Изолированные поражения клиновидной пазухи: особенности диагностики и лечения
- Авторы: Ларин Р.А.1, Красильникова С.В.2, Шахов А.В.2, Сузаева П.В.2, Писарев Е.Н.2
-
Учреждения:
- ГБУЗ «Нижегородская областная клиническая больница им. Н.А. Семашко»
- ФГБОУ ВО «Приволжский исследовательский медицинский университет» Минздрава России
- Выпуск: Том 5, № 1 (2020)
- Страницы: 17-22
- Раздел: Статьи
- Статья опубликована: 15.03.2020
- URL: https://innoscience.ru/2500-1388/article/view/43733
- DOI: https://doi.org/10.35693/2500-1388-2020-5-1-17-22
- ID: 43733
Цитировать
Аннотация
Цель – анализ случаев изолированного поражения клиновидной пазухи, выявление основных ошибок при дифференциальной диагностике на догоспитальном этапе и на этапах лечения.
Материал и методы. В работе приведены данные о лечении 58 пациентов с изолированным поражением клиновидной пазухи в период 2015–2018 гг. Возраст пациентов от 18 до 68 лет. Среди них было 37 (69,3%) женщин и 21 (30,7 %) мужчина.
Обсуждение и результаты. Применялись следующие хирургические доступы: трансназальный, расширенный трансназальный, трансэтмоидальный, доступ по методике Bolger Box, транскрыловидный (в одном случае). При выполнении расширенного доступа удалось добиться формирования стойкого, эпителизированного соустья во всех случаях. При полипозно-гнойных формах сфеноидита наиболее часто наблюдались рецидивы заболевания, однако здесь требовалась только противовоспалительная терапия, в т.ч. орошение пазухи через сформированное соустье.
Выводы. Необходимы дальнейшие исследования с целью изучения особенности/безопасности и клинической эффективности различных эндохирургических доступов.
Полный текст
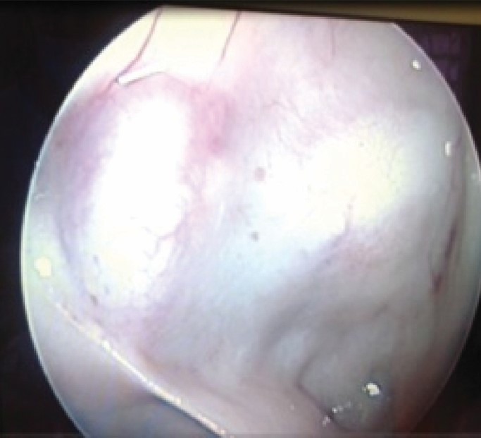
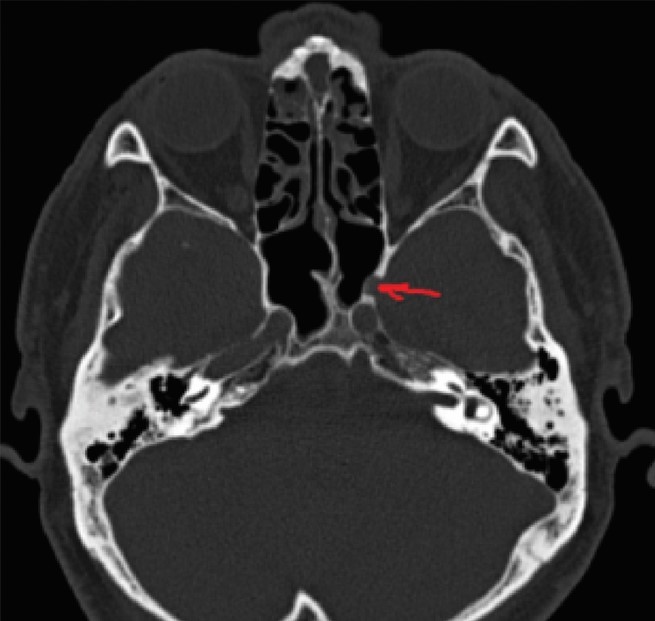
ВВЕДЕНИЕ В настоящее время в связи с распространением лучевых (МРТ, КТ) и визуальных (эндоскопия) методов диагностики наблюдается увеличение количества случаев изолированного сфеноидита [1, 2, 3]. Удельный вес изолированного сфеноидита в общей структуре заболеваний околоносовых пазух (ОНП), по данным литературы, составляет не более 5% [4, 5, 6]. Однако абсолютные цифры с учетом огромного количества случаев воспалительной патологии ОНП могут быть весьма значительными. В структуре синуситов все больше резистентных (устойчивых к лечению) форм, в том числе грибковых [7]. Данные о распространенности патологии весьма скудные, в структуре статистической отчетности стационаров и поликлиник сфеноидит как самостоятельная нозологическая форма отражается крайне редко. В то же время относительно невысокая распространенность нередко обусловливает пассивную позицию специалистов при дифференциальной диагностике поражений клиновидной пазухи (КП). Основное место в дифференциальной диагностике у данной группы пациентов занимают компьютерная томография (КТ) и магнитно-резонансная томография (МРТ). Однако трактовка результатов исследований не всегда однозначна и может приводить как к гипердиагностике, так и, наоборот, к гиподиагностике сфеноидита, выражающейся в недооценке данных лучевой диагностики и обьективной картины и нередко приводящей к развитию хронических и осложненных форм. Пациенты направляются к лор-врачу только после длительного, безуспешного лечения у специалистов смежных специальностей, что влечет высокий уровень гиподиагностики сфеноидита и наличие осложненных форм [8]. Дифференциальная диагностика патологического процесса в пазухе на дооперационном этапе чрезвычайно важна, поскольку необдуманное вмешательство может вызвать тяжелые и даже фатальные осложнения [9, 10]. От 5% до 30% всех изолированных поражений клиновидной пазухи составляют пациенты с неинвазивной грибковой формой [11, 12]. Для хронического сфеноидита характерно латентное (скрытое) течение, которое не всегда диагностируется на ранних стадиях [13, 14]. По данным ряда исследователей, частота патологических находок в клиновидной пазухе при аутопсии лиц, прижизненный диагноз «сфеноидит» у которых не был установлен, составляет от 10% до 68% [15, 16]. Очень важно изучение вопросов ремоделирования в клиновидной пазухе, в том числе явлений остеита при грибковых формах [17]. Осложненное течение изолированного сфеноиди-та - нередкое явление, при этом основным фактором развития осложнений является несвоевременная диагностика. Наиболее часто встречаются осложнения, связанные с вовлечением в патологический процесс глазодвигательных нервов, в особенности VI пары - n. abducens [4, 9, 16]. В литературе можно встретить наблюдения инвазивных, генерализованных форм грибкового сфеноидита с быстрым развитием офтальмологических, интракраниальных и системных (септических) осложнений [7, 12, 14]. Тактика лечения при изолированных поражениях клиновидной пазухи, по данным литературы, различная. Часть авторов считает наличие изолированного сфеноидита, особенно грибковых форм, мукоцеле, абсолютным показанием к операции. Другие авторы при отсутствии осложнений начинают с консервативной терапии [1, 3, 11, 12]. Задачей хирургического лечения у таких пациентов является не только купирование воспалительного процесса, но и создание условий для адекватной вентиляции пазух и предотвращения возможного рецидива. В то же время вопросы дифференцированного подхода к хирургическому лечению недостаточно освещены в научной литературе и носят преимущественно описательный характер. ш ЦЕЛЬ Провести анализ случаев изолированного поражения клиновидной пазух и выявить основные особенности и ошибки при дифференциальной диагностике на догоспитальном этапе. ш МАТЕРИАЛ И МЕТОДЫ В работе приведены данные о лечении 58 пациентов с изолированным поражением клиновидной пазухи, которые находились на стационарном лечении в ГБУЗ НОКБ им. Н.А. Семашко (кафедра болезней уха, горла и носа ФГБОУ ВО «ПИМУ» Минздрава РФ) в период 2015-2018 гг. Возраст пациентов - от 18 до 68 лет. Средний возраст пациентов с изолированным сфеноидитом составил 43 года, среди них превалировали женщины до 35 лет. Гендерное распределение было следующее: мужчины - 21 (30,7 %), женщины - 37 (69,3%). Давность заболевания составила 26±19 дней. Всего в клинике в данный период наблюдались 118 пациентов с различными формами поражения клиновидной пазухи, у 60 пациентов поражение КП наблюдалось как проявление хронического риносинусита (с полипами и без), то есть имело место сочетанное поражение нескольких или всех околоносовых пазух, и данные наблюдения не были включены в исследование. Критерии включения в исследование: рентгенологические (КТ, МРТ) признаки патологического процесса в клиновидной пазухе, специфическая и неспецифическая симптоматика, латентное течение сфеноидита, отсутствие патологического процесса в других околоносовых пазухах. Критерии исключения: сочетанное поражение других групп околоносовых пазух, нозокомиальный сфенои-дит. Такие состояния, как искривление носовой перегородки, вазомоторный/аллергический ринит, гипертрофия носовых раковин, mnchabullosa средних носовых раковин критериями исключения не являлись. Пациенты с впервые установленным диагнозом составили 85% от общего числа, 15% наблюдений - рецидивные формы заболевания, в том числе 5 пациентов были после ранее проведенного оперативного вмешательства (таблица 1). Морфологическая форма Количество наблюдений Полипозный процесс 15 (25,8%) Киста 18 (31%) Мукоцеле 5 (8,6%) Грибковый сфеноидит 12 (20,6%) Инвазивный грибковый сфеноидит 2 (3,4%) Менингоцеле 4 (6,8%) Новообразование 2 (3,4%) Таблица1. Распределение по виду патологического процесса Table 1. Distribution by the type of pathological process При поступлении в стационар проведено обследование пациентов в следующем объеме: клинические анализы, консультации смежных специалистов - невролога, нейрохирурга, офтальмолога (в зависимости от клинических проявлений). Всем пациентам проводилась предоперационная эндориноскопия. При подготовке к оперативному лечению оценивалось наличие у пациента сопутствующих заболеваний, течение которых проявляется симптоматикой со стороны ОНП и может в значительной степени оказывать влияние на течение патологического процесса в полости носа и ОНП: бронхиальная астма, аспириновая триада, персистирующий или интермиттирующий аллергический ринит, а также комбинация данных заболеваний. ш ОБСУЖДЕНИЕ И РЕЗУЛЬТАТЫ В большинстве случаев причиной обращения за помощью был цефалгический синдром. Все пациенты с болевым синдромом первоначально проходили обследование у невролога либо терапевта, им выполнялось МРТ-исследование на догоспитальном этапе. В данной группе пациентов (n=21, 36,2%) 9 человек были направлены к оториноларингологу сразу после получения данных МРТ. 12 пациентов проходили дальнейшее консервативное лечение у невролога либо не получали никакого лечения, несмотря на очевидные данные МРТ-исследования. После МРТ-исследования уточняющее КТ-исследование было назначено только 3 пациентам. Остальные пациенты были направлены в стационар с результатами МРТ. Таким образом, в рамках нашего исследования можно говорить о превалировании МРТ-диагностики в догоспитальном обследовании и игнорировании специалистами КТ-исследования. Симптоматическая картина у исследуемых пациентов весьма вариабельна: от латентных бессимптомных форм до тяжелых цефалгических и офтальмологических проявлений. Мы наблюдали определенную взаимосвязь между симптоматическими проявлениями и морфологической формой заболевания (таблица 2). В целом манифестирующая ринологическая симптоматика наблюдалась не более чем в трети наблюдений. В остальных ситуациях мы наблюдали либо неспецифическую симптоматику (цефалгические и/ или офтальмоплегические проявления), либо бессимптомное течение. Латентные формы поражений КП, когда патологический процесс выявлен случайно при МРТ/КТ-обследовании по другим причинам, составили около 20% от всех наблюдений. Чаще всего это были поражения в виде кисты клиновидной пазухи и мукоцеле (рисунок 1), реже бессимптомное течение наблюдалось при грибковой форме поражения и менингоцеле (рисунки 2, 3). Хирургическое лечение. Всем пациентам проводилось хирургическое лечение, после тщательного анализа КТ-томограмм для уточнения варианта строения клиновидной пазухи и наличия анатомических вариантов строения (клетки Оноди, дигисценции канала внутренней сонной артерии, зрительного нерва и т.д.) (рисунки 4а, 4б). Все оперативные вмешательства выполнялись под общим обезболиванием. Применялись следующие доступы: трансназальный, расширенный трансназальный, трансэтмоидальный, доступ по методике Bolger Box, транскрыловидный (в одном случае) (таблица 3, фото 5, 6). Расширенный доступ (Wormald PJ. 2005, Palmer J.N. 2013) в отличие от традиционного с механическим расширением естественного соустья подразумевает выкраивание короткого (5-10 мм) назосептального лоскута Морфологическая форма Клинические симптомы Головная боль Постназальный затек Голово кружение Назальная обструкция Глазничные симптомы Полипозный процесс/ полипозно-гнойный + +++ - ++ - Киста - - - + - Мукоцеле ++ + - + - Грибковый сфеноидит ++ ++ + + + Инвазивный грибковый сфеноидит +++ ++ + + +++ Менингоцеле + + + - - Новообразование ++ + + - +++ «+» - степень выраженности симптома от + до +++. «-» - отсутствие симптома. Таблица 2. Симптоматические проявления Table 2. The symptomatic manifestation Рисунок 1. Мукоцеле клиновидной пазухи. Figure 1. Mucocele of the sphenoid sinus. Рисунок 2. Грибковый сфеноидит. 2.1 КТ (аксиальный срез); 2.2 Соустье обтурировано полипом. Трансназальный доступ; 2.3 - грибковые массы в пазухе. Figure 2. Fungal sphenoiditis. 2.1 CT (axial cross-section); 2.2 Anastomosis is obturated by a polyp. Transnasal access; 2.3 - fungal masses in the sinus. Рисунок 3. КТ (фронтальный срез). Остеит стенок клиновидной пазухи при грибковом синусите. Figure 3. CT (front section). Osteitis of the walls of the sphenoid sinus in fungal sinusitis. Рисунок 4а. Дигисценция канала внутренней сонной артерии. КТ-исследование. Figure 4a. Dehiscence of the internal carotid artery channel. CT study Рисунок 4б. Дигисценция канала внутренней сонной артерии. Эндоскопическая картина. Figure 4b. Dehiscence of the internal carotid artery channel. Endoscopic image. Таблица 3. Виды хирургических вмешательств Table 3. Types of surgical interventions слизистои ниже и медиальнее соустья пазухи на ножке с питанием от заднеИ септальноИ ветви крылонебной артерии с широким обнажением и резекцией передней стенки пазухи. При этом соустье мы расширяли при помощи бора. Данный способ упрощает задачу в том случае, если естественное соустье не визуализируется и технически не доступно и/или есть необходимость широкого открытия пазухи. Лоскут на питающей ножке используется для закрытия широкого костного дефекта, что способствует его дальнейшей эпите-лизации и минимизирует развитие в последующем остеита. Исследования ряда авторов свидетельствуют о том, что трансэтмоидальный и трансназальный доступ могут с одинаковым успехом применяться при Рисунок 5. 5a - грибковое тело латерального кармана клиновидной пазухи (КТ, аксиальный срез); 5b - расширенный трансназальный доступ (700 эндоскоп); 5c - КТ через 6 мес. после операции. Figure 5. 5a - fungal ball in the lateral “pocket" of the sphenoid sinus (CT, axial section); 5b - extended transnasal access (700 endoscope); 5c - CT in 6 months after operation. Рисунок 6. Менингоцеле клиновидной пазухи. 6а - МРТ (фронтальный срез); 6b - расширенный трансназальный доступ. Пластика ликворного дефекта после удаления менингоцеле (материал - жир). Figure 6. Meningocele of the sphenoid sinus. 6a - MRI (frontal section); 6b - extended transnasal access. Plasty of the liquor defect after the meningocele removal (the material - fat). Рисунок 7. Соустье через 1 год после расширенного доступа. Figure 7. Anastomosis 1 year after expanded access. Рисунок 8. Соустье через 3 года после расширенного трансназального доступа. Рисунок 9. Рецидив полипозно-гнойного сфеноидита через 6 месяцев после операции. причиной рецидива патологического процесса и потребовал проведения ревизионного вмешательства. В одном случае у пациента, которому ранее выполнена сфенотомия по поводу хронического сфеноидита, но не была вскрыта (распознана) клетка Оноди, в которой локализовалось грибковое воспаление, также потребовалась повторная операция. Figure 9. Recurrence of polypous-purulent sphenoiditis in 6 months after surgery. Figure 8. Anastomosis 3 years after expanded access. изолированном поражении пазухи. Трансназальный доступ более безопасен, чем трансэтмоидальный, и является методом выбора при изолированном поражении пазухи при условии, что патологический процесс в пазухе не требует широкой ревизии и/или создания достаточного по объему сообщения в тех ситуациях, когда велик риск рецидива. Осложнений в послеоперационном периоде не наблюдалось. На 5-7 сутки всем пациентам выполнялась эндориноскопия. В срок от 2 до 3 месяцев 11 пациентам выполнено контрольное КТ. Остальные пациенты (из отдаленных районов) не проходили контрольного осмотра. При выполнении расширенного доступа удалось добиться формирования стойкого, эпителизи-рованного соустья во всех случаях (рисунки 7, 8). При полипозно-гнойных формах сфеноидита наиболее часто наблюдались рецидивы заболевания, однако здесь требовалась только противовоспалительная терапия, в том числе орошение пазухи через сформированное соустье (рисунок 9). Частота развития спаечного процесса после вмешательств составила около 20%, при этом только в 3 наблюдениях рубцово-спаечный процесс явился ш ВЫВОДЫ Изолированный сфенои-дит в структуре пациентов, которым проводилось эндохирургическое лечение при патологии ОНП, составил 3% (около 30% от общего числа сфеноидитов). В стационаре пациенты с точно установленным диагнозом «изолированный сфеноидит» на догоспитальном этапе составили не более 12% от общего числа, что связано как с гиподиагностикой, пассивной позицией в отношении патологии клиновидной пазухи у врачей амбулаторного звена, так и с тактическими ошибками. Отмечено превалирование МРТ-диагностики в догоспитальном обследовании и игнорирование специалистами КТ-исследования. Основной метод лечения изолированного сфеноидита - хирургический. Наиболее часто применялся расширенный трансназальный доступ. Необходимо сочетание с медикаментозным лечением в послеоперационном периоде. Требуются дальнейшие исследования с целью изучения особенности/безопасности и клинической эффективности различных эндохирургических доступов. W Конфликт интересов: все авторы заявляют об отсутствии конфликта интересов, требующего раскрытия в данной статье.Об авторах
Р. А. Ларин
ГБУЗ «Нижегородская областная клиническая больница им. Н.А. Семашко»
Автор, ответственный за переписку.
Email: info.lor@mail.ru
заведующий оториноларингологическим отделением.
С. В. Красильникова
ФГБОУ ВО «Приволжский исследовательский медицинский университет» Минздрава России
Email: info.lor@mail.ru
к.м.н., ассистент кафедры болезней уха, горла и носа.
А. В. Шахов
ФГБОУ ВО «Приволжский исследовательский медицинский университет» Минздрава России
Email: info.lor@mail.ru
д.м.н., профессор, заведующий кафедрой болезней уха, горла и носа.
П. В. Сузаева
ФГБОУ ВО «Приволжский исследовательский медицинский университет» Минздрава России
Email: info.lor@mail.ru
ассистент кафедры болезней уха, горла и носа.
Е. Н. Писарев
ФГБОУ ВО «Приволжский исследовательский медицинский университет» Минздрава России
Email: info.lor@mail.ru
к.м.н., доцент кафедры болезней уха, горла и носа.
Список литературы
- Karpischenko SA, Dolgov OI, Stancheva OA. Our experience of endoscopic surgical treatment of isolated sphenoiditis. Russian rhinology. 2014;2:16–17. (In Russ.). [Карпищенко С.А, Долгов О.И., Станчева О.А. Опыт эндоскопического хирургического лечения изолированных сфеноидитов. Российская ринология. 2014; 2:16–17].
- Piskunov GZ. Clinical rhinology. М., 2006. (In Russ.). [Пискунов Г.З. Клиническая ринология. М., 2006].
- Chung L. The possible failing reasons of balloon catheter dilation procedure in the management of chronic rhinosinusitis. Laryngoscope. 2018;32(5):336–341. doi: 10.13201/j.issn.1001-1781.2018.05.005
- Karpischenko SA. Pain syndrome in patients with isolated sphenoiditis: our experience in diagnosis and treatment. Folia Otorhinolaryngologia et Pathologiae Espiratoriae. 2017;2:4–10. (In Russ.). [Карпищенко С.А. Болевой синдром при изолированном сфеноидите: наш опыт в диагностике и лечении. Folia Otorhinolaryngologia et Pathologiae Espiratoriae. 2017;2 :4–10].
- Chen Y, Qiu L, Qiu J. Diagnosis and endoscopic treatment of isolated sphenoid sinus disease. Lin Chung. 2014;28 :760–763. PMID: 25219196
- Fokkens J, Lund V. European Position Paper on Rhinosinusitis and Nasal Polyps. Rhinology. 2012;23:329. PMID: 22764607
- Bhandary S, Bhat V. A case of sphenoid sinus mucocele following endoscopic sinus surgery for fungal sinusitis . NUJHS. 2013;3:117–119.
- Moss WJ, et al. Isolated sphenoid sinus opacifications: a systematic review and meta-analysis. Int Forum Allergy Rhinol. 2017;7(12):1201–1206. doi: 10.1002/alr.22023
- Fawaz SA, Ezzat WF, Salman MI. Sensitivity and specificity of computed tomography and magnetic resonance imaging in the diagnosis of isolated sphenoid sinus diseases. Laryngoscope. 2011;121(7):1584–9. doi: 10.1002/lary.21828
- Kapitanov DN, Lopatin AS. The use of the navigation system in endoscopic surgery of the paranasal sinuses and the base of the skull. Vestnik otorhinolaryngologii. 2005;2:12–17. (In Russ.). [Капитанов Д.Н., Лопатин А.С. Применение навигационной системы в эндоскопической хирургии околоносовых пазух и основания черепа. Вестник оториноларингологии. 2005;2:12–17].
- Polev GA. The giant fungal body of the sphenoid sinus with the destruction of the base of the skull. Vestnik otorhinolaryngologii. 2012;3:96–98. (In Russ.). [Полев Г.А. Гигантское грибковое тело клиновидной пазухи с деструкцией основания черепа. Вестник оториноларингологии. 2012;3:96–98].
- Karpischenko SA. Complications of endoscopic sphenotomy. Materials congress of rhinologists. Suzdal, 2016:29. (In Russ.). [Карпищенко С.А. Осложнения эндоскопической сфенотомии. Материалы конгресса ринологов. Суздаль, 2016:29].
- Mareev GO, Geyvondyan ME. Anatomical structure of sinus sphenoidalis in skull system. Bulletin of Medical Internet Conferences. 2014;5:669–676. (In Russ.). [Мареев Г.Н., Гейвондян М.Э. Клиновидная пазуха в системе черепа и ее анатомические особенности. Бюллетень медицинских интернет-конференций. 2014;5:669–676].
- Gayvoronskiy AI, Gayvoronskiy IV, Yakovleva A.A. Characteristics of the structure and relief of the sphenoidal sinus walls (endovideoscopydata). Study notes. First Pavlov State Medical University of St. Petersburg. 2011;XVIII:46–49. (In Russ.). [Гайворонский А.И., Гайворонский И.В., Яковлева А.А. Особенности строения и рельефа стенок клиновидной пазухи по данным эндовидеоскопии. Учебные записки СПбГМУ им. акад. И.П. Павлова. 2011;XVIII:46–49].
- Nishanth S, Nandeesh B. Isolated sphenoid Sinus Lesions: Experience with a few rare pathologies. J Neurosci Rural Pract. 2017;8(1):107–113. doi: 10.4103/0976-3147.193540
- Vereschagina OE, Dolgov OI, Stancheva OA. Transnasal endoscopic approach in treatment of isolated sphenoiditis. Russian otorhinolaryngology. 2015;1:26–29. (In Russ.). [Верещагина О.Е., Долгов О.И., Станчева О.А. Трансназальный эндоскопический подход в лечении изолированных сфеноидитов. Российская оториноларингология. 2015;1:26–29].
- Tush EV, Eliseeva ТI, Khaletskaya ОV, et al. Extracellular Matrix Markers and Methods for Their Study (Review). Sovremennye tehnologii v medicine. 2019;11(2):133–149. (In Russ.). [Туш Е.В., Елисеева Т.И., Халецкая О.В. и др. Маркеры состояния экстрацеллюлярного матрикса и методы их исследования (обзор). Современные технологии в медицине. 2019;11(2):133–149]. doi.org/10.17691/stm2019.11.2.20
Дополнительные файлы













