Results of the surgical treatment of intra-articular fractures of the distal femur using a retrograde intramedullary technique
- Authors: Aliev T.M.1,2, Zagorodniy N.V.2, Prizov A.P.1,2, Lazko F.L.1,2, Akhpashev A.A.3, Belyak E.A.1,2
-
Affiliations:
- Moscow City Clinical Hospital in honor of V.M. Buyanov
- Peoples' Friendship University of Russia
- Federal Scientific and Clinical Center for Specialized Medical Assistance and Medical Technologies of the Federal Medical Biological Agency
- Issue: Vol 13, No 4 (2022)
- Pages: 51-59
- Section: Original Study Articles
- Submitted: 09.11.2022
- Accepted: 07.01.2023
- Published: 24.01.2023
- URL: https://clinpractice.ru/clinpractice/article/view/112466
- DOI: https://doi.org/10.17816/clinpract112466
- ID: 112466
Cite item
Full Text
Abstract
Background: Distal femoral fractures are a widely spread problem in traumatology, which can be caused by both a high-energy trauma and a low-energy trauma in senile patients with osteoporosis. The conservative treatment shows little promise. The surgical treatment of patients is still a challenge for orthopedic surgeons regarding both the technical aspect and a high risk of complications. There are several surgical methods with the use of plates and nails, but there is still no universal conception of the surgical treatment.
Aim: comparative analysis of methods of intramedullary retrograde osteosynthesis and bone osteosynthesis in the treatment of fractures of the distal femur.
Methods: In this study, we evaluated the treatment results of 46 patients who underwent osteosynthesis for intraarticular fractures of the distal femur using an intramedullary retrograde nail. The evaluation was carried out based on such parameters as the duration of the operation and the time from the moment of injury to the operation, the intraoperative blood loss and the function of the knee joint. On average, the operation time using a retrograde femoral nail was 45 minutes. Reducing the duration of the operation improved the functional results of the treatment. Reducing the operation time when installing a retrograde intramedullary nail was achieved with a relatively simple technique for installing this type of a fixator and the use of minimally invasive approaches.
Results: On average, the operation time using a retrograde femoral nail was 45 minutes. Reducing the duration of the operation improved the functional results of treatment. Reducing the operation time when installing a retrograde intramedullary nail was due to a relatively simple technique for installing this type of fixator and the use of minimally invasive approaches. One year after the surgery, the following mean values were achieved: 78 (64–85) points according to the KSS knee score, 85 (68–89) points according to the KSS function score, 3.1 (1.3–4.2) cm for the severity of pain syndrome according to the VAS scale, 105 (88–120) degrees for the flexion in the knee joint. However, a number of post-op complications were observed: deep vein thrombosis of lower extremities was found in 6 (13.1%) patients, formation of a false-joint was seen in 3 (6.5%) patients, 1st grade arthritis of the knee joint was detected in 36 patients (78.2%), 2nd grade arthritis was observed in 10 patients (21.8%). 3rd grade arthritis was not detected. 3.5 years after the operation, none of the patients needed a knee joint replacement.
Conclusion: Retrograde intramedullary osteosynthesis in type C distal femoral fractures promotes early rehabilitation, a complete recovery of the knee joint function and healing of the fracture, and represents an effective method of treatment.
Full Text
ОБОСНОВАНИЕ
Частота изолированных переломов дистального отдела бедренной кости составляет примерно 6% от всех повреждений бедренной кости [1, 2]. Однако у пострадавших с множественными и сочетанными повреждениями подобный тип переломов встречается чаще и составляет от 13 до 17% от общего числа переломов бедренной кости.
Переломы дистального отдела бедренной кости встречаются в любом возрасте, чаще у лиц пожилого возраста, которые страдают остеопорозом и соматическими сопутствующими заболеваниями. У молодых пациентов подобные переломы являются в основном следствием высокоэнергетического воздействия (дорожно-транспортное происшествие, падение с высоты) и сопровождаются травматическими повреждениями других сегментов [3, 4]. В связи с увеличением мобильности населения и увеличением продолжительности жизни частота подобных переломов тоже увеличивается. Y. Harder и соавт. [5] при анализе 38 000 случаев переломов бедра выявили повреждения дистальной его части у 8% пациентов (2165 случаев).
К сожалению, результаты оперативного лечения переломов дистального отдела бедренной кости часто бывают неутешительными из-за замедленной консолидации или формирования ложных суставов (6,0%) в зоне перелома, инфекционных осложнений (2,7%), а также развития посттравматического артроза и тугоподвижности коленного сустава. Инфекционные осложнения встречались в 2,7%, миграция металлоконструкций — в 3,3%, что принуждало коллег в 16,8% случаев прибегать к повторным хирургическим вмешательствам [1, 2]. Осложнения оперативного лечения переломов данной локализации, особенно у пациентов трудоспособного возраста, часто (18%) приводят к инвалидизации, что является серьезной социальной проблемой [2].
Остеосинтез с использованием накостных пластин или интрамедуллярных штифтов является золотым стандартом лечения пациентов с вне- и внутрисуставными переломами дистального отдела бедренной кости [6, 7]. В районных больницах, не обеспеченных металлоконструкциями и электронно-оптическими преобразователями, врачи с недостатком хирургического опыта используют методики скелетного вытяжения и гипсовых повязок, а также применяют внеочаговые методы остеосинтеза: спицевые, стержневые и спице-стержневые аппараты наружной фиксации. Подходы к выбору способа остеосинтеза (накостный или интрамедуллярный) при переломах дистального отдела бедренной кости продолжают активно обсуждаться в литературе [6, 8], при этом в источниках отсутствует информация о функциональных результатах лечения пациентов, которым был выполнен интрамедуллярный остеосинтез, с достаточной выборкой и длительным периодом наблюдения. Не определены показания к использованию интрамедуллярного ретроградного штифта при переломах данной локализации.
Цель исследования. Мы проанализировали наш опыт применения интрамедуллярного ретроградного остеосинтеза переломов дистального отдела бедренной кости и сравнили его с методом накостного остеосинтеза.
МЕТОДЫ
Дизайн исследования
Ретроспективное исследование.
Критерии соответствия
Критерии включения: пациенты с внутрисуставными переломами типа С по классификации АО, оперированные с использованием ретроградной интрамедуллярной техники.
Критерии невключения: пациенты с переломами дистального отдела бедренной кости, оперированные другими методами остеосинтеза.
Критерии исключения: пациенты, с которыми была утеряна связь после операции.
Условия проведения
Выполнен анализ результатов лечения пациентов с внутрисуставными переломами дистального отдела бедренной кости, которые находились в травматологических отделениях двух московских городских клинических больниц (ГКБ им. А.К. Ерамишанцева и ГКБ им. В.М. Буянова) в период с 2017 по 2021 г.
Описание медицинского вмешательства
Травмы были получены пациентами в результате дорожно-транспортных происшествий и падений с высоты (кататравмы), а также в результате падения в бытовых условиях на фоне сопутствующего остеопороза (низкоэнергетические травмы).
После оценки общего состояния (наличие или отсутствие травматического шока и других повреждений) у пострадавшего оценивали пульсацию на тыльной артерии стопы (а. dorsalis pedis) и определяли амплитуду движений в голеностопном суставе с целью диагностики состояния периферических магистральных нервов и артерий. Исследовали состояние кожных покровов и мягких тканей, а также наличие или отсутствие крови в коленном суставе (гемартроз). Во всех случаях проводили ультразвуковое ангиосканирование сосудов нижних конечностей. В предоперационном периоде всем пациентам выполняли компьютерную томографию в режиме 3D-реконструкции.
Методики остеосинтеза. Мы пользовались общепризнанной в Европе классификацией АО (Arbeitsgemeinschaft fur osteosynthesenfragen — Ассоциация по изучению остеосинтеза) для определения характера перелома дистального отдела бедренной кости (ДОБК). Выбор методики остеосинтеза перелома дистального отдела бедра зависел от характера перелома, возраста пациента, объема конечности, давности травмы, общего состояния и сопутствующих повреждений, наличия хронических заболеваний у пациента, оснащенности операционной электронно-оптическим преобразователем и имплантатами. Внутренний остеосинтез проводили лишь после противошоковой терапии, стабилизации гемодинамики и общего состояния пострадавшего. При переломах ДОБК типа С (по классификации АО; рис. 1) мы использовали интрамедуллярные штифты и ретроградную технику. Методика остеосинтеза переломов ДОБК зависела от структуры костной ткани и наличия целостного или оскольчатого характера переломов мыщелков дистального фрагмента бедра. При использовании ретроградной техники остеосинтеза штифтом переломов типа С применяли интрамедуллярный остеосинтез после предварительной репозиции и фиксации мыщелков винтами.
Рис. 1. Классификация переломов костей по АО (Arbeitsgemeinschaft fur osteosynthesenfragen): а — графическое изображение; переломы типа С по классификации АО: б — простой внутрисуставной, простой метафизарный; в — простой внутрисуставной, сложный метафизарный; г — оскольчатый внутрисуставной. / Fig. 1. C-type fractures according to the AO classification (Arbeitsgemeinschaft fur osteosynthesenfragen): а — Grafik; C-type fractures according to AO classification: б — simple intraarticular, simple metaphyseal; в — simple intraarticular, complex metaphyseal; г — comminuted intraarticular.
Хирургическая техника. Это наиболее важный этап в лечении пациентов с переломами ДОБК, от которого зависят, в том числе, анатомические и функциональные результаты. Ниже приведено краткое изложение технологии и этапы проведения операции.
С учетом того, что после перелома, особенно при оскольчатом типе повреждения мыщелков бедра, достаточно трудно определить размеры штифта и винтов, используемых для остеосинтеза, в предоперационном периоде мы пользовались рентгеноконтрастной линейкой с целью уточнения ширины наиболее узкой части на дистальном отделе неповрежденной бедренной кости (рис. 2).
Рис. 2. Определение размеров требуемого фиксатора с помощью шаблонов (а, б). / Fig. 2. Determining the implant size with use of a template (а, б).
Операции производили под спинальным обезболиванием. Ногу укладывали в согнутом (на 30°) положении коленного сустава на рентгенопрозрачный валик: такая укладка способствует расслаблению мышц задней группы голени и репозиции фрагментов бедра (рис. 3).
Рис. 3. Укладка пациента на столе. / Fig. 3. Positioning a patient on the table.
Первым этапом выполняли фиксацию перелома мыщелков стягивающими винтами спереди и сзади от предполагаемой траектории введения штифта после предварительной их репозиции с интраоперационным использованием тазовых щипцов (рис. 4). Из малоинвазивного разреза (до 3 см) сбоку от собственной связки надколенника осуществляли доступ в коленный сустав для проведения направляющей спицы (рис. 5). Затем определяли точку в межмыщелковой ямке, анатомическую ось и траекторию (так называемый угол атаки) для введения ретроградного штифта. Чтобы избежать ятрогенного повреждения крестообразных связок, сначала проводили спицу, ориентируясь на боковом рентгеновском снимке, полученном с помощью электронно-оптического преобразователя, верхнего края линии Blumensaat, а затем выполняли заведение штифта по данной направляющей спице. Все этапы выполнялись под контролем электронно-оптического преобразователя (рис. 6). При правильном введении штифта происходит «саморепозиция» отломков в анатомически правильном отношении, без варусной или вальгусной деформации ДОБК. При необходимости для этого используют поляризующие винты. Дальнейшая хирургическая техника описана в клинических примерах.
Рис. 4. Этапы фиксации перелома мыщелков бедренной кости стягивающими винтами (а, б). / Fig. 4. Stages of fixation of the femoral condyles fracture with cannulated screws (а, б).
Рис. 5. Доступ при использовании ретроградной техники. / Fig. 5. Approach when applying the retrograde technique.
Рис. 6. Точка введения направляющей спицы (стрелка) в боковой проекции над линией Blumensaat. / Fig. 6. The point of the guiding wire entry in the lateral view superior to the Blumensaat line.
РЕЗУЛЬТАТЫ
Объекты (участники) исследования
Проанализированы результаты лечения 46 пациентов с внутрисуставными переломами дистального отдела бедренной кости, полученными в результате падений в быту на фоне сопутствующего остеопороза (n=17) или при дорожно-транспортных происшествиях и падениях с высоты (n=29), при этом кататравмы сопровождались большим повреждением кости и мягких тканей.
Средний возраст в группе составил 58 (от 31 до 68) лет. Женщин было 25 (54,3%), мужчин — 21 (45,7%). Среднее время до операции составило 2,5 сут (от 18 ч до 7 сут).
Основные результаты исследования
Всем 46 пациентам выполнен остеосинтез перелома мыщелков бедренной кости с использованием ретроградного интрамедуллярного штифта. Средняя продолжительность оперативного вмешательства 45 мин (от 32 до 62 мин). Функциональные результаты по шкалам и амплитуда сгибания в коленном суставе в отдаленном послеоперационном периоде представлены в табл. 1.
Таблица 1. Функциональные показатели пациентов в отдаленном послеоперационном периоде (приведены средние показатели через 1 год после ретроградного интрамедуллярного остеосинтеза) / Table 1. Functional results of patients at a long-term follow-up after the surgery (the mean values are given for 1 year post-retrograde intramedullary osteosynthesis)
Показатель | Через 1 год |
Шкала KSS knee score, балл | 78 (64–85) |
Шкала KSS function score, балл | 85 (68–89) |
Выраженность болевого синдрома по ВАШ, см | 3,1 (1,3–4,2) |
Величина сгибания в коленном суставе, град. | 105 (88–120) |
С целью профилактики контрактуры и тугоподвижности коленного сустава на следующий день после операции пациенты начинали выполнять пассивные движения в коленном суставе. Постоянными упражнениями для пациентов являлись сокращения прямой мышцы бедра с движением надколенника («танец» надколенника). В ближайшие дни после операции пациенты начинали ходьбу на костылях с дозированной нагрузкой на оперированную конечность. Время и интенсивность нагрузки зависели от характера перелома, степени стабильности остеосинтеза, качества кости и возраста, а также от мотивации самого пациента. Лечебную физкультуру в доступных и допустимых вариациях мы рекомендовали всем пациентам после операции до полного восстановления функции коленного сустава и опорной функции конечности.
Клинический пример
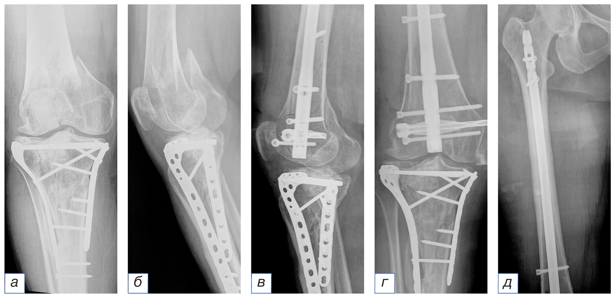
О пациенте. Пациентка В., 62 года. Травма в результате дорожно-транспортного происшествия (пассажир). Диагноз: «Закрытый оскольчатый перелом дистального отдела правой бедренной кости (33С2), сочетанная травма» (рис. 7).
Рис. 7. Рентгенограммы пациентки 62 лет с диагнозом закрытого оскольчатого перелома дистального отдела правой бедренной кости до операции (а) и после оперативного лечения (б–д). / Fig. 7. Radiographs of the 62-year-old patients with a diagnosis of a closed comminuted fracture of the distal right of femoral bone before (а) and after the surgery (б–д).
Из анамнеза: остеосинтез перелома проксимального отдела правой большеберцовой кости двумя пластинами выполнен 5 лет назад.
Обстоятельства травмы. Доставлена в приемное отделение клиники через 28 мин с момента получения автомобильной травмы.
Лечение и прогноз. Госпитализирована в реанимационное отделение с целью проведения противошоковой терапии. После стабилизации общего состояния выполнен ретроградный интрамедуллярный остеосинтез дистального отдела бедренной кости. Послеоперационный период протекал гладко. Послеоперационные раны зажили первичным натяжением. Ходьба с дозированной нагрузкой при помощи костылей разрешена после 2-го дня операции. Через 6 мес после операции угол сгибания в коленном суставе составил 106°, разгибание — полное. Болевых ощущений пациентка не отмечает.
Резюме основных результатов исследования
Таким образом, пациенты после интрамедуллярного остеосинтеза переломов мыщелков бедренной кости демонстрируют отличные и хорошие функциональные показатели в отдаленном периоде. Продолжительность оперативного лечения составила не более 45 мин, а время с момента травмы до момента операции — 2,5 сут. Уменьшение продолжительности операции способствовало лучшим функциональным результатам лечения.
Осложнения. Мы наблюдали ряд развившихся осложнений после интрамедуллярного остеосинтеза в раннем и позднем послеоперационном периодах. Так, тромбоз вен нижних конечностей был выявлен у 6 (13,1%) пациентов. По поводу тромбоза вен проводилось консервативное лечение (антикоагулянтная терапия, эластичное бинтование, активизация).
Формирование ложного сустава после интрамедуллярного остеосинтеза выявлено у 3 пациентов через один год с момента выполнения оперативного вмешательства. В дальнейшем у 2 пациентов сращение было достигнуто за счет динамизации штифта, повторное оперативное лечение с удалением металлофиксатора и выполнением реостеосинтеза потребовалось в одном случае. Неврологических осложнений не было. Артроз коленного сустава I стадии был выявлен у 36 (78,2%) пациентов, артроз II стадии — у 10 (21,8%), артроз III стадии не выявлен ни у одного из пациентов. Через 3,5 года после операции ни один пациент не нуждался в эндопротезировании коленного сустава.
ОБСУЖДЕНИЕ
В кадаверном биомеханическом исследовании O. Başcı и соавт. (2015) [9] продемонстрировали большую стабильность одномоментного использования интрамедуллярного штифта и накостной пластины в сравнении с изолированным штифтом или пластиной. L. Meccariello и соавт. [10] в 2021 г. опубликовали свои результаты лечения 90 пациентов с переломами дистальных отделов бедренной кости и не обнаружили клинической разницы между типом остеосинтеза — блокируемым ретроградным интрамедуллярным, неблокируемым ретроградным интрамедуллярным и накостным остеосинтезом пластиной. K. Garala и соавт. [11] в 2022 г. сравнили 2 группы пациентов с изолированным накостным остеосинтезом блокируемой пластиной — в одной (n=40) и комбинированным остеосинтезом пластиной и штифтом — в другой (n=27). Во второй группе отмечалась более высокая частота сращения перелома, в том числе в связи с ранней осевой нагрузкой на нижнюю конечность.
Анализ собственных результатов лечения пациентов с внутрисуставными переломами дистального отдела бедренной кости показал, что при изолированном использовании интрамедуллярных фиксаторов интраоперационная кровопотеря крайне незначительна, а время операции не превышает 45 мин. Согласно нашему опыту, при изолированном интрамедуллярном остеосинтезе переломов дистального отдела бедренной кости первичная стабильная фиксация отломков позволяет рано и активно, по сравнению с накостным остеосинтезом, выполнять движения в коленном суставе и дает осевую нагрузку на конечность, что сокращает сроки реабилитации.
ЗАКЛЮЧЕНИЕ
Исходя из анализа данных литературы и собственных отдаленных результатов лечения, мы пришли к выводу, что для начала ранней реабилитации, полного восстановления функции коленного сустава и консолидации перелома рекомендуется выполнение ретроградного интрамедуллярного остеосинтеза при переломах дистального отдела бедренной кости типа С.
ИНФОРМИРОВАННОЕ СОГЛАСИЕ
От каждого пациента, принимавшего участие в исследовании, получено добровольное письменное информированное согласие на публикацию его данных и изображений в научных целях в медицинском журнале «Клиническая практика», включая его электронную версию.
INFORMED CONSENT
We received from all the patients, who took participation in the study, written informed permission for the publication of their data and pictures in medical journal “Journal of Clinical Practice”, including its electronic version.
ДОПОЛНИТЕЛЬНАЯ ИНФОРМАЦИЯ
Вклад авторов. Е.А. Беляк, Т.М. Алиев — концепция и дизайн исследования, сбор и обработка материала, написание текста, редактирование; Ф.Л. Лазко — концепция и дизайн исследования; Н.В. Загородний — редактирование; А.П. Призов — статистическая обработка; А.А. Ахпашев — написание текста. Авторы подтверждают соответствие своего авторства международным критериям ICMJE (все авторы внесли существенный вклад в разработку концепции, проведение исследования и подготовку статьи, прочли и одобрили финальную версию перед публикацией).
Author contribution. E.A. Belyak, T.M. Aliev — conception and design of the study, data collection, writing and editing the manuscript; F.L. Lazko — conception and design of the study; N.V. Zagorodniy — editing the manuscript; A.P. Prizov — statistical analysis; A.A. Akhpashev — writing the manuscript. The authors made a substantial contribution to the conception of the work, acquisition, analysis, interpretation of data for the work, drafting and revising the work, final approval of the version to be published and agree to be accountable for all aspects of the work.
Источник финансирования. Исследование и публикация статьи осуществлены на личные средства авторского коллектива.
Funding source. The study had no sponsorship.
Конфликт интересов. Авторы декларируют отсутствие явных и потенциальных конфликтов интересов, связанных с публикацией настоящей статьи.
Competing interests. The authors declare that they have no competing interests.
About the authors
Temirlan M. Aliev
Moscow City Clinical Hospital in honor of V.M. Buyanov; Peoples' Friendship University of Russia
Email: atm.travma@mail.ru
ORCID iD: 0000-0001-9280-3449
Russian Federation, Moscow; 6, Miklukho-Maklaya street, Moscow, 117198
Nikolai V. Zagorodniy
Peoples' Friendship University of Russia
Email: zagorodniy51@mail.ru
ORCID iD: 0000-0002-6736-9772
SPIN-code: 6889-8166
MD, PhD, Corresponding Member of the RAS
Russian Federation, 6, Miklukho-Maklaya street, Moscow, 117198Aleksey P. Prizov
Moscow City Clinical Hospital in honor of V.M. Buyanov; Peoples' Friendship University of Russia
Email: aprizov@yandex.ru
ORCID iD: 0000-0003-3092-9753
SPIN-code: 6979-6480
MD, PhD
Russian Federation, Moscow; 6, Miklukho-Maklaya street, Moscow, 117198Fedor L. Lazko
Moscow City Clinical Hospital in honor of V.M. Buyanov; Peoples' Friendship University of Russia
Email: fedor_lazko@mail.ru
ORCID iD: 0000-0001-5292-7930
SPIN-code: 8504-7290
MD, PhD
Russian Federation, Moscow; 6, Miklukho-Maklaya street, Moscow, 117198Alexander A. Akhpashev
Federal Scientific and Clinical Center for Specialized Medical Assistance and Medical Technologies of the Federal Medical Biological Agency
Email: akhpashev@gmail.com
ORCID iD: 0000-0002-2938-5173
SPIN-code: 9965-1828
MD, PhD
Russian Federation, MoscowEvgeniy A. Belyak
Moscow City Clinical Hospital in honor of V.M. Buyanov; Peoples' Friendship University of Russia
Author for correspondence.
Email: belyakevgen@mail.ru
ORCID iD: 0000-0002-2542-8308
SPIN-code: 7337-1214
MD, PhD
Russian Federation, Moscow; 6, Miklukho-Maklaya street, Moscow, 117198References
- Соколов В.А., Бялик Е.И., Такиев А.Т., и др. Оперативное лечение переломов дистального отдела бедра у пострадавших с сочетанной и множественной травмой // Вестник травматологии и ортопедии им. Н.Н. Приорова. 2004. Т. 11, № 1. С. 20–26. [Sokolov VA, Byalik EI, Takiev AT, et al. Surgical treatment of distal femur fractures in patients with concomitant and multiple injury. N.N. Priorov Journal of Traumatology and Orthopedics. 2004;11(1):20–26. (In Russ).] doi: 10.17816/vto200411120-26
- Панков И.О., Рябчиков И.В., Емелин А.Л. Чрескостный остеосинтез при лечении внутрисуставных переломов области коленного сустава // Практическая медицина. 2017. № 7. С. 89–93. [Pankov IO, Ryabchikov IV, Emelin AL. Transosseous osteosynthesis in the treatment of intra-articular fractures of the knee joint area. Practical medicine. 2017;(7):89–93. (In Russ).]
- Сергеев С.В., Чибриков А.Г., Гришанин О.Б., Матвеев В.С. Ретроградный блокирующий интрамедуллярный остеосинтез при переломах бедренной кости // Вестник ортопедии, травматологии и протезирования. 2017. № 3. С. 19–23. [Sergeev SV, Chibrikov AG, Grishanin OB, Matveev VS. Retrograde blocking intramedullary osteosynthesis in femoral fractures. Bulletin of Orthopedics, Traumatology and Prosthetics. 2017;(3):19–23. (In Russ).]
- Черняев С.Н., Неверов В.А., Хромов А.А., и др. Применение блокирующего остеосинтеза при метафизарных переломах бедренной кости // Вестник хирургии им. И.И. Грекова. 2018. Т. 167, № 6. С. 55–58. [Chernyaev SN, Neverov VA, Khromov AA, et al. The use of blocking osteosynthesis in metaphysical femoral fractures. Bulletin of Surgery named after I.I. Grekov. 2018;167(6):55–58. (In Russ).]
- Harder Y, Martinet O, Barraud GE, et al. The mechanics of internal fixation of fractures of the distal femur: A comparison of the condylar screw (DCS) with the condylar plate (CP). Injury. 2017;30(1):31–39. doi: 10.1016/s0020-1383(99)00124-2
- Ito K, Grass R, Zwipp H. Internal fixation of supracondylar femoral fractures: Comparative biomechanical performance of the 958 plate and two retrograde nails. J Orthop Trauma. 2016;4:259–266. doi: 10.1097/00005131-199805000-00008
- Iannacone WM, Bennet FS, Delong WG, et al. Initial experience with the treatment of supracondylar femoral fractures using the supracondylar nail: A preliminary report. J Orthop Trauma. 1994;8(4):322–327. doi: 10.1097/00005131-199408000-00008
- Crist DB, Della Rocca JG, Murtha MY. Treatment of acute distal femur fractures. Orthopedics. 2008;31(7):681–690. doi: 10.3928/01477447-20110505-08
- Başcı O, Karakaşlı A, Kumtepe E, et al. Combination of anatomical locking plate and retrograde intramedullary nail in distal femoral fractures: Comparison of mechanical stability. Eklem Hastalik Cerrahisi. 2015;26(1):21–26. doi: 10.5606/ehc.2015.06
- Meccariello L, Bisaccia M, Ronga M, et al. Locking retrograde nail, non-locking retrograde nail and plate fixation in the treatment of distal third femoral shaft fractures: Radiographic, bone densitometry and clinical outcomes. J Orthop Traumatol. 2021;22(1):33. doi: 10.1186/s10195-021-00593-9
- Garala K, Ramoutar D, Li J, et al. Distal femoral fractures: A comparison between single lateral plate fixation and a combined femoral nail and plate fixation. Injury. 2022;53(2): 634–639. doi: 10.1016/j.injury.2021.11.011
Supplementary files










