Five-year experience in surgical treatment of temporal bone paragangliomas
- Authors: Diab K.M.1,2, Daikhes N.A.1, Umarov P.U.1, Pashchinina O.A.1, Zagorskaya D.A.1
-
Affiliations:
- Federal Scientific Clinical Center of Otorhinolaryngology
- Pirogov Russian National Research Medical University
- Issue: Vol 6, No 2 (2021)
- Pages: 66-72
- Section: Surgery
- Published: 30.06.2021
- URL: https://innoscience.ru/2500-1388/article/view/75648
- DOI: https://doi.org/10.35693/2500-1388-2021-6-2-66-72
- ID: 75648
Cite item
Full Text
Abstract
Objectives – to discuss a five-year experience in surgical treatment of temporal bone paragangliomas from the point of view of U. Fisch and D. Mattox classification modified by М. Sanna in 2013.
Material and methods. In the period from February 2015 till December 2020, we performed 130 operations to remove temporal bone paraganglioma. The examined and operated patients included 34 men and 96 women aged from 2 to 82 years. The paraganglioma types A, B and C were distributed as follows: type A in 22 patients (A1 – 12 cases, A2 – 10 cases); type B in 73 patients (B1 – 25 cases, B2 – 16 cases, B3 – 32 cases); type C in 35 patients (С1 – 10 cases, С2 – 12 cases, С3 – 7 cases, С4 – 5 cases)
Results. The evaluated results included the quality of tumor removal, the auditory function and the function of the facial nerve in relation to the size of the neoplasm, registered during the early and late postoperative periods. Based on the study data, we developed an algorithm of tactics of surgical treatment of patients with this type of temporal bone pathology aimed to avoid damage to the vital structures of the lateral skull base.
Full Text
ВВЕДЕНИЕ
Параганглиома – достаточно редкая опухоль, возникающая из клеток нехромаффинных параганглиев, называемых также гломусными тельцами. У названия «параганглиома» есть множество синонимов: гломусная опухоль, опухоль яремного и барабанного гломусов, хемодектома, рецептома, нехромаффинная параганглиома и другие. Параганглиома может поражать различные органы и ткани. Она располагается чаще всего в области раздвоения сонной артерии (опухоли сонной артерии), вдоль блуждающего нерва (вагусные параганглиомы), в яремной ямке и барабанной полости (югулотимпанальные параганглиомы). Параганглиома занимает второе место среди опухолей височной кости после шванномы вестибулокохлеарного нерва (M.A.S. Garcia 2007). Частота встречаемости параганглиомы височной кости – 1:1300000 [1]. Обычно параганглиома берет свое начало от луковицы яремной вены над и по ходу нерва Якобсона (барабанная ветвь IX) или нерва Арнольда (ушная ветвь X). Это доброкачественная опухоль, однако, согласно данным литературы, иногда она может метастазировать, даже через несколько лет после удачно проведенной операции [2]. Характеризуют параганглиому как опухоль с медленным ростом, она имеет тенденцию к инвазии в костные структуры и твердую мозговую оболочку, а также обильную васкуляризацию, что приводит к частому рецедивированию. [2, 3]. Параганглиома височной кости чаще встречается у лиц от 40 до 50 лет, хотя может появиться в любом возрасте. В соответствии с литературными данными женщины страдают чаще, чем мужчины [4, 5, 6, 7]
Пациенты чаще всего предъявляют жалобы на пульсирующий шум в ушах, снижение слуха. Поражение черепно-мозговых нервов может проявляться параличом языка, нарушением глотания, нарушением голосовой функции [8]. Менее частым симптомом является поражение лицевого нерва. Дальнейший рост образования в заднечерепную ямку может привести к компрессии мозжечка, ствола головного мозга и даже к окклюзионной гидроцефалии [9]. По данным литературы, временной интервал между появлением первых симптомов и диагностикой параганглиом составляет от 4 до 6 лет [10].
На этапе установки диагноза и планирования дальнейшей тактики лечения проводится компьютерная томография (КТ), которая выявляет костные разрушения височной кости и степень распространения на ранней стадии заболевания. Магнитно-резонансная томография (МРТ) является методом выбора при оценке вовлечения среднего уха, основания черепа или задней ямки и мониторинга роста параганглиомы [11]. По данным классификации U. Fisch и D. Mattox в модификации М. Sanna от 2013 г. в зависимости от степени распространения опухоли делятся на четыре основных типа: тип А, тип В, тип С и тип D [12, 13]. Классификация представлена в таблице 1.
Тип А | опухоль в пределах промонториума |
А1 | вся опухоль обозрима при отоскопии |
А2 | края опухоли не обозримы при отоскопии, опухоль может распространяться к евстахиевой трубе и в ретротимпанум |
Тип В | опухоль распространяется в гипотимпанум, но не разрушает яремную ямку и не распространяется в инфралабиринтное пространство |
В1 | опухоль распространяется в гипотимпанум, но не доходит до яремной луковицы |
В2 | опухоль распространяется в гипотимпанум и в сосцевидный отросток |
В3 | опухоль заполняет барабанную полость, сосцевидный отросток и разрушает костную стенку канала внутренней сонной артерии |
Тип С | опухоль с поражением инфралабиринтного пространства с распространением в верхушку пирамиды |
С1 | опухоль распространяется вплоть до сонного отверстия, но не затрагивает сонную артерию |
С2 | опухоль вовлекает вертикальную порцию сонного канала |
С3 | опухоль вовлекает и вертикальную, и горизонтальную порции сонного канала, но не доходит до рваного отверстия |
С4 | опухоль распространяется до кавернозного синуса |
Тип D | опухоль с интракраниальным распространением |
De1 | опухоль с распространением в полость черепа до 2 см (эпидурально) |
De2 | опухоль с распространением в полость черепа более 2 см (эпидурально) |
Di1 | опухоль с распространением в полость черепа до 2 см (интрадурально) |
Di2 | опухоль с распространением в полость черепа более 2 см (интрадурально) |
Таблица 1. Классификация U. Fisch и D. Mattox в модификации Sanna
Table 1. Sanna’s modified classification of U. Fisch and D. Mattox
Все эти качества делают гломусные опухоли одной из самых трудных патологий в отохирургии и подчеркивают важность раннего выявления данных образований и своевременного полноценного хирургического удаления с возможностью сохранения функции жизненно важных анатомических структур [13]. Существуют различные тактики ведения пациентов с распространенными параганглиомами. С совершенствованием микрохирургической техники, появлением интраоперационного мониторинга черепных нервов, возможностью использовать навигационные системы и видеоэндоскопическую ассистенцию предпочтение отдается хирургическому удалению опухоли. Исключение составляют пациенты с инвазией опухоли во внутреннюю сонную артерию и с вовлеченными в патологический процесс черепно-мозговыми нервами, которым показано радиохирургическое воздействие [14].
МАТЕРИАЛ И МЕТОДЫ
За период с февраля 2015 года по декабрь 2020 года на базе ФГБУ НМИЦО обследовано и прооперировано 130 пациентов с параганглиомами височной кости (34 мужчины и 96 женщин) в возрасте от 2 до 82 лет. Для определения степени распространения опухолевого процесса, вовлечения важных анатомических структур и выбора оптимальной тактики хирургического лечения всем пациентам на дооперационном этапе выполнялись КТ височных костей и МРТ головы в Т1, Т2, Т1 + контрастирование.
По результатам лучевых методов исследований в зависимости от распространенности процесса, согласно международной классификации параганглиом височной кости (таблица 1), пациенты были распределены на группы по типам опухоли.
В первую группу (n=22) вошли пациенты с параганглиомой типа А – 22 больных, из них с типом А1 – 12 пациентов, с типом А2 – 10 пациентов.
У пациентов второй группы (n=73) диагностирована опухоль типа В. В зависимости от распространения у 25 человек выявлены образования типа В1: у 16 больных – тип В2, у 32 – тип В3.
Третью группу составили пациенты (n=35) c распространенной параганглиомой височной кости типа С, по степени распространения они распределились на тип С1 – 10 пациентов, тип С2 – 12 пациентов, тип С3 – 7 пациентов, тип С4 – 5 пациентов.
Во всех трех группах у пациентов зафиксированы жалобы на пульсирующий шум.
Пациенты первой группы также предъявляли жалобы на снижение слуха, при этом пареза лицевого нерва не отмечалось. При отоскопии у пациентов определялось бордовое образование за барабанной перепонкой. По данным лучевых исследований, на КТ височных костей у пациентов определялся мягкотканный субстрат, частично заполняющий барабанную полость (рисунок 1). На снимках МРТ головного мозга с контрастированием новообразование в барабанной полости активно накапливало контраст (рисунок 2).
Рисунок 1. КТ левой височной кости, аксиальная проекция. Параганглиома, тип А: барабанная полость заполнена мягкотканным субстратом, деструкция луковицы яремной вены не определяется.
Рисунок 2. МРТ головного мозга и мягких тканей шеи, Т2-ВИ с подавлением сигнала от жировой ткани, в корональной плоскости. Параганглиома, тип А.
Пациенты второй группы предъявляли жалобы на снижение или отсутствие слуха с пораженной процессом стороны, периодическое онемение лица. При отоскопии у пациентов определялось бордовое пульсирующее объемное образование, выпячивающее кнаружи барабанную перепонку. По данным лучевых исследований, на КТ височных костей определялся мягкотканный субстрат, заполняющий барабанную полость и распространяющийся в антрум и клетки сосцевидного отростка. Крыша барабанной полости была истончена. Костная стенка канала внутренней сонной артерии у пациентов с типом В3 не прослеживалась. На уровне гипотимпанума определялось мягкотканное образование, которое разрушало костные стенки (рисунок 3). На МРТ головного мозга и мягких тканей шеи с контрастированием определялось распространение образования в клетки сосцевидного отростка, без инвазии в луковицу яремной вены и внутреннюю сонную артерию. В клетках сосцевидного отростка определялись следы жидкости (рисунок 4).
Рисунок 3. КТ правой височной кости, аксиальная проекция. Параганглиома, тип В: барабанная полость заполнена мягкотканным субстратом, отмечено истончение костной стенки луковицы яремной.
Рисунок 4. МРТ головного мозга и мягких тканей шеи, Т2-ВИс подавлением сигнала от жировой ткани, в корональной плоскости. Параганглиома, тип В.
Пациенты третьей группы с диагностированной распространенной параганглиомой предъявляли жалобы на отсутствие слуха с пораженной стороны, периодическое онемение лица, периодические эпизоды кровотечения из слухового прохода. У 6 пациентов, которые до поступления в нашу клинику неоднократно подвергались хирургическим вмешательствам, отмечался парез лицевого нерва со стороны поражения, который соответствовал 5–6 степени по шкале House – Brackmann. При отоскопии у пациентов определялось выпирающее в просвет наружного слухового прохода красно-бордовое пульсирующее объемное образование. По данным лучевых исследований, на КТ височных костей у пациентов определялся мягкотканный субстрат, заполняющий барабанную полость. Крыша барабанной полости была истончена, местами не определялась (1). Костная стенка канала внутренней сонной артерии не прослеживалась. На уровне луковицы яремной вены определялось мягкотканное образование, которое разрушало костные стенки гипотимпанума (2) (рисунок 5).
Рисунок 5. КТ правой височной кости, аксиальная проекция. Параганглиома, тип С: задняя стенка нижнечелюстной ямки местами не определяется (1). На уровне яремной ямки определяется мягкотканное содержимое, которое разрушает костные стенки гипотимпанума (2).
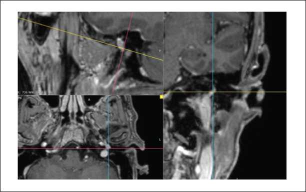
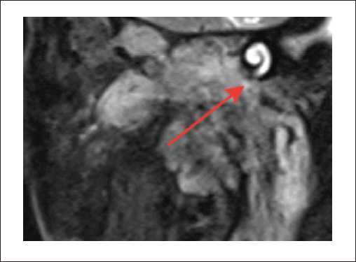
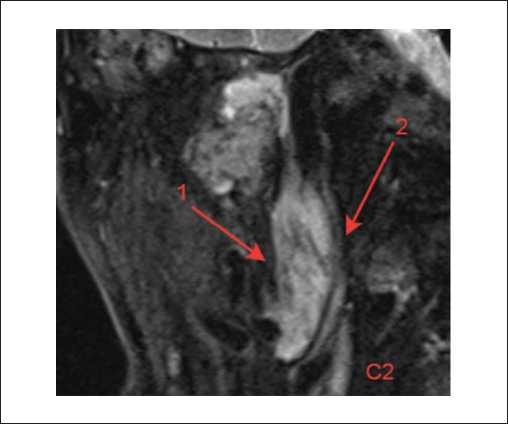
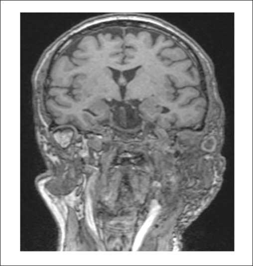
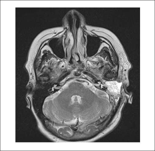
На МРТ головного мозга и мягких тканей шеи определялось распространение образования на капсулу улитки и на область правой мостомозжечковой цистерны (рисунки 6, 8, 9). Соответствующие отделы головного мозга не изменены. Определялись признаки распространения процесса по ходу внутренней яремной вены (1). Просвет внутренней яремной вены в этой области не прослеживался (2) (рисунок 7).
Рисунок 6. МРТ головного мозга и мягких тканей шеи, Т2-ВИ с подавлением сигнала от жировой ткани, в корональной плоскости. Параганглиома, тип С: определяется распространение образования на капсулу улитки.
Рисунок 7. МРТ головного мозга и мягких тканей шеи, Т2-ВИс подавлением сигнала от жировой ткани, в корональной плоскости. Параганглиома, тип С: определяются признаки распространения процесса по ходу внутренней яремной вены каудально до уровня С2, с размером экстракраниального компонента 50х18 мм (1). Просвет внутренней яремной веныв этой области не прослеживается (2), субстенотические отделы существенно не расширены.
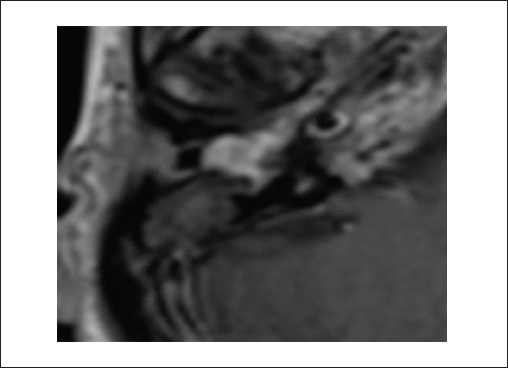
Рисунок 8. МРТ головного мозга и мягких тканей шеи, Т2-ВИс подавлением сигнала от жировой ткани, в корональной плоскости. Параганглиома, тип С. Послеоперационный контроль спустя 6 месяцев после хирургического лечения: данныхза рецидив новообразования не выявлено.
Рисунок 9. МРТ головного мозга и мягких тканей шеив аксиальной проекции, Т2-ВИ с подавлением сигналаот жировой ткани, в аксиальной плоскости. Параганглиома, тип С. Послеоперационный контроль спустя 6 месяцев после хирургического лечения: данных за рецидив новообразованияне выявлено.
В зависимости от распространения новообразования за 24 часа до хирургического лечения пациентам во всех трех группах проводилась компьютерная ангиография с одномоментной эндоваскулярной селективной эмболизацией питающих опухоль сосудов (рисунки 10, 11).
Рисунок 10. Состояние сосудов до проведения селективной эмболизации сосуда, питающего опухоль. Мелкий питающий сосуд (1), эмболизированные сосуды (2), а. occipitals (3).
Рисунок 11. Состояние после проведения селективной эмболизации сосуда, питающего опухоль.
Пациентам I группы (n=22) с параганглиомой типа А опухоль была удалена через ретроаурикулярно-трансмеатальный доступ. После проведения каналопластики и тимпанотомии опухоль удалялась из барабанной полости и слуховой трубы, аккуратно выделялась из ниши окна улитки и между ножек стремени, в конце выполнялась тимпанопластика. Оперативное вмешательство выполнялось с сохранением цепи слуховых косточек.
Пациентам II группы (n=73) произведено удаление опухоли с помощью трансмастоидального доступа. В ходе вмешательства у пациентов с опухолью типа В1 выполнялись отсепаровка мягких тканей и кожи стенок наружного слухового прохода, тимпанотомия, каналопластика наружного слухового прохода, антромастоидотомия, задняя тимпанотомия, ретрофасциальный доступ в гипотимпанум. Затем коагулировались питающие сосуды и удалялась опухоль под эндовидеоскопическим контролем с сохранением цепи слуховых косточек и анатомических структур среднего уха.
Пациентам с опухолью типа В2 и В3 выполнялась расширенная радикальная операция. Опухоль полностью удалялась из барабанной полости и сосцевидного отростка под эндовидеоскопическим контролем и электромагнитной навигацией, выполнялась ревизия слуховой трубы и области канала внутренней сонной артерии, в конце проводилась тимпанопластика ауто-хрящем и фасцией.
Пациентам III группы (n=35) у пациентов с опухолью типа С1–С2 было выполнено хирургическое вмешательство с применением ретрофасциального доступа, поскольку для полного удаления опухоли требовалась хорошая визуализация луковицы внутренней яремной вены, внутренней сонной артерии и VII, IX–XII пар черепно-мозговых нервов (таблица 2).
Тип | Пациенты | Хирургические доступы | |
I группа n=22 | А1 | 12 | ретроаурикулярно-трансмеатальный |
А2 | 10 | ||
II группа n=73 | В1 | 25 | трансмастоидальный с расширенной задней тимпанотомией |
В2 | 16 | ||
В3 | 32 | трансмастоидальный без сохранения задней стенки НСП | |
III группа n=35 | С1 | 10 | ретрофасциальный |
С2 | 12 | ||
С3 | 8 | инфратемпоральный | |
C4 | 5 |
Таблица 2. Хирургические доступы в зависимостиот распространенности процесса n=130
Table 2. Surgical approaches depending on the prevalenceof the process n=130
Во всех трех группах все операции проводились с использованием нейромониторинга лицевого, языкоглоточного и возвратного нервов. Для облегчения ориентирования у пациентов третьей группы с опухолями типа С при удалении опухолевой ткани вдоль вертикальной порции канала внутренней сонной артерии и из инфралабиринтного пространства использовалась электромагнитная навигационная система и видеоэндоскопическая ассистенция. Границами инфралабиринтного ретрофасциального доступа сверху является задний полукружный канал и улитка, снизу – луковица яремной вены и сигмовидный синус, спереди – мастоидальный отдел лицевого нерва. При этом основной сложностью при выполнении инфралабиринтного доступа считается высокое стояние луковицы яремной вены. Для контроля образования в области гипотимпанума нами дополнительно выполнялась широкая задняя тимпанотомия. Таким образом, удаление образования и контроль операционного поля производится с трех точек (трансканально, через заднюю тимпаностому и ретрофасциально). Этот ограниченный по своему объему хирургический доступ позволил в части случаев сохранить заднюю стенку наружного слухового прохода и структуры среднего уха.
Инфратемпоральный доступ [4, 14, 15, 16, 17, 18] применен у 8 пациентов c опухолью типа C3. Ввиду распространения новообразования в просвет яремной вены осуществлялась перевязка яремной вены на уровне позвонка С1 за задней ножкой двубрюшной мышцы в области ее прикрепления. В ходе операции лицевой нерв был деканализирован от шилососцевидного отверстия до коленчатого ганглия и выполнялась его транспозиция кпереди. Во всех случаях медиальная и нижняя поверхности мастоидального сегмента лицевого нерва были интимно спаяны с опухолевой тканью. Далее скелетизировали, вскрывали и облитерировали сигмовидный синус, опухоль удалялась вместе с луковицей яремной вены. Интраоперационно с помощью электромагнитной навигационной системы удалось сравнить и сопоставить полученную с помощью МРТ и КТ картину распространения процесса (рисунки 5, 6, 7, 8, 9). Под контролем навигации выполнялось удаление фрагментов опухоли со стенок внутренней сонной артерии. После удаления опухоли и гемостаза лицевой нерв отграничивался аутофасцией, послеоперационная полость облитерировалась аутожиром с передней брюшной стенки. Слуховой проход ушивался по типу «слепого мешка».
РЕЗУЛЬТАТЫ
Проводилась оценка результатов в ближайшем и отдаленном послеоперационном периоде, оценивались качество удаления опухоли, слуховая функция и функция лицевого нерва.
У пациентов первой группы с параганглиомами типа А в послеоперационном периоде отмечалось улучшение слуха, пареза лицевого нерва не отмечалось. Двум пациентам с опухолью типа А2 за 24 часа до операции выполнялась селективная эмболизация сосуда, питающего опухоль. Остальные 20 пациентов прооперированы без предварительной эмболизации. Интраоперационно у пациентов после эмболизации отмечалось уменьшение кровоточивости из опухоли, но значимых отличий в общем объеме кровопотери между пациентами первой группы с эмболизацией и без эмболизации выявлено не было. При повторном осмотре через 6–12 месяцев по данным МРТ (в режиме Т1, Т2, Т1 + контраст) исследований рецидивов опухоли не отмечалось ни у одного из пациентов с опухолями типа А.
Во второй группе пациентов с параганглиомами типа В у всех пациентов с типом В1 после операции отмечалось улучшение слуха. У пациентов с типом В2 и В3 слух остался на прежнем уровне или в некоторых случаях ухудшился незначительно за счет увеличения порогов звукопроведения в среднем на 10–15 дБ (у пяти пациентов с типом В2 и у семи пациентов с типом В3). Пятнадцати пациентам с опухолью типа В3 за 24 часа до операции выполнялась селективная эмболизация сосуда, питающего опухоль, остальные 17 пациентов прооперированы без предварительной эмболизации. Интраоперационно у пациентов после эмболизации отмечалось уменьшение размера опухоли и снижение кровоточивости из опухоли, разница между объемом кровопотери с эмболизацией и без эмболизации составила 100–150 мл. Дисфункции лицевого нерва в раннем и отдаленном послеоперационном периоде не отмечалось. По данным лучевых исследований через 6–12 месяцев рецидивов опухоли не отмечалось.
В третьей группе 19 пациентам за 24–48 часов до операции выполнялась селективная эмболизация сосуда, питающего опухоль, остальные 16 пациентов были прооперированы без предварительной эмболизации. Интраоперационно у пациентов после эмболизации отмечалось уменьшение размера опухоли и снижение кровоточивости из опухоли, разница между объемом кровопотери с эмболизацией и без эмболизации составила 500–700 мл.
Удалось сохранить функцию черепно-мозговых нервов. В раннем послеоперационном периоде у всех пациентов с опухолью типа С1 и С2 отмечался парез 2–3 степени, у больных с новообразованием типа С3 дисфункция лицевого нерва 4–5 степени по House – Brackmann. В отдаленном послеоперационном периоде (6–12 месяцев) функция лицевого нерва у пациентов с параганглиомами типа С1и С2 восстановилась полностью, а у пациентов с типом С3 – до уровня 2–3 степени по шкале House – Brackmann. Исключение составили три пациента, у которых парез отмечался до нашего хирургического вмешательства.
По данным КТ и МРТ, рецидив опухоли в после-операционном периоде отмечен у одной пациентки с типом С3, у остальных пациентов из третьей группы рецидива не отмечалось.
ЗАКЛЮЧЕНИЕ
Полученные данные лучевых методов исследования в предоперационном периоде у пациентов с параганглиомами височных костей позволили нам выбрать хирургические доступы, с адекватной визуализацией анатомических структур, что позволило полностью удалять новообразование. Применение селективной эмболизации сосудов, питающих опухоль, сократило интраоперационную кровопотерю во всех группах пациентов, однако у больных с параганглиомами типа А1, А2 и В1 существенных различий между кровопотерей с эмболизацией и без эмболизации не было выявлено. Использование в ходе хирургического вмешательства электромагнитной навигационной системы, видеоэндоскопической ассистенции и нейромониторинга черепно-мозговых нервов позволило предотвратить нежелательные послеоперационные осложнения и позволило добиться хороших анатомических и функциональных результатов.
Конфликт интересов: все авторы заявляют об отсутствии конфликта интересов, требующего раскрытия в данной статье.
About the authors
Khassan Mokhamad Ali Diab
Federal Scientific Clinical Center of Otorhinolaryngology; Pirogov Russian National Research Medical University
Email: leunina.d@yandex.ru
ORCID iD: 0000-0002-2790-7900
PhD, Senior researcher, Department of Ear and skull base pathology, Deputy Director for International cooperation
Russian Federation, MoscowNikolai A. Daikhes
Federal Scientific Clinical Center of Otorhinolaryngology
Email: otolarru@yandex.ru
ORCID iD: 0000-0001-5636-5082
PhD, Corresponding member of RAS, Professor, Director
Russian Federation, MoscowParviz U. Umarov
Federal Scientific Clinical Center of Otorhinolaryngology
Email: leunina.d@yandex.ru
ORCID iD: 0000-0001-5483-0139
PhD, research associate, Department of Ear and skull base pathology, Deputy Chief physician for surgery
Russian Federation, MoscowOlga A. Pashchinina
Federal Scientific Clinical Center of Otorhinolaryngology
Email: leunina.d@yandex.ru
ORCID iD: 0000-0002-3608-2744
PhD, Head of the Department of Ear and skull base pathology, otorhinolaryngologist
Russian Federation, MoscowDariya A. Zagorskaya
Federal Scientific Clinical Center of Otorhinolaryngology
Author for correspondence.
Email: leunina.d@yandex.ru
ORCID iD: 0000-0002-0335-4774
otorhinolaryngologist, research associate, Department of Ear and skull base pathology
Russian Federation, MoscowReferences
- Gulyaev DA, Chebotarev SYa,Yakovenko IV. Surgical treatment of the temporal bone paraganglioma. Сreative surgery and Oncology. 2011;3:49-53. (In Russ.). [Гуляев Д.А., Чеботарев С.Я., Яковенко И.В. Хирургическое лечение параганглиомы височной кости. Креативная хирургия и онкология. 2011;49-53].
- René Van Den Berg. Imaging and management of head and neck paragangliomas. Eur Radiol. 2005;15(7):1310-84.
- Sanna M, Piazza P, Shin S, Flanagan S, Mancini F. Glomusjugulare tumors: Microsurgery of skull base paragangliomas. 2013;3:2-4.
- Gerosa M, Visca A, Rizzo P, et al. Glomusjugulare tumors: The option of gamma knife radiosurgery. Neurosurgery. 2006;9:561-569.
- Oldring D, Fisch U. Glomus tumors of the temporal region: Surgical therapy. Am J Otol. 1979;1:7-18.
- Sanna M, Jain Y, De Donato G, et al. Management of jugular paragangliomas: The GruppoOtologico experience. Otol Neurotol. 2004;5:797-804.
- Tekautz TM, Pratt CB, Jenkins JJ, Spunt SL. Pediatric extraadrenal paraganglioma. J Pediatr Surg. 2003;38(9):1317-1321.
- Mefty O, Teixeira A. Complex tumors of the glomusjugulare: Criteria, treatment, and outcome. J Neurosurg. 2002;7:1356-1366.
- Patel SJ, Sekhar LN, Cass SP, Hirsch BE. Combined approaches for resection of extensive glomusjugulare tumors. A reviewof 12 cases.J Neurosurg.1994;3:1026-1038.
- Sanna M, Shin SH, De Donato G, et al. Management of complex tympanojugular paragangliomas including endovascular intervention. Laryngoscope. 2011;21:1372-1382.
- Bozek P, Kluczewska E, Lisowska G, Namysłowski G. Imaging and assessment of glomus jugulare in MRI and CT techniques. Otolaryngol Pol. 2011;65(3):218-27.
- Sanna M, Flanagan S. The combined transmastoid retro- and infralabyrinthine transjugular transcondylar transtubercular high cervical approach for resection of glomus jugulare tumors. Neurosurgery. 2007;61(6):1340.
- Briner HR, Linder TE, Pauw B, Fisch U. Long term results of surgery for temporal bone paragangliomas. Laryngoscope.1999;83:109-577.
- Van der Mey AG, Frijns JH, Cornelisse CJ, et al. Does intervention improve the natural course of glomus tumors? Ann Otol Rhinol Laryngol. 1992;101:635-642.
- Cho CW, A Mefty O. Combined petrosal approach to petroclivalmeningiomas. Neurosurgery. 2002;51:708-16.
- Liu JK, Sameshima T, Gottfried ON, et al. The combined transmastoid retro- and infralabyrinthine transjugular transcondylar transtubercular high cervical approach for resection of glomus jugulare tumors. Neurosurgery. 2006;59:115-125.
- Daikhes NA, Diab KhM, Davudov HSh, et al. Computed tomography and Magnetic resonance imaging in surgical treatment temporal bone paraganglioma. Head and Neck. 2018;2:12. (In Russ.). [Дайхес Н.А., Диаб Х.М., Коробкин А.С. и др. Роль КТ, МРТ методов в диагностике и хирургическом лечении параганглиомы височной кости. Голова и шея. 2018;2:12].
- Daikhes NA, Diab KhM, Umarov PU, et al. Surgical access and efficacy of temporal bone paraganglioma treatment. Annals of Surgery. 2018;2:336-341. (In Russ.). [Дайхес Н.А., Диаб Х.М., Умаров П.У. и др. Хирургические доступы и их эффективность в лечении параганглиомы височной кости. Анналы хирургии. 2018;2:336-341].
Supplementary files














