Методы лучевой диагностики инфекционных поражений грудины и ребер
- Авторы: Медведчиков-Ардия М.А.1,2, Корымасов Е.А.1, Бенян А.С.1
-
Учреждения:
- ФГБОУ ВО «Самарский государственный медицинский университет» Минздрава России
- ГБУЗ «Самарская областная клиническая больница имени В.Д. Середавина»
- Выпуск: Том 7, № 3 (2022)
- Страницы: 212-216
- Раздел: Хирургия
- Статья опубликована: 04.09.2022
- URL: https://innoscience.ru/2500-1388/article/view/110767
- DOI: https://doi.org/10.35693/2500-1388-2022-7-3-212-216
- ID: 110767
Цитировать
Полный текст
Аннотация
Цель – провести оценку современных возможностей применения полипозиционной рентгенографии и компьютерной томографии в диагностике инфекционно-воспалительных процессов грудной стенки.
Материал и методы. В хирургическом торакальном отделении ГБУЗ «Самарская областная клиническая больница им. В. Д. Середавина» в период с 2012 по 2020 гг. находился на лечении 221 пациент с инфекционным процессом в области грудины и ребер. Всем пациентам выполнялась КТ органов грудной клетки в качестве первичного диагностического лучевого метода исследования.
Результаты. Обзорная рентгенография позволяет визуализировать и оценить количество металлических лигатур на грудине, их положение и взаимоотношение с ней. Предпочтение КТ обусловлено возможностью ее использования как в качестве скрининг-метода, так и в качестве метода уточняющей диагностики (верификации диагноза). Она позволяет визуализировать сопоставление створок грудины, состояние металлических лигатур, определить показания к резекции кости и удалению несостоятельных фиксирующих элементов.
Заключение. У каждого лучевого метода исследования грудной клетки есть свои показания и свое место в арсенале врача – торакального хирурга.
Полный текст
ВВЕДЕНИЕ
Современная лучевая диагностика гнойно-воспалительных поражений ребер и грудины, на первый взгляд, достаточно хорошо разработана. Она традиционно включает рентгенографию и рентгеноскопию в прямой и боковой проекциях, компьютерную томографию (КТ), фистулографию в сочетании с рентгеноскопией или КТ [1], а диагноз «остеомиелит грудины и ребер» подтверждается характерными рентгенологическими признаками: гиперостозом, деформацией кости, очагами деструкции кости, окруженными зоной склероза, секвестрами, остеопорозом [2].
Однако у каждого метода есть свои показания и пределы диагностической возможности. Исследование грудины с помощью КТ ведет отсчет с 80-х годов XX века, когда появились первые публикации о перспективах КТ при изучении патологии средостения и грудины [3]. В 1984 году были опубликованы результаты исследования Malcolm K. Hatfield и соавт., показывающие нормальные компьютерные анатомо-томографические параметры грудины и окружающих ее тканей [4]. Тем не менее у хирургов отсутствует представление о нормальных изменениях в области грудины и средостения, которые неизбежно сопровождают стернотомию. В 1999 году Catarina Y. Bitkover и соавт. опубликовали результаты исследования, в которых осветили рентгенологические признаки нормально заживающей грудины в послеоперационном периоде. Эти данные в последующем стали ориентиром для сравнения в случаях развития инфекционных осложнений в области грудины и средостения [5, 6].
При этом КТ дает хирургу не только более детальную картину состояния органов грудной полости и грудинно-реберного скелета. Именно оценка результатов КТ определяет возможность выполнения тех или иных оперативных вмешательств у конкретного пациента [7]. КТ с пространственной реконструкцией грудины и ребер создает возможность визуализации состояния костных структур и окружающих тканей, что влияет на хирургическую тактику лечения пациента, в частности, прогнозирование частоты расхождения швов после стернотомии [8].
Особая роль отводится выполнению фистулографии, которая представляет особую ценность у пациентов со свищевой формой остеомиелита грудины и ребер, а также у пациентов с V типом постстернотомного медиастинита (ПСМ) по Oakley – Wright при наличии свища в области послеоперационного рубца [9].
Важное значение КТ приобретает для проведения динамического контроля за состоянием анатомических структур в процессе лечения, в том числе и после реконструктивно-восстановительного лечения.
ЦЕЛЬ ИССЛЕДОВАНИЯ
Провести оценку диагностической точности различных методов лучевой диагностики при инфекционно-воспалительных процессах грудной стенки.
МАТЕРИАЛ И МЕТОДЫ
В хирургическом торакальном отделении ГБУЗ «Самарская областная клиническая больница им. В.Д. Середавина» в период с 2008 по 2020 гг. находился на лечении 221 пациент, оперированный по поводу инфекционного процесса в области грудины и ребер. С постстернотомным медиастинитом был 171 пациент, с остеомиелитом грудины и ребер различной этиологии – 50 человек.
Исследование носило ретроспективный характер.
Все пациенты в зависимости от объема первичного и последующего рентгенологического исследования были распределены на четыре группы.
В первую группу были отнесены 16 пациентов с постстернотомным медиастинитом, которым операция была выполнена после полипозиционной рентгенографии органов грудной клетки.
Во вторую группу вошли 33 пациента (23 человека с ПСМ, 10 человек с остеомиелитом ребер и грудины), которым на догоспитальном этапе была выполнена рентгенография органов грудной клетки, а затем в стационаре проведена компьютерная томография органов грудной полости.
В третью группу вошли 135 пациентов (106 человек с ПСМ, 29 человек с остеомиелитом ребер и грудины), оперативное лечение которым было проведено после выполнения компьютерной томографии органов грудной полости.
Четвертую группу составили 37 пациентов (26 человек с ПСМ, 11 человек с остеомиелитом ребер и грудины), которым решение об операции и ее объеме было принято после КТ-фистулографии.
У всех пациентов во время рентгенологических методов исследования оценивались: 1) состояние грудины и ребер, 2) состояние клетчатки средостения, 3) дополнительные патологические состояния (гидроторакс, гидроперикард). В дальнейшем данные, полученные при обследовании, сопоставляли с выявленными интраоперационными изменениями и на этом основании делали вывод о диагностической ценности метода.
В послеоперационном периоде проводилась рентгенография органов грудной клетки (ОГК) с целью оценки состояния легких и плевральных полостей в динамике у 106 (47,9%) пациентов всех групп. Контрольная КТ после реконструктивно-восстановительной операции на грудной клетке выполнялась в стационарных условиях на 14–21 день после операции у 98 (44,3%) пациентов всех групп. Оценивался непосредственный результат оперативного вмешательства. Через 6 месяцев после операции выполнялась КТ у 180 (81,4%) пациентов для оценки отдаленного результата оперативного вмешательства.
РЕЗУЛЬТАТЫ
Из 16 пациентов первой группы, которым выполнялась полипозиционная рентгенография ОГК, деструкция грудины была диагностирована у 3 (18,7%) человек. У этих 3 пациентов диагноз во время операции подтвердился. Из 13 пациентов без дооперационных данных об изменении грудины и ребер у 9 человек во время операции обнаружены деструктивные изменения кости в виде секвестров и изъеденности краев грудины, а у 4 пациентов деструкции костной ткани не было. Таким образом, чувствительность рентгенографии ОГК в отношении деструкции грудины и ребер составила 100%, специфичность – 30,8%, диагностическая точность метода – 43,8%.
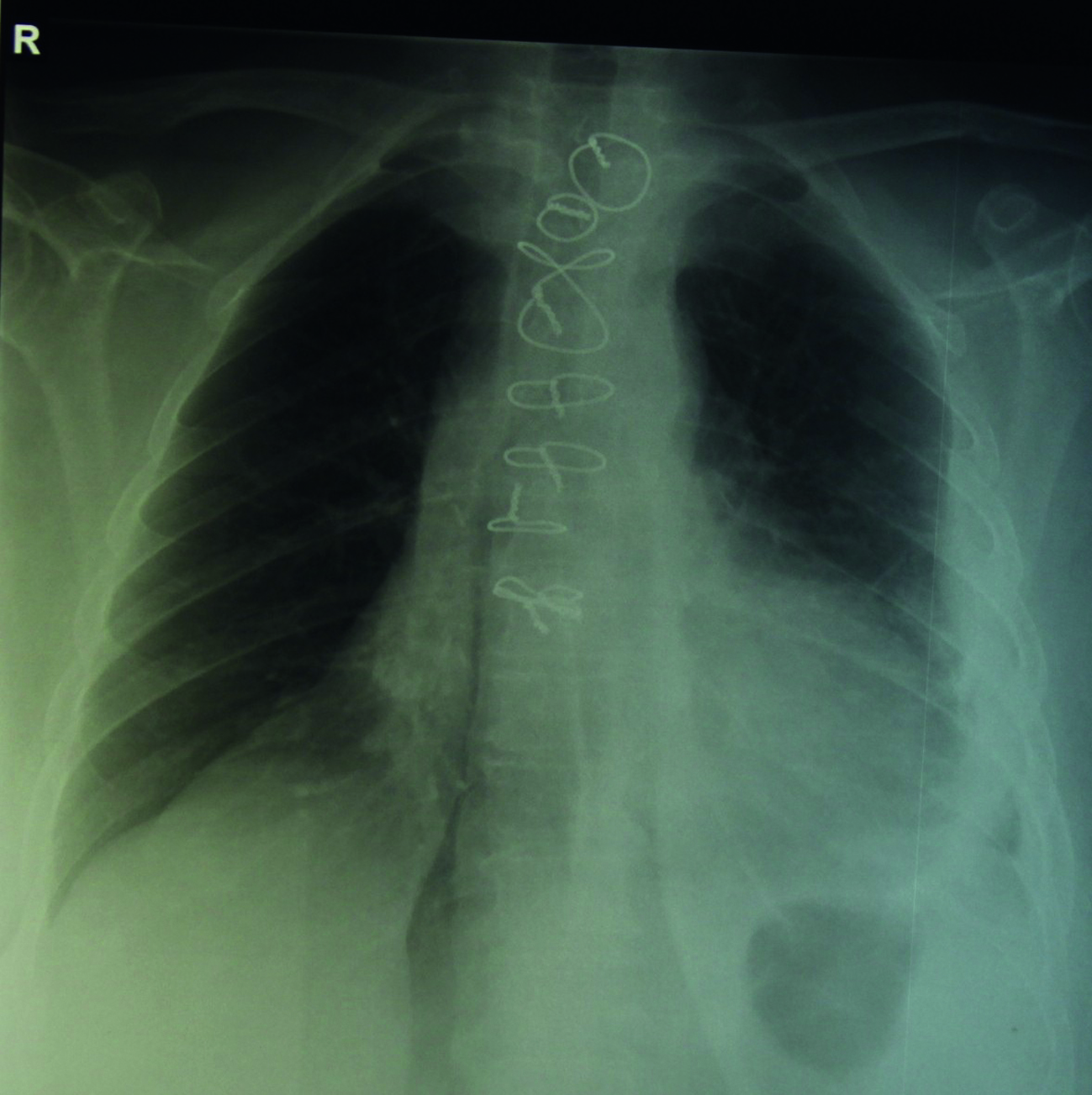
Рентгенологическим признаком наличия медиастинита мы считали расширение тени средостения, выявленное при обзорной рентгенографии ОГК (рисунок 1).
Рисунок 1. Обзорная рентгенограмма ОГК. Отмечается расширение тени средостения при постстернотомном медиастините.
Figure 1. Chest X-ray. An expansion of the shadow of the mediastinum with poststernotomy mediastinitis.
Данный симптом был выявлен у 5 (31%) пациентов первой группы. Интраоперационно медиастинит в виде наличия фибрина, детрита или экссудата был выявлен у всех 16 пациентов.
Клинически значимый левосторонний экссудативный плеврит при рентгенографии ОГК был выявлен у двух пациентов. Обоим пациентам была выполнена плевральная пункция.
Среди 33 пациентов второй группы наблюдения деструкция грудины при рентгенографии ОГК выявлена у 4 (12,1%) пациентов, а при компьютерной томографии ОГК в стационаре в общей сложности у 26 (78,7%) пациентов (рисунок 2).
Рисунок 2. Компьютерная томограмма ОГК. Отмечается деструкция и фрагментация створок грудины.
Figure 2. CT image of chest. Destruction and fragmentation of the cusps of the sternum.
Интраоперационные деструктивные изменения в грудине и ребрах были у них подтверждены. Кроме того, деструкция была зафиксирована у 4 человек, у которых до операции она не прогнозировалась. Из 3 человек, у которых по данным дооперационного обследования изменений в грудине и ребрах не выявлено, во время операции у одного пациента был обнаружен остеомиелит ребер и грудины (рисунок 3).
Рисунок 3. Интраоперационное фото. Деструкция грудины в зоне металлических лигатур.
Figure 3. Intraoperative photo. Destruction of the sternum in the area of metal ligatures.
Деструкция хрящевых частей ребер при компьютерной томографии ОГК выявлена у 7 (21,2%) пациентов, во время операции – у 18 (54,5%) пациентов. Расширение тени средостения у пациентов с ПСМ было определено в 4 (12,1%) случаях. Тяжистость клетчатки переднего средостения, наличие экссудата при КТ ОГК выявлено у всех пациентов с ПСМ во второй группе – 23 случая. Данные КТ ОГК были подтверждены у всех 23 пациентов с ПСМ.
Наличие плеврального выпота при рентгенографии выявлено у 2 (6%) пациентов, при КТ ОГК – у 5 (15%) пациентов. Таким образом, чувствительность последовательного рентгенологического обследования составила 86,7%, специфичность – 66,7%, а диагностическая точность метода – 84,8%.
В третьей группе пациентов деструктивные изменения костной ткани (грудина, ребра) до операции были выявлены у 90 (84,9%) пациентов с ПСМ (рисунок 4) и у 25 (86,2%) с остеомиелитом грудины и ребер.
Рисунок 4. Компьютерная томограмма ОГК. Отмечается деструкция и секвестрация створок грудины.
Figure 4. CT imaging of chest. Destruction and sequestration of the sternal cusps.
При этом интраоперационно они были подтверждены только у 106 человек (78,5%). Еще у 9 человек с диагностированной до операции патологией она не верифицирована во время операции. Интраоперационные деструктивные изменения костей выявлены у 104 (98,1%) пациентов с ПСМ и у 13 (44,8%) пациентов с остеомиелитом грудины и ребер (рисунок 5).
Рисунок 5. Интраоперационное фото. Деструктивные изменения в ребре.
Figure 5. Intraoperative photo. Destructive changes in the rib.
Явления переднего медиастинита выявлены у 106 (100%) пациентов с ПСМ, что подтвердилось интраоперационно. При КТ ОГК двусторонний гидроторакс выявлен у 12 пациентов. Всем выполнена плевральная пункция. Незначительный гидроперикард определен у 5 пациентов. Таким образом, чувствительность КТ составила 92,2%, специфичность – 65%, диагностическая точность метода – 88,1%.
В четвертой группе наблюдения КТ-фистулография позволила выявить деструкцию костной ткани у 36 (97,3%) пациентов, что было подтверждено при оперативном вмешательстве. Еще у одного пациента деструкция костной ткани, не выявленная до операции, верифицирована также интраоперационно. Деструктивные изменения хрящевых частей ребер при КТ-фистулографии определены у 33 (89,1%) пациентов.
Признаки переднего медиастинита при КТ-фистулографии выявлены у всех 26 пациентов с ПСМ, что подтверждено было интраоперационно. Наличие двустороннего гидроторакса было выявлено у 4 (10,8%) пациентов. Таким образом, чувствительность КТ-фистулографии составила 100%, специфичность – 100%, диагностическая точность метода – 100%.
ОБСУЖДЕНИЕ
Лечение пациентов с инфекционными процессами в области грудной стенки невозможно без дооперационной визуализации патологического процесса.
В национальных клинических рекомендациях по хирургическому лечению больных послеоперационным медиастинитом и остеомиелитом грудины и ребер главенствующая роль отводится КТ с пространственной реконструкцией грудины, которая по праву является «золотым стандартом» в диагностике данной патологии. При этом указывается, что при отсутствии возможности выполнения КТ показана рентгенография органов грудной полости [10]. В наших наблюдениях в первой и второй группах были пациенты, которым на догоспитальном этапе выполнялась полипозиционная рентгенография ОГК. При этом первая группа состояла исключительно из пациентов, у которых рентгенография была единственным методом дооперационной диагностики.
Такая ситуация сложилась в начальном периоде нашей клинической практики, когда были определенные технические трудности в выполнении компьютерной томографии. Различия в диагностике и интраоперационной картине у пациентов первой группы отразились в низких показателях чувствительности и специфичности.
Полипозиционная рентгенография ОГК не потеряла своего значения и в настоящее время. A. Ardigò и соавт. считают, что ее целесообразно выполнять всем пациентам перед открытой операцией на сердце с целью прогнозирования риска развития ПСМ [11]. Данный метод диагностики полезен и в послеоперационном периоде, он позволяет визуализировать и оценить количество металлических лигатур на грудине, их положение и взаимоотношение с ней [12]. Однако для оценки тяжести деструкции грудины и ребер и контроля в послеоперационном периоде за репарацией костных структур он малоинформативен.
Наибольшую информативность о состоянии костной ткани (грудины, ребер, грудинно-ключичных сочленений) позволяет получить КТ, особенно с пространственной реконструкцией грудинно-реберного комплекса. Еще в 1998 году E.Gur и соавт. указали, что КТ является «золотым стандартом» в диагностике инфекционного процесса в грудине [13] Предпочтение КТ обусловлено ее возможностями как в качестве скрининг-метода, так и в качестве метода уточняющей диагностики (верификация диагноза). Она позволяет визуализировать сопоставление створок грудины, состояние металлических лигатур, определить показания к резекции кости и удалению несостоятельных фиксирующих элементов [12]. Метод КТ ОГК обладает достаточно высокой специфичностью и чувствительностью в отношении выявления поражения костной ткани и клетчатки переднего средостения [14]. Наше исследование в рамках третьей группы пациентов подтверждает эти данные. Однотипные результаты чувствительности, специфичности и диагностической точности метода были получены нами и у пациентов второй группы, у которых первым этапом выполнялась рентгенография ОГК и лишь затем КТ. Подобная двухэтапность и, следовательно, затягивание обследования представляются нам нерациональными.
У пациентов со свищевой формой остеомиелита груди и ребер, а также при V типе ПСМ диагностически важным исследованием является КТ-фистулография с водорастворимым контрастным препаратом. Данный вид исследования позволяет оценить направление и локализацию свищевого хода, а также визуализировать патологический очаг в кости, послуживший причиной воспаления [15]. В нашем исследовании показано, что КТ-фистулография обладает самой высокой чувствительностью и специфичностью именно у пациентов со свищевой формой поражения грудины и ребер. Данное исследование должно быть применено сразу же, минуя все другие.
Врач – торакальный хирург должен лично анализировать томограммы и с помощью врача-рентгенолога выбирать стратегию предстоящего вмешательства.
ВЫВОДЫ
Пациенты с инфекционным патологическим процессом в области грудной стенки должны получать специализированную хирургическую помощь в условиях многопрофильного стационара, в котором функционирует круглосуточная специализированная хирургическая торакальная помощь. Оперативное лечение пациентов с инфекционным поражением грудины и ребер должно осуществляться только после выполнения КТ ОГК или КТ-фистулографии. Полипозиционная рентгенография ОГК не позволяет оценить состояние хрящевых частей ребер и клетчатки переднего средостения.
Конфликт интересов: все авторы заявляют об отсутствии конфликта интересов, требующего раскрытия в данной статье.
Об авторах
М. А. Медведчиков-Ардия
ФГБОУ ВО «Самарский государственный медицинский университет» Минздрава России; ГБУЗ «Самарская областная клиническая больница имени В.Д. Середавина»
Автор, ответственный за переписку.
Email: m.a.medvedchikovardija@samsmu.ru
ORCID iD: 0000-0002-8884-1677
канд. мед. наук, врач – торакальный хирург хирургического торакального отделения; доцент кафедры хирургии ИПО
Россия, Самара; СамараЕ. А. Корымасов
ФГБОУ ВО «Самарский государственный медицинский университет» Минздрава России
Email: e.a.korymasov@samsmu.ru
ORCID iD: 0000-0001-9732-5212
д-р мед. наук, профессор, заведующий кафедрой хирургии ИПО
Россия, СамараА. С. Бенян
ФГБОУ ВО «Самарский государственный медицинский университет» Минздрава России
Email: a.s.benjan@samsmu.ru
ORCID iD: 0000-0003-4371-7426
д-р мед. наук, профессор кафедры хирургии ИПО
Россия, СамараСписок литературы
- Alekseeva TR, Amosov VI, Anikeeva OYu, et al. X-ray diagnostics of the chest organs. National Guidelines. (In Russ.). М., 2014. [Алексеева Т.Р., Амосов В.И., Аникеева О.Ю., и др. Лучевая диагностика органов грудной клетки. Национальное руководство. М., 2014]. ISBN 9785970428702
- Kovalinin VV, Kleshchevnikova KYu, Dzhanchatova BA. The Radiology of osteomyelitis. Russian electronic journal of radiology 2014;4(3):66-76. (In Russ.). [Ковалинин В.В., Клещевникова К.Ю., Джанчатова Б.А. Лучевая диагностика остеомиелита. Российский электронный журнал лучевой диагностики. 2014;4(3):66-76].
- Brown LR, Muhm JR. Computed tomography of the thorax. Current perspectives. Chest. 1983;83(5):806-13. doi: 10.1378/chest.83.5.806 PMID: 6340983
- Hatfield MK, et al. Computed tomography of the sternum and its articulations. Skeletal Radiol. 1984;11:197-203.
- Bitkover CY, et al. Computed tomography of the sternum and mediastinum after median sternotomy. Ann Thorac Surg. 1999;68:858-863.
- Maddern IR, Goodman LR, Almassi GH, et al. CT after reconstructive repair of the sternum and chest wall. Radiology. 1993;186(3):665-70. doi: 10.1148/radiology.186.3.8430171 PMID: 8430171
- Wang B, He D, Wang M, et al. Analysis of sternal healing after median sternotomy in low risk patients at midterm follow-up: retrospective cohort study from two centres. J Cardiothorac Surg. 2019;14(1):193. doi: 10.1186/s13019-019-1000-1 PMID: 31711516
- Duman ZM, Timur B, Topel Ç, Aksu T. Clinical Use of Tailored Computed Tomography to Prevent Poststernotomy Dehiscence. Thorac Cardiovasc Surg. 2022;70(1):72-76. doi: 10.1055/s-0041-1736243 PMID: 34972236
- El Oakley RM, Wright JE. Postoperative mediastinitis: classification and management. Review. Ann Thorac Surg. 1996;61:1030-1036.
- Porkhanov VA, Kubyshkin VA, Parshin VD. Clinical guidelines for the surgical treatment of patients with postoperative mediastinitis and osteomyelitis of the sternum and ribs. Krasnodar, Moscow, 2014. (In Russ.). [Порханов В.А., Кубышкин В.А., Паршин В.Д., и др. Клинические рекомендации по хирургическому лечению больных послеоперационным медиастинитом и остеомиелитом грудины и ребер. Краснодар, Москва, 2014].
- Ardigò A, Francica A, Veraldi GF, et al. Value of Perioperative Chest X-ray for the Prediction of Sternal Wound Complications after Cardiac Surgery in High-Risk Patients: A "Work in Progress" Analysis. J Clin Med. 2021;10(2):207. doi: 10.3390/jcm10020207 PMID: 33430141
- Vishnevskii AA, Rudakov SS, Milanov NO. Surgery of the chest wall. Guidelines. (In Russ.). [Вишневский А.А., Рудаков С.С., Миланов Н.О., и др. Хирургия грудной стенки. Руководство. М., 2005].
- Gur E, Stern D, Weiss J, et al. Clinical-radiological evaluation of poststernotomy wound infection. Plast Reconstr Surg. 1998;101(2):348-55. doi: 10.1097/00006534-199802000-00012 PMID: 9462765
- Macri F, Greffier J, Khasanova E, et al. Minor Blunt Thoracic Trauma in the Emergency Department: Sensitivity and Specificity of Chest Ultralow-Dose Computed Tomography Compared With Conventional Radiography. Ann Emerg Med. 2019;73(6):665-670. doi: 10.1016/j.annemergmed.2018.11.012 PMID: 30665773
- Guo HW, Kong WS, Lai YQ, et al. Clinical analysis of chronic sternal osteomyelitis with sinus tract after cardiovascular surgery. Zhonghua Yi Xue Za Zhi. 2018;98(8):592-595. doi: 10.3760/cma.j.issn.0376-2491.2018.08.008 PMID: 29534387
Дополнительные файлы








