Оценка эффективности трансартериальной химиоэмболизации лекарственно-насыщаемыми микросферами с иринотеканом для лечения больных нейроэндокринными опухолями с метастатическим поражением печени
- Авторы: Звездкина Е.А.1, Кедрова А.Г.2,3,4, Лебедев Д.П.2, Красильников С.Э.4, Крестьянинов О.В.4, Греян Т.А.2,3, Панченков Д.Н.5, Степанова Ю.А.6
-
Учреждения:
- Научно-практический центр лазерной медицины имени О.К. Скобелкина
- Федеральный научно-клинический центр специализированных видов медицинской помощи и медицинских технологий
- Академия постдипломного образования ФГБУ «Федеральный научно-клинический центр специализированных видов медицинской помощи и медицинских технологий»
- Национальный медицинский исследовательский центр имени академика Е.Н. Мешалкина
- Московский государственный медико-стоматологический университет имени А.И. Евдокимова
- Национальный медицинский исследовательский центр хирургии имени А.В. Вишневского
- Выпуск: Том 13, № 4 (2022)
- Страницы: 27-37
- Раздел: Оригинальные исследования
- Статья получена: 01.12.2022
- Статья одобрена: 03.12.2022
- Статья опубликована: 24.01.2023
- URL: https://clinpractice.ru/clinpractice/article/view/115017
- DOI: https://doi.org/10.17816/clinpract115017
- ID: 115017
Цитировать
Аннотация
Обоснование. С 2021 года трансартериальная химиоэмболизация печеночных артерий (ТАХЭ) включена в рекомендации профессиональных сообществ для лечения метастазов нейроэндокринных опухолей печени. Тем не менее разнородность этой группы больных и видов химиоэмболизаций при ограниченном спектре цитостатиков, применяемых в лечении, затрудняет анализ данных и внедрение метода в схемы комбинированной терапии.
Цель исследования — изучение эффективности трансартериальной химиоэмболизации лекарственно-насыщаемыми микросферами с иринотеканом для лечения больных нейроэндокринными опухолями с метастатическим поражением печени.
Методы. Проведено ретроспективное наблюдательное неконтролируемое исследование 34 пациентов с метастазами в печень нейроэндокринного рака, которым выполнено 52 ТАХЭ лекарственно-насыщаемыми микросферами с иринотеканом. Первую группу составили 15 пациентов, у которых на момент выявления первичного очага уже были метастазы в печени, вторую группу — 19 человек, у которых метастазы в печени появились по прошествии времени с момента выявления первичного очага. В процессе системного лечения каждые 10–15 нед применяли компьютерную и магнитно-резонансную томографию с целью планирования и оценки эффективности химиоэмболизации. Все пациенты получали системную терапию нейроэндокринных опухолей до и после эмболизации.
Результаты. Отмечено увеличение времени без прогрессирования со 101 [57; 120] и 145 [89; 263] дней после химиотерапии до 300 [134; 344] и 304 [240; 342] дней после ТАХЭ в 1-й и 2-й группах соответственно, при этом разницы между группами не отмечалось (p=0,31 и p=0,57 соответственно). Мы не выявили линейной зависимости между временем удвоения опухоли и изменением объема опухолевого поражения (R2=0,1085 и R2=0,0265 в 1-й и 2-й группах соответственно). При сравнении показателей внутри групп отмечалась статистически значимая разница в снижении объема опухоли и времени без прогрессирования (p=0,009 и p=0,046) между пациентами, которым сразу выполнялась ТАХЭ, и теми, кому ТАХЭ выполнялась после химиотерапии. Лучевая и ангиографическая семиотика метастазов в печени различалась в пределах одного органа и зависела от размера метастазов. Нежелательных явлений после ТАХЭ не было.
Заключение. ТАХЭ лекарственно-насыщаемыми микросферами с иринотеканом является эффективным методом лечения метастазов нейроэндокринного рака в печени, позволяющим увеличить время без прогрессии.
Ключевые слова
Полный текст
ОБОСНОВАНИЕ
Нейроэндокринные опухоли являются злокачественными новообразованиями, развивающимися из клеток APUD1-системы (син. диффузная нейроэндокринная система). Наиболее частая их локализация — поджелудочная железа, желудок, тонкая кишка, легкие, хотя источником могут быть и другие органы. Нейроэндокринный рак относят к медленнорастущим опухолям, которые, тем не менее, способны давать метастазы [1], при этом основным органом-мишенью становится печень.
В 2012 г. Европейское сообщество специалистов в области изучения нейроэндокринных опухолей (The European Neuroendocrine Tumor Society, ENETS) предложило классификацию метастазов в печени [2], при этом на простую форму, когда очаги локализуются в одной доле печени или смежных сегментах и могут быть удалены хирургически, приходится только 20–25% случаев, все остальные ситуации (сложная форма, диффузная форма) являются нерезектабельными.
В 2021 г. Европейское сообщество кардиоваскулярных и интервенционных радиологов (The Cardiovascular and Interventional Radiological Society of Europe, CIRSE) выпустило рекомендации по трансартериальной химиоэмболизации печени (ТАХЭ), где в качестве показаний к операции внесены нейроэндокринные опухоли [3]. Однако ситуация осложняется тем, что ТАХЭ — гетерогенная группа методов (в одних только рекомендациях CIRSE указано 5 вариантов), различающихся не только технически, но и по механизму действия.
Одним из вариантов ТАХЭ является применение лекарственно-насыщаемых микросфер. Это полимерные гранулы, которые способны впитывать цитостатик, увеличивая свой объем в десятки раз. Попадая в сосуды злокачественного новообразования, лекарственно-насыщаемые микросферы закупоривают их, а в опухоли в течение нескольких недель высвобождается цитостатик, сами микросферы при этом уменьшаются в размере и покидают сосудистое русло [4, 5]. Таким образом, лечение становится многокомпонентным: (1) опухоль ишемизируется за счет закупорки артериальных сосудов; (2) цитостатик блокирует рост и размножение опухолевых клеток.
Вторым действующим компонентом ТАХЭ лекарственно-насыщаемыми микросферами является химиопрепарат. Однако на сегодняшний день нет единых рекомендаций по химиотерапии нейроэндокринных опухолей из-за недостаточного количества статистических данных и гетерогенности внутри группы. Имеющиеся схемы лечения нейроэндокринных опухолей поджелудочной железы G1/G2 в виде комбинации стрептозоцина с флуороурацилом или с адриамицином, а также схема, включающая цисплатин или оксалиплатин в сочетании с этопозидом NSC-141540 для лечения нейроэндокринных опухолей G3, показывают эффективность в 35–40% случаев [2, 6].
Цель исследования — изучение эффективности трансартериальной химиоэмболизации лекарственно-насыщаемыми микросферами с иринотеканом для лечения метастатического поражения печени при нейроэндокринных опухолях разной локализации на разных сроках заболевания.
МЕТОДЫ
Дизайн исследования
Проведено ретроспективное наблюдательное неконтролируемое исследование 34 пациентов с метастазами в печень нейроэндокринного рака, которым было выполнено 52 операции трансартериальной химиоэмболизации лекарственно-насыщаемыми микросферами с иринотеканом. Для планирования и оценки эффективности химиоэмболизации применяли компьютерную (КТ) и магнитно-резонансную (МРТ) томографию каждые 10–15 нед в процессе системного лечения. Все пациенты получали системную терапию нейроэндокринных опухолей после эмболизации.
Пациенты были разделены на 2 группы (рис. 1): в 1-ю группу (n=15) включены больные, у которых на момент постановки диагноза уже имелись метастатические очаги в печени; во 2-ю группу (n=19) вошли пациенты, у которых метастатическое поражение печени развилось спустя несколько месяцев и даже лет с момента выявления первичного очага.
Рис. 1. Дизайн исследования. Примечание. ТАХЭ — трансартериальная химиоэмболизация печеночных артерий; ХТ — химиотерапия. / Fig. 1. Study design. Note: ТАХЭ — transarterial chemoembolization of hepatic arteries; ХТ — chemotherapy.
В каждой группе имелись две категории пациентов: которым ТАХЭ выполнялась сразу при выявлении метастазов в печени и которым ТАХЭ выполнялась только при прогрессировании на фоне химиотерапии. Минимальный катамнез составляет 1,5 года, максимальный — 5 лет.
Критерии соответствия
Критерии включения: гистологически верифицированные нейроэндокринные опухоли; нерезектабельное поражение печени; данные КТ брюшной полости или МРТ гепатобилиарной системы (на электронном носителе), выполненные на момент выявления метастазов печени; выполнение минимального диагностического протокола не позднее чем за 14 дней до ТАХЭ; соблюдение сроков контрольных исследований.
Критерии исключения: отказ пациента от операции ТАХЭ; несоблюдение сроков контрольных обследований; отсутствие данных КТ или МРТ на момент выявления метастазов печени на электронном носителе; предшествующее трансартериальное воздействие на печень в виде химиоинфузии, эмболизации печеночных артерий; предшествующие оперативные вмешательства на печени или применение методов локальной деструкции.
Условия проведения
Операции трансартериальной химиоэмболизации лекарственно-насыщаемыми микросферами с иринотеканом выполнены в ФГБУ «Федеральный научно-клинический центр специализированных видов медицинской помощи и медицинских технологий» Федерального медико-биологического агентства России одним рентгенохирургом.
Диагностические исследования проводились в центрах системы ФМБА России, а также по месту жительства пациентов с дистанционным консультированием результатов одним рентгенологом.
Лечение пациентов до и после ТАХЭ выполнялось в ФГБУ «Федеральный научно-клинический центр специализированных видов медицинской помощи и медицинских технологий» ФМБА России и ФГБУ «Национальный медицинский исследовательский центр имени академика Е.Н. Мешалкина» Минздрава России.
Продолжительность исследования
Набор пациентов проводился в период с сентября 2017 г. по февраль 2022 г.; отслежена динамика по состоянию на 31.10.2022.
Описание медицинского вмешательства
Пациентов включали в исследование с момента принятия решения о выполнении ТАХЭ.
Изначально всем больным планировалась одна процедура ТАХЭ. При прогрессировании метастатического поражения печени 4 пациентам 1-й группы и 6 пациентам 2-й группы были выполнены несколько повторных операций.
Последовательность трансартериальной химиоэмболизации метастазов печени. Вначале подготавливали раствор иринотекана, количество которого рассчитывал онколог по формулам. Затем насыщали микросферы, объем которых выбирали в зависимости от предполагаемой емкости сосудистого русла, ориентируясь на объем опухолевого поражения, рассчитанный по диагностическим методам.
Первым этапом ТАХЭ выполняли аортографию, селективную ангиографию ветвей чревного ствола и верхней брыжеечной артерии, печеночных артерий. На этом этапе определяли источники афферентов опухоли.
Вторым этапом выполняли суперселективную катетеризацию соответствующих ветвей сегментарных печеночных артерий и введение в них насыщенных иринотеканом микросфер. Обработку опухоли осуществляли до достижения контрольной точки, что оценивалось на артериографии.
В нашей работе мы использовали микросферы с рабочим размером после насыщения 200–400 мкм и микрокатетерную технику.
Диагностические исследования. Критериями включения в исследование было соблюдение сроков базовых диагностических протоколов. До ТАХЭ исследования выполнялись не позднее чем за 14 дней, после ТАХЭ — первый контроль через 8 нед, далее каждые 3 мес.
Базовый протокол КТ брюшной полости. Для ТАХЭ требуется КТ брюшной полости с болюсным внутривенным контрастированием йодсодержащим контрастным препаратом; сканирование должно быть выполнено в нативную, артериальную, венозную и отсроченную фазы контрастирования. При этом требуется толщина реконструируемого среза не более 2,5 мм с интервалом между срезами не более 2,5 мм.
Базовый протокол МРТ гепатобилиарной зоны. Минимальные требования, предъявляемые к МРТ гепатобилиарной зоны: (1) МР-томограф не менее 1,5 Тесла; (2) обязательные программы сканирования: T2-взвешенные изображения (Т2-ВИ) в аксиальной и коронарной проекциях, Т1-ВИ в аксиальной плоскости, диффузионно-взвешенная импульсная последовательность (ДВИ) в аксиальной плоскости с построением карт измеряемого коэффициента диффузии (ИКД).
Постпроцессинговая обработка данных. На рабочей станции КТ- или МР-томографа выполняли измерение объема опухолевых очагов и паренхимы печени с применением базовых методик автоматической сегментации. С помощью инструмента Auto Contour или Quick Paint (USA) проводили оконтуривание очагов печени, их вырезание из окружающей ткани и вычисление суммарного объема всех очагов (в см3). Таким же образом производили оконтуривание и вычисление объема печени. Очаги в печени, ранее подвергшиеся химиотерапевтическому воздействию, принимались в обсчет наравне с активными метастазами. Данные из других лечебных учреждений предварительно импортировались с электронного носителя на рабочую станцию томографа для постобработки.
По данным диагностических исследований выделяли таргетные очаги в соответствии с критериями ответа солидных опухолей на лечение (Response assessment in solid tumours: version 1.1, RECIST 1.1), затем выполняли измерение их наибольшего диаметра. Кроме того, рассчитывали относительный объем пораженной паренхимы печени (в %) по формуле: F=(Vмтс/Vпеч)×100%. Для оценки динамики роста метастазов вычисляли время удвоения опухоли по формуле Schwartz [7]: DT=(▲Т×ln2)/[(lnV1/V0)], где ▲Т — время между двумя исследованиями (в днях); V0 — суммарный объем опухолевой ткани при первичном исследовании (до лечения); V1 — суммарный объем опухолевой ткани при контрольном исследовании (после лечения).
Исходы исследования
Основной исход исследования. В ходе исследования оценивали «суррогатные» количественные конечные точки: изменение размеров опухоли по RECIST 1.1, объем опухоли, время без прогрессии. На их основе делали выводы об эффективности терапии. Все показатели рассчитывали по данным КТ или МРТ, выполняемых в регламентированные исследованием сроки.
Дополнительные исходы исследования. Дополнительно оценивали качественные показатели: рентгеносемиотику метастазов и данные ангиографии для выявления дополнительных критериев, оказывающих влияние на оценку эффективности терапии.
Анализ в подгруппах. Клинические характеристики пациентов и данные катамнеза отражены в табл. 1.
Таблица 1. Характеристика пациентов с метастазами нейроэндокринного рака в печень / Table 1. Characteristics of patients with liver metastases of neuroendocrine cancer
Возраст на момент ТАХЭ, лет | Стадия первичного очага | Локализация первичного очага | Время с момента установления диагноза до появления метастазов печени | Время с момента появления метастазов печени до ТАХЭ |
58,55±12,5 min 29 max 82 | Т1 10% (n=5) Т2 35% (n=12) Т3 45% (n=14) Т4 10% (n=3) | Поджелудочная железа 40% (n=12) Тонкая кишка 30% (n=11) Легкое 20% (n=8) Простата 10% (n=3) | 1-я группа: сразу — 35% (n=15) 2-я группа: первые 6 мес — 15% (n=5) 6 мес–1,5 года — 15% (n=5) 1,5–6 лет — 35% (n=9) | <2 нед — 35% (n=12) >3 мес — 65% (n=22) |
Примечание. ТАХЭ — трансартериальная химиоэмболизация печеночных артерий.
Note: ТАХЭ — transarterial chemoembolization of hepatic arteries.
У большинства пациентов (n=25, 75%) имелось множественное очаговое билобарное поражение печени, у 7 (20%) — множественные очаги в пределах одной доли печени, у 2 (5%) — единичные очаги в обеих долях печени. У 20 больных печень была единственным пораженным органом-мишенью, у 14 — кроме печени, имелось метастатическое поражение лимфоузлов, костей, селезенки, легких. У 18 (30%) пациентов первичный очаг удален, у 16 (70%) — не удален.
Этическая экспертиза
Протокол исследования одобрен этическим комитетом ФГБУ «Московский государственный медико-стоматологический университет им. А.И. Евдокимова», протокол 83-ДК-с-I от 23.06.2017, а также утвержден на заседании Ученого совета ФГБУ «Московский государственный медико-стоматологический университет им. А.И. Евдокимова» от 12.12.2017, протокол № 5.
Статистический анализ
Статистический анализ выполняли в среде разработки RStudio 2022.02.1 build 461 (RStudio PBC) с помощью языка программирования R версии 4.2.0. Нормальность распределения количественных переменных проверяли с помощью критерия Шапиро–Уилка. Так как распределение переменных отличалось от нормального, в ходе анализа применяли непараметрические методы. Для количественных переменных рассчитывали медиану и квартили. Сравнение количественных переменных в двух группах проводили с помощью критерия Манна–Уитни. Для сравнения трёх групп применяли критерий Краскела–Уоллиса. Вероятность ошибки первого рода была установлена на уровне 0,05. Нулевые гипотезы отвергали при p <0,05. Расчет размера выборки не производился. Для оценки взаимосвязи между изучаемыми количественными переменными применяли методы линейной регрессии.
РЕЗУЛЬТАТЫ
Основные результаты исследования
В соответствии с критериями RECIST 1.1, на первом контроле после ТАХЭ 1 полный ответ получен у 1 (3%) пациента 1-й группы, частичный ответ — у 5 (15%) пациентов 1-й группы и 12 (35%) пациентов 2-й группы, стабилизация — у 5 (15%) пациентов 1-й группы и 10 (30%) пациентов 2-й группы, прогрессирование наблюдалось у 1 пациента. При этом до лечения статистически значимой разницы в объеме опухолевого поражения между группами 1 и 2 не отмечалось, а после лечения показатели суммарного объема метастазов различались (р <0,05). Данные по каждой группе пациентов приведены в табл. 2.
Таблица 2. Показатели суммарного объема метастазов печени до и после ТАХЭ 1 в обеих группах / Table 2. Indicators of the total volume of liver metastases before and after TACE 1 in both groups
Параметр | 1-я группа | 2-я группа | p |
Объем метастазов до ТАХЭ, см3, Me [LQ; UQ] | 0,7511a | ||
Объем метастазов после ТАХЭ, см3, Me [LQ; UQ] | 0,00036a |
Примечание. a Критерий Манна–Уитни. ТАХЭ — трансартериальная химиоэмболизация печеночных артерий.
Note: a The Mann–Whitney criterion. ТАХЭ — transarterial chemoembolization of hepatic arteries.
В процессе динамического наблюдения за пациентами отмечено увеличение в 2,5–3 раза времени без прогрессирования по печени после ТАХЭ в сравнении с результатами химиотерапии. При этом статистически значимой разницы между группами не отмечалось (табл. 3). С другой стороны, при сравнении показателей внутри групп была выявлена статически значимая разница между пациентами, которым сразу выполнялась ТАХЭ, и теми, кому ТАХЭ выполнялась после химиотерапии (табл. 4).
Таблица 3. Время без прогрессирования в обеих группах после химиотерапии и ТАХЭ / Table 3. Time to progression in both groups after chemotherapy and TACE
Параметр | 1-я группа | 2-я группа | p |
ТТР до ХТ, дни, Me [LQ; UQ] | 101 [57; 120] | 145 [89; 263] | 0,31a |
ТТР после ТАХЭ, дни, Me [LQ; UQ] | 300 [137; 344] | 304 [240; 432] | 0,58a |
Примечание. a Критерий Манна–Уитни. ТТР (time to progression) — время до прогрессирования; ХТ — химиотерапия; ТАХЭ — трансартериальная химиоэмболизация печеночных артерий.
Note: a The Mann–Whitney criterion. ТТР — time to progression; ХТ — chemotherapy; ТАХЭ — transarterial chemoembolization of hepatic arteries.
Таблица 4. Сравнение динамики изменения объема метастазов и ТТР (дни) внутри групп 1 и 2 / Table 4. Comparison of the dynamics of changes in the volume of metastases and TTR (days) within groups 1 and 2
Параметр | 1-я группа | 2-я группа | ||
ТАХЭ сразу | ТАХЭ после ХТ | ТАХЭ сразу | ТАХЭ после ХТ | |
Разница в объеме метастазов, см3, Me [LQ; UQ] | -22,6 [-51; -17] | 0,1 [-16; 0,15] | -17,8 [-30,4; 13,26] | 0,2 [-1; 1,1] |
ТТР, дни, Me [LQ; UQ] | 364 [344; 637] | 137 [85; 210] | 308 [275; 567] | 240 [220; 304] |
Попарные сравнения, p | 0,009 | 0,046 | ||
Примечание. ТТР (time to progression) — время до прогрессирования; ХТ — химиотерапия; ТАХЭ — трансартериальная химиоэмболизация печеночных артерий.
Note: ТТР — time to progression; ХТ — chemotherapy; ТАХЭ — transarterial chemoembolization of hepatic arteries.
С учетом многокомпонентного механизма действия ТАХЭ проводили анализ времени удвоения опухоли, отражающего скорость роста новообразования в динамике, и оценивали его взаимосвязь с разницей объема опухолевого поражения, отражающего текущий момент. В обеих группах линейная зависимость между показателями была слабой (R2=0,0265 в 1-й группе и R2=0,1085 во 2-й группе).
Дополнительные результаты исследования
При анализе качественных изменений, происходящих внутри опухоли, мы проанализировали на КТ и МРТ в общей сложности 105 таргетных и 68 нетаргетных очагов, при этом имелась зависимость диагностической картины от диаметра очага.
Для очагов более 4 см диаметром характерным было наличие зоны центрального некроза, занимающего от 10 до 30% объема. На первом контроле после ТАХЭ в структуре таких очагов мы наблюдали внутриопухолевые кровоизлияния (в 10% случаев), при этом на МРТ вокруг опухоли с кровоизлиянием появлялся ободок гиперинтенсивного МР-сигнала, не ограничивающий диффузию, а на КТ — интенсивное перифокальное контрастирование по типу «псевдокапсулы».
При наблюдении в динамике очаги диаметром более 4 см либо трансформировались в кисту (20% случаев), либо оставались без изменений в течение длительного периода времени (от 180 до 240 дней), либо отмечалось увеличение зоны центрального некроза и медленное увеличение размеров.
Очаги диаметром 1–4 см были более гетерогенны. Часть из них (30%) выглядела как однородный мягкотканный субстрат, часть — как опухолевый очаг с щелевидной зоной некроза (30%), при этом интенсивность контрастирования таких очагов отличалась как между пациентами, так и в пределах одного органа. В динамике эти очаги чаще всего трансформировались в кисту, иногда с четким гипоинтенсивным ободком на МРТ.
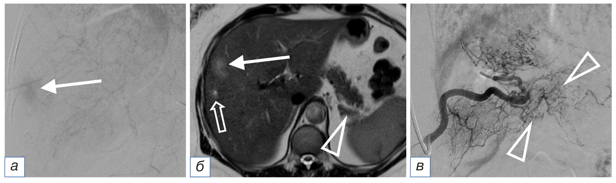
Ангиографическая картина во время операции также была разнообразна. В ряде случаев мы наблюдали достаточно интенсивное контрастирование паренхимы метастаза с разветвленной сетью афферентов (рис. 2), при этом наличие рядом расположенных очагов угадывалось только по перекалиброванным сосудам, отходящим в нетипичном месте (рис. 3). В ряде наблюдений вообще не было ангиографических признаков опухоли: в этом случае рентгенохирург мог ориентироваться только на данные диагностических методов. Заметим, что ангиоархитектоника основной опухоли не совпадала с ангиографической картиной метастазов в печени (рис. 3).
Рис. 2. Ангиография (а): интенсивное контрастирование метастаза диаметром 3 см (стрелка); магнитно-резонансная томография (б): тот же метастаз диаметром 3 см с щелевидным некрозом в структуре (длинная стрелка), инфильтративный метастаз диаметром 0,5 см с локально расширенным желчным протоком в центре (объемная стрелка), опухоль хвоста поджелудочной железы (треугольная стрелка); ангиография опухоли поджелудочной железы (в): разветвленная сеть афферентов (треугольные стрелки). / Fig. 2. Angiography (а): intense contrast of a metastasis with a diameter of 3 cm (white arrow); magnetic resonance imaging (б): the same metastasis with a diameter of 3 cm with slit necrosis in the structure (long arrow), an infiltrative metastasis with a diameter of 0.5 cm with a locally expanded bile duct in the center (3D arrow), the pancreatic tail tumor (triangular arrow); angiography of the pancreatic tumor (в): branched network of afferents (triangular arrows).
Рис. 3. Тот же пациент. Ангиографическая картина другого метастаза диаметром 3 см (а): несколько тонких перекалиброванных сосудов (стрелка), отходящих в нетипичном месте; магнитно-резонансная томография того же метастаза (б): щелевидный некроз в структуре (стрелка). / Fig. 3. The same patient. Angiographic picture of another metastasis with a diameter of 3 cm (а): several thin recalibrated vessels (arrow) exiting in an atypical place; magnetic resonance imaging of the same metastasis (б): slit necrosis in the structure (arrow).
Очаги менее 1 см диаметром выглядели как мягкотканный субстрат или как зона инфильтрации, часто с локально расширенным желчным протоком в центре (рис. 2). Такие очаги, как правило, выявлялись только на МРТ и были «немыми» при ангиографии, тем не менее в динамике они либо бесследно исчезали, либо увеличивались в размерах и трансформировались в описанные выше категории метастазов.
Нежелательные явления
Нежелательных явлений после ТАХЭ не наблюдалось.
ОБСУЖДЕНИЕ
Развитие интервенционной радиологии расширило опции для лечения опухолей печени. Крупные отечественные профессиональные ассоциации, такие как Российское общество клинической онкологии (RUSSCO), и ряд зарубежных ассоциаций (CIRSE, EASL, NCCN и др.) активно изучают методы трансартериальной химиоэмболизации печеночных артерий и встраивают их в протоколы лечения онкологических пациентов. Так произошло с гепатоцеллюлярным раком, когда применение трансартериальной химиоэмболизации на нерезектабельных стадиях увеличило выживаемость пациентов до 2,5 лет. Этот метод был внесен в национальное руководство «Рак печени (гепатоцеллюлярный)» [8].
ТАХЭ хорошо зарекомендовала себя в лечении метастазов колоректального рака, внутрипеченочной холангиокарциномы. С 2021 года в этот список включены и нейроэндокринные опухоли [3, 9]. Однако название «трансартериальная химиоэмболизация» объединяет технически разные методы, отличающиеся между собой механизмом действия, тем не менее их противоопухолевый эффект при нейроэндокринных опухолях в литературных источниках анализируется без учета применяемого варианта [10, 11]. Кроме того, одним из потенциальных действующих лечебных агентов ТАХЭ является цитостатик, причем спектр химиопрепаратов ограничен совместимостью с полимерными носителями, в частности лекарственно-насыщаемыми микросферами [5, 12].
В нашей работе для лечения метастазов нейроэндокринного рака в печень мы применили трансартериальную химиоэмболизацию лекарственно-насыщаемыми микросферами с иринотеканом, не видоизменяя и не трансформируя методику. При этом набор пациентов в исследование проводили с исключением предварительного локорегионарного воздействия на печень, что дало нам возможность создать представление о роли ТАХЭ в схеме лечения. С другой стороны, селекции пациентов по гистологическим подтипам нейроэндокринных опухолей и срокам появления метастазов печени мы не проводили, что позволило изучить противоопухолевый эффект на разных стадиях процесса. Нами отмечено, что ишемический и цитостатический компонент ТАХЭ действуют параллельно друг другу. Это проявляется тем, что изменение суммарного объема опухолевого поражения у многих пациентов не столь значительно изменяется в течение периода наблюдения, а время без прогрессии увеличивается в 2,5–3 раза. Соответственно, и подход к оценке противоопухолевого эффекта со стороны врачей диагностических специальностей должен быть изменен. Ведь традиционный анализ по RECIST 1.1 включает измерение максимального размера опухоли, что в нашем случае плохо отражало эффективность терапии.
Подобные ситуации уже были в онкологии. Так, появление локорегионарной, таргетной и иммунотерапии, вызывающих не столько изменение размеров, сколько деструкцию и снижение метаболизма опухоли, трансформировало RECIST 1.1 в системы mRECIST (2008), irRC (2009), irRECIST (2013) [13, 14]: в них были изменены базовые подходы к анализу опухолей — измерение размеров только контрастнакапливающей части. Однако с этим признаком у нас тоже возникли проблемы, поскольку крупные метастазы уже на дооперационном этапе имели зону центрального некроза, что снижало воспроизводимость измерений. Кроме того, наблюдалась гетерогенность нейроэндокринных опухолей не только среди пациентов, но и в пределах одной печени. Мы отметили, что даже ангиоархитектоника первичного очага не позволяет сделать прогноз о васкуляризации поражений печени, поэтому особенности контрастирования метастазов нейроэндокринного рака на КТ и МРТ требуют дальнейшего углубленного изучения для выбора критериев объективной оценки эффективности терапии. С другой стороны, методы диагностики позволили нам понять, что включать ТАХЭ с иринотеканом в схему лечения пациентов с метастатическим нейроэндокринным раком печени следует как можно раньше в силу статистически значимой разницы в результатах.
Ограничения исследования
Ограничениями нашего исследования являются его ретроспективный характер, небольшой размер выборки и отсутствие контрольной группы. Тем не менее мы изучали эффективность ТАХЭ на гетерогенной группе больных, часть из которых перешагнула одно- и пятилетний порог выживаемости, что дает представление о возможностях метода на разных сроках заболевания.
ЗАКЛЮЧЕНИЕ
Резюмируя вышесказанное, ТАХЭ по праву заняла свое место в лечении пациентов с метастазами нейроэндокринных опухолей в печень, демонстрируя эффективность на разных сроках заболевания. Однако многие вопросы требуют дальнейшего изучения для правильного применения методики и получения хороших клинических результатов.
ДОПОЛНИТЕЛЬНАЯ ИНФОРМАЦИЯ
Вклад авторов. Е.А. Звездкина — рентгенологическая диагностика, обработка и обсуждение результатов исследования, написание текста статьи; Д.П. Лебедев — исполнитель химиоэмболизаций для всех представленных пациентов, анализ результатов; А.Г. Кедрова, Т.А. Греян — лечение пациентов, написание текста статьи; Ю.А. Степанова — ультразвуковая диагностика; Д.Н. Панченков, С.Э. Красильников, О.В. Крестьянинов — лечение пациентов, поисково-аналитическая работа, обсуждение результатов исследования. Авторы подтверждают соответствие своего авторства международным критериям ICMJE (все авторы внесли существенный вклад в разработку концепции, проведение исследования и подготовку статьи, прочли и одобрили финальную версию перед публикацией).
Author contribution. E.A. Zvezdkina — СТ and MRI diagnostics, processing and discussion of the results of the study, writing the text of the article; D.P. Lebedev — performer of chemoembolizations for all presented patients, analysis of the results; A.G. Kedrova, T.A. Greyan — treatment of patients, writing the text of the article; Yu.A. Stepanova — ultrasound diagnostics; D.N. Panchenkov, S.E. Krasilnikov, O.V. Krestyaninov — treatment of patients, search and analytical work, discussion of the results of the study. The authors made a substantial contribution to the conception of the work, acquisition, analysis, interpretation of data for the work, drafting and revising the work, final approval of the version to be published and agree to be accountable for all aspects of the work.
Источник финансирования. Работа выполнена в рамках НИР по государственному заданию ФМБА России (шифр «Адоптивная иммунотерапия»).
Funding source. This study was supported by Federal Medical and Biological Agency of Russia, the project title «Adoptive immunotherapy».
Конфликт интересов. Авторы заявляют об отсутствии внешнего финансирования при проведении исследования.
Competing interests. This study was not supported by any external sources of funding.
1 APUD — аббревиатура, образованная из первых букв англ. слов: amines — амины; precursor — предшественник; uptake — усвоение, поглощение; decarboxylation — декарбоксилирование.
Об авторах
Елена Александровна Звездкина
Научно-практический центр лазерной медицины имени О.К. Скобелкина
Автор, ответственный за переписку.
Email: zvezdkina@yandex.ru
ORCID iD: 0000-0002-0277-9455
SPIN-код: 8428-4518
к.м.н., н.с.
Россия, 121165, Москва, ул. Студенческая, д. 40Анна Генриховна Кедрова
Федеральный научно-клинический центр специализированных видов медицинской помощи и медицинских технологий; Академия постдипломного образования ФГБУ «Федеральный научно-клинический центр специализированных видов медицинской помощи и медицинских технологий»; Национальный медицинский исследовательский центр имени академика Е.Н. Мешалкина
Email: kedrova.anna@gmail.com
ORCID iD: 0000-0003-1031-9376
SPIN-код: 3184-9760
д.м.н., профессор
Россия, Москва; Москва; НовосибирскДмитрий Петрович Лебедев
Федеральный научно-клинический центр специализированных видов медицинской помощи и медицинских технологий
Email: lebedevdp@gmail.com
ORCID iD: 0000-0003-1551-3127
SPIN-код: 4770-5722
врач по рентгеноэндоваскулярным диагностике и лечению
Россия, МоскваСергей Эдуардович Красильников
Национальный медицинский исследовательский центр имени академика Е.Н. Мешалкина
Email: krasilnikov_s@meshalkin.ru
ORCID iD: 0000-0001-8366-6083
директор института онкологии и нейрохирургии
Россия, НовосибирскОлег Викторович Крестьянинов
Национальный медицинский исследовательский центр имени академика Е.Н. Мешалкина
Email: o_krestyaninov@meshalkin.ru
ORCID iD: 0000-0001-5214-8996
заведующий Научно-исследовательским отделом эндоваскулярной хирургии института онкологии и нейрохирургии
Россия, НовосибирскТатевик Ахуриковна Греян
Федеральный научно-клинический центр специализированных видов медицинской помощи и медицинских технологий; Академия постдипломного образования ФГБУ «Федеральный научно-клинический центр специализированных видов медицинской помощи и медицинских технологий»
Email: tatev111@gmail.com
ORCID iD: 0000-0003-4118-3002
SPIN-код: 6952-4709
врач-онколог онкологического отделения, старший преподаватель кафедры акушерства и гинекологии
Россия, Москва; МоскваДмитрий Николаевич Панченков
Московский государственный медико-стоматологический университет имени А.И. Евдокимова
Email: dnpanchenkov@mail.ru
ORCID iD: 0000-0001-8539-4392
SPIN-код: 4316-4651
д.м.н., профессор, заведующий лабораторией минимально инвазивной хирургии
Россия, МоскваЮлия Александровна Степанова
Национальный медицинский исследовательский центр хирургии имени А.В. Вишневского
Email: stepanovaua@mail.ru
ORCID iD: 0000-0002-2348-4963
SPIN-код: 1288-6141
д.м.н., старший научный сотрудник отдела лучевых методов диагностики и лечения
Россия, МоскваСписок литературы
- Modlin IM, Lye KD, Kidd MA. 5-Decade analysis of 13,715 carcinoid tumors. Cancer. 2003;97(4):934–959. doi: 10.1002/cncr.11105
- Pavel M, Baudin E, Couvelard A, et al. ENETS Consensus Guidelines for the management of patients with liver and other distant metastases from neuroendocrine neoplasms of foregut, midgut, hindgut, and unknown primary. Neuroendocrinology. 2012;95(2):157–176. doi: 10.1159/000335597
- Lucatelli P, Burrel M, Guiu B, et al. CIRSE standards of practice on hepatic transarterial chemoembolisation. Cardiovasc Intervent Radiol. 2021;44(12):1851–1867 doi: 10.1007/s00270-021-02968-1
- De Baere T, Plotkin S, Yu R, et al. An in vitro evaluation of four types of drug-eluting microspheres loaded with doxorubicin. J Vasc Interv Radiol. 2016;27(9):1425–1431. doi: 10.1016/j.jvir.2016.05.015
- Kennoki N, Saguchi T, Sano T, et al. Long-term histopathologic follow-up of a spherical embolic agent; observation of the transvascular migration of HepaSphere TM. BJR Case Rep. 2019;5(1):20180066. doi: 10.1259/bjrcr.20180066
- Fjallskog ML, Janson ET, Falkmer UG, et al. Treatment with combined streptozotocin and liposomal doxorubicin in metastatic endocrine pancreatic tumors. Neuroendocrinology. 2008; 88(1):53–58. doi: 10.1159/000117575
- Schwartz M. A biomathematical approach to clinical tumor growth. Cancer. 1961;14:1272–1294. doi: 10.1002/1097- 0142(196111/12)14:6<1272::aid-cncr2820140618>3.0.co;2-h
- Рак печени (гепатоцеллюлярный). Клинические рекомендации. Ассоциация онкологов России; Междисциплинарное общество специалистов по опухолям печени; Российское общество клинической онкологии; Российское общество рентгенологов и радиологов; 2022. [Liver cancer (hepatocellular). Clinical recommendations. Association of Oncologists of Russia; Interdisciplinary Society of Specialists in Liver Tumors; Russian Society of Clinical Oncology; Russian Society of Radiologists and Radiologists; 2022. (In Russ).]
- Орел Н.Ф., Артамонова Е.В., Горбунова В.А., и др. Практические рекомендации по лекарственному лечению нейроэндокринных неоплазий желудочно-кишечного тракта и поджелудочной железы // Злокачественные опухоли: Практические рекомендации RUSSCO #3s2. 2018. Т. 8, № 3. С. 430–439. [Orel NF, Artamonova EV, Gorbunova VA, et al. Practical recommendations for the drug treatment of neuroendocrine neoplasia of the gastrointestinal tract and pancreas. Malignant tumors: Practical recommendations RUSSCO #3s2. 2018;8(3):430–439. (In Russ).]
- Do Minh D, Chapiro J, Gorodetski B, et al. Intra-arterial therapy of neuroendocrine tumour liver metastases: comparing conventional TACE, drug-eluting beads TACE and yttrium-90 radioembolisation as treatment options using a propensity score analysis model. Eur Radiol. 2017;27(12):4995–5005. doi: 10.1007/s00330-017-4856-2
- Da Dong X, Carr BI. Hepatic artery chemoembolization for the treatment of liver metastases from neuroendocrine tumors: a long-term follow-up in 123 patients. Med Oncol. 2011;28(1): 286–290. doi: 10.1007/s12032-010-9750-6
- Wáng YJ, De Baere T, Idée JM, Ballet S. Transcatheter embolization therapy in liver cancer: An update of clinical evidences. Chin J Cancer Res. 2015;27(2):96–121. doi: 10.3978/j.issn.1000-9604.2015.03.03
- Wolchok JD, Hoos A, O’Day S, et al. Guidelines for the evaluation of immune therapy activity in solid tumors: immune-related response criteria. Clin Cancer Res. 2009;15(23):7412–7420. doi: 10.1158/1078-0432.CCR-09-1624
- Seymour L, Bogaerts J, Perrone A, et al. iRECIST: guidelines for response criteria for use in trials testing immunotherapeutics. The Lancet Oncology. 2017;18(3):143–152. doi: 10.1016/S1470-2045(17)30074-8
Дополнительные файлы





