Intra-arterial chemotherapy in the treatment of inoperable patients with Klatskin tumor: preliminary results
- Authors: Kozlov A.V.1, Tarazov P.G.1, Polikarpov A.A.1, Moiseenko A.V.1, Turlak A.S.1
-
Affiliations:
- Granov Russian Research Center of Radiology and Surgical Technologies
- Issue: Vol 13, No 3 (2022)
- Pages: 25-31
- Section: Original Study Articles
- Submitted: 13.07.2022
- Accepted: 31.08.2022
- Published: 26.10.2022
- URL: https://clinpractice.ru/clinpractice/article/view/109310
- DOI: https://doi.org/10.17816/clinpract109310
- ID: 109310
Cite item
Full Text
Abstract
Background: Surgical resection is the treatment of choice for Klatskin tumor, when possible, but unfortunately, many patients present with the late-stage and unresectable disease. A large number of studies have confirmed that arterial chemotherapy is safe and effective for the palliative treatment of primary and secondary hepatic malignancies. Aim: To evaluate the safety and efficacy of hepatic arterial infusion in patients with Klatskin tumor. Methods: Between 2010 and 2021, 14 of 119 patients with inoperable Klatskin tumor were treated with hepatic arterial infusion of GemCis at the A.M. Granov RRCRST. All the patients had obstructive jaundice and received percutaneous transhepatic biliary drainage. Chemotherapy was started when the serum bilirubin level became normal (averagely on the 106th day from percutaneous transhepatic biliary drainage). In total, 19 (from 1 to 4 per patient) hepatic arterial infusion cycles were performed. Results: Percutaneous transhepatic biliary drainage complications such as cholangitis (n=2) and local peritonitis (n=1) developed in 3 patients (21%) and were successfully treated using minimally invasive techniques. The toxicity of chemotherapy was observed in 8 of 14 patients (57%): I–II degree hematological toxicity (43%) and gastrointestinal toxicity (50%); these complications were cured by medical therapy. The overall mean survival was 286 days (9.6 months), the median survival was 283 days (9.4 months). Conclusions: Our preliminary results show that hepatic arterial infusion in patients with Klatskin tumor is safe, but has limited effectiveness. The combination of arterial infusion with other methods such as radiotherapy, intra-ductal photodynamic therapy, radiofrequency ablation, target therapy, should be investigated.
Full Text
ОБОСНОВАНИЕ
Холангиоцеллюлярный рак делится по анатомическому расположению на внутри- и внепеченочный, причем последний выявляется значительно чаще и локализуется у 50% больных в зоне ворот печени (опухоль Клацкина). Аденокарцинома средней и низкой степени дифференцировки составляет 90–95% случаев внутрипротоковой холангиокарциномы [1, 2].
Резекция и трансплантация печени позволяют достичь наилучшего результата лечения, однако операбельными являются лишь 20–27% больных опухолью Клацкина. В связи с этим большинство пациентов подлежит паллиативному или симптоматическому лечению. Системная химиотерапия гемцитабином в сочетании с препаратами платины или фторпиримидинами может продлить выживаемость больных до 11–12 мес [3].
Рентгеноэндоваскулярные технологии — химиоинфузия в печеночную артерию, химиоэмболизация, радиоэмболизация — успешно применяются в лечении гепатоцеллюлярного рака и метастазов печени [4]. В то же время остаются неизученными результаты их использования при внепеченочном холангиоцеллюлярном раке.
Цель исследования — изучение безопасности и эффективности артериальной химиоинфузии у больных опухолью Клацкина.
МЕТОДЫ
Дизайн исследования
Проспективное одноцентровое клиническое исследование I/IIa фазы безопасности и эффективности регионарной химиотерапии у больных опухолью Клацкина.
Критерии соответствия
Критерии включения: неоперабельные больные опухолью Клацкина (внепеченочной холангиокарциномой).
Критерии исключения: состояние тяжести пациента по шкале ECOG ≥3; холангит средней и тяжелой степени (Grade >1) по Токийскому руководству (TG-18) [5]; наличие метастазов в другие органы, за исключением печени; печеночная недостаточность; механическая желтуха (общий билирубин >60 мкмоль/л, альбумин <25 мг/л, протромбиновое время <50%); асцит II (умеренно выраженный) или III (выраженный напряженный) степени; острая или хроническая в стадии обострения язва желудка и двенадцатиперстной кишки; сопутствующая соматическая патология в стадии суб- или декомпенсации.
Условия проведения
Исследование выполнено в ФГБУ РНЦРХТ им. акад. А.М. Гранова Минздрава России в период 2010–2021 гг.
Описание медицинского вмешательства
Пациентам группы исследования (n=14) в качестве специфической терапии проведена химиоинфузия в общую печеночную артерию по схеме GemCis (гемцитабин + цисплатин). Регионарную химиотерапию начинали после купирования желтухи, в среднем на 106-е (28–196) сутки от установки чреспеченочного холангиодренирования. Всего выполнили 19 (от 1 до 4, в среднем 1,4) циклов химиоинфузии. Эксплоративная лапаротомия после чреспеченочного холангиодренирования была предпринята у 4 пациентов, что послужило задержкой начала специфической терапии на 157–196 дней.
Диагностическую ангиографию выполняли по стандартной методике на столе дигитальных ангиографических комплексов Angiostar (Siemens, Германия) или Toshiba Infinix (Toshiba, Япония). Осуществляли катетеризацию бедренной артерии по Сельдингеру и ангиографию гепатопанкреатобилиарной зоны с введением контрастного вещества автоматическим шприцем (рис. 1). Использовали современные висцеральные катетеры диаметром 4–5F и проводники различной степени жесткости.
Рис. 1. Ангиограммы пациента с опухолью Клацкина, Bismuth IV: а — селективная ангиография общей печеночной артерии катетером cobra (определяется узурация ветвей левой печеночной артерии, белая стрелка); в проекции желчных протоков визуализируется наружно-внутренний холангиодренаж (черная стрелка); б — возвратная портомезентерикография (сдавление опухолью ствола воротной вены, стрелка).
Fig. 1. Patient with Klatskin tumor, Bismuth IV, angiography: а — common hepatic artery selective angiography with a cobra catheter (usuration of the branches of the left hepatic artery were determined, white arrow); in the projection of the bile ducts, external-internal cholangiodrainage is visualized (black arrow); б — recurrent portomesentericography (tumor compression of the portal vein, arrow).
Катетер устанавливали в общей печеночной артерии и после внутривенной гидратации в объеме 2 л проводили химиоинфузию в дозировке 1/2 от системной. Начинали с внутриартериального введения цисплатина 35 мг/м2 в течение 120 мин. Выполняли постгидратацию 400 мл 0,9% раствором натрия хлорида или 5% раствором декстрозы, затем осуществляли химиоинфузию гемцитабином 500 мг/м2 в течение 30 мин (схема GemCis), после чего катетер удаляли. Циклы повторяли каждые 30 сут.
Результаты оценивали по данным прямой холангиографии, магнитно-резонансной томографии, компьютерной томографии (использовали критерии RECIST 1.1.) (рис. 2). Прогрессированием заболевания считали увеличение продольного размера опухоли, рецидив желтухи вследствие повышения стадии по классификации Bismuth–Corlette. Осложнения вмешательств оценивали по классификации CIRSE (2017) [6], токсичность и переносимость химиотерапии — по таблицам CTC-NCIC.
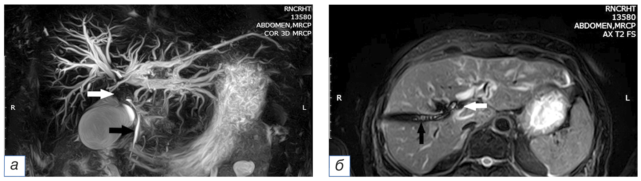
Рис. 2. Тот же больной через 2 мес. Магнитно-резонансная томография, совмещенная с холангиографией: визуализируются расширенные протоки левой доли печени: а, б — опухоль желчных протоков (белая стрелка), холангиодренаж, установленный через правую долю печени (черная стрелка).
Fig. 2. The same patient after 2 months. Magnetic resonance imaging imaging combined with cholangiography: dilatated duct of the liver left lobe are visualized: а, б — biliary ducts tumor (white arrow), cholangiodrainage passed through the right lobe of the liver (black arrow).
Этическая экспертиза
Проводимые методики были одобрены (повторно) локальным этическими комитетом ФГБУ РНЦРХТ им. акад. А.М. Гранова Минздрава России, протокол № 03-04/2022 от 28 апреля 2022 г. Выполнение диагностических и лечебных процедур, сбор данных, материала и опрос проводили после получения информированного согласия больных.
Статистический анализ
Для оценки достоверности разности показателей использовали t-критерий Стьюдента и точный критерий Фишера. Анализ полученных данных осуществляли с помощью программы Statistica 11.0.
РЕЗУЛЬТАТЫ
Объекты (участники) исследования
Паллиативное лечение в виде внутрипротоковой фотодинамической терапии (как самостоятельного метода лечения, так и в комбинации с регионарной химиотерапией), артериальной химиоинфузии и поддерживающей терапии получили 119 пациентов с диагнозом опухоли Клацкина. Группу исследования составили 14 больных (7 мужчин и 7 женщин) в возрасте от 35 до 68 (средний 54) лет, у которых в качестве специфической терапии провели химиоинфузию в общую печеночную артерию по схеме GemCis. Степень дифференцировки опухоли была умеренной у 2, низкой — у 2, недифференцированный рак выявлен в 10 случаях. Состояние больных, согласно критериям Восточной совместной группы по изучению онкологических заболеваний (Eastern Cooperative Oncology Group, ECOG), составило в среднем 1,4 (от 0 до 2) балла.
У всех пациентов (100%) имела место механическая желтуха. По классификации Bismuth-Corlette опухолевый блок IIIa типа был у 7 пациентов, IIIb — у 2, IV — у 5. Перед химиоинфузией выполнили, соответственно, наружно-внутреннее чреспеченочное холангиодренирование справа в 6 случаях, слева — в 3, билобарно — в 5.
Непосредственные и отдаленные результаты лечения
Частичных ответов опухоли на лечение не было. Стабилизация отмечена у 9 (64,3%) пациентов, прогрессирование — у 5 (35,7%). Средняя продолжительность жизни от момента установки чреспеченочного холангиодренирования составила 286,4±42,9 (55–579) суток, или 9,6 мес (95% ДИ 193,7–379,0), медиана выживаемости 282,5 сут (95% ДИ 133,5–427,6), или 9,4 мес (табл. 1). Средняя продолжительность жизни больных на поддерживающей терапии составила 6,8 мес (медиана выживаемости 5,9 мес).
Таблица 1 / Table 1
Результаты артериальной химиоинфузии у больных опухолью Клацкина / Results of arterial infusion in patients with Klatskin tumor
№ п/п | Пол, возраст | Нежелательные явления | Ответ на лечение | Выживаемость, сут |
1 | М, 35 | Нет | SD | 312 |
2 | Ж, 59 | Желудочно-кишечные + гематологические | SD | 321 |
3 | М, 49 | Нет | SD | 286 |
4 | Ж, 61 | Нет | SD | 422 |
5 | М, 60 | Желудочно-кишечные | SD | 492 |
6 | М, 47 | Гематологические | PD | 55 |
7 | М, 55 | Нет | PD | 110 |
8 | М, 37 | Желудочно-кишечные + гематологические | SD | 252 |
9 | Ж, 52 | Нет | SD | 279 |
10 | Ж, 61 | Желудочно-кишечные + гематологические | PD | 177 |
11 | Ж, 54 | Желудочно-кишечные | SD | 579 |
12 | М, 56 | Нет | SD | 476 |
13 | Ж, 68 | Желудочно-кишечные + гематологические | PD | 136 |
14 | Ж, 55 | Желудочно-кишечные + гематологические | PD | 112 |
Примечание. SD (stable disease) — стабилизация болезни; PD (progressive disease) — прогрессирование болезни.
Note: SD — stable disease; PD — progressive disease.
Нежелательные явления
Осложнения, связанные с холангиодренированием, наблюдались у 3/14 (21,4%) пациентов: рецидивирующий холангит (в 2 случаях) и локальный перитонит (в 1 случае) расценены как осложнения III степени тяжести по классификации CIRSE (Cardiovascular and interventional radiological society of Europe, 2017; Европейское кардиоваскулярное и лучевое радиологическое общество), требующие дополнительной послеоперационной терапии или пролонгации госпитализации более 48 ч при отсутствии последствий в послеоперационном периоде. Эти состояния были купированы с помощью минимально инвазивных методик (дренирование желчных протоков в двух случаях и брюшной полости в одном) под контролем ультразвукового исследования.
Летальных исходов, связанных с выполнением химиоинфузии, не было. Проявления токсичности химиотерапии наблюдались у 8 (57,1%) из 14 пациентов: гематологические I–II степени — у 6, желудочно-кишечные I–II степени — у 7, из них одновременно оба осложнения — у 5. Лейкопения и тромбоцитопения не требовали лечения; при тошноте и рвоте назначали ондансетрон в дозе 8–32 мг/сут, инфузионную корригирующую терапию.
ОБСУЖДЕНИЕ
Лечение нерезектабельной опухоли Клацкина остается нерешенной проблемой. Лучевая терапия малоэффективна и ограничена критериями отбора пациентов. Системная химиотерапия при наличии дренажей и стентов в билиарном дереве в 50% случаев осложняется обострением холангита и холестатическим гепатитом [7]; проведенные исследования доказали эффективность только первой линии. В настоящее время используют следующие схемы лечения: GemCis — сочетание гемцитабина и цисплатина с наб-паклитакселом или S1 (тегафур + гимерацил + отерацил), FOLFIRINOX (5-фторурацил + лейковорин + оксалиплатин + иринотекан). К сожалению, большинство из них сопровождается токсическими осложнениями. Таким образом, число пациентов, подходящих для специфического лечения, крайне мало. Именно поэтому вторая линия химиотерапии опухоли Клацкина в настоящее время не определена [8].
Минимально инвазивными и вместе с тем потенциально эффективными представляются рентгенэндоваскулярные технологии, успешно применяемые в лечении гепатоцеллюлярного рака, внутрипеченочной холангиокарциномы, метастазов в печени [2, 4]. Основной механизм этих методов основан на двойном кровоснабжении паренхимы (70% из воротной вены и 30% из печеночной артерии) и практически только артериальном питании опухолей печени.
В литературе встречаются лишь единичные работы, посвященные регионарной химиотерапии опухоли Клацкина. Это объясняется отсутствием четкой визуализации тканевого субстрата и, соответственно, невозможностью технического выполнения селективного введения лекарственных препаратов во множественные мелкие питающие сосуды опухоли. Кроме того, нормальные желчные протоки имеют не двойное, а изолированное артериальное кровоснабжение, и вместе с опухолевой тканью могут быть повреждены при внутриартериальной химиотерапии. В то же время именно из ветвей общей печеночной артерии кровоснабжается верхняя и средняя треть общего желчного протока. Основными источниками являются ветви правой печеночной и гастродуоденальной артерии. Реже в кровоснабжении принимают участие средняя, левая и общая печеночные артерии [9, 10]. Кроме того, известно, что холангиоцеллюлярный рак развивается ангиогенным путем, а усиление его неоваскуляризации свидетельствует о плохом прогнозе [11, 12]. Учитывая эти данные, артериальная химиоинфузия при опухоли Клацкина представляется теоретически обоснованной.
В доступной литературе мы обнаружили лишь две публикации о применении химиоинфузии в печеночную артерию при этой морфологической форме опухоли. М. Sinn с соавт. [13] проводили внутриартериальную химиоинфузию оксалиплатином, лейковорином и 5-фторурацилом через имплантированный катетер: медиана выживаемости 6 больных составила 12,3 мес. Х. Wang с соавт. [14] применили такие же доступ и схему: среди 37 пациентов ответ на лечение отмечен в 68% случаев, средняя продолжительность жизни — 20,5 мес. В обеих публикациях отмечено отсутствие тяжелых осложнений.
Учитывая хорошие результаты, полученные в указанных работах, мы также провели исследование эффективности химиоинфузии у небольшой группы пациентов. Использованная схема GemCis оказалась безопасной: побочных эффектов выше II степени токсичности не наблюдали. К сожалению, средняя продолжительность жизни 14 больных составила 9,6 мес (медиана выживаемости 9,4 мес), что свидетельствует об ограниченной эффективности метода при его изолированном применении.
Единичные исследования посвящены комбинации химиоинфузии с облучением. Были получены высокие показатели выживаемости у пациентов, которые закончили полный цикл лечения. S. Matsumoto с соавт. [15] с целью радиомодификации выполняли введение в печеночную артерию смеси 20 мг эпирубицина, 10 мг митомицина С и 500 мг 5-фторурацила. Затем проводили наружное облучение до дозы 41,4 Гр у 23 больных (Bismuth III у 4, Bismuth IV у 19). В результате ответ на лечение составил 41%, а показатели 1-, 2- и 3-летней выживаемости — 59, 36 и 18% соответственно.
W.H. Zheng с соавт. [16] использовали сочетание масляной химиоэмболизации с гемцитабином, цисплатином, липиодолом (при технической неосуществимости выполняли химиоинфузии) и лучевой терапии в дозе 48,3 Гр у 37 больных раком ворот печени: медиана выживаемости составила 20,0 мес против 10,5 мес в контрольной группе (дренирование/стентирование). Тяжелых осложнений не было.
Таким образом, регионарную химиотерапию можно рассматривать в качестве потенцирующего метода при комбинированном лечении больных опухолью Клацкина [8, 17–19].
ЗАКЛЮЧЕНИЕ
Химиоинфузия является безопасным методом паллиативного лечения неоперабельных больных опухолью Клацкина, однако при изолированном использовании обладает ограниченной эффективностью. Требуют изучения комбинации химиоинфузии с другими методиками: облучением, радиочастотной абляцией, а также внутрипротоковой фотодинамической, таргетной и иммунотерапией.
ДОПОЛНИТЕЛЬНАЯ ИНФОРМАЦИЯ
Вклад авторов. А.В. Козлов — анализ литературы, написание статьи, набор клинических данных; П.Г. Таразов — общий дизайн исследования, написание и рецензирование статьи; А.А. Поликарпов — общий дизайн исследования, рецензирование статьи; А.В. Моисеенко — лечение пациентов, набор клинических данных; А.С. Турлак — статистический анализ данных. Авторы подтверждают соответствие своего авторства международным критериям ICMJE (все авторы внесли существенный вклад в разработку концепции, проведение исследования и подготовку статьи, прочли и одобрили финальную версию перед публикацией).
Author contribution. A.V. Kozlov — analysis of literature, collection of clinical data, writing the article; P.G. Tarazov — general study design, writing and reviewing the article; A.A. Polikarpov — general study design, reviewing the article; A.V. Moiseenko — treatment of patients, collection of clinical data; A.S. Turlak — statistical analysis of the research data. The authors made a substantial contribution to the conception of the work, acquisition, analysis, interpretation of data for the work, drafting and revising the work, final approval of the version to be published and agree to be accountable for all aspects of the work.
Источник финансирования. Статья написана в рамках Государственного задания № 056-00102-21 «Разработка методики внутрипротоковой фотодинамической терапии и внутриартериальной регионарной химиотерапии для лечения пациентов с нерезектабельными опухолями Клацкина».
Funding source. This study was carried out as a part of State Assignment № 056-00102-21 «Development of a technique of photodynamic therapy and intra-arterial chemotherapy for the treatment of patients with unresectable Klatskin tumors».
Конфликт интересов. Авторы декларируют отсутствие явных и потенциальных конфликтов интересов, связанных с содержанием настоящей статьи.
Competing interests. The study had no sponsorship.
About the authors
Aleksey V. Kozlov
Granov Russian Research Center of Radiology and Surgical Technologies
Email: av_kozlov@mail.ru
ORCID iD: 0000-0002-6878-6762
SPIN-code: 3790-3030
MD, PhD
Russian Federation, 70, Leningradskaya street, Pesochny, St. Petersburg, 197758Pavel G. Tarazov
Granov Russian Research Center of Radiology and Surgical Technologies
Email: tarazovp@mail.ru
ORCID iD: 0000-0001-9190-116X
SPIN-code: 7089-7542
MD, PhD, Professor
Russian Federation, 70, Leningradskaya street, Pesochny, St. Petersburg, 197758Aleksey A. Polikarpov
Granov Russian Research Center of Radiology and Surgical Technologies
Email: pol1110@mail.ru
ORCID iD: 0000-0002-7683-5042
SPIN-code: 4641-0720
MD, PhD
Russian Federation, 70, Leningradskaya street, Pesochny, St. Petersburg, 197758Andrey V. Moiseenko
Granov Russian Research Center of Radiology and Surgical Technologies
Email: med_moiseenko@mail.ru
ORCID iD: 0000-0002-1011-4533
SPIN-code: 5992-9441
Russian Federation, 70, Leningradskaya street, Pesochny, St. Petersburg, 197758
Anastasia S. Turlak
Granov Russian Research Center of Radiology and Surgical Technologies
Author for correspondence.
Email: a_turlak18@mail.ru
ORCID iD: 0000-0002-2207-767X
SPIN-code: 8389-1364
Russian Federation, 70, Leningradskaya street, Pesochny, St. Petersburg, 197758
References
- Алиева С.Б., Базин И.С., Бредер В.В., и др. Рак желчевыводящей системы. Клинические рекомендации. Москва, 2020. 51 с. [Alieva SB, Bazin IS, Breder VV, et al. Cancer of the biliary system: Clinical recommendations. Moscow; 2020. 51 р. (In Russ).]
- Blechacz B. Cholangiocarcinoma: Current knowledge and new developments. Gut Liver. 2017;11(1):13–26. doi: 10.5009/gnl15568
- Zheng WH, Yu T, Luo YH, et al. Clinical efficacy of gemcitabine and cisplatin-based transcatheter arterial chemoembolization combined with radiotherapy in hilar cholangiocarcinoma. World J Gastrointest Oncol. 2019;11(6):489–498. doi: 10.4251/wjgo.v11.i6.489
- Таразов П.Г., Кагачева Т.И. Рентгенэндоваскулярные вмешательства в лечении внутрипеченочной холангиокарциномы (обзор литературы) // Диагностическая и интервенционная радиология. 2021. Т. 15, № 3. C. 55–66. [Tarazov PG, Kalacheva TI. X-ray endovascular interventions in the treatment of intrahepatic cholangiocarcinoma (literature review). Diagnostic Radiol. 2021;15(3):55–66. (In Russ).] doi: 10.25512/DIR.2021.15.3.06
- Mayumi T, Okamoto K, Takada T, et al. Tokyo Guidelines 2018: management bundles for acute cholangitis and cholecystitis. J Hepatobiliary Pancreat Sci. 2018;25(1):96–100. doi: 10.1002/jhbp.519
- Filippiadis DK, Binkert C, Pellerin O, et al. CIRSE quality assurance document and standards for classification of complications: the CIRSE classification system. Cardiovasc Intervent Radiol. 2017;40(8):1141–1146. doi: 10.1007/s00270-017-1703-4
- Состояние онкологической помощи населению России в 2019 году. Статистический сборник / Под ред. А.Д. Каприна. Москва, 2020. 239 с. [The state of oncological care to the population of Russia in 2019. Statistical collection. Ed. by A.D. Kaprin. Moscow; 2020. 239 р. (In Russ).]
- Inchingolo R, Acquafredda F, Ferraro V, et al. Non-surgical treatment of hilar cholangiocarcinoma. World J Gastrointest Oncol. 2021;13(11):1696–1708. doi: 10.4251/wjgo.v13.i11.1696
- Rath AM, Zhang J, Bourdelat D, Chevrel JP. Arterial vascularisation of the extrahepatic biliary tract. Surg Radiol Anat. 1993;15(2):105–111. doi: 10.1007/BF01628308
- Desai GS, Pande PM. Gastroduodenal artery: single key for many locks. J Hepatobiliary Pancreat Sci. 2019;26(7):281–291. doi: 10.1002/jhbp.636
- Möbius C, Demuth C, Aigner T, et al. Evaluation of VEGF A expression and microvascular density as prognostic factors in extrahepatic cholangiocarcinoma. Eur J Surg Oncol. 2007; 33(8):1025–1029. doi: 10.1016/j.ejso.2007.02.020
- Morell CM, Fabris L, Strazzabosco M. Vascular biology of the biliary epithelium. J Gastroenterol Hepatol. 2013;28(Suppl 1): 26–32. doi: 10.1111/jgh.12022
- Sinn M, Nicolaou A, Gebauer B, et al. Hepatic arterial infusion with oxaliplatin and 5-FU/folinic acid for advanced biliary tract cancer: a phase II study. Dig Dis Sci. 2013;58(8):2399–405. doi: 10.1007/s10620-013-2624-y
- Wang X, Hu J, Cao G, et al. Phase II study of hepatic arterial infusion chemotherapy with oxaliplatin and 5-fluorouracil for advanced perihilar cholangiocarcinoma. Radiology. 2017; 283(2):580–589. doi: 10.1148/radiol.2016160572
- Matsumoto S, Kiyosue H, Komatsu E, et al. Radiotherapy combined with transarterial infusion chemotherapy and concurrent infusion of a vasoconstrictor agent for nonresectable advanced hepatic hilar duct carcinoma. Cancer. 2004; 100(11):2422–2429. doi: 10.1002/cncr.20265
- Zheng WH, Yu T, Luo YH, et al. Clinical efficacy of gemcitabine and cisplatin-based transcatheter arterial chemoembolization combined with radiotherapy in hilar cholangiocarcinoma. World J Gastrointest Oncol. 2019;11(6):489–498. doi: 10.4251/wjgo.v11.i6.489
- Гранов Д.А., Шаповал С.В., Гапбаров А.Ч., Моисеенко А.В. Комбинация методов регионарной терапии в лечении неоперабельной опухоли Клацкина // Высокотехнологическая медицина. 2020. Т. 7, № 4. С. 8–16. [Granov DA, Shapoval SV, Gapbarov AC, Moiseenko AV. Combination of regional therapy methods in the treatment of inoperable Klatskin tumor. High-tech Med. 2020;7(4):8–16. (In Russ).]
- Макаров Е.С., Нечушкин М.И., Долгушин Б.И., и др. Внутрипротоковая лучевая терапия неоперабельных больных холангиоцеллюлярным раком: технические аспекты и отдаленные результаты // Анналы хирургической гепатологии. 2014. Т. 19, № 4. С. 48–55. [Makarov ES, Nechushkin MI, Dolgushin BI, et al. Intra-current radiation therapy of inoperable patients with cholangiocellular cancer: technical aspects and long-term results. Ann Sur Hepatology. 2014;19(4):48–55. (In Russ).]
- Gou Q, Wu L, Cui W, et al. Stent placement combined with intraluminal radiofrequency ablation and hepatic arterial infusion chemotherapy for advanced biliary tract cancers with biliary obstruction: a multicentre, retrospective, controlled study. Eur Radiol. 2021;31(8):5851–5862. doi: 10.1007/s00330-021-07716-0
Supplementary files





