Potential of high-tech microneurosurgery in the treatment of pineal tumors
- Authors: Airapetov K.G.1, Glazkov A.A.1, Al-Khammadi A.H.1, Mahno Y.E.1, Moshenkova N.A.1
-
Affiliations:
- Federal Medical and Biological Agency of Russia (FMBA), Southern District Center of Medicine, Rostov Clinical Hospital
- Issue: Vol 9, No 3 (2018)
- Pages: 66-69
- Section: Original Study Articles
- Submitted: 10.12.2018
- Accepted: 10.12.2018
- Published: 10.12.2018
- URL: https://clinpractice.ru/clinpractice/article/view/10687
- DOI: https://doi.org/10.17816/clinpract09366-69
- ID: 10687
Cite item
Full Text
Abstract
A combination of modern methods of high-tech microneurosurgery, neuroanesthesia and neuroreanimation allows a successful realization of the program for the surgical treatment of pineal tumors. Such operations belong to the highest difficulty category and carry a high surgical risk.
Full Text
Хирургическое лечение опухолей шишковидной железы (ОШЖ) – один из сложных разделов нейрохирургии, так как глубинное расположение новообразований эпифиза, вовлечение диэнцефальных и стволовых структур, черепно-мозговых нервов и сосудов охватывающей цистерны, нередкое распространение опухоли в III желудочек обусловливают исходно высокий хирургический риск развития серьезных интра- и послеоперационных осложнений и соответственно большой процент первичных отказов в операциях со стороны специалистов-нейрохирургов [1–4; 8].
Нейрохирургическое отделение Ростовской клинической больницы Южного окружного медицинского центра ФМБА России является единственным на юге России, где выполняются успешные операции микрохирургического удаления опухолей эпифиза. Это стало возможным за счет внедрения и прогрессивного развития концепции функционально щадящей микронейрохирургии. За весь период работы отделения нейрохирургии РКБ микронейрохирургические операции при опухолях пинеальной области выполнены всего 6 больным. Всем им было отказано в оперативном вмешательстве в других медучреждениях юга России в связи с исходно высоким хирургическим риском.
Все указанные операции были выполнены в положении пациентов сидя на операционном столе с использованием мини-доступов, операционного микроскопа, микрохирургического инструментария, интраоперационной нейронавигации, минимальной тракции мозжечка, современной нейроанестезии (интраоперационная профилактика воздушной эмболии, адекватная мягкая релаксация мозга, поддержание оптимальных параметров гемодинамики, внутричерепного давления и перфузии мозга). В плане послеоперационной нейрореанимационной поддержки мы придерживались современных требований, таких как раннее пробуждение больных, ранняя экстубация, раннее начало энтерального и самостоятельного питания, непрерывное применение нейропротекторов – блокаторов эксайтотоксичности в течение 1-х суток, ранняя активизация больных [5–8]. Все без исключения операции по удалению ОШЖ выполнены больным по линии высокотехнологичной медицинской помощи (ВМП).
Приводим собственные клинические наблюдения, отражающие возможности современной микронейрохирургии в лечении такой сложной категории пациентов.
Больная О., 28 лет. Диагноз клинический: новообразование пинеальной области (пинеоцитома эпифиза, grade I) с распространением на задние отделы III желудочка, компрессией и дислокацией четверохолмной пластинки. Диплопия влево. Легкий центральный парез лицевого нерва справа. Правосторонняя пирамидная недостаточность. Стойкий выраженный общемозговой и вестибулоатаксический синдромы.
Из анамнеза: считает себя больной в течение 1 года, когда после перенесенного ОРВИ впервые стали беспокоить и прогрессировать следующие жалобы: стойкие головные боли, головокружения, шаткость при ходьбе, снижение зрения, ощущение мушек перед глазами, периодическая тошнота, быстрая утомляемость, нарушения памяти, внимания, повышение температуры тела до 37,4 °С. По направлению местного невролога выполнила МРТ головного мозга, которая выявила признаки ОШЖ. Никакого специального онкологического лечения до операции (лучевая, химиотерапия) больная не получала.
Данные МРТ больной до операции: в пинеальной области по средней линии визуализируется солидное объемное новообразование эпифиза с распространением на задние отделы III желудочка с дислокацией четверохолмия (рис. 1).
Рис. 1. МРТ головного мозга с внутривенным контрастированием у больной с опухолью эпифиза
В нейрохирургическом отделении РКБ ФГБУЗ ЮОМЦ ФМБА РФ больной по линии ВМП было выполнено оперативное вмешательство: костнопластическая верхнесрединная субокципитальная краниотомия, срединный инфратенториальный супрацеребеллярный доступ, микрохирургическое тотальное удаление опухоли пинеальной области (опухоли эпифиза) с распространением на задние отделы III желудочка (операция проводилась с применением нейронавигационной системы).
Непосредственный результат лечения: без нарастания каких-либо неврологических симптомов, полный регресс диплопии; рана зажила первичным натяжением, выписана на 12-е сутки после операции в удовлетворительном состоянии.
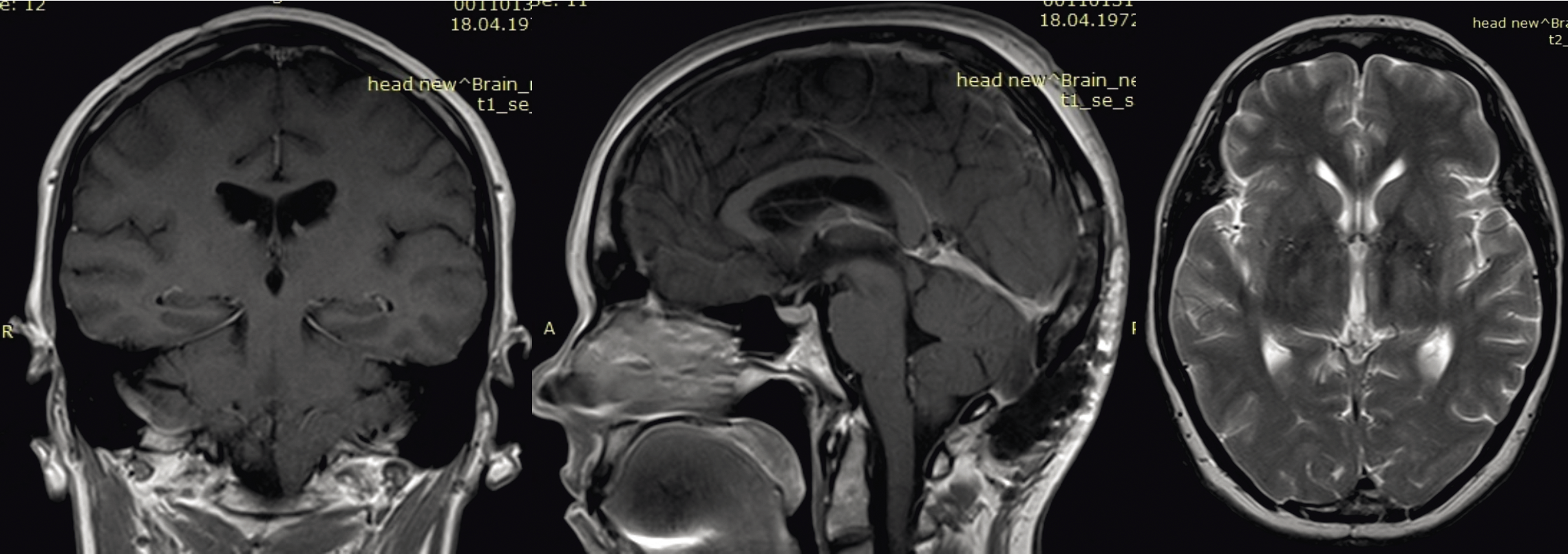
Приводим данные контрольного МРТ-исследования больной спустя 6 месяцев после операции и курса локальной лучевой терапии (нет признаков рецидива опухоли в зоне удаления, ликворопроводящие пути свободные) (рис. 2).
Рис. 2. МРТ головного мозга спустя 6 месяцев после операции и комплексного онкологического лечения
Отдаленный результат лечения: полное неврологическое восстановление.
Больная Ф., 45 лет. Диагноз клинический: крупное кистозно-солидное новообразование эпифиза (пинеоцитома эпифиза, grade I) с распространением на стенки III желудочка, водопровод мозга и четверохолмие, компрессией и дислокацией водопровода мозга и четверохолмной пластинки; субкомпенсированная окклюзионная гидроцефалия; стойкий выраженный общемозговой и вестибулоатаксический синдромы.
Из анамнеза заболевания: считает себя больной в течение 1 года, когда впервые отметила появление регулярных головных болей, головокружения, позже присоединились расстройства зрения. По данным впервые выполненного МРТ-исследования головного мозга обнаружена киста шишковидной железы с объемным воздействием на четверохолмную пластинку и водопровод мозга, в результате чего больная была первично консультирована нейрохирургом. Предложена операция удаления кистозного образования эпифиза, от чего больная категорически отказывалась. Повторно больная обратилась через 6 месяцев с явным клиническим ухудшением (присоединились тошнота, рвота, атаксия) и результатом повторного МРТ, где опухоль уже сочеталась с выраженной окклюзионной гидроцефалией, чего ранее не наблюдалось.
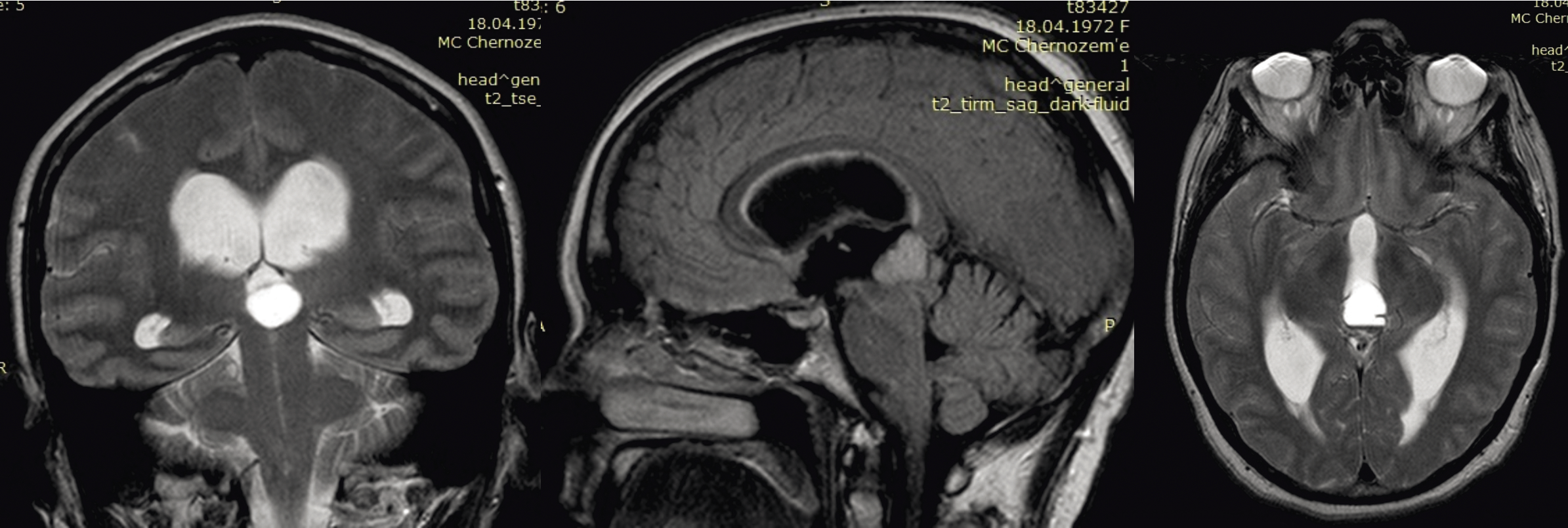
Данные МРТ-исследования больной до операции: в пинеальной области по средней линии визуализируется крупное солидно-кистозное объемное новообразование эпифиза с распространением на III желудочек с дислокацией четверохолмия с блоком ликворопроводящих путей, развитием окклюзионной тривентрикуломегалии (рис. 3).
Рис. 3. МРТ головного мозга с внутривенным контрастированием до операции удаления опухоли эпифиза
В нейрохирургическом отделении РКБ ФГБУЗ ЮОМЦ ФМБА РФ больной по линии ВМП было выполнено оперативное вмешательство: костнопластическая верхнесрединная субокципитальная краниотомия, срединный инфратенториальный супрацеребеллярный доступ, микрохирургическое тотальное удаление крупной кистозно-солидной опухоли эпифиза с распространением на четверохолмную пластинку и задние отделы III желудочка, комбинированная пластика твердой мозговой оболочки задней черепной ямки (операция проводилась с применением нейронавигационной системы).
Непосредственный результат лечения: тяжелое течение послеоперационного периода с развитием прогрессирующей окклюзии ликворопроводящих путей по причине отека четверохолмия и водопровода мозга, с нарастанием общемозгового синдрома, диплопии, что потребовало установки наружного разгрузочного вентрикулярного дренажа справа. Продленное вентрикулярное дренирование в течение 7 дней с последующим перекрытием дренажа, тренировкой, спиральная компьютерная томография, отлучение от дренажа на 9-е сутки со значительным улучшением, регрессом диплопии и выраженной цефалгии; активизирована, рана зажила первичным натяжением, выписана на 16-е сутки после операции в удовлетворительном стабильном состоянии.
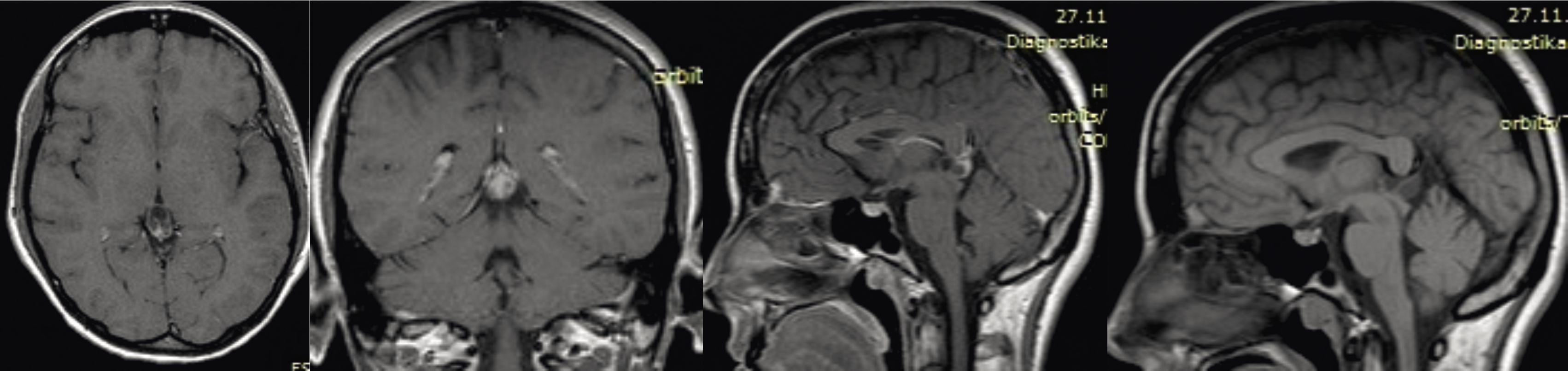
Приводим данные контрольного МРТ-исследования больной спустя 6 месяцев после операции и курса локальной лучевой терапии (нет признаков рецидива опухоли в зоне удаления, ликворопроводящие пути свободные) (рис. 4).
Рис. 4. МРТ головного мозга с внутривенным контрастированием после операции удаления опухоли эпифиза и курса лучевой терапии
ЗАКЛЮЧЕНИЕ
Таким образом, несмотря на высокий хирургический риск при удалении ОШЖ, сочетание методов современной микронейрохирургии и адекватной нейроанестезии и нейрореанимации позволяет успешно выполнять адекватное микрохирургическое удаление данных новообразований, что отражается в сохранении жизни больных, увеличении ее продолжительности и улучшении ее качества.
Отдаленный результат лечения: полное неврологическое восстановление (рис. 5).
Рис. 5. Внешний вид больной через 6 месяцев после операции и курса локальной лучевой терапии
About the authors
K. G. Airapetov
Federal Medical and Biological Agency of Russia (FMBA), Southern District Center of Medicine, Rostov Clinical Hospital
Author for correspondence.
Email: karen-neuro@yandex.ru
д.м.н., нейрохирург высшей категории, руководитель Центра нейрохирургии и неврологии, заведующий нейрохирургическим отделением Ростовской клинической больницы Южного окружного медицинского центра ФМБА России
Russian Federation, Rostov-on-DonA. A. Glazkov
Federal Medical and Biological Agency of Russia (FMBA), Southern District Center of Medicine, Rostov Clinical Hospital
Email: aga.rnd@yandex.ru
врач-нейрохирург нейрохирургического отделения Центра нейрохирургии и неврологии Ростовской клинической больницы Южного окружного медицинского центра ФМБА России
Russian Federation, Rostov-on-DonA. H. Al-Khammadi
Federal Medical and Biological Agency of Russia (FMBA), Southern District Center of Medicine, Rostov Clinical Hospital
Email: adel-rus2004@mail.ru
врач-нейрохирург нейрохирургического отделения Центра нейрохирургии и неврологии Ростовской клинической больницы Южного окружного медицинского центра ФМБА России
Russian Federation, Rostov-on-DonYu. E. Mahno
Federal Medical and Biological Agency of Russia (FMBA), Southern District Center of Medicine, Rostov Clinical Hospital
Email: juliashama@rambler.ru
врач анестезиолог-реаниматолог высшей квалификационной категории, заведующая отделением анестезиологии и реанимации Ростовской клинической больницы Южного окружного медицинского центра ФМБА России
Russian Federation, Rostov-on-DonN. A. Moshenkova
Federal Medical and Biological Agency of Russia (FMBA), Southern District Center of Medicine, Rostov Clinical Hospital
Email: juliashama@rambler.ru
врач анестезиолог-реаниматолог высшей квалификационной категории, врач анестезиолог-реаниматолог отделения анестезиологии и реанимации Ростовской клинической больницы Южного окружного медицинского центра ФМБА России
Russian Federation, Rostov-on-DonReferences
- Коновалов А.Н., Пицхелаури Д.И. Лечение опухолей пинеальной области. М., 2004.
- Yazargil M.G. Microneurosurgery of CNS tumors. Stuttgart; New York, 1996.
- Kulwin Ch., Matsushima K., Malekpour M., Cohen-Gadol A. Lateral supracerebellar infratentorial approach for microsurgical resection of large midline pineal region tumors: Techniques to expand the operative corridor // Journal of Neurosurgery. 2016. Vol. 124. No. 1. P. 269–276.
- Yamamoto I., Kageyama N. Microsurgical anatomy of the pineal region // Journal of Neurosurgery. 1980. Vol. 53. No. 2. P. 205–221.
- Старченко А.А. Клиническая нейрореаниматология: Справочное руководство. СПб., 2002.
- Крылов В.В. Лекции по нейрореанимации. М., 2009.
- Царенко С.В. Нейрореаниматология. М., 2005.
- Лехечка М., Лааксо А., Кивилев Ю., Хернесниеми Ю. Микронейрохирургия. Хельсинки; СПб., 2012.
Supplementary files








