Опыт проведения профессиональной гигиены полости рта на основе протокола GBT у пациентов с гемофилией
- Авторы: Постников М.А.1, Дудина С.Е.1, Тиунова Н.В.2, Шухорова Ю.А.1, Федосейкина И.В.1
-
Учреждения:
- Федеральное государственное бюджетное образовательное учреждение высшего образования «Самарский государственный медицинский университет» Министерства здравоохранения Российской Федерации
- Федеральное государственное бюджетное образовательное учреждение высшего образования «Приволжский исследовательский медицинский университет» Министерства здравоохранения Российской Федерации
- Выпуск: Том 21, № 1-2 (2021)
- Страницы: 21-25
- Раздел: 14.01.00 Клиническая медицина
- Статья опубликована: 15.01.2021
- URL: https://aspvestnik.ru/2410-3764/article/view/108822
- DOI: https://doi.org/10.55531/2072-2354.2021.21.1.21-25
- ID: 108822
Цитировать
Полный текст
Аннотация
- Проанализированы частота возникновения воспалительных заболеваний полости рта у пациентов с наследственной коагулопатией — гемофилией, а также отечественный и зарубежный опыт проведения профессиональной гигиены у лиц с данной патологией. Показано, что у пациентов с гемофилией для проведения профессиональной гигиены полости рта предпочтительным является использование протокола GBT.
Ключевые слова
Полный текст
Обоснование
Среди многообразия факторов риска развития воспалительных заболеваний пародонта, включающих несоблюдение гигиены полости рта, генетическую предрасположенность, психоэмоциональные перегрузки, вредные привычки, алиментарную неполноценность и гормональные сдвиги, значительную роль играют предрасполагающие заболевания внутренних органов и систем [7]. В 85 % случаев общесоматические заболевания и функциональные нарушения сопутствуют патологическим процессам в тканях пародонта и активизируют их [7]. Среди наследственных коагулопатий в стоматологической практике с наибольшей вероятностью можно встретить гемофилии А и В, а также дефицит фактора Виллебранда, составляющие 92–95 % общего числа. Редкие формы, в частности дефицит фактора XI, регистрируются в 2–4 % случаев, и крайне редкие формы имеют частоту встречаемости в сотые и тысячные доли процента [2, 4]. Распространенность воспалительных заболеваний пародонта у больных гемофилией коррелирует со степенью тяжести заболевания и составляет при легкой форме гемофилии (уровень антигемофилического фактора более 5 %) — 74 %, при среднетяжелой (уровень фактора 2–5 %) — 92 %, тяжелой (уровень фактора 0–2 %) — 100 % [3]. В структуре заболеваний пародонта у лиц с наследственными коагулопатиями доминируют различные формы гингивита — 90,4 %. Причем катаральная форма встречается в 86,4 % случаев, гипертрофическая — в 13,6 %. По данным Ю.А. Пленкиной (2015), признаки хронического генерализованного пародонтита выявляются у 10 % обследованных [6]. Гигиеническое состояние полости рта у пациентов с гемофилией коррелирует со степенью тяжести заболевания: если при легкой степени хороший и удовлетворительный индекс гигиены полости рта установлены у 36,8 % больных, то при тяжелой — количество пациентов с такими показателями в 5 раз меньше [4]. В Российской Федерации, исходя из данных Всемирной организации здравоохранения и вероятной частоты наследственных коагулопатий, количество пациентов с гемофилиями А и В составляет около 13–15 тыс. человек, с болезнью Виллебранда — около 1,5 млн [4]. В Самарской области на учете в центре гемофилии находится 222 пациента.
В отечественных и зарубежных источниках мы не нашли достаточно информации в рамках проблемы профессиональной гигиены пациентов с наследственными коагулопатиями. В основном отдельные сообщения касаются только особенностей экстракции зубов. Профессиональная гигиена проводится с разрешения врача-гематолога. Спецификой проведения профессиональной гигиены полости рта у таких пациентов является максимально щадящее отношение к мягким тканям, которое сложно реализовать при помощи снятия зубных отложений ручным способом с последующей полировкой циркулярной щеткой [5]. Согласно данным Н.Л. Давиденко (2005), кровоточивость десен по Kotschke первой степени регистрировалась у 39,2 %, второй — у 33,6 %, третьей — у 27,2 % пациентов с гемофилией. При этом у больных легкой формой гемофилии преобладала 1-я степень кровоточивости и отсутствовала 3-я степень; при средней тяжести заболевания частота 2-й степени кровоточивости возрастала в 5 раз; у отдельных пациентов наблюдалась 3-я степень; при тяжелой форме, в основном, превалировали 2-я и 3-я степени кровоточивости, причем последняя возросла более чем в 7 раз в сравнении с группой больных средней степени тяжести гемофилией А [4].
В свете приведенных данных актуальным становится поиск новых подходов и способов терапевтического воздействия для расширения арсенала лечебных средств, повышения эффективности лечения, предупреждения прогрессирования патологического процесса и перехода гингивита в пародонтит у пациентов с гемофилией. Отсутствие методологического подхода и недостаточная адаптация традиционных методов лечения воспалительных заболеваний пародонта к использованию у данного контингента больных обусловливают особую актуальность атравматичного, безболезненного, эффективного и экономичного по времени сочетанного применения современных ультразвуковых аппаратов для снятия зубных отложений и обработки по технологии Air Flow с использованием мелкодисперсного порошка «Plus» для над- и поддесневого применения.
Цель исследования — выявить особенности и оценить эффективность сочетанного применения современных ультразвуковых технологий для удаления зубных отложений и обработки поверхности зубов по технологии Air Flow с использованием мелкодисперсного порошка «Plus» у пациентов с гемофилией.
Материалы и методы
Обследовано 16 больных гемофилией средней степени тяжести в возрасте от 18 до 44 лет (средний возраст 32 ± 4,2 года). Все пациенты имели клинические проявления, характерные для хронического катарального гингивита. Больные гингивитом были разделены на две группы в зависимости от характера проводимой терапии. Первую группу (8 человек) составили пациенты, которые получали традиционное лечение. Оно включало общепринятый комплекс профессиональной гигиены полости рта: удаление назубных отложений ультразвуковым скейлером, шлифование и полирование поверхностей зубов циркулярной нейлоновой щеткой с абразивной пастой, применение местной противовоспалительной антибактериальной терапии (раствор хлоргексидина, ромазулан, настои шалфея, календулы, ромашки, гель «Метрогил Дента»), самомассаж десен, прием поливитаминов с комплексом микроэлементов.
Пациентам второй группы (8 человек) проводили профессиональную гигиену полости рта с использованием современного ультразвукового аппарата AIRFLOW Prophylaxis Master (EMS) и обработку поверхностей зубов по технологии Air Flow с использованием мелкодисперсного порошка «Plus». В отличие от стандартного протокола проведения профессиональной гигиены, данный протокол — GBT (Guided Biofilm Therapy) — предусматривает изменение порядка проведения процедур. Перед началом процедуры мы предварительно визуализируем мягкий зубной налет с помощью двухфазного красителя, используя специальные губки (рис. 1).
Рис. 1. Индикация двухфазным красителем назубных отложений у пациента с гемофилией
Fig. 1. Two-phase staining of teeth deposits in patients with haemophilia
Далее мы удаляем весь мягкий налет с поверхностей зубов с помощью направленной струи порошка Air Flow. Порошок Air Flow Plus, используемый для этой процедуры, обладает рядом неоспоримых преимуществ перед другими порошками. Он имеет минимальный размер гранул — 14 мкм, основная его составляющая — эритритол. Это высокотехнологичный порошок, который минимально инвазивным путем удаляет биопленку и слабоминерализованные зубные отложения со всех видов поверхностей: эмали, дентина, мягких тканей, композитных реставраций, ортопедических и ортодонтических конструкций или поверхностей дентальных имплантатов. Также он может использоваться для поддерживающей пародонтальной терапии, консервативного лечения мукозита и периимплантита, чистки языка и мягких тканей. Следующим этапом после использования Air Flow, согласно протоколу GBT, является точечное удаление зубного камня с использованием ультразвукового скейлера и инновационного аппарата Prophylaxis Master [1, 8–10].
У пациентов первой и второй групп проводили исходную оценку состояния уровня гигиены рта с помощью индекса гигиены по Green-Vermillion, а также осуществляли оценку по данному индексу через месяц после проведенной терапии.
Результаты и обсуждение
Известно, что болезни пародонта достаточно широко распространены у пациентов с гемофилией. По данным литературы, у 82 % лиц с указанным заболеванием развивается гингивит и пародонтит. В данной группе пациентов наблюдается превышение в 3 и более раз показателей пародонтальных индексов (PI) по Расселу, CPI, увеличение индекса Федорова – Володкиной в 2,5 раза, индекса Грин – Вермилиона и ИГР-У относительно показателей соматически здоровых лиц. При отсутствии адекватной гигиены происходит трансформация гингивита в пародонтит, наличие которого является фактором и повышает риск возникновения сахарного диабета в 2–11 раз, атеросклероза — в 2 раза, остеопороза — в 2–4 раза, инсульта — в 2 раза, хронических заболеваний бронхов — в 2–4 раза, что на фоне имеющейся коагулопатии утяжеляет состояние пациента и снижает эффективность проводимой терапии как основного заболевания, так и его осложнений [8].
В нашем исследовании у 100 % пациентов с гемофилией наблюдалось удовлетворительное состояние гигиены полости рта. Так, исходное значение уровня гигиены рта по индексу Green – Vermillion составило в первой группе 1,88 ± 0,19 балла, во второй группе — 1,61 ± 0,11 балла, что соответствует удовлетворительному уровню гигиены.
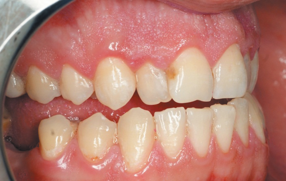
После проведенной гигиены в первой группе пациентов, даже при аккуратной и тщательной работе нейлоновыми щеточками, в 40 % случаев визуализировались остатки биопленки в местах скученности зубов, в труднодоступных участках, в 60 % случаев наблюдалось повреждение десны в пришеечной области. У всех пациентов второй группы после проведения профессиональной гигиены по протоколу GBT биопленка не визуализировалась, что подтверждает ее качественное удаление. Ключевым моментом для нас стало полное отсутствие повреждения маргинальной десны, сохранение ее целостности, что крайне важно у данной группы пациентов (рис. 2). Это связано с обработкой пришеечной зоны мелкодисперсным атравматичным порошком «Plus», который позволяет работать даже на мягких тканях, не повреждая их. Важной является возможность регулировки мощности подачи порошка в аппарате Prophylaxis Master: в придесневой области мы работали на значении мощности «2», по поверхности зуба использовали уровень мощности «6», «7» и более. Комфортной для пациентов является возможность подогрева струи воды до 40 °C при работе на аппарате Prophylaxis Master.
Рис. 2. Состояние тканей пародонта после профессиональной гигиены полости рта по протоколу GBT
Fig. 2. Periodontal tissue after the professional oral hygiene according to GBT protocol
При осмотре через месяц после проведенного лечения достоверно снизились показатели индекса гигиены рта в первой группе до 0,75 ± 0,07 балла (p < 0,001), во второй группе — до 0,67 ± 0,07 балла (p < 0,001), что соответствует хорошему уровню гигиены рта.
Выводы
Таким образом, полученные результаты позволяют сформулировать рекомендации по проведению профессиональной гигиены полости рта пациентам с гемофилией. Профессиональная гигиена проводится после разрешения ее применения врачом-гематологом при взаимодействии врача-стоматолога и гематолога. Оптимальным является использование протокола GBT, что позволяет минимизировать травму десны и изменить у пациентов динамический стереотип ухода за полостью рта, а также поддержать на длительное время апатогенную микробную среду.
Авторы заявляют об отсутствии конфликта интересов.
Об авторах
Михаил Александрович Постников
Федеральное государственное бюджетное образовательное учреждение высшего образования «Самарский государственный медицинский университет» Министерства здравоохранения Российской Федерации
Автор, ответственный за переписку.
Email: postnikovortho@yandex.ru
доктор медицинских наук, доцент, заведующий кафедрой и клиникой терапевтической стоматологии
Россия, СамараСветлана Евгеньевна Дудина
Федеральное государственное бюджетное образовательное учреждение высшего образования «Самарский государственный медицинский университет» Министерства здравоохранения Российской Федерации
Email: shvaykinaterstom@gmail.com
кандидат медицинских наук, доцент кафедры терапевтической стоматологии
Россия, СамараНаталья Викторовна Тиунова
Федеральное государственное бюджетное образовательное учреждение высшего образования «Приволжский исследовательский медицинский университет» Министерства здравоохранения Российской Федерации
Email: natali5_@list.ru
доктор медицинских наук, доцент кафедры пропедевтической стоматологии
Россия, Нижний НовгородЮлия Андреевна Шухорова
Федеральное государственное бюджетное образовательное учреждение высшего образования «Самарский государственный медицинский университет» Министерства здравоохранения Российской Федерации
Email: yu.a.shuhorova@samsmu.ru
кандидат медицинских наук, доцент кафедры терапевтической стоматологии
Россия, СамараИрина Валерьевна Федосейкина
Федеральное государственное бюджетное образовательное учреждение высшего образования «Самарский государственный медицинский университет» Министерства здравоохранения Российской Федерации
Email: Fedoceikina_2166@mail.ru
кандидат педагогических наук, доцент кафедры общей и молекулярной биологии
Россия, СамараСписок литературы
- Асеев Г.А. Guided biofilm therapy (GBT). Управление биопленкой и новый подход к профилактике кариеса // Стоматология детского возраста и профилактика. 2018. Т. 18, № 5(68). С. 61–63. doi: 10.25636/PMP.3.2018.5.11
- Давиденко Н.Л. Организация оказания стоматологической помощи больным наследственными коагулопатиями // Стоматология. 2008. № 1. С. 3–10.
- Давиденко Н.Л. Организация оказания стоматологической помощи больным коагулопатиями: автореф. дис. ... канд. мед. наук. М., 2005.
- Колесников С.А. Особенности поражения и лечения зубочелюстной системы у больных гемофилией: автореф. дис. ... канд. мед. наук. Барнаул, 2009.
- Николаев А.И., Цепов Л.М., Макеева И.М., Ведяева А.П. Профессиональная и индивидуальная гигиена полости рта у взрослых. М.: Медпресс-информ, 2018.
- Пленкина Ю.А. Особенности эстетической реставрации зубов фронтальной группы у пациентов с наследственными коагулопатиями: автореф. дис. ... канд. мед. наук. Пермь, 2015.
- Швайкина С.Е. Клинико-метаболические и электрофизиологические характеристики хронического генерализованного гингивита в обосновании оптимизации лечения: автореф. дис. ... канд. мед. наук. Самара, 2003.
- Bühler J., Schmidli F., Weiger R., Walter C., et al. Analysis of the effects of air polishing powders containing sodium bicarbonate and glycine on human teeth // Clin Oral Investig. 2015. Vol. 19, No. 4. P. 877–885. doi: 10.1007/s00784-014-1317-z
- Petersilka G., Mariano C.F., Jr., Stratmann U., et al. Effect of glycine powder air-polishing on the gingiva // J Clin Periodontol. 2008. Vol. 35, No. 4. P. 324–332. doi: 10.1111/j.1600-051X.2007.01195.x
- Sculean A., Bastendorf K.-D., Becker C., et al. A paradigm shift in mechanical biofilm management? Subgingival air polishing: a new way to improve mechanical biofilm management in the dental practice // Quintessence Int. 2013. Vol. 44, No. 7. P. 475–477. doi: 10.3290/j.qi.a29615





