Cerebral amyloid angiopathy, associated with inflammation: clinical observation and literature review
- Authors: Kulesh A.A.1,2, Gorst N.K.1, Drobakha V.E.1,2, Kaileva N.A.1,2, Bykova A.Y.1, Shestakov V.V.1
-
Affiliations:
- Academician Ye.A. Vagner Perm State Medical University
- City Clinical Hospital № 4
- Issue: Vol 35, No 6 (2018)
- Pages: 53-60
- Section: Clinical case
- Submitted: 17.01.2019
- Accepted: 17.01.2019
- Published: 30.12.2018
- URL: https://permmedjournal.ru/PMJ/article/view/10897
- DOI: https://doi.org/10.17816/pmj35653-60
- ID: 10897
Cite item
Full Text
Abstract
Cerebral amyloid angiopathy, associated with inflammation (CAA-I) is a rare syndrome, described rather long ago. The course of disease varies from conditionally asymptomatic, very seldom diagnosed forms to severe lethal cases with intracerebral bleedings and brain edema. The basic clinical symptoms of CAA-I are cognitive disorders, convulsions, headache, consciousness impairment, often ignored or wrong interpreted. Manifestations of CAA-I are a part of clinicoradiological continuum, significantly influencing the course of other cerebrovascular diseases. The paper presents description of a clinical case of symptom-free or preclinical form of CAA-I, incidentally detected while realizing magnetic resonance tomography. Analysis of this clinical case and literature data demonstrates difficulties of CAA-I differential diagnosis, value of neurovisualization in patients with cognitive disorders and accentuates the need of expanding the existing diagnostic criteria of CAA-I.
Full Text
Введение
Церебральная амилоидная ангиопатия, ассоциированная с воспалением (Cerebral Amyloid Angiopathy Associated with Inflammation, CAA-I), представляет собой относительно недавно описанный синдром обратимой энцефалопатии с отеком и воспалением, наблюдаемый у некоторых пациентов с CAA [1]. Данный синдром известен и под другими названиями, в частности «амилоидная ангиопатия с гранулематозным ангиитом ЦНС», «церебральный амилоидный ангиит», «церебральная амилоидная воспалительная васкулопатия» и т.д.
Клиническая картина CAA-I впервые была описана Eng и коллегами в 2004 г. Среди 42 патогистологически подтвержденных случаев CAA в семи имелись признаки периваскулярного воспаления, в том числе наличие многоядерных гигантских клеток. У всех пациентов наблюдались быстро прогрессирующие когнитивные нарушения, судороги и головная боль (у четырех пациентов). У описанных пациентов по данным МРТ отмечались пятнистые или сливные области гиперинтенсивности на Т2-ВИ вместе с церебральными микрокровоизлияниями (ЦМК) (у 6 из 7 пациентов). У 5 из 7 пациентов обнаружен генотип АРОЕε4. Все пациенты получали кортикостероиды или другие иммуносупрессанты, у 5 из 6 больных отмечен положительный эффект лечения [8].
Всего к настоящему моменту в литературе имеется описание более 200 патологически подтвержденных случаев CAA-I. Средний возраст пациентов составляет 67 лет (от 42 до 87). Наиболее частыми симптомами являются: когнитивные нарушения (48 %); судороги (32 %); головная боль (32 %); спутанность и другие нарушения сознания (27 %); парезы (16 %); афазия (14 %) и нарушение зрения (13 %). Ключевым моментом диагностического поиска является нейровизуализация. На Т2-взвешенных изображениях обнаруживают единичные или множественные участки гиперинтенсивности, а также геморрагические очаги; у части пациентов наблюдается накопление контраста мягкой мозговой оболочкой [6]. Определено примерно одинаковое вовлечение долей головного мозга в патологический процесс. У большинства больных поражены сразу несколько долей, что отличается от пациентов с CAA и синдромом обратимой задней энцефалопатии, при которых преимущественно вовлекаются теменно-затылочные отделы головного мозга. Двустороннее поражение зафиксировано у 40 % пациентов. У 70 % наблюдалось накопление контраста и у 83 % − ЦМК [7]. Среди других параклинических симптомов описывают повышение СОЭ (у 33 % пациентов), у 45 % больных – плейоцитоз и у 71 % – повышение белка в ликворе [6].
Окончательный диагноз CAA-I обязательно требует нейропатологического подтверждения, поэтому для прижизненной диагностики необходимо проведение биопсии. Так как биопсия сопряжена со значительным риском осложнений, в 2016 г. Auriel c коллегами предложили неинвазивные критерии диагностики, валидизированные на когорте 17 пациентов с нейропатологическим подтверждением диагноза. Данные критерии обладают 82%-ной чувствительностью и 97%-ной специфичностью [2] (таблица).
Патогенез CAA-I изучен мало. Важное значение в развитии заболевания имеют аутоиммунные механизмы. Известно, что отложение амилоида в мозговых сосудах может вызвать преимущественно клеточный воспалительный ответ. Развитием аутоиммунной реакции, вероятно, можно объяснить случаи возникновения менингоэнцефалита у некоторых пациентов, получавших вакцинацию или иммунизацию амилоидом [16], в основе которых лежало амилоидассоциированное воспаление или васкулит. Описанные случаи клинически и нейропатологически соответствуют критериям CAA-I. Также описано наличие антител к Аβ в ликворе у пациента с CAA-I [18].
Прогноз заболевания вариабелен. Наблюдение за пациентами длительностью до 13 лет показывает, что у около половины из них заболевание протекает бессимптомно, а треть умирают [2]. По данным других авторов, 22 % больных выживают без остаточного дефицита, у 31 % пациентов наблюдается легкий неврологический дефицит, у 16 % − умеренная или выраженная инвалидность, 29 % умирают [7].
Клинические критерии диагностики CAA-I
Диагноз | Критерии |
Вероятная CAA-I | Возраст 40 лет или старше |
Наличие одного из следующих клинических симптомов или более: головная боль, снижение уровня сознания, поведенческие нарушения, или очаговый неврологический дефицит, или судороги; данные симптомы не связаны непосредственно с острым внутримозговым кровотечением (ВМК) | |
Моно- или мультифокальное поражение белого вещества головного мозга по МРТ (корково-подкоркового или глубокого), асимметричное (асимметрия не связана с ВМК), распространяется до подкоркового белого вещества | |
Наличие одного из следующих корково-подкорковых геморрагических очагов или более: макрокровоизлияния, ЦМК или КПС | |
Отсутствие опухолевой, инфекционной или другой причины | |
Возможная CAA-I | Возраст 40 лет или старше |
Наличие одного из следующих клинических симптомов или более: головная боль, снижение уровня сознания, поведенческие нарушения или очаговый неврологический дефицит или судороги; данные симптомы не связаны непосредственно с острым ВМК | |
Поражение белого вещества по МРТ, распространяющееся до подкоркового белого вещества | |
Наличие одного из следующих корково-подкорковых геморрагических очагов или более: макрокровоизлияния, ЦМК или КПС | |
Отсутствие опухолевой, инфекционной или другой причины |
Клинический случай. Пациент С., 59 лет, переведен в неврологическое отделение из отделения сердечно-сосудистой хирургии, где проходил лечение по поводу тромбоэмболии плечевой, лучевой, локтевой артерий справа. Через 2 дня после хирургического вмешательства (эмболэктомия) утром при пробуждении С. почувствовал слабость, неловкость в правой руке и заметил изменение речи, что послужило поводом для консультации невролога и проведения МРТ головного мозга. При поступлении пациент четко не предъявлял жалоб на головную боль, однако в процессе лечения периодически жаловался на умеренные головные боли в теменно-затылочной области. Из анамнеза известно, что пациент длительное время страдает гипертонической болезнью, 4 года назад перенес инфаркт миокарда, тройное коронарное шунтирование; 2 года назад проводилась эмболэктомия из подвздошных артерий справа. Постоянно принимает аспирин.
Общий осмотр без особенностей. В неврологическом статусе обращают на себя внимание снижение силы в правых конечностях до 4 баллов, правосторонняя гиперрефлексия, легкая моторная афазия, умеренные когнитивные нарушения (на первый план выступают нарушения произвольного внимания и мнестической деятельности). С диагнозом «ЦВБ. Ишемический инсульт в бассейне левой средней мозговой артерии» пациент госпитализирован в неврологическое отделение регионального сосудистого центра. При поступлении степень неврологического дефицита по шкале инсульта NIHSS 6 баллов, шкала Рэнкин – 3 балла.
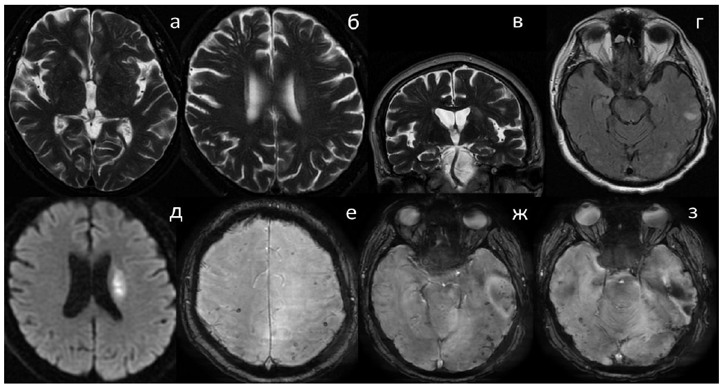
Картина, полученная при МРТ головного мозга, представлена на рисунке.
Рис. МРТ-визуализация головного мозга: а–в – расширенные периваскулярные пространства в области лучистого венца и, в меньшей степени, полуовального центра. Обращает на себя внимание отсутствие расширения периваскулярных пространств на уровне базальных ганглиев (T2 ВИ); г – множественные неоднородные области гиперинтенсивности белого вещества корково-подкорковой локализации в затылочных долях обоих полушарий и левой теменной доле (FLAIR); д – область повышенного сигнала в подкорковой области слева – эмболический инфаркт (DWI); е–ж – множественные подкорковые долевые микрокровоизлияния (SWAN)
Лечение проводилось согласно стандартам терапии ишемического инсульта, тромболитическая, иммуносупрессивная терапия не использовалась.
Исход. На момент выписки отмечается улучшение самочувствия, нормализация сна, восстановление силы в правых конечностях и уменьшение выраженности афазии.
Результаты и их обсуждение
С учетом обнаруженных на снимках изменений данная клиническая ситуация отвечает бостонским критериям вероятной CAA (возраст 55 лет и наличие множественных ЦМК, ограниченных корково-подкорковыми зонами при отсутствии других причин кровоизлияний) [10], однако не в полной мере соответствует критериям возможной CAA-I [2]. Очаговый неврологический дефицит у пациента С., очевидно, связан с формированием очага ишемического инсульта и не может считаться признаком, подтверждающим диагноз CAA-I. При этом наличие распространяющегося до подкорковых областей асимметричного мультифокального поражения белого вещества должно быть так или иначе объяснено. Наша гипотеза состоит в том, что в представленном случае имеет место своеобразная бессимптомная или, учитывая относительно молодой возраст пациента, доклиническая форма CAA-I. Подобные случаи, хотя и единичные, описаны в литературе [3, 17].
Дифференциальная диагностика CAA-I проводится со следующими заболеваниями: задняя обратимая энцефалопатия (PRES), острый диссеминированный энцефаломиелит (ADEM), нейросаркоидоз, первичный ангиит ЦНС (PACNS), аутоиммунный энцефалит, опухоли (первичные опухоли, лимфома ЦНС, канцероматоз твердой мозговой оболочки, глиоматоз мозга), инфекционные заболевания нервной системы (особенно прогрессирующая мультифокальная лейкоэнцефалопатия – PML). Большинство из них могут быть окончательно исключены лишь по результатам патогистологического исследования.
Иначе обстоит вопрос дифференциального диагноза CAA-I и PRES. Вазогенный или цитотоксический отек в затылочной и теменной областях, распространяющийся на кору и подкорковое белое вещество, является одним из типичных паттернов PRES на МР-томограммах. Однако в алгоритме клинической диагностике PRES обязательным является наличие, во-первых, хотя бы одного остро развившегося неврологического симптома (судороги, энцефалопатия или нарушение сознания, интенсивная головная боль, зрительные нарушения) и хотя бы одного из факторов риска (тяжелая гипертензия или колебания артериального давления, почечная недостаточность, иммуносупрессантная терапия, эклампсия, аутоиммунные заболевания) [9]. Ввиду отсутствия у пациента перечисленных симптомов и факторов риска диагноз PRES может быть исключен. Следует, однако, помнить, что PRES и CAA могут сочетаться у одного пациента. Причины такой коморбидности до конца не ясны, очевидно, имеет место общность патогенетических механизмов: нарушение проницаемости гематоэнцефалического барьера и иммунный ответ, предположительно, направленный на депозиты амилоида в сосудистой стенке [12, 13].
На сегодняшний день известно два варианта CAA-I: воспаление, ассоциированное с CAA (Cerebral Amyloid Angiopathy-Related Inflammation, CAARI), характеризующееся преимущественно перивентрикулярными воспалительными инфильтратами; бета-амилоидассоциированный ангиит (Aβ Related Angiitis – ABRA), отличающийся транстумаральным васкулитом с формированием гранулем или без них [7]. Дифференциальный диагноз между этими вариантами остается прерогативой патогистологического исследования. В целом известно, что ABRA встречается чаще, чем CAARI. В данном случае биопсия не проводилась, поэтому можно лишь косвенно судить о том, какая именно форма CAA-I наблюдается у пациента. Считается, что пациенты с ABRA моложе (средний возраст – 67 лет), чем пациенты с CAA в целом (средний возраст – 76 лет) и, соответственно, с CAARI [2]. В анамнезе пациентов с CAARI чаще встречаются длительно существующие когнитивные нарушения, тогда как при ABRA более типичны головные боли, встречаются также указания на опухоли ЦНС. Обе формы одинаково часто манифестируют в виде когнитивных и поведенческих нарушений, очагового неврологического дефицита, головной боли, нарушений походки и других неспецифических симптомов, однако при CAARI чаще, чем при ABRA, заболевание начинается с судорог. Для ABRA характерны более выраженные изменения цереброспинальной жидкости с лимфоцитарным плеоцитозом. При CAARI чаще наблюдается ApoE-генотип ε4/ε4, тогда как при ABRA – ε3/ε3 и ε2/ε3 [5]. Обычно ABRA протекает легче, чем CAARI, в виде остро развившихся когнитивных нарушений, однако на фоне ABRA описаны исключительные случаи фатального отека мозга с кровоизлияниями Дюрета, а также паренхиматозными ВМК с прорывом крови в желудочки мозга и гиперкоагуляцией [15]. В данном случае, располагая скудными анамнестическими данными и практически в отсутствие клинических проявлений, а также за неимением анализа ликвора, мы склонны предполагать ABRA в связи с относительно молодым возрастом пациента, отсутствием выраженных когнитивных нарушений и в целом более частой встречаемостью данного варианта.
При CAA-I проводится иммуносупрессантная терапия, большинство пациентов получают кортикостероиды. Положительная динамика на фоне лечения наблюдается у 72 % больных, причем клиническое улучшение предшествует радиологическому. Длительность терапии определяется индивидуально [11]. Показано, что пациенты с ABRA, по сравнению с пациентами с CAARI, чаще нуждаются в комбинированной терапии стероидами и иммуносупрессантами для достижения аналогичного клинического улучшения и снижения уровня неврологического дефицита до mRS ≤ 3 [5], поэтому попытки дифференциального диагноза CAARI и ABRA нельзя считать праздными в случаях типичного симптомного клинического течения вероятной/возможной CAA-I, требующих лечения.
Следует оговориться, что хотя в данном случае CAA-I явилась случайной находкой в ходе диагностической верификации ишемического инсульта и этиологическая связь двух этих заболеваний маловероятна, описаны случаи CAA-ассоциированных кортикальных инфарктов. Чаще всего такие инфаркты встречаются у пациентов с тяжелой CAA, и возможным механизмом их возникновения считают окклюзию или снижение кровотока в заполненных амилоидом кортикальных сосудах [14].
Вывод
На примере описанного неоднозначного, но достаточного иллюстративного случая показано, что считающиеся редкими варианты CAA-ассоциированного воспаления могут протекать клинически малосимптомно, а значит, вероятно, распространены гораздо шире, чем принято думать. Ожидаемо, что сообщения о подобном течении CAA-I будут появляться чаще с повсеместным внедрением МРТ и расширением показаний к использованию парамагнитных режимов, и не исключено, что накопление информации о таких случаях может послужить поводом для корректировки диагностических критериев CAA-I. Данные последних лет [4], в том числе наши собственные наблюдения [1] указывают на то, что CAA представляет собой клинико-радиологический континуум, значительная часть проявлений которого является условно бессимптомной, но оказывает значимое влияние на течение других цереброваскулярных заболеваний.
About the authors
A. A. Kulesh
Academician Ye.A. Vagner Perm State Medical University; City Clinical Hospital № 4
Author for correspondence.
Email: aleksey.kulesh@gmail.com
доктор медицинских наук, профессор кафедры неврологии ФДПО
Russian Federation, 26, Petropavlovskay street, Perm, 614000; PermN. Kh. Gorst
Academician Ye.A. Vagner Perm State Medical University
Email: aleksey.kulesh@gmail.com
студент VI курса
Russian Federation, 26, Petropavlovskay street, Perm, 614000V. E. Drobakha
Academician Ye.A. Vagner Perm State Medical University; City Clinical Hospital № 4
Email: aleksey.kulesh@gmail.com
кандидат медицинских наук, доцент кафедры лучевой диагностики, врач-рентгенолог кабинета МРТ
Russian Federation, 26, Petropavlovskay street, Perm, 614000; PermN. A. Kaileva
Academician Ye.A. Vagner Perm State Medical University; City Clinical Hospital № 4
Email: aleksey.kulesh@gmail.com
врач-рентгенолог кабинета МРТ
Russian Federation, 26, Petropavlovskay street, Perm, 614000; PermA. Yu. Bykova
Academician Ye.A. Vagner Perm State Medical University
Email: aleksey.kulesh@gmail.com
врач-невролог, соискатель кафедры неврологии ФДПО
Russian Federation, Academician Ye.A. Vagner Perm State Medical UniversityV. V. Shestakov
Academician Ye.A. Vagner Perm State Medical University
Email: aleksey.kulesh@gmail.com
доктор медицинских наук, профессор, заведующий кафедрой неврологии ФДПО
Russian Federation, 26, Petropavlovskay street, Perm, 614000References
- Кулеш А.А., Кайлева Н.А., Горст Н.Х., Шестаков В.В. Связь между интегральной оценкой магнитно-резонансных маркеров церебральной болезни мелких сосудов, клиническим и функциональным статусом в остром периоде ишемического инсульта. Неврология, нейропсихиатрия, психосоматика 2018; 10 (1): 24–31.
- Auriel E., Charidimou A., Gurol M.E., Ni J., Van Etten E.S., Martinez-Ramirez S., Bou-louis G., Piazza F., DiFrancesco J.C., Frosch M.P., Pontes-Neto O.V., Shoamanesh A., Reijmer Y., Vashkevich A., Ayres A.M., Schwab K.M., Viswanathan A., Greenberg S.M. Validation of clinicoradiological criteria for the diagnosis of cerebral amyloid angiopathy–related inflammation. JAMA Neurol 2016; 73 (2): 197–202. doi: 10.1001/jamaneurol.2015.4078
- Banerjee G., Alvares D., Bowen J., Adams M.E., Werring D.J. Minimally symptomatic cerebral amyloid angiopathy-related inflammation: three descriptive case reports. J Neurol Neurosurg Psychiatry 2018; 13. doi: 10.1136/jnnp-2017-317347
- Charidimou A., Boulouis G., Gurol M.E., Ayata C., Bacskai B.J., Frosch M.P., Viswanathan A., Greenberg S.M. Emerging concepts in sporadic cerebral amyloid angiopathy. Brain 2017; 1; 140 (7): 1829–1850. doi: 10.1093/brain/awx047
- Chu S., Xu F., Su Y., Chen H., Cheng X. Cerebral amyloid angiopathy (CAA)-Related inflammation: comparison of inflammatory CAA and amyloid-related Angiitis. J Alz-heimers Dis 2016; 51 (2): 525–532. doi: 10.3233/JAD-151036
- Chung K.K., Anderson N.E., Hutchinson D., Synek B., Barber P.A. Cerebral amyloid angiopathy related inflammation: three case reports and a review. J Neurol Neurosurg Psychiatry 2011; 82 (1): 20–26. doi: 10.1136/jnnp.2009.204180
- Corovic A., Kelly S., Markus H.S. Cerebral amyloid angiopathy associated with in-flammation: A systematic review of clinical and imaging features and outcome. Int J Stroke 2018; 13 (3): 257–267. doi: 10.1177/1747493017741569
- Eng J.A., Frosch M.P., Choi K., Rebeck G.W., Greenberg S.M. Clinical Manifesta-tions of Cerebral Amyloid Angiopathy-Related Inflammation. Ann Neurol 2004; 55 (2): 250–256.
- Fugate J.E., Rabinstein A.A. Posterior reversible encephalopathy syndrome: clinical and radiological manifestations, pathophysiology, and outstanding questions. Lancet Neurol 2015; 14 (9): 914–925. doi: 10.1016/S1474-4422(15)00111-8
- Greenberg S.M., Charidimou A. Diagnosis of cerebral amyloid angiopathy: evolution of the Boston Criteria. Stroke 2018; 49 (2): 491–497.
- Kirshner H.S., Bradshaw M. The inflammatory form of cerebral amyloid angiopathy or BCerebral amyloid angiopathy-related inflammation (CAARI). Curr Neurol Neuro-sci Rep 2015; 15 (8): 54. doi: 10.1007/s11910-015-0572-y
- Kofler J., Bartynski W.S., Reynolds T.Q., Lieberman F.S., Murdoch G.H., Hamilton R.L. Posterior reversible encephalopathy syndrome (PRES) with immune system acti-vation, VEGF up-regulation, and cerebral amyloid angiopathy. J Comput Assist Tomogr 2011; 35 (1): 39–42. doi: 10.1097/RCT.0b013e3181f31917
- Lilleker J., Vassallo J., Punte M. Reversible leukoencephalopathy as a presentation of cerebral amyloid angiopathy. J Neurol Neurosurg Psychiatry 2013; 84: e2. doi: 10.1136/jnnp-2013-306573.78
- Martucci M., Sarria, Toledo M., Coscojuela P., Vert C., Siurana S., Auger C., Rovira A. Cerebral amyloid angiopathy-related inflammation: imaging findings and clinical outcome. Neuroradiology 2014; 56 (4): 283–289. doi: 10.1007/s00234-014-1330-6
- Ng D.W., Magaki S., Terashima K.H., Keener A.M., Salamon N., Karnezis S., Ma-cyszyn L., Vinters H.V. Amyloid-beta-related angiitis: a report of 2 cases with unusual presentations. Hum Pathol 2017; 64: 191–197. doi: 10.1016/j.humpath.2017.01.008
- Orgogozo J.M., Gilman S., Dartigues J.F., Laurent B., Puel M., Kirby L.C., Jouanny P., Dubois B., Eisner L., Flitman S., Michel B.F., Boada M., Frank A., Hock C. Sub-acute meningoencephalitis in a subset of patients with AD after A42 immunization. Neurology 2003 8; 61 (1): 46–54.
- Pasi M., Xiong L., Charidimou A., Viswanathan A. Reversible sub-acute cognitive de-terioration in cerebral amyloid angiopathy: A case report. J Neurol Sci 2018; 15; 385: 215–216. doi: 10.1016/j.jns.2018.01.001
- Piazza F., Greenberg S.M., Savoiardo M., Gardinetti M., Chiapparini L., Raicher I., Nitrini R., Sakaguchi H., Brioschi M., Billo G., Colombo A., Lanzani F., Piscosquito G., Carriero M.R., Giaccone G., Tagliavini F., Ferrarese C., DiFrancesco J.C. Anti-amyloid β autoantibodies in cerebral amyloid angiopathy-related inflammation: impli-cations for amyloid-modifying therapies. Ann Neurol 2013; 73 (4): 449–458. doi: 10.1002/ana.23857
Supplementary files




