Difficulties in differential diagnosis tuberculosis and Crohn's disease. Case report
- Authors: Knyazev O.V.1,2, Kagramanova A.V.1,3, Fadeeva N.A.1,3, Pelipas I.G.4, Lishchinskaya A.A.1, Zvyaglova M.I.1, Parfenov A.I.1
- 
							Affiliations: 
							- Loginov Moscow Clinical Scientific Center
- Ryzhikh National Medical Research Center of Coloproctology
- Research Institute of Healthcare Organization and Medical Management
- Moscow Research and Clinical Center for Tuberculosis Control
 
- Issue: Vol 24, No 5 (2022)
- Pages: 287-290
- Section: Gastroenterology
- Published: 15.05.2022
- URL: https://consilium.orscience.ru/2075-1753/article/view/112435
- DOI: https://doi.org/10.26442/20751753.2022.5.201760
- ID: 112435
Cite item
Full Text
Abstract
We present a clinical case of intestinal tuberculosis in a young patient with a clinical simulation of Crohn's disease. The article addresses clinical presentation, challenges of differential diagnostics of intestinal tuberculosis, and nonsurgical and surgical treatment approaches.
Full Text
Введение
Болезнь Крона (БК) – хроническое, рецидивирующее заболевание желудочно-кишечного тракта неясной этиологии, характеризующееся трансмуральным, сегментарным, гранулематозным воспалением с развитием местных и системных осложнений [1]. Чаще всего встречается изолированное поражение терминального отрезка подвздошной кишки, наблюдающееся в 25–30% случаев [1]. Терминальный илеит приходится дифференцировать с такими заболеваниями, как язвенный колит, иерсиниоз, интестинальный туберкулез, ишемический и антибиотикоассоциированный колит, саркоидоз, и другими заболеваниями тонкой кишки [1].
Несмотря на совершенствование методов диагностики заболеваний тонкой кишки, имеют место случаи ошибочной постановки диагноза БК при интестинальном туберкулезе, и наоборот, так как оба заболевания имеют схожие клинические проявления, и их иногда трудно дифференцировать. Эта проблема усугубляется ростом заболеваемости воспалительными заболеваниями кишечника в неблагоприятных по туберкулезу регионах [2, 3]. Клиническое многообразие внелегочного туберкулеза и неспецифичность проявлений часто препятствуют точному и своевременному диагнозу [4].
Мы предлагаем клиническое наблюдение, при котором диагноз туберкулеза кишечника не установлен своевременно и по данным лабораторных и инструментальных методов диагностики ошибочно установлен диагноз БК подвздошной кишки.
Пациентка У., 22 года, в марте 2017 г. госпитализирована в ГБУЗ «ИКБ №2» г. Москвы с жалобами на жидкий стул до 10 раз в сутки с примесью крови; повышение температуры тела до 39°С. При обследовании данных в пользу кишечной инфекции не получено. Пациентка выписана с диагнозом неуточненной кишечной инфекции. Пациентка госпитализирована 22.05.2017 в ГБУЗ «ГКБ №17» с жалобами на сохраняющийся жидкий стул с примесью крови. В анализах крови – лейкоцитоз до 14,7×109/л, эритроциты – 3,8×1012/л, гемоглобин – 80 г/л, тромбоциты – 671×109/л, скорость оседания эритроцитов (СОЭ) – 57 мм/ч, уровень сывороточного железа – 5,9 мкм/л, альбумин – 18 г/л. По данным колоноскопии (КС) обнаружены сужение просвета терминального отдела подвздошной кишки до 6–7 мм и множественные язвы поперечной ободочной кишки. Рентгенограмма органов грудной клетки – без патологии. По данным компьютерной томографии (КТ) органов брюшной полости – утолщение стенки подвздошной кишки, аппендикса и купола слепой до 5 мм. На основании проведенных обследований пациентке установлен диагноз БК в форме илеоколита, тяжелой степени. Назначена терапия будесонидом, препаратами железа и препаратами 5-аминосалициловой кислоты. Однако на фоне проводимой терапии состояние больной сохранялось без динамики.
Пациентка с ухудшением общего состояния, признаками кишечного кровотечения 13.06.2017 госпитализирована в ГБУЗ «ГКБ №51» в отделение реанимации и интенсивной терапии. По лабораторным показателям отмечалась отрицательная динамика: снижение уровня гемоглобина до 73 г/л, ускорение СОЭ до 42 мм/ч; снижение уровня общего белка до 41 г/л, снижение уровня альбумина до 18 г/л. По данным КС выявлены глубокие язвы в подвздошной кишке и илеоцекальном клапане; в восходящей ободочной кишке – поверхностные язвы.
Рентгенограмма органов грудной клетки – без патологии. Начата терапия преднизолоном – 60 мг/сут. После выписки из стационара рекомендовано продолжить прием преднизолона 60 мг/сут с постепенным снижением дозы каждые 7 дней до полной отмены препарата, 100 мг/сут азатиоприна, 3 г/сут месалазина. Однако на фоне терапии состояние больной ухудшилось, и 01.08.2017 пациентка госпитализирована в отделение реанимации и интенсивной терапии ГБУЗ «ГКБ им. С.С. Юдина». В анализах крови: гемоглобин – 69 г/л, лейкоциты – 6×109/л, СОЭ – 20 мм/ч, общий белок – 48,1 г/л, альбумин – 18,5 г/л, сывороточное железо – 3,9 мкм/л.
Больной продолжена терапия глюкокортикостероидами, выполнена коррекция анемии, белково-энергетических и водно-электролитных нарушений. С незначительной положительной динамикой пациентка выписана на амбулаторное лечение под наблюдение гастроэнтеролога по месту жительства.
Через несколько дней после выписки из стационара, 14 августа 2017 г., пациентка по экстренным показаниям в связи с признаками кишечного кровотечения госпитализирована в областную клиническую больницу г. Ростова-на-Дону, где продолжена терапия 60 мг преднизолона, 100 мг азатиоприна препаратами 5-аминосалициловой кислоты (месалазин), проводилась гемостатическая терапия, гемотрансфузии.
При проведении рентгенографии органов грудной клетки справа от диафрагмы до IV ребра выявлено затемнение с нечеткой верхней границей. Заключение: экссудативный плеврит справа. Проведены 4 плевральные пункции. По данным КТ органов грудной клетки имеются КТ-признаки ателектаза и кальцинатов верхней доли правого легкого, правостороннего гидроторакса. При проведении бактериоскопии микобактерии туберкулеза (МБТ) не обнаружены.
Пациентка консультирована фтизиатром, данных в пользу активного туберкулеза легких нет. Пациентка выписана из стационара с рекомендациями продолжить терапию преднизолоном в дозе 60 мг/сут.
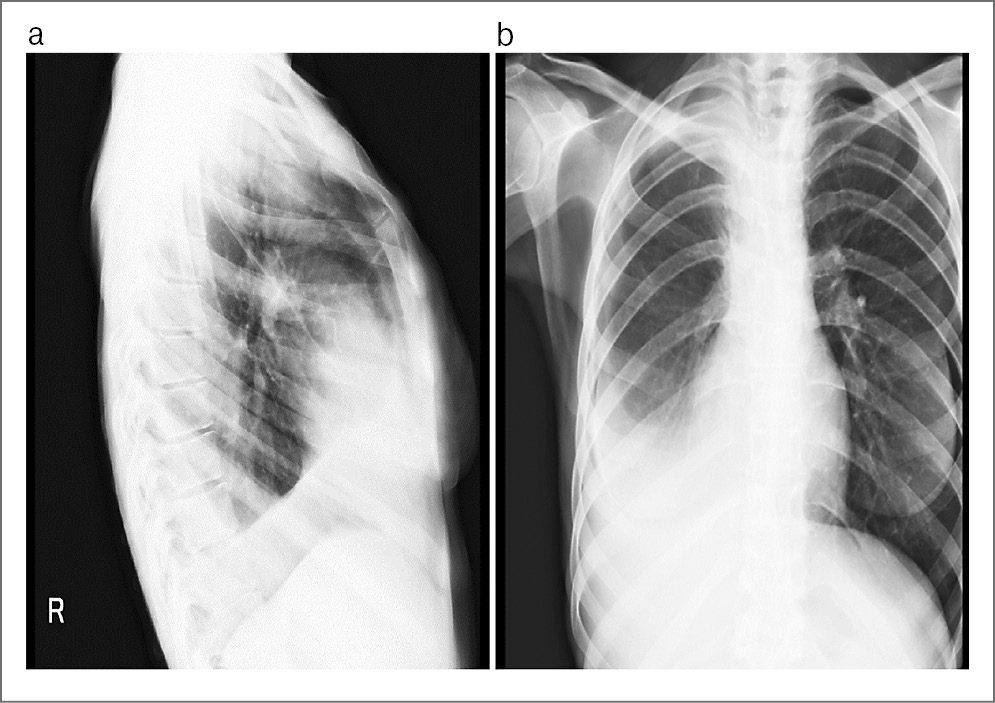
Самостоятельно 21.09.2017 обратилась в ГБУЗ «МКНЦ им. А.С. Логинова» с жалобами на стул до 5 раз в сутки, кашицеобразный, с примесью крови; боли в правых отделах живота; снижение массы тела на 40 кг за 5 мес (рис. 1).
Рис. 1 (а, b). Пациентка У. Масса тела – 40,5 кг, рост – 173 см. Индекс массы тела – 13.
В анализах крови: гемоглобин – 111 г/л, эритроциты – 3,78×109/л, тромбоциты – 560 тыс., лейкоциты – 12×109/л, палочкоядерные нейтрофилы – 7%, СОЭ – 33 мм/ч, общий белок – 64,6 г/л, альбумин – 28,3 г/л, сывороточное железо – 3,7 мкмоль/л, С-реактивный белок – 78,20 мг/л.
На момент исследования рентгенологических признаков кишечной непроходимости и перфорации полого органа не выявлено.
Выполнена повторная рентгенография органов грудной клетки, при которой выявлены рентгенологические признаки правостороннего гидроторакса, ателектаза верхней доли правого легкого (рис. 2, а, b).
Рис. 2 (а, b). Рентгенологические признаки правостороннего гидроторакса, ателектаза верхней доли правого легкого.
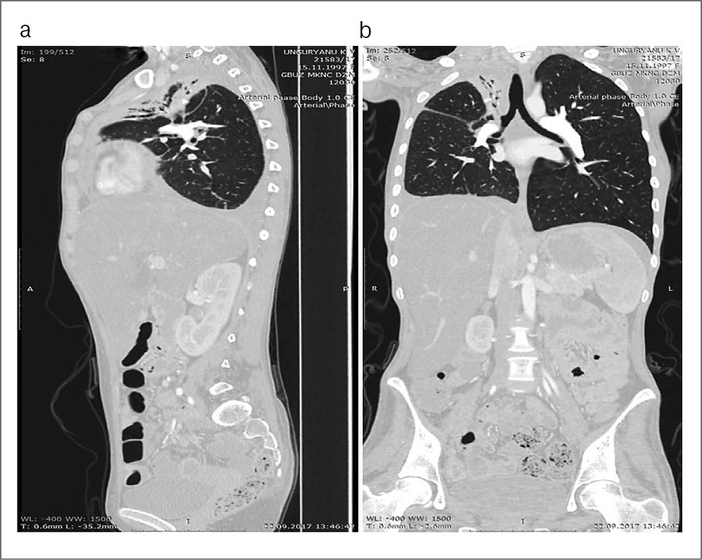
По данным КТ грудной клетки и органов брюшной полости с контрастным усилением выявлены следующие изменения – ателектаз верхней доли правого легкого. В ателектатически измененной легочной ткани имеются единичные кальцинаты. Просвет сегментарных бронхов заполнен содержимым, прослеживаются не на всем протяжении. Единичные мелкие очаги (до 3–4 мм) в левом легком. Выпот в плевральной полости справа (рис. 3, а, b).
Рис. 3 (а, b). КТ-энтерография органов брюшной полости, органов грудной клетки с внутривенным контрастированием от 22.09.2017.
Повторно выполнена КС, выявлены в восходящей кишке несколько язвенных дефектов размерами до 1,0 см; в слепой кишке полуциркулярный язвенный дефект, в подвздошной кишке протяженностью около 10 см множественные глубокие язвы сливного характера неправильной формы, распространяющиеся до мышечного слоя, ворсинки тонкой кишки утолщены, отечные. Заключение: множественные язвы терминального отдела подвздошной кишки и правых отделов толстой кишки, эндоскопическая картина характерна для туберкулеза кишечника (рис. 4, а, b).
Рис. 4 (а, b). КС от 27.09.2017.
Бактериоскопия бронхоальвеолярного лаважа от 26.09.2017 – кислотоустойчивые микобактерии 2+. Бактериоскопия мокроты по Цилю–Нильсену от 26.09.2017 – кислотоустойчивые микобактерии не найдены.
Пациентка повторно консультирована фтизиатром 27.09.2017. Учитывая клинико-рентгенологическую картину, данные фибробронхоскопии и анализа бронхо-альвеолярного лаважа от 26.09.2017, отмечено, что у больной имеет место туберкулез терминального отдела подвздошной кишки с вовлечением правых отделов толстой кишки. Кишечное кровотечение от 13.06.2017; 14.08.2017. Туберкулез правого верхнедолевого бронха, язвенная форма, фаза инфильтрации, МБТ(+), осложненный ателектазом верхней доли правого легкого и правосторонним экссудативным плевритом. Правосторонний гидроторакс. Белково-энергетическая недостаточность 3-й степени (кахексия, индекс массы тела 13,3) в сочетании с электролитными нарушениями (гипонатриемия, гипохлоремия). Дефицит циркулирующего белка 2-й степени. Железодефицитная анемия средней степени.
Диагноз БК сомнителен, воспалительные изменения в подвздошной кишке и правых отделах толстой кишки могут быть обусловлены туберкулезом кишечника.
Больная переведена 27.09.2017 для лечения в ГБУЗ «МНПЦ борьбы с туберкулезом» (Клиника №1); 28.09.2017 развилось повторное кишечное кровотечение, по экстренным показаниям выполнена правосторонняя гемиколэктомия с резекцией 86 см подвздошной кишки с формированием илеотрансверзоанастомоза.
Морфологическое заключение операционного материала: инфильтративно-язвенный туберкулез кишечника в фазе прогрессирования: множественные язвы подвздошной кишки, язва баугиниевой заслонки, язва восходящего отдела ободочной кишки, аппендикса. Субтотальный казеозный лимфаденит брыжеечных лимфоузлов (всего: 15 язв в тонкой кишке, 1 язва в толстой кишке, 1 язва в аппендиксе).
Заключительный диагноз: туберкулез кишечника, фаза инфильтрации (язвенная форма), МБТ(-). Туберкулез правого верхнедолевого бронха, фаза инфильтрации (язвенная форма), МБТ(+). Ателектаз верхней доли правого легкого.
При обследовании: ТБ-биочип – ДНК МБТ обнаружена (03.10.2017), ТБ-биочип 2 – ДНК МБТ обнаружена (03.10.2017). Методом «Амплитуб» (технология быстрой молекулярно-генетической диагностики туберкулеза для выявления микобактерий туберкулезного комплекса) от 03.10.2017 обнаружена ДНК Mycobacterium tuberculosis complex (3 тыс. копий на 1 мл диагностического осадка). МБТ, чувствительная к фторхинолонам, изониазиду, рифампицину (03.10.2017). С 23.10.2017 больная получает химиотерапию 1-го режима: изониазид, этамбутол, амикацин, рифампицин.
На фоне проведения противотуберкулезной терапии отмечается положительная динамика в виде уменьшения инфильтративных изменений в легких по данным рентгенографии органов грудной клетки и улучшение общего самочувствия.
Заключение
По данным Всемирной организации здравоохранения, внелегочные формы туберкулеза составляют 10–15% от общего числа случаев туберкулеза по всему миру [5], а среди внелегочных форм 11–16% случаев включают в себя туберкулез органов брюшной полости (кишечник, брюшина, лимфатические узлы, паренхиматозные органы и пр.). Частота внелегочных форм туберкулеза во многом зависит от географических, социальных и экономических параметров [6, 7]. Туберкулез кишечника составляет 2% от всех случаев туберкулеза. Один из самых высоких показателей туберкулеза в Европе – в Лондоне (85,6 случая на 100 тыс. населения за 2015 г.), среди них 5,9% приходится на внелегочную локализацию. Частота ошибок диагностики внелегочных форм туберкулеза в 2015 г. достигла 50–70% даже в странах, эндемичных по туберкулезу (страны Азии и Африки) [8].
Учитывая многообразие клинических проявлений внелегочных форм туберкулеза, диагностикой заболевания нередко занимаются специалисты, не имеющие большого опыта работы с пациентами, страдающими туберкулезом [9]. Наше клиническое наблюдение демонстрирует, что врачи любой специальности должны знать о факторах риска этого заболевания, поскольку одно только предположение о туберкулезе является первым и наиболее важным шагом на пути ранней диагностики внелегочных форм туберкулеза [4, 9–11].
Раскрытие интересов. Авторы декларируют отсутствие явных и потенциальных конфликтов интересов, связанных с публикацией настоящей статьи.
Disclosure of interest. The authors declare that they have no competing interests.
Вклад авторов. Авторы декларируют соответствие своего авторства международным критериям ICMJE. Все авторы в равной степени участвовали в подготовке публикации: разработка концепции статьи, получение и анализ фактических данных, написание и редактирование текста статьи, проверка и утверждение текста статьи.
Authors’ contribution. The authors declare the compliance of their authorship according to the international ICMJE criteria. All authors made a substantial contribution to the conception of the work, acquisition, analysis, interpretation of data for the work, drafting and revising the work, final approval of the version to be published and agree to be accountable for all aspects of the work.
Источник финансирования. Авторы декларируют отсутствие внешнего финансирования для проведения исследования и публикации статьи.
Funding source. The authors declare that there is no external funding for the exploration and analysis work.
Информированное согласие на публикацию. Пациентка подписала форму добровольного информированного согласия на публикацию медицинской информации.
Consent for publication. Written consent was obtained from the patient for publication of relevant medical information and all of accompanying images within the manuscript.
About the authors
Oleg V. Knyazev
Loginov Moscow Clinical Scientific Center; Ryzhikh National Medical Research Center of Coloproctology
							Author for correspondence.
							Email: oleg7@bk.ru
				                	ORCID iD: 0000-0001-7250-0977
				                																			                								
D. Sci. (Med.), Loginov Moscow Clinical Scientific Center, Ryzhikh National Medical Research Center of Coloproctology
Russian Federation, Moscow; MoscowAnna V. Kagramanova
Loginov Moscow Clinical Scientific Center; Research Institute of Healthcare Organization and Medical Management
														Email: oleg7@bk.ru
				                	ORCID iD: 0000-0002-3818-6205
				                																			                								
Cand. Sci. (Med.), Loginov Moscow Clinical Scientific Center, Research Institute of Healthcare Organization and Medical Management
Russian Federation, Moscow; MoscowNina A. Fadeeva
Loginov Moscow Clinical Scientific Center; Research Institute of Healthcare Organization and Medical Management
														Email: oleg7@bk.ru
				                	ORCID iD: 0000-0002-0524-2514
				                																			                								
Cand. Sci. (Med.), Loginov Moscow Clinical Scientific Center, Research Institute of Healthcare Organization and Medical Management
Russian Federation, Moscow; MoscowIrina G. Pelipas
Moscow Research and Clinical Center for Tuberculosis Control
														Email: oleg7@bk.ru
				                					                																			                								
Phthisiatrician, Moscow Research and Clinical Center for Tuberculosis Control
Russian Federation, MoscowAlbina A. Lishchinskaya
Loginov Moscow Clinical Scientific Center
														Email: oleg7@bk.ru
				                	ORCID iD: 0000-0001-7891-2702
				                																			                								
Cand. Sci. (Med.), Loginov Moscow Clinical Scientific Center
Russian Federation, MoscowMaria Iu. Zvyaglova
Loginov Moscow Clinical Scientific Center
														Email: oleg7@bk.ru
				                	ORCID iD: 0000-0002-7937-2346
				                																			                								
Res. Assist., Loginov Moscow Clinical Scientific Center
Russian Federation, MoscowAsfold I. Parfenov
Loginov Moscow Clinical Scientific Center
														Email: oleg7@bk.ru
				                	ORCID iD: 0000-0002-9782-4860
				                																			                								
D. Sci. (Med.), Prof., Loginov Moscow Clinical Scientific Center
Russian Federation, MoscowReferences
- Ивашкин В.Т., Шелыгин Ю.А., Абдулганиева Д.И., и др. Клинические рекомендации по диагностике и лечению болезни Крона (проект). Колопроктология. 2020;19(2):8-38 [Ivashkin VT, Shelygin IuA, Abdulganieva DI, et al. Crohn's Disease. Clinical Recommendations (Preliminary Version). Koloproktologia. 2020;19(2):8-38 (in Russian)]. doi: 10.33878/2073-7556-2020-19-2-8-38
- Singh P, Ananthakrishnan A, Ahuja V. Pivot to Asia: inflammatory bowel disease burden. Intest Res. 2017;15:138-41. doi: 10.5217/ir.2017.15.1.138
- Богородская Е.М., Стерликов С.А., Попов С.А. Проблемы формирования эпидемиологических показателей по туберкулезу. Проблемы туберкулеза и болезней легких. 2008;7:8-14 [Bogorodskaia EM, Sterlikov SA, Popov SA. Problemy formirovaniia epidemiologicheskikh pokazatelei po tuberkulezu. Problemy tuberkuleza i boleznei legkikh. 2008;7:8-14 (in Russian)].
- Юденко М.А., Буйневич И.В., Рузанов Д.Ю., Гопоняко С.В. Внелегочный туберкулез: факторы риска. Проблемы здоровья и экологии. 2021;18(4):48-54 [Iudenko MA, Buinevich IV, Ruzanov DIu, Goponiako SV. Vnelegochnyi tuberkulez: faktory riska. Problemy zdorov'ia i ekologii. 2021;18(4):48-54 (in Russian)]. doi: 10.51523/2708- 6011.2021-18-4-6
- Global tuberculosis report 2020. Geneva: World Health Organization 2020.Licence: CC BY-NC-SA 3.0 IGO. Available at: https://apps.who.int/iris/bitstream/handle/10665/336069/9789240013131eng.pdf. Accessed: 28.06.2021.
- Pang Y, An J, Shu W, et al. Epidemiology of Extrapulmonary Tuberculosis among Inpatients, China, 2008–2017. Emerg Infect Dis. 2019;25(3):457-64. doi: 10.3201/eid2503.180572
- Kang W, Yu J, Du J, et al. The epidemiology of extrapulmonary tuberculosis in China: A large-scale multi-center observational study. PLoS One. 2020;15(8):e0237753. doi: 10.1371/journal.pone.0237753
- Сюнякова Д.А. Особенности эпидемиологии туберкулеза в мире и в России в период 2015–2020 гг. Аналитический обзор. Социальные аспекты здоровья населения. 2021;67(3):11. [Syunyakova DA. Features of the epidemiology of tuberculosis in the world and in Russia in the period 2015–2020. Analytical survey. Social'nye aspekty zdorov'a naselenia=Social aspects of population health. 2021;67(3):11 (in Russian)]. doi: 10.21045/2071-5021-2021-67-3-11
- Solovic I, Jonsson J, Korzeniewska-Koseła M, et al. Challenges in diagnosing extrapulmonary tuberculosis in the European Union, 2011. Euro Surveill. 2013;18(12):pii=20432. doi: 10.2807/ese.18.12.20432-en
- Ben AH, Koubaa M, Marrakchi C, et al. Extrapulmonary Tuberculosis: Update on the Epidemiology, Risk Factors and Preventon Strategies. Int J Trop Dis. 2018;1:006. doi: 10.23937/IJTD-2017/1710006
- Natali D, Cloatre G, Brosset C, et al. What pulmonologists need to know about extrapulmonary tuberculosis. Breathe. 2020;16(4):200216. doi: 10.1183/20734735.0216-2020
Supplementary files
 
				
			 
					 
						 
									







