A method for the treatment of patients with massive tears of the rotator cuff: a clinical case
- Authors: Menshova D.V.1, Kuklin I.A.1, Ponomarenko N.S.1, Tishkov N.V.1, Puseva M.E.1, Pichugina U.V.1
-
Affiliations:
- Irkutsk Scientific Center of Surgery and Traumatology
- Issue: Vol 13, No 3 (2022)
- Pages: 89-94
- Section: Case reports
- Submitted: 24.05.2022
- Accepted: 30.08.2022
- Published: 26.10.2022
- URL: https://clinpractice.ru/clinpractice/article/view/108163
- DOI: https://doi.org/10.17816/clinpract108163
- ID: 108163
Cite item
Full Text
Abstract
Background: Rotator cuff tears are the most common cause of shoulder pain and dysfunction in older patients. Tears with the retraction greater than 5 cm or with the involvement of two and more tendons are considered massive. According to the literature, the incidence of massive injuries of the rotator cuff ranges from 10 to 40%. The formation of massive injuries is a long process leading to a pronounced pain syndrome, loss of function and, as a result, to pseudo-paralysis of the affected limb. There is no consensus concerning the treatment of this category of patients. Conservative methods of treatment are applicable for patients with a low activity. Among the surgical methods of treatment, the preference is given to the proximal capsule reconstruction, subacromial balloon arthroplasty, reverse arthroplasty and muscle-tendon transfers. However, today there is no single tactic for the surgical treatment of patients with massive rotator cuff tears. Clinical case description: We propose a new surgical method for this shoulder joint pathology — arthroscopically associated transposition of the tendon of the latissimus dorsi muscle using an autograft of the long peroneal muscle tendon. As an illustration of the new method, we present a successful clinical case of the treatment of a patient with a chronic massive rotator cuff injury of the right shoulder and secondary upper subluxation of the right humerus head. Conclusion: This method allows increasing the efficiency of the treatment of a massive tear of the rotator cuff tendons, restoring the correct biomechanics of the shoulder joint, reducing the pain and restoring the function of the affected limb.
Full Text
ОБОСНОВАНИЕ
Разрывы вращательной манжеты плеча являются одной из причин боли и нарушения функции плечевого сустава. Среди пациентов в возрасте от 40 до 60 лет частота встречаемости данной патологии составляет 24% и достигает у людей старше 60 лет 54%. Разрывы вращательной манжеты с ретракцией сухожилий более 5 см или вовлечение двух или более сухожилий являются массивными повреждениями. Такие повреждения составляют до 10–40% [1].
Формирование массивного полнослойного разрыва часто является длительным процессом, приводящим к нарушению биомеханики плечевого сустава, а именно к вторичному верхнему подвывиху головки плечевой кости. В 20% случаев данная патология приводит к псевдопараличу верхней конечности [2].
На сегодняшний день нет единой тактики хирургического лечения пациентов с массивными разрывами вращательной манжеты плеча.
Мы предлагаем новый хирургический способ решения данной патологии плечевого сустава — артроскопически ассоциированную транспозицию сухожилия широчайшей мышцы спины с использованием аутотрансплантата сухожилия длинной малоберцовой мышцы [3].
В качестве описания нового способа представляем клинический пример.
КЛИНИЧЕСКИЙ ПРИМЕР
О пациенте
В 2021 г. в клинику ФГБНУ «Иркутский научный центр хирургии и травматологии» (ИНЦХТ) обратился пациент А. в возрасте 55 лет с жалобами на боль в области правого плечевого сустава (9 баллов по визуальной аналоговой шкале, ВАШ), ограничение активных движений в правом плечевом суставе.
Из анамнеза заболевания. Со слов пациента, травма получена в 2018 г. (поскользнулся и упал на правую руку). Лечился консервативно: физиотерапия, нестероидные противовоспалительные препараты. В 2021 г. в результате повторной травмы (падение на правую руку) боли усилились, появилось выраженное ограничение движений в правой верхней конечности. Пациенту выставлен диагноз: «Застарелое массивное повреждение сухожилий вращательной манжеты правого плечевого сустава. Проксимальный подвывих головки правой плечевой кости. Комбинированная контрактура правого плечевого сустава. Болевой синдром». Госпитализирован в травматолого-ортопедическое отделение клиники ИНЦХТ.
При поступлении в стационар: пациент активен, правая верхняя конечность без иммобилизации. Отмечаются гипотрофия мягких тканей в области правого плечевого сустава; умеренная болезненность при пальпации в проекции большого бугорка плечевой кости; положительные симптомы Jobe (проба «пустой банки»), теста падающей руки; положительный симптом болезненной дуги справа. Объем движений в правом плечевом суставе: отведение 60°, сгибание 60°, наружная ротация 35° (рис. 1). Нейрососудистых расстройств конечности не определяется. Функциональный результат по шкале субъективного ощущения одиночества Калифорнийского университета в Лос-Анджелесе (University of California, Los Angeles, UCLA) 8 баллов.
Рис. 1. Функциональный результат до операции.
Fig. 1. Functional result before the surgery.
Инструментальная и лабораторная диагностика
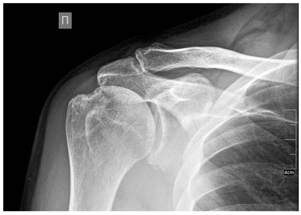
По данным рентгенографии правого плечевого сустава: остеоартроз правого плечевого сустава, ключично-акромиального сустава II степени (рис. 2). Остеопороз.
Рис. 2. Рентгенография правого плечевого сустава.
Fig. 2. X-ray of the right shoulder joint.
По данным магнитно-резонансной томографии (МРТ) правого плечевого сустава: заострение суставных поверхностей акромиально-ключичного и плечелопаточного сочленений, неравномерное истончение суставного хряща, суставных щелей. Имеются признаки переднего подвывиха головки плечевой кости. Расстояние между акромионом и головкой плечевой кости до 0,7 см. Сухожилия надостной и подостной мышц разволокнены, имеют неоднородную структуру. МРТ-картина разрыва сухожилий надостной и подостной мышц, признаки подвывиха головки плечевой кости. Деформирующий артроз плечевого сустава (рис. 3).
Рис. 3. Магнитно-резонансная томография правого плечевого сустава: а — подвывих головки правой плечевой кости (стрелка); б — ретракция сухожилия надостной мышцы (стрелка), III стадия по Patte; в — дефект сухожилий надостной и подостной мышц (стрелки).
Fig. 3. Magnetic resonance imaging of the right shoulder joint: а — subluxation of the head of the right humerus (arrow); б — retraction of the tendon of the supraspinatus muscle (arrow), stage III according to Patte; в — defect of the tendons of the supraspinatus and subacute muscles (arrows).
Клинический диагноз
Застарелое массивное повреждение сухожилий вращательной манжеты плеча справа (III стадия по Patte). Вторичный верхний подвывих головки правой плечевой кости. Остеоартроз правого плечевого сустава, ключично-акромиального сустава II ст. Комбинированная контрактура правого плечевого сустава. Регионарный остеопороз. Болевой синдром. Код по МКБ-10 (Международная классификация болезней Десятого пересмотра) S46.0.
Оперативное лечение
Учитывая массивное повреждение сухожилий вращательной манжеты плеча, ретракцию сухожилий надостной и подостной мышц (III стадия по Patte), принято решение об оперативном лечении пациента — артроскопически ассоциированной транспозиции сухожилия широчайшей мышцы спины с использованием аутотрансплантата длинной малоберцовой мышцы на большой бугорок правой плечевой кости.
Описание операции. В асептических условиях, под наркозом, в положении пациента на боку выполнен первый этап — диагностическая артроскопия. Через стандартные артроскопические порты осуществлен доступ к правому плечевому суставу. Выявлены равномерная хондромаляция суставного отростка лопатки II степени по Outerbridge; тотальный разрыв сухожилия надостной мышцы III степени по Patte без возможности адаптировать на инсерционную площадку головки плечевой кости; верхний подвывих, субакромиальный импиджмент-синдром головки правой плечевой кости.
Второй этап — доступ к сухожилию широчайшей мышцы спины: из отдельного доступа линейной формы по заднеподмышечной линии длиной 5 см осуществлен доступ к сухожилию широчайшей мышцы спины, которое затем было отсечено, не доходя 4 см до точки его фиксации к плечевой кости.
Третий этап — отсечение 1/2 сухожилия длинной малоберцовой мышцы: в нижней трети голени линейным разрезом 2,0 см осуществлен доступ к сухожилию длинной малоберцовой мышцы, проведен забор 1/2 ширины сухожилия малоберцовой мышцы, линейная рана ушита послойно.
Четвертый этап — удлинение сухожилия широчайшей мышцы спины: сухожилие широчайшей мышцы спины удлиняется трансплантатом сухожилия длинной малоберцовой мышцы, сложенным вдвое; обе части трансплантата прошиваются колосовидным швом нитью полиэстер № 6 (рис. 4).
Рис. 4. Удлинение сухожилия широчайшей мышцы спины аутотрасплантатом.
Fig. 4. Lengthening of the tendon of latissimus dorsi muscle with autograft.
Пятый этап — фиксация сухожильного аутотрансплантата: зона инсерционной площадки на головке плечевой кости освежена до «кровавой росы», установлен якорный фиксатор Corkscrew FT suture anchor 5,5×16,3 mm (2 шт.). Через задний артроскопический порт тупым путем под задней порцией дельтовидной мышцы сформирован канал, через который свободный конец сухожильного аутотрансплантата проведен в субакромиальное пространство и адаптирован на инсерционную площадку головки плечевой кости. Сухожильный аутотрансплантат пришит при помощи Corkscrew FT suture anchor 5,5×16,3 mm (2 шт.). Плечевой сустав обильно промыт физиологическим раствором, выполнен гемостаз по ходу операции. На кожу наложены швы. Наложена асептическая повязка. Правая верхняя конечность иммобилизована отводящей шиной.
Динамика и исходы
На вторые сутки после операции пациент приступил к пассивной лечебной физкультуре правой верхней конечности на отводящей шине. Срок иммобилизации на отводящей шине — 6 нед.
На контрольном осмотре через 7 нед после операции пациент отмечал улучшение функции правой верхней конечности, уменьшение болевого синдрома (3 балла по шкале ВАШ). Приобретенный объем движений в правом плечевом суставе: отведение 160°, сгибание 150°, наружная ротация 50° (рис. 5). Функциональный результат по шкале UCLA 18 баллов.
Рис. 5. Функциональный результат через 7 нед после операции.
Fig. 5. Functional result in 7 weeks after the surgery.
На контрольном осмотре через 3 мес после операции пациент отмечал значительное уменьшение болевого синдрома (2 балла по ВАШ), улучшение функции правой верхней конечности. Объем движений в правом плечевом суставе: отведение 180°, сгибание 170°, наружная ротация 50° (рис. 6). Функциональный результат по шкале UCLA 26 баллов.
Рис. 6. Функциональный результат через 3 мес после операции.
Fig. 6. Functional result in 3 months after the surgery.
Таким образом, спустя 3 мес после операции наблюдалось значительное уменьшение болевого синдрома, восстановление функции прооперированной верхней конечности.
ОБСУЖДЕНИЕ
Выбор оптимальной хирургической тактики лечения пациентов с массивными разрывами сухожилий вращательной манжеты плеча на сегодняшний день остается открытым. Существуют как консервативные, так и хирургические методы лечения. Консервативное лечение (нестероидные противовоспалительные препараты, инъекции глюкокортикостероидов и гиалуроновой кислоты, физиолечение, укрепление мышц плечевого пояса) является методом выбора для пациентов с низким уровнем активности [4]. Среди хирургических методов лечения предпочтение отдается реконструкции проксимальной капсулы, биоразлагаемым субакромиальным спейсерам, реверсному эндопротезированию и мышечно-сухожильным трансферам.
Артроскопическая реконструкция проксимальной капсулы была впервые проведена в 2013 г. Т. Mihata и соавт. [5]. Суть операции заключалась в использовании аутотрансплантата широкой фасции бедра. Сроки наблюдения пациентов составили 34 мес. Авторы сообщали о благоприятных результатах, а именно о снижении болевого синдрома и увеличении объема движений поврежденного сустава, однако в 16,7% случаев были отмечены отрывы трансплантата, частота которых, по данным литературы, составляет от 10 до 12,9%. Описаны также случаи повторных проксимальных подвывихов головки плечевой кости в результате растяжения трансплантата и последующего его отрыва [5–7].
Перспективным методом лечения пациентов с массивными повреждениями вращательной манжеты плеча является транспозиция сухожилия широчайшей мышцы спины. В 1988 г. С. Gerber и соавт. [8] впервые применили и описали данную методику. В 2013 г. авторы продемонстрировали отдаленные результаты лечения, в которых пациенты отмечали значительное уменьшение болевого синдрома и улучшение функционального результата [9].
С развитием малоинвазивных технологий E. Gervasi и соавт. описали в 2003 г. методику артроскопически ассистированной транспозиции широчайшей мышцы спины [10]. Преимуществом данного оперативного вмешательства являются малоинвазивность и минимизация повреждения дельтовидной мышцы. Однако, по данным литературы, частота осложнений, а именно разрыв сухожилия в месте рефиксации, составляет до 38% [11]. По нашему мнению, это происходит из-за чрезмерного натяжения сухожилия широчайшей мышцы спины, которое имеет короткую сухожильною часть. Для полного покрытия инсерционной площадки головки плечевой кости и минимизации риска повторного разрыва сухожильного аутотрансплантата нами был предложен способ удлинения сухожилия широчайшей мышцы спины аутотрансплантатом 1/2 сухожилия длинной малоберцовой мышцы. Преимущества данного способа, а также частота и характеристика возможных осложнений подлежат дальнейшему изучению в рандомизированных клинических исследованиях.
ЗАКЛЮЧЕНИЕ
Предлагаемый способ артроскопически ассоциированной транспозиции сухожилия широчайшей мышцы спины с использованием аутотрансплантата длинной малоберцовой мышцы в данном клиническом случае позволил уменьшить болевой синдром и восстановить функцию поврежденной конечности.
ИНФОРМИРОВАННОЕ СОГЛАСИЕ
От пациента получено добровольное информированное согласие на публикацию анонимизированных сведений о его заболевании, результатах обследования и лечения (дата подписания 04.05.2021).
INFORMED CONSENT
A voluntary informed consent was obtained from the patient to publish anonymized information about his disease, the results of examination and treatment (date of signing 04.05.2021).
ДОПОЛНИТЕЛЬНАЯ ИНФОРМАЦИЯ
Вклад авторов. Авторы подтверждают соответствие своего авторства международным критериям ICMJE (авторы внесли равноценный вклад в разработку дизайна и подготовку рукописи статьи, прочли и одобрили финальную версию перед публикацией).
Authors’ contribution. The authors made a substantial contribution to the conception of the work, acquisition, analysis, interpretation of data for the work, drafting and revising the work, final approval of the version to be published and agree to be accountable for all aspects of the work.
Источник финансирования. Авторы заявляют об отсутствии внешнего финансирования при проведении исследования.
Funding source. This study was not supported by any external sources of funding.
Конфликт интересов. Авторы декларируют отсутствие явных и потенциальных конфликтов интересов, связанных с публикацией настоящей статьи.
Competing interests. The authors declare that they have no competing interests.
About the authors
Daria V. Menshova
Irkutsk Scientific Center of Surgery and Traumatology
Email: menschovadar@yandex.ru
ORCID iD: 0000-0003-1471-2482
Graduate Student
Russian Federation, 1 Bortsov Revolyutsii str., Irkutsk, 664003Igor A. Kuklin
Irkutsk Scientific Center of Surgery and Traumatology
Email: iscst@mail.ru
ORCID iD: 0000-0003-4733-9178
SPIN-code: 4824-8180
MD, PhD
Russian Federation, 1 Bortsov Revolyutsii str., Irkutsk, 664003Nikolay S. Ponomarenko
Irkutsk Scientific Center of Surgery and Traumatology
Email: Ponomarenko-ns@mail.ru
ORCID iD: 0000-0001-6210-3492
SPIN-code: 4752-4467
MD, PhD
Russian Federation, 1 Bortsov Revolyutsii str., Irkutsk, 664003Nikolay V. Tishkov
Irkutsk Scientific Center of Surgery and Traumatology
Email: zdrav@iscst.ru
ORCID iD: 0000-0003-2651-1055
SPIN-code: 2343-5366
MD, PhD, Assistant Professor
Russian Federation, 1 Bortsov Revolyutsii str., Irkutsk, 664003Marina E. Puseva
Irkutsk Scientific Center of Surgery and Traumatology
Email: iscst@mail.ru
ORCID iD: 0000-0002-9136-3354
SPIN-code: 6595-7160
MD, PhD
Russian Federation, 1 Bortsov Revolyutsii str., Irkutsk, 664003Uliana V. Pichugina
Irkutsk Scientific Center of Surgery and Traumatology
Author for correspondence.
Email: iscst@mail.ru
ORCID iD: 0000-0002-1389-5558
SPIN-code: 5180-7757
MD, PhD
Russian Federation, 1 Bortsov Revolyutsii str., Irkutsk, 664003References
- Vogler T, Andreou D, Gosheger G, et al. Long-term outcome of arthroscopic debridement of massive irreparable rotator cuff tears. PLoS One. 2020;15(11):e0241277. doi: 10.1371/journal.pone.0241277
- Доколин С.Ю., Кузьмина В.И., Найда Д.А. Хирургическая коррекция вертикальной нестабильности головки плечевой кости у пациентов с артропатией на фоне массивных разрывов вращательной манжеты плечевого сустава. Opinion Leader. 2018;4(12):66–72. [Dokolin SYu, Kuzmina VI, Naida DA. Surgical correction of vertical instability of the humeral head in patients with arthropathy secondary to massive ruptures of the rotator cuff. Opinion Leader. 2018;4(12):66–72. (In Russ).]
- Заявка на изобретение № 2021116956, приоритет от 09.06.2021. Меньшова Д.В., Пономаренко Н.С., Куклин И.А., и др. Способ лечения массивных разрывов сухожилий вращательной манжеты плеча. [Application for invention No. 2021116956, priority dated 06/09/2021. Menshova D.V., Ponomarenko N.S., Kuklin I.A., et al. Method for the treatment of massive ruptures of tendons of the rotator cuff of the shoulder. (In Russ).] Режим доступа: https://www1.fips.ru. Дата обращения: 15.06.2022.
- Gerber C, Wirth SH, Farshad M. Treatment options for massive rotator cuff tears. J Shoulder Elbow Surg. 2011;20(Suppl 2): S20–S29. doi: 10.1016/j.jse.2010.11.028
- Mihata T, Lee TQ, Watanabe C, et al. Clinical results of arthroscopic superior capsule reconstruction for irreparable rotator cuff tears. Arthroscopy. 2013;29(3):459–470. doi: 10.1016/j.arthro.2012.10.022
- Alike Y, Hou JY, Tang YY, et al. Arthroscopic superior capsule reconstruction and rotator cuff repair to restore static and dynamic stability of the shoulder. Orthop Surg. 2020;12(5): 1503–1510. doi: 10.1111/os.12768
- Kholinne E, Jeon IH. Arthroscopic superior capsular reconstruction of the shoulder: a narrative review. Ann Transl Med. 2021;9(3):268. doi: 10.21037/atm-20-5925
- Gerber C, Vinh TS, Hertel R, Hess CW. Latissimus dorsi transfer for the treatment of massive tears of the rotator cuff. A preliminary report. Clin Orthop. 1988;(323):51–61.
- Gerber C, Rahm SA, Catanzaro S, Farshad M, Moor BK. Latissimus dorsi tendon transfer for treatment of irreparable posterosuperior rotator cuff tears: long-term results at a minimum follow-up of ten years. J Bone Joint Surg Am. 2013;95(21): 1920–1926. doi: 10.2106/JBJS.M.00122.
- Gervasi E, Causero A, Parodi PC, et al. Arthroscopic latissimusdorsi transfer. Arthroscopy. 2007;23(11):1243.e1–4.
- Доколин С.Ю. Хирургическое лечение пациентов с артропатией плечевого сустава вследствие массивных разрывов вращательной манжеты: Автореф. дис. … докт. мед. наук. Санкт-Петербург, 2020. 48 с. [Dokolin SYu. Surgical treatment of patients with shoulder arthropathy due to massive ruptures of the rotator cuff [abstract dissertation]. Saint Petersburg; 2020. 48 р. (In Russ.)]
Supplementary files









