Клинико-морфологическая оценка эффективности разработанного способа местного лечения локальных поверхностных ожогов
- Авторы: Толстов А.В.1, Новиков И.В.1, Подсевалова И.В.1, Воронин А.С.1, Дыдыкин С.С.2, Алипов В.В.3
-
Учреждения:
- ФГБОУ ВО «Самарский государственный медицинский университет» Минздрава России
- ФГАОУ ВО «Первый Московский государственный медицинский университет имени И.М. Сеченова» Минздрава России
- ФГБОУ ВО «Саратовский государственный медицинский университет имени В.И. Разумовского» Минздрава России
- Выпуск: Том 5, № 4 (2020)
- Страницы: 283-287
- Раздел: Хирургия
- Статья опубликована: 07.12.2020
- URL: https://innoscience.ru/2500-1388/article/view/53109
- DOI: https://doi.org/10.35693/2500-1388-2020-5-4-283-287
- ID: 53109
Цитировать
Полный текст
Аннотация
Цель – доказать эффективность нового разработанного способа лечения пациентов с локальными поверхностными ожогами (покрытие с гелем и серебром плюс ультрафиолетовое облучение раны и магнитотерапия).
Материал и методы. Анализ лечения местной ожоговой инфекции проводили у 29 пострадавших с ограниченными ожогами I-II степени во все фазы раневого процесса. Сбор раневого материала осуществляли в соответствии с требованиями Методических указаний МУ 4.2.2039-05 «Техника сбора и транспортирования биоматериалов в микробиологические лаборатории». Доставку материала в лабораторию проводили в пробирках с транспортной средой в изотермических условиях при температуре 20–22°С в течение суток после сбора.
Результаты. Достоверных различий по исследуемым признакам в группах сравнения не было выявлено (р>0,05, р=0,55, ÷2=3,841).
Заключение. Разработанный способ местного лечения поверхностных ограниченных ожогов является перспективным, имеющим самостоятельное значение и предназначенным для профилактики и лечения местной раневой инфекции во всех фазах раневого процесса.
Ключевые слова
Полный текст
ВВЕДЕНИЕ
Ежегодно в России за медицинской помощью обращается 420–450 тысяч человек, пострадавших от ожогов. Среди них большинство имеет поверхностные ожоги с незначительной в 80% случаев площадью поражения [1].
Выбор оптимального подхода к лечению обожженных остается актуальной проблемой современной комбустиологии [2]. Методы, средства и тактика лечения пациентов с ожогами постоянно совершенствуются.
Применение всевозможных препаратов и способов консервативного лечения ожогов сводится в конечном итоге к созданию условий для подавления местной раневой инфекции и скорейшего заживления ожоговых ран [3, 4]. Метод лечения ожоговых ран должен определяться общим состоянием больного на момент лечения, площадью и глубиной ожогового поражения, локализацией ожога, стадией течения раневого процесса, планируемой хирургической тактикой лечения, наличием соответствующего оборудования, препаратов и перевязочного материала [5].
В России в настоящий момент существуют местные лечебные повязки, которые не только соответствуют, но иногда превосходят по своему качеству и лечебному эффекту зарубежные [6].
ЦЕЛЬ
Доказать эффективность нового разработанного способа лечения пациентов с локальными поверхностными ожогами (покрытие с гелем и серебром плюс ультрафиолетовое облучение раны и магнитотерапия).
МАТЕРИАЛ И МЕТОДЫ
Подсчет микробного числа проводили из расчета в 1 г ткани. Качественный состав микрофлоры определяли методом посева раневого отделяемого в 1-процентный сахарный бульон с последующей микроскопией суточной культуры. В лаборатории проводили посев материала на плотные питательные среды: кровяной, желточно-солевой, универсальный хромогенный агары, агар Сабуро. Колонии микроорганизмов идентифицировали с помощью MALDI-TOF масс-спектрометра. На 1, 3, 5, 7, 14, 17-е сутки после получения ожога получали цитологический материал методом поверхностной биопсии.
Для лечения пациентов с поверхностными ожоговыми ранами I-II степени был разработан новый способ, защищенный патентом РФ на изобретение №2648869 от 28.03.2018 г. Выбрано оптимальное раневое покрытие, содержащее гель и серебро, которое используется для лечения всех фаз раневого процесса. Во время первой перевязки и смены покрытия последовательно применяли УФО ожоговой раны, начиная с дозы облучения 50 мкб·мин/см2 в течение 30 секунд, и воздействовали на рану низкочастотным магнитным пульсирующим полем с частотой 50 Гц, индукцией 30 мТл в течение 5 минут. При последующих перевязках ежедневно увеличивали длительность сеанса УФО раны на 30 секунд, а магнитотерапии – на 1 минуту до завершения эпителизации раны.
Математическую обработку данных проводили с использованием программы Microsoft Office Excel 2010, статистического пакета IBM SPSS Statistics 24 PS IMAGO 4.0. Показатели оценены в процентном отношении, к другим применены непараметрические статистические методы – критерий Пирсона (x2), при необходимости с поправкой Йейтса, и двусторонний точный критерий Фишера. Различия считались статистически значимыми, если нулевая гипотеза была отвергнута. Выявленные закономерности и связи изучаемых параметров между группами и признаками считались статистически значимыми при вероятности безошибочного прогноза 95% и более (р≤0,05).
При сравнении лечебной эффективности разработанного способа лечения поверхностных ожогов (покрытие с гелем и серебром плюс ультрафиолетовое облучение раны и магнитотерапия) мы применили его у 16 пострадавших от ожогов (основная группа), а 13 пациентам были назначены покрытия с гелем и серебром, но без физиотерапии (группа сравнения).
РЕЗУЛЬТАТЫ
Распределение микроорганизмов, выделенных из раневого отделяемого пациентов основной и группы сравнения, представлено в таблице 1.
У 22 больных (75,9%) в ране регистрировали микробную ассоциацию, тогда как у 7 (24,1%) пациентов высевали монокультуру. В составе ассоциаций наиболее часто встречался стафилококк – в 22 случаях (75,9%) в сочетании с
Микрофлора | Основная группа n=16 | Группа сравнения n=13 | Критерий Пирсона (÷2 ÷2 ) | Поправка Йейтса | Уровень значимости (р) |
Staphylocoсcus | 14 | 12 | 0,032 | 0,004 | р>0,05 |
Streptocoсcus | 1 | 3 | 0,047 | 0,003 | р>0,05 |
Proteus | 5 | 3 | 0,151 | 0,001 | р>0,05 |
E. coli | 5 | 6 | 0,079 | 0,002 | р>0,05 |
Pseudomonas Aeruginosa | 3 | 1 | 0,100 | 0,001 | р>0,05 |
Klebsiella | 2 | 2 | 0,442 | 0,125 | р>0,05 |
Morganella morganii | 3 | 1 | 0,001 | 0,155 | р>0,05 |
Таблица 1. Бактериологическая характеристика поверхностных ожоговых ран у больных при поступлении
Table 1. Bacteriological pattern of superficial and partial thickness burn wounds in patients on admission
Примечание. Критическое (табличное) значение ÷2=3,841 при числе степеней свободы для четырехпольной таблицы сопряженности f=1. р=0,148 средняя.
Note. The critical (table) value ÷2=3.841 at variance for the four-field conjugacy table f=1. p=0.148.
грамотрицательными микроорганизмами – в 10 случаях (46,5%) или грамположительными – в 8 случаях (39,4%), иногда с теми и другими – в 4 случаях (14,1%). Микробное число у пациентов при поступлении составляло 106–108 в 1 г ткани.
При цитологическом исследовании в основной группе и в группе сравнения на 1 сутки в ране преобладали изменения дегенеративно-воспалительного типа, отражающие слабые признаки воспалительной реакции. В препаратах содержалось большое количество нейтрофилов (93,1±0,1 в основной; 93,15±0,15 в группе сравнения) в состоянии дегенерации и деструкции, нити фибрина, фагоцитарная активность была слабой (единичные макрофаги), фагоцитоз – незавершенный, что соответствует I типу цитологической картины (ранней стадии раневого процесса).
При микроскопии мазков-отпечатков наблюдали следующую картину.
Основная группа (3–5 сутки). Цитограмма представлена небольшим количеством экссудата и клеточного детрита, имеющего зернистый и аморфный вид. Большинство клеток представлено скоплениями нейтрофильных лейкоцитов с признаками дегенерации, при этом они без признаков структурных изменений. Ядра дегенерирующих лейкоцитов фиолетового цвета, структура клеток нечеткая со слабо-розовым окрашиванием цитоплазмы. Макрофаги множественные с признаками высокой эстеразной активности, с вакуолизированной цитоплазмой (рисунок 1). Такая цитологическая картина соответствует III дегенеративно-воспалительному типу цитограммы.
Группа сравнения (3–5 сутки). Препарат представлен в основном клеточно-тканевым детритом и большим количеством экссудата, включающего группы кокковых микроорганизмов. Нейтрофильные лейкоциты с признаками дегенерации и цитолиза (рисунок 2).
У больных основной группы с поверхностными ожогами местное, последовательное применение разработанного способа позволяло добиться нормализации температуры тела, ликвидации инфекционно-воспалительных явлений в ране, исчезновения болевых ощущений, появлению на отдельных участках островков грануляций на 5,2±1,6 суток от начала лечения (р<0,05, р=0,01). В группе сравнения схожие результаты были получены только на 11,3±1,8 суток от начала лечения.
Основная группа (7–9 сутки). Цитологический препарат представлен скудным раневым отделяемым, состоящим из небольшого числа нейтрофильных лейкоцитов (57,6±2,4) с признаками дегенерации, при этом ядра клеток хорошо окрашены, а контуры четкие. Клетки фибробластического ряда не выявлены. Цитологические изменения могут соответствовать IV регенеративному типу (ранняя фаза) течения раневого процесса.
Группа сравнения (7–9 сутки). Цитологический препарат по-прежнему представлен большим количеством клеточно-тканевого детрита. На цитограмме продолжает преобладать дегенеративно-воспалительный (III тип) реакции. В фазе воспаления в результате лечения в обеих группах больных отмечали положительную динамику в
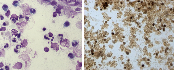
Рисунок 1. Мазки – отпечатки ожоговой раны пациента основной группы, 4-е сутки. А. Нейтрофильные лейкоциты с признаками дегенерации, вакуоли в структуре макрофагов. Окраска азур-эозином по Романовскому (х100). В. Гранулы эстеразы в макрофагах. ИЦХ. Реакция а-нафтилацетатом (х100).
Figure 1. Touch smears of the burn wound of the patient of the main group, day 4. A. Neutrophilic white blood cells with signs of degeneration, vacuoles in the structure of the macrophages. Azur-eosin staining according to Romanovsky (x100). B. Esterase granules in macrophages. ICC. Reaction with á-naphthyl acetate (x100).
Рисунок 2. Мазок – отпечаток ожоговой раны пациента группы сравнения, 4-е сутки. Признаки микробной контаминации раны. Дегенеративные изменения и цитолиз нейтрофильных лейкоцитов, единичные макрофаги. Окраска азур-эозином по Романовскому (х100).
Figure 2. Touch smears of the burn wound of the patient of the control group, day 4. Signs of microbial contamination of the wound. Degenerative changes and cytolysis of neutrophilic leukocytes, single macrophages. Azur-eosin staining according to Romanovsky (x100).
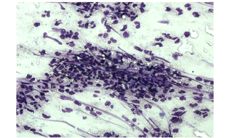
Рисунок 3. Мазок – отпечаток ожоговой раны пациента основной группы, 12-е сутки. Скопление коллагеновых волокон, инфильтрированных нейтрофильными лейкоцитами. Окраска азур-эозином по Романовскому (х40).
Figure 3. Touch smears of the burn wound of the patient of the main group, day 12. Accumulation of collagen fibers infiltrated by neutrophilic leukocytes. Azur-eosin staining according to Romanovsky (x40).
Рисунок 4. Мазок – отпечаток ожоговой раны пациента группы сравнения, 12-е сутки. Единичные макрофаги с гранулами эстеразы. ИЦХ. Реакция a-нафтилацетатом. (х40).
Figure 4. Touch smears of the burn wound of the patient of the control group, day 12. Isolated macrophages with granules with esterase. ICC. Reaction with á-naphthyl acetate (x40).
цитологической картине. Последний характеризовался затиханием воспалительной реакции, уменьшением количества нейтрофилов до 70–80%, наличием большого количества макрофагов (3,6±0,2), фагоцитоз в активном состоянии.
Основная группа (11–12 сутки). Цитограмма представлена небольшим числом дегенерирующих нейтрофильных лейкоцитов (19,4±5,6), скоплениями фибробластов (10,1±0,6), окруженных фибриллярными структурами. Данная цитограмма соответствует регенеративному типу течения раневого процесса (типы IV-V) (рисунок 3).
Группа сравнения (11–12 сутки). На полученной цитограмме нейтрофильные лейкоциты расположены в виде небольших групп (49,6±2,1), при этом большее число ядер их дегенеративно изменено (апоптоз). Эстеразная активность моноцитов/макрофагов выявлена только в единичных структурно сохраненных моноцитах/макрофагах. Относительно предыдущих сроков нет данных за положительную динамику. Цитологическая картина в большей степени соответсвует дегенеративно-воспалительному типу течения раневого процесса (III тип), при этом имеются признаки дегенеративно-некротических изменений, соответвующие II типу течения раневого процесса (рисунок 4).
ОБСУЖДЕНИЕ
В результате проведенных исследований к концу фазы воспаления выявляли уменьшение количества случаев высевания микрофлоры – как в монокультуре, так и в микробных ассоциациях. У пациентов основной группы отмечалось снижение удельного веса микробной ассоциации, оно было достоверно более выраженным – с 68,7% до 15,4% (р<0,05, р=0,01), тогда как в группе сравнения – с 84,6% до 48%. Соответственно удельный вес монокультуры у больных основной группы увеличился с 15,4% до 68,37% (р<0,05, р=0,01), тогда как в группе сравнения – с 18,2% до 52%. Также у пострадавших основной группы определялось уменьшение микробной обсемененности, которое было достоверно более выраженным и составляло с 106–108 до 101–102 в 1 г ткани (р<0,05, р=0,01), тогда как в группе сравнения – до 103 в 1 г ткани.
В основной группе пациентов определялись положительные сдвиги при цитологическом и бактериологическом исследованиях.
Основная группа (14–17 сутки). Значительных качественных изменений в клеточном составе на цитограмме не выявлено. Нейтрофильные лейкоциты с признаками дегенерации практически отсутствуют.
Группа сравнения (14–17 сутки). На цитологическом препарате в динамике отмечено уменьшение степени инфильтрации нейтрофильными лейкоцитами (29,9±4,3), последние расположены в виде отдельных скоплений. Макрофаги единичные, эстеразная активность в них отсутствует. Количество экссудата незначительное, присутствуют тонкие фибриллярные структуры. Данная цитологическая картина характерна для V типа (регенерационный, ранняя стадия) течения раневого процесса.
В фазе регенерации при лечении ожоговой раны в группе сравнения отмечали положительную динамику по сравнению с предыдущими сроками лечения. Так, стафилококк высевали у трех пациентов, стрептококк – у двух пациентов, синегнойную палочку – у одного пациента, протей – у двух пациентов.
ЗАКЛЮЧЕНИЕ
Специально разработанный способ местного лечения поверхностных ограниченных ожогов представляет собой достаточно перспективный, имеющий самостоятельное значение и предназначенный для профилактики и лечения местной раневой инфекции во всех фазах раневого процесса.
Об авторах
А. В. Толстов
ФГБОУ ВО «Самарский государственный медицинский университет» Минздрава России
Автор, ответственный за переписку.
Email: tolstovanatoly@mail.ru
ORCID iD: 0000-0002-7433-8982
д.м.н., профессор кафедры оперативной хирургии и клинической анатомии с курсом инновационных технологий
Россия, СамараИ. В. Новиков
ФГБОУ ВО «Самарский государственный медицинский университет» Минздрава России
Email: tolstovanatoly@mail.ru
ORCID iD: 0000-0002-6855-6828
аспирант кафедры оперативной хирургии и клинической анатомии с курсом инновационных технологий
Россия, СамараИ. В. Подсевалова
ФГБОУ ВО «Самарский государственный медицинский университет» Минздрава России
Email: tolstovanatoly@mail.ru
ORCID iD: 0000-0001-6350-2591
к.м.н., доцент кафедры анатомии человека
Россия, СамараА. С. Воронин
ФГБОУ ВО «Самарский государственный медицинский университет» Минздрава России
Email: tolstovanatoly@mail.ru
ORCID iD: 0000-0002-8472-3796
к.м.н., доцент кафедры оперативной хирургии и клинической анатомии с курсом инновационных технологий
Россия, СамараС. С. Дыдыкин
ФГАОУ ВО «Первый Московский государственный медицинский университет имени И.М. Сеченова» Минздрава России
Email: tolstovanatoly@mail.ru
ORCID iD: 0000-0002-1273-0356
д.м.н., профессор, заведующий кафедрой оперативной хирургии и топографической анатомии
Россия, МоскваВ. В. Алипов
ФГБОУ ВО «Саратовский государственный медицинский университет имени В.И. Разумовского» Минздрава России
Email: tolstovanatoly@mail.ru
ORCID iD: 0000-0002-1859-0825
д.м.н., профессор, заведующий кафедрой оперативной хирургии и топографической анатомии
Россия, СаратовДополнительные файлы











