Комплексная нейровизуализация черепно-мозговой травмы: магнитно-резонансная томография
- Авторы: Яриков А.В.1,2,3, Лобанов И.А.4, Леонов В.А.2, Фраерман А.П.2, Николенко С.В.2
-
Учреждения:
- ФБУЗ «Приволжский окружной медицинский центр» ФМБА
- ГБУЗ НО «Городская клиническая больница №39»
- ООО УЗ «Областной диагностический центр»
- ООО МЦ «Тонус»
- Выпуск: Том 5, № 4 (2020)
- Страницы: 239-244
- Раздел: Лучевая диагностика, лучевая терапия
- Статья опубликована: 07.12.2020
- URL: https://innoscience.ru/2500-1388/article/view/53029
- DOI: https://doi.org/10.35693/2500-1388-2020-5-4-239-244
- ID: 53029
Цитировать
Полный текст
Аннотация
Черепно-мозговая травма является одним из наиболее частых видов повреждений и занимает первое место среди причин летальности и инвалидизации трудоспособного населения. Одним из путей улучшения качества оказываемой экстренной нейрохирургической помощи лицам с тяжелой черепно-мозговой травмой представляется своевременная экстренная диагностика повреждений головного мозга. Выбор правильного диагностического метода позволяет оценить объем, тяжесть травмы и выбрать правильную тактику лечения.
В работе подробно описаны специальные методы магнитно-резонансной томографии, применяемые в диагностике черепно-мозговой травмы (МР-цистернография, перфузионная МРТ, МР-спектроскопия, диффузионно-взвешенная и диффузионно-тензорная МРТ). Описаны диагностические возможности, преимущества и недостатки каждого метода.
Полный текст
ВВЕДЕНИЕ
Черепно-мозговая травма (ЧМТ) в настоящее время занимает первое место среди причин летальности и инвалидизации трудоспособного населения развитых стран [1]. Высокие затраты на оказание стационарной нейрохирургической помощи, временная нетрудоспособность, расходы на реабилитацию и выплаты на инвалидное пособие больных обусловливают высокую социально-экономическую значимость ЧМТ [2]. Ежегодно отмечается прогрессивный постоянный рост числа пациентов с ЧМТ [3]. Важное место в определении прогноза и тактики лечения ЧМТ занимает нейровизуализация.
Под нейровизуализацией представляется комплекс обследований, позволяющий визуализировать структуру и функциональное состояние головного мозга (ГМ) [4, 5].
ЦЕЛЬ
Представить роль современных методов инструментальной диагностики (магнитно-резонансная томография, в том числе специальные методики) ЧМТ и описать их преимущества и недостатки.
МАГНИТНО-РЕЗОНАНСНАЯ
ТОМОГРАФИЯ (МРТ)
По сравнению с компьютерной томографией (КТ), МРТ проводится дольше (от 15 мин.) и имеет ряд недостатков, ограничивающих широкое применение этого метода в остром периоде ЧМТ [6, 7].
Так, МРТ противопоказана пациентам с электронными и металлическими имплантатами, инородными телами (пули, осколки, сосудистые клипсы, кардиостимуляторы, слуховые аппараты) [1]. МРТ более чувствительна к выявлению очагов в паренхиме и стволе ГМ, перивентрикулярной зоне, в области задней черепной ямки (ЗЧЯ), а также негеморрагическим повреждениям мозолистого тела, базальных ганглиев, таламусов и ствола ГМ, характерных для диффузного аксонального повреждения (ДАП) [4, 6, 8].
МРТ дает возможность четко визуализировать капсулу при хронических гематомах, направление смещений и деформаций ГМ при дислокации, обладает высокой чувствительностью к очагам ишемии [6, 9, 10]. МРТ является менее чувствительным методом диагностики очагов ушиба-размозжения в первые 24 ч ЧМТ из-за более низкой чувствительности к оксигемоглобину и используется в основном в подостром периоде для оценки динамики зоны перифокального отека. Интенсивность МР-сигнала от очагов ушиба-размозжения и травматических внутримозговых гематом зависит от стадии распада гемоглобина (таблица 1) при ретракции кровяного сгустка [1].
Область перифокального отека вокруг очага ушиба-размозжения ГМ визуализируется в виде зоны низкой интенсивности МР-сигнала на Т1-ВИ и повышенной интенсивности на Т2-ВИ и режиме FLAIR.
Время от получения ЧМТ | Продукты распада гемоглобина | Т1-ВИ | Т2-ВИ | FLAIR |
< 1 суток | Оксигемоглобин | Изо- | Гипер- | Гипо- |
1–3 сутки | Деоксигемоглобин | Изо- или гипо- | Гипо- | Гипо- |
4–7 сутки | Внутриклеточный метгемоглобин | Гипер- | Гипо- | Гипо- |
8–14 сутки | Свободный метгемоглобин | Гипер- | Гипер- | Гипо- |
> 14 cуток | Гемосидерин | Гипо- | Гипо- | Гипо- |
Таблица 1. Характер интенсивности сигнала по МРТ в очаге ушиба-размозжения и в зависимости от стадии распада гемоглобина
Table 1. The nature of the intensity of the MRI signal in the focus of bruising-crushing and depending on the stage of hemoglobin breakdown
На современных МРТ используются такие импульсные последовательности, как Т2-ВИ либо SWI, которые способны визуализировать оксигемоглобин даже в минимальных количествах как включение сигнала высокой либо низкой интенсивности соответственно (рисунок 1) [6]. Однако такое программное обеспечение доступно далеко не в каждой нейрохирургической клинике, а сама программа длится не менее 3 мин.
На МРТ острые оболочечные гематомы имеют гипо- или изоинтенсивность сигнала на Т1-ВИ, а на Т2-ВИ и FLAIR – слабогиперинтенсивный в первые 24 ч и изо- или гипоинтенсивный в последующие 48 ч с момента получения ЧМТ.
Одной из важнейших задач в оценке состояния пациентов с ЧМТ является определение зон цитотоксического отека как проявления вторичной ишемии. Для этой цели эффективно применяются диффузионно-взвешенные изображения (ДВИ), возникающие за счет движения протонов в тканях ГМ. ДВИ и ADC-карты применяются для дифференциальной диагностики цитотоксического и вазогенного отека вследствие травмы ГМ или ишемии.
Снижение коэффициента диффузии говорит о наличии цитотоксического отека, а увеличение – о развитии вазогенного отека. Особая роль ДВИ отводится в выявлении инфарктов и ДАП [12].
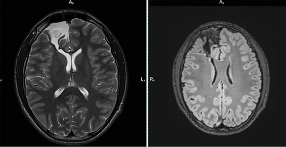
Рисунок 1. Кистозно-глиозные изменения в правой лобной доле. Слева – Т2-ВИ. Справа – FLAIR. Кистозно-глиозные изменения с отложением гемосидерина по периферии.
Figure 1. Cystic-gliotic changes in the right frontal lobe. Left – T1WI mode. Right – FLAIR mode. Cystic-gliotic changes with the deposition of hemosiderin on the periphery.
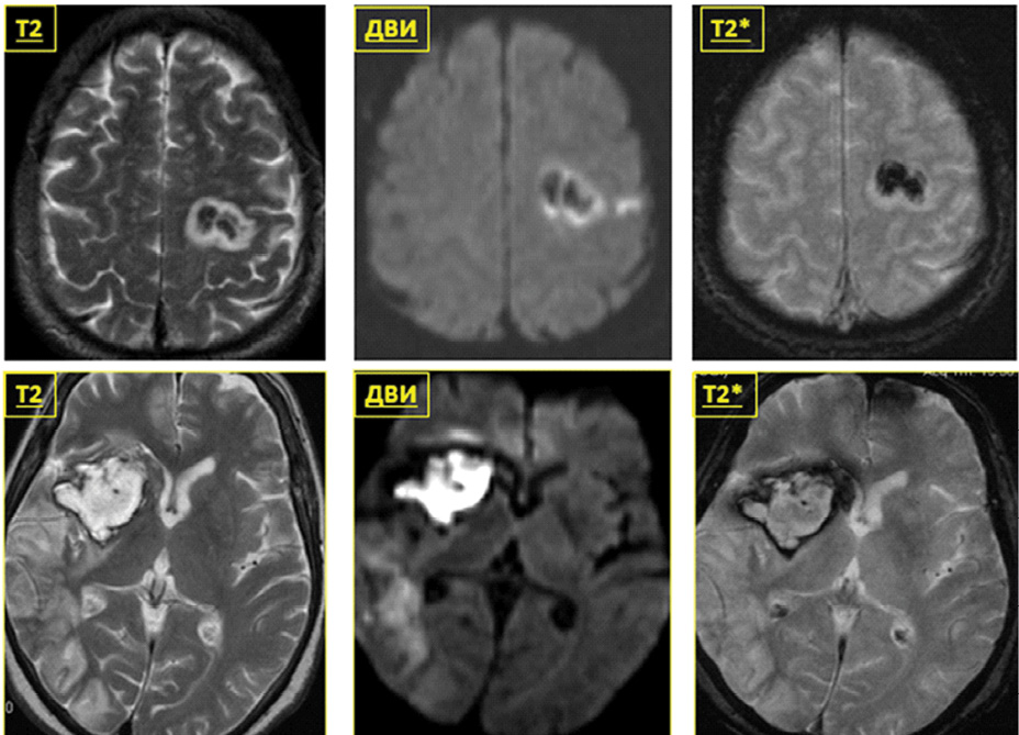
Рисунок 2. ДВИ в определении давности внутримозговой гематомы. А. Внутримозговая гематома в левом полушарии ГМ. Подострый период, 5-й день. Б. Внутримозговая гематома в правом полушарии ГМ. Хронический период, 28-й день.
Figure 2. DWI in determining the time of intracerebral hematoma. А. Intracerebral hematoma in the left hemisphere of the brain. Subacute period, day 5. B. Intracerebral hematoma in the right hemisphere of the brain. Chronic period, day 28.
ДВИ в МРТ часто применяется для определения давности внутричерепных, внутримозговых гематом и контузионных очагов (рисунок 2).
На МРТ не визуализируются переломы костей черепа [1, 11]. Наиболее типичными изменениями на МРТ в отдаленном периоде ЧМТ являются гипотрофические изменения серого и белого вещества ГМ с соответствующим увеличением размеров его желудочков, ликворных цистерн и субарахноидальных пространств [13].
МР-цистернография (МР-Ц) представляется неинвазивным методом с чувствительностью 80–87%, специфичностью 57–100% на Т2-ВИ и точностью до 89% в диагностике базальной ликвореи. МР-Ц дает возможность идентифицировать ликворную фистулу диаметром до 2 мм, локализацию ликвореи и ее ход, а также установление менингоцеле или менингоэнцефалоцеле [14]. Негативная сторона МР-Ц – сложность технического оборудования, длительность выполнения обследования, инвазивность, дороговизна и отсутствие визуализации костных структур.
Принимая во внимание множество методов, их специфичность и недостатки в идентификации ликворной фистулы, большинством клиницистов было предложено применение сочетания нескольких методов (например, с КТ) [10, 15].
Перфузионная МРТ, как и перфузионная КТ, дает возможность оценивать регионарную гемодинамику и перфузию ГМ. У лиц с ЧМТ МР-перфузию в основном используют для динамики формирования вторичных ишемических повреждений, оценки гемодинамики в полушариях ГМ до и после удаления внутричерепных гематом и др. Исследование выполняют или с внутривенным болюсным контрастным усилением препаратами гадолиния, или при помощи метода меченых спинов без использования контраста. Последний способ осуществим лишь на высокопольных МРТ с индукцией магнитного поля 3Т, и достоверность его не доказана. МР-перфузия основана на изменении интенсивности МР-сигнала при перемещении контраста по капиллярам выбранного участка ГМ с дальнейшим построением кривых «концентрация – время» и вычислением тех же показателей регионарного тока крови, что и при перфузионной КТ (CBF, CBV и MTT).
Протонная МР-спектроскопия – метод получения информации о метаболизме отдельных зон ГМ (вокселов). Она позволяет измерить внутриклеточные концентрации низкомолекулярных соединений, присутствующих в цитозоле в свободном состоянии, и получить данные об изменениях концентраций этих веществ [16]. Выделяют одновоксельную МР-спектроскопию, при которой анализируют метаболизм одной зоны ГМ,
Рисунок 3. ДАП. Справа – изображения в режиме T2-ВИ. Аинтенсивный сигнал в проекции ствола мозолистого тела (отложения гемосидерина). Слева – ДТ МРТ. Разрыв комиссуральных трактов в области ствола мозолистого тела.
Figure 3. DAI. Right – images in T2-WI mode. Aintensive signal in the projection of the corpus callosum trunk (depositions of hemosiderin). Left – DT MRI. Rupture of the commissural tracts in the area of the corpus callosum trunk.
и мультивоксельную, которая дает возможность получить МР-спектры для нескольких выбранных зон. При мультивоксельной МР-спектроскопии происходит построение специальных карт метаболизма ГМ на разных срезах, а далее сравнивается расположение метаболитов в разных вокселах между собой.
Единицей измерения содержания метаболитов представляется миллионная доля (ppm). В каждом вокселе расценивают содержание 7 главных метаболитов ГМ: N-ацетиласпартат (NAA) – 2 ppm, креатин (Cr) – 3,03 ppm, холин (Cho) – 3,22 ppm, миоинозитол (mI) – 3,56 ppm, глутамат и глутамин (Glx) – 2,05–2,5 ppm, лактат (Lac) – 1,33 ppm и липидный комплекс (Lip) – 0,9–1,2 ppm [2].
В норме самый большой пик представлен NAA, который входит в состав разных макромолекул с N-ацетиловой группой. Самая большая концентрация NAA содержится в нейронах и аксонах. Уменьшение NAA при МР-спектроскопии говорит о дегенерации клеток и их некрозе [2]. Высокое содержание NAA связывают с высоким уровнем неповрежденных нейронов [16]. Увеличение Cr отражает состояние энергозависимых систем ГМ, он всегда представляется стабильным, и его применяют в качестве референсного при сравнении пиков других метаболитов. Cho входит в состав липидов мембран клеток и их миелиновых оболочек. Увеличение интенсивности сигнала Cho является признаком демиелинизации, повреждении мембран или активации пролиферации клеток (опухоль ГМ) [16]. Миоинозитол (mI) представляется предшественником фосфотидилинозитола, входящего в состав клеточных мембран, а также содержится в глиальных клетках, следовательно, может быть маркером их повреждения. Glx представляется маркером эксaйтотoксичнoсти, увеличение его указывает на повреждение клеточной стенки. Lac представляется маркером энергетического обмена в клетках и не обнаруживается в спектрах нормального ГМ. Увеличение Lac указывает на доминирование процессов анаэробного гликолиза над аэробным и выражает степень ишемии ГМ [9, 17]. Увеличение Lac также обнаруживается в зоне накопления макрофагов (например, при остром воспалении) [16]. Сигналы Lip не фиксируются в нормальной ткани ГМ и возникают из-за разрушения клеточной мембраны в зонах некроза [16]. При исследовании метаболизма ГМ в зоне отека вещества ГМ происходит увеличение содержания Lac, ацетата и альгината, что говорит о росте интенсивности анаэробного окисления. Концентрация Glx сначала растет, но падает к концу 24 ч ниже уровня контралатеральных отделов, отмечается также и уменьшение содержания NAA, что является свидетельством разрушения ткани ГМ [18].
МР-спектроскопия применяется при оценке тяжести вторичных повреждений ГМ при ЧМТ.
Принцип функциональной МРТ (фМРТ) основан на усилении локального тока крови в участках нейрональной активности коры ГМ в результате влияния чувствительного или двигательного раздражителя [19, 20].
К физиологическим эффектам стимуляции ГМ относится вазодилатация, в результате которой увеличиваются локальный объем крови (СВV) и скорость кровотока (СВF) [16]. Физико-химическим эффектом нейроактивации является cнижение концентрации
дезоксигемоглобина (dHb) и увеличение оксигенированного гемоглобина, которое детектируется как BOLD-сигнал (blood oxygen level dependent) [21]. dHb является парамагнетиком, ограниченным внутриклеточным пространством эритроцита, который в свою очередь ограничен пространством сосуда. Анализ временных зависимостей изменения
Рисунок 4. Последствия ЧМТ. Слева – ДТ МРТ. Разрыв проекционных трактов в области кистозно-глиозных изменений. Справа – режим T2-ВИ. Аинтенсивный сигнал по периферии кистозно-глиозных изменений (отложения гемосидерина).
Figure 4. Consequences of TBI. Left – DT MRI. Rupture of the projection tracts in the area of cystic-gliotic changes. Right – T2-WI mode. Aintensive signal on the periphery of the cystic-gliotic changes (depositions of hemosiderin).
контраста, вызванного изменением концентрации dHb относительно концентрации оксигенированного гемоглобина, дает возможность оценить влияние нейроактивации на локальные скорости потребления кислорода и глюкозы [16]. При последующей обработке данные зоны выделяют цветом и строят карты нейрональной активности, которые в дальнейшем накладывают на Т1-ВИ и 3D-модели ГМ [17].
В нейрохирургической практике у лиц с ЧМТ фМРТ используется при планировании оперативного подхода к очагам повреждения ГМ в функционально значимой зоне, а также в резидуальном периоде ЧМТ для идентификации посттравматических очагов эпилепсии [21]. фМРТ представляется методом выбора при оценке когнитивного дефицита у лиц с ЧМТ легкой степени. фМРТ может применяться в оценке прогноза восстановления уровня бодрствования и нейропсихологических функций у людей с ЧМТ, длительно находящихся в вегетативном состоянии, и при планировании хирургических вмешательств у лиц с очагами-размозжениями ГМ, локализующимися в функционально значимой зоне [2, 9].
В процессе диффузии молекулы воды способны передвигаться в определенном направлении [5]. Это физическое явление называется анизотропией диффузии. На данном принципе и основана диффузионно-тензорная МРТ (ДТ МРТ), которая дает возможность визуализировать анизотропию молекул воды в разных участках ГМ [22]. В белом веществе ГМ молекулы воды могут легко диффундировать вдоль нервных волокон, формирующих крупные нервные тракты и проводящие пути ГМ, поэтому ДТ МРТ называют еще трактографией (метод нейровизуализации трактов) [23].
Тракты белого вещества ГМ принято делить на 3 основные категории [23]: комиссуральные – соединяют гемисферы ГМ; ассоциативные – соединяют корковые структуры в полушарии; проекционные – соединяют корковые, подкорковые и стволовые структуры.
ДТ МРТ расценивает степень целостности проводящих путей, различие в миелинизации волокон, их диаметр. В основном определяют ход самых больших комиссуральных и проекционных трактов ГМ: мозолистого тела, кортикоспинальных трактов и волокон, проходящих через внутреннюю капсулу (рисунки 3
и 4) [2, 5, 9].
У лиц, перенесших дислокационный синдром со сдавлением ножки ГМ, в последующем формируется дегенерация волокон одного из кортикоспинальных трактов, что сопровождается развитием гемиплегии. ДТ МРТ у людей с ЧМТ используют для оценки динамики течения ДАП и в диагностике постдислокационных изменений [2]. При ДАП из-за дегенерации комиссуральных и восходящих нервных волокон через 3–4 месяца после ЧМТ фиксируется феномен «облысения» мозолистого тела, что представляется неблагоприятным прогностическим знаком восстановления сознания и психической деятельности [9, 24].
ЗАКЛЮЧЕНИЕ
Хотя в настоящее время «золотым стандартом» обследования пациентов с острой ЧМТ является КТ, МРТ не утратила своего практического значения. У лиц с тяжелой ЧМТ при подозрении на повреждение структур ЗЧЯ или ДАП показано выполнение МРТ. В резидуальном периоде ЧМТ с целью оценки прогноза восстановления уровня бодрствования, двигательных и психических функций показана ДТ МРТ и фМРТ.
МР-Ц, протонная МР-спектроскопия и перфузионная МРТ в настоящее время потеряли практическую значимость в диагностике ЧМТ и имеют больше историческую и научную ценность.
Об авторах
А. В. Яриков
ФБУЗ «Приволжский окружной медицинский центр» ФМБА; ГБУЗ НО «Городская клиническая больница №39»; ООО УЗ «Областной диагностический центр»
Автор, ответственный за переписку.
Email: anton-yarikov@mail.ru
ORCID iD: 0000-0002-4437-4480
к.м.н., нейрохирург
Россия, Нижний Новгород; ВладимирИ. А. Лобанов
ООО МЦ «Тонус»
Email: anton-yarikov@mail.ru
рентгенолог
Россия, Нижний НовгородВ. А. Леонов
ГБУЗ НО «Городская клиническая больница №39»
Email: anton-yarikov@mail.ru
ORCID iD: 0000-0001-6228-4879
нейрохирург
Россия, Нижний НовгородА. П. Фраерман
ГБУЗ НО «Городская клиническая больница №39»
Email: anton-yarikov@mail.ru
ORCID iD: 0000-0002-5476-7069
д.м.н., профессор, нейрохирург, ведущий научный сотрудник группы «Микронейрохирургия»
Россия, Нижний НовгородС. В. Николенко
ГБУЗ НО «Городская клиническая больница №39»
Email: anton-yarikov@mail.ru
рентгенолог
Россия, Нижний НовгородДополнительные файлы











