Легочная токсичность, индуцированная блеомицином, у пациентов с герминогенными опухолями
- Авторы: Огнерубов Н.А.1, Антипова Т.С.2, Огнерубов С.А.2
-
Учреждения:
- ГБУЗ «Тамбовский областной онкологический клинический диспансер»
- ООО «ПЭТ-Технолоджи», Центр ядерной медицины
- Выпуск: Том 24, № 3 (2022)
- Страницы: 205-208
- Раздел: Статьи
- Статья опубликована: 19.03.2022
- URL: https://consilium.orscience.ru/2075-1753/article/view/108069
- DOI: https://doi.org/10.26442/20751753.2022.3.201529
- ID: 108069
Цитировать
Полный текст
Аннотация
Введение. Легочная токсичность, индуцированная блеомицином, является опасным осложнением при применении полихимиотерапии у больных с герминогенными опухолями. Она встречается с частотой до 46%, а в 1–4% случаев заканчивается летальным исходом.
Цель. Представить случаи легочной токсичности при проведении полихимиотерапии с включением блеомицина по поводу герминогенных опухолей яичка.
Материалы и методы. Под наблюдением находились 2 пациента в возрасте 43 и 33 лет с герминогенными опухолями яичка, которым после орхифуникулэктомии проводилась полихимиотерапия по схеме ВЕР (блеомицин + этопозид + цисплатин) в стационарном режиме в количестве 4 и 6 циклов соответственно. Позитронно-эмиссионная томография, совмещенная с компьютерной томографией (ПЭТ/КТ), с 18F-фтордезоксиглюкозой выполнялась при появлении клинических симптомов по окончании лечения.
Результаты. Гистологически опухоль у больного 33 лет была представлена смешанной опухолью – семиномой, эмбриональным раком с элементами тератоидного рака. По данным спиральной компьютерной томографии брюшной полости выявлены метастазы в забрюшинные лимфоузлы. У 43-летнего пациента опухоль имела строение эмбрионального рака с множественными метастазами в легкие, лимфоузлы средостения и забрюшинные лимфатические узлы. Проведено 6 циклов и 4 цикла полихимиотерапии по схеме ВЕР соответственно. Кумулятивная доза блеомицина при этом составила 540 и 360 мг за 18 и 12 введений. Лечение сопровождалось развитием фебрильной нейтропении с коррекцией Г-КСФ. Указанные факторы риска следует считать наиболее значимыми. Появление респираторных симптомов в процессе лечения следует расценивать как проявление легочной токсичности. ПЭТ/КТ является методом выбора в постановке диагноза. У наблюдаемых пациентов клиническая картина, равно как и изменения на ПЭТ/КТ, была выявлена через 2 нед по окончании химиотерапии.
Заключение. Легочная токсичность, индуцированная применением блеомицина, у пациентов с герминогенными опухолями яичка является весьма грозным осложнением, порой с летальным исходом. В связи с этим ее ранняя диагностика с учетом факторов риска имеет важное значение в клинической практике. Среди методов медицинской визуализации особую роль играет ПЭТ/КТ, которая позволяет предсказать токсичность до реализации клинического и рентгенологического дебюта.
Ключевые слова
Полный текст
Введение
Блеомицин применяется для лечения распространенных герминогенных опухолей яичка в качестве терапии 1-й линии и может быть связан с развитием тяжелой легочной токсичности, включая пневмонит и легочный фиброз, поскольку легкие и кожа являются основными мишенями токсичности из-за низкой концентрации блеомицингидролазы [1].
Индуцированное блеомицином поражение легких проявляется подострым течением процесса с появлением респираторных симптомов в виде непродуктивного кашля, одышки и дискомфорта в грудной клетке, а при объективном обследовании – наличием хрипов и появлением бессимптомных изменений в легких [2, 3].
Однозначной трактовки морфологических изменений в легких, специфических клинических проявлений, равно как и рентгенологических, на страницах печати нет.
В литературе сообщается о различной частоте блеомицининдуцированной легочной токсичности – от 0 до 46% с летальным исходом 1–4% [1, 4–7].
В клинических руководствах отсутствуют единые рекомендации относительно ведения пациентов, получающих схемы с блеомицином. При этом неясно, следует ли проводить визуализацию органов грудной клетки и оценку функционального состояния легких до, во время и после лечения с целью раннего выявления токсического поражения легких [4].
В 2020 г. M. Raphael и соавт. провели популяционное исследование в период с 2005 по 2010 г. в провинции Онтарио у 552 больных после орхэктомии и химиотерапии, получавших лечение по поводу рака яичка.
Целью их исследования было определить значение оценки функционального состояния легких и визуализации органов грудной клетки в рутинной практике до, во время и после лечения блеомицином при распространенном раке яичка.
Вторичная цель заключалась в оценке частоты обращений пациентов к врачам с жалобами на респираторные заболевания до и после терапии блеомицином для определения бремени легочной токсичности. Авторы показали, что по окончании химиотерапии 23% пациентов обращались за медицинской помощью по поводу респираторных симптомов на протяжении 2 последующих лет. При этом оказалось, что повышение кумулятивной дозы блеомицина достоверно связано с увеличением вероятности развития легочной токсичности. Из этого количества больных 40% получали 10–12 доз, 21% – 7–9 доз и 14% – 1–6 доз. Легочный фиброз развился у 2% пациентов в течение 2 лет после применения блеомицина. Это исследование предполагает применение методов визуализации органов грудной клетки и оценки функционального состояния легких как новой опции мониторинга на этапах лечебного процесса с применением блеомицина в рутинной практике [4].
Цель исследования – представить 2 случая развития легочной токсичности у пациентов с распространенными опухолями яичка, получавших полихимиотерапию с блеомицином.
Материалы и методы
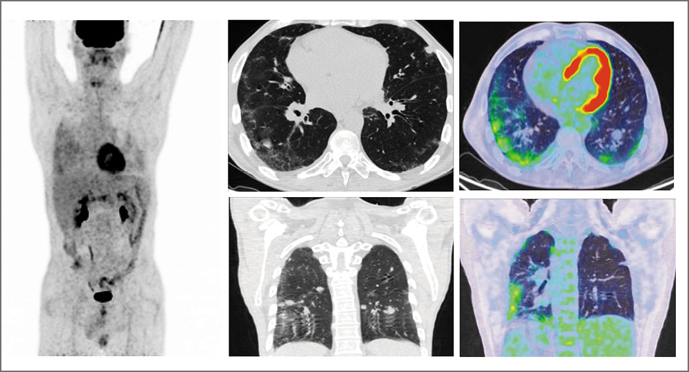
Больной Б. 33 лет. По поводу рака правого яичка выполнена орхифуникулэктомия. При гистологическом исследовании опухоль представлена компонентом семиномы, эмбрионального и с очагами тератоидного рака. При спиральной компьютерной томографии (СКТ) органов брюшной полости с контрастированием обнаружены метастазы в забрюшинные лимфоузлы с максимальными размерами 61×72 мм, со сдавлением нижней полой вены. По данным СКТ органов грудной полости очаговой патологии в легких и средостении не выявлено. Уровень хорионического гонадотропина человека – 3,8 мЕд/мл, альфа-фетопротеина – 175,2 МЕ/мл, лактатдегидрогеназы – 436 ЕД/л. Установлен диагноз: смешанная опухоль правого яичка, стадия IIIА рT2N3M0S1, осложненная синдромом нижней полой вены. Диагноз обсужден на междисциплинарной комиссии. Назначена системная полихимиотерапия по схеме BEP в стационарном режиме в количестве 4 циклов с учетом факторов прогноза. Схема BEP включала в себя 30 мг блеомицина в 1, 3, 5-й дни, 100 мг/м2 этопозида в 1–5-й дни и 20 мг/м2 цисплатина в 1–5-й дни. По окончании 1-го цикла терапии и на протяжении последующих развивалась фебрильная нейтропения. Проводилась поддерживающая терапия гранулоцитарным колониестимулирующим фактором (Г-КСФ). Оценка эффекта лечения не проводилась. Врач самостоятельно увеличил количество циклов до 6. По окончании терапии через 2 нед у пациента появились сухой непродуктивный кашель, одышка в покое, усиливающаяся после физической нагрузки, сильная слабость. Выполнена позитронно-эмиссионная томография, совмещенная с компьютерной томографией (ПЭТ/КТ), с 18F-фтордезоксиглюкозой (18F-ФДГ). В легких с двух сторон определялись зоны неоднородной консолидации легочной ткани с визуализируемыми на этом фоне просветами бронхов, имеющие преимущественно субплевральное расположение, а в нижних долях – перибронхиальное. Эти изменения больше выражены в левом легком с метаболической активностью ФДГ SUVmax=3,70 (рис. 1).
Рис. 1. Пациент Б., 33 года. На ПЭТ, аксиальных и корональных ПЭТ- и КТ-проекциях в легких с двух сторон определяются зоны неоднородной консолидации легочной ткани с визуализируемыми на этом фоне просветами бронхов, имеющие преимущественно базальное субплевральное расположение, в нижних долях – перибронхиальное. Больше выражено в левом легком с метаболической активностью ФДГ (SUVmax=3,70).
Установлен диагноз блеомицининдуцированной легочной токсичности. Назначена глюкокортикоидная и симптоматическая терапия без эффекта. Через 21 день больной погиб.
Больной О., 44 года. По поводу рака правого яичка выполнена орхифуникулэктомия. При гистологическом исследовании – эмбриональный рак с элементами тератомы. По данным СКТ органов грудной клетки выявлены множественные метастазы в легкие максимальным размером до 31 мм, в средостении определяются паратрахеальные лимфоузлы размерами 36×27 мм. При СКТ органов брюшной полости определены метастазы в забрюшинные лимфоузлы в виде конгломерата размерами до 120×38 мм. Уровень хорионического гонадотропина человека – 448 мЕд/мл, альфа-фетопротеина – 1305 МЕ/мл, лактатдегидрогеназы – 278,4 ЕД/л. Установлен диагноз: эмбриональный рак правого яичка, стадия IIIС рT3N3M1вS2. На междисциплинарной комиссии назначена системная полихимиотерапия по схеме BEP – 30 мг блеомицина в 1, 3, 5-й дни, 100 мг/м2 этопозида в 1–5-й дни и 20 мг/м2 цисплатина в 1–5-й дни в количестве 4 циклов с учетом факторов прогноза. После 1-го цикла лечения и на протяжении последующих развивалась фебрильная нейтропения. Проводилась поддерживающая терапия Г-КСФ. Оценка эффекта лечения не проводилась. После лечения через 2 нед у больного появились сильная слабость, сухой непродуктивный кашель, одышка в покое, усиливающаяся после физической нагрузки.
Выполнена ПЭТ/КТ с 18F-ФДГ. В легких с двух сторон в базальных отделах субплеврально определяются интерстициальные изменения по типу матового стекла с диффузной фиксацией радиофармпрепарата, SUVmax=1,48 (рис. 2).
Рис. 2. Пациент О., 43 года. На ПЭТ, аксиальных и корональных ПЭТ- и КТ-проекциях в легких с двух сторон в базальных отделах субплеврально определяются интерстициальные изменения по типу матового стекла с диффузной фиксацией радиофармпрепарата (SUVmax=1,48).
Установлен диагноз блеомицининдуцированной легочной токсичности. Назначена глюкокортикоидная и симптоматическая терапия с кратковременным эффектом. Больной умер через 6 мес вследствие прогрессирования процесса.
В обзорах литературы, посвященных вопросам блеомицининдуцированной легочной токсичности, к факторам риска относят кумулятивную дозу блеомицина и количество его введений. В представленных случаях кумулятивная доза блеомицина составила 540 и 360 мг, а количество его введений – 18 и 12 соответственно. Такое лечение сопровождалось развитием фебрильной нейтропении с профилактическим введением Г-КСФ. Основными клиническими проявлениями у наших больных были респираторные жалобы – сухой непродуктивный кашель и одышка. ПЭТ/КТ является методом выбора при постановке диагноза легочной токсичности.
Обсуждение
Легочная токсичность, обусловленная применением различных лекарственных агентов, особенно блеомицина, гормональных и таргетных препаратов, описана чаще всего при лимфомах, раке молочной железы и герминогенных опухолях яичка, раке легких [8–11]. Встречается она с частотой до 46% и в 1–4% случаев заканчивается летальным исходом [12].
По данным GLOBOCAN, в 2020 г. в мире было зарегистрировано 74 458 впервые выявленных случаев опухолей яичка. Количество смертей за аналогичный период составило 9334, занимая предпоследнее ранговое место [13].
В 2016 г. группа авторов опубликовали результаты систематического обзора и метаанализа рандомизированных исследований II и III фазы по применению блеомицина в 1-й линии при метастатических герминогенных опухолях яичка по базе данных PubMed, Embase за период с 1990 по 2015 г. Основная цель исследования – сравнить частоту развития легочной токсичности при применении блеомицина и без него. Всего было отобрано 53 группы из 25 исследований II и III фазы, включающих 6498 больных, из них 40 использовали блеомицин. Авторы показали, что совокупная вероятность легочной токсичности в группах с блеомицином и при его отсутствии составила 11,7 и 1,7% соответственно. Кроме того, введение блеомицина более 10 было значимым для развития легочной токсичности всех степеней [5].
Наиболее грозным и опасным для жизни проявлением легочной токсичности является интерстициальный фиброз легких, на долю которого приходится до 10%. К менее распространенным относятся организующаяся пневмония и пневмонит [14, 15].
Клинические проявления легочной токсичности неспецифичные и весьма разнообразные – от их отсутствия до жалоб на непродуктивный сухой кашель и одышку, дебют которых начинается через 1–6 мес по окончании лечения. Менее чем в 1% случаев развивается острая дыхательная недостаточность [9, 16].
У описанных пациентов по окончании 6 и 4-го циклов цитотоксической терапии с блеомицином появились сухой, непродуктивный кашель и одышка в покое, значительно усиливающаяся при физической нагрузке.
Основным методом диагностики легочной токсичности является КТ, при которой определяются участки диффузного затемнения по типу матового стекла, утолщение междолевой перегородки и фиброз. Фиброзная инфильтрация наблюдается в основании легких, преимущественно с двух сторон. При этом долевая инфильтрация и асимметричное поражение легких встречаются значительно реже [16, 17].
В последние годы на страницах периодической печати обсуждаются диагностические возможности ПЭТ/КТ с 18F-ФДГ на ранних стадиях легочной токсичности до появления клинических симптомов и рентгенологических изменений [9–11, 18].
У представленных пациентов было выявлено диффузное повышенное накопление легочной тканью 18F-ФДГ, причем метаболическая активность носила двусторонний характер и локализовалась в нижних долях и субплеврально. SUVmax при этом был равен 3,70 и 1,48.
Это позволяет прогнозировать риск развития легочной токсичности, индуцированной химиотерапией. В ряде исследований был обнаружен рост или значительное увеличение коэффициента максимального стандартизированного поглощения SUVmax 18F-ФДГ легочной тканью [9].
Так, S. Beyhan Sagmen и соавт. (2019) показали достоверное увеличение SUVmax после 4 курсов полихимиотерапии по схеме АВVD у больных с проявлением легочной токсичности. Авторы считают, что важное значение имеет раннее выявление пациентов, у которых может развиться токсичность, с помощью ПЭТ/КТ [9].
К факторам риска развития легочной токсичности относят возраст старше 40 лет, низкий индекс массы тела, наличие в анамнезе курения, распространенность процесса, особенно с поражением легких и средостения, снижение функции почек, лечение колониестимулирующими факторами, наличие фебрильной нейтропении, кумулятивную дозу блеомицина, а также количество его введений [1, 5, 16, 19, 20].
S. Sleijfer и соавт. (2001) считают, что легочная токсичность развивается, когда суммарная доза блеомицина превышает 400 мг. Тем не менее летальный исход может наступить и при дозе менее 100 мг [15].
Так, Y. Maruyama и соавт. (2018) изучили факторы риска развития легочной токсичности у 52 пациентов с герминогенными опухолями, которые получали полихимиотерапию по схеме BЕР. Медиана наблюдения за этими больными составила 4,2 года. Кроме того, они оценивали влияние отмены блеомицина при развитии легочной токсичности на общую выживаемость и выживаемость без прогрессирования. По их данным, легочная токсичность развивалась у 29% пациентов. В подавляющем большинстве случаев (87%) легочная токсичность протекала бессимптомно, при этом диагностирован пневмонит 1-й степени. Фебрильная нейтропения отмечалась в 62% случаев. Летальных исходов не наблюдалось. При многофакторном анализе значимым предиктором развития легочной токсичности был низкий индекс массы тела – менее 22 кг/м2. Среди других факторов риска значимых различий не наблюдалось. Кроме того, отмена блеомицина не оказывала существенного влияния на общую и безрецидивную продолжительность жизни. Полученные результаты, а также данные литературы о большей эффективности схемы ВЕР позволили сделать вывод о необходимости назначения блеомицина пациентам с герминогенными опухолями до развития легочной токсичности, при появлении клинической картины введение следует прекратить [16].
J. O’Sullivan и соавт. (2003) провели ретроспективную оценку лечения 835 пациентов с опухолями яичка, включая применение схем с блеомицином за период с 1982 по 1999 г. При этом легочная токсичность была выявлена у 57 пациентов. Самым весомым фактором риска при многофакторном анализе была кумулятивная доза блеомицина более 300 мг [19].
Аналогичной точки зрения придерживаются и другие авторы. Так, D. Thakkar и соавт. (2021) считают, что кумулятивная доза блеомицина более 240 мг в 3,8 раза повышает риск развития легочной токсичности. Прекращение применения блеомицина во время лечения из-за токсичности не влияет на продолжительность жизни [6].
В наших случаях фебрильная нейтропения отмечалась у обоих пациентов после 1-го цикла введения, по поводу чего пациентам проводилось лечение Г-КСФ. Пациент Б. суммарно получил 540 мг блеомицина за 18 введений, этот фактор риска, вероятно, способствовал развитию легочной токсичности, поскольку величина значительно превышает критические по данным литературы. Второй больной, О., суммарно получил 360 мг блеомицина за 12 введений.
Заключение
Блеомицин, вводимый в качестве препарата 1-й линии химиотерапии пациентам с герминогенными опухолями яичка, в значительной степени связан с развитием легочной токсичности, включая летальный исход.
Легочную токсичность, индуцированную применением химиопрепаратов, можно заподозрить с помощью ПЭТ/КТ с 18F-ФДГ при отсутствии клинических и рентгенологических проявлений на различных этапах лечебного процесса. При этом наблюдается повышенное поглощение легочной тканью 18F-ФДГ.
Раннее выявление блеомицининдуцированной легочной токсичности с помощью ПЭТ/КТ является основой персонализированного подхода к лечению и диспансерного наблюдения больных с распространенными герминогенными опухолями яичка.
Среди известных факторов риска развития легочной токсичности, согласно полученным данным, наиболее значимыми являются кумулятивная доза и количество введений блеомицина, а также фебрильная нейтропения и терапия колониестимулирующими препаратами.
Раскрытие интересов. Авторы декларируют отсутствие явных и потенциальных конфликтов интересов, связанных с публикацией настоящей статьи.
Disclosure of interest. The authors declare that they have no competing interests.
Вклад авторов. Авторы декларируют соответствие своего авторства международным критериям ICMJE. Все авторы в равной степени участвовали в подготовке публикации: разработка концепции статьи, получение и анализ фактических данных, написание и редактирование текста статьи, проверка и утверждение текста статьи.
Authors’ contribution. The authors declare the compliance of their authorship according to the international ICMJE criteria. All authors made a substantial contribution to the conception of the work, acquisition, analysis, interpretation of data for the work, drafting and revising the work, final approval of the version to be published and agree to be accountable for all aspects of the work.
Источник финансирования. Авторы декларируют отсутствие внешнего финансирования для проведения исследования и публикации статьи.
Funding source. The author declares that there is no external funding for the exploration and analysis work.
Об авторах
Николай Алексеевич Огнерубов
ГБУЗ «Тамбовский областной онкологический клинический диспансер»
Автор, ответственный за переписку.
Email: ognerubov_n.a@mail.ru
ORCID iD: 0000-0003-4045-1247
SPIN-код: 3576-3592
д-р мед. наук, канд. юрид. наук, проф., зам. глав. врача по КЭР, засл. работник высшей школы РФ, засл. врач РФ
Россия, ТамбовТатьяна Сергеевна Антипова
ООО «ПЭТ-Технолоджи», Центр ядерной медицины
Email: antipovats@gmail.com
ORCID iD: 0000-0003-4165-8397
врач
Россия, ТамбовСергей Анатольевич Огнерубов
ООО «ПЭТ-Технолоджи», Центр ядерной медицины
Email: ognerubov_n.a@mail.ru
канд. мед. наук, гл. врач
Россия, ТамбовСписок литературы
- Kwan EM, Beck S, Amir E, et al. Impact of Granulocyte-colony Stimulating Factor on Bleomycin-induced Pneumonitis in Chemotherapy-treated Germ Cell Tumors. Clin Genitourin Cancer. 2018;16(1):e193-9. doi: 10.1016/j.clgc.2017.08.012
- Lauritsen J, Kier MGG, Bandak M, et al. Pulmonary Function in Patients With Germ Cell Cancer Treated With Bleomycin, Etoposide, and Cisplatin. J Clin Oncol. 2016;34(13):1492-9. doi: 10.1200/JCO.2015.64.8451
- Vallejo-Torres L, Melnychuk M, Vindrola-Padros C, et al. Discrete-choice experiment to analyse preferences for centralizing specialist cancer surgery services. Br J Surg. 2018;105(5):587-96. doi: 10.1002/bjs.10761
- Raphael MJ, Lougheed MD, Wei X, et al. A Population-Based Study of Pulmonary Monitoring and Toxicity for Patients with Testicular Cancer Treated with Bleomycin. Curr Oncol. 2020;27(6):291-8. doi: 10.3747/co.27.6389
- Necchi A, Miceli R, Oualla K, et al. Effect of Bleomycin Administration on the Development of Pulmonary Toxicity in Patients With Metastatic Germ Cell Tumors Receiving First-Line Chemotherapy: A Meta-Analysis of Randomized Studies. Clin Genitourin Cancer. 2017;15(2):213-20.e5. doi: 10.1016/j.clgc.2016.08.021
- Thakkar D, Ramasamy K, Adithan S, et al. Frequency and risk factors of bleomycin-induced pulmonary toxicity in South Indian patients with germ-cell tumors. J Cancer Res Ther. 2021;17(2):443-9. doi: 10.4103/jcrt.JCRT_348_19
- Zhao Q, Cao D, Yu M, et al. Safety and efficacy of bleomycin/pingyangmycin-containing chemotherapy regimens for malignant germ cell tumor patients in the female genital system. Oncotarget. 2017;8(9):15952-60. doi: 10.18632/oncotarget.15021
- Dejust S, Morland D, Bruna-Muraille C, et al. Everolimus-induced pulmonary toxicity. Medicine (Baltimore). 2018;97(40):e12518. doi: 10.1097/MD.0000000000012518
- Beyhan Sagmen S, Comert S, Turan Erkek E, et al. Can We Predict Bleomycin Toxicity with PET-CT? Acta Haematol. 2019;142(3):171-5. doi: 10.1159/000502374
- Taywade SK, Kumar R, Bhethanabhotla S, Bal C. Role of 18F-FDG PET-CT in Monitoring the Cyclophosphamide Induced Pulmonary Toxicity in Patients with Breast Cancer – 2 Case Reports. Nucl Med Mol Imaging. 2016;50(3):261-5. doi: 10.1007/s13139-015-0388-3
- Falay O, Öztürk E, Bölükbaşı Y, et al. Use of fluorodeoxyglucose positron emission tomography for diagnosis of bleomycin-induced pneumonitis in Hodgkin lymphoma. Leuk Lymphoma. 2017;58(5):1114-22. doi: 10.1080/10428194.2016.1236379
- Simpson A, Paul J, Graham J, Kaye S. Fatal bleomycin pulmonary toxicity in the west of Scotland 1991-95: a review of patients with germ cell tumours. Br J Cancer. 1998;78:1061-6.
- Globocan cancer observatory. 2020. Available at: https://gco.iarc.fr/ Accessed: 25.02.2022.
- Camus P. Interstitial lung disease from drugs, biologics, and radiation. Interstitial Lung Disease. Shelton (CT): People’s Medical Publishing House, 2011.
- Sleijfer S. Bleomycin-induced pneumonitis. Chest. 2001;120(2):617-24.
- Maruyama Y, Sadahira T, Mitsui Y, et al. Prognostic impact of bleomycin pulmonary toxicity on the outcomes of patients with germ cell tumors. Med Oncol. 2018;35(6):80. doi: 10.1007/s12032-018-1140-5
- Nici L, Santos-Moore A, Kuhn C, Calabresi P. Modulation of bleomycin-induced pulmonary toxicity in the hamster by the antioxidant amifostine. Cancer. 1998;83(9):2008-14.
- Dickinson M, Irving L, Hofman M. Early warning signs: FDG-PET to diagnose bleomycin toxicity. Leuk Lymphoma. 2017;58(5):1016-8. doi: 10.1080/10428194.2016.1277387
- O’Sullivan JM, Huddart RA, Norman AR, et al. Predicting the risk of bleomycin lung toxicity in patients with germ-cell tumours. Ann Oncol. 2003;14(1):91-6. doi: 10.1093/annonc/mdg020
- Sun HL, Atenafu EG, Tsang R, et al. Bleomycin pulmonary toxicity does not adversely affect the outcome of patients with Hodgkin lymphoma. Leuk Lymphoma. 2017;58:2607-14. doi: 10.1080/10428194.2017.1307980
Дополнительные файлы





