Morphological and molecular genetic diagnosis of CADASIL: a rare clinical case

Cover Page


Cite item

Full Text

Abstract

Background: Cerebral autosomal dominant arteriopathy with subcortical infarcts and leukoencephalopathy (CADASIL) is a hereditary autosomal dominant vascular injury of the brain. Currently, the clinical diagnosis of CADASIL is based on the following criteria: the onset of the condition at a relatively young age (40–50 years), recurrent lacunar infarcts, gradual progression of encephalopathy with the development of pseudobulbar syndrome and dementia, various emotional disorders, and autosomal dominant inheritance. Having a family history of relatives with similar symptoms. The diagnosis is verified on the basis of the results of the following studies: neuroimaging, instrumental, morphological, and laboratory. The presence of leukoaraiosis and multiple small bilateral infarctions in such anatomical structures as the basal ganglia and white matter of the cerebral hemispheres, visual tubercles and the pons, and brain stem during MRI diagnostics. Histologically, transmission electron microscopy reveals granular osmiophilic inclusions in the adventitial membrane of the blood vessels of the brain, and on the periphery — in the adventitia of the vessels of skeletal muscles and somatic nerves and in vascular biopsies of skin flaps. A mutation in the Notch3 gene determines the clinic of the disease and morphological changes in blood vessels and is detected by a molecular genetic method. The article presents a clinical case, which was a manifestation of this rare hereditary microangiopathy.

Clinical case description: A 43-year-old patient was admitted to the Department of Neurology of the Republican Clinical Hospital in Simferopol for ischemic stroke in the basin of the left middle cerebral artery. According to the anamnesis, the patient suffered from migraine without aura from a young age and lacunar strokes; examination revealed a decrease in cognitive function, and MRI showed signs of microangiopathy of cerebral vessels. For final diagnosis, the patient underwent an intravital pathomorphological examination of the biopsy of the musculoskeletal flap; the results obtained made it possible to make a reliable diagnosis of CADASIL.

Conclusion: Understanding and knowledge of such a rare pathology as CADASIL is crucial for the rapid recognition of a characteristic clinical picture for further appointment and interpretation of the results of morphological and molecular genetic diagnostics, making it possible to make the correct diagnosis and treatment.

Full Text

ОБОСНОВАНИЕ

CADASIL — крайне редкая (от 0,8 до 5 человек на 100 тыс.) врождённая ангиопатия с повреждением сосудов микроциркуляторного русла и очагами инфарктов в головном мозге, вызванная мутацией в гене NOTCH3 (neurogenic locus notch homolog protein 3) в хромосоме 19p13, с такими клиническими проявлениями, как приступы головной боли, прогрессирующие нарушения памяти и интеллекта, психические расстройства, сокращение продолжительности жизни на 5–10 лет [1, 2].

Морфологические проявления CADASIL сопровождаются поражением артерий мелкого калибра и артериол с преимущественной локализацией в центральной нервной системе. Патогномоничными признаками, которые определяются методами молекулярно-генетической и морфологической диагностики, в том числе верификацией диагноза в доступных участках (биоптаты кожи и мышц), являются циркулярное утолщение стенки сосудов, вызванное фиброзом подэндотелиального слоя и гиалинозом эндотелия, отложение фибрина и отёк, развитие участков некроза и тромбообразование. Подтвердить диагноз возможно лишь при выявлении зернистых включений с выраженной осмиофилией, расположенных вблизи гладких миоцитов средней (мышечной) оболочки артерий и артериол, методом электронной микроскопии [3].

Прогноз у пациентов с CADASIL является неблагоприятным, что связано с высоким риском развития лакунарных инфарктов головного мозга, прогрессированием когнитивных нарушений до степени деменции, нарастанием других проявлений лейкоэнцефалопатии в виде псевдобульбарного синдрома с нарушением речи, глотания, выраженными насильственными эмоциями. Перенесённые лакунарные инфаркты сопровождаются нарастанием двигательного дефицита. Наличие когнитивного дефицита ограничивает возможности социальной адаптации пациента, со временем пациенты нуждаются в постороннем уходе.

К факторам, ухудшающим и без того неблагоприятный прогноз для данных пациентов, относятся гипертоническая болезнь, сахарный диабет, мерцательная аритмия, нарушения липидного обмена. Требуется своевременная диагностика данных заболеваний с последующим лечением. Пациентам, перенёсшим ишемический инсульт, необходимо назначение антиагрегантной терапии (аспирин, клопидогрел). Учитывая прогрессирующее ухудшение когнитивных функций, обязательным является назначение ингибиторов ацетилхолинэстеразы.

КЛИНИЧЕСКИЙ ПРИМЕР

О пациенте

Больная, 43 года, поступила в неврологическое отделение для больных с острым нарушением мозгового кровообращения в связи с ухудшением состояния, нарастанием слабости в левой ноге, нарушением (нечёткостью) речи на фоне исходов перенесённых ранее лакунарных инсультов.

Из анамнеза заболевания известно, что в 2018, 2019, 2021 годах перенесла ишемические инсульты в различных бассейнах. В декабре 2021 года находилась на лечении в неврологическом отделении по поводу ишемического инсульта в вертебробазилярном бассейне на фоне гипертонической болезни; после проведённого лечения отмечался полный регресс неврологической симптоматики, в качестве вторичной профилактики были назначены аспирин, антигипертензивная терапия. В течение последующего года пациентка отмечала прогрессирующее ухудшение речи, нарастание шаткости при ходьбе, снижение памяти, периодическое покашливание при глотании. В ноябре 2022 года утром на фоне повышения артериального давления до 180/110 мм рт.ст. отметила нарастание слабости в левой ноге, в связи с чем бригадой скорой медицинской помощи больная была доставлена в приёмный покой городской клинической больницы № 7 города Симферополя с диагнозом острого нарушения мозгового кровообращения.

Из анамнеза жизни (со слов пациентки) известно, что она страдает частыми головными болями пульсирующего характера, с тошнотой, звукобоязнью, длительностью более суток, которые купирует приёмом нестероидных противовоспалительных средств. Головные боли соответствуют критериям мигрени без ауры.

Наследственный анамнез отягощён по материнской линии, у которой в молодом возрасте развилась деменция.

Физикальная диагностика

Неврологический статус при поступлении. Сознание ясное. Выявлено когнитивное снижение по шкале психического состояния MMSE (mini-menta lstate examination) — 20 баллов. При движениях глазных яблок наблюдается нистагм в крайних отведениях. Лицо асимметрично: сглажена правая носогубная складка, опущен правый угол рта. Отмечается нарушение (неразборчивость) речи по типу выраженной дизартрии. Девиация языка вправо. Глотание, глоточный рефлекс сохранены. Определяются следующие положительные симптомы: Маринеску–Радовича, назолабиальный, хоботковый рефлекс. Выявлен тетрапарез: умеренно выраженный в правых конечностях и левой ноге, легко выраженный в левой руке; асимметричное повышение глубоких сухожильных и надкостничных рефлексов с двух сторон; положительный симптом Бабинского с двух сторон. Нарушения при выполнении следующих координаторных проб: с интенцией пальценосовая проба слева, коленно-пяточная проба с умеренной атаксией. Походка спастикопаретическая, передвигается при помощи опоры на ходунки. При осмотре возникали эпизоды насильственного плача.

Предварительный диагноз

При поступлении поставлен предварительный диагноз: «Ишемический инсульт (2022) в бассейне левой средней мозговой артерии, неуточнённый подтип по TOAST*, в виде правостороннего умеренно выраженного гемипареза. Гипертоническая болезнь III стадии, III степени, риск IV» (*Trial of org in acute stroke treatment — классификация патогенетических подтипов ишемического инсульта). Сопутствующая патология: дисциркуляторная энцефалопатия II стадии, когнитивное снижение, атактический синдром, дизартрия; мигрень без ауры.

Инструментальная, морфологическая и молекулярная диагностика

Проведено обследование согласно клиническим рекомендациям по ведению больных с ишемическим инсультом.

В общеклинических анализах патологии не выявлено.

По данным эхокардиографии, дуплексного сканирования брахиоцефальных артерий значимых причин развития ишемического инсульта в молодом возрасте не определялось.

Компьютерная томография головного мозга: в обеих лобных долях, правой теменной и левой височной долях определяются лакунарные кисты, участки кистозно-глиозных изменений на фоне несимметричного очагового снижения плотности белого вещества в пери- и суправентрикулярных отделах обоих полушарий головного мозга. Заключение: «Компьютерно-томографические признаки перенесённых нарушений мозгового кровообращения в обоих полушариях головного мозга на фоне центральной и корковой атрофии, очагового снижения плотности паренхимы мозга как проявления церебральной микроангиопатии».

При магнитно-резонансной томографии головного мозга в глубинных отделах полушарий головного мозга, базальных ядрах с обеих сторон, субкортикально в лобных, височных и левой теменной долях, а также в мосту и полушариях мозжечка визуализированы множественные лакунарные инфаркты. В белом веществе больших полушарий головного мозга выявлены участки гиперинтенсивного сигнала в режиме Т2 и FLAIR, сливного характера (Fazekas 3). Вокруг передних и задних рогов боковых желудочков — зона лейкоареоза. В белом веществе больших полушарий головного мозга, преимущественно в центральных отделах, а также в среднем мозге, структурах моста и обоих полушариях мозжечка — множественные очаги выпадения сигнала на SWI, размером 2–7 мм (микрокровоизлияния).

Методом магнитно-резонансной томографии выявлены поражения белого вещества полушарий головного мозга и отсутствие кортикальных инфарктов: клиническая картина соответствовала вероятной CADASIL (наличие мигрени, множественных инфарктов головного мозга в молодом — до 50 лет — возрасте, когнитивного снижения, наследственной отягощённости по сердечно-сосудистым заболеваниям и деменции).

У пациентки имелся значимый фактор риска развития инфаркта мозга — гипертоническая болезнь, однако наличие сопутствующей мигрени без ауры, когнитивное снижение, лакунарное состояние, выраженность поражения белого вещества головного мозга по данным нейровизуализации требовали исключения других — редких — причин развития данного состояния.

При наличии клинических критериев вероятной CADASIL для подтверждения диагноза, как правило, проводят биопсию кожно-мышечных лоскутов и/или генетическое исследование (определение мутации в гене NOTCH3 на 19-й хромосоме, кодирующего трансмембранный рецептор, участвующий в контроле клеточного цикла и располагающийся на поверхности гладких мышц сосудистой стенки). В описанном случае выполнение генетического анализа в условиях стационара не представлялось возможным, поэтому была проведена биопсия кожно-мышечного лоскута.

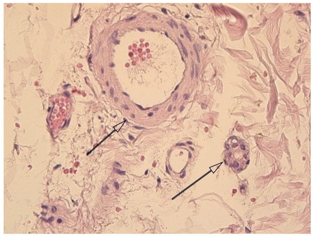
С целью морфологической верификации диагноза проведено гистологическое светооптическое и электронно-микроскопическое исследование сосудов биоптатов кожно-мышечных лоскутов с внутренней поверхности бёдер и предплечий. Выявлен отёк сосочкового и сетчатого слоёв дермы. Кровеносные сосуды дермы гиперемированы, очагово паралитически расширены, имеют утолщённую стенку. Расположение эндотелиоцитов имеет вид «частокола» (рис. 1). В периваскулярной зоне лимфоцитарная инфильтрация с примесью единичных лейкоцитов.

 

Рис. 1. Биопсия кожи пациента с CADASIL. Световая микроскопия, гематоксилин и эозин, ×400 (стрелки — утолщение базальной мембраны).

Fig. 1. Skin biopsy of a patient with CADASIL. Light microscopy and hematoxylin and eosin, magnification ×400; transparent arrow — thickening of the basement membrane.

 

На ультраструктурном уровне при изучении фрагментов сетчатого слоя дермы выявлены схожие изменения стенки сосудов. Базальная мембрана и другие соединительнотканные структуры стенки утолщены, гомогенизированы, отёчны; осмиофильные гранулы крупного размера имеют овальную, округлую или полигональную форму, располагаются группами в мышечной оболочке и не встречаются в периваскулярной зоне. Мышечная оболочка утолщена, гладкие миоциты с признаками белковой дистрофии, отёка; имеют хаотичное расположение в стенке сосуда (рис. 2).

 

Рис. 2. Биопсия кожи пациента с CADASIL. Электронная микроскопия, ×2400 (чёрная стрелка — осмиофильные гранулы, прозрачная стрелка — утолщение базальной мембраны).

Fig. 2. Skin biopsy of a patient with CADASIL. Electron microscopy, magnification ×2400. Black arrow — osmophilic granules; transparent arrow — thickening of the basement membrane.

 

В последующем диагноз был подтверждён молекулярно-генетическим исследованием данной герминальной миссенс-мутации.

Клинический диагноз

На основании проведённых исследований можно поставить клинический диагноз: «CADASIL. Последствия перенесённых ишемических инсультов в виде спастического тетрапареза (умеренно выраженный парез в правых конечностях и левой ноге и легко выраженный в левой руке), атактического синдрома с выраженным нарушением двигательной функции конечностей и функции ходьбы. Псевдобульбарный синдром, когнитивное снижение».

Сопутствующая патология: гипертоническая болезнь III стадии, III степени, риск IV; сердечная недостаточность IIа степени; мигрень без ауры.

План лечения включал: магнезии сульфат 25% — 5,0 (внутривенно капельно на физрастворе 0,9% — 100,0); холина альфосцерат 1000 мг — 4,0 (внутримышечно); периндоприл в дозе 5 мг (1 таблетка утром); амлодипин по 5 мг (1 таблетка вечером); индапамид по 2,5 мг (1 таблетка утром); Ацекардол по 100 мг (1 таблетка утром после еды); аторвастатин по 20 мг (1 таблетка на ночь), мемантин по 20 мг. Лечение проводилось в стационаре в течение 14 дней.

Динамика и прогноз

Состояние пациентки за время динамического наблюдения без отрицательной динамики: в первые дни наблюдения — средней степени тяжести, ближе к выписке — состояние компенсированное, без динамики в неврологическом статусе.

После проведённого курса лечения пациентка выписана из отделения в компенсированном состоянии с последующим наблюдением и лечением у невропатолога, терапевта, кардиолога по месту жительства.

За период наблюдения с 2021 года у пациентки нарос двигательный дефицит, ухудшились когнитивные функции по данным теста MMSE (с 26 баллов в 2021 году до 20 баллов в 2022 году). Больная направлена во врачебно-трудовую экспертную комиссию с целью экспертизы трудоспособности.

ОБСУЖДЕНИЕ

Изменение метаболизма клеток с отложением гранул является причиной возникновения и прогрессии клинических проявлений болезни. Известно, что гранулы вновь образуются на протяжении всего периода жизни, постоянно увеличиваются в размерах, сливаются в конгломераты. Группой исследователей была осуществлена попытка классификации гранул, обнаруживаемых на стенках сосудов при CADASIL. В экспериментальном исследовании на гуманизированных трансгенных мышах NOTCH3Arg182Cys с мутацией в гене NOTCH3 были исследованы осмиофильные гранулы в разные периоды жизни мышей. Исследователи предложили классифицировать гранулы следующим образом: отложения гранул на стадии I небольшие, слегка электронно-плотные, вызывают минимальную деформацию сосуда; отложения на стадиях II и III более электронно-плотные, вызывают выпячивание базальной мембраны и эндотелиоцитов и находятся в пределах (II) или выходят за пределы (III) нормальной ширины базальной мембраны; отложения на стадии IV простираются за нормальную ширину базальной мембраны и являются аморфными; на стадии V отложения сливаются в обширные конгломераты. Вероятно, имеется связь между прогрессией гранулообразования и тяжестью поражения полушарий головного мозга [4]. У описываемого нами пациента гранулы были небольшими и не выпячивали базальную мембрану, деформируя соседние клетки.

Нарушение синтеза NOTCH вследствие мутаций в кодирующем его гене приводит к повреждению митохондрий клеток и, следовательно, нарушению энергетического баланса клетки. Помимо данного белка, в патологических гранулах методом хроматографии было обнаружено содержание таких веществ, как тканевой ингибитор металлопротеиназ 3, витронектин и латентный TGF-β-связывающий белок 1, амилоид P, аннексин 2 и периостин [5]. Энергетический дисбаланс может приводить к вторичному повреждению: нарушению экскреции патологических белков клетки с экзосомами. В одном из исследований экзосом плазмы периферической крови у пациентов с CADASIL было выявлено значительное снижение NOTCH в сравнении со здоровыми людьми [6]. Содержание NOTCH в экзосомах плазмы также коррелировало с тяжестью поражения белого вещества, что может быть применено в качестве диагностического и прогностического маркера-критерия при диагностике CADASIL. Прогресс заболевания связан также с фоновыми и сопутствующими заболеваниями (гипертоническая болезнь, атеросклероз и др.), прогрессирующими у лиц среднего и старшего возраста.

ЗАКЛЮЧЕНИЕ

Несмотря на значительный прогресс в молекулярной и морфологической диагностике и изучении патогенеза синдрома CADASIL, не все аспекты этой редкой патологии изучены, что делает целесообразным дальнейшее накопление фактов для анализа результатов.

ИНФОРМИРОВАННОЕ СОГЛАСИЕ

От пациента получено добровольное письменное информированное согласие на публикацию его изображений в научных целях в медицинском издании «Клиническая практика», включая электронную версию журнала (дата подписания 20.12.2022).

INFORMED CONSENT

A voluntary written informed consent was obtained from the patient for the publication of his images for scientific purposes in the medical Journal of Clinical Practice, including the online version of the journal (date of signing 20.12.2022).

ДОПОЛНИТЕЛЬНАЯ ИНФОРМАЦИЯ

Вклад авторов. Е.П. Голубинская, М.А. Кальфа — морфологическая диагностика случая, описание морфологии; О.В. Остапенко — проведение и описание электронной микроскопии; Е.А. Савчук — клиническая диагностика; Т.П. Макалиш, Е.Ю. Зяблицкая, П.Е. Максимова — обработка и обсуждение результатов исследования, написание текста статьи. Авторы подтверждают соответствие своего авторства международным критериям ICMJE (все авторы внесли существенный вклад в разработку концепции, проведение исследования и подготовку статьи, прочли и одобрили финальную версию перед публикацией).

Authors’ contribution. E.P. Golubinskaya, M.A. Kalfa — morphological diagnosis of the case, description of morphology; O.V. Ostapenko — execution and description of electron microscopy; E.A. Savchuk — clinical diagnostics; T.P. Makalish, E.Yu. Zyablitskaya, P.E. Maksimova — processing and discussion of the results of the study, writing the text of the article. The authors made a substantial contribution to the conception of the work, acquisition, analysis, interpretation of data for the work, drafting and revising the work, final approval of the version to be published and agree to be accountable for all aspects of the work.

Источник финансирования. Исследование финансировано программой развития «Приоритет 2030» ФГАОУ ВО «Крымский федеральный университет им. В.И. Вернадского».

Funding source. The study was funded by the “Priority 2030” Development Program V.I. Vernadsky Crimean Federal University.

Конфликт интересов. Авторы декларируют отсутствие явных и потенциальных конфликтов интересов, связанных с публикацией настоящей статьи.

Competing interests. The authors declare that they have no competing interests.

×

About the authors

Elena P. Golubinskaya

V.I. Vernadsky Crimean Federal University

Email: missive@mail.ru
ORCID iD: 0000-0003-3917-924X
SPIN-code: 8896-7481

Dr. Sci. (Med.)

Russian Federation, Simferopol

Tatyana P. Makalish

V.I. Vernadsky Crimean Federal University

Email: gemini_m@list.ru
ORCID iD: 0000-0003-1884-2620
SPIN-code: 1523-5893

PhD

Russian Federation, Simferopol

Margarita A. Kalfa

V.I. Vernadsky Crimean Federal University

Email: rita.kalfa@mail.ru
ORCID iD: 0000-0002-7179-3402
SPIN-code: 2360-0775

MD, PhD

Russian Federation, Simferopol

Olga V. Ostapenko

V.I. Vernadsky Crimean Federal University

Email: stepashca@mail.ru
ORCID iD: 0000-0002-2935-1985
SPIN-code: 5247-6359

MD, PhD, Associate Professor

Russian Federation, Simferopol

Elena A. Savchuk

V.I. Vernadsky Crimean Federal University

Email: Elena_Savchuk12@mail.ru
ORCID iD: 0000-0001-5261-5849
SPIN-code: 9631-8715

MD, PhD, Associate Professor

Russian Federation, Simferopol

Evgenia Y. Zyablitskaya

V.I. Vernadsky Crimean Federal University

Email: evgu79@mail.ru
ORCID iD: 0000-0001-8216-4196
SPIN-code: 2267-3643

Dr. Sci. (Med.)

Russian Federation, Simferopol

Рolina E. Maksimova

V.I. Vernadsky Crimean Federal University

Author for correspondence.
Email: pmaksq@mail.ru
ORCID iD: 0000-0001-5920-8664
SPIN-code: 9734-8508

Dr. Sci. (Med.)

Russian Federation, Simferopol

References

  1. Chabriat H, Bousser MG. Neuropsychiatric manifestations in CADASIL. Dialogues Clin Neurosci. 2007;9(2):199–208. doi: 10.31887/DCNS.2007.9.2/hchabriat
  2. Di Donato I, Bianchi S, de Stefano N, et al. Cerebral Autosomal Dominant Arteriopathy with Subcortical Infarcts and Leukoencephalopathy (CADASIL) as a model of small vessel disease: Update on clinical, diagnostic, and management aspects. BMC Med. 2017;15(1):41. doi: 10.1186/s12916-017-0778-8
  3. Иллариошкин С.Н., Сломинский П.А., Шадрина М.И., и др. Церебральная аутосомно-доминантная артериопатия с субкортикальными инфарктами и лейкоэнцефалопатией (ЦАДАСИЛ): первое описание российской семьи с идентифицированной мутацией в гене Notch3 // Анналы клинической и экспериментальной неврологии. 2008. Т. 2, № 2. С. 45–50. [Illarioshkin SN, Slominskij PA, Shadrinaidr MI. Cerebral autosomal dominant arteriopathy with subcortical infarcts and leukoencephalopathy (CADASIL): The first description of a Russian family with an identified mutation in the Notch3 gene. Annals of clinical and experimental neurology. 2008;2(2):45–50. (InRuss).]
  4. Gravesteijn G, Munting LP, Overzier M, et al. Progression and classification of Granular Osmiophilic Material (GOM) deposits in functionally characterized human NOTCH3 transgenic mice. Transl Stroke Res. 2020;11(3):517–527. doi: 10.1007/s12975-019-00742-7
  5. Felczak P, Cudna A, Błażejewska-Hyżorek B, et al. Ultrastructure of mitochondria and damage to small blood vessels in siblings with the same mutation in the NOTCH3 and coexisting diseases. Pol J Pathol. 2021;72(2):148–159. doi: 10.5114/pjp.2021.109517
  6. Gao D, Shang J, Sun R, et al. Changes in the morphology, number, and protein levels of plasma exosomes in CADASIL patients. J Alzheimers Dis. 2021;81(1):221–229. doi: 10.3233/JAD-210101

Supplementary files

Supplementary Files
Action
1. JATS XML
2. Fig. 1. Skin biopsy of a patient with CADASIL. Light microscopy and hematoxylin and eosin, magnification ×400; transparent arrow — thickening of the basement membrane.

Download (1MB)
3. Fig. 2. Skin biopsy of a patient with CADASIL. Electron microscopy, magnification ×2400. Black arrow — osmophilic granules; transparent arrow — thickening of the basement membrane.

Download (1MB)

Copyright (c) 2023 Eco-Vector

Creative Commons License
This work is licensed under a Creative Commons Attribution-NonCommercial-NoDerivatives 4.0 International License.

СМИ зарегистрировано Федеральной службой по надзору в сфере связи, информационных технологий и массовых коммуникаций (Роскомнадзор).
Регистрационный номер и дата принятия решения о регистрации СМИ: серия ПИ № ФС 77 - 38032 от 11 ноября 2009 года.