Vaginal bleeding during menopause hormone therapy. Is it always endometrial cancer? How to choose the appropriate tactics for examination and management of patients?
- Authors: Protasova A.E.1,2,3, Solntseva I.A.2, Vandeeva E.N.1
-
Affiliations:
- Almazov National Medical Research Centre
- Mechnikov North-Western State Medical University
- Saint Petersburg State University
- Issue: Vol 22, No 5 (2020)
- Pages: 37-43
- Section: REVIEW
- Published: 23.11.2020
- URL: https://gynecology.orscience.ru/2079-5831/article/view/50858
- DOI: https://doi.org/10.26442/20795696.2020.5.200419
- ID: 50858
Cite item
Full Text
Abstract
The article provides an overview of the possible causes of bleeding from the genital tract in peri- and postmenopausal women. The correct approach to patients with abnormal uterine bleeding during menopausal hormone therapy is described. A modern analysis of data on the diagnosis and treatment of postmenopausal vaginal bleeding against the background of menopausal hormone therapy was carried out. The modern possibilities of endometrial diagnostics and treatment are shown.
Full Text
Результаты исследований групп женщин геронтологического возраста показывают, что в XXI в. продолжительность жизни женщин достигла 117 лет и есть основания полагать, что она будет расти к 120 годам [1].
В России число женщин в пери- и постменопаузе составляет более 21 млн. Это диктует необходимость действий, направленных на сохранение их здоровья и качества жизни.
Менопауза – это физиологическое состояние, при котором на фоне возрастных изменений доминируют инволютивные процессы в репродуктивной системе. Менопауза характеризуется прекращением менструаций и клинически диагностируется после 12 мес полной аменореи. Средний возраст наступления менопаузы в западных странах составляет 51,4 года [2].
Хирургическая менопауза возникает после удаления яичников до возраста естественной менопаузы, медикаментозная менопауза – у женщин, принимающих лекарственные препараты, подавляющие функцию яичников, употребляющих алкоголь [3], курящих [4], в том числе пассивно [5]; воздействие пестицидов [6] и выполнение работ в ночную смену [7] также может ускорить наступление менопаузы.
Постменопауза характеризуется повышением уровня фолликулостимулирующего гормона и снижением уровня эстрогенов и прогестерона, что приводит к прогрессирующей атрофии репродуктивных органов [8].
Физиологический процесс старения также происходит на уровне эндометрия. Без циклических гормональных воздействий менструального цикла эндометрий во время менопаузы становится атрофичным.
Частота климактерических симптомов у женщин в постменопаузе составляет от 40 до 60%. Приливы и другие вазомоторные симптомы являются начальными признаками климактерического синдрома, а к более поздним предсказуемым осложнениям относятся остеопороз, атрофия влагалища и повышение риска развития сердечно-сосудистых осложнений [9].
Своевременно назначенная менопаузальная гормональная терапия (МГТ) с учетом возраста, продолжительности менопаузы, данных личного и семейного анамнеза позволяет уменьшить частоту и интенсивность менопаузальных симптомов, улучшить качество жизни, снизить смертность женщин на 30–51%. МГТ оказывает также профилактическое влияние на такие болезни пожилых людей, как остеопороз и переломы костей, сердечно-сосудистые заболевания, старческая деменция, сахарный диабет 2-го типа и другие метаболические нарушения [10].
Доказано, что на фоне МГТ более высок риск аномальных маточных кровотечений без увеличения риска развития рака эндометрия (РЭ) [11, 12].
МГТ может модифицировать эндометрий, толщина которого под воздействием гормонов увеличивается, и возникает постменопаузальное кровотечение (ПМК) [13].
С другой стороны, кровотечение из половых путей неясного генеза является одним из основных противопоказаний для назначения МГТ.
Поэтому важен правильный подход к пациенткам с аномальным маточным кровотечением в постменопаузе на фоне МГТ с целью своевременной и полноценной диагностики причины кровотечения и безопасного сохранения «золотого стандарта» терапии климактерического синдрома – комбинированной МГТ.
Согласно Международной классификации болезней (МКБ) 10 и 11-го пересмотра ПМК являются заболеванием и кодируются N95.0 по МКБ-10 и GA30.1 по МКБ-11.
Постменопаузальное маточное кровотечение – это кровотечение из половых путей, начинающееся через 1 год или более после менопаузы. Для ПМК характерны следующие признаки: оно может происходить из любой части репродуктивного тракта, включая матку, шейку матки, влагалище, вульву, и иметь различную степень интенсивности. Основными этиопатогенетическими причинами развития ПМК являются: инфекция, атрофия, опухоли (доброкачественные или злокачественные), полипы, прием МГТ.
Для определения причин ПМК необходимо использовать современные методы диагностики состояния эндометрия и общепринятый алгоритм тактики ведения больных.
Для врача-клинициста остается открытым ряд практических вопросов как по объему обследования, так и аргументации выбора последующей тактики лечения:
- Есть ли разница в обследовании пациенток с ПМК на фоне МГТ или без МГТ?
- Есть ли ультразвуковые или магнитно-резонансные критерии состояния эндометрия на фоне МГТ или они не отличаются от популяционной группы?
В обзоре мы представим последние российские и европейские рекомендации ведения пациенток с ПМК на фоне МГТ.
В период менопаузы РЭ – симптомное заболевание, основным проявлением которого является кровотечение из половых путей. До 85% случаев РЭ диагностируется на I–II стадиях заболевания и имеет высокие показатели выживаемости. Для своевременного обращения пациенток для диагностики РЭ необходимо информирование женщин о риске и симптомах заболевания. К сожалению, нет данных о скрининговых программах РЭ для популяции, а ультразвуковое исследование (УЗИ) органов малого таза не снижает показатели смертности и не признано методом эффективного скрининга РЭ. Доказано, что скрининг бессимптомного процесса приводит к ненужным биопсиям эндометрия и ложноположительным результатам. При проведении инвазивного обследования полости матки с морфологической верификацией состояния эндометрия возможны предсказуемые осложнения, такие как боль, кровотечение, присоединение инфекции и перфорация матки.
Согласно мнению экспертов Европейского общества гинекологической онкологии (ESGO), не рекомендуется регулярное обследование бессимптомных женщин даже с такими значимыми факторами риска развития РЭ, как ожирение, синдром поликистозных яичников, сахарный диабет, бесплодие и поздняя менопауза [14].
Многие десятки лет фракционированный кюретаж цервикального канала и полости матки являлся основной и единственной диагностической процедурой у такой группы пациенток; однако более новые методы исследования доказали свою надежность и должны использоваться в клинической практике акушеров-гинекологов и онкологов.
До сих пор нет единого мнения об идеальном алгоритме диагностического поиска у пациенток с ПМК. Цель литературного обзора – представить современный анализ данных о диагностике и лечении постменопаузального вагинального кровотечения у женщин.
ПМК – распространенная гинекологическая жалоба [15, 16]. Распространенность ПМК в период менопаузы уменьшается со временем: сразу после менопаузы ПМК встречается у 400/1 и у 42/1 тыс. женщин/год через 3 года после менопаузы [15], а вероятность РЭ, наоборот, увеличивается с количеством лет менопаузы. Экстрагенитальные причины ПМК могут быть связаны с патологией мочеиспускательного канала, мочевого пузыря и прямой кишки [17].
Основными вопросами, ответы на которые необходимо знать для выяснения причин кровотечения, являются следующие:
- Когда началось кровотечение и каково количество его эпизодов?
- Есть ли провоцирующие факторы, такие как половой акт?
- Страдает ли пациентка сопутствующими симптомами (лихорадка, боль и дизурические явления или нарушение моторно-эвакуаторной функции кишечника)?
- Применяет ли она гормональную терапию, антикоагулянты, тамоксифен и др.?
Наиболее частыми причинами ПМК являются атрофия слизистой нижних половых путей и полипы эндометрия; однако у 1–14%, а по ряду исследований – у 24% пациенток с ПМК может быть выявлен РЭ или морфологическая форма предрака – атипическая гиперплазия эндометрия [18].
Значимые факторы риска развития РЭ: отсутствие родов в анамнезе, ожирение, артериальная гипертензия, сахарный диабет, монотерапия эстрогенами, применение селективных модуляторов рецепторов эстрогена [19, 20] и синдром Линча [21].
Повышенный риск развития РЭ у пациенток с ПМК требует немедленной гинекологической оценки [15, 22, 23].
Поиск причины ПМК должен начинаться со сбора полного анамнеза, в том числе наследственного. Необходимо первоначально подтвердить факт менопаузы, расспросить о симптомах со стороны мочевыделительной системы, уточнить наличие примеси крови или слизи в стуле или болезненного акта дефекации, требующих исключения заболевания желудочно-кишечного тракта, оценить наличие основных факторов риска развития РЭ.
Как бы банально это ни звучало, для начала диагностического поиска причин ПМК необходимо провести стандартное гинекологическое обследование и исключить заболевания шейки матки, влагалища, вульвы, уретры и заднего прохода, в том числе опухолевого характера, разрывы кожи или наличие инородных тел. Необходимы цитологическое исследование мазка из шейки матки и биопсия любого видимого макроскопического очага наружных половых органов, бимануальное обследование с оценкой размера матки, ее подвижности; важно определить наличие признаков патологических изменений придатков и болезненность при смещении шейки матки. По показаниям выполняется исследование вагинального мазка при подозрении на инфекцию, передаваемую половым путем. Общий объективный осмотр проводится для выявления признаков системного заболевания.
Трансвагинальное (ТВ) УЗИ разумно применять в качестве инициального метода обследования пациенток с постменопаузальным маточным кровотечением.
Единого общепринятого мнения относительно порогового значения нормальной толщины эндометрия у женщин в постменопаузе до сих пор не существует. Консенсус Европейского общества медицинской онкологии (ESMO), Европейского общества лучевой терапии и онкологии (ESTRO) и Европейского общества гинекологической онкологии (ESGO) постановил, что у женщин в постменопаузе толщина эндометрия до 11 мм при отсутствии кровянистых выделений из половых путей считается допустимой и не требует дополнительного обследования. Риск развития РЭ при толщине эндометрия более 11 мм составляет 7%, а при толщине менее 11 мм – 0,002% [14, 24–26].
У пациенток с ПМК толщина эндометрия ≤4 мм имеет отрицательное прогностическое значение в отношении РЭ более 99% и обеспечивает чувствительность 94,8 (95% доверительный интервал – ДИ 86,1–98,2) и специфичность 46,7 (95% ДИ 38,3–55,2). Использование порогового значения толщины эндометрия 5 мм снижает чувствительность выявления РЭ до 90,3 (95% ДИ 80,0–95,5) и повышает специфичность до 54,0 (95% ДИ 46,7–61,2) [27, 28].
Исследование A. Timmermans и соавт. показало максимальную чувствительность (98%) в выявлении РЭ при использовании порогового значения толщины эндометрия 3 мм [29].
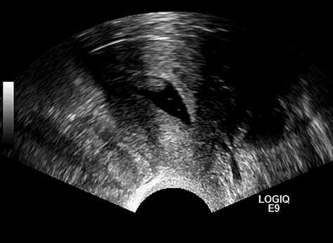
Многие исследования подтверждают данные A. Timmermans и соавт. В частности, исследование A. Wong и соавт. с участием женщин с ПМК показало, что пороговое значение толщины эндометрия 3 мм имеет чувствительность 97% и специфичность 45,3%; значение 4 мм имеет чувствительность 94,1% и специфичность 66,8%, а значение 5 мм имеет чувствительность 93,5% и специфичность 74% для выявления РЭ (рис. 1, 2) [30].
Рис. 1. Пациентка Э., 61 г. ПМК. Толщина эндометрия – 7,1 мм. РЭ (собственные данные).
Рис. 2. Пациентка А., 64 года, постменопауза 20 лет. ПМК. Толщина эндометрия – 19 мм. РЭ (собственные данные).
В некоторых случаях у пациенток в постменопаузе с кровотечением не удается визуализировать эндометрий. Такие сопутствующие патологии матки, как лейомиома, аденомиоз или операция на матке в анамнезе, затрудняют получение четкого изображения эндометрия [31]. Однако в таких ситуациях всегда должен проводиться альтернативный метод диагностики, в частности соногистерография.
Соногистерография проводится путем введения физиологического раствора в полость матки, что позволяет лучше оценить состояние полости и выявить внутриполостные образования. Чувствительность соногистерографии для выявления патологии эндометрия у пациенток с ПМК составляет 86,5% (95% ДИ 63,6–100%), специфичность – 91,1% (95% ДИ 63,2–100%); рис. 3 [32].
Рис. 3. Пациентка М., 60 лет, постменопауза 10 лет. Эпизод кровянистых выделений из половых путей. При ТВ УЗИ эндометрий визуализируется неотчетливо, при соногистерографии – полип эндометрия (собственные данные).
Данные систематических обзоров по оценке диагностической точности соногистерографии у пациенток с маточным кровотечением определяют ее чувствительность (95%) и специфичность (88%).
Частой причиной ПМК являются полипы эндометрия. Полипы относятся к доброкачественным новообразованиям, однако встречаемость злокачественных опухолей в полипах колеблется от 1,5 до 12,9% [33]. У пациенток с ПМК риск гиперплазии эндометрия и рака в полипах в 4,4 раза выше, чем у бессимптомных женщин. Таким образом, распространенность РЭ в полипах является высокой в группе пациенток с ПМК и составляет 4,93%, поэтому в этой группе рекомендуется удаление всех полипов, а выжидательная тактика не является оптимальной [34, 35].
Использование трехмерного (3D) УЗИ для оценки состояния пациентки с ПМК не демонстрирует большей специфичности метода. Результаты исследования G. Opolskiene и соавт. показали, что толщина, объем эндометрия и показатели кровотока значительно больше у пациенток со злокачественными новообразованиями эндометрия по сравнению с пациентками с доброкачественными новообразованиями. Однако диагностическая эффективность для дифференциальной диагностики доброкачественного и злокачественного новообразования эндометрия при 3D-УЗИ по толщине эндометрия не превосходила таковую при 2D-УЗИ, а 3D-энергетическая допплерография мало что меняла по измерениям толщины или объема эндометрия [36].
В настоящее время следует учитывать ограничения УЗИ, при котором не всегда возможно получить надежные признаки измерения слизистой оболочки эндометрия [37]. Наличие патологии матки, такой как миома, аденомиоз или операция на матке в анамнезе, может усложнить получение надежного измерения эндометрия [27]. Невозможность адекватной оценки эндометрия при УЗИ всегда должна сопровождаться альтернативным методом оценки [38].
При обследовании пациенток с ПМК раздельное диагностическое выскабливание традиционно являлось методом выбора. Тем не менее еще в 1975 г. исследователи доказали, что при использовании данной слепой диагностической методики более 50% полости эндометрия оставалось необследованным [39]. Впоследствии стали доступны изделия для забора образцов эндометрия в амбулаторных условиях. Метаанализ, в котором оцениваются имеющиеся на рынке изделия для отбора проб эндометрия, показал, что частота выявления РЭ у женщины в постменопаузе составляет 97,1% при использовании изделия Vabra и 99,6% – при использовании изделия Pipelle [40]. Вскоре после этого M. Rodriguez и соавт. доказали, что они в среднем позволяют получать образцы только с 4% полости [41]. Если патология занимает менее 50% полости матки (очаговая патология), при использовании слепой биопсии диагноз часто пропускается.
Аспирационная биопсия эндометрия с использованием шприца-аспиратора Ipas MVA PlusТМ и канюли Ipas EasyGrip® является высокоинформативным, безболезненным, не требующим расширения цервикального канала методом морфологической диагностики эндометрия. Созданием в полости матки отрицательного давления (до 0,8–1 атм) достигается полное опорожнение полости матки в достаточном объеме для цитологического, иммуноцитохимического, гистологического и иммуногистохимического исследования.
Использование метода жидкостной цитологии для исследования эндометрия позволяет в 1,5 раза повысить чувствительность стандартного цитологического метода и выполнить иммуноцитохимическое исследование с определением супрессорного гена PTEN, рецепторов стероидных гормонов (эстрогена и прогестерона), антигена Ki-67 – маркера пролиферации, CD-138, р53 – опухолевого гена-супрессора и других маркеров. Чувствительность такой методики достигает 95%, а корреляция с результатом гистологического исследования – 99%.
Согласно рекомендациям Международной федерации акушеров-гинекологов (2018 г.), морфологический анализ состояния эндометрия показан только при сочетании факторов риска наличия предраковых или злокачественных изменений: это возраст старше 45 лет, ожирение, генетический синдром Линча, повышающий риск развития РЭ до 60% среди женщин 48–50 лет, случаи повторных кровотечений или неадекватных цитологических или гистологических проб [42].
Слепая биопсия является диагностической «только» при выявлении заболевания. При отсутствии цитологических признаков патологии эндометрия важно проводить дальнейшее ультразвуковое мониторирование и по показаниям выполнять гистероскопию [27].
F. Loffer утверждает, что «настало время применения гистероскопии в качестве стандарта для исключения злокачественных опухолей эндометрия» [43]. Принято считать, что гистероскопия лучше слепой биопсии эндометрия [44], диагностического кюретажа [45] и УЗИ [46] для обнаружения структурной внутриматочной патологии. Гистероскопия также хорошо переносится пациентками. Исследование, в котором изучались предпочтения пациенток с ПМК, показало, что 95% предпочитают гистероскопию, а не ультразвук, особенно в связи с дополнительным преимуществом немедленного лечения доброкачественных новообразований [47].
Диагностическая гистероскопия с биопсией эндометрия под непосредственным контролем визуализации рекомендуется при любом из следующих состояний:
- эндометрий недостаточно визуализируется при УЗИ;
- устойчивое (повторяющееся) влагалищное кровотечение;
- подозрение на структурную или очаговую патологию;
- недостаточный или неинформативный образец, полученный с помощью слепой диагностики.
Гистероскопия должна рассматриваться в качестве дополнительного метода диагностики для пациенток с ПМК.
Офисная гистероскопия выполняется в амбулаторных условиях, без вагинального зеркала или расширения цервикального канала, с «тактикой неприкосновенности», является безболезненной, безопасной манипуляцией и альтернативой традиционному гистероскопическому подходу [48].
Не существует единого мнения относительно идеального подхода к диагностике пациентки с ПМК.
Во многих руководствах рекомендуется использовать ТВ УЗИ в качестве первого этапа диагностического исследования.
T. Clark и соавт. в качестве экономически эффективной стратегии предложили стратегию использования ТВ УЗИ с пределом отсечения 4 мм с последующим забором эндометрия [49].
Риск РЭ у женщин в постменопаузе с вагинальным кровотечением на фоне МГТ (прорывное кровотечение) значительно меньше по сравнению с популяционной группой [50]. Тем не менее женщины, получающие прогестин курсами, и пациентки с прорывным кровотечением, получающие непрерывную терапию прогестином, должны находиться под наблюдением. Другими причинами вагинального кровотечения у женщин, получающих МГТ, являются плохая приверженность лечению, заболевания печени, лекарственные взаимодействия, доброкачественные гинекологические заболевания, такие как полипы эндометрия или шейки матки, цервицит, и патологии, не имеющие отношения к гинекологии (патологии мочевыводящих путей, желудочно-кишечного тракта).
A. Ghoubara и соавт. оценили 421 случай у женщин с полипами эндометрия в группе 2625 пациенток с ПМК. Распространенность гиперплазии и рака составила 8% с повышенным в 5,5 раза риском у пациенток с толщиной эндометрия более 10 мм и повышенным в 3,5 раза риском у пациенток с индексом массы тела более 32,5 кг/м2. Доказано, что риск развития РЭ в полипах высокий только при возникновении кровотечений в постменопаузе, поэтому рекомендуется удаление всех полипов у пациенток в постменопаузе с ПМК [33, 34]. В недавнем систематическом обзоре, включавшем 51 исследование с участием более 35 тыс. пациенток, показано, что более высокий риск развития злокачественных новообразований в полипе установлен лишь при наличии кровотечений у женщин в постменопаузе (5,14 в сравнении с 1,89%,p<0,0001). Авторы пришли к выводу, что выжидательная тактика оправдана у бессимптомных пациенток, а в случае ПМК и признаков полипа эндометрия рекомендована гистероскопическая полипэктомия; однако окончательное решение должно приниматься индивидуально на основании общего профиля риска и желания пациентки [51].
Присутствие жидкости в полости матки (серозометра), случайно обнаруженное у бессимптомных женщин в постменопаузе, обычно представляет собой патологическое состояние эндометрия, только если толщина эндометрия более 4 мм [52, 53]. H. Topcu и соавт. сообщили о 141 пациентке в постменопаузе с бессимптомным течением, у которых на УЗИ обнаружена жидкость в полости матки, и пришли к выводу, что случайное обнаружение серозометры является доброкачественным состоянием при условии, что слизистая оболочка эндометрия составляет менее 4 мм [54].
В ряде случаев забор эндометрия проводится в количестве, недостаточном для проведения цитологического или гистологического исследования. В ретроспективном исследовании 103 женщин в возрасте 50 лет и старше с забором недостаточного количества эндометрия установили, что при невыполнении дополнительного вмешательства в 45% случаях, повторно проведенной биопсии в течение 3 мес 9% больных, выполненном в 56% случаев УЗИ, раздельном диагностическом выскабливании и гистероскопии 11% женщин только в одном случае диагностирована аденокарцинома эндометрия [55].
A. Gonzalez Rios и соавт. сообщили о 118 (13,2%) пациентках с недостаточным количеством ткани для исследования из группы 890 женщин с ПМК. Из них у 74 (62,7%) пациенток взяты дополнительные образцы ткани: у 45 (61%) наблюдались атрофические изменения, 22 (30%) – доброкачественные полипы эндометрия, 6 (8%) – пролиферативный эндометрий, 1 (1,3%) – РЭ. Авторы представленных выше исследований пришли к выводу, что недостаток ткани эндометрия для морфологического исследования у пациенток с ПМК крайне редко приводит к пропуску злокачественного опухолевого процесса [56].
Постменопаузальное влагалищное кровотечение – жалоба, которая часто встречается в клинической практике. По-прежнему остается спорным вопрос о том, в какой последовательности лучше всего обследовать пациенток с ПМК. В будущем исследования должны быть направлены на получение большей точности при минимальном вмешательстве. При слепой биопсии можно упустить патологию эндометрия, особенно если она имеет очаговый характер, поэтому эту методику не следует использовать. Гистероскопия с биопсией под непосредственным контролем визуализации является более точной, чем слепые процедуры, для обнаружения внутриутробной патологии, поэтому ей следует отдавать предпочтение. ПМК является распространенной гинекологической жалобой, которую никогда не следует игнорировать. Приблизительно у 1% пациенток, находящихся на комбинированной МГТ, развивается доброкачественная гиперплазия эндометрия. В таких случаях следует увеличить дозу или переключить пациенток на 3 мес терапии только прогестином, чтобы стимулировать регресс гиперпластического эндометрия. Если биопсия или УЗИ свидетельствует о неадекватной реакции на прогестагенный компонент МГТ, суточная доза дидрогестерона должна быть повышена до 20 мг. К основным противопоказаниям для применения дидрогестерона относятся индивидуальная непереносимость препарата и компонентов, входящих в состав препарата, и синдромы Дабина–Джонсона и Ротора.
При назначении непрерывной комбинированной МГТ в постменопаузе в течение 6 мес возможны появления мажущих выделений, о чем необходимо предупреждать пациентку и которые не должны рассматриваться как патология. Однако иногда при применении данной терапии могут возникать прорывные кровотечения. Показано, что вероятность прорывных кровотечений на ультранизкодозированной терапии значительно меньше, чем при применении стандартных и низких доз [57].
Так, при возникновении прорывных кровотечений возможно рассмотреть переход на Фемостон мини (0,5 мг эстрадиола и 2,5 мг дидрогестерона). При анализе двух регистрационных исследований показан высокий профиль безопасности со стороны эндометрия при применении препарата Фемостон мини у пациенток в постменопаузе [58].
Использование МГТ в форме монотерапии эстрогенами у женщин с сохраненной маткой не рекомендовано или она должна быть немедленно отменена в случаях ошибочного назначения.
Заключение
В заключение хочется отметить, что только неуточненные причины кровотечений из половых путей и РЭ являются противопоказанием для назначения и/или продолжения МГТ. Поэтому диагностический поиск и наиболее правильная тактика ведения пациенток с ПМК даст возможность сохранить МГТ с целью лечения климактерического синдрома, повышения качества и продолжительности жизни пациенток. В настоящее время основные принципы обследования и дальнейшая тактика ведения пациенток с ПМК должны применяться независимо от факта использования МГТ. В современной клинической практике нет ультразвуковых и магнитно-резонансных критериев состояния эндометрия на фоне МГТ, они не должны отличаться от популяционной группы.
About the authors
Anna E. Protasova
Almazov National Medical Research Centre; Mechnikov North-Western State Medical University; Saint Petersburg State University
Author for correspondence.
Email: protasova1966@yandex.ru
ORCID iD: 0000-0001-7930-8048
D. Sci. (Med.), Prof., Saint Petersburg State University, Mechnikov North-Western State Medical University, Almazov National Medical Research Centre
Russian Federation, Saint PetersburgIrina A. Solntseva
Mechnikov North-Western State Medical University
Email: protasova1966@yandex.ru
ORCID iD: 0000-0002-2692-2156
Cand. Sci. (Med.), Mechnikov North-Western State Medical University
Russian Federation, Saint PetersburgEkaterina N. Vandeeva
Almazov National Medical Research Centre
Email: protasova1966@yandex.ru
ORCID iD: 0000-0001-9878-3338
Cand. Sci. (Med.), Almazov National Medical Research Centre
Russian Federation, Saint PetersburgReferences
- Gerontology research group mission: Slow and ultimately reverse age related decline Founded 1990–2015 Twenty Five Year Anniversary. http://www.grg.org/SC/SCindex.html
- Sydora BC, Yuksel N, Veltri NL et al. Patient characteristics, menopause symptoms, and care provided at an interdisciplinary menopause clinic: retrospective chart review. Menopause 2018; 25: 102–5.
- Torgerson DJ, Thomas RE, Campbell MK, Reid DM. Alcohol consumption and age of maternal menopause are associated with menopause onset. Maturitas 1997; 26: 21–5.
- Yang HJ, Suh PS, Kim SJ, Lee SY. Effects of smoking on menopausal age: results from the Korea National Health and Nutrition Examination Survey, 2007 to 2012. J Prev Med Public Health 2015; 48: 216–24.
- Ertunc D, Tok EC, Aytan H, Gozukara YM. Passive smoking is associated with lower age at menopause. Climacteric 2015; 18: 47–52.
- Akkina JE, Reif JS, Keefe TJ, Bachand AM. Age at natural menopause and exposure to organochlorine pesticides in Hispanic women. J Toxicol Environ Health Part A 2004; 67: 1407–22.
- Stock D, Knight JA, Raboud J et al. Rotating night shift work and menopausal age. Hum Reprod 2019; 34: 539–48.
- Gupta A, Desai A, Bhatt S. Imaging of the endometrium: physiologic changes and diseases: women’s imaging. Radiographics 2017; 37: 2206–7.
- Grady D. Clinical practice. Management of menopausal symptoms. N Engl J Med 2006; 355: 2338–47.
- Менопаузальная гормональная терапия и сохранение здоровья женщин зрелого возраста. Клинические рекомендации. М., 2014. [Menopausal hormone therapy and maintaining the health of Mature women. Clinical recommendations. Moscow, 2014 (in Russian).]
- Allen NE, Tsilidis KK, Key TJ et al. Menopausal hormone therapy and risk of endometrial carcinoma among postmenopausal women in the European Prospective Investigation into Cancer and Nutrition. Am J Epidemiol 2010; 172: 1394–403.
- Barboss N, Musonda P, Duncan TJ et al. Postmenopausal vaginal bleeding in women using hormone replacement therapy. Menopause Int 2012; 18 (1): 5–9.
- Winter TC 3rd. Endometrial thickness in symptomatic postmenopausal patients receiving hormone replacement therapy or tamoxifen. Radiographics 2018; 38: 658–9.
- Colombo N, Creutzberg C, Amant F et al. ESMO-ESGO-ESTRO Consensus conference on endometrial cancer. Diagnosis, treatment and follow-up. Int J Gynecol Cancer 2016; 26 (1): 2–30.
- Astrup K, Olivarius N de F. Frequency of spontaneously occurring postmenopausal bleeding in the general population. Acta Obstet Gynecol Scand 2004; 83: 203–7.
- Raouf SA, Gupta P, Papaioannou S, Pradhan P. Endometrial thickness for invasive investigations in women with postmenopausal bleeding. Climacteric 2011; 14: 117–20.
- Wolman I. Berek and Novak’s Gynecology. 15th Ed. Philadelphia, PA: Lippincott Williams and Wilkins, 2012.
- Bradshaw KD, Tait D. Postmenopausal bleeding. In: Marshburn PB, Hurst BS (Eds.) Disorders of Menstruation. Chicester, West Sussex, UK: Wiley-Blackwell, 2011; p. 166–83.
- Riggs BL, Hartmann LC. Selective estrogen-receptor modulators – mechanisms of action and application to clinical practice. N Engl J Med 2003; 348: 618–29.
- Amant F, Moerman P, Neven P et al. Endometrial cancer. Lancet 2005; 366: 491–505.
- Kwon JS, Scott JL, Gilks CB et al. Testing women with endometrial cancer to detect Lynch syndrome. JCO 2011; 29: 2247–52.
- Burbos N, Musonda P, Giarenis I et al. Age-related differential diagnosis of vaginal bleeding in postmenopausal women: a series of 3047 symptomatic postmenopausal women. Menopause Int 2010; 16: 5–8.
- Ronghe R, Gaudoin M. Women with recurrent postmenopausal bleeding should be re-investigated but are not more likely to have endometrial cancer. Menopause Int 2010; 16: 9–11.
- SOGC Practice Guideline Asymptomatic Endometrial Thickening. JOGC 2010; 249: 990–9.
- Guidelines For Professional Ultrasound Practice Society and College of Radiographers and British Medical Ultrasound Society 2015.
- Smith-Bindman R, Kerlikowske K, Feldstein VA et al. Evaluation of the woman with postmenopausal bleeding: Society of Radiologists in Ultrasound-Sponsored Consensus Conference statement. J Ultrasound Med 2001; 20: 1025–36.
- ACOG Committee Opinion No. 734: The role of transvaginal ultrasonography in evaluating the endometrium of women with postmenopausal bleeding. Obstet Gynecol 2018; 131: e124–9.
- Smith-Bindman R, Weiss E, Feldstein V. How thick is too thick? When endometrial thickness should prompt biopsy in postmenopausal women without vaginal bleeding. Ultrasound Obstet Gynecol 2004; 24: 558–65.
- Timmermans A, Opmeer BC, Khan KS et al. Endometrial thickness measurement for detecting endometrial cancer in women with postmenopausal bleeding: a systematic review and meta-analysis. Obstet Gynecol 2010; 116: 160–7.
- Wong AS, Lao TT, Cheung CW et al. Reappraisal of endometrial thickness for the detection of endometrial cancer in postmenopausal bleeding: a retrospective cohort study. BJOG 2016; 123: 439–46.
- Ragupathy K, Cawley N, Ridout A et al. Non-assessable endometrium in women with post-menopausal bleeding: to investigate or ignore. Arch Gynecol Obstet 2013; 288: 375–8.
- Kamel HS, Darwish AM, Mohamed SA. Comparison of transvaginal ultrasonography and vaginal sonohysterography in the detection of endometrial polyps. Acta Obstet Gynecol Scand 2000; 79: 60–4.
- Ghoubara A, Sundar S, Ewies AA. Predictors of malignancy in endometrial polyps: study of 421 women with postmenopausal bleeding. Climacteric 2018; 21: 82–7.
- Lee SC, Kaunitz AM, Sanchez-Ramos L, Rhatigan RM. The oncogenic potential of endometrial polyps: a systematic review and meta-analysis. Obstet Gynecol 2010; 116: 1197–205.
- Uglietti A, Buggio L, Farella M et al. The risk of malignancy in uterine polyps: a systematic review and meta-analysis. Eur J Obstet Gynecol Reprod Biol 2019; 237: 48–56.
- Opolskiene G, Sladkevicius P, Jokubkiene L, Valentin L. Threedimensional ultrasound imaging for discrimination between benign and malignant endometrium in women with postmenopausal bleeding and sonographic endometrial thickness of at least 4.5 mm. Ultrasound Obstet Gynecol 2010; 35: 94–102.
- Ragupathy K, Cawley N, Ridout A et al. Non-assessable endometrium in women with post-menopausal bleeding: to investigate or ignore. Arch Gynecol Obstet 2013; 288: 375–8.
- Practice Bulletin No. 149: endometrial cancer. Obstet Gynecol 2015; 125: 1006–26.
- Stock RJ, Kanbour A. Prehysterectomy curettage. Obstet Gynecol 1975; 45: 537–41.
- Dijkhuizen FP, Mol BW, Brolmann HA, Heintz AP. The accuracy of endometrial sampling in the diagnosis of patients with endometrial carcinoma and hyperplasia: a meta-analysis. Cancer 2000; 89: 1765–72.
- Rodriguez MH, Platt LD, Medearis AL et al. The use of transvaginal sonography for evaluation of postmenopausal ovarian size and morphology. Am J Obstet Gynecol 1988; 159: 810–4.
- Munro MM, Crithley HO, Fraser IS et al. The two FIGO systems for normal and abnormal uterine bleeding symptoms and classification of causes of abnormal uterine bleeding in the reproductive years: 2018 revisions. Int J Gynecol Obstet 2018; 143: 393–408.
- Loffer FD. The time has come to quit relying on a blind endometrial biopsy or dilation and curettage to rule out malignant endometrial changes. J Minim Invasive Gynecol 2019; 26: 1207–8.
- Angioni S, Loddo A, Milano F et al. Detection of benign intracavitary lesions in postmenopausal women with abnormal uterine bleeding: a prospective comparative study on outpatient hysteroscopy and blind biopsy. J Minim Invasive Gynecol 2008; 15: 87–91.
- Gebauer G, Hafner A, Siebzehnrubl E, Lang N. Role of hysteroscopy in detection and extraction of endometrial polyps: results of a prospective study. Am J Obstet Gynecol 2001; 184: 59–63.
- Bingol B, Gunenc Z, Gedikbasi A et al. Comparison of diagnostic accuracy of saline infusion sonohysterography, transvaginal sonography and hysteroscopy. J Obstet Gynaecol 2011; 31: 54–8.
- Timmermans A, Opmeer BC, Veersema S, Mol BW. Patients’ preferences in the evaluation of postmenopausal bleeding. BJOG 2007; 114: 1146–9.
- Sardo ADS, Calagna G, Di Carlo C. Tips and tricks in office hysteroscopy. Gynecol Minim Invasive Ther 2015; 4: 3–7.
- Clark TJ, Barton PM, Coomarasamy A et al. Investigating postmenopausal bleeding for endometrial cancer: cost-effectiveness of initial diagnostic strategies. BJOG 2006; 113: 502–10.
- Burbos N, Musonda P, Duncan TJ et al. Postmenopausal vaginal bleeding in women using hormone replacement therapy. Menopause Int 2012; 18: 5–9.
- Uglietti A, Buggio L, Farella M et al. The risk of malignancy in uterine polyps: a systematic review and meta-analysis. Eur J Obstet Gynecol Reprod Biol 2019; 237: 48–56.
- Curcic A, Djurdjevic S, Mihaldzic-Tubic S et al. Ultrasound detection of endometrial fluid in postmenopausal women. Med Pregl 2009; 62: 337–41.
- Seckin B, Ozgu-Erdinc AS, Dogan M et al. The utility of endometrial thickness measurement in asymptomatic postmenopausal women with endometrial fluid. J Obstet Gynaecol 2016; 36: 230–3.
- Topcu HO, Tasdemir U, Islimye M et al. The clinical significance of endometrial fluid collection in asymptomatic postmenopausal women. Climacteric 2015; 18: 733–6.
- Chopra V, Sangha R, Gadde R, Alkhoory W. Endometrial biopsies with insufficient tissue: descriptive analysis and cancer outcomes in women aged 50 and above [26G]. Obstet Gynecol 2018; 131: 82S.
- Gonzalez Rios AR, Chu Lam MT, Shollenberger C et al. Tissue insufficient for diagnosis on endometrial biopsy: what’s the next step? Obstet Gynecol 2016; 127: 73S.
- Dave FG et al. Unscheduled bleeding with hormone replacement therapy. Obstet Gynaecol 2019; 21 (2): 95–101.
- Tsiligiannis S, Wick-Urban BC, van der Stam J, Stevenson JC. Efficacy and safety of a low-dose continuous combined hormone replacement therapy with 0.5 mg 17b-estradiol and 2.5 mg dydrogesterone in subgroups of postmenopausal women with vasomotor symptoms. Maturitas 2020; 9 (139): 20–6. doi: 10.1016/j.maturitas.2020.05.002
Supplementary files









