Комплексная нейровизуализация черепно-мозговой травмы: рентгенография и компьютерная томография
- Авторы: Яриков А.В.1,2,3, Ермолаев А.Ю.2,4, Леонов В.А.2,4, Калинкин А.А.2,5, Фраерман А.П.4, Астахов А.И.2, Руднев Ю.В.2
-
Учреждения:
- ФБУЗ «Приволжский окружной медицинский центр» ФМБА
- ГБУЗ НО «Городская клиническая больница №39»
- ООО УЗ «Областной диагностический центр»
- ФГБОУ ВО «Приволжский исследовательский медицинский университет»
- ФГБУ «Федеральный научно-клинический центр» ФМБА
- Выпуск: Том 5, № 3 (2020)
- Страницы: 170-175
- Раздел: Лучевая диагностика, лучевая терапия
- Статья опубликована: 20.10.2020
- URL: https://innoscience.ru/2500-1388/article/view/47372
- DOI: https://doi.org/10.35693/2500-1388-2020-5-3-170-175
- ID: 47372
Цитировать
Полный текст
Аннотация
Ежегодно 1,5 млн человек погибает от черепно-мозговой травмы, из них 50 тыс. – в России. Современная диагностика черепно-мозговой травмы (ЧМТ) снижает смертность и повышает качество медицинской помощи. В статье рассматриваются современные инструментальные методы диагностики ЧМТ: рентгенография и КТ черепа, КТ-ангиография, КТ-цистернография (КТ-Ц), КТ-перфузия и селективная церебральная ангиография.
Рассмотрены преимущества и недостатки каждого из методов. Также описаны показания к каждому из вышеперечисленных методов.
Полный текст
ЧМТ – черепно-мозговая травма;
ГМ – головной мозг;
КТ – компьютерная томография;
ВКК – вентрикуло-краниальный коэффициент;
КТ-Ц – КТ-цистернография;
ЦАГ – церебральная ангиография;
ДАП – диффузное аксональное повреждение;
УГМ – ушиб головного мозга.
ВВЕДЕНИЕ
Черепно-мозговая травма (ЧМТ) представляется одним из наиболее частых видов травматизма и располагается на первом месте среди причин смертности и инвалидизации трудоспособных жителей развитых стран [1, 2, 3]. Ежегодно от ЧМТ в мире погибает 1,5 млн человек, а 2,4 млн становятся инвалидами [4]. В США ежегодно получают ЧМТ 1,6 млн человек: 51 тыс. из них погибает, а 124 тыс. становятся инвалидами [2, 4, 5]. Существенного снижения смертности и повышения качества оказываемой медицинской помощи лицам с тяжелой ЧМТ можно добиться путем выполнения своевременной диагностики повреждений головного мозга (ГМ) и выполнения экстренной операции до возникновения необратимых дислокационных изменений в стволе ГМ [6, 7, 8]. Под нейровизуализацией понимается комплекс диагностических методов, позволяющих визуализировать структуру, функциональное состояние и некоторые биохимические характеристики вещества ГМ [8, 9].
ЦЕЛЬ
Представить роль современных методов инструментальной диагностики (рентгенография, компьютерная томография и церебральная ангиография) черепно-мозговой травмы и описать их преимущества и недостатки.
РЕНТГЕНОГРАФИЯ
Рентгенография черепа – один из старейших и до сих пор наиболее доступных методов диагностики ЧМТ [10, 11]. Пострадавшим с подозрением на ЧМТ рентгенографию черепа выполняют в двух взаимоперпендикулярных проекциях (прямой и боковой). При необходимости используют дополнительные укладки (касательные, полуаксиальные, снимки орбит по Резе, височных костей по Шюллеру, Майеру, Стенверсу, Бабчину, придаточных пазух носа и др.) [12]. По данным рентгенографии верифицируют переломы костей черепа, расхождение черепных швов, присутствие уровня жидкости в верхнечелюстных пазухах или пневмоцефалии [1, 13]. Следует помнить, что краниографию нельзя рассматривать как скрининговый метод диагностики ЧМТ. Чувствительность рентгенографии при верификации переломов костей черепа составляет 60%, а переломов костей лицевого скелета – 40% [14]. Кроме того, рентгенография не позволяет визуализировать вещество ГМ и оценить его повреждения [10, 15].
КОМПЬЮТЕРНАЯ ТОМОГРАФИЯ
Компьютерная томография (КТ) – метод получения снимков при помощи рентгеновского излучения, который основан на поперечном сканировании черепа и ГМ пучком рентгеновских лучей [1, 16, 17]. К преимуществам КТ-исследований для первичного обследования пациентов с ЧМТ относятся: доступность, возможность быстрого обследования, совместимость с медицинскими приборами жизнеобеспечения и визуализация вещества ГМ [15, 18, 19].
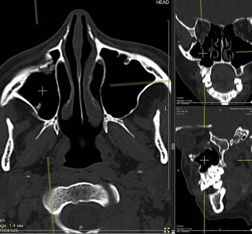
Стандартная толщина среза при КТ ГМ составляет 5 мм, шаг в зависимости от аппарата – 0,1–1 мм [10, 20]. При подозрении на переломы костей лицевого скелета (рисунки 1 и 2) проводят дополнительное сканирование толщиной среза 1–2 мм с последующей MPR и 3D- реконструкцией [1, 12, 15, 21].
Рисунок 1. КТ костей лицевого скелета в MPR. Перелом верхнечелюстной пазухи справа.
Рисунок 2. КТ костей лицевого скелета в MPR. Перелом верхнечелюстной пазухи с обеих сторон и двусторонний гемосинус.
При обнаружении очагов повреждения ГМ описывают их вид, топическое расположение, количество, рентгенологическую плотность (показатели коэффициента поглощения) в единицах Хаунсфилда (ед. Н) объем очагов и перифокального отека в см3, у оболочечных гематом измеряют наибольшую толщину в мм [1, 11, 22]. Оценивают локализацию срединных структур ГМ (прозрачной перегородки, III желудочка и эпифиза) и величину их поперечного смещения в мм [23]. Устанавливают состояние базальных цистерн ГМ, их видимость на всем протяжении, конфигурацию, отношение с прилежащими структурами ГМ [24]. Далее описывают состояние желудочковой системы с обязательным расчетом величины вентрикуло-краниальных коэффициентов (ВКК). ВКК оценивается для установления степени гидроцефалии или сужения желудочков ГМ при его отеке, оценивают эти результаты в динамике. Расчет ВКК производят по общепринятой методике, сопоставляя полученные результаты с возрастными пределами [25, 26, 27].
Для оценки ушибов ГМ и ДАП широко используют КТ-классификацию L.F. Marshall et al. (1992 г.), которая учитывает объем очага ушиба и необходимость хирургического вмешательства (таблица 1) [25]. Диффузные повреждения ГМ описаны исходя из их плотности по данным КТ, по состоянию базальных цистерн и величине латеральной дислокации. Эта классификация дает возможность расценивать степень выраженности дислокационного синдрома, а также предсказать результаты лечения у лиц с УГМ и ДАП [1, 4, 28].
Виды повреждения ГМ | КТ-картина |
Диффузное повреждение I | Норма |
Диффузное повреждение II | Очаг повреждения невысокой или смешанной плотности более 25 см3 (в том числе кости или инородные тела) Смещение 0–5 мм Цистерны основания ГМ прослеживаются |
Диффузное повреждение III | Очаг повреждения невысокой или смешанной плотности более 25 см3 Смещение 0–5 мм Цистерны основания ГМ поджаты или не прослеживаются |
Диффузное повреждение IV | Очаг повреждения невысокой или смешанной плотности более 25 см3 Смещение более 5 мм |
Удаленные очаги | Любой хирургически удаленный очаг повреждения ГМ |
Неудаленные очаги | Очаг повреждения высокой или смешанной плотности объемом более 25 см3 , хирургически не удаленный |
Таблица 1. КТ-классификация ушибов ГМ по L.F. Marshall, et al.
Table 1. CT-classification of MS injuries by L.F. Marshall, et al.
A.I. Maas et al. (2005 г.) на основании данных КТ предложили простую в использовании шкалу оценки травматических поражений ГМ, получившую название Rotterdam computed tomography score [28, 29]. Оценку по шкале Rotterdam выполняют, суммируя баллы в каждой из четырех категорий, а затем в конце прибавляют 1 балл. Оценивают следующие категории КТ-признаков (таблица 2).
КТ-признаки | Баллы |
Базальные цистерны | 0 – норма 1 – поджаты 2 – не визуализируются |
Дислокация срединных структур | 0 – 0–5 мм 1 – более 5 мм |
Эпидуральная гематома | 0 – не визуализируется 1 – выявляется |
Внутрижелудочковое, или субарахноидальное, кровоизлияние | 0 – не визуализируется 1 – выявляется |
Таблица 2. КТ-классификация по шкале Rotterdam (2005 г.)
Table 2. Rotterdam computed tomography score, 2005
Авторы провели статистическую оценку прогностической точности классификации L.F. Marshall et al. и шкалы Rotterdam. Оказалось, что шкала Rotterdam представляется более точной для оценки прогнозирования исходов при ЧМТ, что достигается путем дополнительного учета у лиц субарахноидального, или внут-рижелудочкового, кровоизлияния и более детального описания состояния базальных цистерн. По данным клиницистов, при сумме баллов 0 по шкале Rotterdam летальность насчитывает 0%, при максимальной сумме (6) – 61% [1].
Очаг ушиба по КТ выглядит как очаг повышенной денситометрической плотности (размозженные участки ГМ с кровоизлияниями), окруженный зоной перифокального отека пониженной плотности, которая развивается уже в первый час ЧМТ [23, 30].
Объем очага УГМ рассчитывается на основании модифицированного эллипсоидного объема [24]: объем очага = A + B + C / 2, где A, B и C – три ортогональные величины гематомы в см.
Установлено, что при КТ лишь у 10% лиц с ДАП в остром периоде обнаруживается классическая картина, характеризующаяся точечными геморрагиями в области мозолистого тела, на границе белого и серого вещества полушарий ГМ, а также в области ствола и среднего мозга. КТ имеет низкую чувствительность в остром периоде при микроструктурных повреждениях белого вещества, подкорковых структур, ствола ГМ, которые не сопровождаются микрокровоизлияниями [19]. Из-за распада гемоглобина и уменьшения степени поглощения рентгеновских лучей на уровне кровоизлияния на КТ хуже визуализируются подострые и хронические гематомы, а также артефакты от костей черепа – структуры задней черепной ямки и ствола ГМ [4]. Ликворея по КТ верифицируется, если место перелома костей основания черепа совпадает с пазухой, имеющей содержимое, по плотности соответствующее ликвору [31].
Высокое разрешение КТ позволяет верифицировать любые черепно-лицевые повреждения (толщина среза до 2 мм). КТ дает возможность определить положение и величину смещения фрагментов, визуализировать как кости, так и мышцы челюстно-лицевой области, глазодвигательный аппарат (мышцы и глазное яблоко), околоносовые синусы, полость носа, количественно определить наличие, размер и топографию гематом, эмфизему (пневматизацию) тканей, костных полостей и фрагментов; наличие, параметры и топографию инородных тел [20, 32, 33].
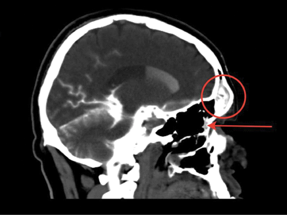
КТ-цистернография (КТ-Ц). При базальной ликворее применяются нейровизуализация ликворопроводящих путей с эндолюмбaльной инъекцией водорастворимых контрастных препаратов [12]. КТ-Ц дает возможность точно локализовать ликворную фистулу, выявить затекание контрастного препарата в придаточные пазухи носа и на основание черепа (рисунки 3, 4 и 5) [13, 34].
Рисунок 3. КТ-Ц с активной назальной ликвореей. Определяется распространение контрастного препарата из полости черепа в носовую полость через дефект основания черепа, в области продырявленной пластинки решетчатой кости слева дефект решетчатой кости обозначен стрелкой.
Рисунок 4. КТ-Ц с активной назальной ликвореей. Определяется дефект задней стенки лобной пазухи с пролабированием лобных долей (больше левой) в полость лобной пазухи – менингоэнцефалоцеле. В правой лобной пазухе визуализируется контрастный препарат, мигрирующий в полость носа. Желтая стрелка – менингоэнцефалоцеле; красный круг – контрастный препарат в правой лобной пазухе.
Рисунок 5. КТ-Ц с назальной ликвореей; красный круг – контрастный препарат в правой лобной пазухе; красная стрелка – контрастный препарат в полости носа.
КТ-Ц имеет до 96,7% вероятности выявляемости локализации ликворной фистулы при активной и 40% при неактивной ликворее. В остром периоде ЧМТ использование КТ-Ц имеет чувствительность до 56% в связи со сложностью дифференцировки между контрастным препаратом и геморрагическим субстратом в цистернах и в области передней черепной ямки [12, 31].
КТ-ангиографию выполняют путем введения йодсодержащего рентгеноконтрастного вещества, с дальнейшим сканированием толщиной срезов 1–3 мм. После производят построение 2D- и 3D-моделей для оценки структуры, просвета и хода артерий, их взаимоотношений с близлежащими костными образованиями и веществом ГМ [21, 35]. КТ-ангиография в диагностике ЧМТ применяется при проникающих ранениях черепа и ГМ, при присутствии инородных тел в полости черепа, для изучения взаимоотношений между магистральными артериями ГМ и инородным предметом, а также исключения травматизации стенки артерии [9].
Перфузионная КТ – КТ с внутривенным болюсным контрастным усилением, которое дает возможность функционально и количественно оценивать кровоток ГМ и перфузию тканей в разных его отделах, что представляется недоступным при нативной КТ [35, 36, 37]. При КТ-перфузии анализируют изменение плотности при контрастировании выбранного участка ГМ в артериальную, венозную и капиллярную фазы и при помощи математического анализа рассчитывают главные гемодинамические параметры для выделенного участка: объемную скорость церебрального кровотока (CBF, мл/100 г/мин), мозговой объем крови (CBV, мл/100 г), среднее время транзита крови через этот участок ГМ (MTT, с) на момент исследования и время до достижения максимальной (пиковой) концентрации контрастного препарата (ТТР, с) [38]. Эти показатели меняются уже с первых минут формирования ишемических изменений и связаны соотношением: CBV = CBF x MTT [9]. У лиц с ЧМТ КТ-перфузию применяют в оценке динамики формирования очагов ушиба, вторичных ишемических повреждений ГМ и в выявлении ДАП [39]. При ДАП фиксируется диффузное уменьшение CBF и CBV преимущественно в глубинных структурах ГМ и перивентрикулярной зоне, характерных для глубокой ишемии и нарушения коллатерального тока крови [8, 32].
Из-за внедрения в нейрохирургическую практику КТ и МРТ церебральная ангиография (ЦАГ) в диагностике ЧМТ потеряла свое значение [22]. В настоящий момент показаниями к ЦАГ у лиц с ЧМТ представляются клинические признаки повреждения экстра- и интракраниальных артерий, синусов, присутствие инородного тела (пуля, холодное оружие, осколки и др.) в полости черепа, располагающегося в непосредственной близости от магистральных сосудов или синусов, а также подозрение на формирование посттравматического каротидно-кавернозного соустья [9, 13, 15].
ЗАКЛЮЧЕНИЕ
В настоящее время «золотым стандартом» обследования лиц с острой ЧМТ представляется нативная КТ ГМ, которую применяют в качестве скринингового метода диагностики при любой ЧМТ. При подозрении на травму лицевого скелета КТ-исследование нужно дополнять сканированием ниже орбитомеатальной линии с шагом томографа 1–3 мм. КТ позволяет оценить тяжесть ЧМТ, определить прогноз и тактику лечения в остром периоде. При подозрении на травму интракраниальных сосудов или синусов твердой мозговой оболочки или при верификации по КТ инородного тела, в непосредственной близости прилежащего к магистральным интракраниальным сосудам, исследование дополняют КТ-ангиографией или ЦАГ.
КТ-Ц выполняется лицам с посттравматической базальной ликвореей, и она предоставляет информацию для выбора адекватного и максимально щадящего хирургического подхода и закрытия фистулы.
Перфузионная КТ в остром периоде ЧМТ теряет свою значимость из-за невысокой клинической ценности и относительно высоких временных и ресурсных затрат. В настоящее время КТ-перфузия применяется в отдаленном периоде ЧМТ с целью оценки прогноза восстановления пострадавшего.
Об авторах
Антон Викторович Яриков
ФБУЗ «Приволжский окружной медицинский центр» ФМБА; ГБУЗ НО «Городская клиническая больница №39»; ООО УЗ «Областной диагностический центр»
Автор, ответственный за переписку.
Email: anton-yarikov@mail.ru
ORCID iD: 0000-0002-4437-4480
к.м.н., нейрохирург
Россия, Нижний Новгород; Нижний Новгород; ВладимирА. Ю. Ермолаев
ГБУЗ НО «Городская клиническая больница №39»; ФГБОУ ВО «Приволжский исследовательский медицинский университет»
Email: anton-yarikov@mail.ru
ORCID iD: 0000-0003-1481-5473
нейрохирург, онколог, аспирант
Россия, Нижний НовгородВ. А. Леонов
ГБУЗ НО «Городская клиническая больница №39»; ФГБОУ ВО «Приволжский исследовательский медицинский университет»
Email: anton-yarikov@mail.ru
ORCID iD: 0000-0001-6228-4879
нейрохирург
Россия, Нижний НовгородА. А. Калинкин
ГБУЗ НО «Городская клиническая больница №39»; ФГБУ «Федеральный научно-клинический центр» ФМБА
Email: anton-yarikov@mail.ru
ORCID iD: 0000-0003-0720-4850
нейрохирург
Россия, Нижний Новгород; МоскваА. П. Фраерман
ФГБОУ ВО «Приволжский исследовательский медицинский университет»
Email: anton-yarikov@mail.ru
ORCID iD: 0000-0002-5476-7069
профессор, нейрохирург, ведущий научный сотрудник группы «Микронейрохирургия»
Россия, Нижний НовгородА. И. Астахов
ГБУЗ НО «Городская клиническая больница №39»
Email: anton-yarikov@mail.ru
ORCID iD: 0000-0002-5586-5517
рентгенолог
Россия, Нижний НовгородЮ. В. Руднев
ГБУЗ НО «Городская клиническая больница №39»
Email: anton-yarikov@mail.ru
ORCID iD: 0000-0001-7915-0623
заведующий отделением челюстно-лицевой хирургии
Россия, Нижний НовгородСписок литературы
- Puras YuV, Grigoreva EV. Neuroimaging methods in the diagnosis of traumatic brain injury. Part 1. Computer and magnetic resonance imaging. Nejrohirurgiya. 2014;2:7–16. (In Russ.). [Пурас Ю.В., Григорьева Е.В.Методы нейровизуализации в диагностике черепно-мозговой травмы. Часть 1. Компьютерная и магнитно-резонансная томография. Нейрохирургия. 2014;2:7–16].
- Fraerman AP. Traumatic compression of the brain: current aspects of the problem, treatment tactics. Sovremennye tekhnologii v medicine. 2011;4:146–150. (In Russ.). [Фраерман А.П. Травматическое сдавление головного мозга: современные аспекты проблемы, тактика лечения. Современные технологии в медицине. 2011;4:146–150].
- Tihomirov SE, Cybusov SN, Kravec LYa, et al. Plastic defects of the cranial vault and dura mater with a new polymer material. Sovremennye tekhnologii v medicine. 2010;2:6–11. (In Russ.). [Тихомиров С.Е., Цыбусов С.Н., Кравец Л.Я. и др. Пластика дефектов свода черепа и твердой мозговой оболочки новым полимерным материалом РЕПЕРЕН. Современные технологии в медицине. 2010;2:6–11].
- Potapov AA, Lihterman LB, Kravchuk AD, et al. Modern approaches to the study and treatment of traumatic brain injury. Annaly klinicheskoj i eksperimental'noj nevrologii. 2010;4(1):4–12. (In Russ.). [Потапов А.А., Лихтерман Л.Б., Кравчук А.Д. и др. Современные подходы к изучению и лечению черепно-мозговой травмы. Анналы клинической и экспериментальной неврологии. 2010;4(1):4–12].
- Muhina TS, Sharova EV, Boldyreva GN, et al. Features of the neuroanatomy of active arm movement in patients with severe traumatic brain injury (analysis of functional magnetic resonance imaging data). Nevrologiya, nejropsihiatriya, psihosomatika. 2017;9(1):27–33. (In Russ.). [Мухина Т.С., Шарова Е.В., Болдырева Г.Н. и др. Особенности нейроанатомии активного движения руки у пациентов с тяжелой черепно-мозговой травмой (анализ данных функциональной магнитно-резонансной томографии). Неврология, нейропсихиатрия, психосоматика. 2017;9(1):27–33].
- Talypov AE, Myatchin MYu, Kuksova NS, et al. Drug neuroprotection in the acute period of traumatic brain injury of moderate severity. Medicinskij sovet. 2015;10:82–92. (In Russ.). [Талыпов А.Э., Мятчин М.Ю., Куксова Н.С. и др. Медикаментозная нейропротекция в остром периоде черепно-мозговой травмы средней степени тяжести. Медицинский совет. 2015;10:82–92.]
- Grin AA, Krylov VV. Surgery of traumatic intracranial shell hematomas of small volume (up to 50 cm3) of supratentorial localization. Nejrohirurgiya. 2002;1:31–38. (In Russ.). [Гринь А.А., Крылов В.В. Хирургия травматических внутричерепных оболочечных гематом малого объема (до 50 см3) супратенториальной локализации. Нейрохирургия. 2002;1:31–38].
- Krylov VV, Petrikov SS, Talypov AE, et al. Modern principles of surgery for severe traumatic brain injury. Zhurnal im. N.V. Sklifosovskogo Neotlozhnaya medicinskaya pomoshch. 2013;4:39–47. (In Russ.). [Крылов В.В., Петриков С.С., Талыпов А.Э. и др. Современные принципы хирургии тяжелой черепно-мозговой травмы. Журнал им. Н.В. Склифосовского Неотложная медицинская помощь. 2013;4:39–47].
- Puras YuV, Grigoreva EV. Neuroimaging methods in the diagnosis of traumatic brain injury. Part 2. Computer and magnetic resonance imaging (special techniques). Nejrohirurgiya. 2014;3:6–13. (In Russ.). [Пурас Ю.В., Григорьева Е.В. Методы нейровизуализации в диагностике черепно-мозговой травмы. Часть 2. Компьютерная и магнитно-резонансная томография (специальные методики). Радионуклидные методы нейровизуализации. Нейрохирургия. 2014;3:6–13].
- Dorovskih GN, Anikeev NV, Moguchaya OV. Clinical and radiological diagnosis of craniocerebral injuries in polytrauma. Vestnik hirurgii im. I.I. Grekova. 2012;171(2):41–44. (In Russ.). [Доровских Г.Н., Аникеев Н.В., Могучая О.В. Клинико-лучевая диагностика черепно-мозговых повреждений при политравме. Вестник хирургии им. И.И. Грекова. 2012;171(2):41–44].
- Shaginyan GG, Dreval ON, Gyulzatyan AA, et al. Emergency medical care for victims of severe traumatic brain injury in a multidisciplinary hospital. Medicinskij alfavit. 2014;4(23):40–47. (In Russ.). [Шагинян Г.Г., Древаль О.Н., Гюльзатян А.А. и др. Неотложная медицинская помощь пострадавшим с тяжелой черепно-мозговой травмой в условиях многопрофильной больницы. Медицинский алфавит. 2014;4(23):40–47].
- Shaginyan GG, Makarevich DA, Nikitina OO. The problem of basal liquorrhea in patients with severe craniofacial trauma (historical aspects). Nejrohirurgiya i nevrologiya Kazahstana. 2010;4(24):11–19. (In Russ.). [Шагинян Г.Г., Макаревич Д.А., Никитина О.О. Проблема базальной ликвореи у больных с тяжелой краниофациальной травмой (исторические аспекты). Нейрохирургия и неврология Казахстана. 2010;4(24):11–19].
- Shaginyan GG, Dreval ON. Principles for the diagnosis and treatment of patients with severe traumatic brain injury in a multidisciplinary hospital (Part I). Lechenie zabolevanij nervnoj sistemy. 2009;2(2):3–8. (In Russ.). [Шагинян Г.Г., Древаль О.Н. Принципы диагностики и лечения больных с тяжелой черепно-мозговой травмой в многопрофильной больнице (Часть I). Лечение заболеваний нервной системы. 2009;2(2):3–8].
- Dorovskih GN. Comparative analysis of the sensitivity and specificity of various methods of radiation diagnosis in polytrauma. Byulleten Vostochno-Sibirskogo nauchnogo centra Sibirskogo otdeleniya Rossijskoj akademii medicinskih nauk. 2014;4(98):24–28. (In Russ.). [Доровских Г.Н. Сравнительный анализ чувствительности и специфичности различных методов лучевой диагностики при политравме. Бюллетень Восточно-Сибирского научного центра Сибирского отделения Российской академии медицинских наук. 2014;4(98):24–28].
- Potapov AA, Krylov VV, Gavrilov AG, et al. Recommendations for the diagnosis and treatment of severe traumatic brain injury (Part 1). Organization of medical care and diagnostics. Voprosy nejrohirurgii im. N.N. Burdenko. 2015;79(6):100–106. (In Russ.). [Потапов А.А., Крылов В.В., Гаврилов А.Г. и др. Рекомендации по диагностике и лечению тяжелой черепно-мозговой травмы (Часть 1). Организация медицинской помощи и диагностика. Вопросы нейрохирургии им. Н.Н. Бурденко. 2015;79(6):100–106].
- Talypov AE, Petrikov SS, Puras YuV, et al. Modern methods of treating brain injuries. Nevrologiya, nejropsihiatriya, psihosomatika. 2011;1:8–15. (In Russ.). [Талыпов А.Э., Петриков С.С., Пурас Ю.В. и др. Современные методы лечения ушибов головного мозга. Неврология, нейропсихиатрия, психосоматика. 2011;1:8–15].
- Kravec LYa, Smirnov PV, Lavrenyuk AN. Dynamics of focal traumatic parenchymal brain injuries in the acute period of mild traumatic brain injury. Nejrohirurgiya. 2016;2:16–23. (In Russ.). [Кравец Л.Я., Смирнов П.В., Лавренюк А.Н. Динамика очаговых травматических паренхиматозных повреждений головного мозга в остром периоде легкой черепно-мозговой травмы. Нейрохирургия. 2016;2:16–23].
- Dadabaev V, Alekseev R. Computed tomography for the diagnosis of traumatic brain injury in urgent neurosurgery. Vrach. 2018;29(10):53–57. (In Russ.). [Дадабаев В., Алексеев Р. Компьютерная томография при диагностике черепно-мозговой травмы в ургентной нейрохирургии. Врач. 2018;29(10):53–57]. doi.org/10.29296/25877305-2018-10-13
- Kornienko VN, Pronin IN, Arutyunov NV, et al. Neuroradiology at the beginning of the XXI century. Achievements and development prospects. Luchevaya diagnostika i terapiya. 2012;3(3):8–19. (In Russ.). [Корниенко В.Н., Пронин И.Н., Арутюнов Н.В. и др. Нейрорадиология в начале XXI века. Достижения и перспективы развития. Лучевая диагностика и терапия. 2012;3(3):8–19].
- Shalumov AZ, Levchenko OV, Sharifullin FA, et al. X-ray computed tomography of maxillofacial lesions combined with traumatic brain injury. Nejrohirurgiya. 2009;4:42–49. (In Russ.). [Шалумов А.З., Левченко О.В., Шарифуллин Ф.А. и др. Рентгеновская компьютерная томография челюстно-лицевых повреждений, сочетанных с черепно-мозговой травмой. Нейрохирургия. 2009;4:42–49].
- Krylov VV, Grigoreva EV. Computed tomography and magnetic resonance imaging in the diagnosis of cerebral aneurysms. Nejrohirurgiya. 2012;3:9–17. (In Russ.). [Крылов В.В., Григорьева Е.В. Компьютерная томография и магнитно-резонансная томография в диагностике аневризм головного мозга. Нейрохирургия. 2012;3:9–17].
- Kravec LYa, Smirnov PV, Kukarin AB. The choice of treatment for brain injuries. Nejrohirurgiya. 2017;1:8–14. (In Russ.). [Кравец Л.Я., Смирнов П.В., Кукарин А.Б. Выбор метода лечения при ушибах головного мозга. Нейрохирургия. 2017;1:8–14].
- Lavrenyuk AN, Kravec LYa, Smirnov PV, Nikitin DN. To the concept of "traumatic parenchymal brain damage". Voprosy travmatologii i ortopedii. 2011;1:26–30. (In Russ.). [Лавренюк А.Н., Кравец Л.Я., Смирнов П.В., Никитин Д.Н. К понятию «травматические паренхиматозные повреждения головного мозга». Вопросы травматологии и ортопедии. 2011;1;26–30].
- Dreval ON, Lazarev VA, Dzhindzhihadze RS, Danchenko IA. Neuroimaging diagnosis of intracranial hypertension (neurosurgical aspects). Medicinskaya vizualizaciya. 2010;4:40–51. (In Russ.). [Древаль О.Н., Лазарев В.А., Джинджихадзе Р.С., Данченко И.А. Нейровизуализационная диагностика внутричерепной гипертензии (нейрохирургические аспекты). Медицинская визуализация. 2010;4:40–51].
- Pronin IN, Fadeeva LM, Zaharova NE, et al. Diffusion tensor magnetic resonance imaging and tractography. Annaly klinicheskoj i eksperimental'noj nevrologii. 2008;2(1):32–40. (In Russ.). [Пронин И.Н., Фадеева Л.М., Захарова Н.Е. и др. Диффузионная тензорная магнитно-резонансная томография и трактография. Анналы клинической и экспериментальной неврологии. 2008;2(1):32–40].
- Lebedev VV, Krylov VV. Emergency neurosurgery. M.: Medicina. 2000. (In Russ.). [Лебедев В.В., Крылов В.В. Неотложная нейрохирургия. М.: Медицина. 2000].
- Adams JH, Graham DI, Murray LS, Scott G. Diffuse axonal injury due to nonmissile head injury in humans: an analysis of 45 cases. Ann Neurol. 1982;12(6):557–563. doi.org/10.1002/ana.410120610
- Smirnov PV, Kravec LYa, Yakimov VN. Early computed tomography for bruises of the brain. Nejrohirurgiya. 2017;2:21–28. (In Russ.). [Смирнов П.В., Кравец Л.Я., Якимов В.Н. Ранняя компьютерная томография при ушибах головного мозга. Нейрохирургия. 2017;2:21–28].
- Maas AI, Hukkelhoven CW, Marshall LF, et al. Prediction of outcome in traumatic brain injury with computed tomographic characteristics: a comparison between the computed tomographic classification and combinations of computed tomographic predictors. Neurosurgery. 2005;57(6):1173–1182. doi.org/10.1227/01.NEU.0000186013.63046.6B
- Semenov AV, Krylov VV, Sorokovikov VA. On the risk factors for the formation of surgically significant delayed traumatic intracranial hematomas with combined trauma. Politravma. 2019;2:40–47. (In Russ.). [Семенов А.В., Крылов В.В., Сороковиков В.А. О факторах риска образования хирургически значимых отсроченных травматических внутричерепных гематом при сочетанной травме. Политравма. 2019;2:40–47].
- Godkov IM, Levchenko OV. Post-traumatic basal liquorrhea (Part 1). Diagnosis. Nejrohirurgiya. 2012;1:62. (In Russ.). [Годков И.М., Левченко О.В. Посттравматическая базальная ликворея (Часть 1). Диагностика. Нейрохирургия. 2012;1:62].
- Sharifullin FA, Shalumov AZ, Krylov VV, et al. X-ray computed tomography of maxillofacial lesions combined with traumatic brain injury. Medicinskaya vizualizaciya. 2010;6:60–68. (In Russ.). [Шарифуллин Ф.А., Шалумов А.З., Крылов В.В. и др. Рентгеновская компьютерная томография челюстно-лицевых повреждений, сочетанных с черепно-мозговой травмой. Медицинская визуализация. 2010;6:60–68].
- Semenov AV, Monakov NV, Balhanova EI, et al. Multislice computed tomography in the diagnosis of combined traumatic brain injury. Vestnik rentgenologii i radiologii. 2018;99(3):119–124. (In Russ.). [Семенов А.В., Монаков Н.В., Балханова Е.И. и др. Многосрезовая компьютерная томография в диагностике сочетанной черепно-мозговой травмы. Вестник рентгенологии и радиологии. 2018;99(3):119–124].
- Godkov IM, Levchenko OV, Turovskij AB, et al. Blind penetrating cranioorbital wound with a sword. Nejrohirurgiya. 2011;4:62–68. (In Russ.). [Годков И.М., Левченко О.В., Туровский А.Б. и др. Слепое проникающее краниоорбитальное ранение шпагой. Нейрохирургия. 2011;4:62–68].
- Krotenkova MV, Bryuhov VV, Morozova SN, et al. Modern technologies of neuroimaging (lecture). Radiologiya – praktika. 2017;2(62):47–63. (In Russ.). [Кротенкова М.В., Брюхов В.В., Морозова С.Н. и др. Современные технологии нейровизуализации (лекция). Радиология – практика. 2017;2(62):47–63].
- Boldyreva GN, Sharova EV, Zhavoronkova LA, et al. Comparison of fMRI reactions of the brain of healthy people with active, passive and imaginary hand movements. Medicinskaya vizualizaciya. 2015;5:100–112. (In Russ.). [Болдырева Г.Н., Шарова Е.В., Жаворонкова Л.А. и др. Сопоставление фМРТ-реакций мозга здоровых людей при активных, пассивных и воображаемых движениях рукой. Медицинская визуализация. 2015;5:100–112].
- Ublinskij MV, Manzhurcev AV, Menshchikov PE, et al. Multimodal studies of the human brain using functional magnetic resonance imaging and magnetic resonance spectroscopy. Annaly klinicheskoj i eksperimentalnoj nevrologii. 2018;12(1):54–60. (In Russ.). [Ублинский М.В., Манжурцев А.В., Меньщиков П.Е. и др. Мультимодальные исследования головного мозга человека с использованием функциональной магнитно-резонансной томографии и магнитно-резонансной спектроскопии. Анналы клинической и экспериментальной неврологии. 2018;12(1):54–60].
- Kamada K. Sequential observations of brain edema with proton magnetic resonance imaging and spectroscopy. Hokkaido Igaku Zasshi. 1996;71(1):105–22.
- Tokarev AS, Stepanov VN, Shatohina YuI, et al. The use of functional magnetic resonance imaging of the brain in neurosurgery. Nejrohirurgiya. 2017;2:3–10. (In Russ.). [Токарев А.С., Степанов В.Н., Шатохина Ю.И. и др. Применение функциональной магнитно-резонансной томографии головного мозга в нейрохирургии. Нейрохирургия. 2017;2:3–10].
Дополнительные файлы













