентов, 2-я степень – у 8 (15,4%) пациентов, 3-я степень – у 3 (5,8%) пациентов и 4-я степень – у 3 (5,8%) пациентов. Пример распределения симптома «матового стекла» продемонстрирован на рис. 1.
Рис. 1. Женщина, 64 года, фГП, ВРКТ: a – аксиальный срез. Распространенные участки уплотнения по типу «матового стекла» в верхних долях обоих легких, «мозаичная плотность» в виде трех плотностей; b – аксиальный срез. Распространенные участки «матового стекла», на фоне которых видны ретикулярные изменения (увеличенный фрагмент), формирующие симптом «хаотичного мощения», также определяется «мозаичная плотность» с картиной трех плотностей.
Симптом консолидации выявлен у только у 7 пациентов в группе из 52 больных с фГП. Выраженность данного признака у всех пациентов соответствовала 1-й степени. Это подтверждает представленную в клинических рекомендациях позицию о том, что консолидация может возникать при фГП, но это относительно редкий и неспецифичный признак данного заболевания.
Центрилобулярные очаги выявлены только у 24 (46,1%) пациентов. В большинстве случаев они представляли собой мелкие очаги низкой плотности (по типу «матового стекла») с нечеткими контурами, плохо различимые на фоне измененной легочной паренхимы.
Симптом «мозаичной плотности» определялся у 27 (51,9%) пациентов и распределялся следующим образом: у 4 (14,8%) пациентов признак определялся в одной доле, в 2 долях определялся также у 4 (14,8%) пациентов, в 3 долях – у 3 (11,1%) пациентов, в 4 долях – у 6 (22,2%) пациентов и в 5 долях – у 10 (37,0%) пациентов. Это означает, что почти у 2/3 (59%) пациентов «мозаичная плотность» распространялась на 4 и более долей легких, т.е. занимала значительный объем легочной паренхимы.
Эмфизема выявлена почти в 1/2 случаев, у 22 (42,3%) пациентов. При этом анамнез курения присутствовал лишь у 4 (18%) пациентов. Эмфизема преимущественно носила характер парасептальной у 14 (63,6%) пациентов. Центрилобулярная эмфизема выявлена только у 2 (9,1%) пациентов, и еще у 6 (27,3%) пациентов эмфизема носила смешанный характер в виде центрилобулярной и парасептальной формы.
Ретикулярные изменения оказались наиболее типичными для фГП и выявлены у 49 (94,2%) лиц. Большая часть пациентов имели 1-ю степень выраженности изменений – 34 (65,4%) человека, у 11 (21,2%) наблюдалась 2-я степень выраженности, у 3 (5,8%) пациентов обнаружена 3-я степень выраженности, и у 1 (1,9%) – 4-я степень. Это означает, что распространенные диффузные ретикулярные изменения нетипичны для фГП. Распределение ретикулярных изменений также имело свои особенности. Так, отмечено преобладание в кортикальных и субплевральных отделах легких с преобладанием в нижних долях обоих легких, несколько реже – в центральных и прикорневых отделах, как показано на рис. 2.
Рис. 2. Женщина, 61 год, фГП: a – аксиальный срез демонстрирует множественные линейные участки уплотнения различной протяженности и сетчатые структуры, что соответствует картине ретикулярных изменений. Большая часть подобных структур определяется на фоне участков «матового стекла» (симптом «хаотичного мощения»); b – реформация во фронтальной проекции показывает на преимущественно нижнедолевое распределение ретикулярных изменений. В субплевральных отделах определяются единичные участки пониженной плотности, что соответствует картине «мозаичной плотности».
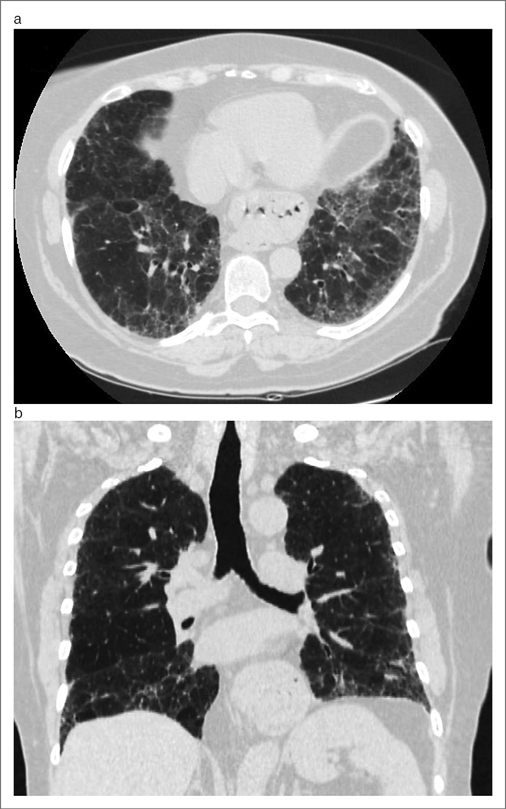
Тракционные бронхоэктазы и бронхиолоэктазы присутствовали у 34 (65,4%) пациентов и представляли собой важный признак фГП. Обычно тракционные бронхоэктазы преобладали в кортикальных отделах легких, несколько реже выявлялись в субплевральных отделах, при этом определялись как в верхних и средних долях, так и в нижних долях с обеих сторон, как продемонстрировано на рис. 3.
Рис. 3. Мужчина, 56 лет, фГП: a – на аксиальном срезе определяются расширенные просветы бронхов, с деформированными стенками (белые стрелки), окруженные зонами ретикулярных изменений, и небольшие участки «матового стекла»; b – реформация во фронтальной проекции с использованием проекций минимальной интенсивности показывает наличие расширенных просветов бронхов в субплевральных отделах на фоне ретикулярных изменений и единичных кист, которые могут соответствовать симптому «сотового легкого».
«Сотовое легкое» обнаружено всего лишь у 12 (23,1%) пациентов, при этом выраженность этих изменений оказалась минимальной. Так, в зависимости от объема поражения легочной паренхимы 1-я степень установлена у 10 (19,2%) пациентов, и только 2 (3,8%) имели 2-ю степень выраженности признака.
При рассмотрении преимущественного распределения признаков в кранио-каудальном направлении получены следующие данные. У 4 (7,7%) пациентов изменения наблюдались в верхних и средних долях, у 12 (23,1%) – в нижних долях, и у 35 (67,3%) пациентов изменения распределены диффузно по всем долям. Это свидетельствует о том, что преимущественная верхнедолевая локализация поражения не является типичной для фГП.
Распределение изменений в аксиальной плоскости также оценено у всех пациентов. В 2 (3,8%) наблюдениях преобладало центральное или перибронховаскулярное распределение, в 14 (28,8%) – периферическое или субплевральное распределение, в то время как у большинства пациентов – 34 (65,4%) – отмечалось диффузное распределение.
Важно отметить, что у 1 пациента из группы морфологически верифицированного фГП патологические изменения при ВРКТ, характерные для фГП, полностью отсутствовали и представлены только в виде небольших участков консолидации. Однако по результатам проведенного патогистологического исследования выставлен морфологический диагноз фГП.
Проведение корреляционного анализа между отдельными ВРКТ-признаками позволило выбрать несколько пар симптомов для демонстрации значимости их сочетаний. В процессе анализа результатов исследования выбраны пары, сила корреляций которых превышала 0,2, т.е. имеющие как минимум слабую корреляционную связь. Среди них установлены следующие сочетания: «матовое стекло» + ретикулярные изменения; ретикулярные изменения и бронхоэктазы; «мозаичная плотность» + «матовое стекло»; «мозаичная плотность» + ретикулярные изменения; эмфизема + центрилобулярные очаги.
Наиболее постоянным оказалось сочетание симптома «матового стекла» и ретикулярных изменений. При фГП это сочетание наблюдалось во всех 46 возможных случаях с картиной «матового стекла», причем одинаковая степень выраженности соответствующих признаков наблюдалась в 31 (67,4%) случае из 46 изученных. При исследовании также отмечено, что данные признаки в подавляющем большинстве случаев сочетаются между собой не только наличием, но и расположением при ВРКТ. В результате образуется новый ВРКТ-симптом – crazy paving – симптом «хаотичного мощения», более известный как симптом «булыжной мостовой» при интерпретации изменений в легких при коронавирусной инфекции. В целом он наблюдался у 30 пациентов.
Симптом «мозаичной плотности» и «матового стекла» сочетался в 23 (50%) наблюдениях из 46 случаев с ВРКТ-картиной «матового стекла» при фГП.
Симптом «мозаичной плотности» и ретикулярные изменения сочетаются в 25 случаях из 49 (51%), где присутствует ВРКТ-картина ретикулярных изменений.
Ретикулярные изменения и бронхоэктазы: у всех 34 пациентов, имеющих бронхоэктазы, выявлены ретикулярные изменения. Важно отметить, что среди этого числа пациентов у 23 (67,6%) из 34 также выявлены ретикулярные изменения 1-й степени выраженности. У остальных пациентов бронхоэктазы сочетались с ретикулярными изменениями 2, 3 и 4-й степени выраженности признака.
Сочетание эмфиземы и центрилобулярных очагов встречается у 13 (25%) пациентов в группе фГП.
Обсуждение
ГП представляет собой заболевание с большим количеством клинических и рентгенологических проявлений. Часто это затрудняет диагностику, не позволяет своевременно исключить патогенный фактор и начать правильное лечение. Кроме того, ГП проявляется различными рентгенологическими и морфологическими признаками в зависимости от степени выраженности фибротических изменений в легочной ткани. Не существует каких-либо строго определенных патогномоничных ВРКТ, присущих только этому заболеванию и только в конкретной фазе течения. Согласно новым рекомендациям по диагностике ГП, наиболее важными признаками нефиброзного варианта гиперчувствительного пневмонита (нфГП) являются симптом «матового стекла», центрилобулярные очаги и «мозаичная плотность» легочной паренхимы. Для фГП характерно появление ретикулярных изменений, тракционных бронхоэктазов и/или симптома «сотового легкого». Обычно эти признаки появляются в том числе на фоне уже имеющихся признаков нфГП [1]. В качестве характеристики распределения изменений при ВРКТ ранее предлагался вариант преимущественно верхней локализации в продольном направлении и перибронховаскулярное распределение при оценке изображений в аксиальной плоскости [6].
В настоящем исследовании представлены данные, полученные в результате анализа ВРКТ легких в группе из 52 пациентов с морфологически верифицированным диагнозом фГП. Установлено, что при фГП значительная доля пациентов имеют выраженные ретикулярные изменения и тракционные бронхоэктазы, что соответствует набору признаков типичного фГП, представленных в клинических рекомендациях [1]. Симптом «сотового легкого» также встречался при фГП, однако в значительно меньшей степени, чем ретикулярные изменения и тракционные бронхоэктазы. Это также соответствует критериям «ВРКТ-признаков типичного фГП». При рассмотрении распределения признаков преобладал диффузный тип, как при кранио-каудальном направлении, так и в аксиальной плоскости.
Вместе с тем в исследовании установлены некоторые различия с текущими рекомендациями. Так, симптом «матового стекла» традиционно рассматривается как один из основных признаков нфГП [6, 7], а в рекомендациях Американского торакального общества от 2020 г. – как важная составная часть типичной картины нфГП. В отношении фГП «матовое стекло» является лишь составной частью ВРКТ-картины, сопоставимой с фГП [1]. Приведенные в нашем исследовании данные указывают на весьма частое появление симптома «матового стекла» и при фГП, который наблюдался у 46 пациентов. Данная особенность находит свое отражение в клинических рекомендациях по ГП от 2021 г., где симптом «матового стекла» указывается как одна из составляющих частей легочного фиброза при условии наличия в нем тракционных бронхоэктазов и/или «сотового легкого» [3].
Примечательна сравнительно невысокая выраженность признаков патологии мелких дыхательных путей в виде симптома «мозаичной плотности» и центрилобулярных очагов, относящихся к ВРКТ-признакам типичного ГП, причем как нефиброзного, так и фиброзного вариантов [1]. Выраженность признаков «мозаичной плотности» не превышает 51,9%, а доля центрилобулярных очагов среди изученных пациентов достигает лишь 46,2%. В нашем исследовании встречались различные варианты «мозаичной плотности», в том числе в виде сочетания нормальной и повышенной воздушности легочной паренхимы (две плотности) и сочетания «матового стекла» и интактной легочной паренхимы (две плотности). Также присутствовал симптом трех плотностей, который считается важным и часто определяющим признаком фГП. Однако доля пациентов с этим симптомом не превышала 33% (9 пациентов из 27).
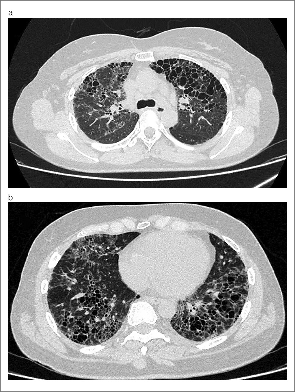
Обращает на себя внимание относительно высокая частота эмфиземы среди изученных пациентов. Согласно клиническим рекомендациям, эмфизема не является отдельным признаком фГП и редко сочетается с фиброзом легкого [1]. Однако в нашем исследовании эмфизема встречается почти у 1/2 обследованных пациентов – в 42,3% случаев, что позволяет говорить об относительно частой встречаемости признака. Важно, что среди выявленных 22 пациентов с эмфиземой у 18 (81,8%) из них отсутствует анамнез курения, что ставит вопрос о патогенезе эмфиземы в этой группе пациентов и о необходимости дифференциальной диагностики эмфиземы и «сотового легкого» при фГП по данным ВРКТ. Это тем более важно, что в 7 (58,3%) случаях из 12 эмфизема ассоциировалась с симптомом «сотового легкого» и крайне затрудняла интерпретацию изменений в легких при ВРКТ, как показано на рис. 4.
Рис. 4. Женщина, 44 года, ВРКТ, фГП в сочетании с эмфиземой легких. На аксиальных срезах в верхних и нижних долях обоих легких определяются множественные воздушные полости различного размера и формы, расположенные в глубоких отделах разных долей легких, а также аналогичные по характеру полости в кортикальных и субплевральных отделах легких. Дифференциальная диагностика «сотового легкого» и эмфиземы в таких случаях может быть затруднительной.
Картина распределения изменений при ВРКТ оказалась разнородной. В исследовании одновременно присутствуют и перибронховаскулярное (центральное) распределение, и субплевральное (кортикальное) распределение, но наиболее частым вариантом стало диффузное распределение. При рассмотрении кранио-каудального распределения патологические изменения преобладали в нижних долях у большинства больных, что противоречит устоявшейся точке зрения о том, что при ГП изменения преобладают в верхней части легких. В ряде случаев патологические изменения располагаются только в нижних долях, но верхние доли сохраняются интактными, что является типичным для обычной интерстициальной пневмонии и определяет объективные трудности в интерпретации изменений в легких у таких пациентов.
Для выявления рентгенологических критериев ранней диагностики фГП проведено исследование определенных сочетаний ВРКТ-признаков. Корреляционный анализ выявил преимущественно слабую корреляционную связь между признаками, причем это касается связей между номинальными данными, между порядковыми данными, а также сопоставления номинальных и порядковых данных. По результатам анализа выявлено наличие взаимосвязи между рядом признаков, например «матовое стекло» и ретикулярные изменения; «мозаичная плотность» и «матовое стекло»; «мозаичная плотность» и ретикулярные изменения, а также центрилобулярные очаги и эмфизема. Однако сила корреляционной связи практически во всех перечисленных сочетаниях признаков не превышала значения 0,4.
Несмотря на это обстоятельство, в данном исследовании продемонстрировано, что сочетания отдельных симптомов с высокой частотой встречаются при фГП. Среди них можно отдельно выделить симптом «мозаичной плотности», рассматривавшийся в ряде работ как наиболее значимый в диагностике ГП [8]. В некоторых работах сделана попытка разработать диагностические модели, среди которых сочетания признаков с «мозаичной плотностью» отмечались как наиболее значимые [9, 10]. В настоящем исследовании «мозаичная плотность» в большинстве случаев сочетается с симптомом «матового стекла» и ретикулярными изменениями.
Заключение
В проведенном исследовании 52 пациентов с морфологически верифицированным диагнозом фГП изучены особенности ВРКТ-картины изменений в легких. Продемонстрировано, что в значительном количестве случаев рентгенологические признаки фГП не полностью соответствовали выделенным паттернам ГП в рекомендациях от 2020 г. и несколько более поздних рекомендациях от 2021 г. Ряд наблюдений также демонстрирует, что компьютерно- томографическая картина, сопоставимая с фГП, встречается значительно чаще предполагаемого, что, в свою очередь, требует использования дополнительных методов диагностики. Согласно данным корреляционного анализа, различные сочетания рентгенологических признаков имеют слабые взаимосвязи друг с другом, что затрудняет поиск возможных сочетаний признаков, позволяющих с высокой долей вероятности предположить фГП. Данные наблюдения показывают сложность выявления ранних признаков фГП, а также необходимость проведения дальнейших исследований в этой области.
Раскрытие интересов. Авторы декларируют отсутствие явных и потенциальных конфликтов интересов, связанных с публикацией настоящей статьи.
Disclosure of interest. The authors declare that they have no competing interests.
Вклад авторов. Авторы декларируют соответствие своего авторства международным критериям ICMJE. Все авторы в равной степени участвовали в подготовке публикации: разработка концепции статьи, получение и анализ фактических данных, написание и редактирование текста статьи, проверка и утверждение текста статьи.
Authors’ contribution. The authors declare the compliance of their authorship according to the international ICMJE criteria. All authors made a substantial contribution to the conception of the work, acquisition, analysis, interpretation of data for the work, drafting and revising the work, final approval of the version to be published and agree to be accountable for all aspects of the work.
Источник финансирования. Авторы декларируют отсутствие внешнего финансирования для проведения исследования и публикации статьи.
Funding source. The authors declare that there is no external funding for the exploration and analysis work.
Об авторах
Дмитрий Андреевич Кулешов
ФГБОУ ДПО «Российская медицинская академия непрерывного профессионального образования» Минздрава России
							Автор, ответственный за переписку.
							Email: dimson1994@mail.ru
				                					                																			                								
аспирант каф. рентгенологии и радиологии
Россия, МоскваИгорь Евгеньевич Тюрин
ФГБОУ ДПО «Российская медицинская академия непрерывного профессионального образования» Минздрава России
														Email: dimson1994@mail.ru
				                	ORCID iD: 0000-0003-3931-1431
				                																			                								
д-р мед. наук, проф., зав. каф. рентгенологии и радиологии
Россия, МоскваСписок литературы
- Raghu G, Remy-Jardin M, Ryerson CJ, et al. Diagnosis of Hypersensitivity Pneumonitis in Adults. An Official ATS/JRS/ALAT Clinical Practice Guideline. Am J Respir Crit Care Med. 2020;202(3):e36-69. doi: 10.1164/rccm.202005-2032st
- Cottin V, Hirani NA, Hotchkin DL, et al. Presentation, diagnosis and clinical course of the spectrum of progressive-fibrosing interstitial lung disеases. Eur Respir Rev. 2018;27(150):180076. doi: 10.1183/16000617.0076-2018
- Fernández Pérez ER, Travis WD, Lynch DA, et al. Diagnosis and Evaluation of Hypersensitivity Pneumonitis. Chest. 2021;160(2):e97-156. doi: 10.1016/j.chest.2021.03.066
- Hansell DM, Bankier AA, MacMahon H, et al. Fleischner Society: Glossary of Terms for Thoracic Imaging. Radiology. 2008;246(3):697-722. doi: 10.1148/radiol.2462070712
- Kligerman SJ, Henry T, Lin CT, et al. Mosaic Attenuation: Etiology, Methods of Differentiation, and Pitfalls. Radiographics. 2015;35(5):1360-80. doi: 10.1148/rg.2015140308
- Silva CIS, Müller NL, Lynch DA, et al. Chronic Hypersensitivity Pneumonitis: Differentiation from Idiopathic Pulmonary Fibrosis and Nonspecific Interstitial Pneumonia by Using Thin-Section CT. Radiology. 2008;246(1):288-97. doi: 10.1148/radiol.2453061881
- Vasakova M, Morell F, Walsh S, et al. Hypersensitivity Pneumonitis: Perspectives in Diagnosis and Management. Am J Respir Crit Care Med. 2017;196(6):680-9. doi: 10.1164/rccm.201611-2201pp
- Barnett J, Molyneaux PL, Rawal B, et al. Variable Utility of Mosaic Attenuation to Distinguish Fibrotic Hypersensitivity Pneumonitis from Idiopathic Pulmonary Fibrosis. Eur Respir J. 2019;54(1):1900531. doi: 10.1183/13993003.00531-2019
- Salisbury ML, Gross BH, Chughtai A, et al. Development and Validation of a Radiologic Diagnosis Model for Hypersensitivity Pneumonitis. Eur Respir J. 2018;52(2):1800443. doi: 10.1183/13993003.00443-2018
- Johannson KA, Elicker BM, Vittinghoff E, et al. A diagnostic model for chronic hypersensitivity pneumonitis. Thorax. 2016;71(10):951-4. doi: 10.1136/thoraxjnl-2016-208286
Дополнительные файлы
 
				
			 
						 
					 
									







