Severe damage of respiratory muscles in polymyositis
- Authors: Scryabina E.N.1, Magdeeva N.A.1, Melehina I.F.2, Alexandrova O.L.1
-
Affiliations:
- Saratov State Medical University named after V.I. Razumovsky
- Saratov Regional Hospital
- Issue: Vol 4, No 4 (2019)
- Pages: 53-57
- Section: Rheumatology
- Published: 15.12.2019
- URL: https://innoscience.ru/2500-1388/article/view/43786
- DOI: https://doi.org/10.35693/2500-1388-2019-4-4-53-57
- ID: 43786
Cite item
Full Text
Abstract
Objectives – to present a clinical case of polymyositis in a 55-year-old man. The patient was admitted with a diagnosis "transient ischemic attack", quickly followed by an acute respiratory failure, which required the continuous use of mechanical ventilation. Other clinical symptoms included: a high diaphragm position up to the 4-th ribs, the concurrent purulent endobronchitis, bilateral pneumonia, pleurisy, multiple atelectasis, myocardial dysfunction with a decrease in ejection fraction to 46%, local hypokinesia according to EchoCG data. Despite the severe condition of the patient, there was not registered any distinct impairment of the proximal limb muscles and an increase in creatinphosphokinase blood level. The antinuclear myositis-specific antibodies, the signs of primary muscular damage according to the limb muscles ENMG data were also absent. The paraneoplastic process was excluded. The results of clinical examination made the diagnosis of polymyositis uncertain. To clarify the cause of the respiratory muscles damage, an intercostal muscle biopsy was performed.It revealed expressed changes in the muscle, with massive necrosis areas, and perivascular lymphohistiocytic infiltration.
Conclusion. The described case of polymyositis is extremely rare, has a severe course and is complicated for diagnosis and treatment. In this case, the most informative examination method can be a biopsy of the intercostal muscles, which allows to identify the inflammatory origine of the disease and to determine the pathogenetic therapy.
Full Text
ИВМ – идиопатическая воспалительная миопатия; ПМ – полимиозит; ДМ – дерматомиозит; КФК – креатинфосфокиназа; ЭМГ – электромиография; ГК – глюкокортикоиды; АД – артериальное давление; ИВЛ – искусственная вентиляция легких; ФВ – фракция выброса.
ВВЕДЕНИЕ
Идиопатические воспалительные миопатии (ИВМ) – группа редких аутоиммунных заболеваний, характеризующихся воспалением поперечно-полосатой мускулатуры с развитием прогрессирующей мышечной слабости и разнообразных системных проявлений в виде артралгий, синдрома Рейно, поражения внутренних органов (сердца, легких). ИВМ включают следующие группы: полимиозит (ПМ), дерматомиозит (ДМ), некротизирующий аутоиммунный миозит и миозит с включениями [1, 2, 3].
Основным клиническим признаком ПМ/ДМ является симметричное поражение скелетной мускулатуры, проявляющееся слабостью проксимальных отделов мышц плечевого и тазового поясов, мышц, участвующих в сгибании шеи. В процесс вовлекаются также мышцы гортани, голосовых связок, глотки, что обусловливает возникновение дисфагии и дисфонии. Мышечное поражение, как правило, сопровождается увеличением уровня креатинфосфокиназы (КФК) в крови, спонтанной активностью при игольчатой электромиографии (ЭМГ), лимфогистиоцитарной инфильтрацией и некрозом мышечного волокна, выявляемой при биопсии. ДМ характеризуется вовлечением в процесс кожи в виде периорбитального гелиотропного отека, эритемы на лице, лбу, груди, спине, папул Готтрона в области разгибательной поверхности суставов, «руки механика».
Из возможных органных поражений наиболее часто встречается (в 80% случаев) и влияет на прогноз ПМ/ДМ патология дыхательной системы, обусловливающая развитие дыхательной недостаточности. При этом могут возникать поражения межреберных мышц и диафрагмы, пневмония, интерстициальное поражение легких. При поражении дыхательной мускулатуры наблюдается высокое стояние купола диафрагмы, вялость ее дыхательных экскурсий, что приводит к экспираторной одышке, изменению функции внешнего дыхания по рестриктивному типу, снижению кашлевого и дыхательного клиренса легких, легочного кровотока. Все это создает условия для развития гиповентиляционной пневмонии и легочной гипертензии, приводящих к резкому увеличению смертности, особенно в течение первого года болезни [4].
Основой лечения ПМ/ДМ остаются глюкокортикоиды (ГК) в высокой дозе, которые обычно комбинируют с иммуносупрессивными препаратами, оказывающими взаимодополняющее действие. При неэффективности стандартной терапии используются внутривенно иммуноглобулин и биологические агенты (ритуксимаб, инфликсимаб) [5, 6].
В связи с полиморфизмом клинической картины ПМ/ДМ, редкой частотой его развития и вариабельностью доминирующих проявлений ранняя диагностика данной патологии представляет весьма сложную задачу [7, 8].
Особые трудности диагностического плана возникают при преимущественном поражении дыхательной мускулатуры и слабой выраженности или отсутствии на ранних этапах заболевания клинической симптоматики со стороны других групп мышц [9]. По данным литературы [4] и нашим наблюдениям (3 пациента из 83 больных ПМ в течение 10 лет), такая особенность мышечного поражения встречается крайне редко, что может быть причиной поздней диагностики возможного ПМ и несвоевременного начала адекватной терапии. Примером такой редкой патологии является описанное клиническое наблюдение.
КЛИНИЧЕСКОЕ НАБЛЮДЕНИЕ
Больной Г., 55 лет, врач по профессии, поступил в ГУЗ «Областная клиническая больница» г. Саратова 13.07.2019 г. с жалобами на одышку, головную боль, слабость. Заболел в мае 2019 года, когда появились и стали нарастать указанные жалобы. В июне 2019 года на ЭКГ и ЭхоКГ была выявлена гипертрофия левого желудочка. Ухудшение состояния наступило 13.07.2019 г., когда на фоне повышения артериального давления (АД) до 180/100 мм рт. ст. появились спутанность сознания, нарушения речи, головокружение, тремор рук. Указанная симптоматика купировалась в течение 2 часов бригадой скорой медицинской помощи, после чего больной был госпитализирован.
Из анамнеза известно, что больной длительное время страдал артериальной гипертонией, сахарным диабетом II типа. Много курил.
При поступлении состояние тяжелое. Сознание ясное. Температура 36,7°С. Выраженный акроцианоз. Периферических отеков нет. Мышечная и кожно-суставная патология отсутствует (больной удерживает конечность при умеренном давлении на нее врача [10]). При перкуссии левая граница сердца смещена влево на 1 см. Тоны сердца глухие, пульс 100 в минуту, удовлетворительных качеств. АД 180/90 мм рт. ст. Грудная клетка цилиндрической формы. Обе половины ее синхронно участвуют в акте дыхания. Дыхание жесткое по всем полям, симметричное, ослабленное в нижних отделах. Хрипов нет, ЧД 20 в минуту. Живот мягкий, безболезненный. Печень не увеличена. Речь, фонация не нарушены, глотание свободное. Чувствительность сохранена, парезов нет. Сатурация кислорода по данным пульсоксиметрии 86%.
Диагноз. Основное заболевание: транзиторная ишемическая атака от 13.07.2019 г.; артериальная гипертензия III стадия (риск IV); атеросклероз аорты, коронарных, мозговых сосудов. Фоновое заболевание: сахарный диабет II типа.
Назначено лечение: сернокислая магнезия 25% инфузоматом и внутримышечно, розувастатин, зофеноприл, метопролола сукцинат, амлодипин, верошпирон, инсуффляция увлажненного кислорода.
В дальнейшем состояние больного стало прогрессивно ухудшаться в связи с нарастанием дыхательной недостаточности: появилось психомоторное возбуждение, цианоз носогубного треугольника, дыхание открытым ртом, поверхностное. ЧД 25 в минуту, пульс 80–105 в минуту, АД с тенденцией к снижению до 90/60 мм рт. ст. Сатурация кислорода 80%. Принято решение об интубации трахеи с последующим переводом больного на искусственную вентиляцию легких (ИВЛ).
Проведенные рентгенография легких, компьютерная томография с ангиографией данных за тромбоэмболию легочной артерии не выявили. Определялись двусторонняя пневмония в наддиафрагмальных сегментах, высокое стояние диафрагмы справа до 5 ребра с компрессией средней доли, венозный застой в легких, легочная гипертония. Впоследствии к ним присоединились дисковидные ателектазы в верхних долях легких, скопление жидкости в плевральных полостях, смещение средостения влево. 25.07.2019 г. диафрагма определялась на уровне 4 ребер с обеих сторон. Нарастало количество слизисто-гнойной мокроты, обтурирующей сначала правый, а потом и левый главный бронх.
При ЭхоКГ выявлялись снижение фракции выброса (ФВ) до 46%, гипокинезия всех передних и перегородочных сегментов, верхушки сердца, митральная и трикуспидальная регургитация II степени, на ЭКГ – ишемическая элевация сегментов ST в V4–V6 отведениях.
Вводились норадреналин, церебролизин, препараты инсулина короткого действия, цефтриаксон, меропенем, цефоперазон/сульбактам, фосфомицин, дексаметазон. Впоследствии дополнительно назначались флюконазол, лизиноприл, фраксипарин, лоперамид, адеметионин, панкреатин.
С 27.07.19 г. была отмечена положительная динамика: уменьшилось количество мокроты, которая стала носить преимущественно слизистый характер, исчезли очаговые и инфильтративные изменения в легких. Постоянно сохранялась компрессия нижних долей легких за счет высокого стояния диафрагмы, застойные явления в легких. ФВ увеличилась до 64%, митральная и трикуспидальная регургитации уменьшились до I степени, исчезла элевация сегментов ST в V4–V6 отведениях.
Однако, несмотря на положительные сдвиги в развитии заболевания, состояние больного оставалось тяжелым: он находился на энтеральном питании, дышал через трахеостому с помощью ИВЛ.
Проводились следующие исследования. Общий анализ крови – без патологии, СОЭ – 17–28 мм/ч (норма до 10 мм/ч ), СРБ – 183 мг/л (норма до 5 мг/л), КФК – 397,0 ед./л (норма до 171 ед./л). КФК МВ, миоглобин, сердечный тропонин, АСТ, АЛТ, глюкоза, мочевина, креатинин, билирубин, протеины, электролиты, Д-димер – в пределах нормы.
Антинуклеарные антитела, АНЦА, антитела к фосфолипидам, миозит-специфические и миозит-ассоциированные антитела, маркеры вирусного гепатита, антитела к ВИЧ не обнаружены.
В общем анализе мокроты сначала лейкоциты покрывали все поля зрения; позже их количество уменьшилось до 20. Бактериальный анализ мокроты выявил наличие pseudomonas aeruginosa и acinetobacter sp.
Для уточнения диагноза был проведен онкопоиск: ФГДС, УЗИ предстательной и щитовидной желез, органов брюшной полости, выполнена КТ органов грудной клетки и брюшной полости, забрюшинного пространства, МРТ головы, исследованы онкомаркеры. Опухоль не выявлена. При проведении игольчатой электронейромиографии (ЭНМГ) в мышцах конечностей признаков текущего первично-мышечного поражения не выявлено.
Учитывая преимущественное поражение у больного дыхательной мускулатуры, была сделана биопсия межреберных мышц, определившая наличие в мышечной ткани выраженных дегенеративных, дистрофических и атрофических изменений с участками массивных некрозов, периваскулярной лимфогистиоцитарной инфильтрации.
Был выставлен диагноз. Основное заболевание: полимиозит, острое течение, высокая активность с преимущественным поражением дыхательной мускулатуры, высоким стоянием диафрагмы с развитием компрессии нижних долей легких, двусторонней нижнедолевой пневмонии, двустороннего плеврита, множественных ателектазов. Гнойный трахеобронхит. Миокардит. Митральная и трикуспидальная регургитации II степени. Трахеостомия 17.07.2019 г. Операция 25.07.2019 г. – миниторакотомия справа, биопсия кожи и межреберной мышцы справа. Транзиторная ишемическая атака от 13.07.2019 г. Артериальная гипертензия III стадия, риск IV. Атеросклероз аорты, коронарных, мозговых сосудов. Фоновое заболевание: сахарный диабет II типа; диабетическая ангиопатия; сенсорно-моторная полинейропатия; избыточная масса тела, абдоминальная форма. Осложнения: острая дыхательная недостаточность; острая сердечно-сосудистая недостаточность; отек легких; отек мозга.
С учетом выставленного диагноза и практически ликвидированного гнойного процесса в легких было принято решение о назначении ГК терапии – метилпреднизолона 32 мг/сутки. Впоследствии в связи с невыраженным эффектом и отсутствием отрицательной динамики со стороны бронхо-легочной системы дозу метилпреднизолона увеличили до 48 мг/сутки, добавили внутривенное введение солу-медрола по 250 мг/сутки трижды, затем по 500 мг/сутки трижды, затем дважды солу-медрол вводился по 750 мг/сутки. На фоне ГК терапии наметилась стабилизация состояния. Больного даже на некоторое время отключали от ИВЛ, он начал ходить около кровати.
Однако 21.08.2019 г. АД снизилось до 100/70 мм рт. ст. Боли в сердце отсутствовали, маркеры повреждения миокарда были отрицательными, ЭКГ – без динамики. Кровотечения по данным ФГДС не выявлено. Вводился норадреналин, преднизолон внутривенно. Больной внезапно потерял сознание. АД и пульс на магистральных сосудах не определялись. Проведенные в полном объеме реанимационные мероприятия эффекта не дали. На ЭКГ была зафиксирована прямая линия. Констатирована смерть больного.
ОБСУЖДЕНИЕ
Описанный ПМ с неблагоприятным исходом был крайне сложным для врачей в связи с выраженной тяжестью заболевания, значительными трудностями диагностики и подбора адекватной терапии. Тяжесть заболевания была обусловлена острой дыхательной недостаточностью, развившейся вследствие слабости диафрагмы с высоким ее стоянием (на уровне 4 ребра), и последующим присоединением гнойного эндобронхита, двусторонней пневмонии, множественных ателектазов, двусторонних плевритов со смещением средостения. Развившийся на этом фоне гиповентиляционный синдром обусловил транзиторную ишемию мозга, поражение миокарда (со снижением фракции выброса до 46%, очаговой гипокинезией), повлек необходимость постоянного применения ИВЛ.
При поступлении пациента в стационар не было явных клинических признаков поражения проксимальных мышц конечностей, КФК повышалось незначительно (до 397 ед./л) однократно, по данным игольчатой ЭНМГ признаков текущего первично-мышечного поражения выявлено не было; уровни КФК-МВ, миоглобина, тропонина, АСТ, АЛТ оставались в пределах нормы. Не было обнаружено антиядерных, антифосфолипидных, миозит-специфических антител, которые по некоторым данным [11] должны присутствовать при ИВМ в 90% случаев.
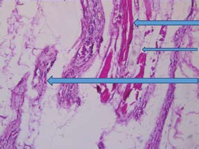
Учитывая возможность развития поражения мышц в рамках паранеопластического синдрома [12], был проведен онкопоиск, не выявивший искомой патологии. Несмотря на отсутствие развернутой картины ПМ, для уточнения характера поражения дыхательной мускулатуры была проведена биопсия межреберных мышц и кожи. С ее помощью были выявлены выраженные дегенеративно-дистрофические и атрофические изменения с участками массивных некрозов, лимфогистиоцитарной инфильтрацией мышечных волокон (рисунки 1, 2).
Рисунок 1. Замещение мышечной ткани на фиброзную (1) и жировую (3). Лимфогистиоцитарная инфильтрация мышечных волокон (темный цвет).
Рисунок 2. Специфическое свечение некротизированных мышц в поляризованном свете.
Полученные данные морфологического исследования позволили диагностировать ПМ с преимущественным поражением дыхательной мускулатуры, а наличие периваскулярных инфильтратов, подтверждающих воспалительный генез заболевания, исключить миопатии иного генеза (генетические, эндокринные, метастатические и др.) [13].
Известно, что наиболее частой причиной неблагоприятного течения и исхода при ИВМ является поражение дыхательной системы (45–50%) и прежде всего развитие пневмоний [11, 14, 15], которые к тому же ограничивают адекватную ГК терапию. Тяжелейшая инфекция дыхательной системы у больного обусловила относительно позднее и в ограниченных дозах (особенно на начальных этапах) назначение ГК.
Необходимо отметить, что особенностью результатов, полученных при патологоанатомическом исследовании и полностью согласующихся с клинической картиной заболевания, явилось преимущественное тяжелое поражение дыхательной мускулатуры с резко выраженной атрофией, некрозом, фиброзом межреберных мышц, диафрагмы, периваскулярной лимфо-гистиоцитарной инфильтрацией. В мышцах бедер выявлены аналогичные изменения, но в меньшей степени выраженности. Данное обстоятельство обусловливает отсутствие отчетливой клинической симптоматики поражения проксимальных мышц конечностей.
При морфологическом исследовании выявлена выраженная дистрофия миокарда с множественными сливающимися очагами миолиза, которые, являясь предстадией некротических изменений, свидетельствовали о еще большем отставании поражения миокарда от выраженности патологических процессов в проксимальных мышцах конечностей и тем более в дыхательной мускулатуре. Однако формирование миокардита на данном этапе явилось достаточным для развития отека легких, головного мозга, венозного полнокровия и паренхиматозной дистрофии внутренних органов, приведших к смерти больного. Нерезко выраженный атеросклероз коронарных сосудов влияния на исход заболевания не оказал.
ВЫВОДЫ
- Неотчетливая клиническая симптоматика поражения проксимальных мышц конечностей в сочетании с отсутствием первично-мышечного их поражения по данным ЭНМГ и иммунологических сдвигов, неубедительным повышением уровня мышечных ферментов в крови делают диагностику ПМ сложной задачей.
- При наличии дыхательной недостаточности следует иметь в виду редко встречающееся при полимиозите превалирующее поражение дыхательной мускулатуры с отставанием включения в патологический процесс мышц конечностей.
- Данный вариант полимиозита характеризовался крайне тяжелым течением (развитием острой дыхательной недостаточности вследствие слабости дыхательных мышц, присоединения пневмоний, ателектазов, плевритов) и в связи с значительными трудностями диагностики – запоздалым и неадекватным лечением.
- Наиболее значимым методом обследования для уточнения характера поражения дыхательной мускулатуры является биопсия межреберных мышц, позволяющая выявить воспалительный генез заболевания и определить назначение патогенетической терапии.
About the authors
Elena N. Scryabina
Saratov State Medical University named after V.I. Razumovsky
Email: Magnad4@yandex.ru
PhD, Associate Professor, Department of hospital therapy
Russian Federation, SaratovNadezhda A. Magdeeva
Saratov State Medical University named after V.I. Razumovsky
Author for correspondence.
Email: Magnad4@yandex.ru
PhD, Associate Professor, Department of hospital therapy
Russian Federation, SaratovIrina F. Melehina
Saratov Regional Hospital
Email: Magnad4@yandex.ru
the Head of the Rheumatological Department
Russian Federation, SaratovOlga L. Alexandrova
Saratov State Medical University named after V.I. Razumovsky
Email: Magnad4@yandex.ru
PhD, Associate Professor, Department of hospital therapy.
Russian Federation, SaratovReferences
- Russian clinical recommendations. Rheumatology / ed. Nasonov EL. M.: GEOTAR-Media, 2017. (In Russ.). [Российские клинические рекомендации. Ревматология / под ред. Насонова Е.Л. М.: ГЭОТАР-Медиа, 2017].
- Siba P, Anupam M. Polymyositis and dermatomyositis: Disease spectrum and classification. Indian J Dermatol. 2012;57(5):366–370. doi: 10.4103/0019-5154.100477
- Hunter M, Telias I, Collado V, et al. Inflammatory myopathy with initial respiratory muscles involvement and rheumatoid arthritis. Medicina (B Aires). 2014;74(5):393–6.
- Antelava OA, Bondarenko IB, Chichasova NV, Nasonov EL. Respiratory disorders in patients with polymyositis/dermatomyositis. Modern Rheumatology Journal. 2014;(1):31–38. (In Russ.). [Антелава О.А., Бондаренко И.Б., Чичасова Н.В., Насонов Е.Л. Респираторные изменения при полимиозите/дерматомиозите. Современная ревматология. 2014;(1):31–38]. doi: 10.14412/1996-7012-2014-1-31-38
- Zykova AS, Novikov PI, Moiseev SV. Adult dermatomyositis: new classification criteria and modern treatment. Clinical Pharmacology and Therapy. 2017;26(2):83–92. (In Russ.). [Зыкова А.С., Новиков П.И., Моисеев С.В. Дерматомиозит взрослых: новые критерии диагностики и перспективы терапии. Клиническая фармакология и терапия. 2017;26(2):83–92]. doi: 10.32756/0869-5490-2019-2
- Antelava OA, Lyubimova EG, Palshina SG, at al. Development of comorbid infection in patients with polymyositis/dermatomyositis. Scientific and Practical Rheumatology. 2009;3:102–105. (In Russ.). [Антелава О.А., Любимова Е.Г., Пальшина С.Г. Развитие вторичной инфекции у пациентов с полимиозитом/дерматомиозитом. Научно-практическая ревматология. 2009;3:102–105]. doi: 10.14412/1995-4484-2009-1319
- Shklyaev AE, Zamyatina SG, Gorbunov YuV, Ivanova LV. Features of a diagnostic search for dermatomyositis (clinical observation). Archive of Internal Medicine. 2017;7(6):469–473. (In Russ.). [Шкляев А.Е., Замятина С.Г., Горбунов Ю.В., Иванова Л.В. Особенности диагностического поиска при дерматомиозите (клиническое наблюдение). Архивъ внутренней медицины. 2017;7(6):469–473]. doi: 10.20514/2226-6704-2017-7-6-469-473
- Dikareva EA, Velichinskaya OG. Dermatomyositis (clinical case). Vestnik of Vitebsk State Medical University. 2019;18(2):116–122. (In Russ.). [Дикарева Е.А., Величинская О.Г. Дерматомиозит (клинический случай). Вестник ВГМУ. 2019;18(2):116–122]. doi: 10.22263/2312-4156.2019.2.116
- Skryabina EN, Borodkin AV, Korotin AS. Diagnosis of defeat of the respiratory muscles in idiopathic inflammatory myopathies. Clinical discussion. Farmateka. 2013;19(272):108–111. (In Russ.). [Скрябина Е.Н., Бородкин А.В., Коротин А.С. Диагностика поражения дыхательной мускулатуры при идиопатических воспалительных миопатиях. Клинический разбор. Фарматека. 2013;19(272):108–111].
- Antelava OA, Nasonov EL. Modern methods for assessing activity and damage in idiopathic inflammatory myopathies. Scientific and Practical Rheumatology. 2007;1:59–62. (In Russ.). [Антелава О.А., Насонов Е.Л. Современные методы оценки активности и повреждения при идиопатических воспалительных миопатиях. Научно-практическая ревматология. 2007;1:59–62]. doi: 10.14412/2074-2711-2014-3-56-65
- Antelava OA, Nasonov EL. Idiopathic inflammatory myopathies: main clinical and immunological options, difficulties in the differential diagnosis and therapy. Clinical Medicine. 2014;3:19–25. (In Russ.). [Антелава О.А., Насонов Е.Л. Идиопатические воспалительные миопатии: основные клинико-иммунологические варианты, трудности дифференциального диагноза и терапии. Клиническая медицина. 2014;3:19–25]. doi: 10.14412/1996-7012-2014-3-56-65
- Antelava OA, Khelkovskaya-Sergeeva AN, Chichasova NV, Radenska-Lopovok SG. Myositis associated with malignant tumors. Rheumatology Science and Practice. 2016;54(3):289–298. (In Russ.). [Антелава О.А., Хелковская-Сергеева А.Н., Чичасова Н.В., Раденска-Лоповок С.Г. Миозит, ассоциированный со злокачественными опухолями. Научно-практическая ревматология. 2016;54(3):289–298]. doi: 10.14412/1995-4484-2016-289-298
- Antelava OA, Starovoitova MN, Desinova OV, et al. Differential diagnosis of myopathic syndrome in dermatomyositis/polymyositis and progressive muscular dystrophies (description of a case). Modern Rheumatology Journal. 2012;4:55–57. (In Russ.). [Антелава О.А., Старовойтова М.Н., Десинова О.В. и др. Особенности дифференциальной диагностики миопатического синдрома при дерматомиозите/полимиозите и прогрессирующих мышечных дистрофиях (Описание случая). Современная ревматология. 2012;4:55–57]. doi: 10.14412/1996-7012-2012-763
- Antelava OA, Lyubimova EG, Palshina SG, et al. Development of comorbid infection in patients with polymyositis/dermatomyositis. Rheumatology Science and Practice. 2009;3:102–105. (In Russ.). [Антелава О.А., Любимова Е.Г., Пальшина С.Г. и др. Развитие вторичной инфекции у пациентов с полимиозитом/дерматомиозитом. Научно-практическая ревматология. 2009;3:102–105]. doi: 10.14412/1995-4484-2009-1319
- Antelava OA, Radenska-Lopovok SG, Nasonov EL. Diagnostic criteria for idiopathic inflammatory myopathies. Problems of their optimization. Modern Rheumatology Journal. 2014;(3):56–65. doi: 10.14412/1996-7012-2014-3-56-65
Supplementary files







