Lymphangioleiomyomatosis of the lungs: features of the clinical picture, diagnosis and treatment. Case report
- Authors: Ignatova G.L.1, Blinova E.V.1, Bel'sner M.S.1
-
Affiliations:
- South Ural State Medical University
- Issue: Vol 24, No 3 (2022)
- Pages: 166-169
- Section: Articles
- Published: 19.03.2022
- URL: https://consilium.orscience.ru/2075-1753/article/view/108060
- DOI: https://doi.org/10.26442/20751753.2022.3.201504
- ID: 108060
Cite item
Full Text
Abstract
The article highlights the main issues of etiology, pathogenesis, clinical picture, diagnosis and treatment of patients with lymphangioleiomyomatosis. The clinical observation presents the features of the condition, the rate of progression, diagnostic approaches and management programs for a patient with a rare cystic lung pathology.
Keywords
Full Text
Введение
Лимфангиолейомиоматоз (ЛАМ) – редкое прогрессирующее системное заболевание, характеризующееся нарушенной пролиферацией гладкомышечных клеток (ЛАМ-клеток) с развитием прогрессирующей кистозной дегенерации легочной ткани, возникновением хилоторакса, асцита и ангиомиолипом различной локализации [1, 2].
Этиология
ЛАМ может быть спорадическим либо развиваться у больных туберозным склерозом (ТС). ТС (болезнь Бурневилля) это наследственный аутосомно-доминантный синдром, при котором происходит формирование гамартом в разных органах и тканях. Полисистемный характер нарушений сопровождается широким спектром симптомов: повреждениями головного мозга, которые могут вызывать эпилепсию и снижение интеллекта; новообразованиями кожи и глазного дна; поражением внутренних органов (легкие, сердце, почки) [3]. Около 85% случаев ЛАМ являются спорадическими, обычно протекают тяжелее и быстрее приводят к формированию дыхательной недостаточности и инвалидизации пациентов. Гистологические изменения при спорадическом ЛАМ и при ЛАМ, ассоциированном с ТС, идентичны, что позволяет предполагать общие генетические и патофизиологические механизмы обоих заболеваний [4].
ТС обусловлен мутациями в генах TSC1 (кодирует белок гамартин) и TSC2 (кодирует белок туберин), а спорадический ЛАМ главным образом связан с мутацией в гене TSC2 [5]. Основная роль комплекса этих белков состоит в ингибировании фермента киназы, которую называют мишенью рапамицина млекопитающих (mammalian target of rapamycin, mTOR) и которая служит основным регулятором клеточного роста. Мутация генов TSC приводит к активации киназы mTOR и далее – к нерегулируемой пролиферации клеток [6].
Патофизиология
При ЛАМ в легких появляются особые ЛАМ-клетки, представляющие собой эпителиоидные клетки или похожие на миофибробласты веретенообразные клетки. ЛАМ-клетки могут метастазировать по кровеносным или лимфатическим сосудам подобно клеткам злокачественных опухолей. Веретенообразные ЛАМ-клетки экспрессируют матриксные металлопротеиназы, которые разрушают внеклеточный матрикс и тем самым облегчают миграцию клеток. Помимо этого, и веретенообразные, и эпителиоидные ЛАМ-клетки продуцируют протеазу катепсина К, которая также способствует деградации внеклеточного матрикса и вместе с металлопротеиназами вызывает разрушение легочной паренхимы [6]. Кроме того, ЛАМ-клетки экспрессируют рецепторы к эстрогену и прогестерону, что объясняет нередкое ухудшение течения заболевания во время беременности и уменьшение скорости прогрессирования после наступления менопаузы. Возможно, гормоны оказывают влияние на пролиферацию ЛАМ-клеток, хотя роль эстрогенов в патогенезе ЛАМ остается невыясненной [6].
Клиническая картина
Основными клиническими признаками ЛАМ являются прогрессирующая одышка, повторные пневмотораксы (в 50–75% случаев), накопление хилезного выпота в плевральной или брюшной полости, эпизоды кровохарканья, ангиолипомы почек [5].
К внелегочным относят следующие проявления ЛАМ:
- Ангиомиолипомы почек – доброкачественные образования размерами от 1 до 20 см и более, обычно обнаруживаемые в почках у 40% больных со спорадическим ЛАМ и у 80% пациентов с ЛАМ-ТС, часто опережая развитие легочной патологии. Ангиомиолипомы нередко существуют бессимптомно, но при большом их количестве и крупных размерах могут стать причиной гематурии и боли в пояснице.
- Хилезный асцит, обусловленный сдавлением лимфатических сосудов и обычно сочетающийся с хилотораксом.
- Абдоминальная лимфаденопатия (забрюшинная, реже – внутритазовая) – не имеет клинических проявлений и диагностируется при ультразвуковом исследовании (УЗИ) или компьютерной томографии (КТ) органов брюшной полости у 1/3 больных.
- Лимфангиолейомиомы – крупные кистозные опухолевидные образования, состоящие из лимфатической ткани и расположенные чаще в брюшной полости, забрюшинном пространстве, полости таза. Встречаются у 10% больных ЛАМ [6].
Диагностика
Диагностические критерии ЛАМ сформулированы в клинических рекомендациях Европейского респираторного общества по диагностике и ведению ЛАМ, согласно которым диагноз может иметь разную степень вероятности. Выделяют определенный, вероятный и возможный ЛАМ [5].
Определенный ЛАМ
1) Характерная или сходная с ЛАМ картина изменений в легких при КТ высокого разрешения (КТВР) и свойственная ЛАМ патологическая картина в биоптате легкого.
2) Характерная картина изменений в легких при КТВР в сочетании с одним из следующих признаков:
- ангиомиолипома в почках;
- хилезный выпот в плевральной или брюшной полости;
- лимфангиолейомиома;
- поражение ЛАМ лимфатических узлов;
- определенный или вероятный ТС.
Вероятный ЛАМ
1) Характерная картина изменений в легких при КТВР и типичное клиническое течение болезни.
2) Сходная с ЛАМ картина изменений в легких при КТВР в сочетании с одним из следующих признаков:
- ангиомиолипома в почках;
- хилезный выпот в плевральной или брюшной полости.
Возможный ЛАМ
Характерная или сходная с ЛАМ картина изменений в легких при КТВР [5]. Такая ситуация требует дифференциальной диагностики других кистозных заболеваний легких:
- эмфизема легких;
- лангергансоклеточный гистиоцитоз (гистиоцитоз Х);
- фолликулярный бронхиолит и лимфоцитарная интерстициальная пневмония, ассоциированная с синдромом Шегрена;
- синдром Берта–Хогга–Дюбе;
- болезнь накопления легких цепей иммуноглобули- на (Ig) G;
- гипер-IgE-синдром;
- опухоли гладкой мускулатуры (миосаркома, лейомиосаркома), опухоли яичников [1, 6].
Обязательным компонентом диагностики ЛАМ является исследование легочной функции, которое помимо спирометрии должно включать измерение легочных объемов (бодиплетизмографию) и оценку диффузионной способности легких. Снижение легочной диффузии при ЛАМ обнаруживается чаще и считается наиболее ранним функциональным признаком данного заболевания, чем снижение объема форсированного выдоха за 1-ю секунду (ОФВ1) как основного показателя бронхиальной обструкции [5].
КТВР – оптимальный метод лучевой диагностики ЛАМ. Типичными КТ-признаками считают наличие четко очерченных округлых тонкостенных кист разных размеров от едва различимых до 25–30 мм в диаметре, расположенных симметрично в обоих легких и равномерно по всем полям; количество – от единичных кист до почти полного замещения ими легочной паренхимы [5].
При гистологическом исследовании биоптатов легочной ткани в препаратах преобладают кисты, множественная узелковая пролиферация незрелых гладкомышечных клеток и периваскулярно расположенных эпителиоидных клеток. Если гистологическая картина не позволяет с уверенностью судить о ЛАМ, следует выполнить иммуногистохимическое исследование с окраской на α-актин гладких мышц и с моноклональными антителами меланомы человека HMB-45, поскольку ЛАМ-клетки экспрессируют гликопротеин 100 – маркер клеток меланомы. В диагностике ЛАМ также помогает иммуногистохимическое выявление рецепторов к эстрогенам и прогестерону [5].
Ведение больных
Прогрессирующее снижение легочной функции, приводящее к развитию хронической дыхательной недостаточности, считают основным признаком неблагоприятного течения ЛАМ. Скорость падения ОФВ1 может составлять 70–120 мл в год, хотя в некоторых случаях легочная функция остается стабильной на протяжении многих лет [7].
Наиболее перспективными в консервативной терапии ЛАМ являются ингибиторы mTOR сиролимус и эверолимус. В немногочисленных исследованиях патогенетическая терапия ингибиторами mTOR приводила к улучшению или стабилизации легочной функции, уменьшению или прекращению образования хилезного выпота, редукции объема ангиомиолипом и лимфангиолейомиом [8]. В связи с небольшим объемом доказательных данных ингибиторы mTOR пока не вошли в рутинную клиническую практику, однако, учитывая возможность практической пользы от применения препаратов этой группы, они могут быть назначены пациентам с быстрым ухудшением функции легких или нарастанием клинической симптоматики. Терапию ингибиторами mTOR рекомендовано проводить в медицинских учреждениях экспертного уровня, имеющих опыт ведения больных ЛАМ [5].
В качестве симптоматической терапии, учитывая обструктивные нарушения легочной функции, показано назначение коротко- и длительно действующих бронходилататоров. При развитии хронической дыхательной недостаточности при ЛАМ, как и при других заболеваниях, используют длительную кислородотерапию, а при наличии показаний проводят трансплантацию легких [5].
Клинический случай
Пациентка Б., 1979 год рождения, обратилась в Челябинский областной консультативно-диагностический центр для больных пульмонологического профиля Областной клинической больницы №3 г. Челябинска с жалобами на одышку при небольшой физической нагрузке, сухой приступообразный кашель в первой половине дня.
Из анамнеза известно, что впервые, в возрасте 36 лет (2015 г.), произошел пневмоторакс справа, затем в течение последующего года – рецидивирующие пневмотораксы справа (всего 4), после чего была выполнена краевая резекция верхней доли правого легкого, субтотальная плеврэктомия справа, химический плевродез 4% раствором гидрокарбоната натрия в постоперационном периоде. Гистологическое заключение (2016 г.): «Хронический плеврит с минимальной активностью; морфологическая картина может соответствовать идиопатическому легочному фиброзу». Пациентка наблюдалась у пульмонолога по месту жительства с интерстициальным заболеванием легких. За период 2016–2019 гг. – повторные госпитализации в отделения пульмонологического и общетерапевтического профиля по месту жительства в связи с пневмотораксами с двух сторон, эпизодами кровохарканья. Получала терапию длительно действующими антихолинергическими препаратами, дополнительно принимала короткодействующие β2-агонисты до 5–7 раз в сутки, без клинического улучшения: прогрессивно нарастала одышка, наблюдалось снижение толерантности к физической нагрузке. При первичном контакте с пациенткой в марте 2019 г. обращали на себя внимание выраженная дыхательная недостаточность, снижение массы тела на 12 кг за последние 6 мес.
Курила в течение 10 лет, индекс курения – 15 пачка/лет, не курит с 2015 г. Профессиональные вредности отрицает. Беременностей – 2, роды – 1. Прием эстрогенсодержащих препаратов отрицает. Аллергологический анамнез без особенностей.
Объективный статус. Общее состояние удовлетворительное. Кожный покров физиологической окраски, чистый. Периферические лимфатические узлы не увеличены. Индекс массы тела – 17,6 кг/м2. Одышка по шкале MRC (Medical Research Council, шкала Британского медицинского совета) – 3 балла. Грудная клетка правильной формы, симметричная, равномерно участвует в дыхании, при пальпации безболезненная. Частота дыхательных движений – 23 в минуту. Дыхание везикулярное, ослабленное, рассеянные разнокалиберные хрипы, более выраженные при форсированном выдохе. Уровень насыщения крови кислородом (SpO2), измеренный методом пульсоксиметрии, – 92% в покое; при самообслуживании – снижение SpO2 до 87%. Тоны сердца приглушены, ритм правильный, частота сердечных сокращений – 95 в минуту. Артериальное давление 144/71 мм рт. ст. Живот мягкий, безболезненный. Периферических отеков нет.
Результаты лабораторно-инструментальных методов исследования. В клиническом анализе крови: гемоглобин – 109 г/л, лейкоциты – 8,3 тыс., эозинофилы – 1%, лимфоциты – 26%, моноциты – 5%, скорость оседания эритроцитов – 15 мм/ч. Клинический анализ мочи без патологии. Исследование крови на α1-антитрипсин от апреля 2019 г. – 3,73 г/л (норма 0,9–2,0).
В тесте с 6-минутной ходьбой установлена выраженная десатурация (SpO2 исходно – 92%, после теста – 76%), пройденное расстояние – 200 м.
По результатам исследования функции внешнего дыхания от апреля 2019 г. выявлены нарушения вентиляционной функции легких по обструктивному типу, гиперинфляция, выраженное снижение диффузионной способности легких (табл. 1).
По данным эхокардиографии: дилатация полостей правого предсердия и правого желудочка, дилатация ствола легочной артерии. Систоло-диастолическая функция левого желудочка удовлетворительная. Систолическое давление в легочной артерии – 55 мм рт. ст.
При УЗИ органов брюшной полости и почек обнаружены ангиолипомы в левой доле печени и левой почке.
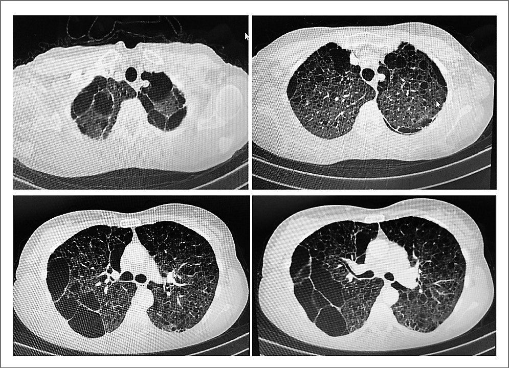
При КТВР органов грудной клетки (апрель 2019 г.) наблюдали множественные тонкостенные кисты до 10 мм во всех отделах; в верхней и средней долях правого легкого – множественные субплевральные буллы (рис. 1).
Рис. 1. Компьютерные томограммы органов грудной клетки пациентки Б от 04.04.2019.
В апреле 2019 г. был проведен пересмотр гистологического материала и выполнено иммуногистохимическое исследование: в стенках альвеол, полостей, сосудов, бронхиол и субплеврально обнаружены разрастания незрелых гладкомышечных клеток в виде узелков. Веретенообразные клетки экспрессируют в цитоплазме гладкомышечный актин и HMB-45; в ядрах клеток – яркая диффузная экспрессия прогестерона и эстрогена. Встречаются единичные клетки с цитоплазматической экспрессией десмина и MART1. Заключение: иммуноморфологическая картина соответствует ЛАМ.
Пациентка была дистанционно проконсультирована в клинике пульмонологии Первого Московского государственного медицинского университета им. И.М. Сеченова д.м.н., проф. С.Н. Авдеевым, поставлен диагноз: «ЛАМ, прогрессирующее течение. Рецидивирующие пневмотораксы (2015–2019 гг.). Краевая резекция верхней доли правого легкого, субтотальная плеврэктомия справа (2016 г.). Хроническая дыхательная недостаточность 2-й степени». Даны рекомендации по продолжению применения двойной бронходилатационной терапии, длительной кислородотерапии не менее 15 ч/сут, а также инициирована терапия ингибитором mTOR сиролимусом в дозе 2 мг/сут.
Рекомендованный прием ингибитора mTOR пациентка начала в марте 2020 г. и продолжала на протяжении 10 мес, однако клинического улучшения и стабилизации функциональных показателей не отмечалось (табл. 1).
Таблица 1. Динамика основных показателей функции внешнего дыхания пациентки Б | ||||
Показатель | Период наблюдения | |||
Апрель 2019 г. | Ноябрь 2019 г. | Март 2020 г., старт приема препарата | Декабрь 2020 г. | |
ФЖЕЛ, л (% от должного) | 2,84 (81) | 2,67 (76,1) | 2,62 (74,6) | 1,79 (51) |
ОФВ1, л (% от должного) | 0,95 (31) | 0,88 (28,75) | 0,81 (26,5) | 0,55 (18) |
ОФВ1/ФЖЕЛ, % | 33,4 | 32,9 | 30,9 | 30,7 |
ООЛ, л (% от должного) | 6,05 (315,1) | 6,15 (320,3) | 6,15 (320,3) | 6,73 (350,5) |
DLco, мл/мин/мм рт. ст. (% от должного) | 6,68 (25,5) | 6,16 (23,5) | 6,47 (24,7) | 4,76 (18,2) |
Примечание. ФЖЕЛ – форсированная жизненная емкость легких, ООЛ – остаточный объем легких, DLco – диффузионная способность легких по оксиду углерода. | ||||
В декабре 2020 г. пациентка была направлена в НМИЦ трансплантологии и искусственных органов им. акад. В.И. Шумакова, где ей проведено комплексное обследование и, учитывая необратимость основного заболевания, бесперспективность консервативной терапии, подтверждено наличие показаний и отсутствие противопоказаний для выполнения трансплантации легких от посмертного донора. В декабре 2020 г. больная была включена в лист ожидания трансплантации легких. В настоящее время проживает в Москве, регулярно проходит комплексное обследование и ожидает потенциального донора.
Обсуждение
Представлен опыт ведения пациентки с орфанным заболеванием легких, у которой наблюдалось многолетнее прогрессирование респираторной симптоматики. При этом данные КТВР и результаты гистологического исследования изначально были неверно интерпретированы, что привело к тому, что болезнь диагностировали на терминальной стадии, ввиду чего очевиден факт отсутствия значимого клинико-функционального улучшения на фоне назначенной патогенетической терапии ингибиторами mTOR. В случае, когда терапевтические методы лечения исчерпаны, а заболевание неуклонно прогрессирует, радикально помочь пациенту можно только путем трансплантации легких.
В настоящее время по поводу ЛАМ проводят 1,1% всех трансплантаций. ЛАМ является более благоприятным в отношении прогноза заболеванием по сравнению с другими патологиями, требующими трансплантации легких. В исследовании J. Kpodonu и соавт. было установлено, что выживаемость пациентов после пересадки легких по поводу ЛАМ составила в среднем 86% через 1 год, 76% – через 3 года и 65% – через 5 лет [9]. Существует 3 варианта трансплантации легких: одно-, двусторонняя и комплекс «сердце–легкие». По данным мировой практики, при ЛАМ чаще выполняют пересадку обоих легких [5]. После двусторонней трансплантации в большей степени улучшается функция легких и менее выраженными являются осложнения ЛАМ. Выбор варианта трансплантации легких определяется факторами хирургической техники и доступностью донорских органов.
Заключение
ЛАМ – редкое заболевание молодых женщин, однако с широким внедрением в рутинную клиническую практику КТ и повышением ее доступности число пациенток с этим диагнозом увеличивается. Вместе с тем в настоящее время в Российской Федерации диагноз ЛАМ чаще распознают уже на стадии выраженной кистозной дегенерации легких и при наличии дыхательной недостаточности, и представленное клиническое наблюдение служит ярким тому подтверждением. Ввиду вышесказанного очень важны распространение знаний об этом орфанном заболевании в современном врачебном сообществе и необходимость дальнейшего изучения данной патологии.
Раскрытие интересов. Авторы декларируют отсутствие явных и потенциальных конфликтов интересов, связанных с публикацией настоящей статьи.
Disclosure of Interest. The authors declare that they have no competing interests.
Вклад авторов. Авторы декларируют соответствие своего авторства международным критериям ICMJE. Все авторы в равной степени участвовали в подготовке публикации: разработка концепции статьи, получение и анализ фактических данных, написание и редактирование текста статьи, проверка и утверждение текста статьи.
Authors’ contribution. The authors declare the compliance of their authorship according to the international ICMJE criteria. All authors made a substantial contribution to the conception of the work, acquisition, analysis, interpretation of data for the work, drafting and revising the work, final approval of the version to be published and agree to be accountable for all aspects of the work.
Источник финансирования. Авторы декларируют отсутствие внешнего финансирования для проведения исследования и публикации статьи.
Funding source. The authors declare that there is no external funding for the exploration and analysis work.
Информированное согласие на публикацию. Пациентка подписала форму добровольного информированного согласия на публикацию медицинской информации.
Consent for publication. Written consent was obtained from the patient for publication of relevant medical information and all of accompanying images within the manuscript.
About the authors
Galina L. Ignatova
South Ural State Medical University
Email: iglign@mail.ru
ORCID iD: 0000-0002-0877-6554
D. Sci. (Med.), Prof.
Russian Federation, ChelyabinskElena V. Blinova
South Ural State Medical University
Author for correspondence.
Email: blinel@mail.ru
ORCID iD: 0000-0003-2507-5941
Cand. Sci. (Med.)
Russian Federation, ChelyabinskMariia S. Bel'sner
South Ural State Medical University
Email: mariika_04@mail.ru
Cand. Sci. (Med.)
Russian Federation, ChelyabinskReferences
- Meraj R, Wikenheiser-Brokamp KA, Young LR, McCormack FX. Lymphangioleiomyomatosis: new concepts in pathogenesis, diagnosis, and treatment. Semin Respir Crit Care Med. 2012;33(5):486-947. doi: 10.1055/s-0032-1325159
- Ando K, Tobino K, Kurihara M, et al. Quantitative CT analysis of small pulmonary vessels in lymphangioleiomyomatosis. Eur J Radiol. 2012;81(12):3925-30. doi: 10.1016/j.ejrad.2012.05.033
- Seibert D, Hong CH, Takeuchi F, et al. Recognition of tuberous sclerosis in adult women: delauyed presentation with life-treatening consequences. Ann Intern Med. 2011;154(12):806-13,W-294. doi: 10.7326/0003-4819-154-12-201106210-00008
- Zhang X, Travis WD. Pulmonary lymphangioleiomyomatosis. Arch Pathol Lab Med. 2010;134(12):1823-8. doi: 10.5858/2009-0576-RS.1
- Johnson SR, Cordier JF, Lazor R, et al. Review Panel of the ERS LAM Task Force. European Respiratory Society guidelines for the diagnosis and management of lymphangioleiomyomatosis. Eur Respir J. 2010;35(26):14-26. doi: 10.1183/09031936.00076209
- Harari S, Torre O, Moss J. Lymphangioleiomyomatosis: what do we know and what are we looking for? Eur Respir J. 2011;20(119):34-44. doi: 10.1183/09059180.00011010
- Cordier JF, Johnson SR. Multiple cystic lung diseases. Eur Respir Monogr. 2011;54:46-83.
- McCormack FX, Inoue Y, Moss J, et al. Efficacy and safety of sirolimus in lymphangioleiomyomatosis. N Engl J Med. 2011;364:1595-606. doi: 10.1056/NEJMoa1100391
- Kpodonu J, Massad MG, Chaer RA, et al. The US experience with lung transplantation for pulmonary lymphangioleiomyomatosis. J Heart Lung Transplant. 2005; 24(9):1247-53. doi: 10.1016/j.healun.2004.09.013
Supplementary files




