Diagnostics of the morphological and functional state of temporomandibular joint in children with distal occlusion
- Authors: Andriyanov D.A.1,2
-
Affiliations:
- Samara State Medical University
- Postnikov’s Multidisciplinary Clinic
- Issue: Vol 21, No 5-6 (2021)
- Pages: 205-214
- Section: Clinical Medicine
- Published: 15.05.2021
- URL: https://aspvestnik.ru/2410-3764/article/view/105882
- DOI: https://doi.org/10.55531/2072-2354.2021.21.3.205-214
- ID: 105882
Cite item
Full Text
Abstract
Nowadays it is important to improve the techniques to diagnose malocclusion class II which is very common in children. 24 patients with various maxillofacial anomalies were examined. The developed diagnostic tactics in children with various maxillofacial anomalies involves a set of sequential studies: teleroentgenography, cone-beam computed tomography, ultrasound, kinesiography and electromyography. The obtained results allow assessing the morphological and functional state of the temporomandibular joint in children with distal malocclusion.
Full Text
Обоснование
По различным оценкам, распространенность зубочелюстно-лицевых аномалий составляет до 95 %. Значительную долю занимают сагиттальные аномалии окклюзии (31–56 %), на первом месте среди которых находится дистальная окклюзия [3, 7]. По данным различных авторов, заболевания височно-нижнечелюстного сустава (ВНЧС) встречаются у 25–65 % населения, причем в подростковой и юношеской группах данный показатель колеблется в пределах 16–30 % [5]. Известны различные способы визуализаций элементов ВНЧС с помощью метода магнитно-резонансной томографии (МРТ), компьютерной томографии (КТ), рентгенографии, однако они позволяют оценить только анатомическое строение, без учета функционального состояния [1, 4, 6, 9]. Существует способ ультразвукового исследования (УЗИ), который позволяет оценить функциональное состояние, однако не дает четкой визуализации костных структур. Методом УЗИ можно выявить признаки воспалительных, дегенеративных, деструктивных и травматических изменений костно-хрящевых структур и связок сустава [2, 8]. Поэтому актуальным остается разработка модифицированного подхода в диагностике морфофункционального состояния ВНЧС у детей с дистальной окклюзией, как наиболее часто встречающейся аномалии прикуса.
Цель — усовершенствовать диагностику нарушений морфофункционального состояния ВНЧС у детей с дистальной окклюзией.
Материалы и методы
Проведено обследование 24 пациентов с различными зубочелюстно-лицевыми аномалиями. Из них были определены дети, мальчики и девочки, с дистальной окклюзией в возрасте 12–15 и 15–18 лет с морфофункциональными нарушениями ВНЧС, которым проводили диагностическое обследование нарушений зубочелюстной системы по модифицированному диагностическому протоколу. Разработанная тактика диагностики состояния жевательного аппарата у детей с различными зубочелюстно-лицевыми аномалиями предполагает комплекс последовательно проводимых обследований: телерентгенографии (ТРГ), конусно-лучевой компьютерной томографии (КЛКТ), УЗИ, кинезиографии и электромиографии.
ТРГ проводили с целью изучения индивидуальных параметров лицевого скелета пациента в программе Dolphin Imaging (США), модуль Ceph Tracing, для выявления зубочелюстно-лицевых аномалий, к которым относится дистальная окклюзия.
КЛКТ позволила исследовать состояние компактного и губчатого костного вещества, а также обнаружить нарушения формы, размера и соотношения костных элементов ВНЧС.
УЗИ определило состояние и дислокацию суставного диска, состояние хрящевой ткани, наличие выпота в суставной щели ВНЧС, и ее размер в различных отделах.
Кинезиография и электромиография позволили определить функциональное состояние ВНЧС и мышц челюстно-лицевой области.
Результаты исследования
Результаты, полученные после проведенных в определенной последовательности диагностических процедур, позволили оценить морфофункциональное состояние ВНЧС.
- ТРГ с изучением индивидуальных параметров лицевого скелета пациента в программе Dolphin Imaging (США). Данный метод рентгенографии позволяет выявить наличие зубочелюстно-лицевой аномалии. Для анализа положения зубов и челюстей применяли следующие параметры: углы SNA, SNB, ANB, FMA, U1-SN, L1-MP (IMPA), U1-L1 (межрезцовый угол), U1-NA, L1-NB, U1-PalatalPlane; измеряли, мм: L1 protrusion, U6-PT, L1-MP, U6-PP, L6-MP, overbite, overjet, Wits-число, длину верхней и нижней челюстей. Для анализа высот и длин лица измеряли углы SN-Ar, нижний гониальный (Na-Go-Me), гониальный (Ar-Go-Me), переднюю общую морфологическую высоту лица (Na-Me), переднюю верхнюю высоту лица (N-ANS), переднюю нижнюю высоту лица (ANS-Me), соотношение передней верхней высоты лица к передней нижней, заднюю морфологическую высоту лица, соотношение задней морфологической высоты лица к передней морфологической, высоту ветви нижней челюсти (Ar-Go), наклон окклюзионной плоскости к переднему основанию черепа (SN). Для оценки положения структур и гармонии лица использовали угол наклона лицевой плоскости к переднему основанию черепа (SN-NPog), FacialAxis-Ricketts (NaBa-PtGn). При различных скелетных и зубоальвеолярных аномалиях прикуса возможно нарушение взаимоотношения элементов ВНЧС, поэтому наличие данных патологий может косвенно говорить об отклонениях в строении и функции сустава. Применение программы автоматического анализа ТРГ Dolphin Imaging (США) позволило повысить точность обработки цефалометрических снимков и постановки предварительного диагноза.
- КЛКТ ВНЧС. Данный метод диагностики позволяет провести мультипроекционное рентгенологическое исследование с последующей трехмерной реконструкцией объекта. На компьютерной томограмме отсутствуют суммационные эффекты (наложение объектов друг на друга), а отображаются только те анатомические структуры, которые располагаются в изучаемом слое. КЛКТ, в отличие от других видов томографии, позволяет точнее визуализировать мелкие костные структуры. При обнаружении методом ТРГ патологии зубочелюстной системы и подозрении на морфологические изменения в ВНЧС, КЛКТ позволяло оценить взаимоотношение костных элементов сустава, размер суставной щели ВНЧС в различных отделах, структуру кортикальной пластинки и губчатого вещества костей, а также уточнить диагноз. При выявлении перечисленных отклонений возможно изменение окружающих мягкотканных структур. Для исследования томограмм ВНЧС выбирали срез, соответствующий срединно-сагиттальной плоскости ВНЧС, которая совпадала с цефалометрическим ориентиром — латеральным краем глазницы и была параллельна срединно-сагиттальной плоскости черепа (Поляруш Н.Ф., Слесарев О.В., Поляруш М.В. Патент РФ № 2177722; 2002). Размер суставной щели в переднем, верхнем и заднем отделах измеряли по методике Н.А. Рабухиной. Анализ соотношения костных элементов проводили путем измерения углов α, β, γ в программе «Краниометрия» (Слесарев О.В., Постников М.А., Раупов Д.С., Байриков И.М. Программы для ЭВМ № 2017662860; 2017). В качестве краниометрических точек использовали центры томографического сечения костей черепа. Центр определяли по вписанной окружности в костном анатомическом образовании ВНЧС (суставном бугорке височной кости, головке нижней челюсти и слуховом проходе височной кости). После соединения краниометрических точек измеряли угловые величины (угол α характеризует положение суставного бугорка височной кости, угол β — положение наружного слухового прохода, угол γ — положение головки нижней челюсти). Применение угловых параметров, в отличие от линейных, позволяло избежать погрешностей и повысить точность измерений ввиду устранения проекционных искажений при данном способе анализа, а также определять положение костных элементов в пространстве и относительно друг друга.
- УЗИ ВНЧС на аппарате экспертного класса Philips HD 15, позволяющем получать четкое изображение структур маленького размера за счет применения датчиков с большей, по сравнению с аналогами, рабочей частотой, увеличивало разрешение получаемых изображений и глубину проникновения ультразвукового сигнала. Для визуализации области ВНЧС использовали линейный датчик L12-3 с апертурой 38 мм и рабочей частотой 12 МГц, для уточнения более мелких деталей применяли датчик L15-7io с апертурой 23 мм и рабочей частотой 15 МГц. Данный метод позволял изучить состояние мягких тканей сустава, к которым относятся покрывающий суставные поверхности гиалиновый хрящ, суставной диск, мышцы и связочный аппарат, а также визуализировать выпот в полости сустава. Оценивали функциональное состояние ВНЧС, а именно — характер и амплитуду движения головок нижней челюсти и суставного диска, их симметричность и скоординированность с обеих сторон, в некоторых случаях производилась видеозапись для сравнения в динамике.
- Кинезиография нижней челюсти — графическая запись движений нижней челюсти в трех плоскостях (сагиттальной, фронтальной, горизонтальной) при выполнении определенных проб. Данное обследование позволяло оценить траекторию движения нижней челюсти, ее амплитуду, скорость, отклонения при открывании и закрывании рта, при глотании, при смещении нижней челюсти вперед и в стороны.
- Электромиография собственных биоэлектрических потенциалов мышц головы и шеи. Оценивали функцию височных, жевательных, группы надподъязычных и грудино-ключично-сосцевидных мышц. Полученные результаты позволяли исключить патологию в мышечном комплексе и выявить нарушения окклюзии или дополнить диагноз с учетом функциональных нарушений.
После проведенных исследований ставили окончательный диагноз.
Клинический пример
Пациент П., 15 лет (рис. 1), обратился в клинику с жалобами на неправильное положение зубов, боль и щелчки в ВНЧС.
Рис. 1. Пациент П., 15 лет, первичный прием: а — фас; b — улыбка; c — профиль / Fig. 1. Patient P., 15 years old: a — front; b — smile; c — profile
Соотношение зубных рядов по II классу Энгля (дистальная окклюзия) (рис. 2).
Рис. 2. Смыкание зубов-антагонистов пациента П., 15 лет: а — справа; b — передних; с — слева. Зубные ряды верхней челюсти (d); нижней челюсти (e) / Fig. 2. Occlusion of antagonistic teeth of patient P., 15 years old: a — right; b — front; c — left. Dentition upper jaw (d); lower jaw (e)
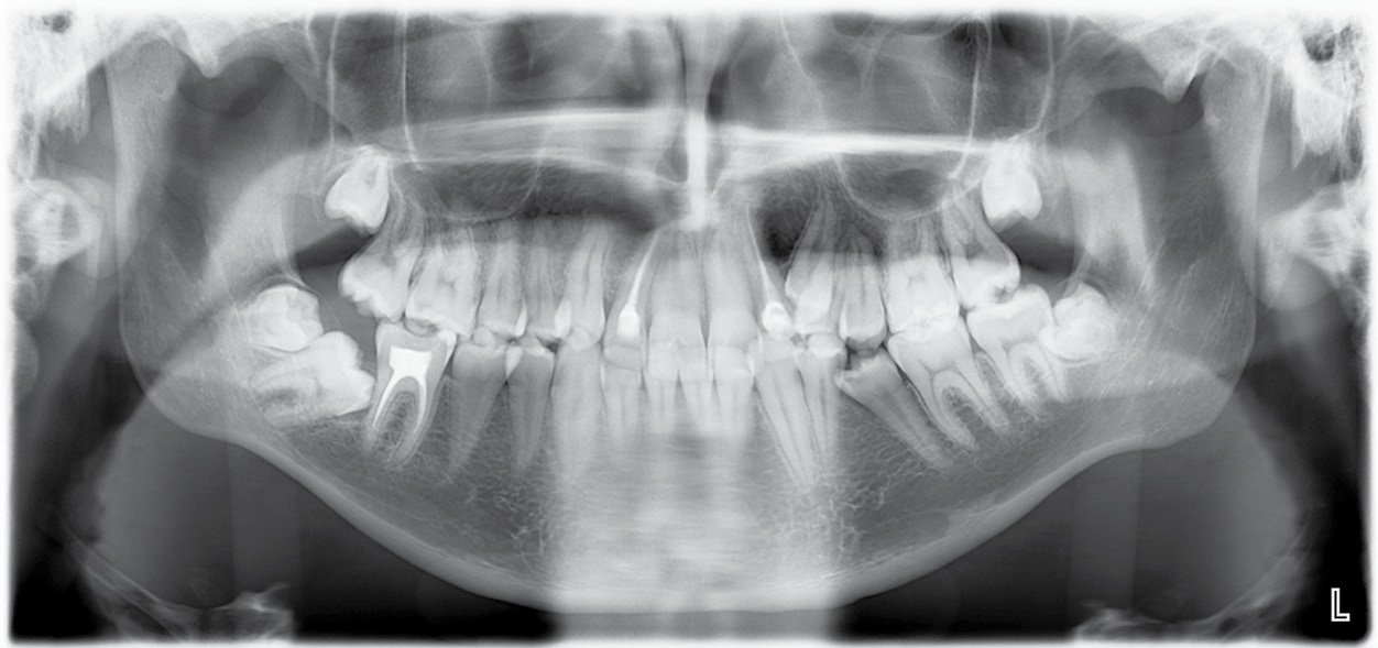
Результаты проведенного клинического обследования позволяют сделать вывод о наличии у пациента зубочелюстно-лицевой аномалии. На ортопантомограмме пациента выявлено наличие 32 постоянных зубов, зубы 1.8, 2.8, 3.8, 4.7, 4.8 находятся в ретенции (рис. 3). Для уточнения проведена ТРГ головы пациента в боковой проекции. Анализ ТРГ в боковой проекции в программе Dolphin Imaging (рис. 4) позволил поставить предварительный диагноз — дистальная окклюзия, гнатическая форма.
Рис. 3. Ортопантомограмма пациента П., 15 лет / Fig. 3. Panoramic image of patient P., 15 years old
Рис. 4. Расшифровка телерентгенограмы в боковой проекции в программе Dolphin Imaging (США) пациента П., 15 лет / Fig. 4. Analysis of cephalometric image using Dolphin Imaging software (USA), patient P., 15 years old
При данной аномалии прикуса возможны нарушения взаимоотношения костных элементов ВНЧС, такие как дистальное (заднее) смещение головок нижней челюсти и сужение заднего отдела суставной щели. В связи с этим была проведена КЛКТ ВНЧС (рис. 5).
Рис. 5. Конусно-лучевая компьютерная томограмма височно-нижнечелюстного сустава пациента П., 15 лет: a — при закрытом рте справа: b — при закрытом рте слева; c — при открытом рте справа; d — при открытом рте слева / Fig. 5. Cone-beam computed tomogram of the temporomandibular joint of patient P., 15 years old: a — with the closed mouth on the right; b — with the closed mouth on the left; c — with the open mouth on the right; d — with the open mouth on the left
Результаты измерения размера суставной щели ВНЧС по методике Н.А. Рабухиной (рис. 6) представлены в табл. 1.
Рис. 6. Анализ томограмм височно-нижнечелюстного сустава по Н.А. Рабухиной пациента П., 15 лет: a — при закрытом рте справа; b — при закрытом рте слева / Fig. 6. Analysis of the temporomandibular joint tomograms according to N.A. Rabukhina, patient P., 15 years old: a — with the closed mouth on the right; b — with the closed mouth on the left
Таблица 1. Результаты измерения суставной щели височно-нижнечелюстного сустава по методике Н.А. Рабухиной / Table 1. Measurement results: the size of temporomandibular joint space according to the method of N.A. Rabukhina
Параметр | Правый височно-нижнечелюстной сустав | Левый височно-нижнечелюстной сустав |
Ширина переднего отдела суставной щели, мм | 3,20 | 3,67 |
Ширина среднего отдела суставной щели, мм | 2,47 | 2,20 |
Ширина заднего отдела суставной щели, мм | 2,42 | 2,51 |
По данным КЛКТ в заднем отделе обнаружено сужение суставной щели справа и слева. В положении привычной окклюзии головки нижней челюсти смещены дистально. При открытом рте суставные головки располагаются на вершине суставных бугорков, что соответствует норме. Анализ угловых параметров, проведенный в программе «Краниометрия», показал отклонения в соотношении костных элементов ВНЧС. Для правого ВНЧС угол α — 8,2°, угол β — 7,688°, угол γ — 164,11°; для левого — 4,399°, 4,127°, 171,47° соответственно. Также была выявлена асимметрия в расположении суставных элементов между правым и левым ВНЧС (рис. 7).
Рис. 7. Анализ угловых параметров, показывающих соотношение костных элементов височно-нижнечелюстного сустава, выполненный в программе «Краниометрия», пациента П., 15 лет: а — при закрытом рте справа; b — при закрытом рте слева / Fig. 7. Analysis of the angular parameters showing the ratio of bone elements of the temporomandibular joint, performed in the “Craniometry” program, patient P., 15 years old: a — with the closed mouth on the right; b — with the closed mouth on the left
После проведенного исследования был поставлен уточненный диагноз: дистальная окклюзия, гнатическая форма, сужение заднего отдела суставной щели ВНЧС, дистальное смещение головок нижней челюсти.
Полученные данные КЛКТ позволяют говорить о возможном изменении состояния окружающих сустав мягкотканных структур, нарушении дислокации суставного диска ВНЧС и нарушении функционирования ВНЧС. Для дальнейшего уточнения поставленного диагноза было проведено УЗИ ВНЧС (рис. 8).
Рис. 8. Ультразвуковое исследование височно-нижнечелюстного сустава пациента П., 15 лет: a — справа; b — слева / Fig. 8. Ultrasound of the temporomandibular joint, patient P., 15 years old: a — on the right; b — on the left
По полученным результатам с обеих сторон определяется: неровность контуров головок нижней челюсти с участками повышенной и пониженной эхогенности, что говорит об изменении гиалинового хряща суставной поверхности; значительное уменьшение капсульно-шеечного пространства, когда капсула сустава имеет неровный, нечеткий контур, уплощенную форму; амплитуды движения нижней челюсти в пределах нормы; латеральные крыловидные мышцы не изменены. При открывании рта наблюдается проскакивание головки на свое привычное положение через задний полюс суставного диска, при этом возникает щелчок, в конце закрывания рта суставная головка перемещается кзади от диска, пока не наступит смыкание зубных рядов, при этом диск со вторым щелчком оттесняется головкой кпереди.
Уточненный диагноз: дистальная окклюзия, гнатическая форма, сужение заднего отдела суставной щели ВНЧС, дистальное смещение головок нижней челюсти, вентральная дислокация суставного диска.
Полученные результаты исследований показали, что у пациента имеются нарушение функции ВНЧС, наличие и характер которого можно определить при проведении кинезиографии. Выявлены неоднородное движение нижней челюсти при открывании-закрывании рта; дефлексия нижней челюсти при максимальном открывании рта вправо на 5,97 мм; амплитуда движений в норме; скорость опускания (210 мм/с) и скорость поднимания нижней челюсти увеличены (314 мм/с) (норма опускания — 171–197 мм/с, поднимания — 264–295 мм/с); значение диагонали уменьшено (43,7 мм) и значение рабочего угла выше нормы (41,21°) (норма диагонали — 50,77–51 мм, рабочего угла — 38,86–40°). Несовпадение графиков «Миоцентрика» и «Глотание», функция глотания нарушена. Амплитуда движения графика «Миоцентрика» в пределах нормы (1,5 мм), график смещается во фронтальной плоскости влево. При проведении проб «Протрузия» и «Движение нижней челюсти вправо-влево» обнаружена нестабильность контактов. Амплитуда движений графика «Протрузия» уменьшена, во фронтальной плоскости при максимальном выдвижении нижней челюсти вперед график смещается влево, ниже нормы в сагиттальной плоскости. При проведении пробы «Движение нижней челюсти вправо-влево» при смещении нижней челюсти вправо во фронтальной проекции амплитуда графика выше нормы, при смещении влево — ниже нормы во фронтальной плоскости. Результаты исследования указывают на функциональные изменения правого ВНЧС и позволяют предположить изменения в работе мышц челюстно-лицевой области.
Уточненный диагноз: дистальная окклюзия, гнатическая форма, сужение заднего отдела суставной щели ВНЧС, дистальное смещение головок нижней челюсти, вентральная дислокация суставного диска, функциональные изменения правого ВНЧС.
Поскольку по данным кинезиографии выявлены изменения движения нижней челюсти мышечного генеза, необходимо проведение электромиографии для выявления нарушения в работе мышц челюстно-лицевой области, так как данный фактор является важным звеном в патогенезе дисфункции ВНЧС. Результаты исследования представлены в табл. 2.
Таблица 2. Результаты электромиографии мышц челюстно-лицевой области пациента П., 15 лет / Table 2. Results of elecromyography of the maxillofacial region, patient P., 15 years old
Проба | Мышца | Средняя амплитуда, мкВ | |
правая сторона | левая сторона | ||
Состояние относительного физиологического покоя | m. temporalis | 5 | 4 |
m. masseter | 3 | 3 | |
mm. suprahyoidei | 3 | 4 | |
m. sternocleidomastoideus | 7 | 9 | |
Первичный контакт зубов-антагонистов верхней и нижней челюстей | m. temporalis | 12 | 12 |
m. masseter | 3 | 4 | |
mm. suprahyoidei | 3 | 4 | |
m. sternocleidomastoideus | 7 | 9 | |
Состояние относительного физиологического покоя стоя | m. temporalis | 5 | 6 |
m. masseter | 4 | 3 | |
mm. suprahyoidei | 5 | 5 | |
m. sternocleidomastoideus | 7 | 10 | |
Повторные окклюзионные контакты | m. temporalis | 24 | 31 |
m. masseter | 9 | 42 | |
mm. suprahyoidei | 5 | 5 | |
m. sternocleidomastoideus | 7 | 9 | |
Глотание | m. temporalis | 33 | 18 |
m. masseter | 8 | 14 | |
mm. suprahyoidei | 59 | 49 | |
m. sternocleidomastoideus | 10 | 10 | |
Максимальное сжатие челюстей | m. temporalis | 85 | 78 |
m. masseter | 23 | 60 | |
mm.suprahyoidei | 6 | 6 | |
m. sternocleidomastoideus | 7 | 9 | |
Функциональная проба при нагрузке | m. temporalis | 116 | 107 |
m. masseter | 138 | 150 | |
mm. suprahyoidei | 21 | 19 | |
m. sternocleidomastoideus | 9 | 10 | |
В пробах «Состояние относительного физиологического покоя», «Первичный контакт зубов-антагонистов верхней и нижней челюстей», «Состояние относительного физиологического покоя стоя» наблюдается гипертонус правой и левой m. temporalis, правой и левой m. sternocleidomastoideus. При глотательной пробе испытывают нагрузку правые и левые m. temporalis, m. masseter, mm. suprahyoidei, m. sternocleidomastoideus (нарушение функции глотания). При проведении пробы «Повторные окклюзионные контакты» биопотенциалы m. masseter, m. temporalis левой стороны выше, чем правой. Во время пробы «Максимальное сжатие челюстей» наблюдается асимметричная работа мышц: биопотенциалы m. temporalis правой стороны выше, чем левой, левая m. masseter нагружена больше, чем правая, но мышцы недогружены, вовлечены mm. suprahyoidei и m. sternocleidomastoideus. В пробе «Функциональная проба при нагрузке (с валиками)» увеличивается нагрузка m. temporalis, m. masseter справа и слева.
Окончательный диагноз: дистальная окклюзия, гнатическая форма, сужение заднего отдела суставной щели ВНЧС, дистальное смещение головок нижней челюсти, вентральная дислокация суставного диска, функциональные изменения правого ВНЧС, асимметрия и дискоординация в работе жевательных мышц, гипертонус правой и левой m. temporalis.
Заключение
Модифицированный подход в проведении последовательного диагностического обследования детей с дистальной окклюзией путем оценки морфофункционального состояния ВНЧС с применением методов телерентгенографии, конусно-лучевой компьютерной томографии, кинезиографии, электромиографии и ультразвукового исследования позволяет оценить состояние мягкотканных элементов и костных структур ВНЧС и граничащих областей, а также определить размер суставной щели ВНЧС и соотношение костных элементов сустава.
Конфликт интересов. Авторы заявляют об отсутствии конфликта интересов.
Информированное согласие на публикацию. Авторы получили письменное согласие законных представителей пациента на публикацию медицинских данных и фотографий.
About the authors
Dmitry A. Andriyanov
Samara State Medical University; Postnikov’s Multidisciplinary Clinic
Author for correspondence.
Email: d.andriyanov1994@yandex.ru
Postgraduate student, Department of Therapeutic Dentistry, Orthodontist
Russian Federation, Samara; SamaraReferences
- Vasil’ev AYu. Luchevaya diagnostika v stomatologii: natsional’noe rukovodstvo. Ed. by A.Yu. Vasil’ev. Moscow, 2010. (In Russ.)
- Kostina IN, Kochmasheva VV. Ultrasound diagnostics of the temporomandibular joint osteoarthrosis. Actual problems in dentistry. 2016;12(2):86–94. (In Russ.). doi: 10.18481/2077-7566-2016-12-2-86-94
- Postnikov MA, Slesarev OV, Andriyanov DA, Osadchaya EI. Cone-beam computed tomography and ultrasound imaging in a comprehensive assessment of the anatomical and functional state of the temporomandibular joint. Sovremennye problemy nauki i obrazovaniya. 2019;5:86. (In Russ.)
- Postnikov MA, Trunin DA, Pankratova NV, Slesarev OV. Kliniko-rentgenologicheskie metody diagnostiki v stomatologii: uchebnoe posobie. Samara; 2021. (In Russ.)
- Proffit WR. Sovremennaya ortodontiya: per. s angl. Ed. by L.S. Persin. Moscow; 2006. (In Russ.)
- Semkin VA, Rabukhina NA, Volkov SI. Patologiya visochno-nizhnechelyustnykh sustavov. Moscow; 2011. (In Russ.)
- Fadeev RA, Kuzakov AV. Klinicheskaya tsefalometriya: uchebnoe posobie po diagnostike v ortodontii. Ed. by R.A. Fadeev. Saint Petersburg; 2009. (In Russ.)
- Fanakin VA, Dubrovina ME, Filimonova OI. Experience of ultrasound diagnosis of functional violations of the temporomandibular joint in children. Ural’skij medicinskij zhurnal. 2010;(8):49–51. (In Russ.)
- Postnikov MA, Slesarev OV, Trunin DA, et al. Automated analysis of x-ray images of the temporomandibular joint in patients with orthognathic bite and physiological occlusion. Journal of radiology and nuclear medicine. 2019;100(1):6–14. (In Russ.). doi: 10.20862/0042-4676-2019-100-1-6-14
Supplementary files











