Влияние предоперационной подготовки на архитектонику влагалища женщин с пролапсом гениталий тяжелой степени в постменопаузе
- Авторы: Лазукина М.В.1, Михельсон А.А.1, Башмакова Н.В.1, Мелкозерова О.А.1, Чистякова Г.Н.1, Гришкина А.А.1
-
Учреждения:
- ФГБУ «Уральский научно-исследовательский институт охраны материнства и младенчества» Минздрава России
- Выпуск: Том 22, № 4 (2020)
- Страницы: 33-38
- Раздел: ОРИГИНАЛЬНАЯ СТАТЬЯ
- Статья опубликована: 10.09.2020
- URL: https://gynecology.orscience.ru/2079-5831/article/view/43869
- DOI: https://doi.org/10.26442/20795696.2020.4.200155
- ID: 43869
Цитировать
Полный текст
Аннотация
Пациентки с тяжелыми формами пролапса гениталий (ПГ) постменопаузального возраста представляют собой наиболее сложную в клиническом отношении группу женщин, хирургическое лечение которых с применением сетчатых имплантатов представляет значительные трудности в связи с длительностью заболевания на фоне выраженных структурных изменений тканей урогенитального тракта в условиях дефицита гормонов. Именно поэтому особую значимость имеет изучение гистологических особенностей слизистой оболочки влагалища (СОВ) у женщин с ПГ, которым планируется проведение оперативного лечения вагинальным доступом.
Цель. Изучить гистологические особенности СОВ у женщин в постменопаузе с ПГ тяжелой степени в процессе подготовки к хирургическому лечению с применением вагинальной формы эстриола, прогестерона и лактобактерий.
Материалы и методы. В исследовании приняли участие 70 женщин в постменопаузе, страдающих ПГ III, IV стадии в сочетании с генитоуринарным менопаузальным синдромом. Пациентки были рандомизированы слепым методом на две группы. В первой группе в качестве предоперационной подготовки СОВ проведена терапия с использованием вагинальных форм препаратов эстрогена и прогестерона в сочетании с лактобактериями. В группе сравнения предоперационная подготовка не проводилась. Всем пациенткам было проведено клинико-лабораторное обследование: общий осмотр и гинекологическое обследование, морфологическое исследование биоптатов слизистой оболочки передней стенки влагалища, которые были получены при последующем хирургическом лечении ПГ. Использовались методы параметрической статистики.
Результаты. Установлено, что очаговая дистрофия, акантотические тяжи, ороговение влагалищного эпителия, умеренное воспаление являются характерными морфологическими изменениями СОВ у женщин с ПГ в постменопаузе. Применение на этапе подготовки к хирургическому лечению локальной терапии с использованием вагинальных форм препаратов эстрогена и прогестерона в сочетании с лактобактериями позволяет уменьшить интенсивность воспалительного процесса в СОВ, снизить дистрофические изменения и их выраженность за счет комплексного влияния на процессы пролиферации и дифференцировки эпителия влагалища и активировать процессы регенерации в тканях.
Заключение. Уменьшение воспаления и степени выраженности дистрофических процессов в СОВ на этапе предоперационной подготовки женщин с генитальным пролапсом в постменопаузе благоприятно влияет на процессы регенерации и в этой связи может улучшить исходы оперативного лечения.
Ключевые слова
Полный текст
Научные и клинические данные об анатомо-физиологических изменениях в урогенитальном тракте женщин в постменопаузе позволили расширить существующие представления о ведении пациенток старшей возрастной группы с пролапсом гениталий (ПГ) [1, 2]. Известно, что в период постменопаузы слизистая оболочка влагалища (СОВ) претерпевает атрофические изменения и утрачивает свои защитные свойства в совокупности с изменением характера вагинальной микробиоты [3–5].
У женщин в постменопаузе с тяжелой степенью ПГ одним из наиболее эффективных методов лечения является хирургическая коррекция с использованием синтетических материалов влагалищным доступом [6]. Результат реконструктивно-пластической хирургии у таких пациенток во многом определяется состоянием тканей СОВ в непосредственной зоне хирургического воздействия [7].
В исследованиях отечественных и зарубежных авторов [8–12] были определены ключевые особенности гистобиохимической картины стенки влагалища при несостоятельности тазового дна. В образцах выявлены неравномерные границы эпителия с рыхлым, отечным внеклеточным матриксом, содержащим большое количество фибробластов и тучных клеток; множество полнокровных сосудов; нарушение архитектоники гладкомышечных клеток, их дезорганизация, разобщение, общее снижение абсолютного числа; умеренное увеличение синтеза гликопротеина во внеклеточном матриксе.
В 2015 г. Российской ассоциацией по менопаузе принят термин, характеризующий симптомокомплекс, ассоциированный со снижением эстрогенов и других половых стероидов, включающий в себя изменения в наружных половых органах, промежности, влагалище и уретре – генитоуринарный менопаузальный синдром (ГУМС) [13, 14]. Наличие ГУМС у женщин с ПГ тяжелой степени ухудшает прогноз послеоперационного течения по нескольким причинам. Во-первых, высока вероятность инфекционных осложнений. Во-вторых, симптомы ГУМС свидетельствуют о возможной сниженной регенеративной способности тканей. В-третьих, сопоставление исходно истонченной слизистой может привести к неполноценной эпителизации в области шва.
Следовательно, пациенткам в постменопаузе с ПГ перед плановым оперативным лечением обоснована предоперационная подготовка к хирургическому лечению пролапса тазовых органов, направленная на восстановление функционального состояния гормонозависимых тканей урогенитальной системы и стимуляции механизмов естественной биологической защиты слизистых.
Указанные обстоятельства диктуют необходимость изучения эффективности современных методов подготовки тканей влагалища к хирургическому лечению ПГ вагинальным доступом с использованием сетчатых имплантатов.
Цель исследования – изучить гистологические особенности СОВ у женщин в постменопаузе с ПГ тяжелой степени в процессе подготовки к хирургическому лечению с применением вагинальной формы эстриола, прогестерона и лактобактерий.
Материалы и методы
Проспективное рандомизированное исследование было проведено на базе гинекологического отделения ФГБУ «Уральский НИИ ОММ» в период 2018–2019 гг. В исследование включены 70 женщин в возрасте от 52 до 79 лет, имеющие ПГ III, IV стадии по классификации Pelvic Organ Prolapse-Quantification (POP-Q). Всем женщинам были выполнены реконструктивно-пластические операции с использованием сетчатых имплантатов из биоинертных полипропиленовых и поливинилиденфторидных мононитей, имеющих макропористую структуру (размер пор до 2000 мкм, тип I по Amid). После подписания информированного согласия пациентки методом конвертов были рандомизированы на 2 группы. Основную, 1-ю группу, составили 35 пациенток, которые на этапе подготовки к хирургическому лечению получали трехкомпонентную локальную терапию, включающую вагинальную форму препаратов половых стероидов в сочетании с лактобактериями (эстриол 0,2 мг, прогестерон 2 мг и Lactobacillus casei rhamnosus Doderleini) по схеме: до операции по 2 капсулы 1 раз в день интравагинально в течение 2 нед, затем по 1 капсуле в день – 6 нед. Группу сравнения, 2-ю, составили 35 пациенток, которые не получали предоперационную подготовку.
Материал для морфологического и иммуногистохимического (ИГХ) исследования получен в ходе операции влагалищным доступом по поводу ПГ (взятие фрагмента ткани стенки влагалища) на основании информированного добровольного согласия на участие в исследовании. Материалом для исследования послужили биоптаты СОВ. Биопсию передней стенки влагалища выполняли во время оперативного лечения пролапса, размер иссеченного участка примерно 5×5 мм. После выполнения биопсии стенки влагалища полученный материал фиксировали в 10% растворе нейтрального забуференного формалина в течение 24 ч. В последующем материал обезвоживали с помощью автоматической станции Thermo Scientific по стандартной схеме в спиртах нарастающей концентрации (70–95%), затем в ксилоле и парафине для изготовления гистологических и ИГХ-препаратов. Толщина серийных срезов составила 3–5 мкм. Гистологическое изучение парафиновых срезов СОВ проводили у всех женщин анализируемых групп при окраске материала гематоксилином Карацци и эозином по стандартной методике. Просмотр и фотографирование микропрепаратов осуществляли при оптимальном увеличении на микроскопе Axioplan 2 с использованием цифровой фотокамеры (Carl Zeiss Jena, Германия). При морфологическом исследовании слизистой стенки влагалища проводили оценку многослойного плоского неороговевающего эпителия (МПНЭ).
Для определения состояния рецепторного аппарата СОВ (эстрогеновые рецепторы – ЭР-a, ЭР-b) проводили ИГХ-исследование. Для ИГХ-исследования использовали двухэтапный стрептавидин-биотин-пероксидазный метод с демаскировкой антигена и применением стандартных наборов моноклональных и поликлональных антител фирмы Bond RTU Primary (США) с использованием иммуногистостейнера закрытого типа BonD-MaX (Leica, Германия). В ходе ИГХ-исследования для оценки экспрессии ЭР использовали антитела к ЭР-a и b с применением первичных моноклональных мышиных античеловеческих антител производства DakoCytomation в стандартном разведении 1:40 для рецепторов СОВ. Для ИГХ-реакций обрабатывали парафиновые срезы по традиционной методике с использованием мышиных моноклональных антител к ЭР-a (клон 6F-11), к ЭР-b (клон 6F-12). С целью визуализации первичных антител использовали безбиотиновую систему детекции Super Sensitive Polymer-HPR Detection System (Biogenex). В образцах определяли уровень экспрессии ЭР-a и ЭР-b (Bond RTU Primary). Результаты реакции ЭР идентифицировались по ядерному или мембранному окрашиванию клеток в коричневый цвет для соответствующих маркеров с оценкой процента окрашенных клеток и интенсивности окраски клеток. Экспрессию ЭР оценивали по 3-балльной шкале (слабая, средняя и выраженная степени).
Все данные статистически обработаны с использованием стандартного пакета программ Microsoft Office 2010 (Microsoft Excel) и Statistica® для Windows 6.0. Количественные показатели представлены в виде М±m, где М – среднее арифметическое, m – стандартная ошибка средней. Для проверки нормальности распределения использован критерий Колмогорова–Смирнова. Для сравнения средних значений в двух группах у показателей с нормальным распределением использовался критерий Стьюдента для независимых наблюдений. Критерий t Стьюдента применялся для определения достоверности. Различия считались статистически значимыми при p<0,05.
Результаты
Пациентки обеих групп наблюдения были сопоставимы по возрасту – 62,37±1,02 года против 65,80±1,11 года; р>0,05. Антропометрические показатели женщин, включенных в исследование, также были сопоставимы. Масса тела женщин составила 70,5±1,42 и 72,15±1,57 кг в 1 и 2-й группах, рост – 166,1±0,94 и 163,1±0,77 см и индекс массы тела – 26,98±0,54 и 27,17±0,53 (р>0,05 во всех случаях). При анализе акушерского анамнеза пациенток статистически значимых отличий по количеству беременностей (5,00±0,47 против 4,33±0,38), родов (2,17±0,14 против 1,87±0,12), а также самопроизвольных прерываний беременности (0,49±0,20 против 0,87±0,24) не выявлено (p>0,05 во всех случаях). Во 2-й группе количество прерываний беременности по желанию женщины было меньше и составило 1,37±0,20, чем у пациенток 1-й группы – 2,23±0,35 (p<0,05).
Анализируя анамнестические данные, касающиеся одного из основных факторов риска развития ПГ – разрывов промежности или проведения эпизиотомии в родах, очевидно, что данные параметры изучаемых групп не показывают значимых отличий – 0,629±0,08 против 0,667±0,09 (p<0,05). Возраст наступления менопаузы в 1 и 2-й группах составил 54,0±0,26 и 54,37±1,8 (p<0,05), длительность постменопаузы – 8,34±0,88 и 8,4±0,82 года (p<0,05) соответственно.
Согласно дизайну исследования, для изучения морфологической структуры СОВ была проведена биопсия передней стенки влагалища во время операции у женщин с ПГ. Далее произведено сравнение результатов исследования биоптатов у пациенток, которым проводилась локальная предоперационная подготовка и без специальной подготовки. По результатам исследования биоптатов СОВ в группе с локальной подготовкой слизистой и без таковой до операции были обнаружены значимые различия.
У пациенток группы сравнения без предоперационной подготовки абсолютно во всех биоптатах стенки влагалища (n=35) наблюдались морфологические признаки воспаления в виде лимфоплазмоцитарной инфильтрации. В то же время в основной группе, с применением предоперационной подготовки, мононуклеарная инфильтрация встречалась реже – в 51,4% случаев (n=18); р<0,05. Локализация инфильтратов была чаще всего зарегистрирована в периваскулярной и субэпителиальной зонах. Слабая диффузная мононуклеарная инфильтрация наблюдалась в 1/2 случаев у женщин, которым была проведена локальная подготовка половыми гормонами в сочетании с лактобактериями (n=9), в то время как в группе без предоперационной подготовки – в 14,3% случаев (n=5). Более чем в 50% случаев (n=19) во 2-й группе встречалась умеренная лимфоцитарная инфильтрация, одновременно с этим достоверно реже, в 38,8% случаев (n=7), инфильтрация средней степени была у женщин в 1-й группе (p<0,001). Выраженная инфильтрация лимфоидными клетками достоверно чаще отмечалась у пациенток, которым не была проведена локальная предоперационная подготовка (p<0,001). В образцах, взятых после местной подготовки влагалищной стенки, выраженная морфологическая реакция воспаления наблюдалась в 3 раза реже (рис. 1).
Рис. 1. Степень выраженности мононуклеарной инфильтрации.
Наряду с морфологическими признаками хронического воспалительного процесса в тканях СОВ определялись морфологические показатели дистрофических процессов. МПНЭ с вакуольной дистрофией эпителиальных клеток в 1-й группе встречался в 14,3% случаев, в то время как во 2-й группе достоверно чаще – в 39,1% (p<0,05). Неравномерная толщина МПНЭ с преобладанием истончения как маркер дистрофических процессов наблюдалась в основной и контрольной группе в 85,7 и 78,9% соответственно.
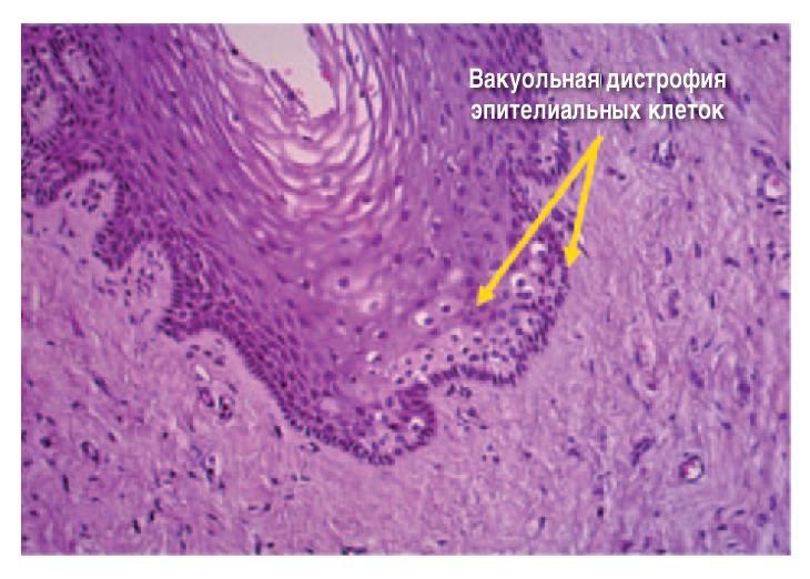
Внутриклеточный отек эпителиальных клеток с появлением в цитоплазме вакуолей наблюдался достоверно чаще в группе женщин, не получавших локальную предоперационную подготовку, и регистрировался в 40,0% случаев (n=14); рис. 2. При этом в 14,3% случаев (n=5) у пациенток во 2-й группе наблюдения определялся МПНЭ с отдельными эпителиальными клетками в состоянии баллонной дистрофии, когда эпителиальная клетка максимально увеличена за счет выраженного внутриклеточного цитоплазматического отека с сохранением только оболочки клетки (рис. 3). Очаговая вакуольная дистрофия эпителиальных клеток, при которой вакуоль занимает почти всю клетку, оттесняя ядро к периферии, была выявлена достоверно реже в основной группе наблюдения 14,3% (n=2). Именно при дистрофических процессах в клетках промежуточного слоя МПНЭ уменьшается количество гликогена, который является субстратом для лактобактерий.
Рис. 2. Морфологическая картина стенки влагалища при тяжелой степени ПГ на фоне ГУМС.
Клетки МПНЭ с частичным цитолизом с образованием в цитоплазме вакуолей (вакуольная дистрофия), наполненных жидкостью. Окраска гематоксилин-эозином, ¥200 (окуляр 10 ¥ объектив 20).
Рис. 3. Морфологическая картина стенки влагалища при тяжелой степени ПГ на фоне ГУМС.
Клетки МПНЭ с полным цитолизом и образованием в цитоплазме вакуолей (вакуольная дистрофия), наполненных жидкостью. Окраска гематоксилин-эозином, ¥200 (окуляр 10 ¥ объектив 20).
Морфологической особенностью строения плоского эпителия вагинальной стенки у женщин обеих групп явилось наличие акантотических тяжей. Морфологически акантоз проявлялся в виде утолщения и увеличения числа рядов промежуточного слоя МПНЭ с удлинением эпидермальных выростов, в некоторых случаях проникающих глубоко в подлежащую строму (рис. 4). В основе акантоза у женщин в постменопаузе на фоне дефицита как эстрогенов, так и прогестерона лежит замедление процессов дифференцировки клеток эпителия, когда продолжительность их жизни увеличивается [15].
Рис. 4. Морфологическая картина стенки влагалища при тяжелой степени ПГ на фоне ГУМС.
Визуализируются выраженные акантотические тяжи, в строме слабо выраженная круглоклеточная инфильтрация. Окраска гематоксилин-эозином, ¥200 (окуляр 10 ¥ объектив 20).
При гистологическом исследовании биоптатов тканей влагалища в нескольких случаях визуализировались участки ороговения МПНЭ (рис. 5). Роговой слой встречался в обеих группах наблюдения с примерно одинаковой частотой: в 1-й группе – у 20% (n=7), во 2-й – у 22,8% (n=8). Участки ороговения состоят из роговых чешуек и построены из кератиновых фибрилл и аморфного электроплотного материала. Ороговение МПНЭ у женщин с ПГ в постменопаузе можно объяснить формированием роговых чешуек на фоне вялотекущего хронического воспалительного процесса.
Рис. 5. Морфологическая картина стенки влагалища при тяжелой степени ПГ на фоне ГУМС.
Визуализируются участки ороговения в виде гомогенных эозинофильных масс на поверхности слоя плоских клеток. Окраска гематоксилин-эозином, ¥200 (окуляр 10 ¥ объектив 20).
Таким образом, физиологический эстрогеновый и прогестероновый дефицит у женщин в постменопаузе вызывает нарушение процессов дифференцировки, а также пролиферации эпителия влагалища. Морфологические признаки дистрофии, слабо-умеренного хронического воспаления вне активности объясняют проявление симптомов вагинальной атрофии, а также могут быть причиной неудовлетворительных результатов хирургического лечения ПГ у женщин в постменопаузе. При выполнении хирургической коррекции ПГ с использованием сетчатых имплантатов вагинальным доступом производится линейный разрез СОВ с последующим ушиванием раны. Тем самым получается сопоставление тканей с нарушенной архитектоникой, патологической пролиферацией и дифференцировкой клеток. Следовательно, в таком вагинальном эпителии повреждены процессы восстановления и эпителизации. При дистрофических процессах, когда происходит альтерация ультраструктур клеток, нарушается регенерация на молекулярном и ультраструктурном уровнях. Непосредственно поражение процессов молекулярного морфогенеза у женщин с ПГ в сочетании с ГУМС может лежать в патогенезе таких имплантат-ассоциированных осложнений, как эрозия СОВ.
По результатам ИГХ-исследования биоптатов тканей влагалища, взятых во время оперативного лечения, нами была выявлена иммунопозитивная реакция на антитела к ЭР-a и b, однако прослеживалась достоверная разница в степени их иммунореактивности и распределения в СОВ (см. таблицу).
ИГХ-показатели экспрессии ЭР-a и b в разных слоях МПНЭ у женщин обследованных групп (H-score, M±m, р) Immunohistochemical indicators of expression of estrogen receptors (ER) a and b in different layers of MPNE in women of the examined groups (H-score, M±m, p) | |||
Показатели | 1-я группа (n=35) | 2-я группа (n=35) | р |
ЭР-a в поверхностном слое | 62,17±4,53 | 13,23±2,81 | 0,001 |
ЭР-a в промежуточном слое | 50,78±4,58 | 23,63±3,99 | 0,003 |
ЭР-a в базальном слое | 48,17±5,28 | 22,07±4,61 | 0,007 |
ЭР-b в поверхностном слое | 39,00±4,33 | 15,70±3,72 | 0,011 |
ЭР-b в промежуточном слое | 41,60±4,64 | 22,17±4,47 | 0,012 |
ЭР-b в базальном слое | 39,14±4,71 | 23,93±5,24 | 0,032 |
При исследовании экспрессии ЭР-a и b во всех слоях вагинального эпителия наблюдалась тенденция к большей степени экспрессии у женщин в группе, которым проводилась предоперационная подготовка с использованием половых гормонов и лактобактерий (см. таблицу). Продемонстрировано достоверное увеличение уровня экспрессии ЭР-a в поверхностном слое вагинального эпителия у женщин с трехкомпонентной предоперационной подготовкой в сравнении с группой женщин без подготовки вагинального эпителия – 62,17±4,53 балла против 13,23±2,80 балла (р<0,05); рис. 6. При исследовании образцов СОВ у женщин с тяжелой степенью ПГ в постменопаузе обращает на себя внимание высокая экспрессия ЭР-a в промежуточном слое эпителия в группе женщин, которым проводилась местная предоперационная подготовка: 50,77±4,58 балла против 23,63±3,99 балла (р<0,05). У женщин с ПГ на фоне ГУМС отмечена тенденция к снижению экспрессии ЭР-a в базальном слое в сравнении с другими слоями вагинального эпителия. Тем не менее выявлена умеренная экспрессия ЭР-a в базальном слое 1-й группы, достоверно превышающая контрольные значения: 48,17±5,28 балла против 22,07±4,61 балла (р<0,05); рис. 7.
После проведения лечения у женщин 1-й группы отмечено статистически значимое увеличение экспрессии ЭР-b во всех слоях влагалищного эпителия: в поверхностном слое – 39,00±4,33 против 15,70±3,718 (р=0,0109), в промежуточном слое – 41,60±4,64 против 22,17±4,47 (р=0,0117), в базальном слое – 39,14±4,70 против 23,93±5,24 (р=0,0323); рис. 8.
Обсуждение
Согласно данным, представленным рядом авторов, СОВ высокочувствительна к гормональному воздействию [16]. Отмечено, что терапию ГУМС, в патогенезе которого лежит дефицит половых стероидов, нужно начинать как можно раньше, еще до начала необратимых атрофических изменений СОВ.
В ходе настоящего исследования установлено, что состояние гормонального гомеостаза в период постменопаузы находит свое отражение в строении СОВ, обусловливая характерную картину инволюции на микроскопическом уровне.
Выявлено, что наиболее характерными изменениями гистоархитектоники СОВ у женщин с ПГ в постменопаузе являются очаговая дистрофия, вплоть до вакуольной и баллонной дистрофии, умеренная инфильтрация мононуклеарами, а также акантоз и гиперкератоз. Продемонстрировано наглядное изменение гистологической и ИГХ-картины СОВ у женщин, которым проведена комплексная предоперационная подготовка половыми стероидами в сочетании с лактобактериями. Во-первых, обнаружено уменьшение интенсивности воспалительного процесса в СОВ на фоне проведения локальной терапии. Вероятно, этот эффект объясним противовоспалительным действием прогестерона, повышение количества которого, согласно теории качелей Арпада Чапо, приводит к подавлению синтеза простагландинов [15]. Лактобактерии, являющиеся одним из компонентов предоперационной подготовки, ингибируют рост патогенной флоры за счет конкурирования за рецепторы эпителия и образования биопленок, тем самым обеспечивают профилактику инфицирования. Во-вторых, установлено снижение выраженности дистрофических процессов у женщин с трехкомпонентной подготовкой. Очевидно, это происходит за счет влияния на процессы пролиферации и дифференцировки клеток эпителия влагалища под действием эстриола и прогестерона, используемых локально до операции. В-третьих, определена высокая экспрессия ЭР-a в базальном, промежуточном и поверхностных слоях влагалищного эпителия, при этом экспрессия ЭР-b менее выражена, однако превышает показатели у женщин без специальной предоперационной подготовки. Поскольку основными детерминантами специфичности эндокринных гормонов являются локализация и степень экспрессии их рецепторов, именно активация рецепторов к эстрадиолу-a обеспечивает выраженное снижение дистрофических процессов в тканях вагинального эпителия у женщин с проведенной локальной подготовкой.
Полученные результаты позволяют заключить, что именно уменьшение степени и интенсивности воспалительных изменений и дистрофических процессов в СОВ у женщин, перенесших оперативное лечение по поводу пролапса тазовых органов после локальной подготовки гормонами в сочетании с лактобактериями, позволит снизить число имплантат-ассоциированных осложнений, таких как эрозия СОВ в месте установки сетчатого имплантата, а также возможных инфекционных осложнений.
Заключение
Таким образом, у пациенток с ПГ в постменопаузе имеется значительное нарушение гистоархитектоники СОВ за счет локального истончения многослойного плоского эпителия, очаговой дистрофии, появления акантотических тяжей и участков ороговения вагинального эпителия. Восстановление пролиферативных свойств вагинального эпителия при атрофических изменениях у пациенток с ПГ в постменопаузе, восстановление вагинальной микробиоты и повышение резистентности эпителия к инфекционным и воспалительным процессам обусловливает эффективность предоперационной подготовки с использованием препаратов, содержащих эстриол и прогестерон в сочетании с лактобактериями.
Об авторах
Мария Валерьевна Лазукина
ФГБУ «Уральский научно-исследовательский институт охраны материнства и младенчества» Минздрава России
Автор, ответственный за переписку.
Email: masha_balueva@mail.ru
ORCID iD: 0000-0002-0525-0856
аспирант, мл. науч. сотр. ФГБУ «Уральский НИИ ОММ»
Россия, ЕкатеринбургАнна Алексеевна Михельсон
ФГБУ «Уральский научно-исследовательский институт охраны материнства и младенчества» Минздрава России
Email: ann_lukach@list.ru
ORCID iD: 0000-0003-1709-6187
д-р мед. наук, рук. отд. сохранения репродуктивной функции, заведующая гинекологическим отд-нием ФГБУ «Уральский НИИ ОММ»
Россия, ЕкатеринбургНадежда Васильевна Башмакова
ФГБУ «Уральский научно-исследовательский институт охраны материнства и младенчества» Минздрава России
Email: BashmakovaNV@niiomm.ru
ORCID iD: 0000-0002-9938-7684
д-р мед. наук, проф., гл. науч. сотр. ФГБУ «Уральский НИИ ОММ», засл. врач РФ
Россия, ЕкатеринбургОксана Александровна Мелкозерова
ФГБУ «Уральский научно-исследовательский институт охраны материнства и младенчества» Минздрава России
Email: abolmed1@mail.ru
ORCID iD: 0000-0002-4090-0578
д-р мед. наук, доц., зам. дир. по научно-исследовательской работе ФГБУ «Уральский НИИ ОММ»
Россия, ЕкатеринбургГузель Нуховна Чистякова
ФГБУ «Уральский научно-исследовательский институт охраны материнства и младенчества» Минздрава России
Email: guzel@niiomm.ru
ORCID iD: 0000-0002-0852-6766
д-р мед. наук, проф., рук. отд-ния иммунологии, микробиологии, патоморфологии и цитодиагностики ФГБУ «Уральский НИИ ООМ»
Россия, ЕкатеринбургАнастасия Александровна Гришкина
ФГБУ «Уральский научно-исследовательский институт охраны материнства и младенчества» Минздрава России
Email: xumukyc.ru@mail.ru
ORCID iD: 0000-0001-7433-2217
мл. науч. сотр. отд-ния иммунологии, микробиологии, патоморфологии и цитодиагностики ФГБУ «Уральский НИИ ОММ»
Россия, ЕкатеринбургСписок литературы
- Ермакова Е.И. Генитоуринарный менопаузальный синдром: диагностика и принципы лечения. Мед. совет. 2019; 13: 106–11. [Ermakova E.I. Genitourinarnyi menopauzal’nyi sindrom: diagnostika i printsipy lecheniia. Med. sovet. 2019; 13: 106–11 (in Russian).]
- Юренева С.В., Ермакова Е.И., Глазунова А.В. Диагностика и терапия генитоуринарного менопаузального синдрома у пациенток в пери- и ¬постменопаузе (краткие клинические рекомендации). Акушерство и гинекология. 2016; 5: 138–44. [Iureneva S.V., Ermakova E.I., Glazunova A.V. Diagnostika i terapiia genitourinarnogo menopauzal’nogo sindroma u patsientok v peri- i postmenopauze (kratkie klinicheskie rekomendatsii). Akusherstvo i ginekologiia. 2016; 5: 138–44 (in Russian).]
- Baber RJ, Panay N, Fenton A, the IMS Writing Group. 2016 IMS Recommendations on women’s midlife health and menopause hormone therapy. Climacteric 2016; 19 (2): 109–50.
- Setty P, Redekal L, Warren MP. Vaginal estrogen use and effects on quality of lifeand urogenital morbidity in postmenopausal women after publication of the Womens Health initiative in New York City. Menopause 2016; 23 (1): 7–10.
- Прилепская В.Н., Назаренко Е.Г. Эстриол в терапии различных гинекологических заболеваний. Мед. совет. 2017; 2: 8–13. [Prilepskaya V.N., Nazarenko E.G. Estriol v terapii razlichnykh ginekologicheskikh zabolevanii. Med. sovet. 2017; 2: 8–13 (in Russian).]
- Шкарупа Д.Д., Кубин Н.Д., Попов Э.Н. и др. Передне-апикальная протезирующая реконструкция тазового дна вагинальным доступом с применением сверхлегкого сетчатого имплантата: 2 года наблюдения. Журн. акушерства и женских болезней. 2018; 67 (3): 55–63. [Shkarupa D.D., Kubin N.D., Popov E.N. et al. Peredne-apikal’naia proteziruiushchaia rekonstruktsiia tazovogo dna vaginal’nym dostupom s primeneniem sverkhlegkogo setchatogo implantata: 2 goda nabliudeniia. Zhurn. akusherstva i zhenskikh boleznei. 2018; 67 (3): 55–63 (in Russian).]
- Башмакова Н.В., Михельсон А.А., Лазукина М.В. и др. Дискуссионные вопросы предоперационной подготовки и ведения послеоперационного периода женщин с пролапсом гениталий (обзор литературы). Лечение и профилактика. 2018; 8 (2): 43–7. [Bashmakova N.V., Mikhel’son A.A., Lazukina M.V. et al. Diskussionnye voprosy predoperatsionnoi podgotovki i vedeniia posleoperatsionnogo perioda zhenshchin s prolapsom genitalii (obzor literatury). Lechenie i profilaktika. 2018; 8 (2): 43–7 (in Russian).]
- Тотчиев Г.Ф., Токтар Л.Р., Апокина А.Н. Морфологические и иммуногистохимические критерии тяжести пролапса гениталий. Ульяновский медико-биологический журнал. 2012; 3: 146–9. [Totchiev G.F., Toktar L.R., Apokina A.N. Morfologicheskie i immunogistokhimicheskie kriterii tiazhesti prolapsa genitalii. Ul’ianovskii mediko-biologicheskii zhurnal. 2012; 3: 146–9 (in Russian).]
- Рулев М.В. Эффективность хирургического лечения пролапса тазовых органов с использованием синтетического импланта PROLIFT. Автореф. дис. … канд. мед. наук. СПб., 2010. [Rulev M.V. Effektivnost’ khirurgicheskogo lecheniia prolapsa tazovykh organov s ispol’zovaniem sinteticheskogo implanta PROLIFT. Avtoref. dis. … kand. med. nauk. Saint Petersburg, 2010 (in Russian).]
- Денисова Т.Б. Оптимизация хирургического лечения женщин с пролапсом тазовых органов. Автореф. дис. … канд. мед. наук. М., 2010. [Denisova T.B. Optimizatsiia khirurgicheskogo lecheniia zhenshchin s prolapsom tazovykh organov. Avtoref. dis. … kand. med. nauk. Moscow, 2010 (in Russian).]
- Строни Р. Хирургическое лечение урогенитальных расстройств у женщин в постменопаузальном периоде. Автореф. дис. … канд. мед. наук. М., 2011. [Stroni R. Khirurgicheskoe lechenie urogenital’nykh rasstroistv u zhenshchin v postmenopauzal’nom periode. Avtoref. dis. … kand. med. nauk. Moscow, 2011 (in Russian).]
- Оразов М.Р., Демяшкин Г.А., Кампос Е. и др. Ультраструктурные характеристики тканей тазового дна как патогенетическое обоснование применения направленной контактной диатермии при пролапсе тазовых органов. Доктор.ру. Гинекология. Эндокринология. 2017; 8: 40–7. [Orazov M.R., Demiashkin G.A., Kampos E. et al. Ul’trastrukturnye kharakteristiki tkanei tazovogo dna kak patogeneticheskoe obosnovanie primeneniia napravlennoi kontaktnoi diatermii pri prolapse tazovykh organov. Doktor.ru. Ginekologiia. Endokrinologiia. 2017; 8: 40–7 (in Russian).]
- Еприкян Е.Г., Юренева С.В., Ермакова Е.И. и др. Генитоуринарный менопаузальный синдром: оптимизация терапии вагинальных симптомов. Гинекология. 2018; 20 (3): 52–6. [Eprikian E.G., Iureneva S.V., Ermakova E.I. et al. Genitourinary menopausal syndrome: optimizing the treatment of vaginal symptoms. Gynecology. 2018; 20 (3): 52–6 (in Russian).]
- Прилепская В.Н. Генитоуринарный менопаузальный синдром: возможности эстриола. Гинекология. 2018; 20 (1): 5–9. [Prilepskaya V.N. Genitourinary menopausal syndrome: the potential of estriol. Gynecology. 2018; 20 (1): 5–9 (in Russian).]
- Portman DJ. Vulvovaginal Atrophy Terminology Consensus Conference Panel. Genitourinary syndrome of menopause: new terminology for vulvovaginal atrophy from the International Society for the Study of Women’s Sexual Health and the North American Menopause Society. Maturitas 2014; 79 (3): 349–54.
- Тюзиков И.А., Жиленко М.И., Поликарпова С.Р. Современные возможности оптимизации локальной гормонотерапии урогенитальных нарушений у женщин на основе комбинированного применения вагинальных форм эстриола и прогестерона. Гинекология. 2018; 20 (1): 117–25. [Tiuzikov I.A., Zhilenko M.I., Polikarpova S.R. Modern opportunities for optimizing local hormone therapy for urogenital disorders in women based on the combined use of vaginal forms of estriol and progesterone. Gynecology. 2018; 20 (1): 117–25 (in Russian).]
Дополнительные файлы
