Improvement of reparative regeneration in surgery
- Authors: Plecheva D.V.1, Okroyan V.P.1, Ibragimov T.R.1, Galimov O.V.1, Khanov V.O.1
-
Affiliations:
- Bashkir State Medical University
- Issue: Vol 35, No 3 (2018)
- Pages: 32-38
- Section: Articles
- Submitted: 01.08.2018
- Published: 15.12.2018
- URL: https://permmedjournal.ru/PMJ/article/view/9174
- DOI: https://doi.org/10.17816/pmj35332-38
- ID: 9174
Cite item
Full Text
Abstract
Aim. To improve the reparative tissue regeneration, applying oxymethyluracil in surgical patients.
Materials and methods. The impact of 5-oxymethyluracil-2,4-dioxo-5-hydroxy-6-methyl-1,2,3,4-tetrahydropirimidine (5-OMU) on the processes of regeneration stimulation in the tissues was studied in 4 groups, including different organs and systems of the body. The analysis of the results of using 5-OMU for torpid wounds in general surgery included 145 patients, erosive-ulcerous lesion of the upper parts of gastrointestinal tract – 126, reparative surgeries on GIT – 105 and revasculizing interventions on the heart – 63. To develop experimental models, mature rats, aged 11–12 months, with the body mass 2.9 ± 1.7 kg were used. Two sets of experiments with cut and burn wounds were implemented.
Results. The experimental studies, aimed at investigation of histological and histochemical preparations, demonstrated positive influence of oxymethyluracil on the healing of skin wounds.
Conclusions. On the basis of the studies carried out, the preparation is also recommended for use in other fields of surgery for the treatment of erosive-ulcerous lesions of the upper part of gastrointestinal tract, for intestinal anastomoses and when performing revasculizing surgeries on the heart. Different drug forms of this preparation were developed to reach its maximum concentration in the tissues, clinical trials were conducted and its efficient use in clinical practice was confirmed.
Keywords
Full Text
Введение
Несмотря на большое число средств, предложенных для ускорения заживления ран, интерес к этой проблеме не снижается, так как существующие препараты не всегда или недостаточно эффективны, а часть из них способна вызывать побочные эффекты. Часто требуется применение одновременно нескольких средств, воздействующих на разные патогенетические механизмы раневого процесса. В связи с выявлением новых патогенетических механизмов последнего появились такие препараты, как анаболики, некоторые цитокины, усиливающие образование оксида азота, антиоксиданты и пр. Механизм стимуляции заживления ран неоднотипен, но важным условием регенерации является стимуляция синтеза РНК, ДНК и белка. При этом происходит высвобождение вазоактивных веществ и факторов роста – белков, которые инициируют процессы заживления ран путем привлечения и активации фибробластов, эндотелиальных клеток, макрофагов и т.д. [1, 2, 7, 8]. В связи с тем что в регуляции регенераторных процессов установлена роль иммунной системы, некоторые авторы пытаются ускорить регенерацию с помощью цитокинов и стимуляторов иммунитета, особенно макрофагов. Определенное место среди стимуляторов регенерации занимают антиоксиданты. Наибольший интерес представляют те препараты, ранозаживляющее действие которых обязано нескольким механизмам действия. Таким поливалентным действием обладают пиримидины (пентоксил, метилурацил). Метилурацил давно успешно применяется как стимулятор регенерации в виде мазей. Препарат обладает несколькими свойствами, которые объясняют его ранозаживляющее действие, – анаболическим, противовоспалительным и иммуностимулирующим.
Другое производное урацила – оксиметилурацил. 5-оксиметилурацил-2,4-диоксо-5-гидрокси-6-метил-1,2,3,4-тетрагидропиримидин является производным урацила, т.е. одного из естественных пиримидинов. В 2002 г. (ВФС 42-29930 96) 5-оксиметилурацил (5-ОМУ) был разрешен для широкого применения в качестве стимулятора иммунитета. 5-оксиметилурацил обладает иммуностимулирующим, анаболическим, противовоспалительным действием и выраженной антиоксидантной активностью, препарат малотоксичен, не обладает аллергизирующим, тератогенным, мутагенным и канцерогенным действиями [3, 9, 10]. Накопленный в течение последних десятилетий клинический и научный опыт позволяет предложить комплексную, патогенетически обоснованную направленность корригирующего воздействия с включением профилактических, лечебных мероприятий и мероприятий с использованием современных медикаментозных факторов, обладающих регенераторной направленностью. Тем не менее большое их разнообразие свидетельствует о том, что совершенного метода лечения обширных и длительно незаживающих ран в настоящее время не существует, а это и определяет актуальность поиска новых методов лечения [4–6].
Цель исследования – улучшить репаративную регенерацию в тканях при применении оксиметилурацила у хирургических больных.
Материалы и методы исследования
Клиническая часть работы по изучению применения 5-ОМУ в регенераторной хирургии проводилась на базах хирургических отделений клиники Башкирского государственного медицинского университета, ГБУЗ «Республиканский кардиологический центр», кафедре фармацевтической технологии с курсом биотехнологии ФГБОУ ВО «Башкирский государственный медицинский университет» Минздрава России в период с 2012 по 2017 г. Изучение влияния на процессы стимуляции регенерации в тканях проводилось в четырех группах, включавших разные органы и системы организма. Анализ результатов применения 5-ОМУ при наличии вялотекущих ран в общей хирургии проведен с участием 145 человек (93 – основная подгруппа и 52 – контрольная), при эрозивно-язвенном поражении верхних отделов желудочно-кишечного тракта (ЖКТ) – 126 (71 основной подгруппы и 55 контрольной), при реконструктивно-восстановительных операциях на ЖКТ – 105 (57 основной подгруппы и 48 контрольной) и при проведении реваскуляризирующих вмешательствах на сердце – 63 пациента (34 основной подгруппы и 29 контрольной). Экспериментальная часть работы выполнена в вивариях ФГБОУ ВО «Башкирский государственный медицинский университет» Минздрава России и Уфимского научного центра РАН. В качестве экспериментального материала использовали кроликов-самцов породы Шиншилла. Животные содержались в соответствии с санитарными правилами по устройству, оборудованию и содержанию экспериментально-биологических помещений (вивариев), утвержденными МЗ СССР № 163 от 10.03.1966 года. Работа с кроликами выполнялась в соответствии с принципами гуманного обращения с подопытными животными, утвержденными приказами МЗ СССР № 755 от 12.08.1977 года «О мерах по дальнейшему совершенствованию организационных форм работы с использованием экспериментальных животных» и № 701 от 27.07.1978 года «О внесении дополнений в приказ МЗ СССР № 755 от 12.08.1977 года», а также положениями «Хельсинской декларации по вопросам медицинской этики» и «Международными рекомендациями по проведению медико-биологических исследований с использованием животных» (1989). Для создания экспериментальных моделей использовались половозрелые кролики массой 2,9 ± 1,7 кг в возрасте от 11 до 12 месяцев, которые содержались в одинаковых условиях, в отдельных клетках.
Изучено ранозаживляющее действие 5%-ной мази с ОМУ на основе вазелина и геля. Гель представляет собой сополимер стирола с малеиновым ангидридом (ССМА) или модифицированный стиромаль «Пластигель» – редкосшитый водонабухающий полимер (патент № 2135187 от 26.04.96, ТУ 6-01-02274010913-01) – продукт сополимеризации стирола с малеиновым ангидридом, модифицированный аммиаком, представляющий собой порошок белого цвета. Внешний вид 2%-ного раствора сополимера стирола в воде – это прозрачная или слегка мутноватая гелеобразная жидкость, которая растворима в воде, в глицерине, спирте. Эмульсионная основа состоит из вазелина, пентола (эмульгатор) и воды. Резаные раны наносились скальпелем под внутривенным наркозом 2,5%-ным раствором тиопентал-натрия (из расчета 20 мг на 1 кг массы тела) и дополнялись послойной инфильтрацией передней брюшной стенки и париетальной брюшины 25–40 мл 0,25%-ным раствором новокаина у 8 особей кроликов. В результате выявлено, что 5%-ная мазь с ОМУ, приготовленная на основе геля, статистически значимо ускоряет заживление на 10–15-е сутки по сравнению с группой контроля, в которой животным наносили просто гель, причем все мази и основы по сравнению с контролем достоверно ускоряли регенерацию (табл. 1).
Следующая серия опытов была проведена на 7 кроликах, у которых вызывалась ожоговая рана по описанной выше методике. В этих опытах средняя скорость заживления при применении разных мазевых основ была примерно одинакова – у контрольных животных – 18,5 ± 2,2, у кроликов, раны которых смазывались вазелином, – 17 ± 1, гелем – 17 ± 1,95. То есть ранозаживляющее действие при ожоговой ране, при образовании грубого струпа, было не выражено по сравнению с острыми ранами, вероятнее всего, из-за отсутствия биодоступности наносимых мазевых форм.
Результаты и их обсуждение
Оценка результатов лечения в ранний период проводилась на основании следующих параметров: уменьшение размеров раневой поверхности, появление грануляций, начало краевой эпителизации. Для выяснения эффективности препарата при применении его лишь внутрь были проведены специальные исследования. В опытах на кроликах с резаными ранами стимуляции заживления ран только при введении ОМУ внутрь не наблюдалось, хотя в более поздние сроки тенденция к ускорению была (табл. 2).
Средняя скорость заживления ран у животных, получавших ОМУ, составила 15 ± 0,45 дня, а у неполучавших – 14,5 ± 0,39. При этом, как и в эксперименте с термическим ожогом, у кроликов с острыми ранами применение комбинации мази с энтеральным введением ОМУ ускоряло заживление (табл. 3).
Таблица 1. Скорость и средние сроки заживления резаных кожных ран в основной и контрольной группах
Условия опыта | Размеры ран, % от исходных (M ± m) | Средние сроки заживления, дни | ||
5-й день | 10-й день | 15-й день | ||
Мазь ОМУ на основе геля | 54,8 ± 7,6 | 15,0 ± 4,5* | 2,6 ± 1,0** | 15,8 ± 1,2*** |
Гель | 60,5 ± 5,9 | 27,6 ± 4 | 10,1 ± 1,7 | 21,8 ± 0,4 |
Контроль | 81,8 ± 7,7 | 33,7 ± 7,2 | 16,6 ± 3,8 | 23,2 ± 0,4 |
Примечание: * – р2–3 < 0,05; ** – р2–3 < 0,01; *** – р2–3 0,001.
Таблица 2. Скорость заживления резаных ран при введении ОМУ внутрь
Условия опыта | Площадь раны, % от исходной | ||
на 5-й день | на 10-й день | на 13-й день | |
ОМУ внутрь | 47,6 ± 7,6 | 19,0 ± 4,3 | 6,5 ± 3,0 |
Без ОМУ | 30,0 ± 6,6 | 20,0 ± 3,5 | 10,6 ± 5,7 |
Таблица 3. Скорость заживления резаных ран под влиянием мази с ОМУ и при введении ОМУ внутрь
Условия опыта | Площадь раны, % от исходной | ||
на 5-й день | на 8-й день | на 12-й день | |
5 %-ная мазь с ОМУ, внутрь, 50 мг/кг | 51,5 ± 5,2 | 12,8 ± 3,9 | 8,8 ± 2,5 |
Вазелин + 2 %-ная крахмальная слизь внутрь | 67,7 ± 4,4 | 38,1 ± 4,0 | 25,6 ± 5,0 |
р | = 0,02 | < 0,02 | < 0,001 |
Таким образом, применять мази с ОМУ следует в более ранние сроки. Полученные данные о целесообразности введения ОМУ внутрь с одновременным местным лечением ран подтверждаются фармакокинетическими данными о способности препарата проникать в рану. Учитывая распределение и скорость выведения ОМУ, а также пик концентрации через 5 часов после введения внутрь, считаем рациональным применять препарат внутрь каждые 5–6 часов.
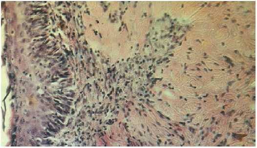
В гистологических препаратах контрольной группы животных эпидермис кожи имеет неровные контуры разной толщины, с выраженной отслойкой рогового слоя эпидермиса. Ростковая зона эпидермиса образует сложные складки (рис. 1), растущие навстречу с двух краев раны. Складчатость эпидермиса кожи обусловлена образованием плотной неоформленной соединительной ткани.
Рис. 1. Неравномерное разрастание эпидермиса кожи белых крыс при травме. Окраска гематоксилин-эозином. Микрофото. Ок. 10, об. 20
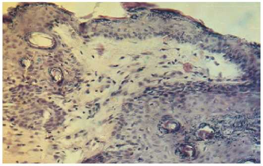
При смазывании кожной раны 5-ОМУ на вазелиновой основе определяется равномерное заживление травмы. На рис. 2 видна зона разреза кожи, при этом эпидермис полностью восстановлен, однако ростковая зона толще, чем окружающие участки, базальные кератиноциты имеют сильно вытянутую форму, все они располагаются на базальной мембране. Плотная неоформленная соединительная ткань вплотную подходит к эпидермису в виде полукольца вокруг плотного расположения макрофагов и фибробластов.
Рис. 2. Плотная неоформленная соединительная ткань в зоне травмы кожи, охватывающая участок разреза. Окраска гематоксилин-эозином. Микрофото. Ок. 10, об. 20.
Толстые коллагеновые волокна рубцовой ткани располагаются пучками, идущими в различных направлениях, и создают сложные переплетения воло кон, сопровождаемые фибробластами и фиброцитами, имеющими веретенооб разную или полигональную форму. Между эпидермисом и плотной неоформленной соединительной тканью, имеющей форму полукруга, располагается тяж клеток фибробластов, фиброцитов и макрофагов.
В дерме кожи вокруг рубцовой ткани определяются скопления лимфоидной ткани, они имеют разнообразную конфигурацию и размеры. В рубцовую ткань вдоль коллагеновых волокон прорастают кровеносные капилляры умеренного кровенаполнения.
В группе животных, у которых раны смазывали мазью с 5-ОМУ на гелевой основе, отмечается полное восстановление всех тканевых структур зон травмы. Однако все еще сохраняется некоторое неравномерное расположение базальных кератиноцитов, хорошо определяется эпидермоцитарный дифферон, к базальной мембране прилегает небольшое количество дифференцированных клеток рыхлой волокнистой соединительной ткани. Сосочковый слой дермы кожи характеризуется наличием нежных переплетающихся коллагеновых волокон и равномерным распределением фибробластических клеток веретеновидной или полигональной формы (рис. 3).
Рис. 3. Зона травмы кожи при лечении ОМУ. Равномерное распределение фибробластов и фиброцитов в сосочковом слое дермы кожи. Окраска гематоксилин-эозином. Микрофото. Ок. 10, об. 40.
Таким образом, при травмах кожи без лечения разрастается волокнистая соединительная ткань и формируются соединительные рубцы, изменяющие архитектонику эпидермиса и дермы кожи.
При применении 5-ОМУ на основе вазелиновой мази при травмах кожи также определяется образование рубцовой ткани, однако она выражена в меньшей степени, чем у контрольной группы. Тогда как при использовании с лечебной целью 5-ОМУ в гелевой форме регенераторные процессы протекают без деструктивных изменений эпидермиса и дермы кожи в результате повышения коллагенолитической активности фибробластов и макрофагов, а также лимфоцитов и тучных клеток. Все это способствует быстрому разрастанию кровеносных капилляров (ангиогенез) и образованию большого количества клеточных элементов рыхлой соединительной ткани.
Вывод
Таким образом, при применении мази с оксиметилурацилом, особенно на гелевой основе, биомеханические свойства рубца больше, чем в контрольной группе, приближаются к таковым здоровой кожи. Стимуляция заживления ран под влиянием оксиметилурацила подтверждена гистологическими и гистохимическими исследованиями.
About the authors
D. V. Plecheva
Bashkir State Medical University
Author for correspondence.
Email: galimovov@mail.ru
кандидат медицинских наук, доцент кафедры госпитальной хирургии
Russian Federation, 450008, Ufa, Lenin street, 3V. P. Okroyan
Bashkir State Medical University
Email: galimovov@mail.ru
кандидат медицинских наук, доцент кафедры хирургических болезней и новых технологий с курсом ИДПО
Russian Federation, 450008, Ufa, Lenin street, 3T. R. Ibragimov
Bashkir State Medical University
Email: galimovov@mail.ru
ассистент кафедры хирургических болезней и новых технологий с курсом ИДПО
Russian Federation, 450008, Ufa, Lenin street, 3O. V. Galimov
Bashkir State Medical University
Email: galimovov@mail.ru
доктор медицинских наук, профессор, заведующий кафедрой хирургических болезней и новых технологий с курсом ИДПО
Russian Federation, 450008, Ufa, Lenin street, 3V. O. Khanov
Bashkir State Medical University
Email: galimovov@mail.ru
доктор медицинских наук, доцент, профессор кафедры хирургических болезней и новых технологий с курсом ИДПО
Russian Federation, 450008, Ufa, Lenin street, 3References
- Алексеева Н.Т., Глухов А.А., Остроушко А.П. Роль клеток фибробластического дифферона в процессе заживления ран. Вестник экспериментальной и клинической хирургии 2012; 5(3): 601-608.
- Воронина Т.А. Отечественный препарат нового поколения «Мексидол»: основные эффекты, механизм действия, применение. М. 2004; 21.
- Галимов О.В., Гильманов А.Ж., Ханов В.О и др. Профилактика несостоятельности анастомозов полых органов желудочно-кишечного тракта. Хирургия 2008; 10: 27-29.
- Еникеев Д.А., Мышкин В.А., Савлуков А.И. и др. Протекторная активность мексидола и комплексного соединения оксиметилурацила с янтарной кислотой при острой нитритной интоксикации. Патогенез 2006; 3: 39-41.
- Исмагилова А.Ф., Белов А.Е., Зарудий Ф.С. Влияние некоторых производных пиримидина на репаративную регенерацию кожи лабораторных животных при стрессе. Экспериментальная и клиническая фармакология 2000; 63 (4): 68-69.
- Чернов В.Н., Мышкин В.А., Ибатуллина Р.Б. Влияние оксиметилурацила на перекисное окисление липидов и функционально-метаболические показатели печени при интоксикации старых крыс тетрахлорметаном. Патологическая физиология и экспериментальная терапия 2007; 4: 29-30.
- Abrigo M., McArthur S.L., Kingshott P. Electrospun nanofibers as dressings for chronic wound care: advances, challenges, and future prospects. Macromol Biosci 2014; 14: 772-792.
- Barrientos S., Brem H., Stojadinovic O., Tomic-Canic M. Clinical application of growth factors and cytokines in wound healing. Wound Repair Regen 2014; 22 (5): 569-578.
- Eming S.A., Martin P., Tomic-Canic M. Wound repair and regeneration: mechanisms, signaling, and translation. Sci Transl Med 2014; 6: 265-266.
- Sarkar A., Tatlidede S., Scherer S.S., Orgill D.P., Berthiaume F. Combination of stromal cell-derived factor-1 and collagen-glycosaminoglycan scaffold delays contraction and accelerates reepithelialization of dermal wounds in wild-type mice. Wound Repair Regen 2011; 19: 71-79.
Supplementary files






