Корковый поверхностный сидероз – новый МРТ-феномен в неврологической практике: клинические наблюдения и обзор литературы
- Авторы: Кулеш А.А.1,2, Горст Н.Х.1, Дробаха В.Е.1,2, Кайлева Н.А.1,2, Шестаков В.В.3
-
Учреждения:
- Пермский государственный медицинский университет им. академика Е.А. Вагнера
- Городская клиническая больница № 4
- Пермский государственный медицинский университет им. академика Е.А. Вагнер
- Выпуск: Том 35, № 5 (2018)
- Страницы: 82-92
- Раздел: Статьи
- Статья получена: 11.12.2018
- Статья опубликована: 15.12.2018
- URL: https://permmedjournal.ru/PMJ/article/view/10703
- DOI: https://doi.org/10.17816/pmj35582-92
- ID: 10703
Цитировать
Полный текст
Аннотация
Церебральная амилоидная ангиопатия (ЦАА) – особый вариант церебральной болезни мелких сосудов, ассоциированный с высоким риском спонтанных внутримозговых кровоизлияний, когнитивных нарушений и геморрагических осложнений антитромботической и тромболитической терапии. Одним из ключевых маркеров ЦАА является относительно редкий нейровизуализационный феномен – корковый поверхностный сидероз (КПС).
В статье представлено описание двух клинических случаев ЦАА с КПС. В первом случае наблюдалось типичное осложнение ЦАА – внутримозговое кровоизлияние и когнитивные нарушения, во втором ЦАА протекала относительно бессимптомно. Анализ клинических случаев и литературных данных демонстрирует фенотипическую гетерогенность ЦАА и подтверждает целесообразность рутинного применения парамагнитных режимов МРТ в процессе обследования пациентов с цереброваскулярной болезнью.
Полный текст
ВВЕДЕНИЕ
Термин «церебральная болезнь мелких сосудов» (ЦБМС) объединяет ряд гетерогенных патологических состояний и механизмов, которые в разной степени приводят к поражению артерий, артериол, капилляров и венул головного мозга, и используется для описания клинических, нейропсихологических и нейровизуализационных синдромов [14]. Диаметр мелких сосудов не позволяет визуализировать их прижизненно, поэтому об их состоянии можно судить лишь косвенно, по особенностям паренхимы мозга при нейровизуализации. Основными проявления ЦБМС по данным магнитно-резонансной томографии (МРТ) являются: острые лакунарные инфаркты, лакуны, гиперинтенсивность белого вещества (лейкоареоз), расширение периваскулярных пространств (ПВП), микроинфаркты и церебральные микрокровоизлияния (ЦМК), а также корковый поверхностный сидероз (КПС) [20]. Последний феномен описан относительно недавно, является малоизученным и не столь распространенным, но имеет важное практическое значение [19]. В частности, КПС входит в диагностические критерии церебральной амилоидной ангиопатии (ЦАА) – особого варианта ЦБМС, ассоциированного с внутрисосудистым отложением β-амилоида и высоким риском спонтанных внутримозговых кровоизлияний (ВМК), когнитивных нарушений и геморрагических осложнений антитромботической и тромболитической терапии [10]. Учет нейровизуализационных проявлений ЦАА, особенно КПС, необходим для повышения безопасности лечения пациентов с цереброваскулярной патологией.
МАТЕРИАЛЫ И МЕТОДЫ ИССЛЕДОВАНИЯ
В статье представлено описание двух клинических случаев ЦАА с КПС, наблюдавшихся в отделении для больных с острыми нарушениями мозгового кровообращения регионального сосудистого центра. Обоим пациентам проводилось комплексное клиническое, лабораторное и инструментальное обследование, включая МРТ в стандартных режимах и режиме SWI, по результатам которого был установлен неочевидный при менее глубоком обследовании диагноз ЦАА.
Цель исследования – продемонстрировать клиническую значимость феномена КПС в неврологической практике, а также целесообразность рутинного применения парамагнитных режимов МРТ на примере собственного клинического опыта и литературных данных.
Клинический случай № 1. Пациент Ф., 64 г., доставлен бригадой скорой медицинской помощи в региональный сосудистый центр с жалобами на умеренную головную боль в лобной области. Из анамнеза известно, что пациент длительное время страдает гипертонической болезнью, антигипертензивные препараты принимает нерегулярно и в заниженной дозировке. Около 2 недель назад стал замечать мелькание мушек перед глазами, шаткость походки, но данные симптомы вскоре регрессировали самостоятельно. За 2 дня до поступления на фоне повышения артериального давления до 170/100 мм рт. ст. у пациента резко возникла головная боль в лобной области, которой и стала причиной вызова скорой помощи. В анамнезе жизни: образование высшее, по профессии инженер. Наследственность отягощена по отцовской линии (инсульт). Не курит. Страдает хронической обструктивной болезнью легких.
При поступлении обращает на себя внимание высокий индекс массы тела (30 кг/м2 – ожирение 1-й степени) и повышенное артериальное давление – 170/100 мм рт. ст. В неврологическом статусе отмечаются умеренные регуляторные когнитивные нарушения и эйфоричность. Сознание ясное, менингеальные симптомы отрицательны, чувствительных и двигательных нарушений не выявлено. В позе Ромберга наблюдается легкая атаксия, остальные координаторные пробы пациент выполняет нормально. Степень неврологического дефицита по шкале инсульта национального института здоровья (NIHSS) при поступлении – 0 баллов. Уровень глюкозы капиллярной крови при поступлении составил 7,8 ммоль/л, показатели общего анализа крови и коагулограммы не изменены.
Пациенту Ф. незамедлительно проведено обследование согласно порядку и стандарту оказания медицинской помощи при остром нарушении мозгового кровообращения. По результатам компьютерной томографии головного мозга (рис. 1, з) выявлено ВМК в правой лобной доле. При внутривенном контрастировании мозговых сосудов макроструктурных аномалий не обнаружено. По результатам кардиоваскулярного обследования подтверждена гипертоническая болезнь и выявлен нестенозирующий атеросклероз сонных артерий.
Во время пребывания в стационаре у пациента развился легкий левосторонний гемипарез со снижением силы в левых конечностях до 4 баллов и наросли координаторные нарушения с появлением дисметрии. Исследование нейропсихологического статуса в динамике показало усиление дисрегуляторных когнитивных нарушений, соответствующее снижению результата Монреальской шкалы когнитивных функций (MoCA) c 27 до 21 балла преимущественно за счет нарушения нейродинамических и регуляторных функций, снижения памяти, а также развития кинетической апраксии. Также на 4-й день лечения однократно развился генерализованный судорожный пароксизм, купированный введением диазепама.
На 9-й день лечения проведена мультимодальная магнитно-резонансная томография (МРТ) головного мозга, по результатам которой выявлены проявления ЦБМС: ЦМК, КПС, задний лейкоареоз, расширение ПВП в области полуовального центра и микроинфаркты (рис. 1, а–ж).
На фоне медикаментозной терапии (антигипертензивные препараты) и мультидисциплинарной реабилитации на момент выписки достигнута стабилизация артериального давления на целевом уровне 120/80 мм рт. ст. и восстановилась сила в левой руке. Пациент переведен на второй этап реабилитации с результатом шкалы Рэнкин 4 балла (за счет снижения силы в левой ноге до 4 баллов, когнитивных нарушений и атаксии), даны рекомендации по коррекции сосудистых факторов риска, строгому контролю артериального давления и приему противоэпилептических препаратов.
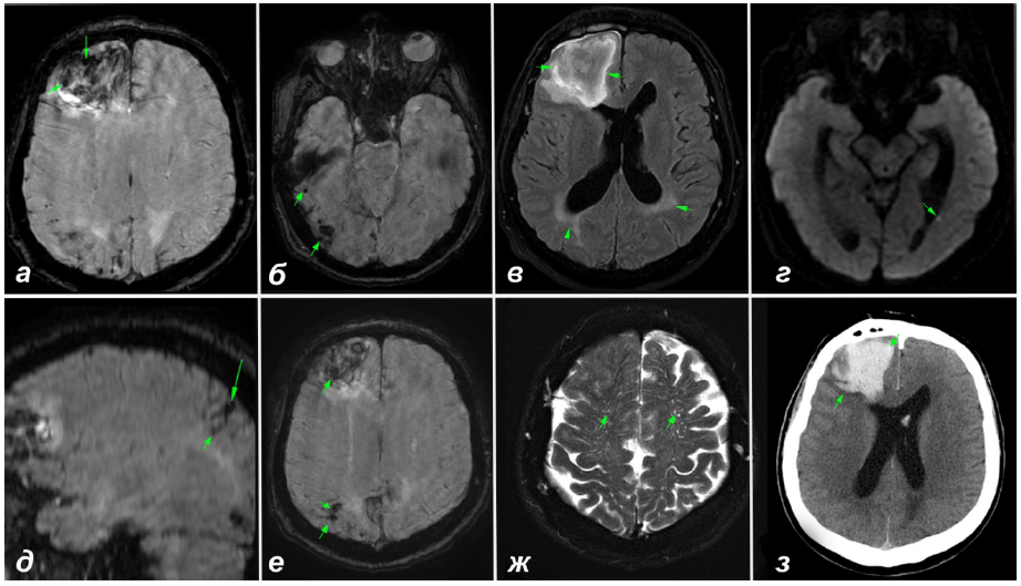
Рис. 1. Результаты нейровизуализации пациента Ф: а – корково-подкорковая гематома в правой лобной доле, в структуре которой определяются два микрокровоизлияния, также заметны микрокровоизлияния в затылочно-теменных отделах (SWI); б – субкортикальные микрокровоизлияния в затылочно-височных отделах справа (SWI); в – задний лейкоареоз с тенденцией к распространению к полюсу затылочной доли (Fazekas 3) (FLAIR); г – микроинфаркт в левой височной доле (DWI); д – микрокровоизлияние, переходящее в корковый поверхностный сидероз (SWI); e – субкортикальные микрокровоизлияния в теменно-затылочных отделах справа (SWI), всего идентифицировано 27 микрокровоизлияний; ж – МРТ-видимые периваскулярные пространства в области полуовального центра (MacLullich 3) (Т2); з − корково-подкорковая гематома в правой лобной доле с проникновением крови в субарахноидальное пространство, край гематомы – без явных пальцевидных вдавлений (КТ)
Клинический случай № 2. Пациент Г., 83 г., поступил на плановое лечение с жалобами на неустойчивость при ходьбе и двоение в глазах при крайних отведениях глазных яблок. Известно, что Г. длительное время страдает гипертонической болезнью, ежедневно принимает лозартан и ацетилсалициловую кислоту. Около 3 лет назад у пациента имел место эпизод резко возникшего на фоне полного благополучия двоения перед глазами, по поводу чего он проходил обследование и лечение в сосудистом отделении с диагнозом «ишемический инсульт в вертебробазилярном бассейне». С течением времени выраженность двоения уменьшилась, но сохраняется неустойчивость при ходьбе, вследствие которой пациент не может передвигаться без опоры на трость.
Пациент Г. имеет высшее образование, в настоящее время на пенсии. Наследственность не отягощена. Общий осмотр без особенностей. Артериальное давление 140/80 мм рт. ст. Сознание ясное, менингеальных знаков нет, легкие когнитивные нарушения. Птоза, страбизма, нистагма нет, объем движений глазных яблок полный. Функции остальных черепных нервов также в норме. Объем активных движений сохранен, тонус мышц физиологический, мышечная сила сохранена. Глубокие рефлексы не вызываются.
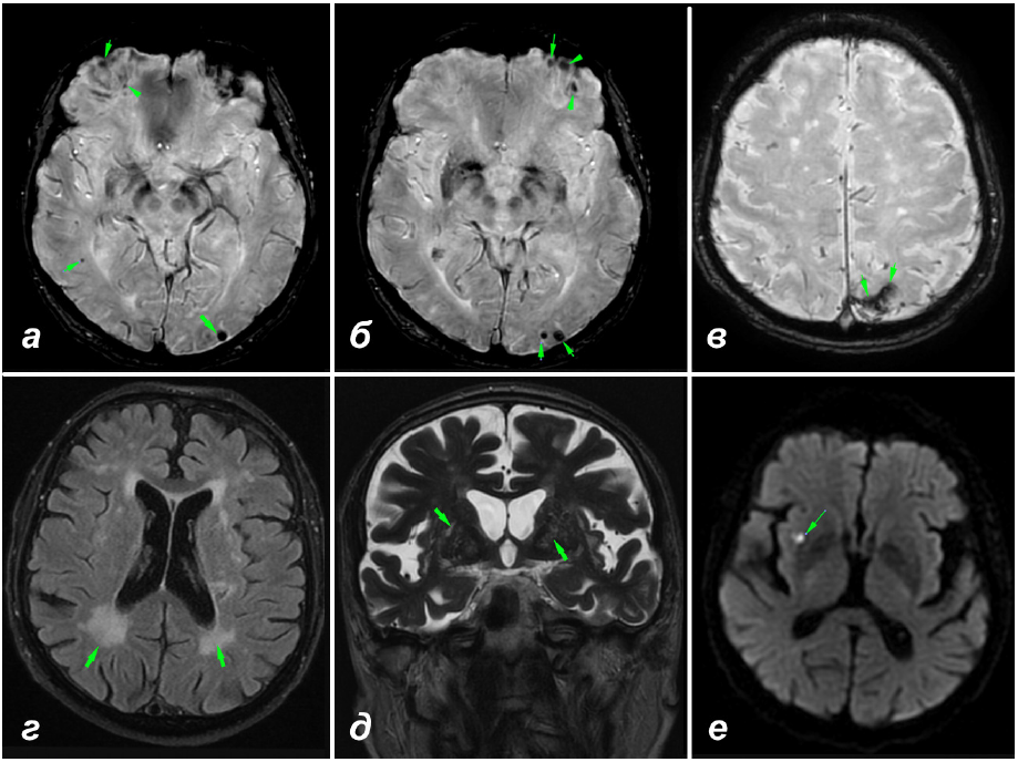
Рис. 2. Результаты нейровизуализации пациента Г.: а, б – множественные подкорковые долевые микрокровоизлияния (всего 8) (SWI); в – корковый поверхностный сидероз (SWI); г – преимущественно задний лейкоареоз (Fazekas 3) (FLAIR); д – МРТ-видимые периваскулярные пространства в области базальных ядер и полуовального центра (MacLullich 3); e – микроинфаркт в правой теменной доле (DWI)
Чувствительность сохранена. В пробе Ромберга отмечается умеренная атаксия. При выполнении пяточно-коленной пробы имеет место умеренная дисметрия с обеих сторон, пальценосовую пробу пациент выполняет нормально.
По результатам кардиоваскулярного обследования выявлена гипертоническая болезнь. Зафиксировано резкое повышение ТТГ (26,6 мМЕд/л при норме до 4,0 мМЕд/л), расцененное эндокринологом как первичный гипотиреоз. Показатели общего и биохимического анализа крови, свертывания, а также концентрация витамина В12 и фолиевой кислоты в норме. По результатам МРТ выявлены признаки ЦБМС: ЦМК, КПС, задний лейкоареоз, расширение ПВП в области базальных ядер и полуовального центр, а также микроинфаркт (рис. 2). МРТ спинного мозга отклонений от нормы не выявила.
РЕЗУЛЬТАТЫ И ИХ ОБСУЖДЕНИЕ
Представлены два клинических случая, демонстрирующие высокую клиническую значимость и одновременно гетерогенность феномена КПС в неврологической практике. У первого пациента КПС явился одним из маркеров ЦАА, наравне с долевым ВМК, по поводу которого пациент поступил в стационар. У второго больного КПС служит признаком бессимптомной ЦАА, но дискуссионный интерес представляет его взаимосвязь со зрительными нарушениями. В обоих клинических наблюдениях визуализации КПС оказалась возможна только благодаря применению совсем недавно вошедшей в рутинную практику методики SWI.
В первом случае основные клинические проявления заболевания, заставившие пациента обратиться за медицинской помощью, обусловлены формированием корково-подкорковой гематомы в правой лобной доле, идентифицированной при КТ и МРТ. Также важной нейровизуализационной находкой являются множественные долевые ЦМК, обнаруженные в том числе в структуре гематомы, и ЦМК, трансформирующееся в КПС. Подобная картина позволяет заподозрить наличие у пациента ЦАА. Вероятно, что наличие диффузных проявлений ЦАА, в том числе множественных ЦМК, обусловило низкий церебральный резерв пациента Ф., это послужило причиной отрицательной динамики неврологического и когнитивного статуса в остром периоде инсульта.
Нейропатологические исследования свидетельствуют о том, что частота ЦАА-ассоциированных ВМК у пожилых составляет от 2 до 23 %, [10]. ЦАА занимает 33 % в структуре ВМК на фоне болезни мелких сосудов [17] и 54 % в структуре долевых гематом [8]. У 83 % пациентов, оперированных по поводу долевых ВМК, при патоморфологическом исследовании ткани мозга обнаруживались признаки умеренной и тяжелой ЦАА. Развитие же ВМК у пациентов с нетяжелой ЦАА провоцируется артериальной гипертензией, которая имела место у пациента Ф., и приемом антитромботических препаратов [10].
Другим ключевым маркером ЦАА, обнаруженным у пациента, являются ЦМК, отражающие периваскулярные зоны скопления нагруженных гемосидерином макрофагов. В популяционных исследованиях частота выявления ЦМК зависит от возраста: от 6 % в возрасте 45–50 лет до 36 % к 80 годам и старше [15]. По данным обследования когорты The Northern Manhattan Study (NOMAS) с применением Т2* (n = 925, средний возраст – 70 лет), частота ЦМК в популяции лиц без инсульта составляет 5 % [1]. При ишемическом инсульте ЦМК выявляются у 15–35 % пациентов, при геморрагическом – у 19–83 % [22]. Наибольшая клиническая значимость ЦМК, безусловно, связана с тем, что их наличие повышает риск развития ВМК, особенно на фоне антитромботической терапии. Метаанализ 15 исследований (более 5000 пациентов с ишемическим инсультом и транзиторной ишемической атакой) продемонстрировал, что наличие ЦМК ассоциировано с увеличением риска возникновения ишемического инсульта в 2 раза и геморрагического инсульта в 6 раз. У пациентов с 5 ЦМК и более риск ВМК повышен в 14 раз, тогда как риск ишемического инсульта – в 2,7 раза [21]. Важно отметить, что прием антиагрегантов в качестве вторичной профилактики снижает риск появления ишемического инсульта на 0,5–2,5 % [6], при этом наличие 5 ЦМК и более повышает абсолютный риск на 8,2 % для ВМК и на 5,1 % для ишемического инсульта.
Манифестация долевого ВМК является наиболее частой предпосылкой для прижизненной диагностики ЦАА, однако вероятность формирования ВМК на фоне ЦАА определяется, в частности, генотипом белка APOE. Так, в случае APOE ε4-генотипа наблюдается дозозависимое отложение депозитов β-амилоида в стенке сосудов с развитием негеморрагического фенотипа ЦАА, тогда как APOE ε2-генотип характеризуется развитием патологических изменений стенки сосудов со склонностью к разрывам и формированию ВМК, ЦМК и КПС [3]. Наблюдая у данного пациента все перечисленные маркеры, мы можем предполагать у него ε2-генотип APOE с развитием манифестного варианта геморрагического фенотипа ЦАА. На первый взгляд, мы сталкиваемся с некоторым противоречием эдинбургским критериям ЦАА, когда в качестве генетического маркера ЦАА используются только APOE ε4 [16]. Однако, вероятно, этот диссонанс связан с разностью методологических подходов двух крупных исследований: работа Charidimou et al. (2015) акцентирует внимание на особенностях фенотипов ЦАА при разных генотипах белка APOE, тогда как эдинбургское исследование рассматривает APOE ε4 в качестве маркера ЦАА как таковой, без учета ее фенотипа и свойств других генотипов APOE.
Если ранее диагностика ЦАА была возможна только на основании патоморфологической оценки мозговой ткани, полученной путем биопсии, во время эвакуации гематомы или, чаще, при аутопсии, то существующие сегодня модифицированные бостонские критерии реализуют возможность прижизненно, без проведения гистологического исследования, установить диагноз «вероятная ЦАА» или «возможная ЦАА» [7]. Возраст пациента Ф. (64 года) и наличие у него по данным МРТ и КТ множественных ЦМК, ограниченных долями мозга, корково-подкоркового ВМК, а также участка трансформации ЦМК в фокальный КПС при отсутствии в анамнезе других причин кровоизлияний соответствуют бостонским критериям «вероятной ЦАА».
Согласно предложенным на основе клинико-патологоанатомического исследования когорты LINCHPIN эдинбургским КТ- и генетическим критериям долевых ЦАА-ассоциированных ВМК, наличие глубинной гематомы без САК, пальцевых вдавлений и АРОЕ ε4-генотипа позволяет исключить умеренную или выраженную ЦАА; средняя вероятность умеренной и выраженной ЦАА сопряжена с долевым ВМК при наличии САК или долевым ВМК в сочетании с АРОЕ ε4-генотипом; высокая вероятность умеренной или выраженной ЦАА наблюдается при долевом ВМК в сочетании с САК и пальцевыми вдавлениями или при наличии всех трех маркеров [16]. В данном случае мы наблюдаем формирование ВМК с распространением в субарахноидальное пространство, но без явных пальцевидных вдавлений. Не располагая точными данными о генотипе белка APOE, можно предполагать среднюю или высокую вероятность ЦАА по эдинбургским критериям.
При трудностях дифференциальной диагностики ЦАА-ассоциированных и гипертензионных ВМК следует учитывать, что пациенты с ЦАА-ассоциированным ВМК, как правило, старше больных с гипертензионными кровоизлияниями, у них чаще отмечаются ВМК в анамнезе, более низкий уровень артериального давления при поступлении, больше размер гематом и редко развивается прорыв крови в желудочки, подчеркивается также более низкая госпитальная смертность в данной группе пациентов [17]. Однако фактически, согласно критериям SMASH-U, диагноз гипертензионного ВМК устанавливается лишь после исключения ЦАА-ассоциированных ВМК по бостонским критериям [13]. Таким образом, несмотря на высокий уровень АД при поступлении и эпизод подъема АД (более 160/100 мм рт. ст.) в дебюте заболевания, диагноз гипретензионного ВМК в данном случае не может быть установлен.
При подборе терапии и вторичной профилактики больным с ЦАА-ассоцииро ванными ВМК следует помнить о том, что риск рецидива ВМК увеличивается при приеме антитромботических препаратов или наличии КПС [5].
Анализ приведенного случая демонстрирует целесообразность проведения МРТ с парамагнитными последовательностями всем пациентам с ВМК, особенно с долевыми гематомами. Оценка нейровизуализационной картины и, по возможности, генетическое исследование (генотип APOE) с применением бостонских и эдинбургских критериев позволяет определить вероятность ЦАА у конкретного пациента и провести адекватную коррекцию терапии и вторичной профилактики.
В случае № 2 специфику нейровизуализационной картины определяют КПС и подкорковые ЦМК, а также видимые расширения периваскулярных пространств в области полуовального центра.
КПС как еще один ключевой геморрагический маркер ЦАА был описан относительно недавно [11]. Возникновение данного феномена связано с повторяющимися эпизодами просачивания крови в субарахноидальное пространство из пораженных ЦАА хрупких сосудов. Отложение гемосидерина в поверхностных слоях коры с каждой стороны извилины проявляется характерным паттерном выпадения сигнала на Т2*- и SWI-последова тельностях МРТ в виде двух дорожек. КПС может быть подразделен на фокальный (распространяется не более чем на 3 борозды) и диссеминированный (4 борозды и более) [2]. У представленного пациента наблюдается фокальный КПС в затылочной доле, отчетливо визуализированный в режиме SWI (см. рис. 2, в).
Встречаемость КПС у лиц 60 лет и старше без деменции составляет 0,7 %, что значительно ниже распространенности ЦМК (14 %). Для пациентов с КПС типично также наличие долевых ЦМК, по крайней мере одно из которых расположено вблизи участка КПС [19]. Аналогичная картина наблюдается в приведенном случае: у пациента обнаружены 8 ЦМК, два из которых расположены в левой затылочной доле, рядом с участком КПС. Тем не менее все больше данных появляется в пользу того, что КПС может не сопровождаться ЦМК (в 6–54 % случаев) и являться единственным маркером ЦАА [2].
Наиболее частой причиной КПС у лиц старше 60 лет является ЦАА, тогда как в более молодом возрасте основной причиной служит синдром обратимой церебральной вазоконстрикции [9]. Продемонстрировано наличие МРТ-признаков КПС у 40 % пациентов с вероятной ЦАА [2].
Специфическим клиническим проявлением КПС являются транзиторные фокальные неврологические эпизоды (ТФНЭ), наблюдаемые у 14 % пациентов с КПС. ТФНЭ представляют собой рецидивирующие, стереотипные, транзиторные (до нескольких минут или часов) эпизоды парестезий, онемения или парезов. Наличие ТФНЭ связано с повышенным риском симптомных долевых ВМК [2]. Выявить наличие типичных ТФНЭ в анамнезе у пациента Г. не удалось, что, вероятно, связно с отсутствием ЦМК в двигательных и сенсорных зонах коры головного мозга.
ПВП – заполненные жидкостью полости, окружающие мелкие пенетрирующие церебральные сосуды и в норме являющиеся частью дренажной системы головного мозга. Видимое на T2-взвешенных МР-изображениях расширение ПВП – распространенная находка, причем частота обнаружения видимых ПВП увеличивается с возрастом: от 24,6 % у пациентов в возрасте ≤ 39 лет и младше до 55 % у пациентов старше 70 лет [12].
Выраженное расширение ПВП в целом характерно для пациентов с когнитивными нарушениями, однако преимущественная локализация расширенных ПВП маркирует принципиально разные этиологические механизмы когнитивных нарушений. Так, расширенные ПВП в области семиовального центра типичны для пациентов с ЦАА, тогда как расширение ПВП на уровне базальных ганглиев наиболее характерно для гипертензионной ангиопатии [18]. В основе предположения о ключевой роли расширения ПВП в развитии ЦАА лежит теория, согласно которой при нарушении периваскулярного клиренса β-амилоида откладывающиеся на стенках мелких сосудов депозиты блокируют адекватный периваскулярный дренаж, что приводит к расширению ПВП [4].
Наличие у пациента Г. КПС, множественных ЦМК и расширение ПВП в области полуовального центра позволило заподозрить ЦАА. При оценке нейровизуализационной картины по бостонским критериям установлен диагноз вероятной ЦАА (множественные кровоизлияния ЦМК, ограниченные долями мозга, корковыми или корково-подкорковыми зонами, и фокальный КПС в отсутствие других причин кровоизлияний, возраст пациента 83 г.). Спорным остается вопрос о природе эпизодов остро возникающего двоения в глазах у данного пациента. С одной стороны, их характеристика не укладывается в классическое описание ТФНЭ: длительность обоих эпизодов составляла несколько дней (вместо типичных для ТФНЭ нескольких минут – часов), ТНФЭ, проявляющихся диплопией, в изученной литературе не описано, более типичным их проявлением являются парестезии и парезы. Однако ввиду недостаточной изученности проблемы, стереотипности клинических проявлений (второй эпизод со схожей клиникой без явного морфологического субстрата) и расположения КПС в затылочной доле в данном случае эпизоды диплопии теоретически могут быть расценены как ТНФЭ. При этом нельзя с полной уверенностью говорить о том, что описанные пациентом эпизоды действительно были диплопией, а не метаморфопсией.
В описанном клиническом примере проведение МР-исследования в режиме SWI послужило решающим моментом в процессе диагностического поиска. Ввиду отсутствия выраженных когнитивных разрушений и атипичности ТНФЭ заподозрить у данного пациента ЦАА по клиническим данным было невозможно. Установленный по данным нейровизуализации диагноз вероятной ЦАА позволяет объяснить природу эпизодов диплопии и предложить адекватную персонифицированную профилактику с учетом высокого риска развития ВМК, особенно на фоне приема антитромботической терапии.
ВЫВОДЫ
Таким образом, в процессе обследования пациентов с цереброваскулярной болезнью, особенно при наличии долевых ВМК, следует исключать ЦАА с применением бостонских и эдинбургских критериев. Рутинное использование МР-последовательности SWI в обследовании данных пациентов представляется совершенно оправданным, так как позволяет выявить два ключевых маркера ЦАА – долевые ЦМК и КПС. Минимизация церебральных геморрагических рисков является основной задачей профилактики у пациентов с вероятной и возможной ЦАА.
Об авторах
Алексей Александрович Кулеш
Пермский государственный медицинский университет им. академика Е.А. Вагнера; Городская клиническая больница № 4
Автор, ответственный за переписку.
Email: aleksey.kulesh@gmail.com
доктор медицинских наук, профессор кафедры неврологии ФДПО
Россия, 614000, г. Пермь, ул. Петропавловская, 26; 614107, г. Пермь, ул. Ким, 2Надежда Харисовна Горст
Пермский государственный медицинский университет им. академика Е.А. Вагнера
Email: aleksey.kulesh@gmail.com
студент VI курса
Россия, 614000, г. Пермь, ул. Петропавловская, 26Виктор Евгеньевич Дробаха
Пермский государственный медицинский университет им. академика Е.А. Вагнера; Городская клиническая больница № 4
Email: aleksey.kulesh@gmail.com
кандидат медицинских наук, доцент кафедры лучевой диагностики, врач-рентгенолог кабинета МРТ
Россия, 614000, г. Пермь, ул. Петропавловская, 26; 614107, г. Пермь, ул. Ким, 2Надежда Александровна Кайлева
Пермский государственный медицинский университет им. академика Е.А. Вагнера; Городская клиническая больница № 4
Email: aleksey.kulesh@gmail.com
врач-рентгенолог кабинета МРТ
Россия, 614000, г. Пермь, ул. Петропавловская, 26; 614107, г. Пермь, ул. Ким, 2Владимир Васильевич Шестаков
Пермский государственный медицинский университет им. академика Е.А. Вагнер
Email: aleksey.kulesh@gmail.com
доктор медицинских наук, профессор, заведующий кафедрой неврологии ФДПО
Россия, 614000, г. Пермь, ул. Петропавловская, 26Список литературы
- Caunca M.R., Del Brutto V., Gardener H. Cerebral microbleeds, vascular risk factors, and magnetic resonance imaging markers: the Northern Manhattan study. J Am Heart Assoc 2016; 5(9).
- Charidimou A., Linn J., Vernooij M.W. Cortical superficial siderosis: detection and clinical significance in cerebral amyloid angiopathy and related conditions. Brain 2015; 138 (Pt 8): 2126-2139.
- Charidimou A., Martinez-Ramirez S., Shoamanesh A. Cerebral amyloid angiopathy with and without hemorrhage: evidence for different disease phenotypes. Neurology 2015; 84: 1206-1212.
- Charidimou A., Meegahage R., Fox Z. Enlarged perivascular spaces as a marker of underlying arteriopathy in intracerebral haemorrhage: a multicentre MRI cohort study. J Neurol Neurosurg Psychiatry 2013; 84: 624-629.
- Charidimou A., Peeters A.P., Jager R. Cortical superficial siderosis and intracerebral hemorrhage risk in cerebral amyloid angiopathy. Neurology 2013; 81: 1666-1673.
- Collaborative meta-analysis of randomised trials of antiplatelet therapy for prevention of death, myocardial infarction, and stroke in high risk patients. Antithrombotic Trialists Collaborarion. BMJ 2002; 324: 71-86.
- Greenberg S.M., Charidimou A. Diagnosis of cerebral amyloid angiopathy: evolution of the boston criteria. Stroke 2018; 49(2): 491-497.
- Guidoux C., Hauw J.J., Klein I.F. Amyloid Angiopathy in brain hemorrhage: a postmortem neuropathological magnetic resonance imaging study. Cerebrovasc Dis 2018; 45(3-4): 124-131.
- Khurram A., Kleinig T., Leyden J. Clinical associations and causes of convexity subarachnoid hemorrhage. Stroke 2014; 45: 1151-1153.
- Lin C.M., Arishima H., Kikuta K.I. Pathological examination of cerebral amyloid angiopathy in patients who underwent removal of lobar hemorrhages. J Neurol 2018; 265(3): 567-577.
- Linn J., Herms J., Dichgans M. Subarachnoid hemosiderosis and superficial cortical hemosiderosis in cerebral amyloid angiopathy. Am J Neuroradiol 2008; 29: 184-186.
- Masatsune I., Shigeki Y., Kazuo Y. Dilated Perivascular. Spaces in the centrum semiovale begin to develop in middle age. Journal of Alzheimer’s Disease 2018: 61; 1619-1626. doi: 10.3233/JAD-170755
- Meretoja A., Strbian D., Putaala J., Curtze S., Haapaniemi E., Mustanoja S. SMASH-U: a proposal for etiologic classification of intracerebral hemorrhage. Stroke 2012; 43: 2592-2597. doi: 10.1161/STROKEAHA.112.661603
- Pantoni L. Cerebral small vessel disease: from pathogenesis and clinical characteristics to therapeutic challenges. Lancet Neurol 2010; 9(7): 689-701.
- Poels M.M.F., Vernooij M.W., Ikram M.A. Prevalence and risk factors of cerebral microbleeds: an update of the Rotterdam scan study. Stroke 2010; 41: S103-6.
- Rodrigues M.A., Samarasekera N., Lerpiniere C. The Edinburgh CT and genetic diagnostic criteria for lobar intracerebral haemorrhage associated with cerebral amyloid angiopathy: model development and diagnostic test accuracy study. Lancet Neurol 2018; 17(3): 232-240.
- Roh D., Sun C.H., Schmidt J.M. Primary intracerebral hemorrhage: a closer look at hypertension and cerebral amyloid angiopathy. Neurocrit Care 2018; 29(1). doi: 10.1007/s12028-018-0514-z.
- Shams S., Martola J., Charidimou A., Larvie M., Granberg T., Shams M. Topography and determinants of magnetic resonance imaging (MRI)-visible perivascular spaces in a large memory cohort. Journal of the American Heart Association 2017; 6(9).
- Vernooij M.W., Ikram M.A., Hofman A. Superficial siderosis in the general population. Neurology 2009; 73: 202-205.
- Wardlaw J.M., Smith C., Dichgans M. Mechanisms of sporadic cerebral small vessel disease: insights from neuroimaging. Lancet Neurol 2013; 12(5): 483-497.
- Wilson D., Charidimou A., Ambler G. Recurrent stroke risk and cerebral microbleed burden in ischemic stroke and TIA: A meta-analysis. Neurology 2016; 87(14): 1501-1510.
- Yates P.A., Villemagne V.L., Ellis K.A. Cerebral microbleeds: a review of clinical, genetic, and neuroimaging associations. Send to Front Neurol 2014; 6; 4: 205.
Дополнительные файлы





