Применение обогащенной тромбоцитами плазмы в лечении хронических воспалительных заболеваний нижних конечностей
- Авторы: Гилевич И.В.1,2, Шубров Э.Н.1, Чучварев Р.В.1, Коломийцева Е.А.1, Триандафилов К.В.1, Сотниченко А.С.2, Мелконян К.И.2
-
Учреждения:
- ГБУЗ «Научно-исследовательский институт – Краевая клиническая больница №1 имени профессора С.В. Очаповского»
- ФГБОУ ВО «Кубанский государственный медицинский университет» Минздрава России
- Выпуск: Том 6, № 3 (2021)
- Страницы: 63-68
- Раздел: Хирургия
- Статья опубликована: 30.09.2021
- URL: https://innoscience.ru/2500-1388/article/view/66714
- DOI: https://doi.org/10.35693/2500-1388-2021-6-3-63-68
- ID: 66714
Цитировать
Полный текст
Аннотация
Цель – оценить эффективность применения производных обогащенной тромбоцитами плазмы для лечения хронических воспалительных заболеваний нижних конечностей.
Материал и методы. В исследовании участвовали пациенты, находившиеся на стационарном лечении в ГБУЗ «НИИ–ККБ №1» г. Краснодара, с трофическими язвами и хроническим остеомиелитом. Пациентам были выполнены сеансы введения обогащенной тромбоцитами плазмы в виде лизата тромбоцитов и/или тромбогеля.
Результаты. В исследовании приняли участие 19 пациентов с трофическими язвами нижних конечностей с длительностью существования более 2 месяцев. Ранее пациентам была выполнена терапия, не давшая эффекта. Во всех случаях проводился комплекс лечебных мероприятий, включающих хирургическую обработку раны, наложение повязок, консервативную терапию, физиотерапевтические методы лечения, антибиотикотерапию. При наличии больших язв 8 пациентам была выполнена аутодермопластика без признаков отторжения. Было отмечено, что при использовании продуктов обогащенной тромбоцитами плазмы среднее время заживления составляет 6–7 недель.
С хроническим остеомиелитом наблюдались 4 пациента. У всех пациентов было выполнено вскрытие костной полости, после ее обработки полость заполняли тромбогелем, изготовленным инраоперационно. Послеоперационный период во всех случаях протекал гладко. Максимальный период наблюдения составил 1,5 года. Рецидива остеомиелита выявлено не было.
Таким образом, результаты исследования демонстрируют положительный эффект применения продуктов обогащенной тромбоцитами плазмы.
Ключевые слова
Полный текст
ОбТП – обогащенная тромбоцитами плазма.
ВВЕДЕНИЕ
Обогащенная тромбоцитами плазма (ОбТП) – это биологический продукт, получаемый из аутологичной крови человека и содержащий концентрированные тромбоциты [1], который привлекает все большее внимание как в научной литературе, так и в практической медицине в связи с потенциальным применением в качестве регенеративной терапии [2].
Регенеративный эффект тромбоцитов обусловлен способностью высвобождать высокие концентрации различных биоактивных молекул, хранящихся в альфа-гранулах, включая факторы роста, хемокины и цитокины, которые способствуют ангиогенезу, модулируют внеклеточный матрикс, ускоряют пролиферацию и дифференцировку клеток [3–9]. Использование ОбТП имеет ряд преимуществ. Во-первых, ОбТП можно легко получить из образцов периферической крови, что не требует больших экономических и лабораторных затрат. Во-вторых, ОбТП можно использовать как аутологичный биологический препарат, что сводит к минимуму риск иммунных реакций и передачи патогенов по сравнению с неаутологичным материалом [10].
В многочисленных обзорах описывается применение ОбТП для усиления регенерации тканей в хирургии, стоматологии, челюстно-лицевой хирургии, травматологии и ортопедии, спортивной медицине, офтальмологии и др. [11–19].
Несмотря на значительный прогресс, достигнутый в клинической практике, лечение хронических раневых и костных инфекций остается сложной задачей. Обычные методы лечения хронических инфекций включают хирургическую обработку инфицированных ран, использование антибиотиков и восстановление мягких тканей [4]. Часто эти методы лечения неэффективны для свое-временного устранения инфекции, что может привести к значительной заболеваемости и высоким экономическим затратам. В последние годы возрос интерес к изучению эффективности производных ОбТП для лечения тканевой инфекции, что обусловлено их противовоспалительными и антимикробными свойствами.
ЦЕЛЬ
Оценить эффективность применения производных ОбТП для лечения хронических воспалительных заболеваний нижних конечностей.
МАТЕРИАЛЫ И МЕТОДЫ
В исследовании приняли участие пациенты, находившиеся на стационарном лечении в отделении гнойной хирургии ГБУЗ «НИИ–ККБ №1» г. Краснодара, с хроническими воспалительными заболеваниями нижних конечностей, включающими трофические язвы и хронический остеомиелит. Исследование было выполнено после разрешения локального этического комитета и оформленного каждым пациентом информированного согласия.
В исследование были включены 19 пациентов с трофическими язвами и 4 человека с остеомиелитом.
Критериями включения в исследование служили пациенты с длительно не заживающими трофическими язвами при отсутствии эффекта от ранее проводимой терапии. У пациентов с остеомиелитом наблюдались крупные дефекты, требующие хирургического вмешательства.
Приготовление обогащенной тромбоцитами плазмы и ее производных
Для получения ОбТП у пациентов забирали кровь в пробирку с раствором антикоагулянта ЦФДА-1. Объем забираемой крови зависел от необходимого объема конечного продукта для закрытия дефекта и варьировал от 40 до 100 мл. Все манипуляции, связанные с получением ОбТП, проводились в стерильных лабораторных условиях в ламинарном шкафу. Плазму, обогащенную тромбоцитами, получали путем двойного центрифугирования – сначала на режиме 15 минут – 2000 об/мин, затем 10 минут – 3500 об/мин. После последнего центрифугирования верхний слой плазмы, обедненный тромбоцитами, отбирали. Оставшееся количество плазмы, обогащенной тромбоцитами, было использовано в виде лизата тромбоцитов и/или тромбогеля.
Для получения лизата тромбоцитов пробирку с биологическим материалом подвергали температурному воздействию -80°С с последующим согреванием при температуре +37°C и центрифугированием для осаждения клеток.
Для получения тромбогеля сначала активировали тромбоциты раствором CaCl2 (соотношение 20:1) в чашке Петри для выделения аутологичного тромбина по описанной методике [20]. Затем интраоперационно смешивали в равных количествах тромбин и ОбТП в соотношении 1:1 до получения тромбогеля.
Для контроля качества ОбТП определяли концентрацию тромбоцитов, лейкоцитов и гемоглобина на гемоанализаторе ADVIA-120, а микробиологическое исследование на стерильность проводили с помощью BacT/ALERT System (bioMérieux SA, Marcy l’Etoile, France).
РЕЗУЛЬТАТЫ
При каждом изготовлении ОбТП проводили контроль качества с количественной оценкой уровня тромбоцитов, исходного – в периферической крови и в готовом продукте. В готовом продукте в среднем содержалось в 3 раза больше тромбоцитов – 1098 ± 58,68 х109/Л (n=36) по сравнению с исходным уровнем – 312,3 ± 16,62 х109/Л (n=36), p<0,0001. Каждая доза была исследована на бактериальную контаминацию, подтверждена стерильность получаемого продукта. Готовый биологический продукт в стерильной упаковке сразу же передавали в операционную для проведения манипуляций. Конечный объем ОбТП и объем приготовляемого тромбогеля были обусловлены размерами кожной раны или костных дефектов (рисунок 1).
Рисунок 1. Демонстрация примеров применения продуктов ОбТП. А) Тромбогель на трофической язве. Б) Тромбогель укладывают в костную полость. / Figure 1. Examples of the platelet-rich plasma use. A) Platelet gel in a trophic ulcer. B) Platelet gel is placed in the bone cavity.
Результаты лечения пациентов с трофическими язвами
Критериям включения в исследование соответствовали 19 человек. В число участников входили 9 мужчин (47%) и 10 женщин (53%), средний возраст составил 60±10 лет, в диапазоне от 41 до 81 года.
Лица с сахарным диабетом составляли 31,6% (n=6), у 2 пациентов (10,5%) была хроническая артериальная недостаточность, сочетание сахарного диабета и хронической артериальной недостаточности наблюдалось в 10,5% (n=2) случаях, пациенты с венозной недостаточностью составляли 26,3% (n=5), после рожистого воспаления было 2 человека (10,5%), посттравматическая язва была выявлена у 2 пациентов (10,5%).
У 13 человек (68,4%) были сопутствующие заболевания, из них гипертоническая болезнь наблюдалась у 12 человек, ишемическая болезнь сердца в 4 случаях, у 1 пациента была выявлена патология мочеполовой системы, 11 человек имели ожирение I – III ст.
В зависимости от сосудистой патологии пациентам были выполнены хирургические вмешательства: 4 пациентам со стенозом сосудов в зависимости от уровня поражения артерий были выполнены транслюминальная баллонная ангиопластика с установкой стента. У 2 пациентов с варикозной болезнью нижних конечностей была выполнена флебэктомия.
Во всех случаях раны существовали более 2 месяцев. Максимальная длительность язвы составила 6 лет. Ранее пациентам проводились медикаментозная терапия, хирургическая обработка раны с аутодермопластикой по месту жительства (n=3) – без эффекта, язвы рецидивировали. В 2 случаях пациенты лечились самостоятельно дома, без обращения за медицинской помощью.
Размеры язв были вариабельны от 10 см2 до 25 см2. Всем пациентам проводился комплекс лечебных мероприятий, включающий местную терапию (хирургическую обработку раны, наложение повязок), этиопатогенетическую терапию, направленную на улучшение оксигенации и перфузии ткани, коррекцию метаболических расстройств, физиотерапевтические методы лечения, антибиотикотерапию. При наличии больших язв 8 пациентам была выполнена аутодермопластика.
Все пациенты получали сеансы терапии производными ОбТП в виде лизата тромбоцитов с обкалыванием дна раны и ее краев и/или наложением на рану тромбогеля. При сочетанном применении ОбТП и аутодермопластики наблюдалось полное приживление трансплантата. Было отмечено, что среднее время заживления составляет 6–7 недель (рисунок 2).
Рисунок 2. Пациент, муж., 49 лет. Мультифокальный атеросклероз. Стеноз артерий левой нижней конечности. Стеноз глубокой бедренной артерии, окклюзия передней большеберцовой артерии на правой нижней конечности. Состояние после транслюминальной баллонной ангиопластики поверхностной бедренной артерии левой нижней конечности. Сахарный диабет, 2 тип. Сопутствующие заболевания: гипертоническая болезнь III ст., риск 4. Трофическая язва. Ранее была выполнена аутодермопластика. Рецидив язвы. А) До лечения ОбТП в виде аппликаций и инъекций лизата тромбоцитов. Б) После лечения. Полное заживление. Наблюдение в течение 2 лет. / Figure 2. Patient, male, 49 years old. Multifocal atherosclerosis. Stenosis of the arteries of the left lower extremity. Deep femoral artery stenosis, occlusion of the anterior tibial artery on the right lower limb. Transluminal balloon angioplasty of the superficial femoral artery of the left lower extremity. Diabetes mellitus, type 2. Hypertension, stage III, risk 4. Trophic ulcer. Autodermoplasty was previously performed. Recurrence of the ulcer. A) Before treatment with platelet-rich plasma in the form of applications and injections of platelet lysate. B) After treatment. Complete healing. Follow-up for 2 years.
При контрольном гистологическом исследовании язв было показано разрастание грануляционной ткани по краям, наличие краевой эпителизации (рисунок 3).
Рисунок 3. Морфологическая картина дна раны. Окраска гематоксилином и эозином. Увеличение: об. х 10, ок. х 10. А) Гнойное воспаление гангренозного типа в мягких тканях. Б) Фрагмент грануляционной ткани, покрытый уплотненным фибрином. / Figure 3. Morphological picture of the wound bed. Haematoxylin and eosin staining. Magnification: ob. x 10, oc. x 10. A) Purulent inflammation of the gangrenous type in soft tissues. B) Granulation tissue covered with compacted fibrin.
При анализе результатов лечения был отмечен положительный результат, безрецидивное течение послеоперационного периода на протяжении всего срока наблюдения, составившего более 4 месяцев. Проведенный комплекс лечебных мероприятий позволил избежать ампутации конечностей, инвалидизации пациентов.
Результаты лечения пациентов с хроническим остеомиелитом
В исследовании приняли участие 4 пациента, из них 3 женщины, 1 мужчина, средний возраст составил 40,5±16,6 года. У всех пациентов был диагностирован хронический остеомиелит (в двух случаях посттравматичеcкий и в двух случаях – гематогенный).
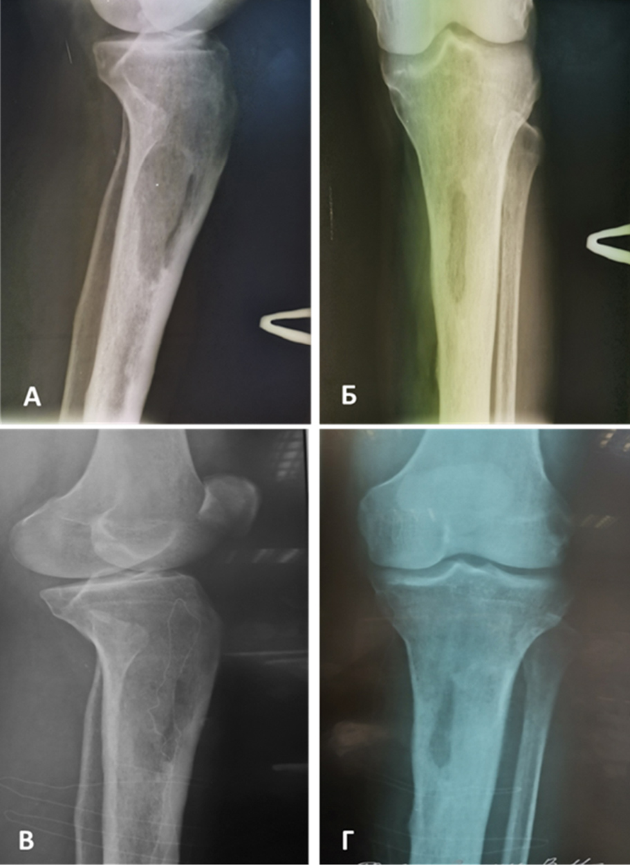
У всех пациентов было выполнено вскрытие костной полости, после ее обработки полость заполняли тромбогелем, изготовленным интраоперационно. Послеоперационный период протекал без осложнений. Пациенты были выписаны в удовлетворительном состоянии (рисунок 4). Максимальный период наблюдения составил 1,5 года. В представленных случаях рецидива остеомиелита выявлено не было.
Рисунок 4. Пациент, муж., 60 лет. Хронический посттравматический остеомиелит верхней трети левой большеберцовой кости, свищевая форма. Сопутствующие заболевания: Гипертоническая болезнь II ст., риск 3. Ожирение I ст. по ВОЗ (ИМТ 30 кг/кв.м). Выполнена фистулсеквестрнекрэктомия верхней трети левой большеберцовой кости с последующей хирургической обработкой, замещением костной полости кости тромбогелем. А–Б) Рентгеновские снимки в двух проекциях до начала лечения. В–Г) Рентгеновские снимки в двух проекциях через 2,5 месяца – положительная динамика. / Figure 4. Patient, male, 60 years old. Chronic post-traumatic osteomyelitis of the upper third of the left tibia, fistulous form. Concomitant diseases: Hypertension II stage, Risk 3. Obesity grade 1 according to WHO (BMI 30 kg / sq.m). Fistula-sequester-necrectomy of the upper third of the left tibia was performed, followed by surgical treatment, replacement of the bone cavity with platelet gel. A-B) X-rays in two projections before the start of treatment. C-D) X-rays in two projections after 2.5 months – positive dynamics.
ОБСУЖДЕНИЕ
Информация об эффективности и безопасности плазмы, обогащенной тромбоцитами, представлена как в обзорах, так и клинических исследованиях. Однако, несмотря на многочисленные научные данные, отношение клиницистов к данному продукту остается неоднозначным. Разногласия относительно клинической эффективности ОбТП и обоснованности ее дальнейшего применения во многом связаны с вариативностью протоколов, используемых для подготовки ОбТП в клинической практике [21].
Для оценки эффективности ОбТП важным является прежде всего получение достаточного количества тромбоцитов. Основной механизм действия тромбоцитов в ране обусловлен содержанием в их альфа-гранулах различных факторов роста, цитокинов и других веществ. Поэтому при увеличении концентрации тромбоцитов местно многократно возрастает и концентрация факторов роста, что приводит к стимуляции процессов регенерации. В своей работе мы использовали ручной способ получения ОбТП из объема крови 40–100 мл. Проведенные исследования подтвердили, что получаемый продукт соответствует критериям, предъявляемым к ОбТП [2].
Систематические обзоры по использованию ОбТП в ортопедии при хронических ранах, костно-мышечных травмах не показали статистически значимых различий между плацебо и ОбТП при оценке неблагоприятных исходов [22]. В нашей работе наблюдение за пациентами с тяжелыми и сложными ранами не выявило случаев развития септических осложнений, некрозов и летальных исходов.
Хроническое заживление ран – сложный процесс, в котором задействованы несколько факторов роста и сложные регуляторные механизмы. Исследования показали, что раны, обработанные множественными факторами роста, имели лучшие результаты, чем раны, обработанные одиночными факторами роста, из-за взаимодействия и стимуляции факторов роста [21]. В ряде работ авторы предполагают противоинфекционные свойства ОбТП, а также говорят о способности ингибировать S. aureus и Colibacillus [21, 23, 24]. Yuan T. и соавт. использовали ОбТП для лечения хронического остеомиелита бедра и получили удовлетворительный результат [25].
Описательные исследования способствуют формированию у клиницистов представления о том, как лучше оказывать помощь сложным пациентам с множественными сопутствующими заболеваниями, которые могут быть слишком редкими или слишком сложными для включения в типичное рандомизированное клиническое исследование [22]. Полученные нами результаты показали перспективность применения ОбТП в тех случаях, когда другие методы неэффективны, при наличии выраженной сопутствующей соматической патологии.
Наши данные в совокупности подтверждают ранее известные антибактериальные свойства ОбТП, наблюдаемые in vitro [26]. Это уникальное свойство тромбоцитов вместе со стимуляцией регенерации ткани делает их перспективным средством для использования при хронических ранах мягких тканей и костей.
ЗАКЛЮЧЕНИЕ
Результаты описательного исследования демонстрируют положительный эффект применения продуктов обогащенной тромбоцитами плазмы для лечения хронических воспалительных заболеваний нижних конечностей.
Конфликт интересов: все авторы заявляют об отсутствии конфликта интересов, требующего раскрытия в данной статье.
Об авторах
Ирина Валерьевна Гилевич
ГБУЗ «Научно-исследовательский институт – Краевая клиническая больница №1 имени профессора С.В. Очаповского»; ФГБОУ ВО «Кубанский государственный медицинский университет» Минздрава России
Автор, ответственный за переписку.
Email: giliv@list.ru
ORCID iD: 0000-0002-9766-1811
канд. мед. наук, заведующая лабораторией разработки и изучения новых технологий лечения заболевания, ассистент кафедры онкологии с курсом торакальной хирургии
Россия, ул. 1 Мая, 167, г. Краснодар, 350086; ул. Седина, 4, Краснодар, 350063Эрик Николаевич Шубров
ГБУЗ «Научно-исследовательский институт – Краевая клиническая больница №1 имени профессора С.В. Очаповского»
Email: erik.nalchanin@yandex.ru
ORCID iD: 0000-0002-0864-3938
хирург отделения гнойной хирургии
Россия, ул. 1 Мая, 167, г. Краснодар, 350086Роман Вячеславович Чучварев
ГБУЗ «Научно-исследовательский институт – Краевая клиническая больница №1 имени профессора С.В. Очаповского»
Email: rchuchvaryov@mail.ru
хирург отделения гнойной хирургии
Россия, ул. 1 Мая, 167, г. Краснодар, 350086Елена Анатольевна Коломийцева
ГБУЗ «Научно-исследовательский институт – Краевая клиническая больница №1 имени профессора С.В. Очаповского»
Email: kmc78@mail.ru
ORCID iD: 0000-0002-7773-9159
биолог лаборатории разработки и изучения новых технологий лечения заболевания
Россия, ул. 1 Мая, 167, г. Краснодар, 350086Константин Владимирович Триандафилов
ГБУЗ «Научно-исследовательский институт – Краевая клиническая больница №1 имени профессора С.В. Очаповского»
Email: gnhirkkbo@mail.ru
заведующий отделением гнойной хирургии
Россия, ул. 1 Мая, 167, г. Краснодар, 350086Александр Сергеевич Сотниченко
ФГБОУ ВО «Кубанский государственный медицинский университет» Минздрава России
Email: alex24.88@mail.ru
ORCID iD: 0000-0001-7322-0459
канд. мед. наук, заведующий лабораторией фундаментальных исследований в области регенеративной медицины центральной научно-исследовательской лаборатории
Россия, ул. Седина, 4, Краснодар, 350063Карина Игоревна Мелконян
ФГБОУ ВО «Кубанский государственный медицинский университет» Минздрава России
Email: kimelkonian@gmail.com
ORCID iD: 0000-0003-2451-6813
канд. мед. наук, заведующая Центральной научно-исследовательской лабораторией, доцент кафедры фундаментальной и клинической биохимии
Россия, ул. Седина, 4, Краснодар, 350063Список литературы
- Bogdan VG, Tolstov DA. Prospective randomized clinical trials of efficiency of autologous platelet-derived concentrates to stimulate regeneration of trophic ulcers of venous etiology. Novosti Khirurgii. 2014;22(3):344-350.(In Russ.). [Богдан В.Г., Толстов Д.А. Проспективное рандомизированное клиническое исследование эффективности применения аутологичных тромбоцитарных концентратов для стимуляции регенерации трофических язв венозной этиологии. Новости хирургии. 2014;22(3):344-350].
- Harrison P. Subcommittee on Platelet Physiology. The use of platelets in regenerative medicine and proposal for a new classification system: guidance from the SSC of the ISTH. J Thromb Haemost. 2018;16(9):1895-1900. doi: 10.1111/jth.14223
- Nurden AT. Platelets, inflammation and tissue regeneration. Thromb Haemost. 2011;105(1):13-33. doi: 10.1160/THS10-11-0720
- Zhang W, Guo Y, Kuss M, et al. Platelet-Rich Plasma for the Treatment of Tissue Infection: Preparation and Clinical Evaluation. Tissue Eng Part B Rev. 2019;25(3):225-236. doi: 10.1089/ten.TEB.2018.0309
- Marques LF, Stessuk T, Camargo IC, et al. Platelet-rich plasma (PRP): methodological aspects and clinical applications. Platelets. 2015;26(2):101-13. doi: 10.3109/09537104.2014.881991
- Burnouf T, Strunk D, Koh MB, Schallmoser K. Human platelet lysate: Replacing fetal bovine serum as a gold standard for human cell propagation? Biomaterials. 2016;76:371-87. doi: 10.1016/j.biomaterials.2015.10.065
- Qian Y, Han Q, Chen W, et al. Platelet-Rich Plasma Derived Growth Factors Contribute to Stem Cell Differentiation in Musculoskeletal Regeneration. Front Chem. 2017;5:89. doi: 10.3389/fchem.2017.00089
- Kakudo N, Morimoto N, Kushida S, et al. Platelet-rich plasma releasate promotes angiogenesis in vitro and in vivo. Med Mol Morphol. 2014;47(2):83-9. doi: 10.1007/s00795-013-0045-9
- Holmes HL, Wilson B, Goerger JP, et al. Facilitated recruitment of mesenchymal stromal cells by bone marrow concentrate and platelet rich plasma. PLoS One. 2018;13(3):e0194567. doi: 10.1371/journal.pone.0194567 Available at: https://journals.plos.org/plosone/article?id=10.1371/journal.pone.0194567 Accessed 30.04.2021.
- Jones IA, Togashi RC, Thomas Vangsness C Jr. The Economics and Regulation of PRP in the Evolving Field of Orthopedic Biologics. Curr Rev Musculoskelet Med. 2018;11(4):558-565. doi: 10.1007/s12178-018-9514-z
- Kaigler D, Avila G, Wisner-Lynch L, et al. Platelet-derived growth factor applications in periodontal and peri-implant bone regeneration. Expert Opin Biol Ther. 2011;11(3):375-85. doi: 10.1517/14712598.2011.554814
- Simonpieri A, Del Corso M, Vervelle A, et al. Current knowledge and perspectives for the use of platelet-rich plasma (PRP) and platelet-rich fibrin (PRF) in oral and maxillofacial surgery part 2: Bone graft, implant and reconstructive surgery. Curr Pharm Biotechnol. 2012;13(7):1231-56. doi: 10.2174/138920112800624472
- Kreuz PC, Krüger JP, Metzlaff S, et al. Platelet-Rich Plasma Preparation Types Show Impact on Chondrogenic Differentiation, Migration, and Proliferation of Human Subchondral Mesenchymal Progenitor Cells. Arthroscopy. 2015;31(10):1951-61. doi: 10.1016/j.arthro.2015.03.033
- Alio JL, Arnalich-Montiel F, Rodriguez AE. The role of "eye platelet rich plasma" (E-PRP) for wound healing in ophthalmology. Curr Pharm Biotechnol. 2012;13(7):1257-65. doi: 10.2174/138920112800624355
- Sánchez M, Garate A, Delgado D, Padilla S. Platelet-rich plasma, an adjuvant biological therapy to assist peripheral nerve repair. Neural Regen Res. 2017;12(1):47-52. doi: 10.4103/1673-5374.198973 Erratum in: Neural Regen Res. 2017;12(3):338.
- Makarov IV, Navasardjan NN The use of plasma autofibronectin in the complex treatment of patients with trophic venous ulcers of the lower extremities. Nizhegorodskij medicinskij zhurnal. 2007;7:84-86. (In Russ.). [Макаров И.В., Навасардян Н.Н. Использование плазменного аутофибронектина в комплексном лечении пациентов с трофическими венозными язвами нижних конечностей. Нижегородский медицинский журнал. 2007;7:84-86].
- Sakata J, Sasaki S, Handa K, et al. A retrospective, longitudinal study to evaluate healing lower extremity wounds in patients with diabetes mellitus and ischemia using standard protocols of care and platelet-rich plasma gel in a Japanese wound care program. Ostomy Wound Manage. 2012;58(4):36-49.
- Suthar M, Gupta S, Bukhari S, Ponemone V. Treatment of chronic non-healing ulcers using autologous platelet rich plasma: a case series. J Biomed Sci. 2017;24(1):16. doi: 10.1186/s12929-017-0324-1
- Prabhu R, Vijayakumar C, Bosco Chandra AA, et al. Efficacy of Homologous, Platelet-rich Plasma Dressing in Chronic Non-healing Ulcers: An Observational Study. Cureus. 2018;10(2):e2145. doi: 10.7759/cureus.2145
- Sharipov OI, Kutin MA, Bayuklin AV, et al. The use of platelet gel for repair of a cerebrospinal fluid fistula of the skull base (a case report and literature review). Burdenko's Journal of Neurosurgery. 2018;82(1):86-92. (In Russ.). [Шарипов О.И., Кутин М.А., Баюклин А.В. и др. Применение тромбоцитарного геля для пластики ликворной фистулы основания черепа (случай из практики и обзор литературы). Журнал «Вопросы нейрохирургии» имени Н.Н. Бурденко. 2018;82(1):86-92]. https://doi.org/10.17116/neiro201882186-92
- Wang HF, Gao YS, Yuan T, Yu XW, Zhang CQ. Chronic calcaneal osteomyelitis associated with soft-tissue defect could be successfully treated with platelet-rich plasma: a case report. Int Wound J. 2013;10(1):105-9. doi: 10.1111/j.1742-481X.2012.00951.x
- Fernandez-Moure JS, Van Eps JL, Cabrera FJ, et al. Platelet-rich plasma: a biomimetic approach to enhancement of surgical wound healing. J Surg Res. 2017;207:33-44. doi: 10.1016/j.jss.2016.08.06
- Bielecki TM, Gazdzik TS, Arendt J, et al. Antibacterial effect of autologous platelet gel enriched with growth factors and other active substances: an in vitro study. J Bone Joint Surg Br. 2007;89(3):417-20. doi: 10.1302/0301-620X.89B3.18491
- Carter MJ, Fylling CP, Parnell LK. Use of platelet rich plasma gel on wound healing: a systematic review and meta-analysis. Eplasty. 2011;11:e38. Available at: https://www.ncbi.nlm.nih.gov/pmc/articles/PMC3174862/ Accessed 30.04.2021
- Yuan T, Zhang C, Zeng B. Treatment of chronic femoral osteomyelitis with platelet-rich plasma (PRP): a case report. Transfus Apher Sci. 2008;38(2):167-73. doi: 10.1016/j.transci.2008.01.006
- Cetinkaya RA, Yilmaz S, Ünlü A, et al. The efficacy of platelet-rich plasma gel in MRSA-related surgical wound infection treatment: an experimental study in an animal model. Eur J Trauma Emerg Surg. 2018;44(6):859-867. doi: 10.1007/s00068-017-0852-0
Дополнительные файлы







