A case of acute myocardial infarction in a patient with congenital atresia of the left coronary artery
- Authors: Evdokimova A.G.1, Popov V.V.1, Shuiskaya O.A.1, Mikhailova I.S.1
-
Affiliations:
- Yevdokimov Moscow State University of Medicine and Dentistry
- Issue: Vol 11, No 1 (2020)
- Pages: 46-49
- Section: Case reports
- Submitted: 26.09.2020
- Accepted: 26.09.2020
- Published: 26.09.2020
- URL: https://cardiosomatics.ru/2221-7185/article/view/46040
- DOI: https://doi.org/10.26442/22217185.2020.1.200097
- ID: 46040
Cite item
Full Text
Abstract
A clinical example of a rare pathology is presented – a congenital anomaly of the coronary arteries, namely, atresia of the trunk of the left coronary artery in a young patient of 40 years old. This pathology was asymptomatic and was suddenly manifested by the development of acute myocardial infarction in a patient with a single right coronary artery. Clinical, laboratory and instrumental research methods using modern technologies are described in detail. In the article, the authors discuss the genesis of the development of acute coronary syndrome, due to a possible connection with the activation of cytomegalovirus infection.
Full Text
Врожденные аномалии коронарных артерий (КА) как самостоятельная нозологическая форма встречаются достаточно редко: 1 на 1 тыс. случаев врожденной патологии сердца. В то же время они могут встречаться в сочетании с другими врожденными пороками сердца.
В среднем частота изолированных аномалий КА составляет 0,6–1,8% от объема всех проводимых коронарографий.
Консенсус, принятый в 2000 г. Обществом грудных хирургов и хирургов, оперирующих врожденные пороки сердца, включает следующую классификацию аномалий КА:
- аномальные КА, отходящие от легочной артерии;
- аномальные КА, отходящие от аорты;
- врожденная атрезия ствола левой КА;
- коронарная артериовенозная фистула;
- КА с миокардиальным мостиком;
- аневризмы КА;
- стеноз КА [1–4].
Гемодинамически значимые аномалии КА являются причиной очаговой ишемии или инфаркта миокарда (ИМ) с последующим развитием сердечной недостаточности и даже летальным исходом. В разных литературных источниках в основном приводятся описания врожденных аномалий КА как причины развития острой коронарной недостаточности у детей, в том числе и новорожденных, грудных. Описаны также случаи внезапной смерти молодых мужчин после физической нагрузки, у которых при патологоанатомическом исследовании выявлялась скрытая, первоначально не диагностированная врожденная аномалия КА [5–7].
Мы же хотим привести наблюдение развития острого ИМ (ОИМ) у взрослого пациента с врожденной аномалией КА.
Пациент М.А.Г. 40 лет поступил в отделение реанимации и интенсивной терапии (ОРИТ) с жалобами на ноющие, давящие загрудинные боли в области мечевидного отростка, с иррадиацией в левое плечо, левую лопатку, усиливающиеся при физической нагрузке, слабость продолжительностью более часа.
Анамнез. Больной ранее коронарного анамнеза не имел, у кардиолога не наблюдался, типичные приступы стенокардии не беспокоили. Заболел остро, когда 11 и 12 октября 2018 г. внезапно появился озноб, отметил повышение температуры тела до 38–39°С, без катаральных явлений, по поводу чего принимал жаропонижающие средства (парацетамол, Эффералган). Утром 13 октября появились перечисленные жалобы, в связи с чем обратился в поликлинику, где на электрокардиограмме (ЭКГ) зафиксированы изменения: синусовый ритм с частотой сердечных сокращений 90 в минуту, подъем ST в I, aVL, V4–V6; qrS I, QS в aVL.
С подозрением на острый коронарный синдром (ОКС) больной транспортирован в стационар, ОРИТ. На догоспитальном этапе выполнено: ацетилсалициловая кислота (АСК) – 250 мг, клопидогрел – 300 мг, Реланиум – 10 мг.
Вредные привычки: курит по пачке сигарет в день, алкоголь употребляет умеренно.
Образование высшее, служит в военном учреждении, ежегодно проходил профосмотры с исследованием ЭКГ, эхокардиографии (ЭхоКГ), велоэргометрии, успешно сдавал зачеты по физической подготовке, считался практически здоровым.
Наследственность не отягощена, родители сердечно-сосудистых заболеваний не имеют.
Семейное положение: женат, имеет сына. Жилищные условия удовлетворительные.
Аллергоанамнез без особенностей.
При поступлении в ОРИТ состояние тяжелое. В сознании, ориентирован в месте, времени, личной ситуации. Телосложение нормостеническое. Индекс массы тела – 28,5кг/м2, температура тела – 36,6°С. Кожные покровы и видимые слизистые обычной окраски, чистые, влажные. Костно-мышечная система без патологических изменений. Периферические лимфатические узлы не увеличены. Отеков нет. Над легкими перкуторный звук легочный. Аускультативно в легких дыхание ослабленное везикулярное над всеми полями легких, хрипов нет. Частота дыхания – 18 в минуту. SaО2 – 95% при дыхании атмосферным воздухом.
Область сердца не изменена, патологическая пульсация не определяется. Перкуторно границы сердца в пределах нормы. Тоны сердца приглушены, ритмичные, шумы не выслушиваются. Пульс – 82 в минуту, удовлетворительного наполнения, ритмичный. Артериальное давление – 140/80 мм рт. ст. Живот симметричный, при пальпации мягкий, безболезненный. Печень выступает из-под реберного края на 1 см, край печени при пальпации мягкий, безболезненный. Стул и диурез без особенностей.
На ЭКГ: синусовый ритм, правильный с частотой сердечных сокращений 90 в минуту, РQ – 0,16 c, QRS – 0 c, QT – 0,36 c, регресс R V1–6, высокий зубец Т V2–3; qrS I, QSaVL, QrV5–6; подъем ST в I,aVL,V3–V6; депрессия STIII, aVF. Заключение: признаки ОИМ передневерхушечной и боковой стенки левого желудочка (ЛЖ). ЭКГ представлена на рис. 1.
Рис. 1. ЭКГ больного М. от 13.10.2018 при поступлении в ОРИТ.
Лабораторные методы исследования
Экстренно выполненные биомаркеры крови показали повышение их концентрации: тропонин – 1,0 (норма – 0,1 нг/мл); креатинфосфокиназа (КФК) – 486 ед/л, МВ-КФК – 43,6 ед/л, аланинаминотрансфераза – 37 ед/л, аспартатаминотрансфераза – 67 ед/л. Другие биохимические показатели: креатинин, мочевина, глюкоза, общий белок были в норме. Общий холестерин (ХС) – 4,9 ммоль/л, ХС липопротеинов низкой плотности – 2,9 ммоль/л, ХС липопротеинов высокой плотности – 1,1 ммоль/л, триглицериды – 2,28 ммоль/л. Высокочувствительный С-реактивный белок (СРБ) – 26 мг/л (норма 0–5,0).
Анализ крови клинический: лейкоциты – 10,03 тыс., эритроциты – 5,61 млн, гемоглобин – 167 г/л, HCT – 47,7, тромбоциты – 253 тыс., MCV – 85.
Коагулограмма от 16.10.2015: активированное частичное тромбопластиновое время – 25,1 с; протромбиновое время – 13,0 с; международное нормализованное отношение – 0,99; ФАК>20 мин. Значительное снижение фибринолиза.
Na – 145 ммоль/л, K – 3,5 ммоль/л, Ca – 1,2 ммоль/л.
ЭхоКГ 14.10.2018, заключение: показатели внутрисердечной гемодинамики в пределах нормы. УЗ-признаки умеренного атеросклеротического изменения аорты, аортального и митрального клапанов.
Умеренная гипертрофия миокарда ЛЖ (индекс массы миокарда ЛЖ – 129 г/м2).
Незначительная митральная, трикуспидальная недостаточность.
Нарушения локальной сократимости миокарда: акинезия верхушечных, переднего и бокового сегментов ЛЖ.
Глобальная систолическая функция ЛЖ в пределах нормы фракция выброса (ФВ) – 52% (Симпсон).
Диастолическая дисфункция ЛЖ по 1-му типу (Е/A – 0,87).
Незначительное количество жидкости в полости перикарда, расслоение листков перикарда до 0,3 см.
На основании жалоб, анамнеза, клинической данных, лабораторных показателей (повышение уровня триглицеридов, КФК и МВ-КФК) и инструментальных методов исследования (ЭКГ, ЭхоКГ) диагностирован острый Q-ИМ с подъемом сегмента ST в переднебоковой стенке ЛЖ от 13.10.2018.
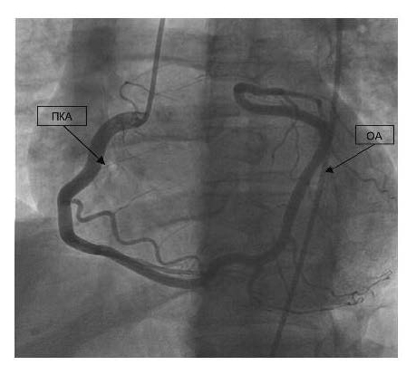
По экстренным показаниям выполнена коронароангиография. Заключение: аномалия развития КА. Единственная КА отходит от правого коронарного синуса. Правая КА (ПКА) формирует переднюю межжелудочковую артерию (ПМЖА), огибающую артерию (ОА). ПМЖА с ровными контурами заполнения, на границе среднего и дистального сегментов окклюзирована. Постокклюзионное русло удовлетворительно заполняется по внутрисистемным коллатералям. ОА и ее ветви с ровными контурами наполнения, без стенозов. ПКА отдает конусную ветвь, ветвь к правому желудочку, ветвь острого края, заднее – боковые ветви (ЗБВ 1 и ЗБВ 2 ПКА) и заднюю межжелудочковую ветвь ПКА, ПКА и ее ветви с ровными контурами наполнения, без стенозов. Заключение: аномальное развитие КА – единственная КА. Окклюзия ПМЖА на границе среднего и дистального сегментов.
Результаты коронарографии представлены на рис. 2.
Рис. 2. Коронарография больного М. от 13.10.2018.
От ангиопластики и стентирования на настоящий момент решено воздержаться, учитывая окклюзию дистального сегмента и удовлетворительное наполнение по внутрисистемным коллатералям у больного с единственной КА. Выбрана консервативная тактика лечения и динамическое наблюдение.
Больному проводилось лечение: Клексан 80 мг подкожно 2 раза в сутки, тикагрелор 180 мг при поступлении, далее по 90 мг 2 раза в сутки, АСК 100 мг вечером, метопролол 25 мг 2 раза в сутки, лизиноприл 10 мг/сут, аторвастатин 40 мг – после ужина.
За время наблюдения в ОРИТ болевой синдром изменился по характеру: через 2 сут появилась ноющая боль в области левой нижней стернальной границы и границы сердца, усиливающаяся при положении лежа, при форсированном выдохе, с иррадиацией в левую трапециевидную мышцу, облегчение наступало при положении полусидя и наклоне вперед. В этой же локализации выслушивался шум трения перикарда. На снятой ЭКГ и ЭхоКГ существенных изменений не было. С учетом анамнеза заболевания, настоящей клинической, лабораторной и инструментальной картины сделан вывод об осложненном течении ИМ с развитием раннего перикардита При этом отменен Клексан, к терапии (согласно рекомендациям Европейского общества кардиологов – ESC – по диагностике и ведению пациентов с заболеваниями перикарда, 2015) добавлена АСК 500 мг 3 раза в сутки. Именно АСК является основным средством патогенетической противовоспалительной терапии раннего перикардита при ИМ (класс рекомендаций IIа, уровень доказательности В) [8]. На фоне терапии АСК пациент отметил значительное уменьшение интенсивности болевого синдрома с дальнейшим полным регрессом через 2 сут. После стабилизации состояния 15 октября (на 3-и сутки ОИМ) больной переведен для долечивания в кардиологическое инфарктное отделение.
В инфарктном отделении продолжена терапия статинами, АСК, ингибиторами ангиотензинпревращающего фермента, тикагрелором, метопрололом, диуретиками, пантопразолом. На фоне лечения состояние удовлетворительное. Явления перикардита купировались. Отмечалась положительная динамика на ЭКГ в виде регресса подъема STI, avL,V3–6, QrV5–6, ТV5–6 – отриц. Показатели ЭхоКГ оставались прежними. ФВ ЛЖ – 48%. Проводилась физическая реабилитация.
При динамическом, контрольном исследовании: лабораторные показатели нормализовались.
Рентгенография органов грудной клетки: легочные поля прозрачные, очаговые образования и инфильтративные процессы в легких не определяются. Корни легких структурны. Границы сердца в пределах нормы.
Эзофагогастродуоденоскопия от 22.10.2018, заключение: рубцующаяся язва желудка. Хронический гастрит (Helicobacter pylori +1). Недостаточность кардии.
Ультразвуковое исследование органов брюшной полости, почек. Заключение: эхопризнаки гепатомегалии, изменений паренхимы печени по типу жирового гепатоза, диффузные изменения паренхимы поджелудочной железы.
Цветовое дуплексное сканирование брахиоцефальных сосудов от 23.10.2018. Заключение: признаков атеросклеротических изменений не выявлено, определяются эхопризнаки утолщения комплекса интима–медиа до 1,0 мм в области общей сонной артерии с двух сторон.
Таким образом, на основании анамнеза, результатов клинико-лабораторных и инструментальных методов исследования больному поставлен клинический диагноз.
Основной. Ишемическая болезнь сердца (ИБС): острый Q-образующий ИМ передневерхушечно-боковой стенки ЛЖ от 13.10.2018. Аномалия развития КА – единственная ПКА (врожденная атрезия ствола левой КА).
Осложнения: хроническая сердечная недостаточность I стадии, сохранная ФВ ЛЖ (52%), функциональный класс I. Эпистенокардитический перикардит.
Сопутствующий: язвенная болезнь желудка в стадии рубцевания. Хронический гастрит (H. pylori +1). Недостаточность кардии. Жировой гепатоз.
Больной выписан в удовлетворительном состоянии для дальнейшей реабилитации в санаторий кардиологического типа с рекомендацией продолжить проводимую терапию.
Таким образом, у данного пациента врожденная аномалия КА протекала бессимптомно до достижения 40-летнего возраста и проявилась развитием ОИМ. Остается не до конца ясным генез лихорадки на догоспитальном этапе. В последние годы в литературе обсуждается вопрос о значимости роли различных инфекционных агентов в развитии атеросклероза и его осложнений. К ним относятся и вирусы, в частности вирусы герпеса человека (ВГЧ) – древние и широко распространенные в человеческой популяции. Встречаемость этого патогена у больных с ИБС по данным E. Pesones (2007 г.) варьирует от 5 до 100%.
В отечественных работах показано, что из всех 8 типов ВГЧ только цитомегаловирусная (ЦМВ) инфекция (ВГЧ 5-го типа) выявлялась достоверно чаще в большей концентрации количества копий вирусного генома, определяемого методом полимеразной цепной реакции (ПЦР) у больных с ИБС, ОКС по сравнению со здоровыми лицами. Также установлена прямая корреляционная связь репликации ЦМВ с повышением уровня высокочувствительного СРБ у больных с ОКС [9, 10]. Проведение исследования на герпетическую инфекцию в учреждении не представлялось возможным. Пациенту предложено провести ПЦР-диагностику в амбулаторных условиях.
Таким образом, в генезе развития заболевания у данного больного можно предположить активацию ЦМВ-инфекции, сопровождающейся повышением температуры тела до 39°С без катаральных явлений, значимого увеличения СРБ более чем в 5 раз, которая, возможно, привела к развитию ОИМ на фоне врожденной аномалии развития КА.
About the authors
Anna G. Evdokimova
Yevdokimov Moscow State University of Medicine and Dentistry
Author for correspondence.
Email: aevdokimova@rambler.ru
ORCID iD: 0000-0003-3310-0959
D. Sci. (Med.), Prof., Yevdokimov Moscow State University of Medicine and Dentistry
Russian Federation, MoscowVladimir V. Popov
Yevdokimov Moscow State University of Medicine and Dentistry
Email: aevdokimova@rambler.ru
Cand. Sci. (Med.), Yevdokimov Moscow State University of Medicine and Dentistry
Russian Federation, MoscowOlga A. Shuiskaya
Yevdokimov Moscow State University of Medicine and Dentistry
Email: aevdokimova@rambler.ru
Officer, Yevdokimov Moscow State University of Medicine and Dentistry
Russian Federation, MoscowIrina S. Mikhailova
Yevdokimov Moscow State University of Medicine and Dentistry
Email: aevdokimova@rambler.ru
Cand. Sci. (Med.), Yevdokimov Moscow State University of Medicine and Dentistry
Russian Federation, MoscowReferences
- Бокерия Л.А., Беришвили И.И. Хирургическая анатомия венечных артерий. М.: Изд-во НЦССХ им. А.Н.Бакулева, 2003. [Bokeria L.A. Berishvili I.I. Surgical anatomy of coronary arteries. Moscow: Izd-vo NTsSSKh im. A.N.Bakuleva, 2003 (in Russian).]
- Целуйко В.И., Мищук Н.Е., Киношенко К.Ю. Аномалии строения коронарных артерий. Харьковская академия последипломного образования. 2012. [Tseluyko V.I., Mishchuk N.E., Kinoshenko K.Yu. Anomalies in the structure of coronary arteries. Kharkov Academy of Postgraduate Education. 2012 (in Russian).]
- http://meduniver.com/Medical/cardiologia/78.html
- Мазур Н.А. Практическая кардиология. М.: Медпрактика, 2007; с. 90–5, 149. [Mazur N.A. Practical Cardiology. Moscow: Medical practice, 2007; p. 90–5, 149 (in Russian).]
- Maron BJ, Shirani J, Poliac LC et al. Sudden death in young сompetitive athletes: clinical, demographic and pathological profiles. JAMA 1996; 276: 199–204.
- Angelini P, Villason S, Chan AV, Diez JG. Normal and anomalous coronary arteries in humans. In Angelini P. ed. Coronary artery anomalies: a comprehensive approach. Philadelphia: Lippincott Williams & Wilkins, 1999; p. 27–150.
- Angelini P. Coronary artery anomalies: an entity in search of an identity. Circulation 2007; 115: 1296–305.
- Guidelines for the Diagnosis and management of Pericardial diseases. ESC, 2015. Eur Heart J 2015; 36 (44): 2921–64. doi: 10.1093/eurheart/ ehv319
- Никитская Е.А., Марюхнич Е.В., Саввинова П.П. и др. Вирусы герпеса человека и атеросклероз. Cовременный взгляд. Креативная хирургия. 2015; 2: 54–61. [Nikitskaya E.A., Maryukhnich E.V., Savvinova P.P. et al. Human herpes viruses and atherosclerosis. Modern look. Creative Surgery. 2015; 2: 54–61 (in Russian).]
- Никитская Е.А. Роль герпетической инфекции в патогенезе и клиническом течении острого коронарного синдрома. Автореф. дис. … канд. мед. наук. 2016. [Nikitskaya E.A. The role of herpetic infection in the pathogenesis and clinical course of acute coronary syndrome. Avtoref. dis. … kand. med. nauk. 2016 (in Russian).]





