Патогенетические механизмы ишемического инсульта: от верификации до вторичной профилактики
- Авторы: Кулеш А.А.1, Демин Д.А.2, Виноградов О.И.3
- 
							Учреждения: 
							- ФГБОУ ВО «Пермский государственный медицинский университет им. акад. Е.А. Вагнера» Минздрава России
- ФГБУ «Федеральный центр сердечно-сосудистой хирургии» Минздрава России
- ФГБУ «Национальный медико-хирургический центр им. Н.И. Пирогова» Минздрава России
 
- Выпуск: Том 23, № 11 (2021)
- Страницы: 792-799
- Раздел: Статьи
- Статья опубликована: 15.11.2021
- URL: https://consilium.orscience.ru/2075-1753/article/view/96604
- DOI: https://doi.org/10.26442/20751753.2021.11.201153
- ID: 96604
Цитировать
Полный текст
Аннотация
Ишемический инсульт представляет собой чрезвычайно гетерогенное заболевание: существует более 200 причин мозговой катастрофы. Раннее установление патогенетического механизма (подтипа) ишемического инсульта позволяет спланировать индивидуальную стратегию вторичной профилактики, которая включает широкий спектр медикаментозных и хирургических методов. В статье представлена характеристика кардиоэмболического (на фоне фибрилляции и трепетания предсердий, протезированных клапанов, хронической сердечной недостаточности, тромба в левом желудочке, инфекционного эндокардита, открытого овального окна и др.), атеротромботического (вследствие экстра- и интракраниального атеросклероза), лакунарного и криптогенного инсульта, а также более редких причин заболевания, в частности диссекции артерий шеи и головного мозга. Освещены и обобщены в виде алгоритма вопросы вторичной профилактики инсульта в зависимости от патогенетического подтипа. Статья иллюстрирована клиническими примерами.
Ключевые слова
Полный текст
Введение
Ишемический инсульт (ИИ) представляет собой чрезвычайно гетерогенное заболевание: существует более 200 причин мозговой катастрофы [1]. Современные возможности диагностики позволяют уже в первые дни ИИ определить его причину у 3 из 4 пациентов, в остальных случаях требуется проведение дополнительного обследования. Однако у каждого 10-го пациента идентифицировать потенциальный механизм развития заболевания не удается, в таком случае диагностируется криптогенный инсульт [2]. Раннее установление патогенетического механизма (подтипа) ИИ позволяет спланировать индивидуальную стратегию вторичной профилактики, которая включает широкий спектр медикаментозных и хирургических методов. Таким образом, принципиально важно, чтобы механизм развития ИИ устанавливался уже в рамках I этапа лечения в первичном сосудистом отделении или региональном сосудистом центре. С другой стороны, заболевание, явившееся причиной церебрального ишемического события, может проявиться значительно позднее, что определяет важность длительного медицинского наблюдения за пациентами с криптогенным инсультом и необходимость повышения осведомленности врачей различных терапевтических специальностей о причинах развития ИИ.
Подтипы ИИ
Существует несколько патогенетических классификаций ИИ (TOAST, SSS-TOAST, CCS, ASCOD, SPARKLE, CISS) [3]. В настоящее время в практике наиболее часто используется классификация SSS-TOAST, автоматизированная версия которой доступна по адресу: https://ccs.mgh.harvard.edu/ccs_title.php [4]. В соответствии с данной классификацией ИИ может быть обусловлен атеросклеротическим поражением крупных артерий (атеротромботический), кардиогенной тромбоэмболией (кардиоэмболический), окклюзией мелких артерий (лакунарный), другой установленной причиной (другой установленной этиологии) и неустановленной причиной (неустановленной этиологии). Каждый из первых 3 подтипов подразделяется, в свою очередь, на достоверный, вероятный и возможный.
По данным зарубежных исследований, атеротромботический, лакунарный и криптогенный подтипы составляют по 25% в этиологической структуре ИИ, тогда как кардиоэмболический инсульт имеет место у каждого 5-го пациента, а редкие причины – у каждого 20-го больного [5]. Анализ данных регионального сосудистого центра ГАУЗ ПК «Городская клиническая больница №4» за 2020 г. показал, что доля кардиоэмболического инсульта составляет 27%, атеротромботического – 22%, лакунарного – 6%, неизвестной этиологии – 36%. Столь значимые различия обусловлены не только популяционными особенностями, но и подходами к классификации, а также диагностическими возможностями.
Кардиоэмболический инсульт
Под кардиоэмболическим понимают ИИ вследствие церебральной артериальной окклюзии эмболом, предположительно сформированным в сердце [6]. К источникам высокого кардиоэмболического риска относятся: фибрилляция предсердий (ФП) или трепетание предсердий (ТП), синдром слабости синусового узла, механические и биологические протезы клапанов, тромб в левых камерах сердца, инфаркт миокарда (ИМ) в течение ближайшего месяца, последствия ИМ со снижением фракции выброса (ФВ) <28%, дилатационная кардиомиопатия со снижением ФВ <40%, инфекционный эндокардит (и небактериальный тромбэндокардит), миксома предсердия (и папиллярная фиброэластома), ревматическая болезнь сердца, а также открытое овальное окно (ООО) с тромбозом in situ [4, 7, 8]. Достоверный кардиоэмболический инсульт устанавливается при верификации кардиальных источников эмболии высокого риска, вероятный – при наличии системной эмболии или множественных острых инфарктов, сопоставимых по степени давности, расположенных в обоих полушариях в бассейнах артерий каротидной системы или локализованных в каротидном и вертебрально-базилярном бассейне. Диагноз носит возможный характер, если у пациента имеются кардиальные источники эмболии низкого или неустановленного риска или не исключены другие потенциальные причины ИИ. К источникам низкого или неустановленного риска относятся: застойная хроническая сердечная недостаточность с ФВ<30%, региональная акинезия или аневризма левого желудочка (ЛЖ) без тромба, гипертрофическая кардиомиопатия, гипертрабекулярность/некомпактность ЛЖ, феномен спонтанного эхоконтрастирования в левом предсердии, кальциноз митрального кольца, ООО (без тромба) и/или аневризма межпредсердной перегородки. Помимо кардиальных источников эмболии поражение разных сосудистых бассейнов и системную эмболизацию может вызывать атерома аорты, из-за этого фенотипического сходства в классификации CCS был выделен объединенный «кардиоаортальный источник эмболии» [4].
Клинические особенности кардиоэмболического инсульта включают: внезапное развитие неврологического дефицита с его максимальной выраженностью в дебюте; частое нарушение высших мозговых функций (афазия, неглект), а также полей зрения в сочетании с проводниковым дефицитом; развитие классических эмболических синдромов в вертебрально-базилярном бассейне: дорсолатерального медуллярного синдрома Валленберга–Захарченко, синдрома верхушки основной артерии (дистальная окклюзия основной артерии характерна для эмболии, проксимальная – для атеросклероза). Нейроангиовизуализационная картина характеризуется кортикальными очагами, частым вовлечением разных артериальных бассейнов, поражением островка, геморрагической трансформацией инфаркта на первичных томограммах, а также симптомом «ампутированной артерии» без признаков проксимального атеросклеротического поражения [7–9].
Минимальный объем обследования, необходимый для выявления кардиоэмболических источников высокого риска, подразумевает проведение электрокардиографии (ЭКГ), суточного холтеровского мониторирования ЭКГ (24–72 ч) и трансторакальной эхокардиографии (ЭхоКГ), для расширенного поиска необходимо проведение чреспищеводной ЭхоКГ (ЧПЭхоКГ), реже – компьютерной (КТ) или магнитно-резонансной томографии (МРТ) сердца и длительного мониторинга ЭКГ в течение 7–30 дней (или имплантации петлевого регистратора ЭКГ) [5].
ФП и ТП. Формирование тромба при ФП, как правило, происходит в ушке левого предсердия на фоне стаза крови вследствие нескоординированного сокращения предсердий. При этом разные формы ФП – пароксизмальная, персистирующая и перманентная (постоянная) – несут одинаково высокий риск развития ИИ и транзиторной ишемической атаки (ТИА). Миграция тромба может также приводить к системной эмболии, поэтому у пациентов с кардиоэмболическим инсультом нередко наблюдаются другие эмболические синдромы – острая ишемия конечности, мезентериальный тромбоз и пр. [8, 10]. ТП имеет схожий патогенез, часто сопутствует ФП и требует аналогичных подходов к антитромботической терапии [6].
Протезированные клапаны. Наличие протезированных клапанов повышает риск системной эмболии вследствие преходящего локального тромбообразования (реже – в результате тромбоза протеза или формирования протезного инфекционного эндокардита). При этом механические протезы (особенно в митральной позиции и в сочетании с ФП и/или сниженной ФВ) характеризуются более высоким риском кардиоэмболического инсульта в сравнении с биологическими, а наибольший риск эмболии наблюдается в первые 3 мес после имплантации [8].
Хроническая сердечная недостаточность. Снижение ФВ, региональный стаз крови, особенно в области передней стенки и верхушки сердца (вследствие гипокинезии), а также гиперкоагуляция и эндотелиальная дисфункция приводят к формированию тромба и трехкратному повышению риска ИИ на фоне хронической сердечной недостаточности [11].
Тромб в ЛЖ. Формирование тромба наблюдается у 15% пациентов с ИМ в области передней стенки, у 40% пациентов с передним ИМ и снижением ФВ менее 40% [12] и пятикратно повышает риск системной эмболии [13]. Кардиоэмболический инсульт развивается у 12% пациентов с тромбозом ЛЖ вследствие ИМ в среднем через 21 день после выявления тромба. Независимыми предикторами ИИ выступают протрузия тромба, неэффективность его первоначального растворения и рецидив тромбоза [14].
Инфекционный эндокардит. Каждый 5-й случай инфекционного эндокардита осложняется развитием инсульта, а еще у 40% больных наблюдаются бессимптомные церебральные инфаркты [15]. При этом в 1-й месяц риск развития мозговой катастрофы повышен в 20 раз [16]. Помимо ИИ острый инфекционный эндокардит может привести к развитию церебральных инфекционных аневризм, субарахноидального кровоизлияния, абсцессов и менингита/менингоэнцефалита (рис. 1, 2) [17].
Рис. 1. Клинический пример. Мужчина 35 лет перенес ИИ с поражением разных сосудистых бассейнов: а – инфаркт в бассейне левой и правой СМА; б – геморрагическая трансформация в зоне инфаркта в левой СМА (МРТ Hemo); в –инфекционный эндокардит АК на ЭхоКГ (красная стрелка указывает на вегетацию), в посевах крови – Staphylococcus epidermidis; г – резецированная клапанная вегетация (при протезировании АК).
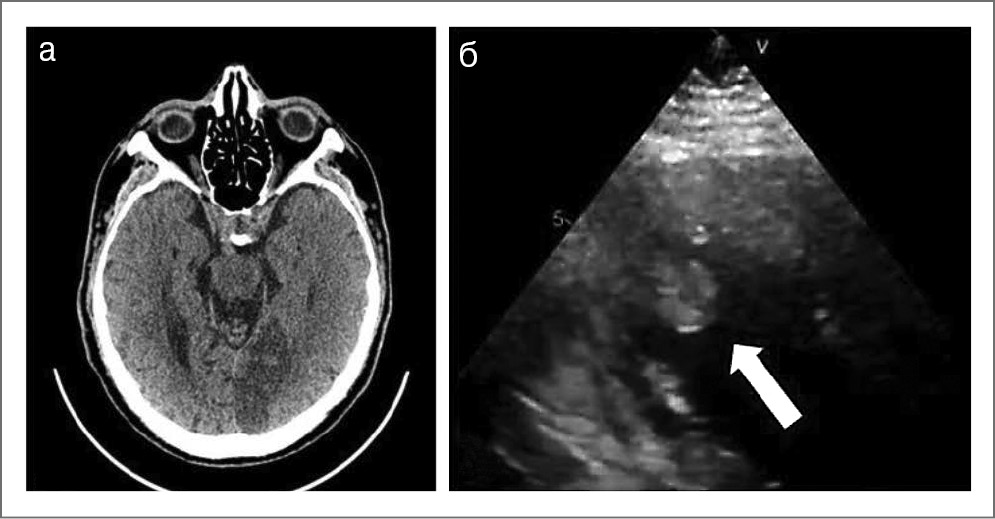
Рис. 2. Клинический пример. Мужчина 47 лет перенес ИИ в бассейне левой задней мозговой артерии: а – КТ головного мозга; б – гипокинез ЛЖ со снижением ФВ на ЭхоКГ (32%) и мобильный тромб в области верхушки (белая стрелка указывает на тромб).
ООО. Самая распространенная кардиальная аномалия, которая встречается по данным ЧПЭхоКГ у каждого 4-го индивида. ООО определяется у 7,4 и 12,6% пациентов с эмболическим криптогенным инсультом по результатам исследований NAVIGATE-ESUS и RESPECT-ESUS соответственно [18, 19]. По данным анализа госпитального регистра регионального сосудистого центра ГАУЗ ПК ГКБ №4, аномалия межпредсердной перегородки служит причиной ИИ у 16,5% пациентов моложе 45 лет [20].
В большинстве случаев инсульт, ассоциированный с ООО, реализуется по механизму парадоксальной эмболии [21], которая также может быть обусловлена наличием дефекта межпредсердной перегородки [22] и легочными артериовенозными мальформациями [23].
Поиск ООО у пациентов с ИИ проводится в 2 этапа: в качестве скрининга выполняется транскраниальная допплерография с пузырьковой пробой и маневром Вальсальвы (bubble-тест), при положительном результате которого проводится ЧПЭхоКГ с контрастированием (аэрированный физиологический раствор) [21].
Атерома дуги аорты
Атерома дуги аорты – важная потенциальная причина инсульта и маркер системного атеросклероза [24]. Атероматоз аорты повышает риск инсульта почти в 4 раза, а наличие осложненной бляшки (толщина ≥4 мм, с изъязвлением или мобильным компонентом) – в 6 раз [25]. Основной механизм развития ишемических событий у таких пациентов – аорто-артериальная эмболия (разрыв бляшки с тромбоэмболией или пассаж фрагментов атеромы). Заподозрить данную причину ИИ помогают наличие выраженного системного атеросклероза и визуализация на МРТ мелких очагов инфаркта мозга, рассеянных в пределах обоих полушарий (больше слева). Диагностика атероматоза аорты проводится при помощи КТ-ангиографии (КТА), которая предпочтительна для острого инсульта (в рамках экстренной нейроангиовизуализации), и ЧПЭхоКГ [2, 26, 27].
Атеротромботический инсульт
Это инсульт в бассейне крупной экстра- или интракраниальной артерии с >50% стенозом или окклюзией по данным ангиовизуализации [6]. При наличии стеноза менее 50% атеротромботический генез инсульта может подтверждаться высокой эмбологенностью (уязвимостью) атеросклеротической бляшки, критериями которой выступают: изъязвление, кровоизлияния в бляшку, разрыв фиброзной капсулы, толщина бляшки >3 мм, эхопрозрачная структура бляшки, богатое липидами ядро, микроэмболические сигналы (транскраниальная микроэмболодетекция) и неоваскуляризация (УЗИ с контрастом) [27, 28].
Атеротромботический инсульт может развиваться на фоне экстракраниального атеросклероза (ЭКА), интракраниального атеросклероза (ИКА) или их сочетания (тандемное поражение) [29, 30].
ЭКА. К основным механизмам развития инсульта на фоне ЭКА относятся артерио-артериальная эмболия, гипоперфузия (при выраженном стенозе) или их сочетание.
Клиническая картина данного подтипа инсульта не является специфичной и зависит от конкретного патогенетического механизма, однако можно выделить несколько клинических подсказок: ТИА в заинтересованном артериальном бассейне, транзиторная ипсилатеральная моноокулярная слепота, атеросклеротическое поражение других артериальных бассейнов (коронарные, периферические артерии), локализация инфаркта мозга в зонах смежного кровообращения (особенно внутренних) и наличие старых инфарктов в том же сосудистом бассейне [29, 30]. При длительном прогрессировании стенотического процесса происходит развитие сети коллатералей, что зачастую определяет невыраженный неврологический дефицит при развитии острой окклюзии [31].
ИКА. Атеросклероз мозговых артерий ответственен за 5–10% ИИ у представителей белой расы [32]. У 18% пациентов с малым ИИ или ТИА определяется клинически явный или бессимптомный ИКА со стенозированием 50–99% [33].
Основными факторами риска ИКА являются: пожилой возраст, артериальная гипертензия, сахарный диабет 2-го типа, метаболический синдром, азиатская национальность [34]. Обычно ИКА сосуществует с атеросклерозом коронарных и периферических артерий и другими причинами ИИ (кардиоэмболические источники и церебральная микроангиопатия – ЦМА, small vessel disease), однако может наблюдаться изолированно [35].
Основные механизмы развития ИИ на фоне ИКА включают артерио-артериальную эмболию, гипоперфузию и атероматоз перфорантов (branch atheromatous disease), а также in situ тромбоз/окклюзию и нарушение вымывания эмболов из гипоперфузированной ткани [36].
Клиническая картина ИИ на фоне ИКА включает как корковые симптомы (у 1/2 больных), так и один из лакунарных синдромов [34]. Риск повторных цереброваскулярных событий при поражении внутримозговых артерий чрезвычайно высок и варьирует от 4 до 40% в год [27, 36].
Минимальный объем ангиовизуализации при остром ИИ и ТИА должен включать методики, позволяющие оценить проходимость как экстра-, так и интракраниальных артерий. В диагностике ЭКА используются дуплексное сканирование (ДС) брахиоцефальных артерий, КТА и магнитно-резонансная ангиография (МРА) – оптимально с контрастированием, которые имеют высокую чувствительность и специфичность по сравнению с катетерной ангиографией [29, 30]. При поступлении пациента в рамках терапевтического окна для реперфузионной терапии оптимально выполнение КТА от дуги аорты до вертекса. При поступлении в более поздние сроки возможно проведение ДС экстракраниальных артерий и бесконтрастной МРА интракраниальных артерий как диагностического минимума для большинства отделений (рис. 3, 4).
Рис. 3. Клинический пример. Мужчина 63 лет: а – ИИ в бассейне левой СМА (МРТ FLAIR); б – стеноз левой внутренней сонной артерии 70% (ДС); в – стеноз подтвержден (КТА); г – нестабильная атерома (выполнена каротидная эндартерэктомия).
Рис. 4. Клинический пример. Женщина 60 лет, азиатская национальность: а – повторный ИИ в бассейне правой СМА (МРТ DWI); б – первый инсульт в том же бассейне (МРТ FLAIR); в – ДС не выявило ЭКА, однако на селективной ангиографии верифицирован ИКА со стенозом С7-сегмента внутренней сонной артерии и хронической окклюзией М1-сегмента СМА; г – выраженная сеть коллатералей, свидетельствующая об ИКА.
Лакунарный инсульт
Данный подтип ИИ диагностируется при наличии изолированного и клинически значимого острого инфаркта <20 мм в наибольшем диаметре по данным МРТ DWI или <15 мм по данным КТ или других модальностей МРТ, расположенного в проекции базальных ганглиев или в стволе мозга (бассейн перфорантных артерий). При этом должны отсутствовать другие патологические изменения (атерома, диссекция, васкулит, вазоспазм и др.) в крупных артериях, от которых отходят инсульт-связанные перфоранты, и кардиальные источники эмболии [4]. У 9 из 10 пациентов причиной лакунарного инсульта служит ЦМА на фоне артериальной гипертензии и/или сахарного диабета, однако у остальных заболевание связано с другими механизмами, ведущий из которых – ИКА [37]. При развитии заболевания на фоне ЦМА, обычно ассоциированной с артериальной гипертензией, лакунарному инфаркту сопутствуют другие нейровизуализационные признаки: гиперинтенсивность белого вещества, лакуны, расширение периваскулярных пространств и церебральные микрокровоизлияния в глубинных отделах головного мозга (критерии STandards for ReportIng Vascular changes on nEuroimaging – STRIVE) [38, 39].
Развитие лакунарного инфаркта обусловлено такими процессами, как липогиалиноз, артериолосклероз и микроатероматоз, которые окклюзируют перфорирующие (лентикулостриарные) и пенетрирующие артерии и артериолы [37].
Клинической особенностью лакунарного инсульта является развитие раннего ухудшения неврологического статуса у 37% пациентов [40]. Лакунарный инсульт может проявляться классическими лакунарными синдромами: гемигипестезия с гемипарезом, изолированная гемигипестезия, изолированный гемипарез, синдром «дизартрия – неловкая кисть» и атактический гемипарез [41]. Важный клинический признак лакунарного инсульта – синдром «мерцающей лакуны» (capsular warning syndrome), который проявляется рецидивирующим транзиторным моторным или сенсомоторным лакунарным синдромом с вовлечением 2 из 3 частей тела (лицо, рука, нога) и полным восстановлением между эпизодами [42]. При развитии лакунарного инсульта на фоне выраженной ЦМА в клинической картине помимо очагового неврологического дефицита могут наблюдаться сосудистые когнитивные нарушения, постуральные и тазовые расстройства [43].
В диагностике лакунарного инсульта ведущее значение имеют МРТ головного мозга с оценкой признаков ЦМА в соответствии с критериями STRIVE [38] и исключение ИКА (рис. 5).
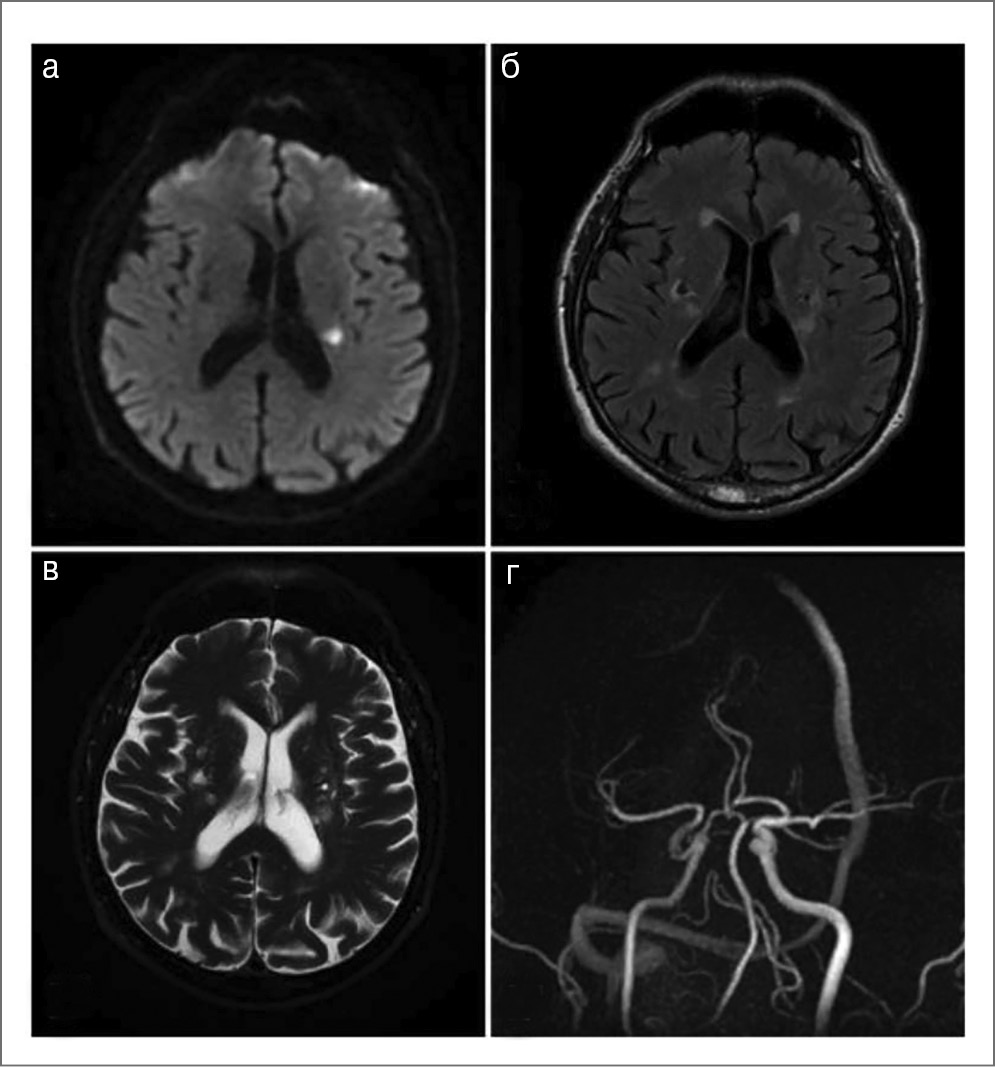
Рис. 5. Клинический пример. Пациент 64 лет, страдающий артериальной гипертензией и сахарным диабетом 2-го типа: а – лакунарный инфаркт в зоне полуовального центра слева (МРТ DWI); б – лакуны в глубинных отделах обоих полушарий, гиперинтенсивность белого вещества (МРТ FLAIR); в – расширение глубинных периваскулярных пространств (T2); г – нормальный результат бесконтрастной МРА. Все это соответствует проявлениям гипертензионной микроангиопатии.
Криптогенный инсульт и ESUS
Этиология криптогенного инсульта может быть связана c кардиоэмболией на фоне источников низкого риска, предсердной кардиопатии и скрытой ФП; аорто-артериальной эмболией (атероматоз дуги аорты, нестенозирующие уязвимые бляшки экстра- и интракраниальных артерий); парадоксальной эмболией на фоне ООО, дефекта межпредсердной перегородки или легочных артериовенозных мальформаций; канцер-ассоциированной эмболией [2, 5]. В практике для структурирования диагностического поиска при криптогенном инсульте часто используется концепция «эмболического инсульта из неустановленного источника» (embolic stroke of undetermined source – ESUS), характеризующегося следующими критериями: наличие нелакунарного ишемического очага на КТ или МРТ; отсутствие экстра- или интракраниального инсульт-связанного стеноза церебральной артерии (с сужением просвета ≥50%); отсутствие кардиальных источников высокого риска; отсутствие иных причин инсульта (артериит, диссекция, мигрень/вазоспазм, злоупотребление наркотическими веществами и др.) [44].
Редкие причины инсульта
К более редким причинам ИИ относятся невоспалительные артериопатии: диссекция, фибромышечная дисплазия, в частности каротидная сеть (carotid web), синдром обратимой церебральной вазоконстрикции, болезнь моя-моя, болезнь Фабри, церебральная аутосомно-доминантная артериопатия с субкортикальными инфарктами и лейкоэнцефалопатией (CADASIL) и другие; воспалительные артериопатии (первичный ангиит центральной нервной системы, гигантоклеточный артериит, васкулит на фоне диффузных заболеваний соединительной ткани, инфекционный васкулит на фоне сифилиса, туберкулеза, других бактериальных инфекций, вирус Varicella zoster, ВИЧ и другие); токсическая артериопатия; мигрень-ассоциированный инсульт; синдром MELAS и гематологические заболевания (наследственные тромбофилии, антифосфолипидный синдром, серповидноклеточная анемия, истинная полицитемия, эссециальный тромбоцитоз и др.) [45].
Спонтанная диссекция артерий шеи (цервикальная) и головы (церебральная) – самая частая причина ИИ у молодых пациентов. Развитию диссекции обычно предшествует механический триггер: спорт, гимнастика, фитнес, подъем тяжестей, резкое движение в шейном отделе позвоночника или вынужденное положение головы, массаж или мануальная терапия. Очаговый неврологический дефицит может возникнуть как сразу после воздействия триггера, так и отсроченно (до 3 нед). В клинической картине наблюдаются цефалгия и/или цервикалгия на стороне поврежденной артерии. Для диссекции внутренней сонной артерии характерна локализация боли в лобной, височной и глазничной области, тогда как при диссекции позвоночной артерии – по задней поверхности шеи и в затылочной области. Важной клинической подсказкой в отношении диссекции внутренней сонной артерии выступает синдром Горнера (компрессия симпатических волокон) или периферический парез языка (компрессия подъязычного нерва). В основе инструментальной диагностики диссекции лежат как визуализация измененного просвета артерии (нетипичный стеноз, окклюзия, реже – аневризма), так и верификация интрамуральной гематомы – наиболее специфичного для данного механизма феномена. Для этого оптимально проведение МРТ с импульсной последовательностью Fat Sat (подавление сигнала от жировой ткани) [46–49].
Особенности этиологии ИИ в разных возрастных подгруппах
У пациентов молодого возраста основными причинами инсульта выступают диссекция, ООО и тромбофилии, среднего возраста – атеросклероз и приобретенные заболевания сердца, тогда как у пациентов пожилого и старческого возраста – ФП (в том числе скрытая) и предсердная кардиопатия, атеросклероз и злокачественные новообразования [20, 50]. Во всех возрастных группах значимой причиной инсульта выступает ЦМА.
Вторичная профилактика в зависимости от патогенетического подтипа
Все пациенты с ИИ в обязательном порядке должны получать антитромботическую терапию, подходы к которой представлены в табл. 1 [6, 51, 52]. Большинству пациентов также показана антигипертензивная (целевое артериальное давление <130/80 мм рт. ст.) и гиполипидемическая терапия (целевой уровень холестерина липопротеинов низкой плотности <1,4 ммоль/л для большинства пациентов). Наглядный алгоритм вторичной профилактики при ИИ представлен на рис. 6.
| Таблица 1. Антитромботическая терапия при основных патогенетических подтипах ИИ | |
| Механизм инсульта | Рекомендации | 
| Кардиоэмболический | |
| ФП/ТП | НПОАК (дабигатран, апиксабан, ривароксабан), менее предпочтителен варфарин | 
| ФП при умеренном или тяжелом ревматическом митральном стенозе, механическом протезе клапанов сердца | Только варфарин | 
| Механические протезы клапанов сердца | При развитии инсульта на фоне нецелевой (недостаточной) гипокоагуляции – варфарин с достижением целевого МНО (при АК – 2,5, при МК – 3). При развитии инсульта на фоне целевой гипокоагуляции – интенсификация терапии варфарином с повышением уровня целевого МНО (при АК – 3, при МК – 4) или добавление АСК – 75–100 мг/сут | 
| Биологические протезы клапанов | После протезирования пациент должен принимать варфарин в течение 3–6 мес с дальнейшим переходом на АСК (если нет других показаний к приему НПОАК). При развитии инсульта на фоне приема АСК – замена на варфарин сроком на 3–6 мес (альтернатива – НПОАК) | 
| Ревматический митральный стеноз (без верифицированной ФП) | Варфарин | 
| Другая клапанная патология (неревматический митральный стеноз, патология нативного АК) | Антитромбоцитарная терапия | 
| Тромб в ЛЖ | Варфарин не менее 3 мес (целевое МНО – 2,5) с переходом на прием антитромбоцитарной терапии | 
| Ишемическая/неишемическая кардиомиопатия со снижением ФВ | Антитромбоцитарная или антикоагулянтная терапия | 
| ООО | Антитромбоцитарная или антикоагулянтная терапия | 
| Атерома аорты | Антитромбоцитарная терапия | 
| Атеротромботический | |
| ЭКА | АСК 50–325 мг или клопидогрел 75 мг | 
| ИКА | Стеноз 50–69%: АСК 50–325 мг или клопидогрел 75 мг. Стеноз 70–99%: АСК 50–325 мг + клопидогрел 75 мг в течение 3 мес с дальнейшим переходом на монотерапию антитромбоцитарным препаратом | 
| Малый инсульт | NIHSS≤3: АСК + клопидогрел 75 мг (инициация в первые 7 дней) сроком на 21–90 дней с переходом на монотерапию антитромбоцитарным препаратом. NIHSS 4–5: АСК + тикагрелор 180 мг/сут в течение 30 дней с переходом на монотерапию антитромбоцитарным препаратом* | 
| Лакунарный | |
| На фоне ЦМА | АСК 50–325 мг или клопидогрел 75 мг | 
| Другой уточненный | |
| Диссекция | АСК или варфарин не менее 3 мес, при стентировании (показано при повторном ИИ или ТИА на фоне первичной антитромботической терапии) – АСК + клопидогрел не менее 1 мес | 
| Криптогенный | |
| ESUS | АСК 50–325 мг или клопидогрел 75 мг | 
| Примечание. НПОАК – новые прямые оральные антикоагулянты, МНО – международное нормализованное отношение, МК – митральный клапан, АСК – ацетилсалициловая кислота, NIHSS (National Institutes of Health Stroke Scale) – шкала инсульта Национального института здоровья США; *в РФ тикагрелор пока не зарегистрирован как препарат для вторичной профилактики при остром нарушении мозгового кровообращения. | |
Рис. 6. Алгоритм вторичной профилактики при ИИ.
Заключение
Основными механизмами развития ИИ выступают атеросклероз крупных артерий (ЭКА или/и ИКА), кардиоэмболия из источников высокого риска и ЦМА. Поиск данных причин должен входить в базовый объем обследования пациентов при госпитализации в первичное сосудистое отделение и региональный сосудистый центр. Если эти механизмы развития ИИ не подтверждаются, целесообразно включить в диагностический поиск другие потенциальные причины – ООО, диссекцию, тромбофилию и редкие состояния. Последовательность диагностического поиска должна определяться возрастом пациента, факторами риска и сопутствующими заболеваниями. Своевременное и точное установление механизма развития инсульта позволяет назначить максимально эффективную вторичную профилактику, представленную в настоящее время широким спектром медикаментозных и хирургических методов.
Конфликт интересов. Авторы заявляют об отсутствии конфликта интересов.
Conflict of interests. The authors declare no conflict of interest.
Об авторах
Алексей Александрович Кулеш
ФГБОУ ВО «Пермский государственный медицинский университет им. акад. Е.А. Вагнера» Минздрава России
							Автор, ответственный за переписку.
							Email: aleksey.kulesh@gmail.com
				                	ORCID iD: 0000-0001-6061-8118
				                																			                								
д-р мед. наук, доц., проф. каф. неврологии и медицинской генетики
Россия, ПермьДмитрий Алексеевич Демин
ФГБУ «Федеральный центр сердечно-сосудистой хирургии» Минздрава России
														Email: demin2404@mail.ru
				                	ORCID iD: 0000-0003-2670-4172
				                																			                								
врач-невролог
Россия, АстраханьОлег Иванович Виноградов
ФГБУ «Национальный медико-хирургический центр им. Н.И. Пирогова» Минздрава России
														Email: olvinog1975@gmail.com
				                	ORCID iD: 0000-0002-3847-9366
				                																			                								
д-р мед. наук, проф., зав. каф. неврологии с курсом нейрохирургии
Россия, МоскваСписок литературы
- Tarulli A. Uncommon causes of stroke and stroke mimics. In: The Stroke Book. Ed. M. Torbey, M. Selim. Cambridge: Cambridge UP, 2013; p. 74-92. doi: 10.1017/CBO9781139344296.008
- Кулеш А.А., Дробаха В.Е., Шестаков В.В. Криптогенный инсульт. Неврология, нейропсихиатрия, психосоматика. 2019;11(4):14-21 [Kulesh AA, Drobakha VE, Shestakov VV. Cryptogenic stroke. Neurology, Neuropsychiatry, Psychosomatics. 2019;11(4):14-21 (in Russian)]. doi: 10.14412/2074-2711-2019-4-14-21
- Radu RA, Terecoasă EO, Băjenaru OA, Tiu C. Etiologic classification of ischemic stroke: Where do we stand? Clin Neurol Neurosurg. 2017;159:93-106. doi: 10.1016/j.clineuro.2017.05.019
- Ay H, Benner T, Arsava EM, et al. A computerized algorithm for etiologic classification of ischemic stroke: The Causative Classification of Stroke System. Stroke. 2007;38(11):2979-84. doi: 10.1161/STROKEAHA.107.490896
- Hart RG, Diener HC, Coutts SB, et al.; Cryptogenic Stroke/ESUS International Working Group. Embolic strokes of undetermined source: the case for a new clinical construct. Lancet Neurol. 2014;13(4):429-38. doi: 10.1016/S1474-4422(13)70310-7
- Kleindorfer DO, Towfighi A, Chaturvedi S, et al. 2021 Guideline for the Prevention of Stroke in Patients With Stroke and Transient Ischemic Attack: A Guideline From the American Heart Association/American Stroke Association. Stroke. 2021;52(7):e364-e467. doi: 10.1161/STR.0000000000000375
- Kamel H, Healey JS. Cardioembolic Stroke. Circ Res. 2017;120(3):514-26. doi: 10.1161/CIRCRESAHA.116.308407
- Sacchetti DC, Furie KL, Yaghi S. Cardioembolic Stroke: Mechanisms and Therapeutics. Semin Neurol. 2017;37(3):326-38. doi: 10.1055/s-0037-1603465
- Kang J, Hong JH, Jang MU, et al. Cardioembolism and Involvement of the Insular Cortex in Patients with Ischemic Stroke. PLoS One. 2015;10(10):e0139540. doi: 10.1371/journal.pone.0139540
- Friberg L, Hammar N, Rosenqvist M. Stroke in paroxysmal atrial fibrillation: report from the Stockholm Cohort of Atrial Fibrillation. Eur Heart J. 2010;31(8):967-75. doi: 10.1093/eurheartj/ehn599
- Haeusler KG, Laufs U, Endres M. Chronic heart failure and ischemic stroke. Stroke. 2011;42(10):2977-82. doi: 10.1161/STROKEAHA.111.628479
- Solheim S, Seljeflot I, Lunde K, et al. Frequency of left ventricular thrombus in patients with anterior wall acute myocardial infarction treated with percutaneous coronary intervention and dual antiplatelet therapy. Am J Cardiol. 2010;106(9):1197-200. doi: 10.1016/j.amjcard.2010.06.043
- Vaitkus PT, Barnathan ES. Embolic potential, prevention and management of mural thrombus complicating anterior myocardial infarction: a meta-analysis. J Am Coll Cardiol. 1993;22(4):1004-9. doi: 10.1016/0735-1097(93)90409-t
- Leow AS, Sia CH, Tan BY, et al. Characterisation of acute ischemic stroke in patients with left ventricular thrombi after myocardial infarction. J Thromb Thrombolysis. 2019;48(1):158-66. doi: 10.1007/s11239-019-01829-6
- García-Cabrera E, Fernández-Hidalgo N, Almirante B, et al.; Group for the Study of Cardiovascular Infections of the Andalusian Society of Infectious Diseases; Spanish Network for Research in Infectious Diseases. Neurological complications of infective endocarditis: risk factors, outcome, and impact of cardiac surgery: a multicenter observational study. Circulation. 2013;127(23):2272-84. doi: 10.1161/CIRCULATIONAHA.112.000813
- Dalager-Pedersen M, Søgaard M, Schønheyder HC, et al. Risk for myocardial infarction and stroke after community-acquired bacteremia: A 20-year population-based cohort study. Circulation. 2014;129(13):1387-96. doi: 10.1161/CIRCULATIONAHA.113.006699
- Cahill TJ, Baddour LM, Habib G, et al. Challenges in Infective Endocarditis. J Am Coll Cardiol. 2017;69(3):325-44. doi: 10.1016/j.jacc.2016.10.066
- Diener HC, Sacco RL, Easton JD, et al.; RE-SPECT ESUS Steering Committee and Investigators. Dabigatran for Prevention of Stroke after Embolic Stroke of Undetermined Source. N Engl J Med. 2019;380(20):1906-17. doi: 10.1056/NEJMoa1813959
- Hart RG, Sharma M, Mundl H, et al.; NAVIGATE ESUS Investigators. Rivaroxaban for Stroke Prevention after Embolic Stroke of Undetermined Source. N Engl J Med. 2018;378(23):2191-201. doi: 10.1056/NEJMoa1802686
- Кулеш А.А., Нуриева Ю.А., Сыромятникова Л.И. Причины ишемического инсульта у пациентов моложе 45 лет: анализ данных регионального сосудистого центра. Неврология, нейропсихиатрия, психосоматика. 2021;13(1):24-30 [Kulesh AA, Nurieva YuA, Syromyatnikova LI. Causes of ischemic stroke in patients younger than 45 years: analysis of data from the regional vascular center. Neurology, Neuropsychiatry, Psychosomatics. 2021;13(1):24-30 (in Russian)]. doi: 10.14412/2074-2711-2021-1-24-30
- Кулеш А.А., Шестаков В.В. Открытое овальное окно и эмболический криптогенный инсульт. Неврология, нейропсихиатрия, психосоматика. 2019;11(2):4-11 [Kulesh AA, Shestakov VV. Patent foramen ovale and embolic cryptogenic stroke. Nevrologiya, neiropsikhiatriya, psikhosomatika = Neurology, Neuropsychiatry, Psychosomatics. 2019;11(2):4-11 (in Russian)]. doi: 10.14412/2074-2711-2019-2-4-11
- Bannan A, Shen R, Silvestry FE, Herrmann HC. Characteristics of adult patients with atrial septal defects presenting with paradoxical embolism. Catheter Cardiovasc Interv. 2009;74(7):1066-9. doi: 10.1002/ccd.22170
- Белопасова А.В., Добрынина Л.А., Калашникова Л.А., и др. Легочный артериовенозный шунт – редкая причина рецидивирующих нарушений мозгового кровообращения по механизму парадоксальной эмболии. Журнал неврологии и психиатрии им. С.С. Корсакова. 2020;120(9):107-13. [Belopasova AV, Dobrynina LA, Kalashnikova LA, et al. Pulmonary arteriovenous shunt – a rare cause of recurrent stroke due to paradoxical embolism. Zhurnal nevrologii i psikhiatrii im. S.S. Korsakova. 2020;120(9):107-13 (in Russian)]. doi: 10.17116/jnevro2020120091107
- Amarenco P, Cohen A, Tzourio C, et al. Atherosclerotic disease of the aortic arch and the risk of ischemic stroke. N Engl J Med. 1994;331(22):1474-9. doi: 10.1056/NEJM199412013312202
- Cui X, Li Y, Liu J, et al. Aortic arch atheroma and the risk of stroke: a meta-analysis. J Evid Based Med. 2014;7(3):185-91. doi: 10.1111/jebm.12113
- Vizzardi E, Gelsomino S, D’Aloia A, Lorusso R. Aortic atheromas and stroke: review of literature. J Investig Med. 2013;61(6):956-66. doi: 10.2310/JIM.0b013e31829cbe04
- Кулеш А.А., Демин Д.А., Виноградов О.И. Криптогенный инсульт. Часть 1: аорто-артериальная эмболия. Медицинский совет. 2021;(4):78-87 [Kulesh AA, Demin DA, Vinogradov OI. Cryptogenic stroke. Part 1: Aorto-arterial embolism. Meditsinskiy sovet = Medical Council. 2021;(4):78-87 (in Russian)]. doi: 10.21518/2079-701X-2021-4-78-87
- Goyal M, Singh N, Marko M, et al. Embolic Stroke of Undetermined Source and Symptomatic Nonstenotic Carotid Disease. Stroke. 2020;51(4):1321-5. doi: 10.1161/STROKEAHA.119.028853
- Barrett KM, Brott TG. Stroke Caused by Extracranial Disease. Circ Res. 2017;120(3):496-501. doi: 10.1161/CIRCRESAHA.117.310138
- Banerjee C, Chimowitz MI. Stroke Caused by Atherosclerosis of the Major Intracranial Arteries. Circ Res. 2017;120(3):502-13. doi: 10.1161/CIRCRESAHA.116.308441
- Kim JS, Caplan LR. Clinical Stroke Syndromes. Front Neurol Neurosci. 2016;40:72-92. doi: 10.1159/000448303
- Gorelick PB, Wong KS, Bae HJ, Pandey DK. Large artery intracranial occlusive disease: a large worldwide burden but a relatively neglected frontier. Stroke. 2008;39(8):2396-9. doi: 10.1161/STROKEAHA.107.505776
- Hurford R, Wolters FJ, Li L, et al.; Oxford Vascular Study Phenotyped Cohort. Prevalence, predictors, and prognosis of symptomatic intracranial stenosis in patients with transient ischaemic attack or minor stroke: a population-based cohort study. Lancet Neurol. 2020;19(5):413-21. doi: 10.1016/S1474-4422(20)30079-X
- Qureshi AI, Caplan LR. Intracranial atherosclerosis. Lancet. 2014;383(9921):984-98. doi: 10.1016/S0140-6736(13)61088-0
- Hoshino T, Sissani L, Labreuche J, et al.; AMISTAD Investigators. Prevalence of Systemic Atherosclerosis Burdens and Overlapping Stroke Etiologies and Their Associations With Long-term Vascular Prognosis in Stroke With Intracranial Atherosclerotic Disease. JAMA Neurol. 2018;75(2):203-11. doi: 10.1001/jamaneurol.2017.3960
- Krasteva MP, Lau KK, Mordasini P, et al. Intracranial Atherosclerotic Stenoses: Pathophysiology, Epidemiology, Risk Factors and Current Therapy Options. Adv Ther. 2020;37(5):1829-65. doi: 10.1007/s12325-020-01291-4
- Regenhardt RW, Das AS, Lo EH, Caplan LR. Advances in Understanding the Pathophysiology of Lacunar Stroke: A Review. JAMA Neurol. 2018;75(10):1273-81. doi: 10.1001/jamaneurol.2018.1073
- Wardlaw JM, Smith EE, Biessels GJ, et al. Neuroimaging standards for research into small vessel disease and its contribution to ageing and neurodegeneration. Lancet Neurol. 2013;12:822-38. doi: 10.1016/S1474-4422(13)70124-8
- Кулеш А.А., Дробаха В.Е., Шестаков В.В. Церебральная болезнь мелких сосудов: классификация, клинические проявления, диагностика и особенности лечения. Неврология, нейропсихиатрия, психосоматика. 2019;11(3S):4-17 [Kulesh AA, Drobakha VE, Shestakov VV. Cerebral small vessel disease: classification, clinical manifestations, diagnosis, and features of treatment. Neurology, Neuropsychiatry, Psychosomatics. 2019;11(3S):4-17 (in Russian)]. doi: 10.14412/2074-2711-2019-3S-4-17
- Regenhardt RW, Das AS, Ohtomo R, et al. Pathophysiology of Lacunar Stroke: History’s Mysteries and Modern Interpretations. J Stroke Cerebrovasc Dis. 2019;28(8):2079-97. doi: 10.1016/j.jstrokecerebrovasdis.2019.05.006
- Giacomozzi S, Caso V, Agnelli G, et al. Lacunar stroke syndromes as predictors of lacunar and non-lacunar infarcts on neuroimaging: a hospital-based study. Intern Emerg Med. 2020;15(3):429-36. doi: 10.1007/s11739-019-02193-2
- Kamo H, Miyamoto N, Otani H, et al. The Importance of Combined Antithrombotic Treatment for Capsular Warning Syndrome. J Stroke Cerebrovasc Dis. 2018;27(11):3095-9. doi: 10.1016/j.jstrokecerebrovasdis.2018.06.038
- Кулеш А.А., Емелин А.Ю., Боголепова А.Н., и др. Клинические проявления и вопросы диагностики хронического цереброваскулярного заболевания (хронической ишемии головного мозга) на ранней (додементной) стадии. Неврология, нейропсихиатрия, психосоматика. 2021;13(1):4-12 [Kulesh AA, Emelin AYu, Bogolepova AN, et al. Clinical manifestations and issues of diagnosis of chronic cerebrovascular disease (chronic cerebral ischemia) at an early (pre-dementia) stage. Nevrologiya, neiropsikhiatriya, psikhosomatika = Neurology, Neuropsychiatry, Psychosomatics. 2021;13(1):4-12 (in Russian)]. doi: 10.14412/2074-2711-2021-1-4-12
- Hart RG, Catanese L, Perera KS, et al. Embolic Stroke of Undetermined Source: A Systematic Review and Clinical Update. Stroke. 2017;48(4):867-72. doi: 10.1161/STROKEAHA.116.016414
- Cucchiara B, Kasner S. Treatment of “Other” Stroke Etiologies. In: Stroke. Pathophysiology, Diagnosis, and Management Book. Seventh Edition. Elsevier, 2022; p. 852-868.e9. doi: 10.1016/B978-0-323-69424-7.00058-2
- Debette S, Leys D. Cervical-artery dissections: predisposing factors, diagnosis, and outcome. Lancet Neurol. 2009;8:668-78. doi: 10.1016/S1474-4422(09)70084-5
- Debette S, Compter A, Labeyrie MA, et al. Epidemiology, pathophysiology, diagnosis, and management of intracranial artery dissection. Lancet Neurol. 2015;14:640-54. doi: 10.1016/S1474-4422(15)00009-5
- Калашникова Л.А., Добрынина Л.А., Чечеткин А.О., и др. Нарушения мозгового кровообращения при диссекции внутренней сонной и позвоночной артерий. Алгоритм диагностики. Нервные болезни. 2016;2:10-7 [Kalashnikova LA, Dobrynina LA, Chechetkin AO, et al. Narushenija mozgovogo krovoobrashhenija pri dissekcii vnutrennej sonnoj i pozvonochnoj arterij. Algoritm diagnostiki. Nervnye bolezni. 2016;2:10-7 (in Russian)].
- Amarenco P, Bogousslavsky J, Caplan LR, et al. The ASCOD phenotyping of ischemic stroke (Updated ASCO Phenotyping). Cerebrovasc Dis. 2013;36(1):1-5. doi: 10.1159/000352050
- Saver JL. Clinical Practice. Cryptogenic Stroke. N Engl J Med. 2016;374(21):2065-74. doi: 10.1056/NEJMcp1503946
- Baumgartner H, Falk V, Bax JJ, et al.; ESC Scientific Document Group. 2017 ESC/EACTS Guidelines for the management of valvular heart disease. Eur Heart J. 2017;38(36):2739-91. doi: 10.1093/eurheartj/ehx391
- Otto CM, Nishimura RA, Bonow RO, et al. 2020 ACC/AHA Guideline for the Management of Patients With Valvular Heart Disease: A Report of the American College of Cardiology/American Heart Association Joint Committee on Clinical Practice Guidelines. Circulation. 2021;143(5):e72-e227. doi: 10.1161/CIR.0000000000000923
Дополнительные файлы
 
				
			 
						 
					 
									









