Structural changes in prostate of reproductive age rats under immunosuppression
- Authors: Kaschenko S.A.1, Zakharov A.A.1
- 
							Affiliations: 
							- Lugansk State Medical University named after St. Luka
 
- Issue: Vol 35, No 3 (2018)
- Pages: 79-86
- Section: Articles
- Submitted: 01.08.2018
- Published: 15.12.2018
- URL: https://permmedjournal.ru/PMJ/article/view/9180
- DOI: https://doi.org/10.17816/pmj35379-86
- ID: 9180
Cite item
Full Text
Abstract
Aim. To establish the structural changes in the prostate of reproductive experimental animals in conditions of long immunosuppression.
Materials and methods. Sixty white rats of reproductive age were studied. The state of immunosuppression was modeled with intramuscular introduction of cyclophosphamide in the dose of 1.5 mg/kg of the body mass during 10 days. Linear sizes and volume of the organ were determined. At the microscopic level, height and width of epithelial cells, their volume as well as large and small diameters and cell nuclei volumes were determined.
Results. In response to long immunosuppressive impact, organometric indices of the prostate both in the early (on days 7, 15) and late (on day 30) observation periods decreased owing to indirect cytotoxic impact of cyclophosphamide on the glandular and stromal components of the organ.
Conclusions. The decreased values of linear-volumetric micromorphometric indices within the same observation periods confirm the dynamics of organometric parameters of the gland and prove intensive response of the organ at micro-and-submicroscopic level.
Keywords
Full Text
Введение
Последние десятилетия характеризуются растущим экзогенным воздействием на иммунную систему населения, что связано с увеличением загрязнения окружающей среды экологически вредными факторами, к которым относят отходы и выбросы крупных предприятий металлургической, химической, коксохимической и горно-угольной промышленности, что особенно актуально для региона Донбасса [2]. В связи с этим в современных условиях возрастает значимость научных исследований в области экологической иммуноморфологии, что связано с патогенным влиянием неблагоприятных факторов окружающей среды на здоровье населения [9]. Важное место в структуре заболеваемости занимают нарушения половых органов у мужчин зрелого возраста, в частности дисфункции предстательной железы [6]. Разнообразие их клинических проявлений (острый и хронический простатит, аденома простаты, злокачественное перерождение), а также частые неудачные результаты лечения нередко являются причинами мужского бесплодия, негативно отражающегося на семейных отношениях. Многообразие и тяжесть клинических симптомов заболеваний предстательной железы требуют глубоких знаний о строении и функциях органов при воздействии неблагоприятных факторов. Многочисленные фундаментальные разработки, посвященные проблеме комплексного влияния экзогенных и эндогенных воздействий на организм человека, доказали их угнетающий эффект на регуляторные системы организма. В то же время реакция такого чувствительного к нарушениям гомеостаза органа, как предстательная железа, на морфологическом уровне, особенно при угнетении функционирования иммунной системы, остается практически без внимания исследователей.
Цель исследования – установить изменения строения предстательной железы экспериментальных животных репродуктивного возраста в условиях длительной иммуносупрессии.
Материалы и методы исследования
Исследование выполнено на 60 белых крысах репродуктивного возраста, полученных из вивария лабораторных животных ГУ ЛНР «Луганский государственный медицинский университет им. Святителя Луки». Состояние иммуносупрессии моделировали путем применения циклофосфамида в дозировке 1,5 мг/кг массы тела внутримышечно в течение 10 суток. Животные, получавшие эквивалентные объемы 0,9%-ного раствора натрия хлорида по той же схеме, входили в контрольную группу. Крыс выводили из эксперимента путем декапитации под эфирным наркозом через 1-е, 7-е, 15-е, 30-е и 60-е сутки после прекращения применения препарата. При работе с животными руководствовались Директивой 2010/63/EU Европейского парламента и Совета Европейского союза по охране животных, используемых в научных целях [1]. Орган взвешивали на торсионных весах, вычисляли относительную массу, определяли линейные размеры с помощью штангенциркуля: длину, ширину и толщину. Объем органа устанавливали методом вытеснения воды в градуированном цилиндре, содержащем дистиллированную воду [3].
Предстательная железа крыс состоит из 4 парных долей: передних, латеральных, вентральных и дорсальных. Передние доли отличаются по строению от других, поэтому их рассматривают как самостоятельные образования [5]. Дорсальные и латеральные доли предстательной железы крыс не имеют принципиальных отличий структурной организации, поэтому их часто объединяют термином «дорсолатеральная доля простаты», в ней чаще возникают патологические изменения, что делает ее важным объектом исследований, результаты которых могут быть экстраполированы на человека [7].
Органы подвергались стандартной гистологической проводке, полученные срезы толщиной 5–6 мкм окрашивались гематоксилин-эозином и фотодокументировались с помощью автоматизированного морфометрического комплекса Olympus CX-41. Микроморфометрические измерения объектов проводили путем загрузки полученных цифровых изображений в компьютерную программу АСКОН «Компас-3D 17.0» с калибровкой с помощью фотографий объект-микрометра в аналогичных режимах съемки. На микроскопическом уровне в органах исследовали высоту и ширину эпителиоцитов, их объем, а также больший и меньший диаметры и объем ядер клеток. Объемные показатели рассчитывали по формуле объема вытянутого эллипсоида вращения
,
где V – объём ядра, A – больший диаметр, B – меньший диаметр [4].
Полученные данные обрабатывали с использованием лицензионной программы StatSoft Statistica v6.0. Применялись методы параметрической статистики, так как использование критерия Шапиро – Уилка позволило установить нормальное распределение показателей в выборке. Достоверность различий между показателями экспериментальных и контрольных групп определяли с помощью критерия Стьюдента – Фишера с вероятностью ошибки р < 0,05, допустимой для медико-биологических исследований.
Результаты и их обсуждение
Секреторная часть предстательной железы крыс репродуктивного периода имеет разветвленную альвеолярно-трубчатую структуру. Строму органа представляет фиброзно-мышечный каркас. Концевые отделы органа имеют округлую или вытянутую форму, часто образуют складки, их просвет содержит ацидофильный секрет. Концевые отделы железы выстланы однослойным призматическим эпителием, включающим секреторные и базальные клетки. Ядра эпителиоцитов имеют преимущественно овальную форму и располагаются эксцентрично (рис. 1).
Органометрические параметры предстательной железы животных репродуктивного возраста контрольной группы претерпевали закономерные изменения: абсолютная и относительная массы, линейные и объемные показатели органа увеличивались соответственно срокам наблюдения (табл. 1).
Рис. 1. Участок предстательной железы животных репродуктивного возраста на 15-е сутки наблюдения: а – после применения циклофосфамида; б – в контроле; 1 – эпителий желез; 2 – соединительная ткань. Окраска гематоксилин-эозином. Увеличение: приближение – zoom 18,5; объектив – PlanCN 10x/0,25 ∞/-/FN22
Таблица 1. Динамика органометрических показателей предстательной железы крыс репродуктивного периода контрольных групп (M ± m, n = 30)
| Параметр | Сроки наблюдения, сутки | ||||
| 1-е | 7-е | 15-е | 30-е | 60-е | |
| Абсолютная масса, мг | 637,70 ± 34,27 | 647,56 ± 21,36 | 674,58 ± 28,64 | 705,00 ± 26,14 | 842,15 ± 41,89 | 
| Относительная масса, мг/г | 3,07 ± 0,12 | 2,97 ± 0,13 | 2,83 ± 0,04 | 3,13 ± 0,14 | 3,64 ± 0,16 | 
| Длина, мм | 44,43 ± 2,51 | 44,65 ± 1,58 | 44,83 ± 1,23 | 46,60 ± 0,87 | 49,58 ± 1,32 | 
| Ширина, мм | 12,73 ± 0,67 | 13,02 ± 0,15 | 13,37 ± 0,22 | 13,79 ± 0,19 | 14,53 ± 0,24 | 
| Толщина, мм | 6,80 ± 0,32 | 6,85 ± 0,12 | 7,10 ± 0,15 | 7,60 ± 0,14 | 9,31 ± 0,10 | 
| Объем, мм3 | 2013,72 ± 290,68 | 2085,01 ± 78,94 | 2227,90 ± 74,32 | 2557,11 ± 207,25 | 3507,73 ± 149,58 | 
Рис. 2. Изменения длины (а), ширины (б), толщины (в) и объема (г) предстательной железы после применения циклофосфамида и в контроле; * – достоверное отличие от контрольных данных (p < 0,05)
После применения циклофосфамида общий план строения предстательной железы не изменился, однако были установлены изменения органометрических показателей органа. Так, статистически значимое уменьшение абсолютной массы было выявлено на 7-е, 15-е и 30-е сутки наблюдения – на 12,34; 10,07 и 12,53 % соответственно. Снижение относительной массы составило 17,21; 15,63 и 17,49 % в те же сроки. В наиболее ранний и поздний сроки наблюдения достоверных отличий от контрольных данных выявлено не было.
Линейные и объемные параметры органа при иммуносупрессии претерпевали схожие изменения. Так, статистически достоверные отклонения были установлены на 7-е, 15-е и 30-е сутки после окончания введения препарата (рис. 2).
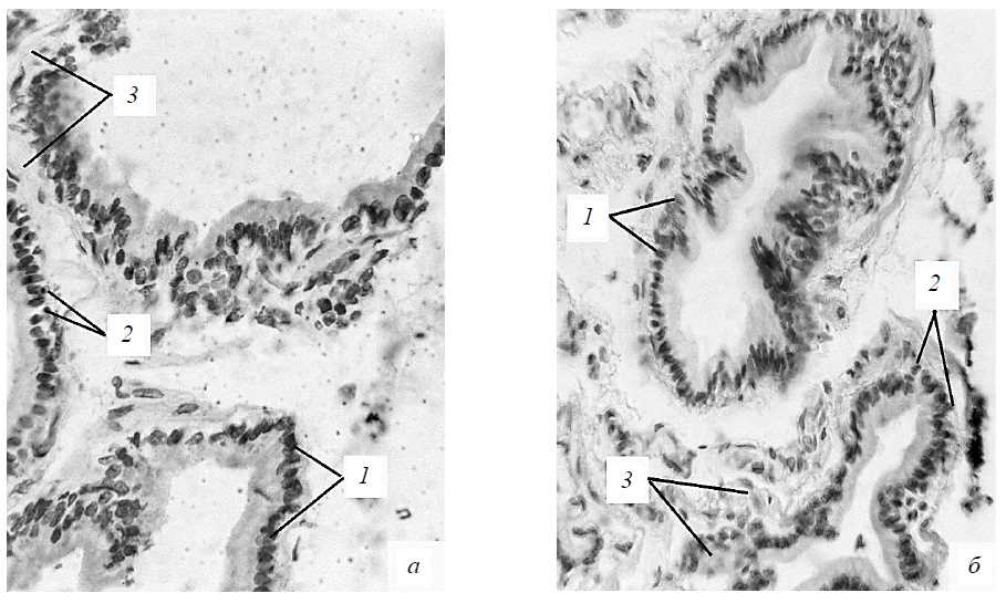
На микроскопическом уровне были обнаружены изменения морфометрических показателей эпителиоцитов секреторных отделов предстательной железы (рис. 3).
Так, статистически значимое снижение линейно-объемных показателей было отмечено на 7-е, 15-е и 30-е сутки наблюдения. Уменьшение высоты и ширины эпителиоцитов составляло 3,49; 6,08; 7,93 и 6,52; 9,27; 6,54 % соответственно. Объем клеток изменялся синхронно и однонаправленно – на 12,90; 19,91 и 20,68 % соответственно срокам наблюдения. Линейные размеры ядра также подвергались схожей динамике: больший диаметр уменьшался на 4,91; 7,08 и 6,57 %, а показатель меньшего снижался на 2,93; 4,70 и 7,36 % на 7-е, 15-е и 30-е сутки после окончания введения циклофосфамида. Показатели объема ядра сокращались в те же сроки на 10,38; 15,62 и 19,65 %. На 1-е и 60-е сутки наблюдения статистически значимых отличий от контрольных данных установлено не было.
Рис. 3. Участок предстательной железы неполовозрелых крыс на 15-е сутки наблюдения: а – после применения циклофосфамида; б – в контроле; 1 – ядра секреторных эпителиоцитов; 2 – базальные клетки; 3 – соединительная ткань. Окраска гематоксилин-эозином. Увеличение: приближение – zoom 18,5; объектив – Plan CN40x/0.65 ∞/0.17/FN22
Полученные морфометрические данные свидетельствуют о том, что длительная «мягкая» иммуносупрессия приводит к нарушению морфогенеза и функционирования предстательной железы. Вызванное применением циклофосфамида снижение макроморфометрических показателей органа может объясняться прямым цитостатическим действием препарата на активно пролиферирующие клетки как железистого аппарата, так и стромального компонента органа. Так, применение многокомпонентной иммуносупрессивной терапии M. Grabowska et al. (2016) в эксперименте на крысах приводило к снижению пролиферативной активности эпителиоцитов секреторных отделов предстательной железы наряду с нарушениями их ультраструктурной организации [8]. Развитие микроморфометрических изменений может быть вызвано непосредственным воздействием иммуносупрессора на транскрипционный и биосинтетический аппарат эпителиоцитов. Так, M. Jivrajani et al. доказали в исследованиях на мышах прямой цитотоксический эффект высокой дозы циклофосфамида в комбинации с другими иммуносупрессорами на уровень митотических и метаболических процессов опухолевых клеток предстательной железы [10]. S.A. Kashchenko et al. (2012) доказали эффект воздействия высоких доз иммуносупрессора на активность гонадотропных клеток аденогипофиза, что также может объяснить нарушения морфогенеза предстательной железы путем его гормональной дисрегуляции [11]. Особенностью полученных результатов является отсутствие статистически значимых отличий между данными экспериментальных и контрольных групп животных на 1-е и 60-е сутки наблюдения, что может быть обусловлено кумуляцией цитотоксического действия на ранних сроках наблюдения и развитием реадаптационных процессов на поздних.
Выводы
- Предстательная железа крыс репродуктивного возрастного периода активно реагирует на иммуносупрессивное воздействие.
- В ответ на длительное иммуносупрессивное воздействие происходит уменьшение органометрических показателей предстательной железы как на ранних (7-е, 15-е сутки), так и поздних сроках (30-е сутки) наблюдения вследствие непосредственного цитотоксического воздействия циклофосфамида на железисто-стромальные компоненты органа.
- Снижение значений линейно-объем ных микроморфометрических показателей в те же сроки наблюдения подтверждает динамику органометрических параметров железы и свидетельствует об интенсивной реакции органа на микро- и субмикроскопическом уровне.
- Полученные результаты вызывают интерес к дальнейшему изучению морфогенеза предстательной железы экспериментальных животных периода выраженных старческих изменений.
About the authors
S. A. Kaschenko
Lugansk State Medical University named after St. Luka
							Author for correspondence.
							Email: masterhist@mail.ru
				                					                																			                								
доктор медицинских наук, профессор, заведующий кафедрой гистологии, цитологии и эмбриологии
Ukraine, 1g, 50-letiya Oborony Luganska apt., Luhansk People's Republic, Lugansk, 91045A. A. Zakharov
Lugansk State Medical University named after St. Luka
														Email: masterhist@mail.ru
				                					                																			                								
кандидат медицинских наук, доцент кафедры гистологии, цитологии и эмбриологии
Ukraine, 1g, 50-letiya Oborony Luganska apt., Luhansk People's Republic, Lugansk, 91045References
- Директива Европейского парламента и Совета Европейского союза по охране животных, используемых в научных целях от 2010 г. № 2010/63/EU / НП «Объединение специалистов по работе с лабораторными животными». СПб. 2012; 48.
- Кащенко С.А., Гончарова М.В. Ультрамикроскопические изменения щитовидной железы крыс после иммуносупрессии. Морфологія 2013; 3: 49-53.
- Кирьянов Б.Ф., Токмачев М.С. Математические модели в здравоохранении. В. Новгород: Новгородск. гос. ун-т им. Ярослава Мудрого 2009; 279.
- Киселев В.В., Федченко С.Н. Возрастные особенности биометрических характеристик надпочечников белых крыс под действием ксеногенной спинномозговой жидкости. Український морфологічний альманах 2012; 4: 48-50.
- Саяпина И.Ю., Целуйко С.С. Долевая специфика ультраструктурной организации простаты крыс в норме и при остром холодовом стрессе. Дальневосточный медицинский журнал 2012; 2: 108-112.
- Тишевская Н.В., Максаков Д.А., Головнева Е.С. Морфологические особенности сульпиридной модели доброкачественной гиперплазии предстательной железы у крыс. Экспериментальная и клиническая урология 2017; 2: 16-19.
- Шерстюк О.А. Роль анатомических знаний в диагностике и лечении заболеваний простаты. Вiсник проблем бiологii i медицини 2013; 3: 56-61.
- Grabowska M., Kędzierska K., Michałek K. Effects of an immunosuppressive treatment on the rat prostate. Drug Design, Development and Therapy 2016; 10: 2899-2915.
- Hamid Reza Moradi, Naeem Erfani Majd, Saleh Esmaeilzadeh, Sayed Reza Fatemi Tabatabaei. The histological and histometrical effects of Urtica dioica extract on rat’s prostate hyperplasia. Vet Res Forum 2015; 6 (1): 23-29.
- Jivrajani M., Vaseem Shaikh M., Shrivastava N., Nivsarkar M. An improved and versatile immunosuppression protocol for the development of tumor xenograft in mice. Anticancer Research 2014; 34: 7177-7184.
- Nagorniy M.A., Kashchenko S.A. The morphostructure of lymphoid organs and hypophysis of experimental animals after immunotropic influences. Український медичний альманах 2012; 1, додаток: 53-54.
Supplementary files
 
				
			 
					 
						 
									
 
  
  
  Email this article
			Email this article 





