Дерматофибросаркома выбухающая в дерматологической практике. Клинический случай
- Авторы: Катина М.А.1, Лесничая О.В.1, Рязанова Н.В.2
-
Учреждения:
- УО «Витебский государственный медицинский университет»
- УЗ «Витебский областной клинический центр дерматовенерологии и косметологии»
- Выпуск: Том 24, № 8 (2022)
- Страницы: 523-528
- Раздел: Статьи
- Статья опубликована: 02.08.2022
- URL: https://consilium.orscience.ru/2075-1753/article/view/99784
- DOI: https://doi.org/10.26442/20751753.2022.8.201721
- ID: 99784
Цитировать
Полный текст
Аннотация
Дерматофибросаркома выбухающая (Dermatofibrosarcoma protuberans – DFSP) представляет собой мезенхимальную неоплазию фиброгистиоцитарного происхождения средней степени злокачественности. Патогенез DFSP включает хромосомную транслокацию, которая приводит к образованию белка слияния, способствуя росту опухоли за счет повышенной выработки фактора роста тромбоцитов (PDGF). Клинически начинается с бессимптомной фиброзной папулы или плотной бляшки, которая постепенно, в течение нескольких лет, становится многоузловой и асимметрично выпуклой с приобретением фиолетового или красно-бурого оттенка. Стандартом диагностики является гистологическое исследование с выявлением слабо ограниченного инфильтрата с муаровым рисунком в дерме, состоящего из переплетающихся мономорфных веретенообразных клеток с диффузным окрашиванием CD34+ при иммуногистохимическом исследовании. Полное хирургическое иссечение считается «золотым стандартом» лечения. Наблюдаемая пациентка 35 лет с первичным диагнозом бляшечной склеродермии наблюдалась у дерматолога с элементом в виде плотной бляшки в правой подключичной области, при повторном осмотре через год отмечены незначительный рост очага и появление асимметричных мелких плотных узлов, расположенных по его периферии. По результатам гистологического и иммуногистохимического исследований выставлен диагноз DFSP, пациентка направлена к онкологу для полного удаления опухоли.
Ключевые слова
Полный текст
Дерматофибросаркома выбухающая (Dermatofibrosarcoma protuberans – DFSP) представляет собой мезенхимальную неоплазию фиброгистиоцитарного происхождения средней степени злокачественности. Составляет 0,1% всех злокачественных неоплазм, 1–6% – всех сарком мягких тканей и 18% – всех кожных сарком [1–3]. Название опухоли было дано Е. Хоффманом в 1925 г. DFSP регистрируется преимущественно в возрасте 30–40 лет, чаще у женщин и темнокожих. Редко встречается у детей: в литературе описано менее 200 случаев [3]. Несмотря на схожесть терминов, дерматофибросаркома выбухающая не имеет отношения к дерматофиброме.
DFSP характеризуется медленным ростом, местной инвазией и высоким риском рецидива после удаления (в 25% случаев риск рецидива через 5 лет), но низким риском метастазирования (5%, из них 1% – в регионарные лимфатические узлы и 4% – удаленное метастазирование). Факторами риска местного рецидивирования являются неадекватная первичная резекция, возраст старше 50 лет, трансформация обычного варианта DFSP в фибросаркоматозный вариант (14–52%). Сообщается о случаях быстрого роста опухоли во время беременности. Метастазы регистрируются преимущественно в случаях многократных местных рецидивов опухоли, риск развития удаленного метастазирования повышается при фибросаркоматозном варианте опухоли (8–29%) [1, 4, 5].
Цитогенетические и молекулярные исследования показали, что более чем в 90% случаев DFSP характеризуется наличием транслокации, включающей области хромосом 17 и 22, t(17;22), и дополнительных кольцевых хромосом, состоящих из чередующихся последовательностей 17(17q22) и 22 (22q12). Формирование t(17;22) приводит к слиянию генов коллагена I α-типа (COL1A1) и субъединицы β гена фактора роста тромбоцитов (PDGFβ), что ведет к повышенной экспрессии COL1A1-PDGFß. Впоследствии происходит непрерывная активация рецептора PDGFß тирозинкиназы, что запускает пролиферацию опухолевых клеток DFSP [1, 2–4, 6, 7].
Предполагаемым фактором риска развития DFSP является травма кожи в пораженном месте, включая рубец, вакцинацию, ожоги, татуировку, укусы насекомых [1, 7].
Начальной стадией дерматофибросаркомы является формирование бессимптомной фиброзной папулы или плотной бляшки цвета нормальной кожи или слегка пигментированной, которая постепенно, в течение нескольких лет, становится многоузловой и асимметрично выпуклой с приобретением фиолетового или красно-бурого оттенка. Иногда первичный элемент представлен атрофической бляшкой фиолетового цвета, напоминающей склеродермию или рубец. Во время роста опухоли могут отмечаться изъязвление, кровоточивость и болезненность. Без лечения и при рецидивах DFSP может локально проникать глубже в фасцию, реже в мышечную и костную ткань, иногда метастазировать в другие органы на поздних стадиях [1, 4, 8]. Типичными местами локализации являются туловище (42–49%), верхние конечности (37%), голова и шея (13–16%) [1, 7–9]. Существует предположение, что акральная локализация чаще встречается у детей, чем у взрослых [3]. Вследствие медленного роста время от появления первых клинических признаков DFSP до постановки диагноза при длительном сохранении стадии бляшки может составлять месяцы и годы [7].
Основа диагностики DFSP состоит в патогистологической оценке пораженного участка кожи с использованием инцизионной или эксцизионной биопсии с последующим иммуногистохимическим (ИГХ) исследованием.
Патогистологические признаки. DFSP представлена плотным инфильтратом в дерме и/или подкожно-жировой клетчатке (ПЖК) с нечеткими границами. В редких случаях он ограничен только дермой. На стадии бляшки выявляются неравномерно распределенные вытянутые веретеновидные клетки в верхней части дермы без вовлечения зоны Гренца [8]. В стадии образования узлов появляется типичная гистологическая картина: муаровый рисунок инфильтрата, представленный вихреобразным расположением тонких мономорфных веретеновидных клеток с невыраженной атипией и скудным или умеренным количеством цитоплазмы. Ядра мономорфные, овальной или вытянутой формы. Митозы присутствуют, но нет выраженной митотической активности, патологические митозы встречается редко. Количество митотически делящихся клеток не превышает 5 митозов в 10 полях зрения при большом увеличении. Инфильтрация опухолевыми клетками подкожно-жировой клетчатки придает ей типичный «ячеистый» вид из-за скоплений и линейных прослоек адипоцитов среди опухолевых клеток, которые ориентированы параллельно эпидермису («нити жемчуга», «кружевной вид»). Некрозы не типичны. Эпидермальная гиперплазия встречается редко [1, 2, 4, 7, 8, 10].
ИГХ-исследование. DFSP демонстрирует выраженную равномерную диффузную положительную экспрессию CD34. Экспрессия фактора XIIIa, SMA, Desmin, S100, Melan А и кератинов отрицательная [1, 4, 7, 8, 11].
Экспрессия CD34 не является уникальной для DFSP. Другие опухоли, включая веретеновидно-клеточную липому, фибромы, фибромиксомы и саркому Капоши, также экспрессируют CD34 [4].
Существуют и особые гистологические варианты DFSP. Среди них выделяют: фибросаркоматозный, пигментированный, миксоидный, гигантоклеточный, зернисто-клеточный, склеротический и гигантоклеточную фибробластому [4, 7, 8, 12].
В фибросаркоматозном варианте DFSP присутствуют очаги фасцикулярного и елочного расположения атипичных клеток с везикулярными ядрами. Для этого варианта характерна более высокая митотическая активность, чем в типичной DFSP, и часто наблюдается отсутствие или снижение экспрессии CD34. Трансформация в фибросаркоматозный вариант ассоциируется с повышенным метастатическим потенциалом (чаще всего в легкие), а также с более интенсивным локальным деструктивным ростом. Данный вариант встречается примерно в 1/5 всех случаев DFSP. Очень редко DFSP может трансформироваться в плеоморфную саркому.
Пигментная дерматофибросаркома (опухоль Беднара) характеризуется наличием дендритных меланоцитов и небольшими отложениями меланина в пределах типичной опухоли. CD34+, SMA-, Desmin-, S100+.
Миксоидная дерматофибросаркома. Данный вариант встречается редко, при нем типичные гистологические признаки выявляются только очагово из-за выраженной миксоидной дегенерации опухоли. Клинически проявляется желеобразной консистенцией элементов. Миксоидный компонент может встречаться и в других вариантах опухоли. CD34+, SMA-, Desmin-, S100-.
Гигантоклеточная дерматофибросаркома (редкий вариант). Веретеновидные клетки сочетаются с плеоморфными и многоядерными гигантскими клетками, CD34+.
Гигантоклеточная фибробластома. Встречается преимущественно у детей. Гистологически определяются параллельные пучки извитых мономорфных веретеновидных клеток, грубый коллаген, выраженный склероз и псевдоваскулярные пространства с плеоморфными гигантскими клетками, окружающими их и расположенными диффузно. Генетическая аномалия схожа с DFSP. CD34+.
Зернисто-клеточный вариант (встречается редко). В опухоли помимо веретеновидных клеток присутствуют клетки с эксцентричными ядрами, четкими ядрышками и большим количеством лизосомальных гранул. Характерна положительная экспрессия CD34 и фактора, ингибирующего натуральные клетки-киллеры 1С3.
Склеротический вариант (встречается редко). Опухоль из веретеновидных клеток более чем наполовину представлена коллагеновой стромой, бедной клеточным компонентом. CD34+.
Молекулярно-генетическое типирование может служить важным дополнительным диагностическим инструментом в диагностике дерматофибросаркомы выбухающей. Цитогенетически более 90% случаев DFSP имеют несбалансированную транслокацию t(17;22)(q22;q13) с формированием гена слияния COL1A1-PDGFβ и высоким уровнем экспрессии субъединицы β фактора роста тромбоцитов. Фибросаркоматозная трансформация часто связана с увеличением количества копий гена слияния. Тестирование на транслокацию может быть выполнено с использованием флуоресцентной гибридизации in situ или полимеразной цепной реакции с обратной транскрипцией [4]. Молекулярно-генетическое подтверждение редко требуется в классических случаях DFSP. Однако оно необходимо при отсутствии типичных патогистологических признаков DFSP или ее фибросаркоматозного варианта, а также для скрининга пациентов, нуждающихся в назначении иматиниба мезалата (пероральный ингибитор тирозинкиназы, блокирующий PDGFβR).
Предоперационная магнитно-резонансная томография (МРТ), хоть и не является обязательной, иногда выполняется для определения распространенности опухоли. В случае фибросаркоматозной дерматофибросаркомы выбухающей, а также при наличии симптомов, указывающих на метастазирование при обычной DFSP, рекомендуют проводить базовую и серийную компьютерную томографию (КТ) грудной клетки [12, 13] (табл. 1).
Таблица 1. Диагностика DFSP | |
Биопсия (инцизионная/эксцизионная) | Слабо ограниченный инфильтрат в дерме с муаровым рисунком из тонких гиперхромных мономорфных веретеновидных клеток с нечеткой цитоплазмой и моноформными ядрами, слабой митотической активностью. Инфильтрация ПЖК опухолевыми клетками с характерным ячеистым видом |
ИГХ-исследование | CD34+, фактор XIII-a-, SMA-, Desmin-, S100-, кератины- |
Генетическое исследование [выявление хромосомной транслокации t(17;22)] | ОТ-ПЦР, FISH |
Предоперационная МРТ | Для определения распространенности опухоли до операции |
КТ грудной клетки | При высоком риске метастазирования или симптомах метастазирования |
Примечание. FISH – флуоресцентная гибридизация in situ; ОТ-ПЦР – полимеразная цепная реакция с обратной транскрипцией. | |
DFSP может быть ошибочно диагностирована у детей как сосудистая мальформация, келоид, дерматофиброма, рубец или эпидермальная киста.
Дифференциальная диагностика DFSP у взрослых включает спектр фиброзных опухолей согласно классификации Всемирной организации здравоохранения (ВОЗ) 2018 г. (табл. 2).
Таблица 2. Классификация фибробластных, миофибробластных и фиброгистиоцитарных опухолей (ВОЗ, 2018) [4] | |
Обычная фиброзная гистиоцитома. Синоним: дерматофиброма Подварианты: а) аневризматическая (гемосидеротическая) фиброзная гистиоцитома; б) клеточная фиброзная гистиоцитома; в) атипичная (псевдосаркоматозная) фиброзная гистиоцитома | Дерматомиофиброма (синоним: бляшковидный дермальный фиброматоз) |
Эпителиоидная фиброзная гистиоцитома | Плексиформная фиброгистиоцитарная опухоль |
Дерматофибросаркома выбухающая | Бляшковидная CD34+ дермальная фиброма |
Фибросаркоматозная дерматофибросаркома выбухающая | Фибромы |
Гигантоклеточная фибробластома | Миофиброма/миофиброматоз |
Поверхностный фиброматоз | Узловатый фасциит |
Поверхностная акральная фибромиксома | Кожная миксома |
Главные отличия между клеточной дерматофибромой и DFSP заключаются в характере изменений эпидермиса, выраженности инфильтрации дермы и ПЖК, особенностях расположения опухолевых клеток и экспрессии маркеров (табл. 3). Хотя в 5% случаев клеточная дерматофиброма также экспрессирует CD34+, окрашивание очаговое или пятнистое в отличие от равномерной и интенсивной экспрессии данного маркера в случае дерматофибросаркомы выбухающей.
Таблица 3. Дифференциальная диагностика DFSP | |||||
Нозология | Патогистология | CD34 | SMA | S100 | Другие |
Дерматофибросаркома выбухающая | Не затрагивается эпидермис. Диффузная инфильтрация дермы с муаровым рисунком из завихрений мономорфных тонких веретеновидных клеток с низкой митотической активностью и небольшим количеством цитоплазмы, ядра которых имеют овоидную или вытянутую форму. Ячеистая инфильтрация ПЖК. Поражаются придатки кожи | Диффузно + | - | - | - |
Клеточная дерматофиброма | Гиперплазия эпидермиса. Очаговая инфильтрация в дерме. Смешанный рисунок из пучков и муаров мономорфных клеток с бледной эозинофильной цитоплазмой; митозы преимущественно отсутствуют. Диффузная инфильтрация верхней части ПЖК | - | Очагово + | - | Кератин - Редко очагово Desmin+ |
Дерматомиофиброма | Легкий акантоз в эпидермисе. Инфильтрат без четких границ преимущественно в пределах дермы. Придатки кожи не поражаются. Цитоплазма бледно-эозинофильная с мономорфными, слегка вытянутыми или везикулярными маленькими ядрышками, ядрами. Повышенное количество и фрагментация эластических волокон | - | (50%)+/- | - | - |
Поверхностная CD34+ фибробластная опухоль (SCPFT) | Очаговая инфильтрация в дерме из пластов или пучков веретеновидных и эпителиоидных клеток с обильной зернистой или стекловидной цитоплазмой. Ядерный полиморфизм | Диффузно + | - | - | Кератины очагово «+» в 2/3 случаев |
Нейрофиброма | Рыхло и беспорядочно расположенная прослойка веретеновидных клеток со скудной бледной цитоплазмой и удлиненными волнистыми ядрами среди миксоидно-коллагеновых волокон с вовлечением придатков кожи. Рассеянные тучные клетки | Диффузно + | - | + | Коллаген IV+ XIIIa- Sox10+ EMA+/- |
Солитарная фиброзная опухоль | Четко очерченный инфильтрат из коротких и округлых веретеновидных, бесформенно расположенных клеток среди длинных, тонких и параллельных пучков коллагена | Диффузно + | - | - | CD99+, STAT6+, Vimentin+, Desmin- |
Периневрома | Муаровая архитектура, опухоль с четкими границами, состоящая из коротких веретеновидных клеток | Диффузно + | - | - | EMA+ Claudin-1+ |
Бляшковидная СD34+дермальная фиброма | Полосовидный инфильтрат в верхних 2/3 сетчатого слоя дермы, сосочковый слой дермы и придатки кожи не вовлекаются, редко вовлекается ПЖК | Диффузно + | +/- | - | FXIIIa +/- |
Дерматомиофиброма (DMF). Это новообразование встречается почти исключительно у женщин или детей мужского пола до полового созревания, локализуется в складках кожи, на шее. Клинически DMF представляет собой твердую бляшку на коже с неизмененной поверхностью. Чаще одиночные поражения растут до определенного размера, но никогда не подвергаются злокачественной трансформации. DMF может клинически и патогистологически напоминать DFSP на стадии бляшки. Главными отличиями DMF от DFSP являются повышенное количество и фрагментация эластических волокон, CD34-, в 50% случаев – SMA+. Другими патогистологическими признаками DMF являются легкий акантоз в эпидермисе, нечетко очерченный инфильтрат из пучков веретеновидных опухолевых клеток, параллельных эпидермису, преимущественно в пределах дермы. Иногда возможно очаговое поражение поверхностных слоев ПЖК. Придатки кожи не вовлекаются. Цитоплазма бледно-эозинофильная с мономорфными, слегка вытянутыми ядрами или везикулярная с маленькими ядрышками [4, 8, 7, 10].
Спектр дифференциальной диагностики DFSP включает также другие CD34+ опухоли.
Поверхностная CD34+ фибробластическая опухоль (SCPFT) встречается у пациентов среднего возраста в виде медленно растущей, обычно безболезненной бляшки, возникающей в поверхностных мягких тканях, преимущественно нижних конечностей, особенно в области бедра, реже – верхних конечностей, ягодиц, редко – вульвы. Размеры опухоли варьируют от 1,5 до 10 см, метастазирование и рецидивы новообразования после удаления обычно не наблюдаются. Патогистологически SCPFT локализуется в глубоких слоях дермы и поверхностной ПЖК в виде очерченных очагов, зачастую локально инфильтрирующих соседние ткани. SCPFT состоит из пластов или пучков веретеновидных и эпителиоидных клеток с обильной зернистой или стекловидной цитоплазмой. Часто наблюдается выраженный ядерный полиморфизм с причудливыми, гиперхромными ядрами, содержащими одно или несколько крупных ядрышек. Несмотря на ядерный полиморфизм, отмечается чрезвычайно низкая митотическая активность (<1 на 50 полей при большом увеличении), редко – некрозы. Могут отмечаться незначительная воспалительная инфильтрация и пенистые клетки. Иммуногистохимически SCPFT всегда диффузно экспрессирует CD34 и очагово, примерно в 2/3 случаев, – кератины (AE1/AE3). Реакция с другими маркерами, такими как Desmin, SMA и S100, негативная. Молекулярно-генетические нарушения не выявляются [7, 14–16].
Нейрофиброма от миксоидного варианта дерматофибросаркомы отличается отсутствием муарового рисунка, положительной экспрессией S100 и коллагена IV [4, 7, 8].
Солитарная фиброзная опухоль обычно встречается у пожилых людей на коже головы, шеи и конечностей. Опухоль безболезненная, растет и инфильтрирует окружающие ткани медленно, риск метастазирования низкий. Патогистологически выявляются хаотично расположенные округлые и короткие веретеновидные клетки с везикулярными ядрами и незначительной или отсутствующей цитологической атипией среди длинных, тонких и параллельных пучков коллагена. CD34+, CD99+, STAT6+, Vimentin+, Desmin-, S100- [1, 4, 7, 10].
В случае неполного иссечения образования при диагностической биопсии DFSP существует риск ошибочной диагностики кожной периневромы (особенно если нет клинических данных), учитывая схожее строение этих новообразований (муаровый рисунок наблюдается в обеих опухолях) и положительную экспрессию CD34. Однако при периневроме выявляется хорошо очерченная, часто в форме колокола опухоль, состоящая из коротких, веретеновидных клеток, которые могут иметь эпителиоидную морфологию, всегда отмечается положительная экспрессия EMA и Claudin-1.
Бляшковидная СD34+ дермальная фиброма (медальоноподобная дермальная дендроцитарная гамартомa – MDDH), доброкачественная неоплазия из CD34-позитивных дендритных клеток. Дифференциальная диагностика данных опухолей особенно затруднена на стадии бляшки DFSP. Патогистологически как MDDH, так и DFSP характеризуются муаровым рисунком с полосовидным инфильтратом из CD34+ веретеновидных клеток и редкими митозами. В то же время MDDH инфильтрирует 2/3 сетчатого слоя дермы, не вовлекая сосочковый слой, редко затрагивает ПЖК, не поражает придатки кожи, сосуды и нервы, возможна примесь тучных клеток. Поверхностные опухолевые клетки MDDH имеют вертикальную ориентацию по отношению к эпидермису, а более глубокие клетки – горизонтальную. ИГХ-исследование, за исключением случаев положительной реакции с фактором XIIIa и очагово с SMA, неинформативно при проведении дифференциальной диагностики между этими опухолями [7, 8, 17].
Лечение DFSP заключается в хирургическом удалении. Идеальным вариантом удаления небольшой опухоли с нечеткими границами, особенно в косметически значимых областях, является применение микрографической хирургии Мооса (MMS) – хирургической техники, обеспечивающей полный контроль гистопатологических границ во время операции с сохранением тканей. MMS предпочтительнее широкого локального иссечения, поскольку DFSP может иметь непредсказуемые субклинические границы. Если MMS недоступна, а также в случае крупной опухоли выполняется ее широкое локальное иссечение с захватом здоровой кожи на расстоянии 2–4 см от ее визуальных границ [1, 2–4, 8, 11, 18]. Средняя частота рецидива DFSP после MMS варьирует в пределах 1,3–6%, после широкого иссечения с захватом здоровой кожи – 13–49%. Учитывая низкий риск рецидива, особенно при локализации DFSP на голове и шее, MMS считается методикой выбора [18–20].
При крупных поражениях проведение предоперационной МРТ необходимо для оценки площади поражения и планирования хирургического вмешательства [13]. Поскольку метастазирование опухоли в лимфатические узлы встречается крайне редко, регионарная лимфодиссекция не рекомендуется.
В случаях DFSP, которые не поддаются хирургическому лечению из-за крупных размеров опухоли, множественности поражения, метастазирования, рецидивов или риска косметических и/или функциональных нарушений, у взрослых пациентов применяется терапия иматиниба мезилатом [4, 6, 21, 22].
Иматиниба мезилат конкурентно ингибирует связывание аденозинтрифосфата с рецептором PDGFβ, тем самым замедляет активность тирозинкиназы, способствует апоптозу и ограничивает рост опухоли. Пациенты с наличием транслокации t(17;22) демонстрируют больший ответ на иматиниб по сравнению с пациентами без нее, и, следовательно, скрининг на эту транслокацию следует проводить до начала терапии. Побочные эффекты иматиниба мезилата включают диспепсические явления, отеки, усталость, анемию и сыпь. Продолжительность терапии варьирует: некоторые источники рекомендуют в среднем 6 мес терапии, но при необходимости курс лечения может быть продлен. Рекомендуется невысокая начальная доза иматиниба мезилата – 400 мг/сут в связи с меньшей частотой развития побочных эффектов. При отсутствии эффекта дозу повышают до 600–800 мг/сут. Несмотря на положительный эффект при терапии иматиниба мезилатом, данный препарат применяется лишь в качестве неоадъювантной терапии в предоперационном периоде с последующим полным удалением опухоли [3, 6, 21, 22].
В качестве альтернативы при неоперабельных или рецидивирующих опухолях может также применяться лучевая терапия, а адъювантное облучение может снизить риск развития местного рецидива (табл. 4).
Таблица 4. Подходы к лечению DFSP | |
Линия терапии | Подход |
1-я | Микрографическая хирургия Мооса |
2-я | Широкое локальное иссечение с отступом от краев опухоли от 2 до 4 см |
3-я | Иматиниба мезилат: 600 мг/сут 6 мес |
Лучевая терапия | |
Вследствие риска развития местного рецидива DFSP пациенты нуждаются в тщательном клиническом наблюдении после завершения лечения. Риск рецидива наиболее высок в первые 3 года после лечения, поэтому пациентов следует обследовать каждые 3–6 мес в течение этого времени и по крайней мере ежегодно в дальнейшем.
Общий прогноз при DFSP благоприятный: 10-летняя выживаемость составляет 99,1%. Пациенты с метастазами живут в среднем около 2 лет после постановки диагноза. Высокий митотический индекс, негроидная раса, мужской пол и расположение опухоли на голове, шее являются факторами риска более высоких показателей смертности [1]. Другие осложнения связаны с послеоперационным рубцеванием и косметическим дефектом.
Клинический случай. Пациентка Д., 35 лет, обратилась к дерматологу с жалобами на появление одиночного безболезненного уплотнения в правой подключичной области, появившегося 2 года назад. От момента появления первых признаков за указанный промежуток времени отмечался медленный рост образования. На основании клинических данных первоначально установлен диагноз «бляшечная склеродермия» и рекомендовано наблюдение у дерматолога 2–3 раза в год. Через год после первичного обращения отмечен незначительный бессимптомный рост элемента с изменением его морфологических признаков. При осмотре: очаг неправильной формы с нечеткими границами 4×6 см, плотный на ощупь, красно-фиолетового цвета, с асимметричными выбухающими индуративными узловатыми образованиями по периферии (рис. 1). Общеклинические анализы в пределах нормы. Рекомендована биопсия пораженной кожи.
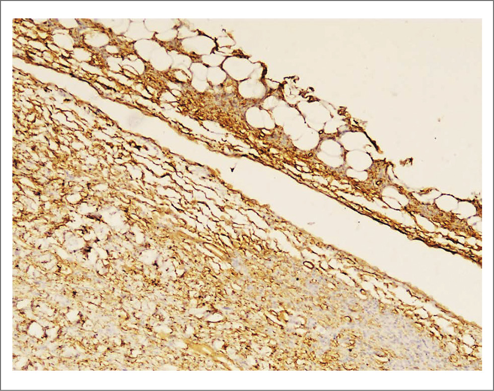
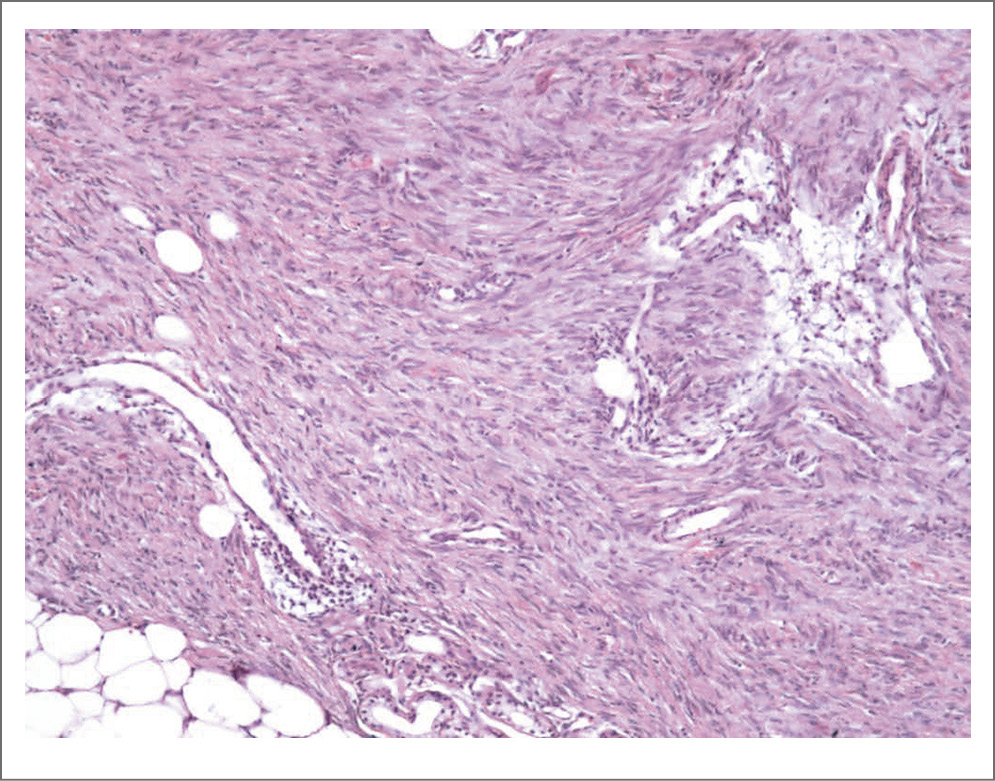
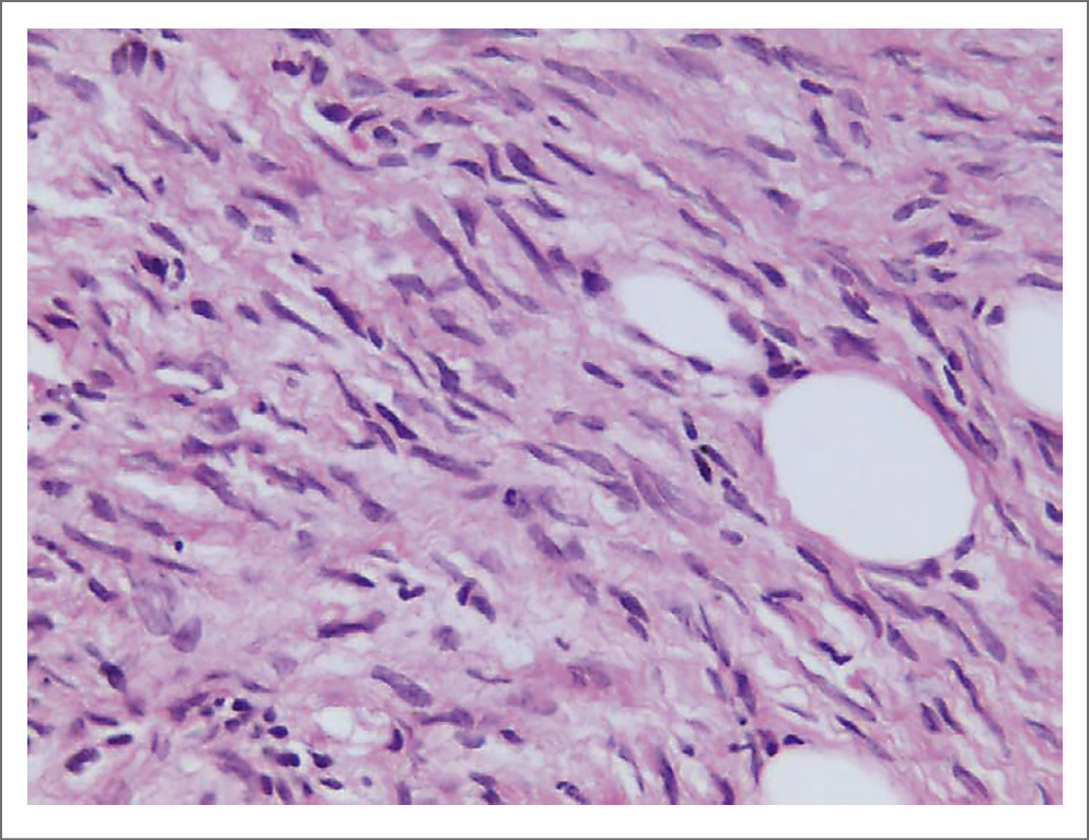
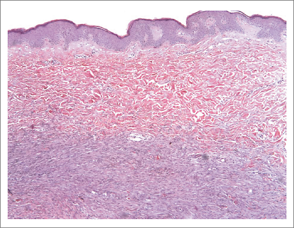
Данные патогистологического исследования. В биоптате кожи эпидермис не изменен. В средних и глубоких отделах дермы (без вовлечения поверхностных отделов), с переходом на ПЖК, имеются разрастания мономорфных веретеновидных клеток с овальными и извитыми ядрами и умеренным количеством цитоплазмы, которые ориентированы параллельно эпидермису. Местами клетки образуют завихрения. Митозы единичные. Границы опухоли нечеткие. Адипоциты проксимальных отделов ПЖК расположены в виде ячеистой структуры среди опухолевых клеток (рис. 2–5). Данные ИГХ-исследования: диффузное окрашивание CD34++ (рис. 6), Desmin-, SMA-, S100-, CD68-, Melan A-, Ki-67 – 8%. Установлен диагноз: дерматофибросаркома выбухающая, классический вариант. Пациентка направлена к онкологу для удаления опухоли.
Рис. 1. Солитарный очаг в правой подключичной области.
Рис. 2. В средних и глубоких отделах дермы (без вовлечения поверхностных отделов) видны разрастания веретеновидных клеток, ориентированных параллельно эпидермису (окраска гематоксилином и эозином, ×50).
Рис. 3. Разрастания веретеновидных клеток с овальными и извитыми ядрами в глубоких отделах дермы с переходом на ПЖК. Адипоциты в виде ячеек располагаются среди опухолевых клеток; последние окружают и сдавливают придатки кожи (потовые железы; окраска гематоксилином и эозином, ×100).
Рис. 4. Большее увеличение дистального края опухоли (окраска гематоксилином и эозином, ×200).
Рис. 5. Веретеновидные клетки опухоли с извитыми ядрами, мономорфные, с умеренным количеством цитоплазмы. Адипоциты в виде ячеек располагаются среди опухолевых клеток (окраска гематоксилином и эозином, ×400).
Рис. 6. ИГХ-реакция с антителами к CD34. Отмечается диффузная положительная реакция в клетках опухоли (×100).
Заключение
Клинический случай демонстрирует сложность постановки диагноза DFSP дерматологом при первичном обращении на стадии бляшки. Важными аспектами являются наблюдение за пациентом в динамике и фиксирование изменений в клинической картине. При солитарных индуративных элементах, напоминающих склеродермию, следует проводить дифференциальную диагностику с фиброгистиоцитарными опухолями, в том числе с дерматофибросаркомой выбухающей, а также другими CD34-позитивными опухолями, с обязательным взятием биопсии и дальнейшим ИГХ-исследованием.
Раскрытие интересов. Авторы декларируют отсутствие явных и потенциальных конфликтов интересов, связанных с публикацией настоящей статьи.
Disclosure of interest. The authors declare that they have no competing interests.
Вклад авторов. Авторы декларируют соответствие своего авторства международным критериям ICMJE. Все авторы в равной степени участвовали в подготовке публикации: разработка концепции статьи, получение и анализ фактических данных, написание и редактирование текста статьи, проверка и утверждение текста статьи.
Authors’ contribution. The authors declare the compliance of their authorship according to the international ICMJE criteria. All authors made a substantial contribution to the conception of the work, acquisition, analysis, interpretation of data for the work, drafting and revising the work, final approval of the version to be published and agree to be accountable for all aspects of the work.
Источник финансирования. Авторы декларируют отсутствие внешнего финансирования для проведения исследования и публикации статьи.
Funding source. The author declares that there is no external funding for the exploration and analysis work.
Об авторах
Мария Александровна Катина
УО «Витебский государственный медицинский университет»
Автор, ответственный за переписку.
Email: vitebsk-derma@mail.ru
канд. мед. наук, доц. каф. дерматовенерологии и косметологии
Белоруссия, ВитебскОлеся Васильевна Лесничая
УО «Витебский государственный медицинский университет»
Email: 5114528@rambler.ru
канд. мед. наук, доц. каф. патологической анатомии и судебной медицины с курсом
Белоруссия, ВитебскНаталья Владимировна Рязанова
УЗ «Витебский областной клинический центр дерматовенерологии и косметологии»
Email: vokvd@vitebsk.by
зав. отд-нием дневного пребывания
Белоруссия, ВитебскСписок литературы
- Brooks J, Ramsey ML. Dermatofibrosarcoma Protuberans. Available at: http://www.ncbi.nlm.nih.gov/books/NBK513305/. Accessed: 08.08.2022.
- Hornick JL. Cutaneous soft tissue tumors: how do we make sense of fibrous and “fibrohistiocytic” tumors with confusing names and similar appearances? Modern Pathology. 2020;33:56-65. doi: 10.1038/s41379-019-0388-4
- Theosetal AJ. Pediatric dermatology. Elsevier Mosby, 2005.
- Hao Х, Billings SD, Wu F, et al. Dermatofibrosarcoma protuberans: update on the diagnosis and treatment. J Clin Med. 2020;9(1752):22. doi: 10.3390/jcm9061752
- Abbott JJ, Oliveira AM, Nascimento AG. The prognostic significance of fibrosarcomatous transformation in dermatofibrosarcoma protuberans. Am J Surg Pathol. 2006;30(4):436-43. doi: 10.1097/00000478-200604000-00002
- Beaziz J, Battistella M, Delyon J, et al. Long-term outcome of neoadjuvant tyrosine kinase inhibitors followed by complete surgery in locally advanced dermatofibrosarcoma protuberans. Cancers (Basel). 2021;13(9):2224. doi: 10.3390/cancers130922242
- Calonje E, Brenn T, McKee PH. Мckee`s pathology of the skin. Elsevier Saunders, 2011.
- Patterson JW. Weedon`s Skin Pathology. Elsevier Limited, 2016.
- Lyu A, Wang Q. Dermatofibrosarcoma protuberans: a clinical analysis. Oncol Lett. 2018:16(2):1855-62. doi: 10.3892/ol.2018.8802
- Hugel H. Fibrohistiocytic skin tumors. JDDG. 2006;4(7):544-54. doi: 10.1111/j.1610-0387.2006.06021.x
- Dimitropoulos VA. Dermatofibrosarcoma protuberans. Dermatol Ther. 2008;21(6):428-32.
- Serra-Guillén C, Llombart B, Sanmartín O. Dermatofibrosarcoma protuberans. Actas Dermosifiliogr. 2012;103(9):762-77. doi: 10.1016/j.ad.2011.10.007
- Riggs K, McGuigan KL, Morrison WB, et al. Role of magnetic resonance imaging in perioperative assessment of dermatofibrosarcoma protuberans. Dermatol Surg. 2009:35(12):2036-41. doi: 10.1111/j.1524-4725.2009.01330.x
- Foot O, Hallin M, Bagué S, et al. Superficial CD34-positive fibroblastic tumor. Int J Surg Pathol. 2020;28(8):879-81. doi: 10.1177/1066896920938133
- Mao Xu, Ying-Ying Sun, Ming-Liang D, et al. Superficial CD34-positive fibroblastic tumor: report of two cases and review of literature. Int J Clin Exp Pathol. 2020;13(1):38-43.
- Lao IW, Yu L, Wang J. Superficial CD34-positive fibroblastic tumour: a clinicopathological and immunohistochemical study of an additional series. Histopathology. 2017;70:394-401. doi: 10.1111/his.13088
- Mutgi KAJ, Chitgopeker P, Ciliberto H, Stone MS. Hypocellular plaque-like CD34-positive dermal fibroma (medallion-like dermal dendrocyte hamartoma) presenting as a skin-colored dermal nodule. Pediatr Dermatol. 2016;33(1):e16-9. doi: 10.1111/pde.12726
- Galimberti G, Montaño AP, Kowalczuk A, et al. Outcomes in 11 patients with dermatofibrosarcoma protuberans treated with Mohs micrographic surgery. Int J Dermatol. 2011;51(1):89-93. doi: 10.1111/j.1365-4632.2010.04721.x
- Lee SH, Oh Y, Nam KA, et al. Mohs micrographic surgery for dermatofibrosarcoma protuberans: comparison of frozen and paraffin techniques. J Eur Acad Dermatology Venereol. 2018;32(12):2171-7. doi: 10.1111/jdv.15201
- Paradisi A, Abeni D, Rusciani A, et al. Dermatofibrosarcoma protuberans: Wide local excision vs. Mohs micrographic surgery. Cancer Treatment Reviews. 2008;34(8):728-36. doi: 10.1016/j.ctrv.2008.06.002
- McArthur GA, Demetri GD, Oosterom A, et al. Molecular and clinical analysis of locally advanced dermatofibrosarcoma protuberans treated with imatinib: Imatinib Target Exploration Consortium Study B2225. J Clin Oncol. 2005;23(4):866-73. doi: 10.1200/JCO.2005.07.088
- Navarrete-Dechent C, Mori S, Barker CA, et al. Imatinib Treatment for Locally Advanced or Metastatic Dermatofibrosarcoma Protuberans. JAMA Dermatology. 2019;155(3):361-9. doi: 10.1001/jamadermatol.2018.494
Дополнительные файлы









