Opticoneuromyelitis associated with melanoma. Case report
- Authors: Gudkova V.V.1, Kimelfeld E.I.1, Paderina V.P.2, Koshurnikov D.S.2, Ulianov D.I.2, Ermakov D.S.2, Maliutina N.A.1
- 
							Affiliations: 
							- Pirogov Russian National Research Medical University
- Hospital for War Veterans №3
 
- Issue: Vol 23, No 11 (2021)
- Pages: 884-890
- Section: Articles
- Published: 15.11.2021
- URL: https://consilium.orscience.ru/2075-1753/article/view/96639
- DOI: https://doi.org/10.26442/20751753.2021.11.201159
- ID: 96639
Cite item
Full Text
Abstract
This article presents a clinical review of a patient with an extremely rare assotiation of opticoneuromyelitis and skin melanoma. The paper noted the typical clinical and neuroimaging signs of opticoneuromyelitis and the rare manifestations of myelitic syndrome such as segmental muscle hypertonicity and hand hyperkinesis. The question remains open as to whether these two processes in a patient are linked by a single pathogenesis in the form of a paraneoplastic neurological syndrome or whether two independent diseases are represent there. Two observations of a combination of melanoma and opticoneuromyelitis as a manifestation of the paraneoplastic syndrome have been analysed in the literature. The article highlights the difficulties in the treatment of this patient, as the immunomodulatory therapy used for both diseases has a different vectorial focus. Immunosuppression is recommended for the treatment of opticoneuromyelitis, while immune activation is recommended for melanoma.
Full Text
Введение
В клинической практике часто приходится встречаться с полиморбидными процессами. При этом необходимо не только правильно диагностировать заболевания, но и ответить на вопрос, являются ли они самостоятельными, независимыми друг от друга, или это коморбидные состояния, связанные единым патогенезом? Мы представляем пациента с редким аутоиммунным неврологическим заболеванием – оптиконевромиелитом (ОНМ), у которого одновременно выявили меланому кожи.
ОНМ или болезнь Девика – редкое демиелинизирующее аутоиммунное заболевание [1–3]. В европейских странах доля ОНМ среди остальных демиелинизирующих процессов центральной нервной системы (ЦНС) составляет 1–5% случаев [4]. По данным регистра городского центра Ростова-на-Дону из 721 пациента с воспалительными демиелинизирующими заболеваниями ЦНС только у 3 (0,4%) больных выявлен ОНМ [5].
Наблюдается ОНМ в основном у людей молодого возраста (дебют чаще приходится на 4-е десятилетие), описаны случаи у детей и пожилых [1, 6–8]. В 20–30% наблюдений клиническим проявлениям ОНМ предшествует инфекция или вакцинация [8]. Течение заболевания может быть рецидивирующим или монофазным. Рецидивирующее течение ОНМ (имеющее место у 80–90% пациентов) значительно чаще встречается у женщин, при монофазном течении существенных гендерных различий не отмечено [1, 8, 9].
Ведущими клиническими признаками рассматриваемого заболевания являются зрительные расстройства и симптомы миелита, это нашло отражение в названии болезни. Комбинация поражения зрительных нервов и спинного мозга может наблюдаться и при других заболеваниях, таких как рассеянный склероз, различные аутоиммунные и инфекционные заболевания, дисметаболические процессы. Дифференциально-диагностические сложности привели к необходимости разработки критериев диагностики ОНМ, которые впервые появились в 1999 г., затем уточнялись в 2008 г., последние представлены в 2015 г. в виде консенсуса [4, 10].
ОНМ – одно из немногих неврологических заболеваний, для которого обнаружен биологический маркер. Таким маркером является выделенный из плазмы крови больных с ОНМ иммуноглобулин G (IgG), названный NMO-IgG (neuromyelitis optica – оптический нейромиелит). Мишень этого специфического антитела – белок водных каналов астроцитов (аквапорин 4 – AQP4) [11], и Ig стал обозначаться как AQP4-IgG [12]. Спустя годы международная группа по диагностике ОНМ пришла к выводу, что обнаружению антител к AQP4 не следует отводить самостоятельного значения. Бессимптомное повышение AQP4-IgG не может быть основанием для диагностики ОНМ, а отсутствие AQP4-IgG при наличии других признаков заболевания позволяет установить серонегативный ОНМ [2, 4, 10]. Тем не менее анализ крови на наличие и концентрацию AQP4-IgG остается одним из основных диагностических тестов. У пациента с наличием антител к AQP4 для убедительной диагностики ОНМ достаточно иметь еще только один из основных клинических синдромов (неврит зрительного нерва, обширный поперечно-продольный миелит, поражение самого заднего поля – аrea postrema), подтвержденных магнитно-резонансной томографией (МРТ) [10].
В 2007 г. предложен термин neuromyelitis optica spectrum disorders (NMOSD), который на русский язык переводится как расстройства спектра ОНМ. В указанный спектр кроме ОНМ вошли изолированный острый продольно-распространенный миелит, неврит зрительного нерва и другие синдромы [13]. По результатам последнего систематического обзора, опубликованного в 2021 г., распространенность NMOSD колеблется в пределах 0,7–10,0 на 100 тыс. населения, показатели зависят от этнической принадлежности. Самая высокая распространенность NMOSD выявлена среди афроамериканцев и азиатов [14].
Проведенное в 2019 г. обсервационное эпидемиологическое исследование NMOSD в 25 субъектах России выявило заболеваемость равную 0,5 [0, 45–0, 56] на 100 тыс. человек [15].
Группа NMOSD продолжает изучаться и расширяться за счет новых форм. В настоящее время в спектр включены синдромы с поражением головного мозга (ГМ), которые ранее рассматривались как критерии исключения из этой группы. К NMOSD стали относить также серонегативных по AQP4-IgG пациентов, которые имеют положительную реакцию на антитела к миелин-олигодендроцитарным гликопротеинам (MOG) [2, 10, 16, 17].
Высокая настороженность относительно развития NMOSD должна быть в условиях нынешней пандемии. G. Román и соавт. отмечают нарастание частоты одного из синдромов из группы NMOSD – острого поперечного миелита. В клиническом обзоре авторы анализируют 43 пациента с указанным синдромом, ассоциированным с COVID-19, у 3 из которых отмечалась также и потеря зрения [18].
Важность своевременной диагностики NMOSD и отграничение этой группы заболеваний от рассеянного склероза определяется тем, что назначение ряда препаратов, изменяющих течение рассеянного склероза (интерфероны β, натализумаб, алемтузумаб и др.), могут приводить к тяжелым последствиям у больных с NMOSD [3, 19, 20].
Клиническое наблюдение
У пациента К. 65 лет в октябре-ноябре 2020 г. имели место катаральные явления и обострение хронического бронхита. В начале декабря 2020 г. после переохлаждения появились кожные высыпания и зуд в левой височной области, достаточно быстро распространившиеся на волосистую часть головы слева и вокруг левого глаза. Через пару дней присоединилась боль в указанных областях, практически постоянная ноющая, иногда дергающая. Приблизительно через 2 нед боль стала диффузной с преобладанием в лобно-теменной области. В конце декабря отмечались тошнота, рвота, что явилось поводом для диагностирования острого панкреатита.
В начале января больной отметил появление напряжения и болезненности мышц шеи и плечевого пояса, а также усиление головной боли с преимущественной локализацией в правой затылочной области. 11 января 2021 г. появилось онемение в пальцах рук, больше справа, неловкость в правой ноге, неустойчивость при ходьбе. Пациента госпитализировали в неврологическое отделение одной из городских больниц, где установили диагноз инфаркта мозга. На фоне лечения дискомфорт в правых конечностях уменьшился, но напряжение, боль в шее и плечевом поясе остались.
12 февраля 2021 г. больной отметил снижение зрения на левый глаз с нарастающим ухудшением зрительной функции. В феврале у него также появлялись своеобразные пароксизмальные состояния, частоту и продолжительность которых установить не удалось. Начинались они с возникновения стягивания и боли в поясничной области, то справа, то слева с распространением вниз и вверх (на ноги, туловище, руки). Эти эпизоды болевых ощущений пациент описывает как кратковременные, которые прекращались самостоятельно, когда они достигали рук и переходили с проксимальных отделов – на дистальные.
16 марта в связи с нарастанием слабости и онемения в правых конечностях больного вновь госпитализировали. Состояние расценено как ранний восстановительный период инфаркта ГМ в вертебрально-базилярной системе от 11.01.2021. Снижение зрения объяснено наличием задней ишемической оптикопатии слева.
16 апреля 2021 г. поводом для очередной госпитализации явились жалобы на слабость и онемение уже в левой руке, которая стала неловкой и непослушной, совершала непроизвольные движения. Кроме того, наросли снижение зрения левым глазом и боль в мышцах шеи. Направительным диагнозом был инсульт неутонченный.
При осмотре на коже спины отмечен невус с изъязвлением. Длительность его существования пациент уточнить не мог, но сообщил, что на протяжении 6–7 меc неоднократно происходило нарушение целостности невуса, а незадолго до госпитализации случайно удалили его фрагмент и отправили на гистологическое исследование. Его результаты: картина злокачественной меланоцитарной опухоли кожи спины с врастанием в ретикулярный слой дермы и изъязвлением. Больного консультировал онколог, проведенный в нашем стационаре онкопоиск (сцинтиграфия скелета, ультразвуковое исследование органов брюшной полости и малого таза, компьютерная томография органов грудной клетки, МРТ ГМ и спинного мозга) не выявил метастазирования меланомы.
Неврологический статус при поступлении. Сознание пациента ясное, общемозговых симптомов не наблюдалось. Отмечалось напряжение трапециевидных мышц и задней группы мышц шеи, ограничивающие подвижность шеи. Симптом Кернига был отрицательным. Регистрировалось значительное снижение остроты зрения левым глазом (не различал предметы). Выявлялось нарушение суставно-мышечного чувства в руках с двух сторон до уровня плечевых суставов, а также нарушение двумерно-пространственного и стереогностического чувства. Больной не мог определить с закрытыми глазами положение своих рук, особенно с левой стороны. Периодически в пальцах рук отмечался гиперкинез, напоминающий хореоатетоидные движения, которые ярче проявлялись при удержании позы. Гиперкинез также больше выражен слева. Снижение суставно-мышечного чувства имелось и в пальцах ног. При контроле зрения сила в конечностях сохранялась. Отмечалось снижение сухожильных рефлексов с рук, при нормальной величине ответа с ног. Походка была неустойчивая как за счет сенситивной атаксии, так и вследствие отсутствия содружественного движения рук при ходьбе из-за скованности в плечевом поясе и приведения к туловищу разогнутых рук.
Офтальмологом отмечены: снижение остроты зрения (визус слева – 0,02, справа – 0,7), повышение внутриглазного давления слева (до 30 мм рт. ст.), признаки возрастной катаракты, ангиосклероз сетчатки с двух сторон, частичная атрофия зрительных нервов.
В лабораторных анализах крови и мочи существенных изменений не выявлено. Регистрировались преходящая гипергликемия до 9,9 ммоль/л (верхняя граница – 6,3 ммоль/л), однократное повышение аланинаминотрансферазы до 283,00 МЕ/л (верхняя граница – 40 МЕ/л) при нормальной активности других печеночных ферментов.
По клиническим данным доминирующая дисфункция заключалась в снижении зрения на левый глаз и нарушении глубокой чувствительности преимущественно в руках, вероятно за счет поражения задних столбов спинного мозга. Топическая диагностика не соответствовала сосудистому церебральному процессу и не исключала возможное наличие ОНМ. На данное заболевание указывали и анамнестические данные: дебют после инфекционного процесса, нестойкость неврологических симптомов, миграция их по различным частям тела от обострения к обострению.
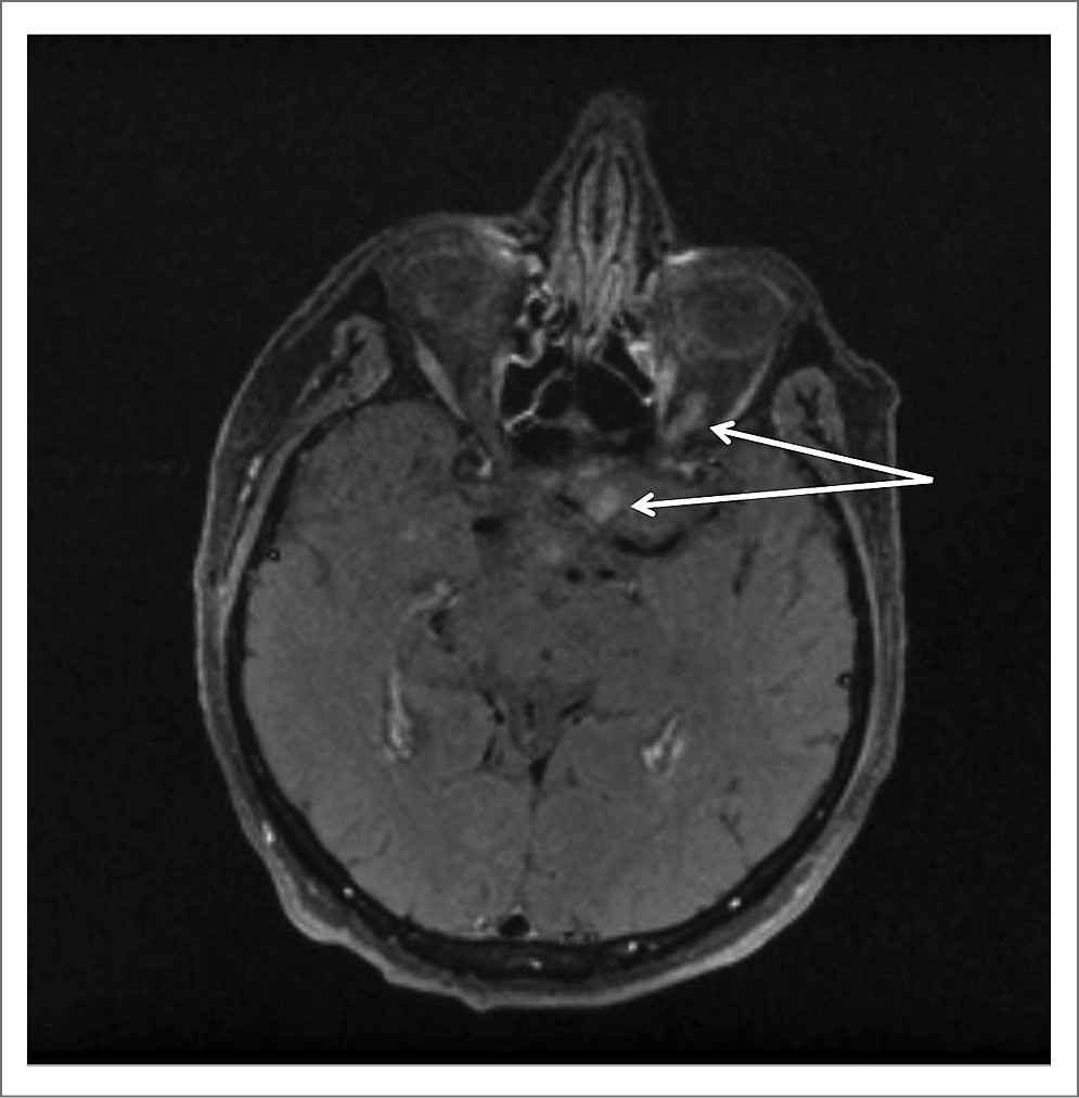
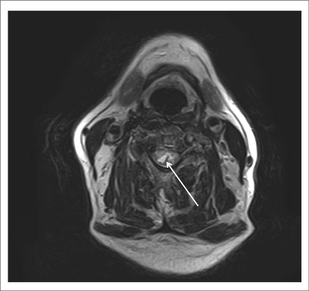
Для уточнения диагноза провели МРТ ГМ и спинного мозга. При исследовании ГМ отмечены единичные мелкие очаги в белом веществе и небольшие зоны лейкоареоза, отражающие микроангиопатию. МРТ-исследование спинного мозга в режимах T2-взвешенного изображения и FLAIR выявило протяженные участки повышенного МР-сигнала (на уровне шести шейных позвонков), заметное утолщение и неоднородную структуру шейного отдела спинного мозга, вероятно, воспалительного генеза (рис. 1, 2). При внутривенном контрастном усилении определялось накопление контрастного вещества в левом зрительном нерве на всем его протяжении (рис. 3) и в белом веществе спинного мозга, преимущественно в области задних столбов с переходом на нижнезадние отделы продолговатого мозга – зона аrea postrema (рис. 4).
Рис. 1. Изменения в шейном отделе спинного мозга на Т2-взвешенных изображениях в сагиттальной проекции (показано стрелкой).
Рис. 2. Изменения в шейном отделе спинного мозга на Т2-взвешенных изображениях в аксиальной проекции (показано стрелкой).
Рис. 3. Накопление контрастного вещества в левом зрительном нерве (показано стрелками).
Рис. 4 Накопление контрастного вещества в зоне патологических изменений в шейном отделе спинного мозга (показано стрелкой).
Таким образом, оба топических уровня поражения на основании клинических данных подтверждены результатами МРТ-исследования. Пациенту назначили внутривенную пульс-терапию метилпреднизолоном 1000 мг на протяжении 7 дней с последующим переходом на пероральный прием глюкокортикостероидов. Уже после 2–3-го введения больной отметил уменьшение напряжения и тяжести в руках, что позволяло ему контролировать свои действия. Зафиксировано расслабление трапециевидных мышц, менее выраженными стали непроизвольные движения в кистях, нарушение суставно-мышечного чувства снизилось до уровня лучезапястных суставов.
Анализ крови на наличие антител к AQP4 взят на фоне начавшегося лечения гормонами. Превышение титра AQP4-IgG в 2 раза 1:20 позволило нам подтвердить диагноз ОНМ.
При динамическом МРТ-исследовании, проведенном через 3 нед на фоне продолжающейся глюкокортикостероидной терапии, сохранялось слабое накопление контрастного вещества по ходу левого зрительного нерва, отмечалось уменьшение толщины шейного отдела спинного мозга, на этом уровне стали прослеживаться субарахноидальные ликворные пространства, неоднородная структура спинного мозга в проекции СII–СV позвонков сохранялась, но протяженность зоны патологических изменений и накопления контрастного вещества существенно уменьшилась (рис. 5). Заключение: МР-картина воспалительных изменений в шейном отделе спинного мозга и зрительном нерве слева (признаки оптикомиелита).
Рис. 5 Уменьшение накопления контрастного вещества в шейном отделе спинного мозга на фоне терапии (показано стрелкой).
Обсуждение
Болезнь у пациента развивалась на протяжении 6 мес. Началом можно считать развитие инфекционно-воспалительного процесса дыхательных путей. Последующие проявления не позволяют исключить герпетическое поражение ганглия тройничного нерва. Возможно, что возникшие через несколько недель достаточно интенсивные тошнота и рвота, потребовавшие госпитализации в хирургическое отделение, имели не только висцеральный, но и центральный характер. В пользу этого может свидетельствовать обнаруженный при проведении МРТ небольшой участок поражения в области дорсальных отделов продолговатого мозга уже во время первой госпитализации в неврологическое отделение. Несмотря на то, что данный очаг первоначально приняли за инфаркт мозга, дальнейший анализ МРТ-изображений позволил исключить сосудистую зону поражения и уточнить локализацию патологического очага в области area postrema.
Поражение аrea postrema при ОНМ
Аrea postrema представляет собой ключевую церебральную структуру, опосредующую тошноту, рвоту, икоту [21, 22]. Эта зона образует многочисленные связи с ядрами тройничного, блуждающего, подъязычного нервов, с голубым пятном (locus coeruleus), центральным серым веществом среднего мозга, гипоталамусом, имеет афферентные входы от внутренних органов [21, 22].
По современным данным, поражение area postrema относится к 1 из 3 основных критериев диагностики NMOSD наряду с оптическим невритом и обширным продольно-поперечным миелитом [2, 4, 10, 21]. Область аrea postrema, образованная специализированными клетками эпендимы, отличается хорошей васкуляризацией и высокой проницаемостью, так как частично лишена гематоэнцефалического барьера [22, 23]. Поражение area postrema выявляется у 16–43% пациентов с ОНМ и может быть первым клиническим проявлением заболевания [10, 20, 21]. Частое поражение этой области при ОНМ связывают с высокой экспрессией AQP4 в этой зоне и возможностью проникновения туда антител к данному аквапорину через участки, лишенные гематоэнцефалического барьера [21].
Мы не знаем, имелись ли изменения в зоне аrea postrema во время наличия у больного тошноты и рвоты. Может также возникнуть вопрос, почему при выявлении этого уровня поражения у пациента не наблюдалось рвоты при повторных госпитализациях? Вероятно, морфологическое поражение аrea postrema не всегда проявляется клинически. В наблюдении Т. Morimoto и соавт. тошнота и анорексия появились спустя 4 года после находки при МРТ-исследовании поражения данной области [7], а И.С. Бакулин и соавт. отметили возможность самостоятельного исчезновения клинических проявлений поражения area postrema без лечения [21].
Следует отметить тесную анатомическую связь между задними столбами спинного мозга, продолговатым мозгом и area postrema. Задние столбы переходят на нижние отделы продолговатого мозга, где у нижнего края ромбовидной ямки располагается area postrema [22].
Особенности клинических проявлений
По мере увеличения числа наблюдений открывается клинический полиморфизм NMOSD. В международном консенсусе по диагностическим критериям NMOSD замечено, что никакие клинические характеристики не являются патогномоничными для этой группы заболеваний [10].
Характер и причину описанных пациентом в анамнезе болезненных мышечных пароксизмов объяснить сложно. Тем не менее, по данным литературы, 1/3 пациентов с NMOSD отмечают пароксизмальные тонические мышечные спазмы [2, 4, 10, 20].
Оптический неврит при ОНМ может быть как с выраженным и стойким нарушением зрения [10], так и асимптомным, патология которого выявляется только специальными методами исследования [1]. У нашего пациента расстройства зрения были выраженными без каких-либо характерных изменений при офтальмоскопии, и только МРТ с контрастированием позволило остановиться на воспалительном характере поражения зрительного нерва (рис. 3).
Клинические проявления миелита при ОНМ чаще всего описывают как синдром полного поперечного поражения спинного мозга, распространяющийся более чем на 3 позвонка. Однако не исключается возможность и частичного поперечного повреждения спинного мозга [4, 10]. Такая избирательность не может не отразиться и на клинической картине миелита. У нашего больного ведущими были гипертонус в мышцах шеи, плечевого пояса, нарушение суставно-мышечного чувства в руках с гиперкинезами в кистях, напоминающих хореоатетоз. МРТ-исследование выявило парциальное вовлечение в патологический процесс задних столбов на шейном уровне с преимущественным повреждением клиновидных пучков Бурдаха (см. рис. 2). Эти канатики являются проводниками глубокой чувствительности от рук, плечевого пояса и шеи, а также несут неосознаваемые проприоцептивные импульсы от заднего спинно-мозжечкового тракта к коре червя мозжечка через его нижнюю ножку [24].
Собственная сложная нейрональная сеть спинного мозга обеспечивает множественную рефлекторную деятельность, которая может функционировать независимо от ГМ. Спинной мозг представляет собой конечный подготовительный пункт ЦНС для осуществления любого двигательного процесса, как рефлекторного, так и осознанного [24]. В реализации двигательной активности большая роль отводится суставно-мышечному чувству и связанному с ним контролю мышечного тонуса на спинальном уровне, поэтому выявленные у нашего пациента сегментарный мышечный гипертонус и гиперкинез можно объяснить локальным поражением спинного мозга. Наличию спинальных механизмов в реализации различных гиперкинезов посвящен ряд исследований А.С. Старикова. В частности, автор показал значение неправильного управления мышечными веретенами в происхождении хореиформных гиперкинезов [25]. В литературе также имеются описания ригидности и гиперкинезов (чаще в виде миоклонуса) на фоне спинальной дисфункции, вызванной мелкоочаговым поражением спинного мозга при рассеянном склерозе и раке легкого [26, 27].
Возможные механизмы ассоциации ОНМ и меланомы кожи
Метастатическое поражение нервной системы и зрительного нерва на момент обследования пациента не подтвердилось. Открытым остался вопрос о паранеопластическом происхождении ОНМ. Не исключалось и сочетание 2 независимых процессов.
Изначально паранеопластические неврологические синдромы (ПНС) определялись как неврологические расстройства, ассоциированные с опухолью, расположенной за пределами нервной системы. В настоящее время подчеркивается иммуноопосредованный патогенез этих синдромов [28]. В конце XX в. выделили классические ПНС, наличие которых указывало на необходимость поиска скрытых опухолей [29]. К «классическим синдромам» или по терминологии диагностических критериев 2021 г. – «фенотипам высокого риска» относят: энцефаломиелит, лимбический энцефалит, быстро прогрессирующий мозжечковый синдром, опсоклонус-миоклонус, сенсорную невропатию, псевдообструкцию желудочно-кишечного тракта (кишечную невропатию), миастенический синдром Ламберта–Итона [28, 30, 31]. Некоторые ПНС обусловлены влиянием антител, экспрессируемых опухолью и атакующих собственную нервную систему [29]. Ранее они назывались онконевральными антителами, сейчас антителами «высокого риска» (>70% связаны с раком) и «среднего риска» (30–70% связаны с раком) [28]. В нашем наблюдении онконевральные антитела не определялись.
Ассоциация NMOSD с антителами к AQP4 как паранеопластическое проявление наблюдается редко. Описаны такие содружества при различной локализации онкологического процесса (в легких, желудке, пищеводе, щитовидной, молочной, предстательной железах, яичниках, надпочечниках), чаще в легких и молочной железе [20, 32–34]. Несмотря на редкость отмеченной ассоциации, следует подумать о паранеопластической этиологии NMOSD, особенно у пожилых людей с наличием в клинической картине тошноты и рвоты [32, 34]. В новых рекомендациях из группы NMOSD в качестве клинического фенотипа ПНС рассматривается только изолированный миелит [28].
В литературе встречаются единичные описания неврологических проявлений, таких как мозжечковая атаксия, лимбический энцефалит, синдром Гийена–Барре, ретинопатия, сопровождающие меланому [7]. Ретинопатия, ассоциированная с меланомой, в основном развивается на стадии метастазов. Острота зрения у этих пациентов почти не страдает, чаще отмечаются мерцающие фотопсии, снижение зрения в сумерках, возможна также потеря периферического зрения [30]. Ни один из отмеченных здесь признаков не наблюдался у нашего больного.
Крайне редко наблюдаются ассоциации ОНМ с меланомой. T. Morimoto и соавт. представили одно собственное наблюдение, в котором серопозитивный ОНМ развился за 4 года до выявления меланомы, и проанализировали опубликованный в литературе случай обнаружения ОНМ через 48 мес после удаления меланомы [7]. В нашем наблюдении имело место практически совпадение развития ОНМ и меланомы.
Мы не можем уверенно судить как о наличии ПНС, так и об однозначном его отсутствии в нашем наблюдении. На основании недавно разработанной шкалы диагностики ПНС – PNS-Care Score [28] у нашего пациента низкая возможность дефиниции его неврологических расстройств как паранепластических. Разработчики критериев отмечают, что диагноз ПНС требует разумного исключения альтернативных причин, которые гораздо более распространены, чем ПНС [28].
Для практикующих врачей не так важно, индуцируют ли имеющиеся 2 патологических процесса друг друга или случайным образом совпали у одного пациента в одно и то же время, важно – как лечить данного больного. Очень сложным является выбор стратегии. Если для лечения ОНМ рекомендуется иммуносупрессивная терапия [4, 10], то для сдерживания прогрессирования меланомы необходима активация иммунитета [35]. Тактика лечения такого пациента должна определяться совместно онкологом, иммунологом и неврологом.
Заключение
Оптиконевромиелит относится к орфанным заболеваниям, его диагностика и изучение, как одного из аутоиммунных заболеваний, активно развиваются. Сочетание ОНМ с меланомой представляет крайне редкую ассоциацию, но ставит перед врачами очень сложные вопросы относительно тактики лечения. В лечении обоих заболеваний требуется иммуномодулирующая терапия, но с противоположным вектором: иммуносупрессия с целью купирования симптомов ОНМ и активация иммунитета – для стабилизации проявлений меланомы. Представленный клинический разбор подчеркивает сложность ведения пациентов с полиморбидной патологией.
Конфликт интересов. Авторы заявляют об отсутствии конфликта интересов.
Conflict of interests. The authors declare no conflict of interest.
About the authors
Valentina V. Gudkova
Pirogov Russian National Research Medical University
							Author for correspondence.
							Email: gudkova.valentina@gmail.com
				                	ORCID iD: 0000-0002-9646-9131
				                																			                								
Cand. Sci. (Med.), Prof.
Russian Federation, MoscowEkaterina I. Kimelfeld
Pirogov Russian National Research Medical University
														Email: ekovita@mail.ru
				                	ORCID iD: 0000-0002-7557-0660
				                																			                								
Cand. Sci. (Med.)
Russian Federation, MoscowVera P. Paderina
Hospital for War Veterans №3
														Email: padever@mail.ru
				                					                																			                								
neurologist
Russian Federation, MoscowDmitrii S. Koshurnikov
Hospital for War Veterans №3
														Email: koshurdmitr@rambler.ru
				                	ORCID iD: 0000-0002-7024-9560
				                																			                								
Cand. Sci. (Med.)
Russian Federation, MoscowDmitrii I. Ulianov
Hospital for War Veterans №3
														Email: ulan.11n.com@inbox.ru
				                					                																			                								
neurologist
Russian Federation, MoscowDmitrii S. Ermakov
Hospital for War Veterans №3
														Email: dsermakov@mail.ru
				                					                																			                								
neurologist
Russian Federation, MoscowNadezhda A. Maliutina
Pirogov Russian National Research Medical University
														Email: nadya-blackrose-1996@yandex.ru
				                	ORCID iD: 0000-0002-9592-7620
				                																			                								
Resident
Russian Federation, MoscowReferences
- Шахов Б.Е., Белова А.Н., Шаленков И.В., Шакурова Д.Н. Оптикомиелит Девика: вопросы диагностики и описание случая из практики. Медицинский альманах. 2012;1(20):165-70 [Shakhov BE, Belova AN, Shalenkov IV, Shakurova DN. Optikomielit Devika: voprosy diagnostiki i opisanie sluchaya iz praktiki. Meditsinskiy almanakh. 2012;1(20):165-70 (in Russian)].
- Белова А.Н., Бойко А.Н., Белова Е.М. Диагностические критерии оптикомиелит-ассоциированных расстройств. Журнал неврологии и психиатрии им. С.С. Корсакова. 2016;2(2):32-40 [Belova AN, Bojko AN, Belova EM. Diagnostic criteria for neuromyelitisoptica spectrum disorders. Zhurnal nevrologii i psikhiatrii im. S.S. Korsakova. 2016;2(2):32-40 (in Russian)]. doi: 10.17116/jnevro20161162232-40
- Давыдовская М.В. Заболевания спектра оптиконевромиелита: важность дифференциальной диагностики с рассеянным склерозом и ее трудности. Лечащий Врач. 2021;5(24):62-3 [Davydovskaya MV. Neuromyelitis optica spectrum disorder: importance and difficulties of differential diagnosis with multiple sclerosis. Lechashchiy Vrach. 2021;5(24):62-3 (in Russian)]. doi: 10.51793/OS.2021.95.91.013
- Иванова М.В., Симанив Т.О., Бакулин И.С., и др. Оптиконевромиелит (болезнь Девика): алгоритм диагностики. Материалы Школы Научного центра неврологии (ФГБНУ НЦН) по демиелинизирующим заболеваниям нервной системы. М.: Медиа Менте, 2016; 57-65 [Ivanova MV, Simaniv TO, Bakulin IS, et al. Optikonevromielit (bolezn Devika): algoritm diagnostiki. Materialy Shkoly Nauchnogo tsentra nevrologii (FGBNU NTsN) po demieliniziruiushchim zabolevaniiam nervnoi sistemy. Moscow: Media Mente, 2016; 57-65 (in Russian)].
- Гончарова З.А., Погребнова Ю.Ю., Ярош Н.М. Идиопатические воспалительные демиелинизирущие заболевания центральной нервной системы: современный взгляд на классификацию, опыт создания регистра. Практическая медицина. 2018;16(10):30-4 [Goncharova ZA, Pogrebnova YuYu, Yarosh NM. Idiopathic inflammatory demyelinating diseases of the Central nervous system: modern view on classification, experience of making a register. Prakticheskaya meditsina. 2018;16(10):30-4 (in Russian)].
- Токарева Ю.В., Котов А.С., Пантелеева М.В., Бунак М.С. Расстройства из спектра оптиконевромиелита у пациентов детского возраста. Неврология, нейропсихиатрия, психосоматика. 2018;10(1):60-4 [Tokareva YuV, Kotov AS, Panteleeva MV, Bunak MS. Neuromyelitis optica spectrum disorders in pediatric patients. Nevrologiya, neiropsikhiatriya, psikhosomatika. 2018;10(1):60-4 (in Russian)]. doi: 10.14412/2074-2711-2018-1-60-64
- Morimoto T, Hayashida S, Yamasaki K, et al. Paraneoplastic neuromyelitis optica spectrum disorder associated with malignant melanoma: A case report. Thorac Cancer. 2021;12(11):1775-9. doi: 10.1111/1759-7714.13965
- Waliszewska-Prosół M, Chojdak-Łukasiewicz J, Budrewicz S, et al. Neuromyelitis Optica Spectrum Disorder Treatment-Current and Future Prospects. Int J Mol Sci. 2021;22(6):2801. doi: 10.3390/ijms22062801
- Pandit L, Asgari N, Apiwattanakul M, et al.; GJCF International Clinical Consortium and Biorepository for Neuromyelitis Optica. Demographic and clinical features of neuromyelitis optica: A review. Mult Scler. 2015;21(7):845-53. doi: 10.1177/1352458515572406
- Wingerchuk DM, Banwell B, Bennett JL, et al. International consensus diagnostic criteria for neuromyelitis optica spectrum disorders. Neurology. 2015;85(2):177-89. doi: 10.1212/WNL.0000000000001729
- Lennon VA, Wingerchuk DM, Kryzer TJ, et al. A serum autoantibody marker of neuromyelitis optica: distinction from multiple sclerosis. Lancet. 2004;364(9451):2106-12. doi: 10.1016/S0140-6736(04)17551-X
- Lennon VA, Kryzer TJ, Pittock SJ, et al. IgG marker of optic-spinal multiple sclerosis binds to the aquaporin-4 water channel. J Exp Med. 2005;202(4):473-7. doi: 10.1084/jem.20050304
- Wingerchuk DM, Lennon VA, Lucchinetti CF, et al. The spectrum of neuromyelitis optica. Lancet Neurol. 2007;6(9):805-15. doi: 10.1016/S1474-4422(07)70216-8
- Papp V, Magyari M, Aktas O, et al. Worldwide Incidence and Prevalence of Neuromyelitis Optica: A Systematic Review. Neurology. 2021;96(2):59-77. doi: 10.1212/wnl.0000000000011153
- Стародубов В.И., Зеленова О.В., Абрамов С.И., и др. Первое обсервационное эпидемиологическое исследование по определению заболеваемости и распространенности заболеваний спектра оптиконевромиелита (оптиконевромиедит, болезнь Девика) на территории Российской Федерации. Современные проблемы здравоохранения и медицинской статистики. 2021;1:130-41 [Starodubov VI, Zelenova OV, Abramov SI, et al. The first observational epidemiological study to determine the prevalence of spinal muscular atrophy in the Russian Federation. Sovremennye problemy zdravookhraneniya i meditsinskoy statistiki. 2021;1:130-41 (in Russian)]. doi: 10.24411/2312-2935-2020-00115
- Alves Do Rego C, Collongues N. Neuromyelitis optica spectrum disorders: Features of aquaporin-4, myelin oligodendrocyte glycoprotein and double-seronegative-mediated subtypes. Rev Neurol (Paris). 2018;174(6):458-70. doi: 10.1016/j.neurol.2018.02.084
- Fujihara K. Neuromyelitis optica spectrum disorders: still evolving and broadening. Curr Opin Neurol. 2019;32(3):385-94. doi: 10.1097/WCO.0000000000000694
- Román GC, Gracia F, Torres A, et al. Acute Transverse Myelitis (ATM): Clinical Review of 43 Patients With COVID-19-Associated ATM and 3 Post-Vaccination ATM Serious Adverse Events With the ChAdOx1 nCoV-19 Vaccine (AZD1222). Front Immunol. 2021;12:653786. doi: 10.3389/fimmu.2021.653786
- Симанив Т.О., Елисеева Д.Д., Аскарова Л.Ш., Захарова М.Н. Спектр заболеваний оптиконевромиелита. Материалы 4-го Всероссийского конгресса с международным участием «Рассеянный склероз и другие демиелинизирующие заболевания» (Нижний Новгород 24–26 сентября 2020 г.). Журнал неврологии и психиатрии им. С.С. Корсакова. 2020;120(7-2):154-5 [Simaniv TO, Eliseeva DD, Askarova LSh, Zakharova MN. A spectrum of diseases of optioneuromyelithis. Materials of the 4th all-Russian congress with international participation "Multiple sclerosis and other demyelination diseases" (Nizhny Novgorod 24–26 sept. 2020). Zhurnal nevrologii i psikhiatrii im. S.S. Korsakova. 2020;120(7-2):154-5 (in Russian)]. doi: 10.17116/jnevro2020120072107
- Giraldo PGS, Garcia OJG. Immune-Mediated Disorders Affecting the Spinal Cord and the Spine. Curr Neurol Neurosci Rep. 2021;21(1):3. doi: 10.1007/s11910-020-01088-6
- Бакулин И.С., Симанив Т.О., Коновалов Р.Н., Захарова М.Н. Поражение area postrema как причина неукротимой икоты, тошноты и рвоты при заболеваниях оптикомиелитного спектра (наблюдение из практики). Журнал неврологии и психиатрии им. С.С. Корсакова. 2017;117(10-2):20-3 [Bakulin IS, Simaniv TO, Konovalov RN, Zakharova MN. Area postrema lesion as a cause of intractable nausea, vomiting and hiccups in neuromyelitis optica spectrum disorders. Zhurnal nevrologii i psikhiatrii im. S.S. Korsakova. 2017;117(10-2):20-3 (in Russian)]. doi: 10.17116/jnevro201711710220-23
- Коваленко В.В., Жданович В.Н., Стрижак И.В. Функциональная анатомия продолговатого мозга: учебно-методическое пособие. Гомель: Гомельский государственный медицинский университет, 2007 [Kovalenko VV, Zhdanovich VN, Strizhak IV. Funktsional'naia anatomiia prodolgovatogo mozga: uchebno-metodicheskoe posobie. Gomel: Gomelskii gosudarstvennyi meditsinskii universitet, 2007 (in Russian)].
- Бредбери М. Концепция гематоэнцефалического барьера. Пер. с англ. М.: Медицина, 1983 [Bredberi M. The concept of a blood-brain barrier. Per. s angl. Moscow: Meditsina, 1983 (in Russian)].
- Дуус П. Топический диагноз в неврологии. Анатомия. Физиология. Клиника. Пер. с англ. А.Н. Беловой, В.Н. Григорьевой, Б.Л. Лихтермана. Под научн. ред. проф. Л. Лихтермана. М.: Вазар-Ферро, 1995; с. 7-19 [Duus P. Topicheskiy diagnoz v nevrologii. Anatomiya. Fiziologiya. Klinika. Per. s angl. Belovoy AN, Grigorevoy VN, Likhtermana BL. Pod nauch. red. prof. L. Likhtermana. Moscow: Vazar-Ferro, 1995; p. 7-19 (in Russian)].
- Стариков А.С. Оценка хореического гиперкинеза с позиций теории мышечных веретен. Нейрохирургия и неврология детского возраста. 2011;3(29):34-44 [Starikov AS. Otsenka khoreicheskogo giperkineza s pozitsiy teorii myshechnykh vereten. Neyrokhirurgiya i nevrologiya detskogo vozrasta. 2011;3(29):34-44 (in Russian)].
- Roobol TH, Kazzaz BA, Vecht CJ. Segmental rigidity and spinal myoclonus as a paraneoplastic syndrome. J Neurol Neurosurg Psychiatry. 1987;50(5):628-31. doi: 10.1136/jnnp.50.5.628
- Хафизова И.Ф., Залялова З.А., Баранова Е.А., и др. Спинальная сегментарная миоклония при рассеянном склерозе (наблюдение из практики). Журнал неврологии и психиатрии им. С.С. Корсакова. 2014;114(2-2):48-54 [Khafizova IF, Zalyalova ZA, Baranova EA, et al. Spinal segmental myoclonus in multiple sclerosis (case report). Zhurnal nevrologii i psikhiatrii im. S.S. Korsakova. 2014;114(2-2):48-54 (in Russian)].
- Graus F, Vogrig A, Muñiz-Castrillo S, et al. Updated Diagnostic Criteria for Paraneoplastic Neurologic Syndromes. Neurol Neuroimmunol Neuroinflamm. 2021;8(4):e1014. doi: 10.1212/NXI.0000000000001014
- Graus F, Delattre JY, Antoine JC, et al. Recommended diagnostic criteria for paraneoplastic neurological syndromes. J Neurol Neurosurg Psychiatry. 2004;75(8):1135-40. doi: 10.1136/jnnp.2003.034447
- Honnorat J, Antoine JC. Paraneoplastic neurological syndromes. Orphanet J Rare Dis. 2007;2:22. doi: 10.1186/1750-1172-2-22
- Чертоусова А.Е., Черникова И.В. Паранеопластические синдромы в неврологии. Нервные болезни. 2018;1:32-8 [Chertousova AE, Chernikova IV. Paraneoplasticheskie sindromy v nevrologii. Nervnye bolezni. 2018;1:32-8 (in Russian)]. doi: 10.24411/2071-5315-2018-11995
- Sepúlveda M, Sola-Valls N, Escudero D, et al. Clinical profile of patients with paraneoplastic neuromyelitis optica spectrum disorder and aquaporin-4 antibodies. Mult Scler. 2018;24(13):1753-9. doi: 10.1177/1352458517731914
- Sudo A, Chihara N, Takenaka Yu, et al. Paraneoplastic NMOSD associated with EG junction adenocarcinoma expressing unprotected AQP4. Neurol Neuroimmunol Neuroinflamm. 2018;5(5):e482. doi: 10.1212/NXI.0000000000000482
- Yuan J, Jia Z, Qin W, Hu W. Paraneoplastic neuromyelitis optica spectrum disorder associated with breast cancer. Clin Interv Aging. 2019;6(14):1039-44. doi: 10.2147/CIA.S202102
- Жукова Н.В., Орлова Р.В., Каледина Е.А., и др. Иммунотерапия метастатической меланомы вчера, сегодня, завтра. Эффективная фармакотерапия. 2021;17(11):22-8 [Zhukova NV, Orlova RV, Kaledina EA, et al. Immunotherapy of metastatic melanoma yesterday, today, tomorrow. Effektivnaya farmakoterapiya. 2021;17(11):22-8 (in Russian)]. doi: 10.33978/2307-3586-2021-17-11-22-28
Supplementary files
 
				
			 
					 
						 
									








