Prolongation of viability of isolated skin explants by exposing them to their own transformed physical fields: experimental study
- Authors: Nikityuk I.E.1, Afonichev K.A.1, Nikitin M.S.1, Kubasov V.A.2, Petrash V.V.3
-
Affiliations:
- H. Turner National Medical Research Center for Children’s Orthopedics and Trauma Surgery
- D.V. Efremov Scientific Research Institute of Electrophysical Apparatus (NIIEFA)
- Private Institution “Educational Organization of Higher Education” Medical University “REAV-IZ”
- Issue: Vol 37, No 6 (2020)
- Pages: 131-142
- Section: Clinical case
- Submitted: 27.01.2021
- Accepted: 27.01.2021
- Published: 28.01.2021
- URL: https://permmedjournal.ru/PMJ/article/view/59595
- DOI: https://doi.org/10.17816/pmj376131-142
- ID: 59595
Cite item
Full Text
Abstract
Objective. To study the effect of materials with optical-electrical properties on the survival of full-layer skin explants when they are isolated from the body with completely stopped trophic activity.
Material and methods. In rabbits of both sexes at the age of 5-6 months, full-layer skin flaps were excised from the back area, which were dissected into fragments-explants measuring 1.0×1.0 cm. All samples were thermostated for 2 days at 37 °C near transducers represented by aluminum foil sheets and silicon single crystals. In the first series of experiments, the explants were directly in contact with the transducers; in the second and third series, screens made of light-proof black paper and thin glass were installed between the explants and the transducers, respectively. In each series, the experiments were repeated 5 times with each transducer. After thermostating, the explant viability index was evaluated by histological method in points.
Results. In the first and second series of experiments, the highest survival rate of explants with a viability index from 3.6 to 3.8 points with a norm of 4.0 points) was revealed depending on the type of transducer. In series III, when screening silicon crystals with thin glass, the explant survival rate decreased slightly to 3.3 points. However, the screening of aluminum foil with glass led to a sharp decrease in the viability of explants to 0.2 points.
Conclusions. A long-term viability of skin explants can be explained only by the effect of their own physical fields on them produced by the biostructures of explants and transformed by interaction with nearby materials possessing optical and electrical properties.
Full Text
Введение
Проблема разработки новых методов, оптимизирующих регенеративные процессы в коже, продолжает оставаться актуальной в связи с потребностью в операциях восстановления дефектов кожных покровов различного происхождения, особенно возникших в результате тяжелой ожоговой травмы. В настоящее время не потерял актуальности хорошо зарекомендовавший себя метод свободной пересадки полнослойных кожных трансплантатов для закрытия обширных раневых дефектов кожи [1]. Однако при таком методе кожной пластики существует риск некроза трансплантатов в период врастания в них новых сосудов. Поэтому продолжаются поиски методов оптимизации выживаемости трансплантатов непосредственно после пересадки. С этой целью проводятся исследования факторов физической природы (электромагнитных, фотонных, акустических и др.), оптимизирующих восстановительную терапию ран. В экспериментах на животных показан положительный эффект низкоинтенсивного лазерного излучения при приживлении свободных кожных трансплантатов [2]. Однако при клиническом применении лазера отсутствует предсказуемость терапевтического успеха в восстановлении кожных ран [3]. В то же время появились экспериментальные работы на животных, свидетельствующие о возможности использования собственных отраженных излучений кожных покровов для улучшения их выживаемости в условиях нарушенной трофики [4]. Хорошо известно, что поверхность кожи человека испускает электромагнитные волны чрезвычайно низкой интенсивности в оптическом диапазоне спектра 300–800 нм – сверхслабое фотонное излучение (СФИ) [5, 6]. В научной литературе представлены убедительные данные о биорегуляторной роли эндогенных физических полей, генерируемых живыми клетками [7, 8], которые могут приводить к направленному изменению свойств и жизнедеятельности других клеток [9, 10]. Ряд экспериментальных [11] и клинических [12] исследований свидетельствуют о возможности использования оптических отражателей из различных материалов для стимуляции клеточной активности и улучшения регенераторной способности кожных тканей. Однако феномен воздействия на клеточную активность их аутоизлучений (отраженных или преобразованных) остается малоисследованным. Поэтому вопросы, связанные со стимулирующим влиянием собственных эндогенных полей дермальных тканей на их регенерацию, нуждаются в дальнейшем изучении.
Цель исследования – изучение влияния материалов с оптико-электрическими свойствами – полнослойных кожных эксплантатов при их изоляции от организма и полном прекращении трофики.
Материалы и методы исследования
Исследование было проведено в экспериментальной лаборатории ФГБУ «Национальный медицинский исследовательский центр детской травматологии и ортопедии имени Г.И. Турнера» МЗ РФ на пяти кроликах породы шиншилла обоих полов в возрасте 5–6 месяцев с массой тела 2,2–2,5 кг. Проведение эксперимента было одобрено решением локального этического комитета центра и соответствовало международным и национальным нормативным актам обращения с лабораторными животными. Все манипуляции с животными осуществляли в условиях общей анестезии, для которой использовали смесь гидрохлорида тилетамина и гидрохлорида золазепама (золетлил 100, Vibrac, Франция). Дозировку для каждого животного подбирали индивидуально из расчета 15 мг/кг массы животного. Анестезию проводили путем внутримышечной инъекции.
У каждого животного в области спины выстригали шерсть, при этом остаточная длина волос составляла не более 1 мм. В асептических условиях производили иссечение полнослойного участка кожи в форме квадрата со сторонами 3,0×3,0 см, который разрезали на 9 фрагментов размерами 1,0×1,0 см. Полученные кожные эксплантаты для изоляции от внешней среды заворачивали в три слоя тонкой стерильной полиэтиленовой пленки толщиной 30 мкм. Затем их укладывали по одному в стеклянные чашки Петри с тонким слоем воды на текстолитовые подложки наружной поверхностью кверху.
Эксплантаты опытной группы были распределены по трем сериям (рис. 1, а, б).
Рис. 1. Схема взаимного расположения кожных эксплантатов при их термостатировании вблизи с преобразователями из: а – алюминиевой фольги; б – монокристалла кремния. Экраны изготовлены из светонепроницаемой черной бумаги и тонкого стекла
I серия: на наружную поверхность кожного эксплантата укладывали преобразователь, представленный материалом с оптико-электрическими свойствами: а) лист пищевой алюминиевой фольги размером 3,0×3,0 см и толщиной 20 мкм; б) монокристалл кремния размером 1,0×1,0 см и толщиной 0,5 мм.
II серия: помещали экран из плотной светонепроницаемой черной бумаги размером 5,0×5,0 см: а) между алюминиевой фольгой и эксплантатом; б) между монокристаллом кремния и эксплантатом.
III серия: помещали экран, изготовленный из тонкого покровного стекла для гистологических препаратов, размером 5,0×5,0 см и толщиной 150 мкм: а) между алюминиевой фольгой и эксплантатом; б) между монокристаллом кремния и эксплантатом.
Эксплантаты контрольной группы помещали в аналогичные условия в чашки Петри: без покрытия, с покрытием из черной бумаги и с покрытием из тонкого стекла.
Чашки Петри с эксплантатами как опытной, так и контрольной групп накрывали крышками для сохранения высокой влажности воздушной среды и выдерживали в термостате при температуре 37 °C в течение двух суток. Эксперименты повторяли пять раз.
После термостатирования кожные эксплантаты фиксировали в 10 % растворе Кайзерлинга, проводили через батарею спиртов восходящей крепости и заливали в парафин. Полученные в дальнейшем срезы окрашивали гематоксилином и эозином.
Гистологическое исследование кожных эксплантатов позволило оценить их выживаемость в баллах после термостатирования. При этом оценивали состояние следующих четырех структур кожи животного: слоя эпидермиса, волосяных фолликулов, слоя собственно дермы и мышечного слоя. В случае полной сохранности каждой из структур – ей давали оценку, соответствующую одному баллу, при частичном некрозе клеток снижали оценку до 0,5 балла, при полном некрозе клеток сохранность структуры оценивали как ноль баллов. Таким образом, максимальную сохранность жизнеспособности кожного эксплантата оценивали в 4 балла, при тотальном некрозе эксплантата его жизнеспособность составляла ноль баллов.
Достоверность различий полученных результатов оценивали с использованием критерия Стьюдента, пороговый уровень статистической значимости принимали при значении критерия p < 0,05.
Результаты и их обсуждение
В норме в образцах кожи кролика, взятых из области спины, отчетливо различается эпителиальный слой, представленный 3–4 слоями крупных клеток с хорошо прокрашивающимися ядрами. Видна отчетливая структура волосяных фолликулов с округлыми и овальными клетками. Собственно дерма богата коллагеновыми волокнами и соединительнотканными клетками. Мышечный слой представлен совокупностью поперечно-полосатых мышечных волокон с рыхлой соединительной тканью (рис. 2, а).
В контрольной группе кожных эксплантатов, независимо от их контакта с черной бумагой и стеклом, по истечении двух суток термостатирования определялись тяжелые явления дегенерации всех слоев: эпителиальный слой эпидермиса и собственно дерма и прилежащий мышечный слой были полностью некротизированы, сохранялись только контуры волосяных фолликулов. Окрашивающиеся ядерные элементы отсутствовали во всех слоях (рис. 2, б).
Рис. 2. Эксперимент: а – структура кожи кролика в норме. Ядра клеток эпителиального слоя, слоя собственно дермы и волосяных фолликулов хорошо прокрашены; б – структура кожных эксплантатов контрольной группы через два дня после термостатирования. Тотальный некроз волосяных фолликулов, эпителиального и собственно дермального слоев. Окраска гематоксилином и эозином, ув. × 100
В первой серии опытной группы после термостатирования кожных эксплантатов показатели их жизнеспособности были высокие и не имели значимых отличий от таковых в опытах с непосредственным контактом с преобразователями из алюминиевой фольги и кремния (таблица). При этом выявлялась хорошая сохранность структуры дермальных слоев эксплантатов. Эпителиальный слой сохранял свое строение, клетки волосяных фолликулов морфологически представлялись неизмененными, в собственно дерме имелось значительное количество соединительнотканных клеток, ядра которых были хорошо окрашены. Структура мышечного слоя в основном была сохранена: большинство мышечных волокон имели отчетливую поперечную исчерченность, содержали хорошо прокрашиваемые ядра. Однако у части образцов на отдельных участках были выявлены начальные признаки дистрофических изменений. Это проявлялось в уменьшении количества окрашивающихся ядерных элементов.
Показатели жизнеспособности (баллы) изолированных полнослойных кожных эксплантатов через двое суток термостатирования при различных условиях контакта с преобразователями
Условия контакта эксплантата с преобразователем | Опытная группа | Контрольная группа | |
Преобразователь – алюминиевая фольга | Преобразователь – монокристалл кремния | ||
I серия –непосредственный контакт | 3,7 ± 0,12 | 3,8 ± 0,12 | 0,0 ± 0,00 |
II серия – через экран из черной бумаги | 3,6 ± 0,10 | 3,7 ± 0,20 | |
III серия – через экран из стекла | {0,2 ± 0,12}* | 3,3 ± 0,30 | |
Примечание: * – достоверно различающиеся показатели (р < 0,05) между группами в опытах с экранированием и без экранирования; { } – достоверно различающиеся показатели (р < 0,05) между группами в опытах с разными преобразователями.
После термостатирования кожных эксплантатов во второй серии с использованием экранов из светонепроницаемой черной бумаги показатели жизнеспособности дермальных тканей оставались высокими и не отличались значимо от результатов опытов первой серии (рис. 3, а).
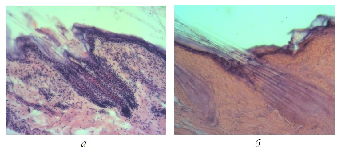
Рис. 3. Структура кожных эксплантатов: а – во II серии в группе с их экранированием черной бумагой от алюминиевой фольги. Хорошая сохранность ядер клеток эпителиального слоя, слоя собственно дермы и волосяных фолликулов; б – в III серии в группе с их экранированием тонким стеклом от алюминиевой фольги. Некротизирование волосяных фолликулов, эпителиального и собственно дермального слоев. Окраска гематоксилином и эозином, ув. × 100
В третьей серии опытов наметилась тенденция к снижению витальности в группе эксплантатов при их экранировании от кристаллов кремния тонким стеклом. Хотя снижение показателя жизнеспособности эксплантатов оказалось незначимым, лишь в части образцов некротические процессы в их мышечном слое стали несколько более выраженными. Местами поперечная мышечная ткань эксплантатов была некротизирована: определялись только контуры волокон без исчерченности и ядер. Между мышечными волокнами имелись разложившиеся соединительнотканные клетки, в некоторых местах были видны остатки их ядер. Однако в группе эксплантатов, экранированных от алюминиевой фольги тонким стеклом, наблюдалось резкое снижение их витальности, что фактически означало гибель дермальных тканей. Во всех без исключения образцах выявлялись обширные некротические процессы с захватом всех слоев дермы. Определялись только единичные прокрашиваемые пикнотичные ядра на фоне некротизированных волосяных фолликулов (рис. 3, б).
В настоящее время хорошо известно, что клетки эпидермиса и дермы кожи человека продуцируют сверхслабое фотонное излучение [13], которое регистрируется также у тканевых кожных эксплантатов [14]. Высказываются гипотезы, предполагающие, что сверхслабый фотонный поток и когерентные сверхвысокочастотные (СВЧ) излучения, продуцируемые биотканями, могут дистанционно передавать информацию от одних клеток к другим [7, 15]. Однако такие умозаключения носят исключительно теоретический характер, поскольку на данный момент не существует доказанной биологической модели для объяснения этого феномена. В настоящей работе в опытах первой серии кожные эксплантаты, находящиеся вблизи алюминиевой фольги или монокристаллов кремния, при термостатировании хорошо сохраняли структуру дермальных тканей, несмотря на полное нарушение трофики. В связи с этим можно было бы предположить, что благоприятное воздействие на выживаемость эксплантатов могло оказать излучаемое ими же сверхслабое фотонное излучение, отраженное (возможно, с преобразованием спектра) от зеркальной металлической поверхности листа фольги или преобразованное кристаллическим кремнием. Однако в опытах второй серии при экранировании преобразователей от эксплантатов светонепроницаемой черной бумагой выявлена хорошая сохранность структуры кожных образцов. Указанный факт исключает, в первую очередь, гипотезу о ведущей роли собственного фотонного излучения эксплантатов в продлении их жизнеспособности, поскольку оптическое отражение от зеркальной поверхности фольги полностью экранировано. В третьей серии опытов при установке экранов из тонкого стекла между алюминиевой фольгой и эксплантатами в дермальных тканях последних при термостатировании развились выраженные некротические процессы. Логично было бы предположить, что стекло поглощает продуцируемые кожными эксплантатами физические поля. Действительно, работы других авторов подтверждают, что экраны из обычного стекла могут задерживать сверхслабые излучения клеток [16]. Однако в настоящем исследовании экранирование кристаллов кремния стеклом значимо не сказалось на жизнеспособности эксплантатов, что свидетельствует о хорошей проницаемости тонкого стекла для физических полей, продуцируемых взаимодействием эксплантатов с этими кристаллами.
Таким образом, в результате проведенных исследований достоверно установлен феномен благотворного влияния на выживаемость кожных эксплантатов их контакта с материалами, обладающими оптико-электрическими свойствами. Механизмы этого феномена нельзя объяснить процессами простого отражения или некоего преобразования собственных излучений эксплантатов. Видимо, в данном случае присутствуют более сложные, пока неизученные, оптико-электрические взаимодействия эксплантатов и преобразователей [17]. Предполагается, что у живых клеток наряду с оптическим путем передачи собственных сигналов существует акустический канал межклеточной коммуникации [18]. Также показана роль собственных акустоэлектрических колебаний клеток в поддержании и восстановлении их гомеостаза [19]. Имеется предположение, что эндогенные клеточные поля воздействуют на другие клетки не непосредственно, а на основе резонансных явлений [20]. Таким образом, установленный феномен активации дермальных клеток собственными физическими полями или излучениями пока остается не выясненным. В последние годы достоверно обнаружены эффекты воздействия структурных форм, таких как кристаллы, на процессы, протекающие в клетках организма человека – crystal-cell interactions [21, 22]. Кристаллические структуры оказывают стимулирующее влияние на регенерацию кожных покровов у животных [23]. Многие биоткани фактически моделируют свою структуру в соответствии с параметрами кристаллических решеток [24]. В коже человека наблюдаются резонансные процессы [25], дермальные ткани, благодаря входящему в их состав эпидермису, обладают свойствами фотонных кристаллов [26]. Сам эпидермис является источником электрических полей [27] с напряженностью 1 000 000 В/см [28]. В свою очередь кристаллический кремний, являясь полупроводником, способен, с учетом физики внутреннего кристаллического поля, преобразовывать внешние электромагнитные сигналы. Дистанционное взаимодействие эксплантатов с кристаллической структурой, приводящее к активизации метаболических процессов в дермальных тканях, возможно, найдет свое объяснение при рассмотрении его как следствия возникновения резонансов клеточных осцилляций с флуктуациями кристаллического поля кремния. Представленный в данной статье феномен повышенной жизнеспособности биотканей при их бесконтактном взаимодействии с некоторыми металлами и кристаллическими структурами известен не так давно, и в связи с его значимостью для трансплантологии и комбустиологии крайне нуждается в фундаментальных теоретических обоснованиях биофизических механизмов наблюдаемых явлений.
Выводы
- Проведенные эксперименты констатируют возможность длительной сохранности структуры дермальных тканей изолированных кожных эксплантатов с полным нарушением трофики при их термостатировании в условиях контакта с материалами, обладающими оптико-электрическими свойствами.
- Повышение жизнеспособности эксплантатов может объясняться воздействием на них продуцируемыми ими же собственными физическими полями, преобразуемыми при взаимодействии с кристаллами кремния или алюминиевой фольгой. Механизмы этого взаимодействия пока неясны, существуют только предположительные гипотезы.
- Дальнейшее изучение выявленных закономерностей может быть перспективным в аспекте инновационных разработок раневых покрытий на основе монокристаллов кремния или других подобных по свойствам нетоксичных, химически инертных материалов.
- Освещенное в данной работе направление перспективно для применения в клинике с целью улучшения приживаемости пересаживаемых полнослойных кожных трансплантатов, что актуально при лечении глубоких ожоговых ран и других обширных поражений кожных покровов.
About the authors
I. E. Nikityuk
H. Turner National Medical Research Center for Children’s Orthopedics and Trauma Surgery
Author for correspondence.
Email: femtotech@mail.ru
Candidate of Medical Sciences, Leading Researcher, Laboratory of Physiological and Biomechanical Researches
Russian Federation, Saint PetersburgK. A. Afonichev
H. Turner National Medical Research Center for Children’s Orthopedics and Trauma Surgery
Email: femtotech@mail.ru
MD, PhD, Head of Unit of Trauma and Rheumatoid Arthritis Consequences
Russian Federation, Saint PetersburgM. S. Nikitin
H. Turner National Medical Research Center for Children’s Orthopedics and Trauma Surgery
Email: femtotech@mail.ru
traumatologist-orthopedist, Unit of Trauma and Rheumatoid Arthritis Consequences
Russian Federation, Saint PetersburgV. A. Kubasov
D.V. Efremov Scientific Research Institute of Electrophysical Apparatus (NIIEFA)
Email: femtotech@mail.ru
Candidate of Physical and Mathematical Sciences, Senior Researcher, Scientific Research Laboratory KL-3 BI-3
Russian Federation, Saint PetersburgV. V. Petrash
Private Institution “Educational Organization of Higher Education” Medical University “REAV-IZ”
Email: femtotech@mail.ru
Doctor of Biological Sciences, Professor, Department of Medico-Biological Disciplines
Russian Federation, Saint PetersburgReferences
- Bogdanov S.B., Babichev R.G., Mar chenko D.N., Polyakov A.V., Ivashchenko Yu.V. Plastic full thickness skingrafts wounds of various etiologies. Innovatsionnaya meditsina Kubani 2016; 1: 30–37 in Russian).
- da Silva E.B., Maniscalco C.L., Ésper G.V., Guerra R.R., Kerppers I.I. Macro and microscopic analysis of island skin grafts after low-level laser therapy. Rev Col Bras Cir 2013; 40 1): 44–48.
- de Lima F.J., Barbosa F.T., de Sousa-Rodrigues C.F. Use alone or in combination of red and infrared laser in skin wounds. J Lasers Med Sci 2014; 5 2): 51–57.
- Petrash V.V., Nikityuk I.E. Use of effects of photon-wave interactions of biosystems with substance in prolongation of viability of isolated skin grafts. Vestnik SPbGMA im. I.I. Mechnikova 2007; 8 1): 118–121 in Russian).
- Calcerrada M., Garcia-Ruiz C.Human ultra-weak photon emission: key analytical aspects, results and future trends – a review. Crit Rev Anal Chem 2019; 49 4): 368–381.
- Ortega-Ojeda F., Calcerrada M., Ferrero A., Campos J., Garcia-Ruiz C. Measuring the human ultra-weak photon emission distribution using an electron-multiplying, charge-coupled device as a sensor. Sensors Basel) 2018; 18 4): 1152.
- Budagovsky A.V., Budagovskaya O.N., Budagovsky I.A. Intercellular communication using coherent radiation. Photonics 2016; 3 57): 148–163 in Russian).
- Dlask M., Kukal J., Poplová M., Sovka P., Cifra M. Short-time fractal analysis of biological autoluminescence. PLoS One 2019; 14 7): e0214427.
- Levin M., Martyniuk C.J. The bioelectric code: an ancient computational medium for dynamic control of growth and form. Biosystems 2018; 164: 76–93.
- Leronni A., Bardella L., Dorfmann L, Pietak A., Levin M. On the coupling of mechanics with bioelectricity and its role in morphogenesis. J R Soc Interface 2020; 17 167): 20200177.
- Nikityuk I.E., Petrash V.V., Afonichev K.A., Ilyina L.V. Use of metallic reflectors of the internal fields isolated full-layer dermal grafts for the preservation of their viability. Vestnik SPbGMA im. I.I. Mechnikova 2007; 8 3): 113–118 in Russian).
- Ar'ev T.Ya. Termicheskie porazheniya. L.: Meditsina, Leningradskoe otdelenie 1966; 704 in Russian).
- Tsuchida K., Iwasa T., Kobayashi M. Imaging of ultra-weak photon emission for evaluating the oxidative stress of human skin. J Photochem Photobiol B 2019; 198: 111562.
- Ou-Yang H. The application of ultra-weak photon emission in dermatology. J Photochem Photobiol B 2014; 139: 63–70.
- Laager F. Light based cellular interactions: hypotheses and perspectives. Front Phys 2015; 3: 55.
- Fels D. Cellular communication through light. PLoS One 2009; 4 4): e5086.
- Petrash V.V., Nikityuk I.E., Kubasov V.A. Unexplored effects of semiconductor and layered periodic structures on biological tissues. Vzaimodeystvie sverkhvysokochastotnogo, teragertsovogo i opticheskogo izlucheniya s poluprovodnikovymi mikro- i nanostrukturami, metamaterialami i bioob"ektam: materialy Vserossiyskoy nauchnoy shkoly-seminara. Saratov 2015; 96–98 in Russian).
- Scholkmann F., Fels D., Cifra M. Non-chemical and non-contact cell-to-cell communication: a short review. Am J Transl Res 2013; 5 6): 586–593.
- Kharlanov A.V. Acoustoelectric oscillations cells: avtoref. dis. … kand. fiz-mat. nauk. Volgograd; 2006: 16 in Russian).
- Fels D. The double-aspect of life. Biology Basel) 2018; 7 2): 28.
- Nikityuk I.E., Afonichev K.A., Petrash V.V., Il'ina L.V. Induction of the regeneration of elastic cartilage by the action of semiconductor materials as a possible method for treatment of deep burns of external ear experimental study). Travmatologiya i ortopediya Rossii 2008; 1 47): 45–48 in Russian).
- Thongboonkerd V. Proteomics of crystal-cell interactions: a model for kidney stone research. Cells 2019; 8 9): 1076.
- Nikityuk I.E., Kubasov V.A., Petrash V.V., Afonichev K.A. Experimental use of wound dressings with the properties of photonic crystals for restoring deep skin defects. Pediatric traumatology, orthopaedics and reconstructive surgery 2016; 4 3): 63–70 in Russian).
- Loll P.J. Membrane proteins, detergents and crystals: what is the state of the art? Acta Crystallogr F Struct Biol Commun 2014; 70 12): 1576–1583.
- Petrash V.V., Il'ina L.V., Chervinskaya A.V., Nazarova L. V., Milinevskaya L. N., Nikityuk I.E. Diagnostic value of vegetative resonance test. Preventive and clinical medicine 2011; 4 41): 56–59 in Russian).
- Kubasov V.A., Nikityuk I.E., Petrash V.V., Voroshilov Shtrupp) B.M. Epidermis – sloisto-periodicheskaya biostruktura so svoystvami fotonnykh kristallov. M.: Editus 2019; 236 in Russian).
- Kulin E.T. Bioelektretnyy effect. Minsk: Nauka i tekhnika 1980; 216 in Russian).
- Menefee E. Charge separation associated with dipole disordering in proteins. Ann NY Acad Sci 1974; 238: 53–67.
Supplementary files








